Automated Segmentation of the Human Abdominal Vascular System Using a Hybrid Approach Combining Expert System and Supervised Deep Learning
Abstract
:1. Introduction
2. Materials and Methods
2.1. Datasets
2.2. Feature-Based Expert System: Main Programmed Rules
2.3. DL Algorithm Architecture
2.4. Training of the DL Algorithm
2.5. Hybrid Method Combining the Feature-Based Expert System with the DL Algorithm
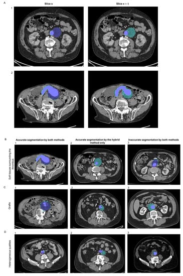
2.6. Methodology for the Evaluation of the Methods
3. Results
3.1. Accuracy and Computational Time of the DL Algorithm Learning
3.2. Spine Segmentation
3.3. Lumen Segmentation
3.4. Thrombus Segmentation
4. Discussion
5. Conclusions
Supplementary Materials
Author Contributions
Funding
Institutional Review Board Statement
Informed Consent Statement
Data Availability Statement
Conflicts of Interest
Abbreviations
| AAA | Abdominal Aortic Aneurysm |
| AMI | Acute Mesenteric Ischemia |
| CNN | Convolutional Neural Networks |
| CTA | Computed Tomography Angiography |
| DL | Deep Learning |
| DICOM | Digital Imaging and Communications in Medicine |
| ML | Machine Learning |
References
- Moccia, S.; De Momi, E.; El Hadji, S.; Mattos, L.S. Blood vessel segmentation algorithms-Review of methods, datasets and evaluation metrics. Comput. Methods Prog. Biomed. 2018, 158, 71–91. [Google Scholar] [CrossRef] [Green Version]
- Wanhainen, A.; Verzini, F.; Van Herzeele, I.; Allaire, E.; Bown, M.; Cohnert, T.; Dick, F.; van Herwaarden, J.; Karkos, C.; Koelemay, M.; et al. Editor’s Choice-European Society for Vascular Surgery (ESVS) 2019 Clinical Practice Guidelines on the Management of Abdominal Aorto-iliac Artery Aneurysms. Eur. J. Vasc. Endovasc. Surg. 2019, 57, 8–93. [Google Scholar] [CrossRef] [Green Version]
- Chaikof, E.L.; Brewster, D.C.; Dalman, R.L.; Makaroun, M.S.; Illig, K.A.; Sicard, G.A.; Timaran, C.H.; Upchurch, G.R.; Veith, F.J. The care of patients with an abdominal aortic aneurysm: The Society for Vascular Surgery practice guidelines. J. Vasc. Surg. 2009, 50 (Suppl. 4), S2–S49. [Google Scholar] [CrossRef] [Green Version]
- Raffort, J.; Adam, C.; Carrier, M.; Ballaith, A.; Coscas, R.; Jean-Baptiste, E.; Hassen-Khodja, R.; Chakfé, N.; Lareyre, F. Artificial intelligence in abdominal aortic aneurysm. J. Vasc. Surg. 2020, 72, 321–333.e1. [Google Scholar] [CrossRef]
- De Bruijne, M.; van Ginneken, B.; Viergever, M.A.; Niessen, W.J. Adapting Active Shape Models for 3D segmentation of tubular structures in medical images. Inf. Process. Med. Imaging 2003, 18, 136–147. [Google Scholar] [PubMed]
- De Bruijne, M.; van Ginneken, B.; Viergever, M.A.; Niessen, W.J. Interactive segmentation of abdominal aortic aneurysms in CTA images. Med. Image Anal. 2004, 8, 127–138. [Google Scholar] [CrossRef] [PubMed] [Green Version]
