Cartilage Micrografts as a Novel Non-Invasive and Non-Arthroscopic Autograft Procedure for Knee Chondropathy: Three-Year Follow-Up Study
Abstract
1. Introduction
2. Experimental Section
2.1. Research Design
2.2. Technique
2.3. Statistical Analysis
3. Results
3.1. Oxford Knee Score (OKS) and the Visual Analogue Scale (VAS)
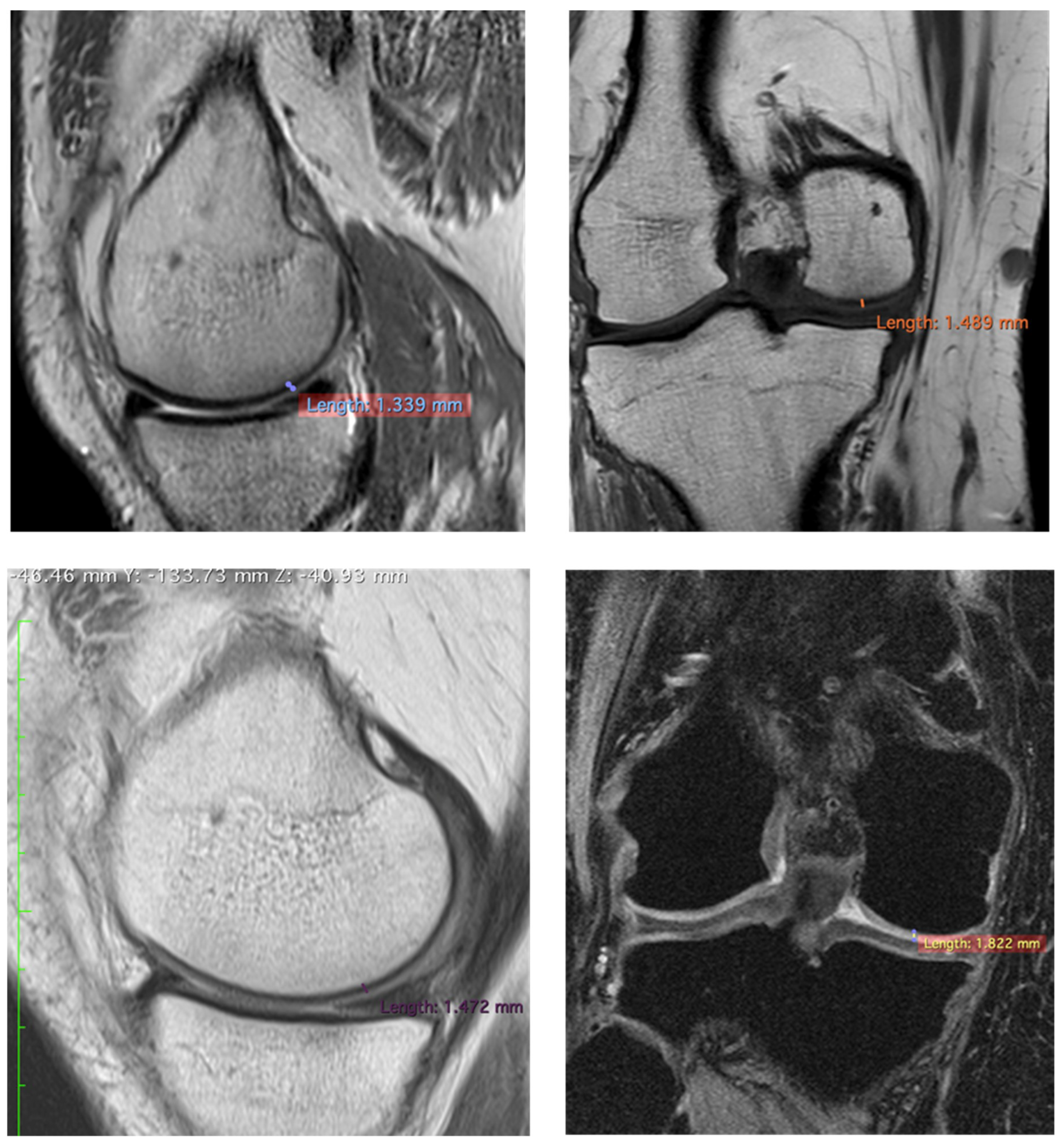
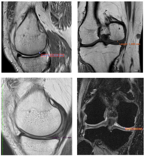
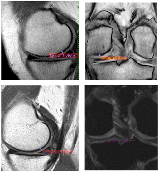
3.2. Magnetic Resonance (MRI) and Cartilage Mesuraments
4. Discussion
5. Conclusions
Author Contributions
Funding
Institutional Review Board Statement
Informed Consent Statement
Data Availability Statement
Conflicts of Interest
References
- Grieshober, J.A.; Stanton, M.; Gambardella, R. Debridement of articular cartilage: The natural course. Sports Med. Arthrosc. 2016, 24, 56–62. [Google Scholar] [CrossRef] [PubMed]
- Brittberg, M.; Gomoll, A.H.; Canseco, J.A.; Far, J.; Lind, M.; Hui, J. Cartilage repair in the degenerative ageing knee. Acta Orthop. 2016, 87, 26–38. [Google Scholar] [CrossRef] [PubMed]
- Pereira, H.; Cengiz, I.F.; Vilela, C.; Ripoll, P.L.; Espregueira-Mendes, J.; Oliveira, J.M.; Reis, R.L.; Niek van Dijk, C. Emerging Concepts in Treating Cartilage, Osteochondral Defects, and Osteoarthritis of the Knee and Ankle. Adv. Exp. Med. Biol. 2018, 1059, 25–62. [Google Scholar] [CrossRef] [PubMed]
- Sherman, S.L.; Thyssen, E.; Nuelle, C.W. Osteochondral Autologous Transplantation. Clin. Sports Med. 2017, 36, 489–500. [Google Scholar] [CrossRef] [PubMed]
- Hinckel, B.B.; Gomoll, A.H. Autologous Chondrocytes and Next-Generation Matrix-Based Autologous Chondrocyte Implantation. Clin. Sports Med. 2017, 36, 525–548. [Google Scholar] [CrossRef]
- Goyal, D.; Goyal, A.; Keyhani, S.; Lee, E.H.; Hui, J.H. Evidence-Based Status of Second- and Third-Generation Autologous Chondrocyte Implantation over First Generation: A Systematic Review of Level I and II Studies. Arthrosc. J. Arthrosc. Relat. Surg. 2013, 9, 1872–1878. [Google Scholar] [CrossRef]
- Mistry, H.; Connock, M.; Pink, J.; Shyangdan, D.; Clar, C.; Royle, P.; Court, R.; Biant, L.C.; Metcalfe, A.; Waugh, N. Autologous chondrocyte implantation in the knee: Systematic review and economic evaluation. Health Technol. Assess. 2017, 21, 1–294. [Google Scholar] [CrossRef]
- Jiménez, G.; Cobo-Molinos, J.; Antich, C.; López-Ruiz, E. Osteoarthritis: Trauma vs Disease. Adv. Exp. Med. Biol. 2018, 1059, 63–83. [Google Scholar]
