The Use of BASILICA Technique to Prevent Coronary Obstruction in a TAVI-TAVI Procedure
Abstract
:1. Introduction
2. TAVI-in-TAVI
- (a)
- As a bail-out approach: in an acute setting, as a rescue strategy undertaken due to unsuccessful or suboptimal implantation.
- (b)
- Late THV failure: due to late structural valve deterioration (stenosis, regurgitation, or mixed disease).
- (c)
- A combination of structural and non-structural valve dysfunction: a combination of paravalvular regurgitation (PVL) and bioprosthesis failure, which could require a combined approach, such as PVL closure and a new prosthesis implantation.
3. TAVI-in-TAVI Complications
- (a)
- Type I: coronary ostium lies above the top of the deflected native or bioprosthetic aortic valve leaflet. In this case, the deflected leaflet will not be able to cover the flow to the coronary artery, even if the sinuses are extremely narrow.
- (b)
- Type II: coronary ostium lies below the top of the deflected leaflet. In this case, the risk of coronary obstruction will depend on the capacity of the sinuses to accommodate the deflected leaflet. In type IIA, the sinus is wide and coronary obstruction will not occur. In type IIB, the sinus is effaced and coronary obstruction can happen after TAVI.
- (c)
- Type III: implanted leaflets extend above the STJ when deflected, which is especially common in supra-annular THV. In type IIIA, both the sinuses and the STJ are wide and this condition may not be at risk for coronary obstruction. In type IIIB, either sinuses or STJ are narrow and coronary obstruction may occur. In type IIIC, non-effaced sinuses may obstruct the inflow to the coronaries if the leaflets can be deflected above the STJ level and positioned close to the aortic wall.
- (a)
- STJ: represents the critical anatomical bottleneck regulating the access to the aortic root and coronary ostia; shorter and narrower STJ will leave less free space between the aortic wall and the edge of the “covered” old TAVI stent frame;
- (b)
- Height of the leaflets of the original device: is the first determinant of the level below which the previous stent frame will not be crossable anymore after the implantation of a second device. Higher leaflets will more easily impinge on the STJ and impair catheter movement in the aortic root;
- (c)
- Depth of device implantation: it will also modify the height of TAVI leaflets in respect to the aortic root, therefore possibly jeopardizing coronary access.
4. The BASILICA Technique
5. BASILICA Required Equipment
6. Case Report
6.1. History of Presentation
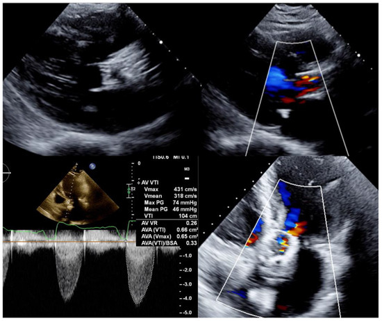
6.2. Preoperative Investigation
6.3. Procedure
7. Discussion
8. Conclusions
Supplementary Materials
Author Contributions
Funding
Institutional Review Board Statement
Informed Consent Statement
Conflicts of Interest
References
- Cribier, A.; Eltchaninoff, H.; Tron, C.; Bauer, F.; Agatiello, C.; Sebagh, L.; Bash, A.; Nusimovici, D.; Litzler, P.Y.; Bessou, J.P.; et al. Early experience with percutaneous transcatheter implantation of heart valve prosthesis for the treatment of end-stage inoperable patients with calcific aortic stenosis. J. Am. Coll. Cardiol. 2004, 43, 698–703. [Google Scholar] [CrossRef] [Green Version]
