When the Diagnosis of Mesothelioma Challenges Textbooks and Guidelines
Abstract
1. Introduction
2. Unusual Clinical Presentation
2.1. Mesothelioma in Patients without Definite Asbestos Exposure
2.2. Young Age Does Not Exclude MPM
2.3. Atypical Clinical Onset (Paraneoplastic Syndromes)
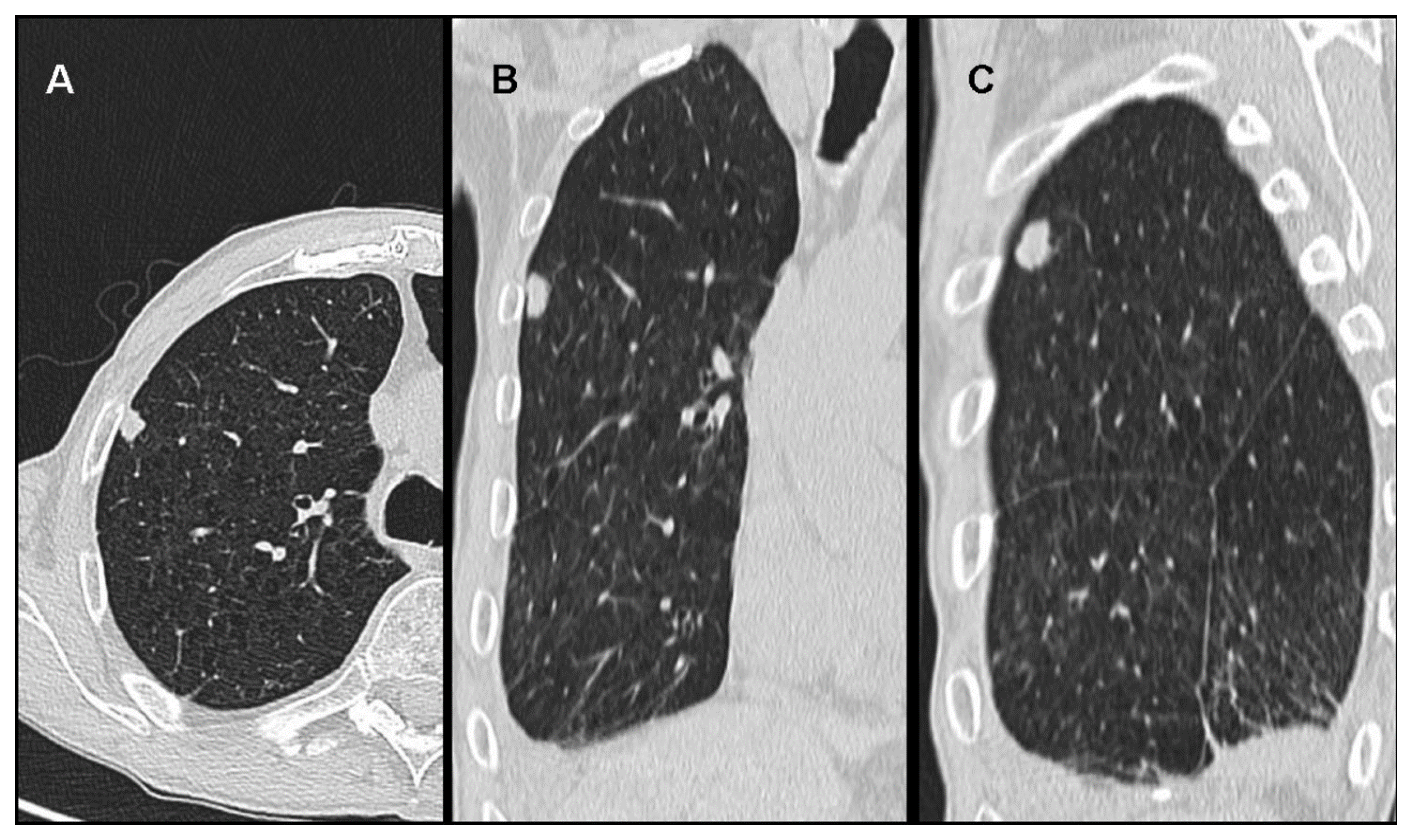