- Bannuru, R.R.; Schmid, C.H.; Kent, D.M.; Vaysbrot, E.E.; Wong, J.B.; McAlindon, T.E. Comparative effectiveness of pharmacologic interventions for knee osteoarthritis: A systematic review and network meta-analysis. Ann. Intern. Med. 2015, 162, 46–54. [Google Scholar] [CrossRef]
- Jüni, P.; Hari, R.; Rutjes, A.W.; Fischer, R.; Silletta, M.G.; Reichenbach, S.; Da Costa, B.R. Intra-articular corticosteroid for knee osteoarthritis. Cochrane Database Syst. Rev. 2015, 10, CD005328. [Google Scholar] [CrossRef]
- Marcarelli, M.; Trovato, L.; Novarese, E.; Riccio, M.; Graziano, A. Rigenera® protocol in the treatment of surgical wound dehiscence. Int. Wound. J. 2016, 14, 277–281. [Google Scholar] [CrossRef] [PubMed]
- Baglioni, E.; Trovato, L.; Marcarelli, M.; Frenello, A.; Bocchiotti, M.A. Treatment of oncological post-surgical wound dehiscence with autologous skin micrografts. Anticancer. Res. 2016, 36, 975–980. [Google Scholar] [PubMed]
- Giaccone, M.; Brunetti, M.; Camandona, M.; Trovato, L.; Graziano, A. A new medical device, based on rigenera protocol, in the management of complex wounds. J. Stem. Cells Res. 2014, 1, 1013. [Google Scholar]
- Riccio, M.; Marchesini, A.; Zingaretti, N.; Carella, S.; Senesi, L.; Onesti, M.G.; Parodi, P.C.; Ribuffo, D.; Vaienti, L.; De Francesco, F. A Multicentre Study: The Use of Micrografts in the Reconstruction of Full-Thickness Posttraumatic Skin Defects of the Limbs-A Whole Innovative Concept in Regenerative Surgery. Stem. Cells Int. 2019, 2019, 5043518. [Google Scholar] [CrossRef]
- De Francesco, F.; Graziano, A.; Trovato, L.; Ceccarelli, G.; Romano, M.; Marcarelli, M.; De Angelis, G.M.C.; Cillo, U.; Riccio, M.; Ferraro, G.A. A Regenerative Approach with Dermal Micrografts in the Treatment of Chronic Ulcers. Stem. Cell Rev. 2017, 13, 139–148. [Google Scholar] [CrossRef]
- Andreone, A.; Den Hollander, D.A. A Retrospective Study on the Use of Dermis Micrografts in Platelet-Rich Fibrin for the Resurfacing of Massive and Chronic Full-Thickness Burns. Stem. Cells Int. 2019. [Google Scholar] [CrossRef]
- Svolacchia, F.; De Francesco, F.; Trovato, L.; Graziano, A.; Ferraro, G.A. An innovative regenerative treatment of scars with dermal micrografts. J. Cosmet. Dermatol. 2016. [Google Scholar] [CrossRef]
- Ruiz, R.G.; Rosell, J.; Ceccarelli, G.; De Sio, C.; De Angelis, G.C.; Pinto, H.; Astarita, C.; Graziano, A. Progenitor-cell-enriched micrografts as a novel option for the management of androgenetic alopecia. J. Cell. Physiol. 2020, 235, 4587–4593. [Google Scholar] [CrossRef]
- Álvarez, X.; Valenzuela, M.; Tuffet, J. Clinical and Histological Evaluation of the Regenera® Method for the Treatment of Androgenetic Alopecia. Int. Educ. Appl. Sci. Res. J. 2018, 3, 2456–5040. [Google Scholar]