- Subasic, M.; Loncaric, S.; Sorantin, E. 3-D image analysis of abdominal aortic aneurysm. Stud. Health Technol. Inform. 2000, 77, 1195–1200. [Google Scholar] [PubMed]
- Zhuge, F.; Rubin, G.D.; Sun, S.; Napel, S. An abdominal aortic aneurysm segmentation method: Level set with region and statistical information. Med. Phys. 2006, 33, 1440–1453. [Google Scholar] [CrossRef] [PubMed]
- Krittanawong, C.; Johnson, K.W.; Rosenson, R.S.; Wang, Z.; Aydar, M.; Baber, U.; Min, J.K.; Tang, W.H.W.; Halperin, J.L.; Narayan, S.M. Deep learning for cardiovascular medicine: A practical primer. Eur. Heart J. 2019, 40, 2058–2073. [Google Scholar] [CrossRef]
- Krittanawong, C.; Virk, H.U.H.; Bangalore, S.; Wang, Z.; Johnson, K.W.; Pinotti, R.; Zhang, H.; Kaplin, S.; Narasimhan, B.; Kitai, T.; et al. Machine learning prediction in cardiovascular diseases: A meta-analysis. Sci. Rep. 2020, 10, 16057. [Google Scholar] [CrossRef]
- Sermesant, M.; Delingette, H.; Cochet, H.; Jais, P.; Ayache, N. Applications of artificial intelligence in cardiovascular imaging. Nat. Rev. Cardiol. 2021. [Google Scholar] [CrossRef] [PubMed]
- Chen, C.; Qin, C.; Qiu, H.; Tarroni, G.; Duan, J.; Bai, W.; Rueckert, D. Deep Learning for Cardiac Image Segmentation: A Review. Front. Cardiovasc. Med. 2020, 7, 25. [Google Scholar] [CrossRef]
- Dey, D.; Slomka, P.J.; Leeson, P.; Comaniciu, D.; Shrestha, S.; Sengupta, P.P.; Marwick, T.H. Artificial Intelligence in Cardiovascular Imaging: JACC State-of-the-Art Review. J. Am. Coll. Cardiol. 2019, 73, 1317–1335. [Google Scholar] [CrossRef] [PubMed]
- Tetteh, G.; Efremov, V.; Forkert, N.D.; Schneider, M.; Kirschke, J.; Weber, B.; Zimmer, C.; Piraud, M.; Menze, B.H. DeepVesselNet: Vessel Segmentation, Centerline Prediction, and Bifurcation Detection in 3-D Angiographic Volumes. arXiv 2018, arXiv:1803.09340v3. [Google Scholar]
- Caradu, C.; Spampinato, B.; Berard, X.; Ducasse, E.; Stenson, K. Artificial intelligence for fully automatic segmentation of abdominal aortic aneurysm using convolutional neural networks. J. Vasc. Surg. 2021, 74, 348. [Google Scholar] [CrossRef] [PubMed]
- Available online: https://www.sciencedirect.com/topics/engineering/hybrid-model (accessed on 3 May 2020).
- Lareyre, F.; Adam, C.; Carrier, M.; Dommerc, C.; Mialhe, C.; Raffort, J. A fully automated pipeline for mining abdominal aortic aneurysm using image segmentation. Sci. Rep. 2019, 9, 13750. [Google Scholar] [CrossRef] [Green Version]
- Bjorck, M.; Koelemay, M.; Acosta, S.; Bastos Goncalves, F.; Kolbel, T.; Kolkman, J.J.; Lees, T.; Lefevre, J.H.; Menyhei, G.; Oderich, G.; et al. Editor’s Choice-Management of the Diseases of Mesenteric Arteries and Veins: Clinical Practice Guidelines of the European Society of Vascular Surgery (ESVS). Eur. J. Vasc. Endovasc. Surg. 2017, 53, 460–510. [Google Scholar] [CrossRef] [Green Version]