- Otto, C.M.; Nishimura, R.A.; Bonow, R.O.; Carabello, B.A.; Erwin, J.P.; Gentile, F., III; Jneid, H.; Krieger, E.V.; Mack, M.; McLeod, C.; et al. 2020 ACC/AHA Guideline for the Management of Patients With Valvular Heart Disease: Executive Summary: A Report of the American College of Cardiology/American Heart Association Joint Committee on Clinical Practice Guidelines. Circulation 2021, 143, e35–e71. [Google Scholar] [CrossRef]
- Vahanian, A.; Beyersdorf, F.; Praz, F.; Milojevic, M.; Baldus, S.; Bauersachs, J.; Capodanno, D.; Conradi, L.; De Bonis, M.; De Paulis, R.; et al. ESC/EACTS Scientific Document Group. 2021 ESC/EACTS Guidelines for the management of valvular heart disease. Eur. Heart J. 2021, 60, 727–800. [Google Scholar]
- Mack, M.J.; Leon, M.B.; Thourani, V.H.; Makkar, R.; Kodali, S.K.; Russo, M.; Kapadia, S.R.; Malaisrie, S.C.; Cohen, D.J.; Pibarot, P.; et al. PARTNER 3 Investigators. Transcatheter Aortic-Valve Replacement with a Balloon-Expandable Valve in Low-Risk Patients. N. Engl. J. Med. 2019, 380, 1695–1705. [Google Scholar] [CrossRef]
- Popma, J.J.; Deeb, G.M.; Yakubov, S.J.; Mumtaz, M.; Gada, H.; O’Hair, D.; Bajwa, T.; Heiser, J.C.; Merhi, W.; Kleiman, N.S.; et al. Evolut Low Risk Trial Investigators. Transcatheter Aortic-Valve Replacement with a Self-Expanding Valve in Low-Risk Patients. N. Engl. J. Med. 2019, 380, 1706–1715. [Google Scholar] [CrossRef] [PubMed]
- Jędrzejczyk, S.; Scisło, P.; Grodecki, K.; Rymuza, B.; Kochman, J.; Huczek, Z. TAVI-in-TAVI—Is this the future? Cardiol. J. 2019, 26, 614–615. [Google Scholar] [CrossRef] [Green Version]
- Khan, J.M.; Dvir, D.; Greenbaum, A.B.; Babaliaros, V.C.; Rogers, T.; Aldea, G.; Reisman, M.; Mackensen, G.B.; Eng, M.; Paone, G.; et al. Transcatheter Laceration of Aortic Leaflets to Prevent Coronary Obstruction during Transcatheter Aortic Valve Replacement: Concept to First-in-Human. JACC Cardiovasc. Interv. 2018, 11, 677–689. [Google Scholar] [CrossRef]
- Kappetein, A.P.; Head, S.J.; Généreux, P.; Piazza, N.; van Mieghem, N.M.; Blackstone, E.H.; Brott, T.G.; Cohen, D.J.; Cutlip, D.E.; van Es, G.A.; et al. Updated standardized endpoint definitions for transcatheter aortic valve implantation: The Valve Academic Research Consortium-2 consensus document. Eur. Heart J. 2012, 33, 2403–2418. [Google Scholar] [CrossRef]
- Ruiz, C.E.; Laborde, J.C.; Condado, J.F.; Chiam, P.T.; Condado, J.A. First percutaneous transcatheter aortic valve-in-valve implant with three year follow-up. Catheter. Cardiovasc. Interv. Off. J. Soc. Card. Angiogr. Interv. 2008, 72, 143–148. [Google Scholar] [CrossRef]
- VARC-3 Writing Committee; Généreux, P.; Piazza, N.; Alu, M.C.; Nazif, T.; Hahn, R.T.; Pibarot, P.; Bax, J.J.; Leipsic, J.A.; Blanke, P.; et al. Valve Academic Research Consortium 3: Updated endpoint definitions for aortic valve clinical research. Eur. Heart J. 2021, 42, 1825–1857. [Google Scholar] [CrossRef]
- Witkowski, A.; Jastrzebski, J.; Dabrowski, M.; Chmielak, Z. Second transcatheter aortic valve implantation for treatment of suboptimal function of previously implanted prosthesis: Review of the literature. J. Interv. Cardiol. 2014, 27, 300–307. [Google Scholar] [CrossRef]
- Vrachatis, D.A.; Vavuranakis, M.; Tsoukala, S.; Giotaki, S.; Papaioannou, T.G.; Siasos, G.; Deftereos, G.; Giannopoulos, G.; Raisakis, K.; Tousoulis, D.; et al. TAVI: Valve in valve. A new field for structuralists? Literature review. Hell. J. Cardiol. 2020, 61, 148–153. [Google Scholar] [CrossRef] [PubMed]
