Transcatheter Arterial Embolization in Acute Non-Variceal Gastrointestinal Bleedings: A Ten-Year Single-Center Experience in 91 Patients and Review of the Literature
Abstract
:1. Introduction
2. Materials and Methods
2.1. Patient Selection and Study Design
2.2. Endpoints
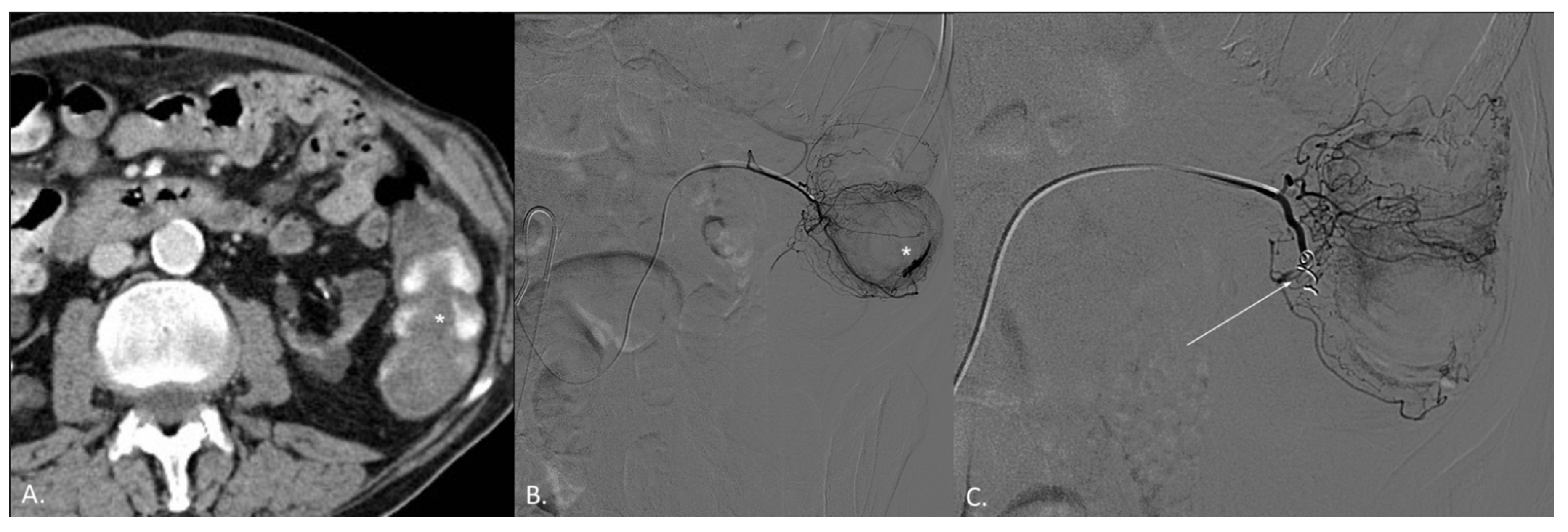
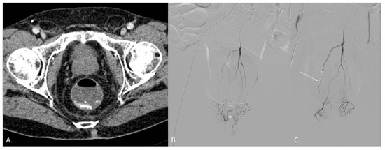
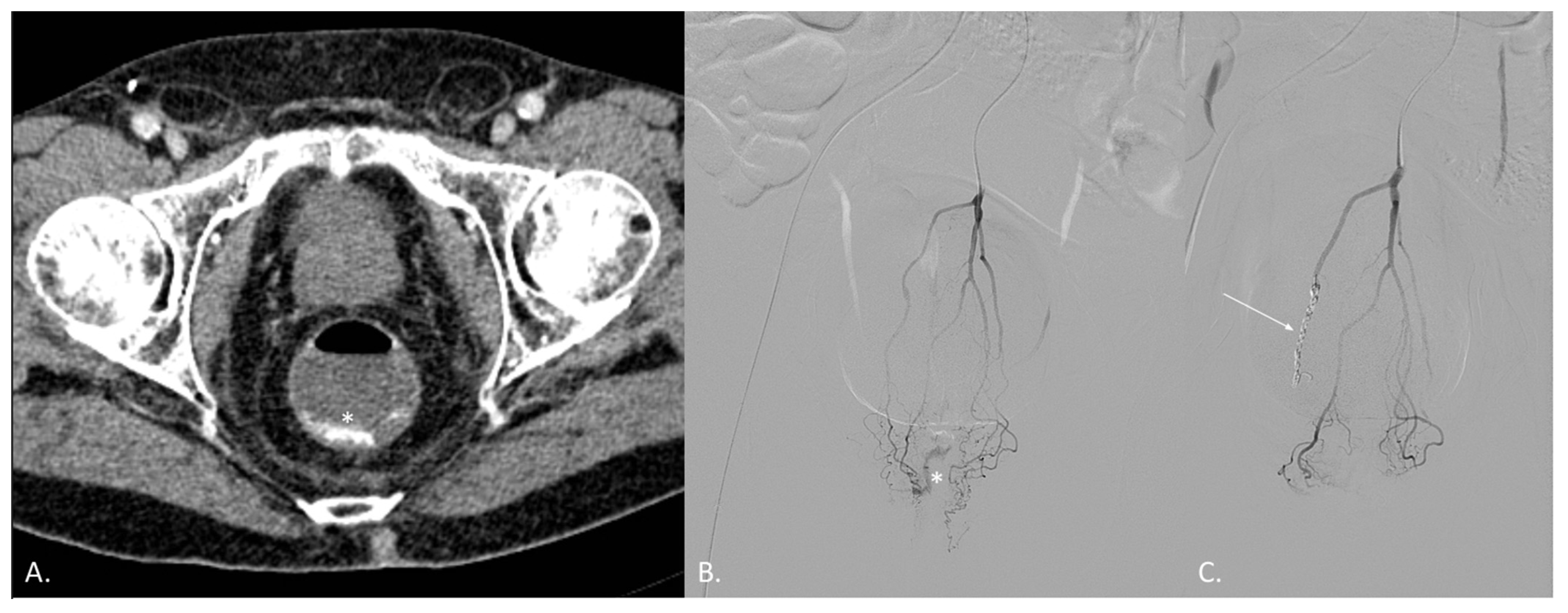
2.3. Angiography and Embolization Procedure
2.4. Outcomes Measures
3. Results
3.1. Outcomes
3.2. Periprocedural Complications
4. Discussion
5. Conclusions
Author Contributions
Funding
Institutional Review Board Statement
Informed Consent Statement
Data Availability Statement
Conflicts of Interest
References
- Artigas, J.; Martí, M.; Soto, J.A.; Esteban, H.; Pinilla, I.; Guillén, E. Multidetector CT Angiography for Acute Gastrointestinal Bleeding: Technique and Findings. RadioGraphics 2013, 33, 1453–1470. [Google Scholar] [CrossRef] [Green Version]
- Muhammad, A.; Awais, M.; Sayani, R.; Saeed, M.A.; Qamar, S.; Rehman, A.; Baloch, N.U. Empiric Transcatheter Arterial Embolization for Massive or Recurrent Gastrointestinal Bleeding: Ten-year Experience from a Single Tertiary Care Center. Cureus 2019, 11, e4228. [Google Scholar] [CrossRef] [PubMed] [Green Version]
- Lee, E.; Laberge, J.M. Differential Diagnosis of Gastrointestinal Bleeding. Tech. Vasc. Interv. Radiol. 2004, 7, 112–122. [Google Scholar] [CrossRef]
- Shi, Z.X.; Yang, J.; Liang, H.W.; Cai, Z.H.; Bai, B. Emergency Transcatheter Arterial Embolization for Massive Gastrointestinal Arterial Hemorrhage. Medicine 2017, 96, e9437. [Google Scholar] [CrossRef] [PubMed]
- Angeli, E.; Vanzulli, A.; Venturini, M.; Zoccai, G.B.; Del Maschio, A. The Role of Radiology in the Diagnosis and Management of Takayasu’s Arteritis. J. Nephrol. 2001, 14, 514–524. [Google Scholar]
- Wilkins, T.; Wheeler, B.; Carpenter, M. Upper Gastrointestinal Bleeding in Adults: Evaluation and Management. Am. Fam. Physician J. 2020, 101, 294–300. [Google Scholar]
- Xu, M.; Zhu, X.; Liu, Y.; Li, Z.; An, T.; Jiang, T.; Song, J.; Wang, L.; Zhou, S.; Ni, C. Embolization of Arterial Gastrointestinal Hemorrhage with Fuaile Medical Adhesive. J. Chin. Med Assoc. 2018, 81, 636–642. [Google Scholar] [CrossRef] [PubMed]