- Viganò, M.; Tessaro, I.; Trovato, L.; Colombini, A.; Scala, M.; Magi, A.; Toto, A.; Peretti, G.M.; De Girolamo, L. Rationale and pre-clinical evidences for the use of autologous cartilage micrografts in cartilage repair. J. Orthop. Surg. Res. 2018, 6, 13279. [Google Scholar] [CrossRef]
- Dorta Fernandez, A.; Baroni Luengo, A. Biostimulation of Knee Cartilage Using Autologous Micro-Grafts: A Preliminary Study of the Rigenera Protocol in Osteochondral Lesions of the Knee. Rehabil. Sci. 2018, 3, 8–12. [Google Scholar] [CrossRef]
- Marcarelli, M.; Fiammengo, M.; Trovato, L.; Lancione, V.; Novarese, E.; Indelli, P.F.; Risitano, S. Autologous grafts in the treatment of avascular osteonecrosis of the femoral head. Acta Bio-Med. Atenei Parm. 2020, 91, 342–349. [Google Scholar] [CrossRef]
- Outerbridge, R.E. The etiology of chondromalacia patellae. J. Bone. Joint. Surg. Br. 1961, 43, 752–757. [Google Scholar] [CrossRef] [PubMed]
- Murray, D.W.; Fitzpatrick, R.; Rogers, K.; Pandit, H.; Beard, D.J.; Carr, A.J.; Dawson, J. The use of the Oxford hip and knee scores. J. Bone. Joint. Surg. Br. 2007, 89, 1010–1014. [Google Scholar] [CrossRef] [PubMed]
- Hevesi, M.; Jacob, G.; Shimomura, K.; Ando, W.; Nakamura, N.; Krych, A.J. Current hip cartilage regeneration/repair modalities: A scoping review of biologics and surgery. Int. Orthop. 2020. [Google Scholar] [CrossRef]
- Muñoz-García, N.; Cordero-Ampuero, J.; Madero-Jarabo, R. Diagnostic Accuracy of Magnetic Resonance Images and Weight-Bearing Radiographs in Patients with Arthroscopic-Proven Medial Osteoarthritis of the Knee. Clin. Med. Insights Arthritis Musculoskelet Disord. 2020, 13, 1179544120938369. [Google Scholar] [CrossRef]
- Ceccarelli, G.; Gentile, P.; Marcarelli, M.; Balli, M.; Ronzoni, F.L.; Benedetti, L.; Cusella De Angelis, M.G. In Vitro and In Vivo Studies of Alar-Nasal Cartilage Using Autologous Micro-Grafts: The Use of the Rigenera® Protocol in the Treatment of an Osteochondral Lesion of the Nose. Pharmaceuticals 2017, 10, 53. [Google Scholar] [CrossRef]
- Darling, E.M.; Athanasiou, K.A. Rapid phenotypic changes in passaged articular chondrocyte subpopulations. J. Orthop. Res. 2005, 23, 425–432. [Google Scholar] [CrossRef]
- Li, Y.; Wei, X.; Zhou, J.; Wei, L. The age-related changes in cartilage and osteoarthritis. Biomed. Res. Int. 2013, 2013, 916530. [Google Scholar] [CrossRef]
