Liver Transplantation for Biliary Atresia in Adulthood: Single-Centre Surgical Experience
Abstract
1. Introduction
2. Materials and Methods
2.1. Study Population
2.2. Recipient Characteristics
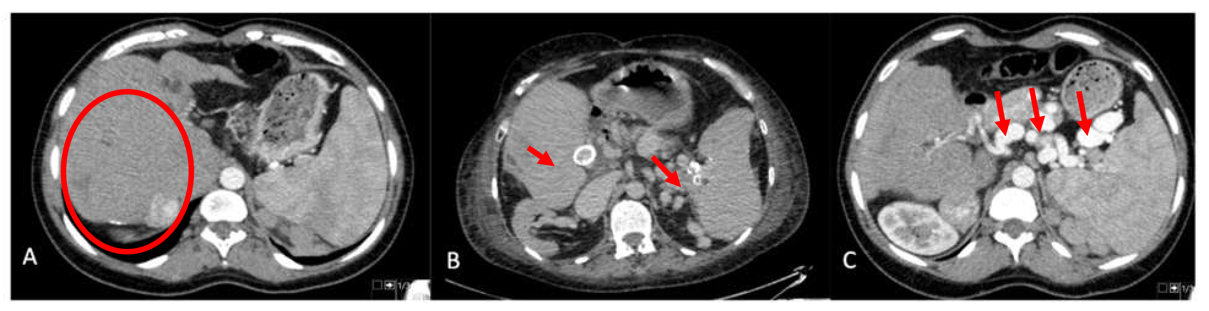
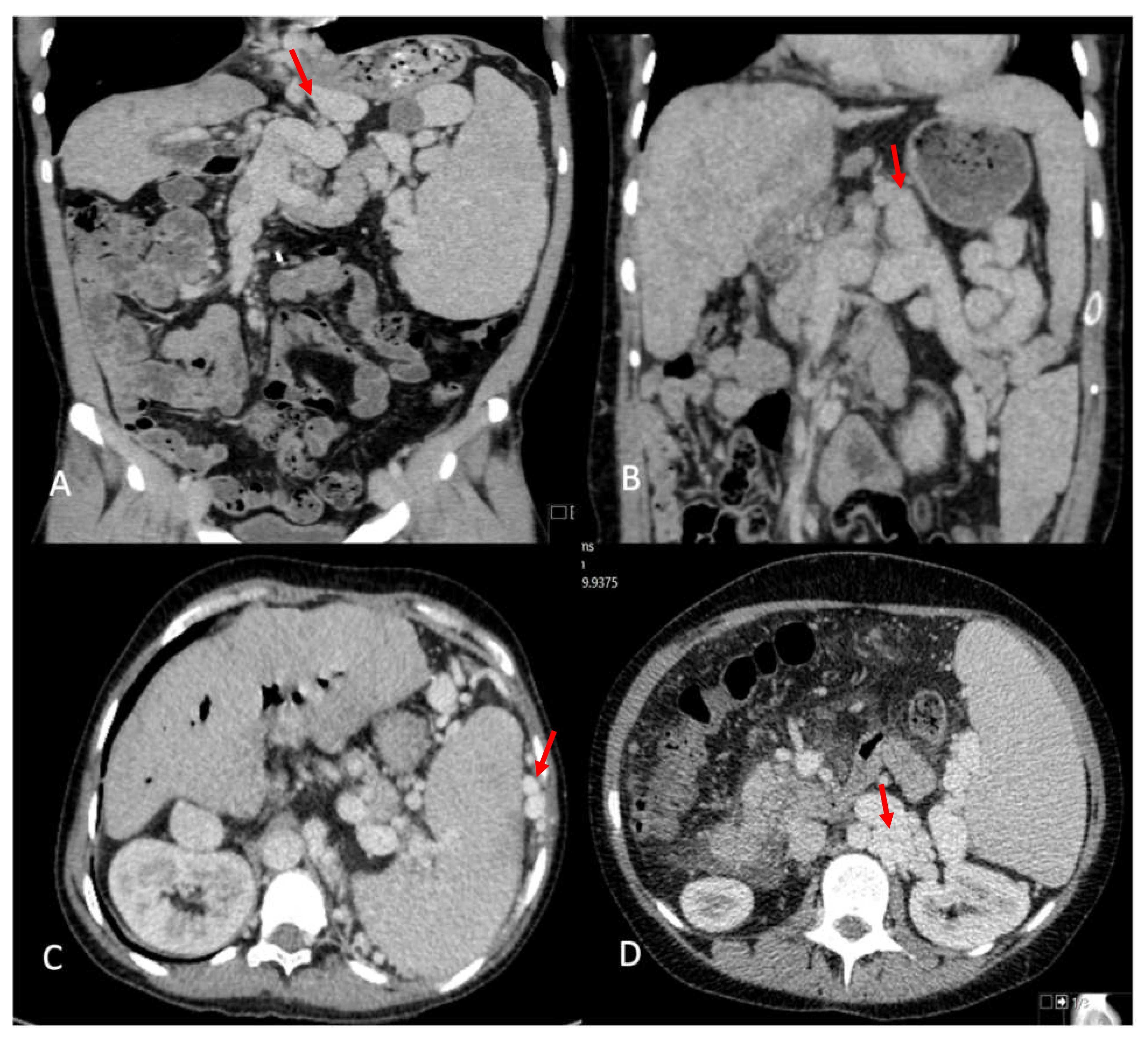
2.3. Imaging Assessment
2.4. Postoperative Care and Follow-Up
2.5. Statistical Analysis
3. Results
3.1. Recipients
3.2. Donor
3.3. Imaging Findings
3.4. Surgical Events
3.5. Postoperative Course
4. Discussion
Author Contributions
Funding
Institutional Review Board Statement
Informed Consent Statement
Data Availability Statement
Acknowledgments
Conflicts of Interest
Abbreviations
| BA | biliary atresia |
| BMI | body mass index |
| CIT | cold ischaemia time |
| CT | computed tomography |
| DBD | donors after brain death |
| DCD | donors after circulatory death |
| EAD | early allograft dysfunction |
| HCC | hepatocellular carcinoma |
| HE | hepatic encephalopathy |
| HA | hepatic artery |
| HAA | hepatic artery aneurysm |
| HPS | hepato-pulmonary syndrome |
| ICU | intensive care unit |
| KPE | Kasai portoenterostomy |
| LDLT | living donor |
| LL | left lobe |
| LT | liver transplantation |
| MELD | model for end-stage liver disease |
| PHT | portal hypertension |
| PV | portal vein |
| PVT | portal vein thrombosis |
| RI | resistance index |
| RL | right lobe |
| SA | splenic artery |
| SAA | splenic artery aneurisms |
| SASS | splenic artery steal syndrome |
| sPSS | spontaneous portosystemic shunts |
| US | ultrasound |
References
- Davenport, M.; Ure, B.M.; Petersen, C.; Kobayashi, H. Surgery for biliary atresia-is there a European consensus? Eur. J. Pediatr. Surg. 2007, 17, 180–183. [Google Scholar] [CrossRef] [PubMed]
- Sokol, R.; Mack, C.; Narkewicz, M.; Karrer, F. Pathogenesis and outcome of biliary atresia: Current concepts. J. Pediatr. Gastroenterol. 2003, 37, 4–21. [Google Scholar] [CrossRef] [PubMed]
- Livesey, E.; Borja, M.C.; Sharif, K.; Alizai, N.; McClean, P.; Kelly, D.; Hadzic, N.; Davenport, M. Epidemiology of biliary atresia in England and Wales (1999–2006). Arch. Dis. Child. Fetal Neonatal Ed. 2009, 94, F451–F455. [Google Scholar] [CrossRef]
- Qiao, G.; Li, L.; Cheng, W.; Zhang, Z.; Ge, J.; Wang, C. Conditional probability of survival in patients with biliary atresia after Kasai portoenterostomy: A Chinese population-based study. J. Pediatr. Surg. 2015, 50, 1310–1315. [Google Scholar] [CrossRef] [PubMed]
- Kasai, M.; Kimura, S.; Asakura, Y.; Suzuki, H.; Taira, Y.; Ohashi, E. Surgical treatment of biliary atresia. J. Pediatr. Surg. 1968, 3, 655–675. [Google Scholar] [CrossRef]
