Long-Term Assessment of Periodontal Tissues after Corticotomy-Assisted Orthodontic Arch Expansion
Abstract
1. Introduction
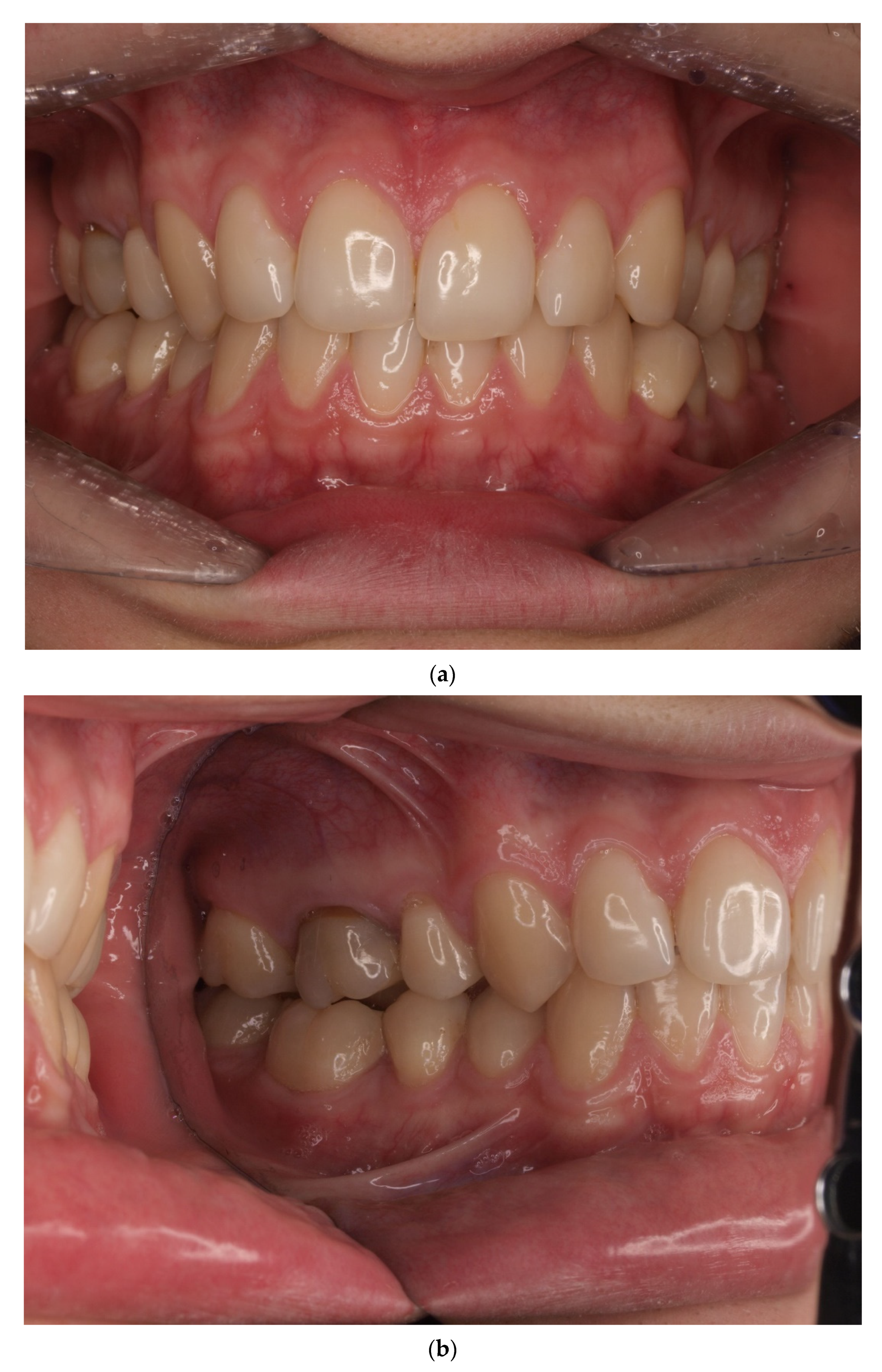
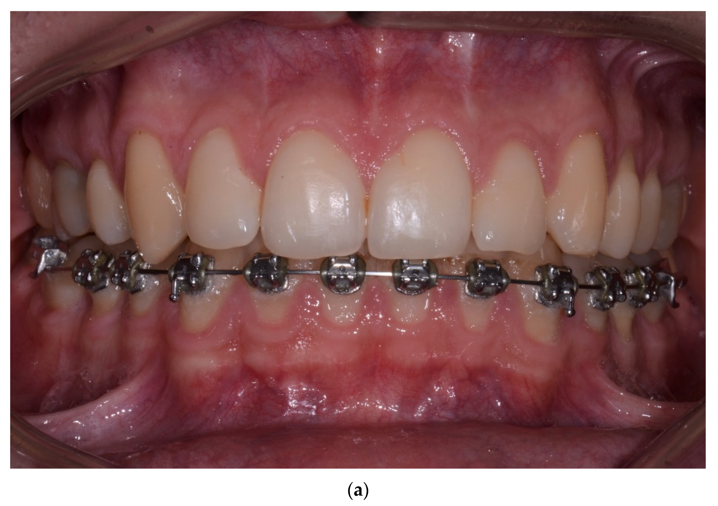
2. Materials and Methods
3. Statistical Analysis
4. Results
5. Discussion
Author Contributions
Funding
Institutional Review Board Statement
Informed Consent Statement
Data Availability Statement
Conflicts of Interest
References
- Renkema, A.M.; Fudalej, P.S.; Renkema, A.; Kiekens, R.; Katsaros, C. Development of labial gingival recessions in orthodontically treated patients. Am. J. Orthod. Dentofac. Orthop. 2013, 143, 206–212. [Google Scholar] [CrossRef] [PubMed]
- Wang, C.W.; Yu, S.H.; Mandelaris, G.A.; Wang, H.L. Is periodontal phenotype modification therapy beneficial for patients receiving orthodontic treatment? An American Academy of Periodontology best evidence review. J. Periodontol. 2020, 91, 299–310. [Google Scholar] [CrossRef] [PubMed]
- Ackerman, J.L.; Proffit, W.R. Soft tissue limitations in orthodontics: Treatment planning guidelines. Angle Orthod. 1997, 67, 327–336. [Google Scholar] [PubMed]
- Jepsen, S.; Caton, J.G.; Albandar, J.M.; Bissada, N.F.; Bouchard, P.; Cortellini, P.; Demirel, K.; de Sanctis, M.; Ercoli, C.; Fan, J.; et al. Periodontal manifestations of systemic diseases and developpmental and acquired conditions: Consensus report of workgroup 3 of the 2017 World Workshop on the Classification of Periodontal and Peri-Implant Diseases and Conditions. J. Periodontol. 2018, 89 (Suppl. S1), S237–S248. [Google Scholar] [CrossRef]
- Kim, D.M.; Neiva, R. Periodontal soft tissue non-Root coverage procedures: A systematic review from the AAP Regeneration Workshop. J. Periodontol. 2015, 86 (Suppl. S2), S56–S72. [Google Scholar] [CrossRef] [PubMed]
- Imber, J.C.; Kasaj, A. Treatment of gingival recession: When and How? Int. Dent. J. 2021, 71, 178–187. [Google Scholar] [CrossRef]
- Kassab, M.M.; Badawi, H.; Dentino, A.R. Treatment of Gingival Recession. Dent. Clin. N. Am. 2010, 54, 129–140. [Google Scholar] [CrossRef][Green Version]
- Pini Prato, G.P.; Franceschi, D.; Cortellini, P.; Chambrone, L. Long-Term evaluation (20 years) of the outcomes of subepithelial connective tissue graft plus coronally advanced flap in the treatment of maxillary single recession-Type defects. J. Periodontol. 2018, 89, 1290–1299. [Google Scholar] [CrossRef]
- Bhedasgoankar, S.; Kapadia, J.; Bhandari, S. Gingival augmentation procedure prior to fixed orthodontic treatment. J. Int. Clin. Dent. Res. Organ. 2011, 3, 74–77. [Google Scholar] [CrossRef]