- De Bari, C.; Roelofs, A.J. Stem cell-based therapeutic strategies for cartilage defects and osteoarthritis. Curr. Opin. Pharmacol. 2018, 40, 74–80. [Google Scholar] [CrossRef]
- Lee, W.Y.; Wang, B. Cartilage repair by mesenchymal stem cells: Clinical trial update and perspectives. J. Orthop. Translat. 2017, 9, 76–88. [Google Scholar] [CrossRef] [PubMed]
- Wang, Q.; Ding, G.; Xu, X. Immunomodulatory functions of mesenchymal stem cells and possible mechanisms. Histol. Histopathol 2016, 31, 949–959. [Google Scholar] [PubMed]
- Steck, E.; Fischer, J.; Lorenz, H.; Gotterbarm, T.; Jung, M.; Richter, W. Mesenchymal stem cell differentiation in an experimental cartilage defect: Restriction of hypertrophy to bone-close neocartilage. Stem. Cells Dev. 2009, 18, 969–978. [Google Scholar] [CrossRef] [PubMed]
- Inderhaug, E.; Solheim, E. Osteochondral Autograft Transplant (Mosaicplasty) for Knee Articular Cartilage Defects. JBJS Essent. Surg. Tech. 2019, 9, e34.1–e34.2. [Google Scholar] [CrossRef] [PubMed]




| Patients | Sex, Age (y) | Diagnosis | Treatment |
|---|---|---|---|
| 1 | F, 66 | Chondropathy grade III | Micrografts collection from auricular cartilage and application on left knee |
| 2 | F, 53 | Chondropathy grade III | Micrografts collection from auricular cartilage and application on left knee |
| 3 | F, 60 | Chondropathy grade III | Micrografts collection from auricular cartilage and application on left knee |
| 4 | M, 54 | Chondropathy grade III | Micrografts collection from auricular cartilage and application on both right and left knee |
| 5 | F, 55 | Chondropathy grade II | Micrografts collection from auricular cartilage and application on right knee |
| 6 | M, 69 | Pre-arthrosis | Micrografts collection from auricular cartilage and application on both right and left knee |
| 7 | M, 43 | chondropathy grade III | Micrografts collection from auricular cartilage and application on right knee |
| 8 | M, 50 | chondropathy grade III | Micrografts collection from auricular cartilage and application on right knee |
| Patients | Clinical Outcomes |
|---|---|
| 1 | Complete pain resolution, recovery of daily activity |
| 2 | Complete pain resolution, general improvement about 6 months |
| 3 | Complete pain resolution, recovery of daily activity |
| 4 | Pain resolution, general improvement, and recovery of daily activity after 1 month following treatment |
| 5 | Complete pain resolution, general improvement, and recovery of physical and daily activity after 1 month following treatment |
| 6 | Complete pain resolution, general improvement, and recovery of physical and daily activity after 6 months following treatment |
