Sarcopenia and Myosteatosis as Prognostic Markers in Patients with Advanced Cholangiocarcinoma Undergoing Palliative Treatment
Abstract
:1. Introduction
2. Patients and Methods
2.1. Selection of Study Patients
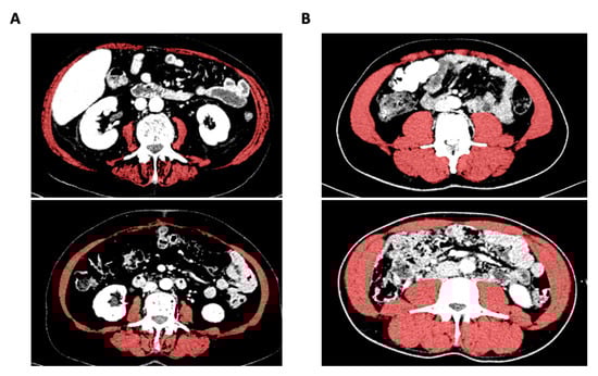
2.2. Analysis of Sarcopenia
2.3. Statistical Analysis
3. Results
3.1. Baseline Characteristics of Patients
3.2. L3SMI Is Dependent on Patients’ Sex but Independent of Age, Albumin, or CRP Levels
3.3. L3PMI Is Dependent on Sex and Albumin Serum Concentration but Independent of Age and CPR
3.4. L3SMI and L3PMI Are Predictors of Overall Survival in CCA Patients under Palliative Therapy
3.5. The MMA Is a Predictor for Overall Survival in Patients with Palliative Treatment for CCA
3.6. The Combination of MMA and L3SMI Is a Strong Predictor for Overall Survival
4. Discussion
Supplementary Materials
Author Contributions
Funding
Institutional Review Board Statement
Informed Consent Statement
Data Availability Statement
Conflicts of Interest
References
- Razumilava, N.; Gores, G.J. Cholangiocarcinoma. Lancet 2014, 383, 2168–2179. [Google Scholar] [CrossRef] [Green Version]
- Valle, J.W.; Kelley, R.K.; Nervi, B.; Oh, D.Y.; Zhu, A.X. Biliary tract cancer. Lancet 2021, 397, 428–444. [Google Scholar] [CrossRef]
- Valle, J.; Wasan, H.; Palmer, D.H.; Cunningham, D.; Anthoney, A.; Maraveyas, A.; Madhusudan, S.; Iveson, T.; Hughes, S.; Pereira, S.P.; et al. Cisplatin plus Gemcitabine versus Gemcitabine for Biliary Tract Cancer. N. Engl. J. Med. 2010, 362, 1273–1281. [Google Scholar] [CrossRef] [Green Version]
- Lamarca, A.; Palmer, D.H.; Wasan, H.S.; Ross, P.J.; Ma, Y.T.; Arora, A.; Falk, S.; Gillmore, R.; Wadsley, J.; Patel, K.; et al. Second-line FOLFOX chemotherapy versus active symptom control for advanced biliary tract cancer (ABC-06): A phase 3, open-label, randomised, controlled trial. Lancet Oncol. 2021, 22, 690–701. [Google Scholar] [CrossRef]
- Loosen, S.H.; Vucur, M.; Trautwein, C.; Roderburg, C.; Luedde, T. Circulating Biomarkers for Cholangiocarcinoma. Dig. Dis. 2018, 36, 281–288. [Google Scholar] [CrossRef]
- Macias, R.I.; Kornek, M.; Rodrigues, P.M.; Paiva, N.A.; Castro, R.E.; Urban, S.; Pereira, S.P.; Cadamuro, M.; Rupp, C.; Loosen, S.H.; et al. Diagnostic and prognostic biomarkers in cholangiocarcinoma. Liver Int. 2019, 39, 108–122. [Google Scholar] [CrossRef] [Green Version]
- Fielding, R.A.; Vellas, B.; Evans, W.J.; Bhasin, S.; Morley, J.E.; Newman, A.B.; van Kan, G.A.; Andrieu, S.; Bauer, J.; Breuille, D.; et al. Sarcopenia: An Undiagnosed Condition in Older Adults. Current Consensus Definition: Prevalence, Etiology, and Consequences. International Working Group on Sarcopenia. J. Am. Med. Dir. Assoc. 2011, 12, 249–256. [Google Scholar] [CrossRef] [PubMed] [Green Version]