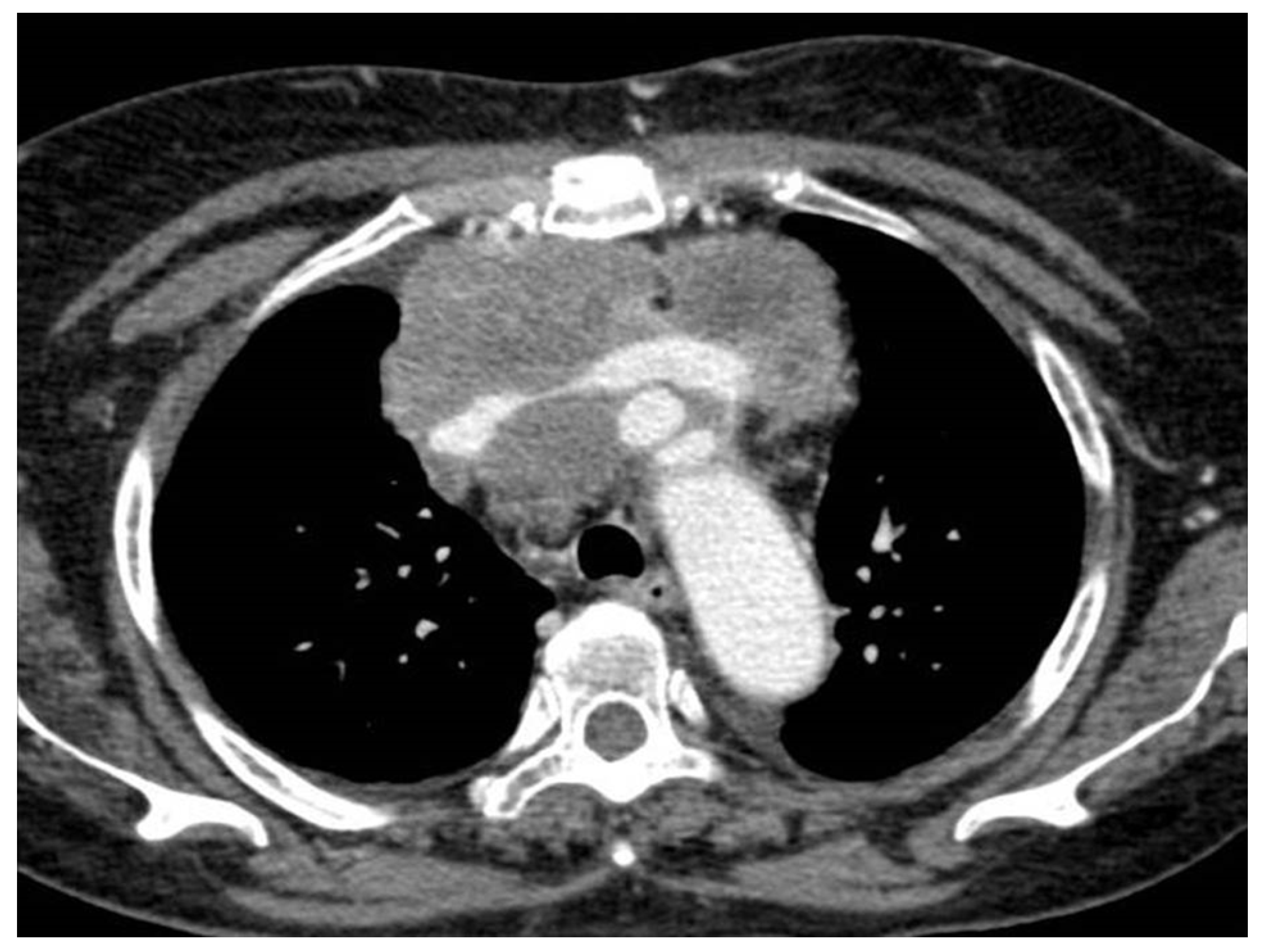
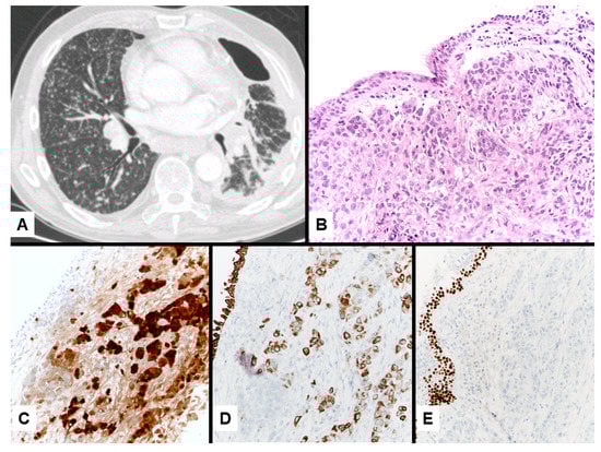
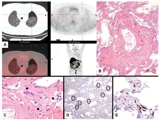
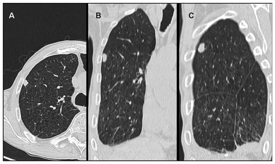
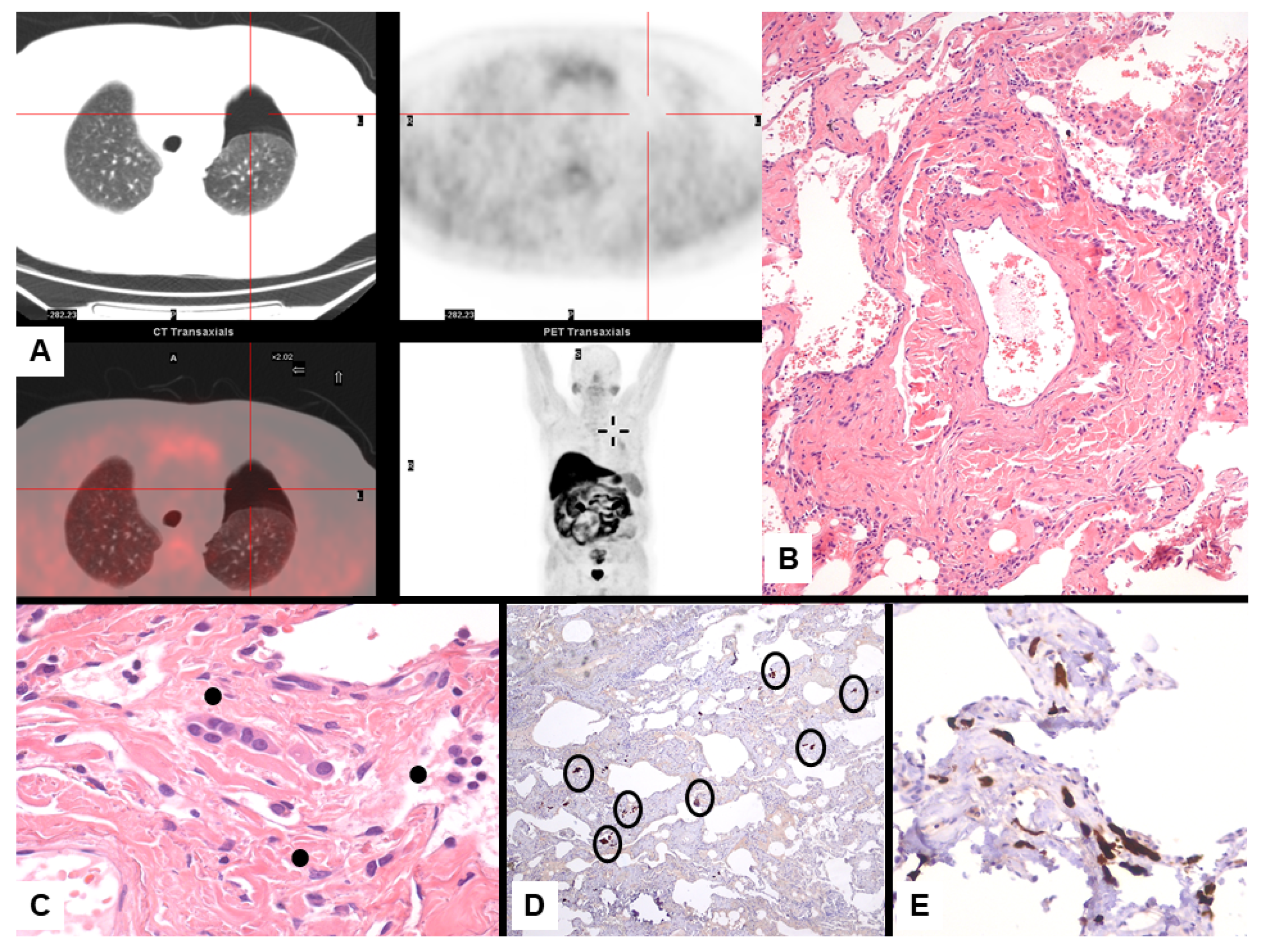
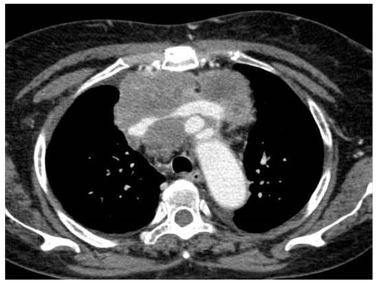
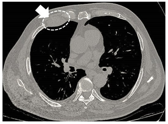
3. Unusual Radiological Presentation