- Leon, M.B.; Smith, C.R.; Mack, M.; Miller, D.C.; Moses, J.W.; Svensson, L.G.; Tuzcu, E.M.; Webb, J.G.; Fontana, G.P.; Makkar, R.R.; et al. PARTNER Trial Investigators. Transcatheter aortic-valve implantation for aortic stenosis in patients who cannot undergo surgery. N. Engl. J. Med. 2010, 363, 1597–1607. [Google Scholar] [CrossRef] [PubMed] [Green Version]
- Smith, C.R.; Leon, M.B.; Mack, M.J.; Miller, D.C.; Moses, J.W.; Svensson, L.G.; Tuzcu, E.M.; Webb, J.G.; Fontana, G.P.; Makkar, R.R.; et al. PARTNER Trial Investigators Transcatheter versus surgical aortic-valve replacement in high-risk patients. N. Engl. J. Med. 2011, 364, 2187–2198. [Google Scholar] [CrossRef] [Green Version]
- Popma, J.J.; Adams, D.H.; Reardon, M.J.; Yakubov, S.J.; Kleiman, N.S.; Heimansohn, D.; Hermiller, J.; Hughes, G.C., Jr.; Harrison, J.K.; Coselli, J.; et al. CoreValve United States Clinical Investigators Transcatheter aortic valve replacement using a self-expanding bioprosthesis in patients with severe aortic stenosis at extreme risk for surgery. J. Am. Coll. Cardiol. 2014, 63, 1972–1981. [Google Scholar] [CrossRef] [PubMed] [Green Version]
- Adams, D.H.; Popma, J.J.; Reardon, M.J. Transcatheter aortic-valve replacement with a self-expanding prosthesis. N. Engl. J. Med. 2014, 371, 967–968. [Google Scholar] [CrossRef] [Green Version]
- Makkar, R.R.; Jilaihawi, H.; Chakravarty, T.; Fontana, G.P.; Kapadia, S.; Babaliaros, V.; Cheng, W.; Thourani, V.H.; Bavaria, J.; Svensson, L.; et al. Determinants and outcomes of acute transcatheter valve-in-valve therapy or embolization: A study of multiple valve implants in the U.S. PARTNER trial (Placement of AoRTic TraNscathetER Valve Trial Edwards SAPIEN Transcatheter Heart Valve). J. Am. Coll. Cardiol. 2013, 62, 418–430. [Google Scholar] [CrossRef] [Green Version]
- Percy, E.D.; Harloff, M.T.; Hirji, S.; McGurk, S.; Yazdchi, F.; Newell, P.; Malarczyk, A.; Sabe, A.; Landes, U.; Webb, J.; et al. Nationally Representative Repeat Transcatheter Aortic Valve Replacement Outcomes: Report From the Centers for Medicare and Medicaid Services. JACC Cardiovasc. Interv. 2021, 14, 1717–1726. [Google Scholar] [CrossRef]
- Atizzani, G.F.; Dallan, L.A.; Forrest, J.K.; Reardon, M.J.; Szeto, W.Y.; Liu, F.; Pelletier, M. Redo-transcatheter aortic valve replacement with the supra-annular, self-expandable Evolut platform: Insights from the Transcatheter valve Therapy Registry. Catheterization and Cardiovascular Intervention 2021. Epub Ahead of Print. [Google Scholar]
- Landes, U.; Webb, J.G.; De Backer, O.; Sondergaard, L.; Abdel-Wahab, M.; Crusius, L.; Kim, W.K.; Hamm, C.; Buzzatti, N.; Montorfano, M.; et al. Repeat Transcatheter Aortic Valve Replacement for Transcatheter Prosthesis Dysfunction. J. Am. Coll. Cardiol. 2020, 75, 1882–1893. [Google Scholar] [CrossRef] [PubMed]
- Toggweiler, S.; Boone, R.H.; Rodés-Cabau, J.; Humphries, K.H.; Lee, M.; Nombela-Franco, L.; Bagur, R.; Willson, A.B.; Binder, R.K.; Gurvitch, R.; et al. Transcatheter aortic valve replacement: Outcomes of patients with moderate or severe mitral regurgitation. J. Am. Coll. Cardiol. 2012, 59, 2068–2074. [Google Scholar] [CrossRef] [Green Version]