- Boyd, R.L. Mucogingival considerations and their relationship to orthodontics. J. Periodontol 1978, 49, 67–76. [Google Scholar] [CrossRef]
- Frost, H.M. The regional acceleratory phenomenon: A review. Henry Ford Hosp. Med. J. 1983, 31, 3–9. [Google Scholar] [PubMed]
- Kernitsky, J.R.; Ohira, T.; Shosho, D.; Lim, J.; Bamashmous, A.; Dibart, S. Corticotomy depth and regional acceleratory phenomenon intensity: A preliminary study. Angle Orthod. 2021, 91, 206–212. [Google Scholar] [CrossRef] [PubMed]
- Frost, H.M. The biology of fracture healing: An overview for clinicians. Part I Clin. Orthop. Relat. Res. 1989, 248, 283–293. [Google Scholar] [CrossRef]
- Frost, H.M. The biology of fracture healing: An overview for clinicians. Part II Clin. Orthop. Relat. Res. 1989, 248, 294–309. [Google Scholar] [CrossRef]
- Wilcko, W.M.; Ferguson, D.J.; Bouquot, J.E.; Wilcko, M.T. Rapid orthodontic decrowding with alveolar augmentation: Case report. World J. Orthod. 2003, 4, 197–205. [Google Scholar]
- Khandelwal, A.; Thomas, B.; Ramesh, A.; Talwar, A. Treatment of bimaxillary protrusion using corticotomy-Assisted orthodontics: An interdisciplinary approach. Indian J. Multidiscip. Dent. 2018, 8, 39–43. [Google Scholar]
- Nimeri, G.; Kau, C.H.; Abou-Kheir, N.S.; Corona, R. Acceleration of tooth movement during orthodontic treatment a frontier in orthodontics. Prog. Orthod. 2013, 14, 42. [Google Scholar] [CrossRef]
- Amit, G.; Jps, K.; Pankaj, B.; Suchinder, S.; Parul, B. Periodontally accelerated osteogenic orthodontics (PAOO)—A review. J. Clin. Exp. Dent. 2012, 4, 292–296. [Google Scholar] [CrossRef]
- Prabhakar, R.; Karthikeyan, M.K.; Saravanan, R.; Kannan, K.S.; Arun Raj, M.R. Anterior maxillary intrusion and retraction with corticotomy-Facilitated orthodontic treatment and burstone three piece intrusive arch. J. Clin. Diagn. Res. 2013, 7, 3099–3101. [Google Scholar] [CrossRef]
- Yaffe, A.; Fine, N.; Binderman, I. Regional accelerated phenomenon in the mandible following mucoperiosteal flap surgery. J. Periodontol. 1994, 65, 79–83. [Google Scholar] [CrossRef]
- Lee, W.; Karapetyan, G.; Moats, R.; Yamashita, D.D.; Moon, H.B.; Ferguson, D.J.; Yen, S. Corticotomy-Osteotomy-Assisted Tooth Movement microCTs Differ. J. Dent. Res. 2008, 87, 861–867. [Google Scholar] [CrossRef]