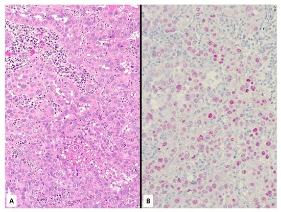
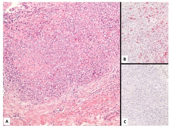
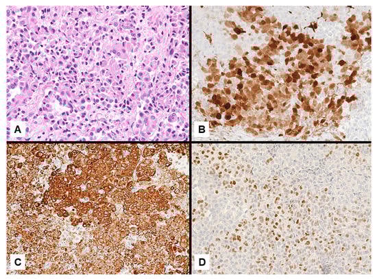
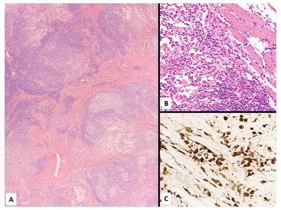
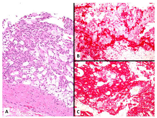
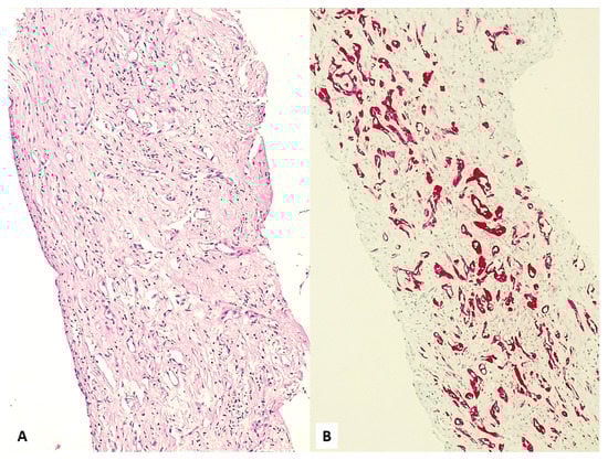
4. Unusual Morphologic and Immunohistochemical Features
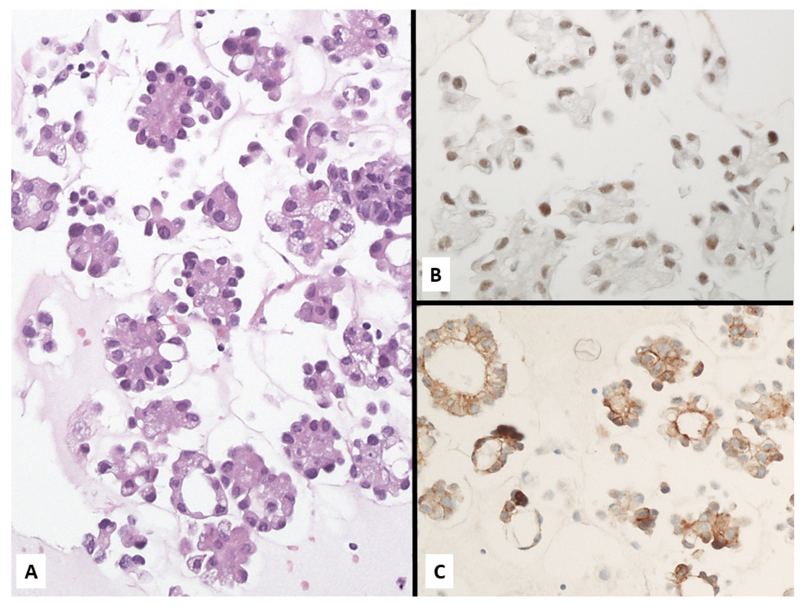