- Schmidt, T.; Frerker, C.; Alessandrini, H.; Schlüter, M.; Kreidel, F.; Schäfer, U.; Thielsen, T.; Kuck, K.H.; Jose, J.; Holy, E.; et al. Redo TAVI: Initial experience at two German centres. EuroInterv. J. EuroPCR Collab. Work. Group Interv. Cardiol. Eur. Soc. Cardiol. 2016, 12, 875–882. [Google Scholar] [CrossRef]
- Tsuda, M.; Mizote, I.; Ichibori, Y.; Mukai, T.; Maeda, K.; Onishi, T.; Kuratani, T.; Sawa, Y.; Sakata, Y. Outcomes of Redo Transcatheter Aortic Valve Implantation for Structural Valve Degeneration of Transcatheter Aortic Valve. Circ. Rep. 2019, 1, 142–148. [Google Scholar] [CrossRef] [PubMed] [Green Version]
- Dvir, D. Treatment of Small Surgical Valves: Clinical Considerations for Achieving Optimal Results in Valve-in-Valve Procedures. JACC Cardiovasc. Interv. 2015, 8, 2034–2036. [Google Scholar] [CrossRef] [PubMed]
- Ribeiro, H.B.; Webb, J.G.; Makkar, R.R.; Cohen, M.G.; Kapadia, S.R.; Kodali, S.; Tamburino, C.; Barbanti, M.; Chakravarty, T.; Jilaihawi, H.; et al. Predictive factors, management, and clinical outcomes of coronary obstruction following transcatheter aortic valve implantation: Insights from a large multicenter registry. J. Am. Coll. Cardiol. 2013, 62, 1552–1562. [Google Scholar] [CrossRef] [PubMed] [Green Version]
- Ribeiro, H.B.; Rodés-Cabau, J.; Blanke, P.; Leipsic, J.; Kwan Park, J.; Bapat, V.; Makkar, R.; Simonato, M.; Barbanti, M.; Schofer, J.; et al. Incidence, predictors, and clinical outcomes of coronary obstruction following transcatheter aortic valve replacement for degenerative bioprosthetic surgical valves: Insights from the VIVID registry. Eur. Heart J. 2018, 39, 687–695. [Google Scholar] [CrossRef] [PubMed] [Green Version]
- Lederman, R.J.; Babaliaros, V.C.; Rogers, T.; Khan, J.M.; Kamioka, N.; Dvir, D.; Greenbaum, A.B. Preventing Coronary Obstruction During Transcatheter Aortic Valve Replacement: From Computed Tomography to BASILICA. JACC Cardiovasc. Interv. 2019, 12, 1197–1216. [Google Scholar] [CrossRef]
- Komatsu, I.; Mackensen, G.B.; Aldea, G.S.; Reisman, M.; Dvir, D. Bioprosthetic or native aortic scallop intentional laceration to prevent iatrogenic coronary artery obstruction. Part 1: How to evaluate patients for BASILICA. EuroInterv. J. EuroPCR Collab. Work. Group Interv. Cardiol. Eur. Soc. Cardiol. 2019, 15, 47–54. [Google Scholar] [CrossRef] [PubMed]
- Hidalgo, F.; Ojeda, S.; Romero, M. Chimney Stent Technique in a Valve-in-valve Procedure. Rev. Esp. De Cardiol. 2018, 71, 972. [Google Scholar] [CrossRef]
- Romano, V.; Buzzatti, N.; Latib, A.; Colombo, A.; Montorfano, M. Chimney technique for coronary obstruction after aortic valve in valve: Pros and cons. Eur. Heart J. Cardiovasc. Imaging 2018, 19, 1194. [Google Scholar] [CrossRef]
- Buzzatti, N.; Romano, V.; De Backer, O.; Soendergaard, L.; Rosseel, L.; Maurovich-Horvat, P.; Karady, J.; Merkely, B.; Ruggeri, S.; Prendergast, B.; et al. Coronary Access After Repeated Transcatheter Aortic Valve Implantation: A Glimpse Into the Future. JACC Cardiovasc. Imaging 2020, 13 Pt 1, 508–515. [Google Scholar] [CrossRef]
- Komatsu, I.; Mackensen, G.B.; Aldea, G.S.; Reisman, M.; Dvir, D. Bioprosthetic or native aortic scallop intentional laceration to prevent iatrogenic coronary artery obstruction. Part 2: How to perform BASILICA. EuroInterv. J. EuroPCR Collab. Work. Group Interv. Cardiol. Eur. Soc. Cardiol. 2019, 15, 55–66. [Google Scholar] [CrossRef] [PubMed]