- Laing, C.J.; Tobias, T.; Rosenblum, D.I.; Banker, W.L.; Tseng, L.; Tamarkin, S.W. Acute Gastrointestinal Bleeding: Emerging Role of Multidetector CT Angiography and Review of Current Imaging Techniques. RadioGraphics 2007, 27, 1055–1070. [Google Scholar] [CrossRef]
- Triantafyllou, K.; Gkolfakis, P.; Gralnek, I.M.; Oakland, K.; Manes, G.; Radaelli, F.; Awadie, H.; Duboc, M.C.; Christodoulou, D.; Fedorov, E.; et al. Diagnosis and Management of Acute Lower Gastrointestinal Bleeding: European Society of Gastrointestinal Endoscopy (ESGE) Guideline. Endoscopy 2021, 53, 850–868. [Google Scholar]
- Strate, L.L.; Gralnek, I.M. ACG Clinical Guideline: Management of Patients with Acute Lower Gastrointestinal Bleeding. Am. J. Gastroenterol. 2016, 111, 459–474. [Google Scholar] [CrossRef] [Green Version]
- Strate, L.L.; Naumann, C.R. The Role of Colonoscopy and Radiological Procedures in the Management of Acute Lower Intestinal Bleeding. Clin. Gastroenterol. Hepatol. 2010, 8, 333–343. [Google Scholar] [CrossRef]
- Frattaroli, F.M.; Casciani, E.; Spoletini, D.; Polettini, E.; Nunziale, A.; Bertini, L.; Vestri, A.; Gualdi, G.; Pappalardo, G. Prospective Study Comparing Multi-Detector Row CT and Endoscopy in Acute Gastrointestinal Bleeding. World J. Surg. 2009, 33, 2209–2217. [Google Scholar] [CrossRef]
- Loffroy, R.; Rao, P.; Ota, S.; De Lin, M.; Kwak, B.-K.; Geschwind, J.-F. Embolization of Acute Nonvariceal Upper Gastrointestinal Hemorrhage Resistant to Endoscopic Treatment: Results and Predictors of Recurrent Bleeding. Cardiovasc. Interv. Radiol. 2010, 33, 1088–1100. [Google Scholar] [CrossRef]
- Loffroy, R. Management of Nonvariceal Upper Gastrointestinal Bleeding Resistant to Endocopic Hemostasis. Eur. J. Gastroenterol. Hepatol. 2013, 25, 118. [Google Scholar] [CrossRef] [PubMed]
- Wong, T.C.; Wong, K.-T.; Chiu, P.; Teoh, A.Y.; Yu, S.; Au, K.W.; Lau, J.Y. A Comparison of Angiographic Embolization with Surgery after Failed Endoscopic Hemostasis to Bleeding Peptic Ulcers. Gastrointest. Endosc. 2011, 73, 900–908. [Google Scholar] [CrossRef] [PubMed]
- Walker, T.G.; Salazar, G.M.; Waltman, A.C. Angiographic Evaluation and Management of Acute Gastrointestinal Hemorrhage. World J. Gastroenterol. 2012, 18, 1191–1201. [Google Scholar] [CrossRef] [PubMed]