- Arends, J.; Baracos, V.; Bertz, H.; Bozzetti, F.; Calder, P.C.; Deutz, N.E.; Erickson, N.; Laviano, A.; Lisanti, M.P.; Lobo, D.N.; et al. ESPEN expert group recommendations for action against cancer-related malnutrition. Clin. Nutr. 2017, 36, 1187–1196. [Google Scholar] [CrossRef] [PubMed] [Green Version]
- Shachar, S.S.; Williams, G.R.; Muss, H.B.; Nishijima, T.F. Prognostic value of sarcopenia in adults with solid tumours: A meta-analysis and systematic review. Eur. J. Cancer 2016, 57, 58–67. [Google Scholar] [CrossRef] [PubMed]
- Stretch, C.; Aubin, J.M.; Mickiewicz, B.; Leugner, D.; Al-Manasra, T.; Tobola, E.; Salazar, S.; Sutherland, F.R.; Ball, C.G.; Dixon, E.; et al. Sarcopenia and myosteatosis are accompanied by distinct biological profiles in patients with pancreatic and periampullary adenocarcinomas. PLoS ONE 2018, 13, e0196235. [Google Scholar] [CrossRef]
- Fedorov, A.; Beichel, R.; Kalpathy-Cramer, J.; Finet, J.; Fillion-Robin, J.C.; Pujol, S.; Bauer, C.; Jennings, D.; Fennessy, F.; Sonka, M.; et al. 3D Slicer as an image computing platform for the Quantitative Imaging Network. Magn. Reson. Imaging 2012, 30, 1323–1341. [Google Scholar] [CrossRef] [Green Version]
- Loosen, S.H.; Bosch, V.V.; Gorgulho, J.; Schulze-Hagen, M.; Kandler, J.; Jördens, M.S.; Tacke, F.; Loberg, C.; Antoch, G.; Brümmendorf, T.; et al. Progressive Sarcopenia Correlates with Poor Response and Outcome to Immune Checkpoint Inhibitor Therapy. J. Clin. Med. 2021, 10, 1361. [Google Scholar] [CrossRef] [PubMed]
- Budczies, J.; Klauschen, F.; Sinn B v Győrffy, B.; Schmitt, W.D.; Darb-Esfahani, S.; Denkert, C. Cutoff Finder: A comprehensive and straightforward Web application enabling rapid biomarker cutoff optimization. PLoS ONE 2012, 7, e51862. [Google Scholar] [CrossRef] [PubMed] [Green Version]
- Goodpaster, B.H.; Carlson, C.L.; Visser, M.; Kelley, D.E.; Scherzinger, A.; Harris, T.B.; Stamm, E.; Newman, A.B. Attenuation of skeletal muscle and strength in the elderly: The health ABC study. J. Appl. Physiol. 2001, 90, 2157–2165. [Google Scholar] [CrossRef] [PubMed]
- Chai, V.W.; Chia, M.; Cocco, A.; Bhamidipaty, M.; D’Souza, B. Sarcopenia is a strong predictive factor of clinical and oncological outcomes following curative colorectal cancer resection. ANZ J. Surg. 2021, 91, E292–E297. [Google Scholar] [CrossRef]
- Murachi, Y.; Sakai, D.; Koseki, J.; Inagaki, C.; Nishida, N.; Yamaguchi, T.; Satoh, T. Impact of sarcopenia in patients with advanced or recurrent colorectal cancer treated with regorafenib. Int. J. Clin. Oncol. 2021, 26, 409–416. [Google Scholar] [CrossRef] [PubMed]
- Kano, M.; Hihara, J.; Tokumoto, N.; Kohashi, T.; Hara, T.; Shimbara, K.; Takahashi, S. Association between skeletal muscle loss and the response to nivolumab immunotherapy in advanced gastric cancer patients. Int. J. Clin. Oncol. 2021, 26, 523–531. [Google Scholar] [CrossRef] [PubMed]