- Kitamura, M.; Majunke, N.; Holzhey, D.; Desch, S.; Bani Hani, A.; Krieghoff, C.; Gutberlet, M.; Protsyk, V.; Ender, J.; Borger, M.A.; et al. Systematic use of intentional leaflet laceration to prevent TAVI-induced coronary obstruction: Feasibility and early clinical outcomes of the BASILICA technique. EuroInterv. J. EuroPCR Collab. Work. Group Interv. Cardiol. Eur. Soc. Cardiol. 2020, 16, 682–690. [Google Scholar] [CrossRef] [PubMed]
- Westermann, D.; Ludwig, S.; Kalbacher, D.; Spink, C.; Linder, M.; Bhadra, O.D.; Nikorowitsch, J.; Waldschmidt, L.; Demal, T.; Voigtländer, L.; et al. Prevention of coronary obstruction in patients at risk undergoing transcatheter aortic valve implantation: The Hamburg BASILICA experience. Clin. Res. Cardiol. Off. J. Ger. Card. Soc. 2021, 110, 1693. [Google Scholar] [CrossRef]
- Tagliari, A.P.; Miura, M.; Gavazzoni, M.; Haager, P.K.; Russo, G.; Pozzoli, A.; Zuber, M.; Jörg, L.; Rickli, H.; Gennari, M.; et al. Bioprosthetic or native aortic scallop intentional laceration to prevent iatrogenic coronary artery obstruction technique in transcatheter aortic valve-in-valve procedures: A single-center initial experience. J. Cardiovasc. Med. 2021, 22, 212–221. [Google Scholar] [CrossRef]
- Khan, J.M.; Greenbaum, A.B.; Babaliaros, V.C.; Dvir, D.; Reisman, M.; McCabe, J.M.; Satler, L.; Waksman, R.; Eng, M.H.; Paone, G.; et al. BASILICA Trial: One-Year Outcomes of Transcatheter Electrosurgical Leaflet Laceration to Prevent TAVR Coronary Obstruction. Circulation. Cardiovasc. Interv. 2021, 14, e010238. [Google Scholar] [CrossRef] [PubMed]
- Khan, J.M.; Bruce, C.G.; Babaliaros, V.C.; Greenbaum, A.B.; Rogers, T.; Lederman, R.J. TAVR Roulette: Caution Regarding BASILICA Laceration for TAVR-in-TAVR. JACC Cardiovasc. Interv. 2020, 13, 787–789. [Google Scholar] [CrossRef]
- Sharma, R.K.; Tuttle, M.K.; Poulin, M.F.; Laham, R.J. CoreValve bioprosthesis dysfunction treated with a Sapien 3 valve-in-valve transcatheter aortic valve replacement and BASILICA technique. Catheter. Cardiovasc. Interv. Off. J. Soc. Card. Angiogr. Interv. 2021, 98, 403–406. [Google Scholar] [CrossRef]
- Tang, G.; Zaid, S.; Fuchs, A.; Yamabe, T.; Yazdchi, F.; Gupta, E.; Ahmad, H.; Kofoed, K.F.; Goldberg, J.B.; Undemir, C.; et al. Alignment of Transcatheter Aortic-Valve Neo-Commissures (ALIGN TAVR): Impact on Final Valve Orientation and Coronary Artery Overlap. JACC Cardiovasc. Interv. 2020, 13, 1030–1042. [Google Scholar] [CrossRef]
- Tagliari, A.P.; Vicentini, L.; Zimmermann, J.M.; Miura, M.; Ferrari, E.; Perez, D.; Haager, P.K.; Jörg, L.; Maisano, F.; Taramasso, M. Transcatheter aortic valve neo-commissure alignment with the Portico system. EuroInterv. J. EuroPCR Collab. Work. Group Interv. Cardiol. Eur. Soc. Cardiol. 2021, 17, e152–e155. [Google Scholar] [CrossRef]
- Ando, T.; Adegbala, O.; Aggarwal, A.; Afonso, L.; Takagi, H.; Grines, C.L.; Briasoulis, A. Redo aortic valve intervention after transcatheter aortic valve replacement: Analysis of the nationwide readmission database. Int. J. Cardiol. 2021, 325, 115–120. [Google Scholar] [CrossRef]