- Hawks, M.K.; Svarverud, J.E. Acute Lower Gastrointestinal Bleeding: Evaluation and Management. Am. Fam. Physician 2020, 101, 206–212. [Google Scholar]
- Kim, Y.S.; Kwon, J.H.; Han, K.; Kim, M.-D.; Lee, J.; Kim, G.M.; Won, J.Y. Superselective Transcatheter Arterial Embolization for Acute Small Bowel Bleeding: Clinical Outcomes and Prognostic Factors for Ischemic Complications. Acta Radiol. 2020, 62, 574–583. [Google Scholar] [CrossRef] [PubMed]
- Numoto, I.; Tsurusaki, M.; Oda, T.; Yagyu, Y.; Ishii, K.; Murakami, T. Transcatheter Arterial Embolization Treatment for Bleeding Visceral Artery Pseudoaneurysms in Patients with Pancreatitis or following Pancreatic Surgery. Cancers 2020, 12, 2733. [Google Scholar] [CrossRef] [PubMed]
- Lee, C.-W.; Liu, K.-L.; Wang, H.-P.; Chen, S.-J.; Tsang, Y.-M.; Liu, H.-M. Transcatheter Arterial Embolization of Acute Upper Gastrointestinal Tract Bleeding with N-Butyl-2-Cyanoacrylate. J. Vasc. Interv. Radiol. 2007, 18, 209–216. [Google Scholar] [CrossRef]
- Kodani, M.; Yata, S.; Ohuchi, Y.; Ihaya, T.; Kaminou, T.; Ogawa, T. Safety and Risk of Superselective Transcatheter Arterial Embolization for Acute Lower Gastrointestinal Hemorrhage with N-Butyl Cyanoacrylate: Angiographic and Colonoscopic Evaluation. J. Vasc. Interv. Radiol. 2016, 27, 824–830. [Google Scholar] [CrossRef] [Green Version]
- Alrashidi, I.; Kim, T.-H.; Shin, J.H.; Alreshidi, M.; Park, M.; Jang, E.B. Efficacy and Safety of Transcatheter Arterial Embolization for Active Arterial Esophageal Bleeding: A Single-Center Experience. Diagn. Interv. Radiol. 2021, 27, 519–523. [Google Scholar] [CrossRef]
- Kinoshita, M.; Kondo, H.; Hitomi, S.; Hara, T.; Zako, R.; Yamamoto, M.; Hiraoka, J.; Takaoka, Y.; Enomoto, H.; Matsunaga, N.; et al. Ultraselective Transcatheter Arterial Embolization with Small-Sized Microcoils for Acute Lower Gastrointestinal Bleeding. CVIR Endovasc. 2021, 4, 1–8. [Google Scholar] [CrossRef]
- Larssen, L.; Moger, T.; Bjørnbeth, B.A.; Lygren, I.; Kløw, N.-E. Transcatheter Arterial Embolization in the Management of Bleeding Duodenal Ulcers: A 5.5-Year Retrospective Study of Treatment and Outcome. Scand. J. Gastroenterol. 2008, 43, 217–222. [Google Scholar] [CrossRef]