- Wilcko, M.T.; Wilcko, W.M.; Pulver, J.J.; Bissada, N.F.; Bouquot, J.E. Accelerated Osteogenic Orthodontics Technique: A 1-Stage Surggically Facilitated Rapid Orthodontic Technique with Alveolar Augmentation. J. Oral. Maxillofaci. Surg. 2009, 67, 2149–2159. [Google Scholar] [CrossRef] [PubMed]
- Vardimon, A.D.; Nemcovsky, C.E.; Dre, E. Orthodontic tooth movement enhaces bone healing of surgical bony defects in rats. J. Periodontol. 2001, 72, 858–864. [Google Scholar] [CrossRef] [PubMed]
- Gantes, B.; Rathbun, E.; Anholm, M. Effects on the periodontium following corticotomy-Facilitated orthodontics. Case reports. J. Periodontol. 1990, 61, 234–238. [Google Scholar] [CrossRef] [PubMed]
- Sulewska, M.; Duraj, E.; Bugała- Musiatowicz, B.; Waszkiewicz -Sewastianik, E.; Milewski, R.; Pietruski, J.; Sajewicz, E.; Pietruska, M. Assesment of the effect of the corticotomy-Assisted orthodontic treatment on the maxillary periodontal tissue in patients with malocclusions with transverse maxillary deficiency: A case series. BMC Oral Health 2018, 18, 162. [Google Scholar] [CrossRef]
- Charavet, C.; Lecloux, G.; Bruwier, A.; Rompen, E.; Maes, N.; Limme, M.; Lambert, F. Localized Piezoelectric Alveolar Decortication for Orthodontic Treatment in Adults: A Randomized Controlled Trial. J. Dent. Res. 2016, 95, 1003–1009. [Google Scholar] [CrossRef] [PubMed]
- Shoreibah, E.A.; Ibrahim, S.A.; Attia, M.S.; Diab, M.M. Clinical and radiographic evaluation of bone grafting in corticotomy-Facilitated orthodontics in adults. J. Int. Acad. Periodontol. 2012, 14, 105–113. [Google Scholar]
- Shoreibah, E.A.; Salama, A.E.; Attia, M.S.; Abu-Seida, S.M. Corticotomy-Facilitated orthodontics in adults using a further modified technique. J. Int. Acad. Periodontol. 2012, 14, 97–104. [Google Scholar]
- Aksakalli, S.; Calik, B.; Kara, B.; Ezirganli, S. Accelerated tooth movement with piezocision and its periodontal-Transversal effects in patients with Class II malocclusion. Angle Orthod. 2016, 86, 59–65. [Google Scholar] [CrossRef]
- Abbas, I.T.; Moutamed, G.M. Acceleration of orthodontic tooth movement by alveolar corticotomy using piezosurgery. J. Am. Sci. 2012, 8, 13–19. [Google Scholar]
- Aristizibal, J.F.; Bellaiza, W.; Ortiz, M.A.; Franco, L. Clinical and systemic effects of periodontally accelerated osteogenic orthodontics: A pilot study. Int. J. Odontostomatol. 2016, 10, 119–127. [Google Scholar] [CrossRef][Green Version]
- Abbas, N.H.; Sabet, N.E.; Hassan, I.T. Evaluation of corticotomy-Facilitated orthodontics and piezocision in rapid canine retraction. Am. J. Orthod. Dentofac. Orthop. 2016, 149, 473–480. [Google Scholar] [CrossRef] [PubMed]