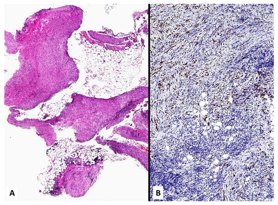
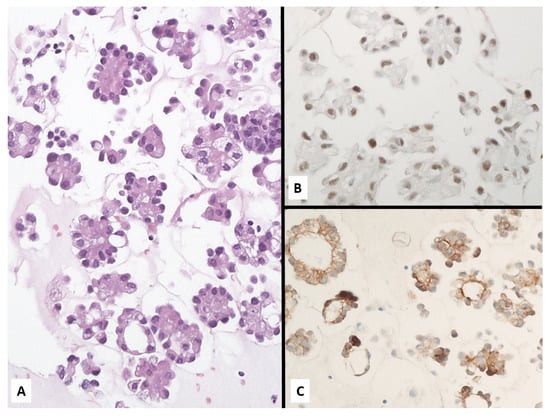
5. Diagnosis of Mesothelioma on Cytology
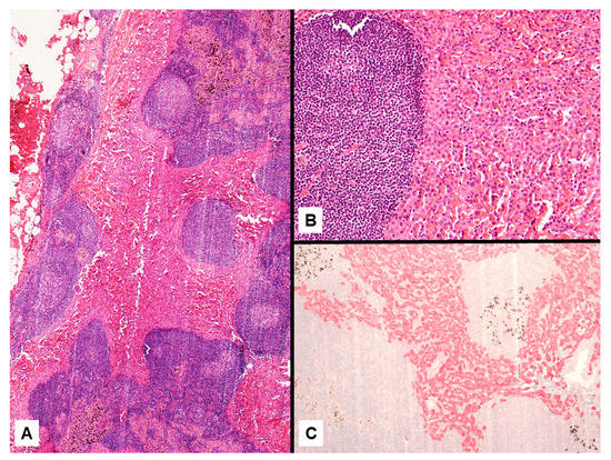
6. Heterogeneity of Mesothelioma
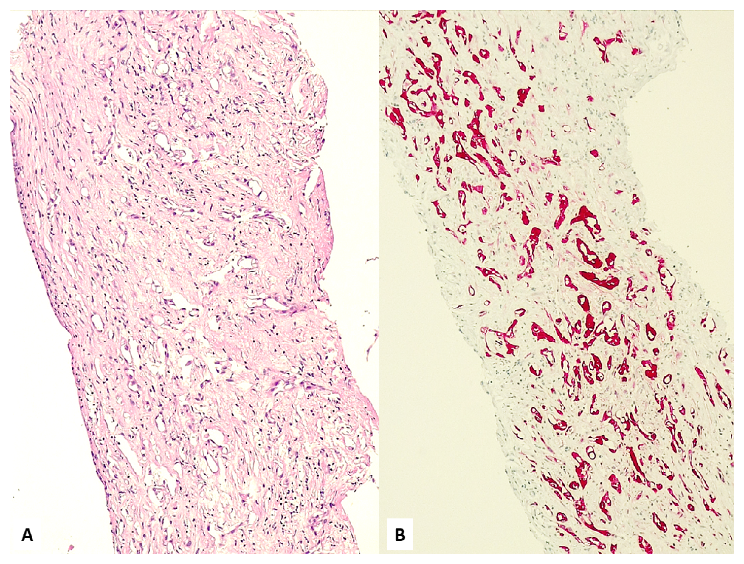
7. Pathologic Findings in Litigations
8. Key Messages
- (1)
- All MPM are potentially medicolegal cases. Pathologists and lawyers should consider the possibility of all unusual presentations of MPM during diagnostic routine practice and medicolegal litigations.
- (2)
- Unusual presentation of MPM may occur on a clinical level, imaging studies, morphology, immunostains, and even in various combinations of the aforementioned conditions.