- Runkel, M.; Diallo, T.D.; Lang, S.A.; Bamberg, F.; Benndorf, M.; Fichtner-Feigl, S. The Role of Visceral Obesity, Sarcopenia and Sarcopenic Obesity on Surgical Outcomes After Liver Resections for Colorectal Metastases. World J. Surg. 2021, 45, 2218–2226. [Google Scholar] [CrossRef]
- Wang, J.B.; Xue, Z.; Lu, J.; He, Q.L.; Zheng, Z.F.; Xu, B.B.; Xie, J.W.; Li, P.; Xu, Y.; Lin, J.X.; et al. Effect of sarcopenia on short- and long-term outcomes in patients with gastric neuroendocrine neoplasms after radical gastrectomy: Results from a large, two-institution series. BMC Cancer 2020, 20, 1002. [Google Scholar] [CrossRef]
- Umetsu, S.; Wakiya, T.; Ishido, K.; Kudo, D.; Kimura, N.; Miura, T.; Toyoki, Y.; Hakamada, K. Effect of sarcopenia on the outcomes after pancreaticoduodenectomy for distal cholangiocarcinoma. ANZ J. Surg. 2018, 88, E654–E658. [Google Scholar] [CrossRef]
- Otsuji, H.; Yokoyama, Y.; Ebata, T.; Igami, T.; Sugawara, G.; Mizuno, T.; Nagino, M. Preoperative sarcopenia negatively impacts postoperative outcomes following major hepatectomy with extrahepatic bile duct resection. World J. Surg. 2015, 39, 1494–1500. [Google Scholar] [CrossRef]
- Okumura, S.; Kaido, T.; Hamaguchi, Y.; Fujimoto, Y.; Kobayashi, A.; Iida, T.; Yagi, S.; Taura, K.; Hatano, E.; Uemoto, S. Impact of the preoperative quantity and quality of skeletal muscle on outcomes after resection of extrahepatic biliary malignancies. Surgery 2016, 159, 821–833. [Google Scholar] [CrossRef] [PubMed]
- Yoon, S.B.; Choi, M.H.; Song, M.; Lee, J.H.; Lee, I.S.; Lee, M.A.; Hong, T.H.; Jung, E.S.; Choi, M.G. Impact of preoperative body compositions on survival following resection of biliary tract cancer. J. Cachexia Sarcopenia Muscle 2019, 10, 794–802. [Google Scholar] [CrossRef] [PubMed] [Green Version]
- Hunter, S.K. Sex differences in human fatigability: Mechanisms and insight to physiological responses. Acta Physiol. 2014, 210, 768–789. [Google Scholar] [CrossRef] [PubMed] [Green Version]
- Hayashi, N.; Ando, Y.; Gyawali, B.; Shimokata, T.; Maeda, O.; Fukaya, M.; Goto, H.; Nagino, M.; Kodera, Y. Low skeletal muscle density is associated with poor survival in patients who receive chemotherapy for metastatic gastric cancer. Oncol. Rep. 2016, 35, 1727–1731. [Google Scholar] [CrossRef] [PubMed] [Green Version]
- Schefold, J.C.; Bierbrauer, J.; Weber-Carstens, S. Intensive care unit-acquired weakness (ICUAW) and muscle wasting in critically ill patients with severe sepsis and septic shock. J. Cachexia Sarcopenia Muscle 2010, 1, 147–157. [Google Scholar] [CrossRef] [Green Version]






| Parameter | Study Cohort |
|---|---|
| CCA patients | n = 75 |
| Sex % (n): male female | 53.3 (40) 46.7 (35) |
| Age (years, median and range) | 70 (30–87) |
| BMI Median kg/m2 (range) | 24.2 (18.5–44.3) |