- Aboul-Ela, S.M.; El-Beialy, A.R.; El-Sayed, K.M.; Selim, E.M.; El-Mangoury, N.H.; Mostafa, Y.A. Miniscrew implant-Supported maxillary canine retraction with and without corticotomy-Facilitated orthodontics. Am. J. Orthod. Dentofac. Orthop. 2011, 139, 252–259. [Google Scholar] [CrossRef] [PubMed]
- Fischer, T.J. Orthodontic treatment acceleration with corticotomyassisted exposure of palatally impacted canines. Angle Orthod. 2007, 77, 417–420. [Google Scholar] [CrossRef]
- Cassetta, M.; Giansanti, M.; Di Mambro, A.; Calasso, S.; Barbato, E. Minimally invasive corticotomy in orthodontics using a three-Dimensional printed CAD/CAM surgical guide. Int. J. Oral Maxillofac. Surg. 2016, 45, 1059–1064. [Google Scholar] [CrossRef]
- Cortellini, P.; Pini Prato, G.; Tonetti, M.S. The modified papilla preservation technique. A new surgical approach for interproximal regenerative procedures. J. Periodontol. 1995, 66, 261–266. [Google Scholar] [CrossRef]
- da Silva, S.C.; Joly, J.C.; de Lima, A.F.M.; Tatakis, D.N. Root coverage using the coronally positioned flap with or without a subepithelial connective tissue graft. J. Periodontol. 2004, 75, 413–419. [Google Scholar] [CrossRef]
- Cassetta, M.; Pandolfi, S.; Giansanti, M. Minimally invasive corticotomy in orthodontics: A new technique using a CAD/CAM surgical template. Int. J. Oral Maxillofac. Surg. 2015, 44, 830–833. [Google Scholar] [CrossRef]
- Hoogeveen, E.J.; Jansma, J.; Ren, Y. Surgically facilitated orthodontic treatment: A systematic review. Am. J. Orthod. Dentofac. Orthop. 2014, 145 (Suppl. S4), 51–64. [Google Scholar] [CrossRef]
- Hassan, A.H.; Al-Fraidi, A.A.; Al-Saeed, S.H. Corticotomy-Assisted orthodontic treatment: Review. Open Dent. J. 2010, 4, 159–164. [Google Scholar] [CrossRef]
- Aljhani, A.S.; Zawawi, K.H. Nonextraction treatment of severe crowding with the aid of corticotomy-Assisted orthodontics. Case Rep. Dent. 2012, 694527, 8. [Google Scholar] [CrossRef]
- Germeç, D.; Giray, B.; Kocadereli, I.; Enacar, A. Lower incisor retraction with a modified corticotomy. Angle Orthod. 2006, 76, 882–890. [Google Scholar]
- Wilcko, M.T.; Wilcko, W.M.; Bissada, N.F. An evidence-Based analysis of periodontally accelerated orthodontic and osteogenic techniques: A synthesis of scientific perspectives. Semin. Orthod. 2008, 14, 305–316. [Google Scholar] [CrossRef]
- Nowzari, H.; Yorita, F.K.; Chang, H.C. Periodontally accelerated osteogenic orthodontics combined with autogenous bone grafting. Compend. Contin. Educ. Dent. 2008, 29, 200–218. [Google Scholar] [PubMed]