- Chatani, S.; Inoue, A.; Ohta, S.; Takaki, K.; Sato, S.; Iwai, T.; Murakami, Y.; Watanabe, S.; Sonoda, A.; Nitta, N.; et al. Transcatheter Arterial Embolization for Postoperative Bleeding Following Abdominal Surgery. Cardiovasc. Interv. Radiol. 2018, 41, 1346–1355. [Google Scholar] [CrossRef]
- Griffiths, E.A.; McDonald, C.R.; Bryant, R.V.; Devitt, P.G.; Bright, T.; Holloway, R.H.; Thompson, S.K. Retrospective Analysis of Surgery and Trans-Arterial Embolization for Major Non-Variceal Upper Gastrointestinal Bleeding. ANZ J. Surg. 2014, 86, 381–385. [Google Scholar] [CrossRef]
- Hur, S.; Jae, H.J.; Lee, M.; Kim, H.-C.; Chung, J.W. Safety and Efficacy of Transcatheter Arterial Embolization for Lower Gastrointestinal Bleeding: A Single-center Experience with 112 Patients. J. Vasc. Interv. Radiol. 2014, 25, 10–19. [Google Scholar] [CrossRef] [PubMed]
- Angle, J.F.; Siddiqi, N.H.; Wallace, M.J.; Kundu, S.; Stokes, L.; Wojak, J.C.; Cardella, J.F. Quality Improvement Guidelines for Percutaneous Transcatheter Embolization: Society of Interventional Radiology Standards of Practice Committee. J. Vasc. Interv. Radiol. 2010, 21, 1479–1486. [Google Scholar] [CrossRef] [PubMed]
- Soto, J.A.; Park, S.H.; Fletcher, J.G.; Fidler, J.L. Gastrointestinal Hemorrhage: Evaluation with MDCT. Abdom. Imaging 2015, 40, 993–1009. [Google Scholar] [CrossRef] [PubMed]
- Geffroy, Y.; Rodallec, M.H.; Boulay-Coletta, I.; Jullès, M.-C.; Ridereau-Zins, C.; Zins, M. Multidetector CT Angiography in Acute Gastrointestinal Bleeding: Why, When, and How. RadioGraphics 2011, 31, E35–E46. [Google Scholar] [CrossRef]
- Boskoski, I.; Familiari, P.; Costamagna, G. New and Emerging Endoscopic Therapies for Gastrointestinal Bleeding. Curr. Opin. Gastroenterol. 2014, 30, 439–443. [Google Scholar] [CrossRef] [PubMed]
- Park, S.; Jeong, B.; Shin, J.H.; Jang, E.H.; Hwang, J.H.; Kim, J.H. Transarterial Embolisation for Gastroduodenal Bleeding Following Endoscopic Resection. Br. J. Radiol. 2021, 94, 20210062. [Google Scholar] [CrossRef]
- Hermie, L.; Dhondt, E.; Vanlangenhove, P.; De Waele, J.; Degroote, H.; Defreyne, L. Empiric Cone-Beam CT-Guided Embolization in Acute Lower Gastrointestinal Bleeding. Eur. Radiol. 2020, 31, 2161–2172. [Google Scholar] [CrossRef]