- Hung, P.Y.; Chen, C.C.; Chen, W.J.; Lai, H.S.; Hsu, W.M.; Lee, P.H.; Ho, M.C.; Chen, T.H.; Ni, Y.H.; Chen, H.L.; et al. Long-term prognosis of patients with biliary atresia: A 25-year-summary. J. Pediatr. Gastroenterol. Nutr. 2006, 42, 190–195. [Google Scholar] [CrossRef] [PubMed]
- Bijl, E.; Bharwani, K.; Houwen, R.; de Man, R. The long-term outcome of the Kasai operation in patients with biliary atresia: A systematic review. Neth. J. Med. 2013, 71, 170–173. [Google Scholar] [PubMed]
- Samyn, M.; Davenport, M.; Jain, V.; Hadzic, N.; Joshi, D.; Heneghan, M.; Dhawan, A.; Heaton, N. Young People With Biliary Atresia Requiring Liver Transplantation: A Distinct Population Requiring Specialist Care. Transplantation 2019, 103, e99–e107. [Google Scholar] [CrossRef] [PubMed]
- Uchida, Y.; Kasahara, M.; Egawa, H.; Takada, Y.; Ogawa, K.; Ogura, Y.; Uryuhara, K.; Morioka, D.; Sakamoto, S.; Inomata, Y. Long-term outcome of adult-to-adult living donor liver transplantation for post-Kasai biliary atresia. Am. J. Transpl. 2006, 6, 2443–2448. [Google Scholar] [CrossRef] [PubMed]
- Barber, K.; Madden, S.; Allen, J.; Collet, D.; Neuberger, J.; Jimson, A. United Kingdom Liver Transplant Selection and Allocation Working Party. Elective liver transplant list mortality: Development of a United Kingdom end-stage liver disease score. Transplantation 2011, 92, 469–476. [Google Scholar] [CrossRef]
- Diem, H.V.; Evrard, V.; Vinh, H.T.; Sokal, E.M.; Janssen, M.; Otte, J.B.; Reding, R. Pediatric liver transplantation for biliary atresia: Results of primary grafts in 328 recipients. Transplantation 2003, 75, 1692–1697. [Google Scholar] [CrossRef] [PubMed]
- Neto, J.S.; Feier, F.H.; Bierrenbach, A.L.; Toscano, C.M.; Fonseca, E.A.; Pugliese, R.; Candido, H.L.; Benavides, M.R.; Porta, G.; Chapchap, P. Impact of Kasai portoenterostomy on liver transplantation outcomes: A retrospective cohort study of 347 children with biliary atresia. Liver Transpl. 2015, 21, 922–927. [Google Scholar] [CrossRef] [PubMed]
- Superina, R. Biliary atresia and liver transplantation: Results and thoughts for primary liver transplantation in select patients. Pediatr. Surg. Int. 2017, 33, 1297–1304. [Google Scholar] [CrossRef]
- Neuberger, J.; Gimson, A.; Davies, M.; Akyol, M.; O’Grady, J.; Burroughs, A.; Hudson, M.; Blood, U.K. Selection of patients for liver transplantation and allocation of donated livers in the UK. Gut 2008, 57, 252–257. [Google Scholar] [CrossRef]
- Wiesner, R.; Edwards, E.; Freeman, R.; Harper, A.; Kim, R.; Kamath, P.; Kremers, W.; Lake, J.; Howard, T.; Merion, R.M. Model for end-stage liver disease (MELD) and allocation of donor livers. Gastroenterology 2003, 124, 91–96. [Google Scholar] [CrossRef] [PubMed]