- Iino, S.; Sakoda, S.; Miyawaki, S. An adult bimaxillary protrusion treated with corticotomy-Facilitated orthodontics and titanium miniplates. Angle Orthod. 2006, 76, 1074–1082. [Google Scholar] [PubMed]
- Oliveira, D.D.; de Oliveira, B.F.; de Araújo Brito, H.H.; de Souza, M.M.G.; Medeiros, P.J. Selective alveolar corticotomy to intrude overerupted molars. Am. J. Orthod. Dentofac. Orthop. 2008, 133, 902–908. [Google Scholar] [CrossRef] [PubMed]
- Rekhi, U.; Catunda, R.Q.; Gibson, M.P. Surgically accelerated orthodontic techniques and periodontal response: A systematic review. Eur. J. Orthod. 2020, 635–642. [Google Scholar] [CrossRef] [PubMed]
- Bahammam, M.A. Effectiveness of bovine-Derived xenograft versus bioactive glass with periodontally accelerated osteogenic orthodontics in adults: A randomized, controlled clinical trial. BMC Oral Health 2016, 16, 126. [Google Scholar] [CrossRef] [PubMed]
- Binderman, I.; Adut, M.; Zohar, R.; Bahar, H.; Faibish, D.; Yaffe, A. Alveolar bone resorption following coronal versus apical approach in a mucoperiosteal flap surgery procedure in the rat mandible. J. Periodontol. 2001, 72, 1348–1353. [Google Scholar]
- Alkan, O.; Kaya, Y.; Tunca, M.; Keskinc, S. Changes in the gingival thickness and keratinized gingival width of maxillary and mandibular anterior teeth after orthodontic treatment. Angle Orthod. 2021, 91, 459–467. [Google Scholar] [CrossRef]
- Coatoam, G.W.; Behrents, R.G.; Bissada, N.F. The width of keratinized gingiva during orthodontic treatment: Its significance and impact on periodontal status. J. Periodontol. 1981, 52, 307–313. [Google Scholar] [CrossRef]
- Wang, G.N.; Jiao, J.; Zhou, Y.H.; Shi, J. Effect of orthodontic tooth movement on keratinized gingival width. Beijing Da Xue Xue Bao Yi Xue Ban 2019, 51, 931–936. [Google Scholar] [PubMed]
- Wilcko, W.M.; Wilcko, T.; Bouquot, J.E.; Ferguson, D.J. Rapid orthodontics with alveolar reshaping: Two case reports of decrowding. Int. J. Period. Restor. Dent. 2001, 21, 9–19. [Google Scholar]
- Bogoch, E.; Gschwend, N.; Rahn, B.; Moran, E.; Perren, S. Healing of cancellous bone osteotomy in rabbits–part I: Regulation of bone volume and the regional acceleratory phenomenon in normal bone. J. Orthop. Res. 1993, 11, 285–291. [Google Scholar] [CrossRef] [PubMed]
- Moreau, N.; Charrier, J.B. Bone formation and corticotomy-Induced accelerated bone remodeling: Can alveolar corticotomy induce bone formation? Orthod. Fr. 2015, 86, 113–120. [Google Scholar] [CrossRef] [PubMed]