- Bua-Ngam, C.; Norasetsingh, J.; Treesit, T.; Wedsart, B.; Chansanti, O.; Tapaneeyakorn, J.; Panpikoon, T.; Vallibhakara, S.-O. Efficacy of Emergency Transarterial Embolization in Acute Lower Gastrointestinal Bleeding: A Single-Center Experience. Diagn. Interv. Imaging 2017, 98, 499–505. [Google Scholar] [CrossRef]
- Kaminskis, A.; Kratovska, A.; Ponomarjova, S.; Tolstova, A.; Mukans, M.; Stabiņa, S.; Gailums, R.; Bernšteins, A.; Ivanova, P.; Boka, V.; et al. Preventive Transarterial Embolization in Upper Nonvariceal Gastrointestinal Bleeding. World J. Emerg. Surg. 2017, 12, 3. [Google Scholar] [CrossRef] [Green Version]
- Hongsakul, K.; Pakdeejit, S.; Tanutit, P. Outcome and Predictive Factors of Successful Transarterial Embolization for the Treatment of Acute Gastrointestinal Hemorrhage. Acta Radiol. 2014, 55, 186–194. [Google Scholar] [CrossRef] [PubMed]
- Anil, G.; Tan, A.; Cheong, H.-W.; Ng, K.-S.; Teoh, W.-C. Emergency gastroduodenal Artery Embolization by Sandwich Technique for Angiographically Obvious and Oblivious, Endotherapy Failed Bleeding Duodenal Ulcers. Clin. Radiol. 2012, 67, 468–475. [Google Scholar] [CrossRef]
- Köhler, G.; Koch, O.O.; Antoniou, S.A.; Mayer, F.; Lechner, M.; Pallwein-Prettner, L.; Emmanuel, K. Relevance of Surgery after Embolization of Gastrointestinal and Abdominal Hemorrhage. World J. Surg. 2014, 38, 2258–2266. [Google Scholar] [CrossRef]
- Rossetti, A.; Buchs, N.C.; Breguet, R.; Bucher, P.; Terraz, S.; Morel, P. Transarterial Embolization in Acute Colonic Bleeding: Review of 11 Years of Experience and Long-Term Results. Int. J. Color. Dis. 2012, 28, 777–782. [Google Scholar] [CrossRef]
- Loffroy, R.; Guiu, B.; D’Athis, P.; Mezzetta, L.; Gagnaire, A.; Jouve, J.; Ortega-Deballon, P.; Cheynel, N.; Cercueil, J.P.; Krausé, D. Arterial Embolotherapy for Endoscopically Unmanageable Acute Gastroduodenal Hemorrhage: Predictors of Early Rebleeding. Clin. Gastroenterol. Hepatol. 2009, 7, 515–523. [Google Scholar] [CrossRef] [PubMed]
- Aina, R.; Oliva, V.L.; Therasse, E.; Perreault, P.; Bui, B.T.; Dufresne, M.-P.; Soulez, G. Arterial Embolotherapy for Upper Gastrointestinal Hemorrhage: Outcome Assessment. J. Vasc. Interv. Radiol. 2001, 12, 195–200. [Google Scholar] [CrossRef]