- Pugh, R.; Murray-Lyon, I.; Dawson, J.; Pietroni, M.; Williams, R. Transection of the oesophagus for bleeding oesophageal varices. Br. J. Surg. 1973, 60, 646–649. [Google Scholar] [CrossRef] [PubMed]
- Pinto, S.; Reddy, S.; Horrow, M.; Ortiz, J. Splenic artery syndrome after orthotopic liver transplantation: A review. Int. J. Surg. 2014, 12, 1228–1234. [Google Scholar] [CrossRef] [PubMed]
- Bandali, M.F.; Mirakhur, A.; Lee, E.W.; Ferris, M.C.; Sadler, D.J.; Gray, R.R.; Wong, J.K. Portal hypertension: Imaging of portosystemic collateral pathways and associated image-guided therapy. World J. Gastroenterol. 2017, 23, 1735–1746. [Google Scholar] [CrossRef] [PubMed]
- Olthoff, K.M.; Kulik, L.; Samstein, B.; Kaminski, M.; Abecassis, M.; Emond, J.; Shaked, A.; Christie, J.D. Validation of a current definition of early allograft dysfunction in liver transplant recipients and analysis of risk factors. Liver Transpl. 2010, 16, 943–949. [Google Scholar] [CrossRef]
- Broelsch, C.; Emond, J.; Whichington, P.; Thistlethwaite, J.; Baker, A.; Lichtor, J. Application of reduced-size liver transplantation as split grafts, auxiliary orthotropic grafts and living related segmental transplants. Ann. Surg. 1990, 212, 368–375. [Google Scholar] [CrossRef]
- Starzl, T.E.; Giles, G.; Lilly, J.R.; Takagi, H.; Martineau, G.; Schroter, G.; Halgrimson, C.G.; Penn, I.; Putnam, C.W. Indications for ortho topic liver transplantation: With particular reference to hepatomas, biliary atresia, cirrhosis, Wilson’s disease and serum hepatitis. Transplant Proc. 1971, 3, 308–312. [Google Scholar] [PubMed]
- Esquivel, C.O.; Iwatsuki, S.; Gordon, R.D.; Marsh, W.W., Jr.; Koneru, B.; Makowka, L.; Tzakis, A.G.; Todo, S.; Starzl, T.E. Indications for pediatric liver transplantation. J. Pediatr. 1987, 111, 1039–1045. [Google Scholar] [CrossRef]
- Lykavieris, P.; Chardot, C.; Sokhn, M.; Gauthier, F.; Valayer, J.; Bernard, O. Outcome in adulthood of biliary atresia: A study of 63 patients who survived for over 20 years with their native liver. Hepatology 2005, 41, 366–371. [Google Scholar] [CrossRef] [PubMed]
- Nio, M.; Wada, M.; Sasaki, H.; Tanaka, H.; Okamura, A. Risk factors affecting late-presenting liver failure in adult patients with biliary atresia. J. Pediatr. Surg. 2012, 47, 2179–2183. [Google Scholar] [CrossRef] [PubMed]
- Azarow, K.; Phillips, M.; Sandler, A.; Hagerstrand, I.; Superina, R. Biliary atresia: Should all patients undergo a portoenterostomy? J. Pediatr. Surg. 1997, 32, 168–172. [Google Scholar] [CrossRef]