- Medeiros, R.B.; Pires, F.R.; Kantarci, A.; Capelli, J., Jr. Tissue repair after selective alveolar corticotomy in orthodontic patients: A preliminary study. Angle Orthod. 2018, 88, 179–186. [Google Scholar] [CrossRef]
- Hannequin, R.; Ouadi, E.; Racy, E.; Moreau, N. Clinical follow-Up of corticotomy accelerated Invisalign orthodontic treatment with Dental Monitoring. Am. J. Orthod. Dentofac. Orthop. 2020, 158, 878–888. [Google Scholar] [CrossRef]
- Bhattacharya, P.; Bhattacharya, H.; Anjum, A.; Bhandari, R.; Agarwal, D.K.; Gupta, A.; Ansar, J. Assessment of corticotomy facilitated tooth movement and changes in alveolar bone thickness-a CT scan study. J. Clin. Diagn. Res. 2014, 8, ZC26–ZC30. [Google Scholar]
- Sebaoun, J.D.; Kantarci, A.; Turner, J.W.; Carvalho, R.S.; Van Dyke, T.E.; Ferguson, D.J. Modeling of trabecular bone and lamina dura following selective alveolar decortication in rats. J. Periodontol. 2008, 79, 1679–1688. [Google Scholar] [CrossRef]
- Baloul, S.S.; Gerstenfeld, L.C.; Morgan, E.F.; Carvalho, R.S.; Van Dyke, T.E.; Kantarci, A. Mechanism of action and morphologic changes in the alveolar bone in response to selective alveolar decortication-Facilitated tooth movement. Am. J. Orthod. Dentofac. Orthop. 2011, 139 (Suppl. S4), 83–101. [Google Scholar] [CrossRef]








| Parameter | [%] | Time of Observation | Difference between 1 Year and a Minimum of 5 Years Post-op | p-Value | Mean Diff. (95% Cl) between 1 Year and a Minimum of 5 Years Post-op |
|---|---|---|---|---|---|
| FMPI | x ± SD | Baseline 17.33 ± 2.11 1 year 16.90 ± 2.25 5 years 17.20 ± 2.18 | +0.30% | p = 0.699 * | 0.42 (−0.91, 1.75) |
| FMBOP | x ± SD | Baseline 13.44 ± 1.87 1 year 13.24 ± 1.75 5 years 13.32 ± 1.46 | +0.08% | p = 0.724 ** | 0.26 (−0.61, 1.12) |
| Parameter | [mm] | Time of Observation | Difference between 1 Year and a Minimum of 5 Years Post-op | p-Value | Mean Diff. (95% Cl) between 1 Year and a Minimum of 5 Years Post-op |
|---|---|---|---|---|---|
| PD | x ± SD | Baseline 2.74 ± 0.57 1 year 2.48 ± 0.51 5 years 2.28 ± 0.48 | −0.20 mm | p < 0.0001 * | −0.23 (−0.29, −0.16) |
| CAL | x ± SD | Baseline 2.75 ± 0.57 1 year 2.49 ± 0.51 5 years 2.48 ± 0.86 | −0.01 mm | p = 0.0350 * | −0.04 (−0.17, 0.10) |
| BS | x ± SD | Baseline 4.76 ± 0.94 1 year 4.49 ± 0.77 5 years 4.29 ± 0.70 | −0.20 mm | p = 0.2430 * | −1.11 (−1.43, −0.79) |