| BMI class kg/m2% (n) BMI < 20 BMI 20–25 BMI 25–30 BMI > 30 | 9.3 (7) 45.3 (34) 28 (21) 17.3 (13) |
| Systemic therapy % (n) Yes No | 85.3 (64) 14.7 (11) |
| Chemotherapy regimen % (n) Gemcitabine + Cisplatin Gemcitabine + Oxaliplatin Carboplatin + Paclitaxel Capecitabine Mono Gemcitabine Mono | 81.3 (52) 4.7 (3) 1.6 (1) 1.6 (1) 10.9 (7) |
| Tumor progression during follow-up? % (n) Yes No | 28 (21) 72 (54) |
| Metastatic Disease % (n) Yes No | 69 (52) 31 (23) |
| Localization of tumor metastasis % (n) Lymphatic Vascular Pulmonary Bone Suprarenal gland Peritoneum Other | 20 (15) 8 (6) 18.7 (14) 10.7 (8) 1.3 (1) 22.7 (17) 16 (12) |
| Pre-existing medical conditions % (n) Preceded tumor disease Preceded systemic chemotherapy Diabetes mell. Type 2 Arterial Hypertension Hepatitis B Hepatitis C Alcohol abuse Primary biliary cholangitis Primary sclerosing cholangitis Non-alcoholic steatohepatitis Inflammatory bowel disease Gastritis | 24 (18) 1.3 (1) 29.3 (22) 58.7 (44) 6.7 (5) 5.3 (4) 1.3 (1) 2.7 (2) 1.3 (1) 2.7 (2) 1.3 (1) 24 (18) |
| Overall survival (days, median and range) | 224 (3–1059) |
| Progression-free survival (days, median and range) | 132 (3–916) |
| Parameter | p-Value | Hazard Ratio (95% CI) |
|---|---|---|
| Sex | 0.645 | 1.145 (0.644–2.037) |
| Height | 0.205 | 0.978 (0.945–1.012) |
| Body weight | 0.225 | 0.988 (0.969–1.008) |
| BMI | 0.468 | 0.979 (0.942–1.037) |
| Age | 0.196 | 1.018 (0.991–1.045) |
| Preceded malignancy | 0.383 | 1.364 (0.679–2.741) |
| Diabetes | 0.785 | 1.092 (0.582–2.049) |
| Arterial hypertension | 0.381 | 0.774 (0.435–1.374) |
| Hepatitis B | 0.645 | 0.784 (0.278–2.209) |
| Hepatitis C | 0.085 | 0.402 (0.143–1.133) |
| Alcohol abuse | 0.971 | 0.963 (0.132–7.051) |
| PBC | 0.709 | 0.683 (0.092–5.054) |
| PSC | 0.564 | 1.800 (0.244–13.299) |
| CIBD | 0.582 | 0.571 (0.078–4.199) |
| Gastritis | 0.400 | 1.336 (0.680–2.626) |
| Lymphatic metastasis | 0.574 | 1.246 (0.578–2.688) |
| Vascular metastasis | 0.880 | 1.082 (0.388–3.022) |
| Pulmonary metastasis | 0.704 | 0.872 (0.430–1.767) |
| Osseus metastasis | 0.403 | 1.488 (0.587–3.773) |
| Suprarenal gland metastasis | 0.618 | 0.602 (0.082–4.421) |
| Peritoneal metastasis | 0.003 | 0.372 (0.194–0.713) |
| Other metastasis | 0.006 | 0.362 (0.174–0.752) |
| Any metastasis | 0.110 | 0.578 (0.295–1.132) |
| Sodium | 0.127 | 0.926 (0.838–1.022) |
| Potassium | 0.275 | 1.454 (0.742–2.849) |
| Calcium | 0.230 | 0.287 (0.037–2.203) |
| Creatinine | 0.649 | 0.979 (0.895–1.071) |
| GFR | 0.198 | 0.992 (0.979–1.004) |
| Uric acid | 0.784 | 1.033 (0.818–1.305) |
| Bilirubin | 0.318 | 1.066 (0.940–1.209) |
| ALT | 0.897 | 1.000 (0.997–1.003) |
| AST | 0.938 | 1.000 (0.996–1.004) |
| γGT | 0.603 | 1.000 (0.999–1.001) |
| CRP | 0.002 | 1.124 (1.044–1.211) |
| Albumin | 0.207 | 0.646 (0.328–1.274) |