- Götz, M.; Anders, M.; Schilling, D.; Tacke, F.; Zipprich, A.; Trebicka, J.; Biecker, E.; Bojarski, C.; Braun, G.; Brechmann, T.; et al. S2k-Leitlinie Gastrointestinale Blutung. Z Gastroenterol. 2017, 55, 883–936. [Google Scholar] [CrossRef] [Green Version]
- Loffroy, R.; Favelier, S.; Pottecher, P.; Estivalet, L.; Genson, P.; Gehin, S.; Cercueil, J.; Krausé, D. Transcatheter Arterial Embolization for Acute Nonvariceal Upper Gastrointestinal Bleeding: Indications, Techniques and Outcomes. Diagn. Interv. Imaging 2015, 96, 731–744. [Google Scholar] [CrossRef] [Green Version]
- Eriksson, L.-G.; Ljungdahl, M.; Sundbom, M.; Nyman, R. Transcatheter Arterial Embolization versus Surgery in the Treatment of Upper Gastrointestinal Bleeding after Therapeutic Endoscopy Failure. J. Vasc. Interv. Radiol. 2008, 19, 1413–1418. [Google Scholar] [CrossRef] [PubMed]
- Poultsides, G.A.; Kim, C.J.; Orlando, R.; Peros, G.; Hallisey, M.J.; Vignati, P.V. Angiographic Embolization for Gastroduodenal Hemorrhage. Arch. Surg. 2008, 143, 457–461. [Google Scholar] [CrossRef] [PubMed] [Green Version]
- Huang, Y.-S.; Chang, C.-C.; Liou, J.-M.; Jaw, F.-S.; Liu, K.-L. Transcatheter Arterial Embolization with N-Butyl Cyanoacrylate for Nonvariceal Upper Gastrointestinal Bleeding in Hemodynamically Unstable Patients: Results and Predictors of Clinical Outcomes. J. Vasc. Interv. Radiol. 2014, 25, 1850–1857. [Google Scholar] [CrossRef]
- Kwon, J.H.; Kim, M.-D.; Han, K.; Choi, W.; Kim, Y.S.; Lee, J.; Kim, G.M.; Won, J.Y.; Lee, Y. Transcatheter Arterial Embolisation for Acute Lower Gastrointestinal Haemorrhage: A Single-Centre Study. Eur. Radiol. 2018, 29, 57–67. [Google Scholar] [CrossRef] [PubMed]
- Barnert, J.; Messmann, H. Diagnosis and management of lower gastrointestinal bleeding. Nat. Rev. Gastroenterol. Hepatol. 2009, 6, 637–646. [Google Scholar] [CrossRef] [PubMed]
- Augustin, A.M.; Fluck, F.; Bley, T.; Kickuth, R. Endovascular Therapy of Gastrointestinal Bleeding. Rofo 2019, 191, 1073–1082. [Google Scholar] [CrossRef] [Green Version]
- Shin, J.H. Recent Update of Embolization of Upper Gastrointestinal Tract Bleeding. Korean, J. Radiol. 2012, 13, S31–S39. [Google Scholar] [CrossRef] [Green Version]
- Acute Lower Gastrointestinal Bleeding. Available online: https://www.ncbi.nlm.nih.gov/pmc/articles/PMC3577586/ (accessed on 12 July 2021).