| Parameter | [mm] | Time of Observation | Difference between 1 Year and a Minimum of 5 Years Post-op | p-Value | Mean Diff. (95% Cl) between 1 Year and 5 Years Post-op |
|---|---|---|---|---|---|
| Phenotype | x ± SD | Baseline 1.71 ± 0.52 1 year 2.03 ± 0.47 5 years 1.99 ± 0.50 | −0.04 mm | p = 1 * | −0.02 (−0.05, 0.02) |
| PW | x ± SD | Baseline 3.75 ± 0.92 1 year 3.54 ± 1.50 5 years 4.03 ± 0.89 | +0.49 mm | p = 0.103 * | 0.38 (0.18, 0.58) |
| PH | x ± SD | Baseline 4.82 ± 1.16 1 year 4.00 ± 1.60 5 years 4.29 ± 3.56 | +0.29 mm | p = 0.057 * | 0.19 (−0.40, 0.78) |
| GR | x ± SD | Baseline 0.13 ± 0.47 1 year 0.07± 0.32 5 years 0.19 ± 0.79 | +0.12 mm | p = 1 * | 0.11 (0.01, 0.21) |
| RW | x ± SD | Baseline 0.21 ± 0.75 1 year 0.10 ± 0.49 5 years 0.14 ± 0.59 | +0.04 mm | p = 1 * | 0.02 (−0.07, 0.12) |
| KT | x ± SD | Baseline 5.02 ± 1.79 1year 5.12 ± 1.78 5 years 5.12 ± 1.72 | 0.00 mm | p = 1 * | −0.03 (−0.23, 0.18) |
Publisher’s Note: MDPI stays neutral with regard to jurisdictional claims in published maps and institutional affiliations. |
© 2021 by the authors. Licensee MDPI, Basel, Switzerland. This article is an open access article distributed under the terms and conditions of the Creative Commons Attribution (CC BY) license (https://creativecommons.org/licenses/by/4.0/).
Share and Cite
Sulewska, M.E.; Baczewska, A.; Bugała-Musiatowicz, B.; Waszkiewicz-Sewastianik, E.; Pietruski, J.K.; Pietruska, M. Long-Term Assessment of Periodontal Tissues after Corticotomy-Assisted Orthodontic Arch Expansion. J. Clin. Med. 2021, 10, 5588. https://doi.org/10.3390/jcm10235588
Sulewska ME, Baczewska A, Bugała-Musiatowicz B, Waszkiewicz-Sewastianik E, Pietruski JK, Pietruska M. Long-Term Assessment of Periodontal Tissues after Corticotomy-Assisted Orthodontic Arch Expansion. Journal of Clinical Medicine. 2021; 10(23):5588. https://doi.org/10.3390/jcm10235588
Chicago/Turabian StyleSulewska, Magdalena Ewa, Amelia Baczewska, Beata Bugała-Musiatowicz, Emilia Waszkiewicz-Sewastianik, Jan Krzysztof Pietruski, and Małgorzata Pietruska. 2021. "Long-Term Assessment of Periodontal Tissues after Corticotomy-Assisted Orthodontic Arch Expansion" Journal of Clinical Medicine 10, no. 23: 5588. https://doi.org/10.3390/jcm10235588
APA StyleSulewska, M. E., Baczewska, A., Bugała-Musiatowicz, B., Waszkiewicz-Sewastianik, E., Pietruski, J. K., & Pietruska, M. (2021). Long-Term Assessment of Periodontal Tissues after Corticotomy-Assisted Orthodontic Arch Expansion. Journal of Clinical Medicine, 10(23), 5588. https://doi.org/10.3390/jcm10235588