- Ronneberger, O.F.P.; Brox, T. U-Net: Convolutional Networks for Biomedical Image Segmentation. In Medical Image Computing and Computer-Assisted Intervention–MICCAI 2015; Navab, N., Hornegger, J., Wells, W., Frangi, A., Eds.; Lecture Notes in Computer Science; Springer: Cham, Switzerland, 2015; Volume 9351. [Google Scholar]
- Kingma, D.P.; Ba, J. Adam: A Method for Stochastic Optimization. arXiv 2014, arXiv:1412.6980. [Google Scholar]
- Taha, A.A.; Hanbury, A. Metrics for evaluating 3D medical image segmentation: Analysis, selection, and tool. BMC Med. Imaging 2015, 15, 29. [Google Scholar] [CrossRef] [Green Version]
- Rote, G. Computing the minimum Hausdorff distance between two point sets on a line under translation. Inf. Process. Lett. 1991, 38, 123–127. [Google Scholar] [CrossRef]
- Lesage, D.; Angelini, E.D.; Bloch, I.; Funka-Lea, G. A review of 3D vessel lumen segmentation techniques: Models, features and extraction schemes. Med. Image Anal. 2009, 13, 819–845. [Google Scholar] [CrossRef] [PubMed]
- Almuntashri, A.; Finol, E.; Agaian, S. Automatic lumen segmentation in CT and PC-MR images of abdominal aortic aneurysm. In Proceedings of the 2012 IEEE International Conference on Systems, Man, and Cybernetics (SMC), Seoul, Korea, 14–17 October 2012. [Google Scholar] [CrossRef]
- Czajkowska, J.; Feinen, C.; Grzegorzek, M.; Raspe, M.; Wickenhöfer, R. A New Aortic Aneurysm CT Series Registration Algorithm. In Advances in Intelligent Systems and Computing; Springer International Publishing: Berlin/Heidelberg, Germany, 2014; pp. 15–26. [Google Scholar] [CrossRef]
- Marquez-Neila, P.; Baumela, L.; Alvarez, L. A morphological approach to curvature-based evolution of curves and surfaces. IEEE Trans. Pattern Anal. Mach. Intell. 2014, 36, 2–17. [Google Scholar] [CrossRef]
- Siriapisith, T.; Kusakunniran, W.; Haddawy, P. Outer Wall Segmentation of Abdominal Aortic Aneurysm by Variable Neighborhood Search Through Intensity and Gradient Spaces. J. Digit. Imaging 2018, 31, 490–504. [Google Scholar] [CrossRef] [PubMed] [Green Version]
- Biswas, M.; Kuppili, V.; Saba, L.; Edla, D.R.; Suri, H.S.; Sharma, A.; Cuadrado-Godia, E.; Laird, J.R.; Nicolaides, A.; Suri, J.S. Deep learning fully convolution network for lumen characterization in diabetic patients using carotid ultrasound: A tool for stroke risk. Med. Biol. Eng. Comput. 2019, 57, 543–564. [Google Scholar] [CrossRef]
- Marone, J.; Balocco, S.; Bolanos, M.; Massa, J.; Radeva, P. Learning the Lumen Border Using a Convolutional Neural Networks Classifier. MICCAI CVII-STENT Workshop. 2016. Available online: http://refbase.cvc.uab.es/files/MBB2016.pdf (accessed on 7 December 2020).