| 7 | Complete pain resolution |
| 8 | Complete pain resolution, general improvement, and recovery of physical activity |
| Patients | OKS Pre | OKS Post | VAS Pre | VAS Post |
|---|---|---|---|---|
| 1 | 19 | 30 | 5 | 3 |
| 2 | 22 | 33 | 6 | 2 |
| 3 | 25 | 40 | 7 | 2 |
| 4 | 28 | 41 | 8 | 2 |
| 5 | 31 | 45 | 4 | 1 |
| 6 | 32 | 44 | 3 | 1 |
| 7 | 34 | 46 | 5 | 2 |
| 8 | 36 | 47 | 6 | 1 |
| Patients | Pre/Femoral Lateral Condyles | 3 Years/Femoral Lateral Condyles | Difference |
|---|---|---|---|
| 1 | 1.064 mm | 1.226 mm | +15.22% |
| 2 | 1.339 mm | 1.472 mm | +9.32% |
| 3 | 1.068 mm | 1.263 mm | −14.20% |
| Patients | Pre/Femoral Lateral Condyles | 3 Years/Femoral Lateral Condyles | Difference |
|---|---|---|---|
| 1 | 1.223 mm | 1.555 mm | +27.14% |
| 2 | 1.489 mm | 1.882 mm | +26.39% |
| 3 | 0.893 mm | 1.914 mm | +114.33% |
Publisher’s Note: MDPI stays neutral with regard to jurisdictional claims in published maps and institutional affiliations. |
© 2021 by the authors. Licensee MDPI, Basel, Switzerland. This article is an open access article distributed under the terms and conditions of the Creative Commons Attribution (CC BY) license (http://creativecommons.org/licenses/by/4.0/).
Share and Cite
Marcarelli, M.; Zappia, M.; Rissolio, L.; Baroni, C.; Astarita, C.; Trovato, L.; Graziano, A. Cartilage Micrografts as a Novel Non-Invasive and Non-Arthroscopic Autograft Procedure for Knee Chondropathy: Three-Year Follow-Up Study. J. Clin. Med. 2021, 10, 322. https://doi.org/10.3390/jcm10020322
Marcarelli M, Zappia M, Rissolio L, Baroni C, Astarita C, Trovato L, Graziano A. Cartilage Micrografts as a Novel Non-Invasive and Non-Arthroscopic Autograft Procedure for Knee Chondropathy: Three-Year Follow-Up Study. Journal of Clinical Medicine. 2021; 10(2):322. https://doi.org/10.3390/jcm10020322
Chicago/Turabian StyleMarcarelli, Marco, Marcello Zappia, Lorenzo Rissolio, Chiara Baroni, Carlo Astarita, Letizia Trovato, and Antonio Graziano. 2021. "Cartilage Micrografts as a Novel Non-Invasive and Non-Arthroscopic Autograft Procedure for Knee Chondropathy: Three-Year Follow-Up Study" Journal of Clinical Medicine 10, no. 2: 322. https://doi.org/10.3390/jcm10020322
APA StyleMarcarelli, M., Zappia, M., Rissolio, L., Baroni, C., Astarita, C., Trovato, L., & Graziano, A. (2021). Cartilage Micrografts as a Novel Non-Invasive and Non-Arthroscopic Autograft Procedure for Knee Chondropathy: Three-Year Follow-Up Study. Journal of Clinical Medicine, 10(2), 322. https://doi.org/10.3390/jcm10020322