- Jain, V.; Burford, C.; Alexander, E.C.; Sutton, H.; Dhawan, A.; Joshi, D.; Davenport, M.; Heaton, N.; Hadzic, N.; Samyn, M. Prognostic markers at adolescence in patients Biliary Atresia for liver transplantation in adulthood. J. Hepatol. 2019, 71, 71–77. [Google Scholar] [CrossRef]
- Joshi, D.; Gupta, N.; Samyn, M.; Deheragoda, M.; Dobbels, F.; Heneghan, M. The management of childhood liver diseases in adulthood. J. Hepatol. 2017, 66, 631–644. [Google Scholar] [CrossRef] [PubMed]
- Ausania, F.; Al Shwely, F.; Farguell, J.; Beltrán, J.; Calatayud, D.; Sánchez-Cabús, S.; Ferrer, J.; Rull, R.; Fuster, J.; García-Valdecasas, J.C.; et al. Factors Associated with Prolonged Recipient Hepatectomy Time During Liver Transplantation: A Single-Centre Experience. World J. Surg. 2020, 44, 3486–3490. [Google Scholar] [CrossRef]
- Ebel, N.; Hsu, E.; Berry, K.; Horslen, S.; Ioannou, G. Disparities in waitlist and posttransplantation outcomes in liver transplant registrants and recipients 18-24 years old: Analysis of the UNOS database. Transplantation 2017, 7, 1616–1627. [Google Scholar] [CrossRef] [PubMed]
- Braun, M.; Bar-Nathan, N.; Shaharabani, E.; Aizner, S.; Tur-kaspa, R.; Belenky, A. Postshunt hepatic encephalopathy in liver transplant recipients. Transplantation 2009, 87, 734–739. [Google Scholar] [CrossRef]
- Tallon Aguilar, L.; Jimenez Riera, G.; Suarez Artacho, G.; Marin Gomez, L.; Serrano Diaz-Canedo, J.; Gomez Bravo, M. Post-transplantation portal thrombosis secondary to splenorenal shunt persistence. In Transplantation Proceedings; Elsevier: Amsterdam, The Netherlands, 2010; Volume 42, pp. 3169–3170. [Google Scholar]
- Gomez Gavara, C.; Bhangui, P.; Salloum, C.; Osseis, M.; Esposito, F.; Moussallem, T.; Lahat, E.; Fuentes, L.; Compagnon, P.; Ngongang, N.; et al. Ligation Versus No Ligation of Spontaneous Portosystemic Shunts During Liver Transplantation: Audit of a Prospective Series of 66 Consecutive Patients. Liver Transpl. 2018, 24, 505–515. [Google Scholar] [CrossRef] [PubMed]
- Kanazawa, H.; Sakamoto, S.; Fukuda, A.; Shigeta, T.; Loh, D.L.; Kakiuchi, T.; Karaki, C.; Miyazaki, O.; Nosaka, S.; Nakazawa, A.; et al. Portal vein reconstruction bin pediatric living donor liver transplantation for patients younger than 1 year with biliary atresia. J. Pediatr. Surg. 2012, 47, 523–527. [Google Scholar] [CrossRef] [PubMed]
- Zardi, E.M.; Uwechie, V.; Caccavo, D.; Pellegrino, N.M.; Cacciapaglia, F.; Di Matteo, F.; Dobrina, A.; Laghi, V.; Afeltra, A. Portosystemic shunts in a large cohort of patients with liver cirrhosis: Detection rate and clinical relevance. J. Gastroenterol. 2009, 44, 76–83. [Google Scholar] [CrossRef]