| Hemoglobin | 0.174 | 0.902 (0.778–1.046) |
| MCV | 0.664 | 1.010 (0.967–1.054) |
| MCH | 0.824 | 0.987 (0.880–1.107) |
| Thrombocytes | 0.030 | 1.003 (1.000–1.006) |
| Quick | 0.605 | 1.006 (0.983–1.029) |
| INR | 0.841 | 0.918 (0.396–2.125) |
| aPTT | 0.754 | 1.009 (0.955–1.066) |
| AFP | 0.861 | 1.000 (1.000–1.000) |
| CEA | 0.174 | 1.001 (0.999–1.004) |
| CA19-9 | 0.087 | 1.000 (1.000–1.000) |
| L3SMI Cut-Off 71.95 | 0.020 | 1.990 (1.115–3.551) |
| L3PMI Cut-Off 6.345 | 0.037 | 2.384 (1.054–5.393) |
| MMA Cut-Off 30.51 | 0.011 | 2.176 (1.192–3.971) |
| Parameter | p-Value | Hazard Ratio (95% CI) |
|---|---|---|
| CRP | 0.462 | 1.060 (0.908–1.236) |
| Thrombocytes | 0.101 | 1.003 (0.999–1.007) |
| CEA | 0.846 | 1.000 (0.997–1.003) |
| CA19-9 | 0.582 | 1.000 (1.000–1.000) |
| L3SMI Cut-Off 71.95 | 0.748 | 0.854 (0.326–2.237) |
| L3PMI Cut-Off 6.345 | 0.462 | 1.463 (0.530–4.038) |
| MMA Cut-Off 30.51 | 0.035 | 2.264 (1.059–4.842) |
Publisher’s Note: MDPI stays neutral with regard to jurisdictional claims in published maps and institutional affiliations. |
© 2021 by the authors. Licensee MDPI, Basel, Switzerland. This article is an open access article distributed under the terms and conditions of the Creative Commons Attribution (CC BY) license (https://creativecommons.org/licenses/by/4.0/).
Share and Cite
Jördens, M.S.; Wittig, L.; Heinrichs, L.; Keitel, V.; Schulze-Hagen, M.; Antoch, G.; Knoefel, W.T.; Fluegen, G.; Luedde, T.; Loberg, C.; et al. Sarcopenia and Myosteatosis as Prognostic Markers in Patients with Advanced Cholangiocarcinoma Undergoing Palliative Treatment. J. Clin. Med. 2021, 10, 4340. https://doi.org/10.3390/jcm10194340
Jördens MS, Wittig L, Heinrichs L, Keitel V, Schulze-Hagen M, Antoch G, Knoefel WT, Fluegen G, Luedde T, Loberg C, et al. Sarcopenia and Myosteatosis as Prognostic Markers in Patients with Advanced Cholangiocarcinoma Undergoing Palliative Treatment. Journal of Clinical Medicine. 2021; 10(19):4340. https://doi.org/10.3390/jcm10194340
Chicago/Turabian StyleJördens, Markus S., Linda Wittig, Lisa Heinrichs, Verena Keitel, Maximilian Schulze-Hagen, Gerald Antoch, Wolfram T. Knoefel, Georg Fluegen, Tom Luedde, Christina Loberg, and et al. 2021. "Sarcopenia and Myosteatosis as Prognostic Markers in Patients with Advanced Cholangiocarcinoma Undergoing Palliative Treatment" Journal of Clinical Medicine 10, no. 19: 4340. https://doi.org/10.3390/jcm10194340
APA StyleJördens, M. S., Wittig, L., Heinrichs, L., Keitel, V., Schulze-Hagen, M., Antoch, G., Knoefel, W. T., Fluegen, G., Luedde, T., Loberg, C., Roderburg, C., & Loosen, S. H. (2021). Sarcopenia and Myosteatosis as Prognostic Markers in Patients with Advanced Cholangiocarcinoma Undergoing Palliative Treatment. Journal of Clinical Medicine, 10(19), 4340. https://doi.org/10.3390/jcm10194340