- Chen, F.; Li, Y.; Tian, T.; Cao, F.; Liang, J. Automatic coronary artery lumen segmentation in computed tomography angiography using paired multi-scale 3D CNN. In Medical Imaging 2018: Biomedical Applications in Molecular, Structural, and Functional Imaging; Gimi, B., Krol, A., Eds.; SPIE: Bellingham, WA, USA, 2018. [Google Scholar] [CrossRef]
- Haft-Javaherian, M.; Fang, L.; Muse, V.; Schaffer, C.B.; Nishimuraa, N.; Sabuncu, M.R. Deep Convolutional Neural Networks for Segmenting 3D in Vivo Multiphoton Images of Vasculature in Alzheimer Disease Mouse Models. arXiv 2018, arXiv:1801.00880. [Google Scholar] [CrossRef] [Green Version]
- Mohammadi, S.; Mohammadi, M.; Dehlaghi, V.; Ahmadi, A. Automatic Segmentation, Detection, and Diagnosis of Abdominal Aortic Aneurysm (AAA) Using Convolutional Neural Networks and Hough Circles Algorithm. Cardiovasc. Eng. Technol. 2019, 10, 490–499. [Google Scholar] [CrossRef]
- Cao, L.; Shi, R.; Ge, Y.; Xing, L.; Zuo, P.; Jia, Y.; Liu, J.; He, Y.; Wang, X.; Luan, S.; et al. Fully automatic segmentation of type B aortic dissection from CTA images enabled by deep learning. Eur. J. Radiol. 2019, 121, 108713. [Google Scholar] [CrossRef] [PubMed]
- Guo, Z.; Zhang, L.; Lu, L.; Bagheri, M.; Summers, R.; Sonka, M.; Yao, J. Deep LOGISMOS: Deep learning graph-based 3D segmentation of pancreatic tumors on CT scans. In Proceedings of the 2018 IEEE 15th International Symposium on Biomedical Imaging (ISBI), Washington, DC, USA, 4–7 April 2018; pp. 1230–1233. [Google Scholar]
- Chen, W.; Liu, B.; Peng, S.; Sun, J.; Qiao, X. S3D-UNet: Separable 3D U-Net for Brain Tumor Segmentation. In International MICCAI Brainlesion Workshop; Springer: Cham, Switzerland, 2018; pp. 358–368. [Google Scholar]
- Zeng, Z.; Xie, W.; Zhang, Y.; Lu, Y. RIC-Unet: An Improved Neural Network Based on Unet for Nuclei Segmentation in Histology Images; FIA: Paris, France, 2019; p. 99. [Google Scholar] [CrossRef]
- Norman, B.; Pedoia, V.; Majumdar, S. Use of 2D U-Net Convolutional Neural Networks for Automated Cartilage and Meniscus Segmentation of Knee MR Imaging Data to Determine Relaxometry and Morphometry. Radiology 2018, 288, 177–185. [Google Scholar] [CrossRef] [Green Version]
- Dong, H.Y.G.; Liu, F.; Mo, Y.; Guo, Y. Automatic brain tumor detection and segmentation using U-Net based fully convolutional networks. In Annual Conference on Medical Image Understanding and Analysis; Springer: Cham, Switzerland, 2017; pp. 506–517. [Google Scholar]
- Isensee, F.P.J.; Klein, A.; Zimmerer, D.; Jaeger, P.F.; Kohl, S.; Wasserthal, J.; Koehler, G.; Norajitra, T.; Wirkert, S.; Maier-Hein, K.H. nnu-net: Self-adapting framework for u-net-based medical image segmentation. arXiv 2018, arXiv:1809.10486. [Google Scholar]
- Zheng, J.Q.; Zhou, X.Y.; Li, Q.B.; Riga, C.; Yang, G.Z. Abdominal aortic segmentation with a small number of training subjects. arXiv 2018, arXiv:1804.02943. [Google Scholar]
- Hesamian, M.H.; Jia, W.; He, X.; Kennedy, P. Deep Learning Techniques for Medical Image Segmentation: Achievements and Challenges. J. Digit. Imaging 2019, 32, 582–596. [Google Scholar] [CrossRef] [PubMed] [Green Version]