- Bhangui, P.; Lim, C.; Salloum, C.; Andreani, P.; Sebbagh, M.; Hoti, E.; Ichai, P.; Saliba, F.; Adam, R.; Castaing, D.; et al. Caval inflow to the graft for liver transplantation in patients with diffuse portal vein thrombosis: A 12-year experience. Ann. Surg. 2011, 254, 1008–1016. [Google Scholar] [CrossRef] [PubMed]
- Ohuchi, O.; Ohi, R.; Takahashi, T.; Kasai, M. Postoperative changes of intrahepatic portal veins in biliary atresia—A 3-D reconstruction study. J. Pediatric Surg. 1986, 21, 10–14. [Google Scholar] [CrossRef]
- Uchida, H.; Fukuda, A.; Masatoshi, M.; Sasaki, K.; Shigeta, T.; Kanazawa, H.; Nakazawa, A.; Miyazaki, O.; Nosaka, S.; Sakamoto, S.; et al. A central approach to splenorenal shunt in pediatric living donor liver transplantation. Pediatr. Transpl. 2015, 19, E142–E145. [Google Scholar] [CrossRef]
- Shaw, B.; Iwatsuki, S.; Bron, K.; Starzl, T. Portal vein grafts in hepatic transplantation. Surg. Gynecol. Obstet. 1985, 161, 66–68. [Google Scholar] [PubMed]
- Tzakis, A.; Todo, S.; Stieber, A.; Starzl, T. Venous jump grafts for liver transplantation in patients with portal vein thrombosis. Transplantation 1989, 48, 530–531. [Google Scholar] [CrossRef] [PubMed]
- Moon, D.B.; Lee, S.G.; Hwang, S.; Kim, K.H.; Ahn, C.S.; Ha, T.Y.; Song, G.W.; Jung, D.H.; Ko, G.Y.; Sung, K.B. Characteristics and management of Splenic Artery Aneurysms in Adult Living Donor Liver Transplant Recipients. Liver Transplant. 2009, 15, 1535–1545. [Google Scholar] [CrossRef] [PubMed]
- Ayalon, A.; Wiesner, R.; Perkins, J.; Tominaga, S.; Hayes, D.; Krom, R. Splenic artery aneurysm in liver transplant patients. Transplantation 1988, 45, 386–389. [Google Scholar] [CrossRef]
- Kóbori, L.; van der Kolk, M.J.; de Jong, K.P.; Peeters, P.M.; Klompmaker, I.J.; Kok, T.; Haagsma, E.B.; Slooff, M.J.; Group, L.T. Splenic artery aneurysms in liver transplant patients. J. Hepatol. 1997, 27, 890–893. [Google Scholar] [CrossRef]
- Manner, M.; Otto, G.; Senninger, T.; Kraus, T.; Goerich, C.; Herfarth, C. Arterial steal: An unusual cause for hepatic hypo perfusion after liver transplantation. Transpl. Int. 1991, 4, 122–124. [Google Scholar] [CrossRef]
- Stell, D.; Downey, D.; Marotta, P.; Solano, E.; Khakhar, A.; Quan, D.; Ghent, C.; McAlister, V.; Wall, W. Prospective evaluation of the role of quantitative doppler ultrasound surveillance in liver transplantation. Liver Transplant. 2004, 10, 1183–1188. [Google Scholar] [CrossRef] [PubMed]
- Costi, R.; Castro Ruiz, C.; Romboli, A.; Wind, P.; Violi, V.; Zarzavadjian Le Bian, A. Partial splenectomy: Who, when and how. A systematic review of the 2130 published cases. J. Pediatr. Surg. 2019, 54, 1527–1538. [Google Scholar] [CrossRef] [PubMed]