- Jawitz, O.K.; Gulack, B.C.; Grau-Sepulveda, M.V.; Matsouaka, R.A.; Mack, M.J.; Holmes, D.R., Jr.; Carroll, J.D.; Thourani, V.H.; Brennan, J.M. Reoperation After Transcatheter Aortic Valve Replacement: An Analysis of the Society of Thoracic Surgeons Database. JACC Cardiovasc. Interv. 2020, 13, 1515–1525. [Google Scholar] [CrossRef] [PubMed]
- Mercanti, F.; Rosseel, L.; Neylon, A.; Bagur, R.; Sinning, J.M.; Nickenig, G.; Grube, E.; Hildick-Smith, D.; Tavano, D.; Wolf, A.; et al. Chimney Stenting for Coronary Occlusion During TAVR: Insights from the Chimney Registry. JACC Cardiovasc. Interv. 2020, 13, 751–761. [Google Scholar] [CrossRef] [PubMed]
- Vavuranakis, M.; Vrachatis, D.A.; Siasos, G.; Aznaouridis, K.; Vaina, S.; Moldovan, C.; Kalogeras, K.; Kariori, M.; Bei, E.; Papaioannou, T.G.; et al. Managing complications in transcatheter aortic valve implantation. Hell. J. Cardiol. HJC Hell. Kardiol. Ep. 2015, 56 (Suppl. A), 20–30. [Google Scholar]





| Author and Year | Number of Patients | Recruitment | Follow-Up | Survival at 30 Days and 1 Year | Device Success ** |
|---|---|---|---|---|---|
| Percy, ED. 2021 [18] | 617 | All Medicare beneficiaries who underwent TAVI from 2012 to 2017 | 1 year | 94% at 30 days and 78% at 1 year | ---- |
| Attizzani, GF. 2021 [19] | 292 | All TVT Registry patients who underwent redo-TAVI with Evolut platform between April 2015 and March 2020 | 1 year | 96.8% at 30 days and 82.3% at 1 year | 94.5% |
| Landes, U. 2020 [20] | 212 | Redo-TAVI registry, 37 centers | 30 days | 94.6% and 98.5% for early and late valve dysfunction * | 85.1% |
| Toggweiler, S. 2012 [21] | 21 | Three Canadian centers, between January 2005 and March 2011 | 1 year | 85.7% at 30 days and 76% at 1 year | 90% |
| Schmidt, T. 2016 [22] | 19 | Consecutive patients in 2 German centers, between October 2011 and November 2015 | 1 year | 89% at 30 days and 67% at 1 year | 89% |
| Tsuda, M. 2019 [23] | 6 | Osaka University Hospital, between October 2009 and June 2018 | 1 year | 100% at 30 days and 83.3% at 1 year | 83.3% |
Publisher’s Note: MDPI stays neutral with regard to jurisdictional claims in published maps and institutional affiliations. |
© 2021 by the authors. Licensee MDPI, Basel, Switzerland. This article is an open access article distributed under the terms and conditions of the Creative Commons Attribution (CC BY) license (https://creativecommons.org/licenses/by/4.0/).
Share and Cite
Tagliari, A.P.; Petersen Saadi, R.; Medronha, E.F.; Keller Saadi, E. The Use of BASILICA Technique to Prevent Coronary Obstruction in a TAVI-TAVI Procedure. J. Clin. Med. 2021, 10, 5534. https://doi.org/10.3390/jcm10235534
Tagliari AP, Petersen Saadi R, Medronha EF, Keller Saadi E. The Use of BASILICA Technique to Prevent Coronary Obstruction in a TAVI-TAVI Procedure. Journal of Clinical Medicine. 2021; 10(23):5534. https://doi.org/10.3390/jcm10235534
Chicago/Turabian StyleTagliari, Ana Paula, Rodrigo Petersen Saadi, Eduardo Ferreira Medronha, and Eduardo Keller Saadi. 2021. "The Use of BASILICA Technique to Prevent Coronary Obstruction in a TAVI-TAVI Procedure" Journal of Clinical Medicine 10, no. 23: 5534. https://doi.org/10.3390/jcm10235534
APA StyleTagliari, A. P., Petersen Saadi, R., Medronha, E. F., & Keller Saadi, E. (2021). The Use of BASILICA Technique to Prevent Coronary Obstruction in a TAVI-TAVI Procedure. Journal of Clinical Medicine, 10(23), 5534. https://doi.org/10.3390/jcm10235534