- (3)
- Diagnosis of MPM with an epithelioid component may be robustly performed on cytology/cell blocks and should not be rejected as priori in absence of a biopsy, requiring a careful correlation among clinic-radiologic findings, cellular atypia, demonstration of mesothelial cell differentiation, and possibly genetic alteration (e.g., CDKN2A or BAP1 loss).
- (4)
- Heterogeneity is an underscored aspect in MPM that will have a deep impact in the next future, involving diagnosis, prognosis, and therapeutic approaches.
Funding
Institutional Review Board Statement
Informed Consent Statement
Conflicts of Interest
References
- Ribak, J.; Lilis, R.; Suzuki, Y.; Penner, L.; Selikoff, I.J. Malignant mesothelioma in a cohort of asbestos insulation workers: Clinical presentation, diagnosis, and causes of death. Occup. Environ. Med. 1988, 45, 182–187. [Google Scholar] [CrossRef]
- Van Zandwijk, N.; Clarke, C.; Henderson, A.W.; Fong, K.; Nowak, A.; Loneragan, R.; McCaughan, B.; Boyer, M.; Feigen, M. Guidelines for the diagnosis and treatment of malignant pleural mesothelioma. J. Thorac. Dis. 2013, 5, E254–E307. [Google Scholar]
- Novello, S.; Pinto, C.; Torri, V.; Porcu, L.; Di Maio, M.; Tiseo, M.; Ceresoli, G.; Magnani, C.; Silvestri, S.; Veltri, A.; et al. The Third Italian Consensus Conference for Malignant Pleural Mesothelioma: State of the art and recommendations. Crit. Rev. Oncol. 2016, 104, 9–20. [Google Scholar] [CrossRef]
- Woolhouse, I.; Bishop, L.; Darlison, L.; De Fonseka, D.; Edey, A.; Edwards, J.; Faivre-Finn, C.; Fennell, D.A.; Holmes, S.; Kerr, K.M.; et al. British Thoracic Society Guideline for the investigation and management of malignant pleural mesothelioma. Thorax 2018, 73, i1–i30. [Google Scholar] [CrossRef] [PubMed]
- Carbone, M.; Adusumilli, P.S.; Alexander, H.R., Jr.; Baas, P.; Bardelli, F.; Bononi, A.; Bueno, R.; Felley-Bosco, E.; Galateau-Salle, F.; Jablons, D.; et al. Mesothelioma: Scientific clues for prevention, diagnosis, and therapy. CA Cancer J. Clin. 2019, 69, 402–429. [Google Scholar] [CrossRef] [PubMed]
- Baas, P.; Fennell, D.; Kerr, K.M.; Van Schil, P.E.; Haas, R.L.; Peters, S. Malignant pleural mesothelioma: ESMO Clinical Practice Guidelines for diagnosis, treatment and follow-up. Ann. Oncol. 2015, 26, v31–v39. [Google Scholar] [CrossRef]
- Nickell, L.T.; Lichtenberger, J.P.; Khorashadi, L.; Abbott, G.F.; Carter, B.W. Multimodality Imaging for Characterization, Classification, and Staging of Malignant Pleural Mesothelioma. Radiographics 2014, 34, 1692–1706. [Google Scholar] [CrossRef] [PubMed]
- Husain, A.N.; Colby, T.V.; Ordóñez, N.G.; Allen, T.C.; Attanoos, R.L.; Beasley, M.B.; Butnor, K.J.; Chirieac, L.R.; Churg, A.M.; Dacic, S.; et al. Guidelines for Pathologic Diagnosis of Malignant Mesothelioma 2017 Update of the Consensus Statement From the International Mesothelioma Interest Group. Arch. Pathol. Lab. Med. 2018, 142, 89–108. [Google Scholar] [CrossRef] [PubMed]
- Rossi, G. Insert: The Dark Side of Mesothelioma. In Malignant Pleural Mesothelioma: A Guide for Clinicians; Giordano, A., Franco, R., Eds.; Elsevier: Amsterdam, The Netherlands, 2019; pp. 91–97. [Google Scholar]