- López-Linares, K.S.M.; García, I.; Macía, I.; González Ballester, M.Á.; José Estepar, R.S. Abdominal Aortic Aneurysm Segmentation Using Convolutional Neural Networks Trained with Images Generated with a Synthetic Shape Model. In Machine Learning and Medical Engineering for Cardiovascular Health (MLMECH 2019) and Intravascular Imaging and Computer Assisted Stenting (CVII-STENT 2019); Liao, H., Ed.; Lecture Notes in Computer Science; Springer: Cham, Switzerland, 2019; Volume 11794. [Google Scholar]
- Lalys, F.; Yan, V.; Kaladji, A.; Lucas, A.; Esneault, S. Generic thrombus segmentation from pre- and post-operative CTA. Int. J. Comput. Assist. Radiol. Surg. 2017, 12, 1501–1510. [Google Scholar] [CrossRef] [PubMed]
- Zohios, C.; Kossioris, G.; Papaharilaou, Y. Geometrical methods for level set based abdominal aortic aneurysm thrombus and outer wall 2D image segmentation. Comput. Methods Prog. Biomed. 2012, 107, 202–217. [Google Scholar] [CrossRef]
- Dhibi, M.; Puentes, J.; Bressollette, L.; Guias, B.; Solaiman, B. Volume Calculation of Venous Thrombosis Using 2D Ultrasound Images. In Proceedings of the 2005 IEEE Engineering in Medicine and Biology 27th Annual Conference, Shanghai, China, 17–18 January 2006. [Google Scholar]
- Chen, Y.; Navarro, L.; Wang, Y.; Courbebaisse, G. Segmentation of the thrombus of giant intracranial aneurysms from CT angiography scans with lattice Boltzmann method. Med. Image Anal. 2014, 18, 1–8. [Google Scholar] [CrossRef]
- Lee, K.; Johnson, R.K.; Yin, Y.; Wahle, A.; Olszewski, M.E.; Scholz, T.D.; Sonka, M. Three-dimensional thrombus segmentation in abdominal aortic aneurysms using graph search based on a triangular mesh. Comput. Biol. Med. 2010, 40, 271–278. [Google Scholar] [CrossRef] [Green Version]
- Olabarriaga, S.D.; Rouet, J.M.; Fradkin, M.; Breeuwer, M.; Niessen, W.J. Segmentation of thrombus in abdominal aortic aneurysms from CTA with nonparametric statistical grey level appearance modeling. IEEE Trans. Med. Imaging 2005, 24, 477–485. [Google Scholar] [CrossRef]
- Lopez-Linares, K.; Aranjuelo, N.; Kabongo, L.; Maclair, G.; Lete, N.; Ceresa, M.; García-Familiar, A.; Macía, I.; Ballester, M. Ángel G. Fully automatic detection and segmentation of abdominal aortic thrombus in post-operative CTA images using Deep Convolutional Neural Networks. Med. Image Anal. 2018, 46, 202–214. [Google Scholar] [CrossRef] [PubMed] [Green Version]
- Raffort, J.; Adam, C.; Carrier, M.; Lareyre, F. Fundamentals in Artificial Intelligence for Vascular Surgeons. Ann. Vasc. Surg. 2020, 65, 254–260. [Google Scholar] [CrossRef] [PubMed]






| Lumen Segmentation | |||||
| AAA Dataset (n = 623 Slices) | |||||
| Feature-Based Expert System | Hybrid Method | p Value | |||
| Mean +/− Std | Min–Max | Mean +/− Std | Min–Max | ||
| Volume similarity | 0.9046 +/− 0.0622 | 0.4475–0.9928 | 0.9042 +/− 0.0628 | 0.4475–0.9928 | 0.1218 |
| Sensitivity | 0.9554 +/− 0.0422 | 0.6751–1.00 | 0.9550 +/− 0.0424 | 0.6751–1.00 | 0.1024 |
| Specificity | 0.9995 +/− 0.0003 | 0.9966–1.0000 | 0.9995 +/− 0.0003 | 0.9966–1.0000 | 0.1075 |
| Jaccard index | 0.8681 +/− 0.0691 | 0.4156–0.9577 | 0.8674 +/− 0.0696 | 0.4156–0.9577 | 0.0245 |
| Dice similarity coefficient | 0.9278 +/− 0.0432 | 0.5871–0.9784 | 0.9274 +/− 0.0434 | 0.5871–0.9784 | 0.0262 |