- DeBarros, J.; Rosas, L.; Cohen, J.; Vignati, P.; Sardella, W.; Hallisey, M. The Changing Paradigm for the Treatment of Colonic Hemorrhage. Dis. Colon Rectum 2002, 45, 802–808. [Google Scholar] [CrossRef] [PubMed]
- Koo, H.J.; Shin, J.H.; Kim, H.J.; Kim, J.; Yoon, H.-K.; Ko, G.-Y.; Gwon, N.I. Clinical Outcome of Transcatheter Arterial Embolization with N -Butyl-2-Cyanoacrylate for Control of Acute Gastrointestinal Tract Bleeding. Am. J. Roentgenol. 2015, 204, 662–668. [Google Scholar] [CrossRef] [PubMed] [Green Version]
- Venturini, M.; Lanza, C.; Marra, P.; Colarieti, A.; Panzeri, M.; Augello, L.; Gusmini, S.; Salvioni, M.; De Cobelli, F.; Del Maschio, A. Transcatheter embolization with Squid, combined with other embolic agents or alone, in different abdominal diseases: A single-center experience in 30 patients. CVIR Endovasc. 2019, 2, 8. [Google Scholar] [CrossRef] [PubMed] [Green Version]
- Urbano, J.; Cabrera, J.M.; Franco, A.; Alonso-Burgos, A. Selective Arterial Embolization with Ethylene–Vinyl Alcohol Copolymer for Control of Massive Lower Gastrointestinal Bleeding: Feasibility and Initial Experience. J. Vasc. Interv. Radiol. 2014, 25, 839–846. [Google Scholar] [CrossRef] [PubMed]



| Vessel Involved | LGA | GDA | SMA | IMA |
|---|---|---|---|---|
| cases | 7 | 36 | 30 | 18 |
| Sex | ||||
| Female | 4 | 15 | 9 | 11 |
| Men | 3 | 21 | 21 | 7 |
| Etiology | ||||
| Angiodysplasia | \ | 3 | 10 | 7 |
| Diverticular disease | \ | 4 | 5 | 4 |
| Undetermined | 2 | 3 | 4 | 4 |
| Post-Traumatic | \ | 2 | \ | \ |
| Duodenal Ulcer | \ | 12 | 3 | \ |
| Gastric Ulcer | \ | 3 | 2 | \ |
| Pancreatitis | 3 | 3 | 3 | \ |
| Iatrogenic | \ | 1 | \ | 3 |
| Malignancy | 2 | 5 | 3 | \ |
| Preliminary CTA | ||||
| Positive | 6 | 25 | 19 | 11 |
| Negative | 1 | 6 | 2 | 2 |
| Not performed | \ | 5 | 9 | 5 |
| Endoscopy | 2 | 10 | 7 | 2 |
| Embolic agents | ||||
| Coils | 2 | 25 | 12 | 13 |
| Coils + other embolic agent | 3 | 8 | 15 | 4 |
| Glue | \ | 1 | \ | \ |
| EVOH agents | 2 | 2 | 1 | 1 |
| Microparticles | \ | \ | 2 | \ |
| Re-bleeding | 2 | 7 | 6 | 2 |
| Author | Journal | Year | Number of Patients | UGIB | LGIB | Embolizing Agents | Technical Success (%) | Clinical Success |
|---|---|---|---|---|---|---|---|---|
| Muhammad et al. [2] | Cureus | 2018 | 32 | X | X | Coils + other embolic agents | 96.9 | 71.9 |
| Shi et al. [4] | Medicine | 2017 | 88 | X | X | Coils + other embolic agents | 100 | 84.7 |
| Park et al. [32] | BJR | 2021 | 15 | X | - | Coils + other embolic agents | 93.3 | 93.3 |
| Hermie et al. [33] | Eur Radiol | 2020 | 85 | - | X | Coils + other embolic agents | 100 | not reported |
| Bua-ngam et al. [34] | Interv imaging | 2017 | 38 | - | X | Coils + other embolic agents | 92 | 63 |