- Hmeljak, J.; Sanchez-Vega, F.; Hoadley, K.A.; Shih, J.; Stewart, C.; Heiman, D.; Tarpey, P.; Danilova, L.; Drill, E.; Gibb, E.A.; et al. Integrative Molecular Characterization of Malignant Pleural Mesothelioma. Cancer Discov. 2018, 8, 1548–1565. [Google Scholar] [CrossRef]
- Quetel, L.; Meiller, C.; Assié, J.; Blum, Y.; Imbeaud, S.; Montagne, F.; Tranchant, R.; De Wolf, J.; Caruso, S.; Copin, M.; et al. Genetic alterations of malignant pleural mesothelioma: Association with tumor heterogeneity and overall survival. Mol. Oncol. 2020, 14, 1207–1223. [Google Scholar] [CrossRef]
- Alcala, N.; Mangiante, L.; Le-Stang, N.; Gustafson, C.E.; Boyault, S.; Damiola, F.; Alcala, K.; Brevet, M.; Thivolet-Bejui, F.; Blanc-Fournier, C.; et al. Redefining malignant pleural mesothelioma types as a continuum uncovers immune-vascular interactions. EBioMedicine 2019, 48, 191–202. [Google Scholar] [CrossRef]
- Attanoos, R.L.; Churg, A.; Galateau-Salle, F.; Gibbs, A.R.; Roggli, V.L. Malignant Mesothelioma and Its Non-Asbestos Causes. Arch. Pathol. Lab. Med. 2018, 142, 753–760. [Google Scholar] [CrossRef]
- Tomasallo, C.D.; Christensen, K.Y.; Raymond, M.; Creswell, P.D.; Anderson, H.A.; Meiman, J.G. An Occupational Legacy. J. Occup. Environ. Med. 2018, 60, 1143–1149. [Google Scholar] [CrossRef] [PubMed]
- Baumann, F.; Ambrosi, J.P.; Carbone, M. Asbestos is not just asbestos: An unrecognized health hazard. Lancet Oncol. 2013, 14, 576–578. [Google Scholar] [CrossRef]
- Carbone, M.; Kanodia, S.; Chao, A.; Miller, A.; Wali, A.; Weissman, D.; Adjei, A.; Baumann, F.; Boffetta, P.; Buck, B.; et al. Consensus Report of the 2015 Weinman International Conference on Mesothelioma. J. Thorac. Oncol. 2016, 11, 1246–1262. [Google Scholar] [CrossRef]
- Baumann, F.; Buck, B.J.; Metcalf, R.V.; McLaurin, B.T.; Merkler, D.J.; Carbone, M. The Presence of Asbestos in the Natural Environment is Likely Related to Mesothelioma in Young Individuals and Women from Southern Nevada. J. Thorac. Oncol. 2015, 10, 731–737. [Google Scholar] [CrossRef]
- Witherby, S.M.; Butnor, K.J.; Grunberg, S.M. Malignant mesothelioma following thoracic radiotherapy for lung cancer. Lung Cancer 2007, 57, 410–413. [Google Scholar] [CrossRef]
- Cavazza, A.; Travis, L.B.; Travis, W.D., 3rd; Foo, M.L.; Gillespie, D.J.; Weidner, N.; Colby, T.V. Post-irradiation malignant mesothelioma. Cancer 1996, 77, 1379–1385. [Google Scholar] [CrossRef]
- Deutsch, M.; Land, S.R.; Begovic, M.; Cecchini, R.; Wolmark, N. An Association Between Postoperative Radiotherapy for Primary Breast Cancer in 11 National Surgical Adjuvant Breast and Bowel Project (NSABP) Studies and the Subsequent Appearance of Pleural Mesothelioma. Am. J. Clin. Oncol. 2007, 30, 294–296. [Google Scholar] [CrossRef]
- Kane, M.J.; Chahinian, A.P.; Holland, J.F. Malignant mesothelioma in young adults. Cancer 1990, 65, 1449–1455. [Google Scholar] [CrossRef]
- Fernandez-Cuesta, L.; Mangiante, L.; Alcala, N.; Foll, M. Challenges in lung and thoracic pathology: Molecular advances in the classification of pleural mesotheliomas. Virchows Archiv 2021, 478, 73–80. [Google Scholar] [CrossRef]