- Yoshizumi, T.; Itoh, S.; Shimokawa, M.; Inokuchi, S.; Harada, N.; Takeishi, K.; Mano, Y.; Yoshiya, S.; Kurihara, T.; Nagao, Y.; et al. Simultaneous splenectomy improves outcomes after adult living donor liver transplantation. J. Hepatol. 2021, 74, 372–379. [Google Scholar] [CrossRef] [PubMed]
- Nam, N.H.; Taura, K.; Yao, S.; Kaido, T.; Uemoto, Y.; Kimura, Y.; Anazawa, T.; Fukumitsu, K.; Ito, T.; Yagi, S.; et al. Pretransplantation splenomegaly frequently persists after liver transplantation and can manifest as hypersplenism and graft fibrosis-a retrospective study. Transpl. Int. 2020, 33, 1807–1820. [Google Scholar] [CrossRef]
- Yanagi, Y.; Matsuura, T.; Hayashida, M.; Takahashi, Y.; Yoshimaru, K.; Esumi, G.; Taguchi, T. Bowel perforation after liver transplantation for biliary atresia: A retrospective study of care in the transition from children to adulthood. Pediatr. Surg. Int. 2017, 33, 155–163. [Google Scholar] [CrossRef][Green Version]
- Melendez, H.V.; Vougas, V.; Muiesan, P.; Andreani, P.; Mieli-Vergani, G.; Rela, M.; Heaton, N.D. Bowel perforation after paediatric orthotopic liver transplantation. Transpl. Int. 1998, 11, 301–304. [Google Scholar] [CrossRef]
- Segura-Sampedro, J.J.; Bernal-Bellido, C.; Marín-Gómez, L.M.; Suárez-Artacho, G.; Serrano-Díez-Canedo, J.; Álamo-Martínez, J.M.; Padillo-Ruiz, F.J.; Gómez-Bravo, M.Á. Outcomes of Liver Transplantation During Adulthood After Kasai Portoenterostomy Due to Biliary Atresia. Transplant. Proc. 2015, 47, 2643–2644. [Google Scholar] [CrossRef]


| Variables | Results | |
|---|---|---|
| Age (years) | 24 (16–44) | |
| BMI | 22.8 (19–39.1) | |
| Gender (female) | 19 (57.6%) | |
| Age at KPE (weeks) | 7 (3–21) | |
| Time on the waiting list (days) | 292 (15–2425) | |
| MELD score * | p < 0.005 | |
| Listing | 12 (6–25) | |
| Pretransplant | 16 (6–33) | |
| Indications for transplant | ||
| Synthetic failure | 11 (32.4%) | |
| Recurrent cholangitis | 10 (29.4%) | |
| Progressive jaundice | 6 (17.6%) | |
| Fatigue and lethargy | 2 (5.9%) | |
| Acute bleeding | 3 (8.8%) | |
| HPS | 1 (2.9%) | |
| Suspected HCC | 1 (2.9%) |
| Variables | Results |
|---|---|
| Type of donor | |
| DBD | 31 (91%) |
| DCD | 2 (6%) |
| LD | 1 (3%) |
| Type of deceased graft | |
| Whole liver | 23 (70%) |
| Split RL | 7 (21%) |
| Reduced RL | 2 (6%) |
| Reduced LL | 1 (3%) |
| CIT (min) | 585 (92–960) |
| Surgical time (min) | 455 (230–765) |
| Hepatectomy time (min) | 165 (90–280) |
| Surgical technique | |
| Piggy-back | 25 (76%) |
| Cava replacement | 8 (25%) |