| Kaminskis et al. [35] | World J Emerg Surg | 2017 | 25 | X | - | Coils | not reported | not reported |
| Hongsakul et al. [36] | Acta Radiol | 2014 | 70 | X | - | Coils + other embolic agents | 98.6 | 71.4 |
| Anil et al. [37] | Clin Radiol | 2012 | 15 | X | - | Coils | 100 | 86.6 |
| Kohler et al. [38] | World J Surg | 2014 | 54 | X | X | Coils + other agents | 100 | 81.8 |
| Griffiths et al. [26] | ANZ J Surg | 2016 | 103 | X | - | Coils + other agents | 92 | not reported |
| Rossetti et al. [39] | Int J Colorectal Dis | 2013 | 24 | - | X | Coils + other agents | 100 | 95.8 |
| Hur et al. [27] | JVIR | 2014 | 112 | - | X | Coils + other agents | 96.4 | 74.5 |
| Loffroy et al. [40] | Clin Gastroenterol Hepatol | 2009 | 60 | X | - | Coils + other agents | 95 | 71.9 |
Publisher’s Note: MDPI stays neutral with regard to jurisdictional claims in published maps and institutional affiliations. |
© 2021 by the authors. Licensee MDPI, Basel, Switzerland. This article is an open access article distributed under the terms and conditions of the Creative Commons Attribution (CC BY) license (https://creativecommons.org/licenses/by/4.0/).
Share and Cite
Fontana, F.; Piacentino, F.; Ossola, C.; Coppola, A.; Curti, M.; Macchi, E.; De Marchi, G.; Floridi, C.; Ierardi, A.M.; Carrafiello, G.; et al. Transcatheter Arterial Embolization in Acute Non-Variceal Gastrointestinal Bleedings: A Ten-Year Single-Center Experience in 91 Patients and Review of the Literature. J. Clin. Med. 2021, 10, 4979. https://doi.org/10.3390/jcm10214979
Fontana F, Piacentino F, Ossola C, Coppola A, Curti M, Macchi E, De Marchi G, Floridi C, Ierardi AM, Carrafiello G, et al. Transcatheter Arterial Embolization in Acute Non-Variceal Gastrointestinal Bleedings: A Ten-Year Single-Center Experience in 91 Patients and Review of the Literature. Journal of Clinical Medicine. 2021; 10(21):4979. https://doi.org/10.3390/jcm10214979
Chicago/Turabian StyleFontana, Federico, Filippo Piacentino, Christian Ossola, Andrea Coppola, Marco Curti, Edoardo Macchi, Giuseppe De Marchi, Chiara Floridi, Anna Maria Ierardi, Gianpaolo Carrafiello, and et al. 2021. "Transcatheter Arterial Embolization in Acute Non-Variceal Gastrointestinal Bleedings: A Ten-Year Single-Center Experience in 91 Patients and Review of the Literature" Journal of Clinical Medicine 10, no. 21: 4979. https://doi.org/10.3390/jcm10214979
APA StyleFontana, F., Piacentino, F., Ossola, C., Coppola, A., Curti, M., Macchi, E., De Marchi, G., Floridi, C., Ierardi, A. M., Carrafiello, G., Segato, S., Carcano, G., & Venturini, M. (2021). Transcatheter Arterial Embolization in Acute Non-Variceal Gastrointestinal Bleedings: A Ten-Year Single-Center Experience in 91 Patients and Review of the Literature. Journal of Clinical Medicine, 10(21), 4979. https://doi.org/10.3390/jcm10214979