| Hausdorff distance | 6.4491 +/− 10.5375 | 1.00–83.0241 | 6.4787 +/− 10.5401 | 1.00–83.0296 | 0.0179 |
| AMI Dataset (n = 529 Slices) | |||||
| Feature-Based Expert System | Hybrid Method | p Value | |||
| Mean +/− Std | Min–Max | Mean +/− Std | Min–Max | ||
| Volume similarity | 0.7912 +/− 0.2743 | 0.0000–1.0000 | 0.8128 +/− 0.2419 | 0.0000–1.0000 | 0.0006 |
| Sensitivity | 0.8334 +/− 0.2765 | 0.0000–1.0000 | 0.8854 +/− 0.1823 | 0.0000–1.0000 | <0.0001 |
| Specificity | 0.9984 +/− 0.0211 | 0.5189–1.0000 | 0.9985 +/− 0.0211 | 0.5189–1.0000 | 0.0009 |
| Jaccard index | 0.7143 +/− 0.2767 | 0.0000–0.9076 | 0.7465 +/− 0.2387 | 0.0000–0.9584 | <0.0001 |
| Dice similarity coefficient | 0.7943 +/− 0.2774 | 0.0000–0.9739 | 0.8266 +/− 0.2354 | 0.0000–0.9747 | <0.0001 |
| Hausdorff distance | 15.4818 +/− 39.8637 | 0.0000–237.3343 | 6.0484 +/− 11.4376 | 0.0000–192.6465 | <0.0001 |
| Thrombus Segmentation | |||||
| AAA Dataset (n = 623 Slices) | |||||
| Feature-Based Expert System | Hybrid Method | p Value | |||
| Mean +/− Std | Min–Max | Mean +/− Std | Min–Max | ||
| Volume similarity | 0.9185 +/− 0.1575 | 0.1605–1.0000 | 0.9404 +/− 0.0775 | 0.4327–1.0000 | 0.0027 |
| Sensitivity | 0.8594 +/− 0.1664 | 0.1401–1.0000 | 0.8665 +/− 0.1457 | 0.1376–1.0000 | <0.0001 |
| Specificity | 0.9990 +/− 0.0023 | 0.9836–1.0000 | 0.9994 +/− 0.0013 | 0.9862–1.0000 | 0.0021 |
| Jaccard index | 0.7711 +/− 0.1895 | 0.1475–0.9648 | 0.8124 +/− 0.1339 | 0.1375–0.9595 | <0.0001 |
| Dice similarity coefficient | 0.8654 +/− 0.1577 | 0.2447–0.9801 | 0.8918 +/− 0.1103 | 0.2337–0.9701 | <0.0001 |
| Hausdorff distance | 8.9412 +/− 9.3995 | 2.0000–50.9932 | 7.5113 +/− 8.8286 | 1.4131–79.1280 | <0.0001 |
Publisher’s Note: MDPI stays neutral with regard to jurisdictional claims in published maps and institutional affiliations. |
© 2021 by the authors. Licensee MDPI, Basel, Switzerland. This article is an open access article distributed under the terms and conditions of the Creative Commons Attribution (CC BY) license (https://creativecommons.org/licenses/by/4.0/).
Share and Cite
Lareyre, F.; Adam, C.; Carrier, M.; Raffort, J. Automated Segmentation of the Human Abdominal Vascular System Using a Hybrid Approach Combining Expert System and Supervised Deep Learning. J. Clin. Med. 2021, 10, 3347. https://doi.org/10.3390/jcm10153347
Lareyre F, Adam C, Carrier M, Raffort J. Automated Segmentation of the Human Abdominal Vascular System Using a Hybrid Approach Combining Expert System and Supervised Deep Learning. Journal of Clinical Medicine. 2021; 10(15):3347. https://doi.org/10.3390/jcm10153347
Chicago/Turabian StyleLareyre, Fabien, Cédric Adam, Marion Carrier, and Juliette Raffort. 2021. "Automated Segmentation of the Human Abdominal Vascular System Using a Hybrid Approach Combining Expert System and Supervised Deep Learning" Journal of Clinical Medicine 10, no. 15: 3347. https://doi.org/10.3390/jcm10153347
APA StyleLareyre, F., Adam, C., Carrier, M., & Raffort, J. (2021). Automated Segmentation of the Human Abdominal Vascular System Using a Hybrid Approach Combining Expert System and Supervised Deep Learning. Journal of Clinical Medicine, 10(15), 3347. https://doi.org/10.3390/jcm10153347