| Blood loss (litres) | 5 (1–16.7) |
| Findings | Results |
|---|---|
| Arterial aneurysm | |
| Splenic artery | 7 (21.2%) |
| Hepatic artery | 2 (6%) |
| Enlargement of the splenic artery | 18 (52.9%) |
| Intrabdominal variceal shunting | |
| Total number of patients | 24 (68.6%) |
| Retroperitoneal | 22 (64.7%) |
| Perisplenic | 14 (41.2%) |
| Lieno-renal | 9 (26.5%) |
| Left gastric territory | 7 (20.6%) |
| Portal vein findings on US | |
| Low velocity antegrade | 2 (6.1%) |
| Retrograde | 5 (15.2%) |
| No flow | 5 (15.2%) |
| Variables | Results |
|---|---|
| ICU stay | 2 (1–12) |
| Hospital stay | 15.5 (9–46) |
| EAD | 6 (17.6%) |
| Early cellular rejection | 12 (35.2%) |
| Emergency surgery after LT | 3 (8.8%) |
| Biliary complications | |
| Cut surface bile leak | 3 (8.8%) |
| Biliary stricture | 4 (11.7%) |
| Dead | 1 (3%) |
| Re-transplantation | 1 (3%) |
Publisher’s Note: MDPI stays neutral with regard to jurisdictional claims in published maps and institutional affiliations. |
© 2021 by the authors. Licensee MDPI, Basel, Switzerland. This article is an open access article distributed under the terms and conditions of the Creative Commons Attribution (CC BY) license (https://creativecommons.org/licenses/by/4.0/).
Share and Cite
Cortes-Cerisuelo, M.; Boumpoureka, C.; Cassar, N.; Joshi, D.; Samyn, M.; Heneghan, M.; Menon, K.; Prachalias, A.; Srinivasan, P.; Jassem, W.; et al. Liver Transplantation for Biliary Atresia in Adulthood: Single-Centre Surgical Experience. J. Clin. Med. 2021, 10, 4969. https://doi.org/10.3390/jcm10214969
Cortes-Cerisuelo M, Boumpoureka C, Cassar N, Joshi D, Samyn M, Heneghan M, Menon K, Prachalias A, Srinivasan P, Jassem W, et al. Liver Transplantation for Biliary Atresia in Adulthood: Single-Centre Surgical Experience. Journal of Clinical Medicine. 2021; 10(21):4969. https://doi.org/10.3390/jcm10214969
Chicago/Turabian StyleCortes-Cerisuelo, Miriam, Christina Boumpoureka, Noel Cassar, Deepak Joshi, Marianne Samyn, Michael Heneghan, Krishna Menon, Andreas Prachalias, Parthi Srinivasan, Wayel Jassem, and et al. 2021. "Liver Transplantation for Biliary Atresia in Adulthood: Single-Centre Surgical Experience" Journal of Clinical Medicine 10, no. 21: 4969. https://doi.org/10.3390/jcm10214969
APA StyleCortes-Cerisuelo, M., Boumpoureka, C., Cassar, N., Joshi, D., Samyn, M., Heneghan, M., Menon, K., Prachalias, A., Srinivasan, P., Jassem, W., Vilca-Melendez, H., Dhawan, A., & Heaton, N. D. (2021). Liver Transplantation for Biliary Atresia in Adulthood: Single-Centre Surgical Experience. Journal of Clinical Medicine, 10(21), 4969. https://doi.org/10.3390/jcm10214969