- Masclef, L.; Ahmed, O.; Estavoyer, B.; Larrivée, B.; Labrecque, N.; Nijnik, A.; Affar, E.B. Roles and mechanisms of BAP1 deubiquitinase in tumor suppression. Cell Death Differ. 2021, 28, 606–625. [Google Scholar] [CrossRef] [PubMed]
- Ladanyi, M. Implications of P16/CDKN2A deletion in pleural mesotheliomas. Lung Cancer 2005, 49, S95–S98. [Google Scholar] [CrossRef] [PubMed]
- Sato, T.; Sekido, Y. NF2/Merlin Inactivation and Potential Therapeutic Targets in Mesothelioma. Int. J. Mol. Sci. 2018, 19, 988. [Google Scholar] [CrossRef] [PubMed]
- Sekido, Y. Molecular pathogenesis of malignant mesothelioma. Carcinogenesis 2013, 34, 1413–1419. [Google Scholar] [CrossRef] [PubMed]
- Desmeules, P.; Joubert, P.; Zhang, L.; Al-Ahmadie, H.A.; Fletcher, C.D.; Vakiani, E.; Delair, D.F.; Rekhtman, N.; Ladanyi, M.; Travis, W.D.; et al. A Subset of Malignant Mesotheliomas in Young Adults Are Associated with Recurrent EWSR1/FUS-ATF1 Fusions. Am. J. Surg. Pathol. 2017, 41, 980–988. [Google Scholar] [CrossRef]
- Vivero, M.; Bueno, R.; Chirieac, L.R. Clinicopathologic and genetic characteristics of young patients with pleural diffuse malignant mesothelioma. Mod. Pathol. 2018, 31, 122–131. [Google Scholar] [CrossRef] [PubMed]
- Mazurek, J.M.; Syamlal, G.; Wood, J.M.; Hendricks, S.A.; Weston, A. Malignant Mesothelioma Mortality—United States, 1999–2015. MMWR 2017, 66, 214–218. [Google Scholar] [CrossRef]
- Argani, P.; Lian, D.W.Q.; Agaimy, A.; Metzler, M.; Wobker, S.E.; Matoso, A.; Epstein, J.I.; Sung, Y.S.; Zhang, L.; Antonescu, C.R. Pediatric Mesothelioma with ALK Fusions: A Molecular and Pathologic Study of 5 Cases. Am. J. Surg. Pathol. 2021, 45, 653–661. [Google Scholar] [CrossRef]
- Mian, I.; Abdullaev, Z.; Morrow, B.; Kaplan, R.N.; Gao, S.; Miettinen, M.; Schrump, D.S.; Zgonc, V.; Wei, J.S.; Khan, J.; et al. Anaplastic Lymphoma Kinase Gene Rearrangement in Children and Young Adults with Mesothelioma. J. Thorac. Oncol. 2020, 15, 457–461. [Google Scholar] [CrossRef]
- Hung, Y.P.; Dong, F.; Watkins, J.C.; Nardi, V.; Bueno, R.; Dal Cin, P.; Godleski, J.J.; Crum, C.P.; Chirieac, L.R. Identification of ALK Rear-rangements in Malignant Peritoneal Mesothelioma. JAMA Oncol. 2018, 4, 235–238. [Google Scholar] [CrossRef]
- Arnold, S.M.; Lieberman, F.S.; Foon, K.A. Paraneoplastic syndromes. In Cancer: Principles and Practice of Oncology, 7th ed.; DeVita, V.T., Jr., Hellman, S., Rosenberg, S.A., Eds.; Lippincott Williams & Wilkins: Philadelphia, PA, USA, 2005. [Google Scholar]
- Siafakas, N.M.; Tsirogiannis, K.; Filaditaki, B.; Sotsiou, F.; Vamvasakis, M. Pleural mesothelioma and the syndrome of inappropriate secretion of antidiuretic hormone. Thorax 1984, 39, 872–873. [Google Scholar] [CrossRef] [PubMed]
- Li, J.Y.; Yong, T.Y.; Kuss, B.J.; Klebe, S.; Kotasek, D.; Barbara, J.A. Malignant pleural mesothelioma with associated minimal change disease and acute renal failure. Ren. Fail. 2010, 32, 1012–1015. [Google Scholar] [CrossRef] [PubMed]
- Tucker, S.C.; Coulson, I.H.; Salman, W.; Kendra, J.R.; Johnson, C.E. Mesothelioma-associated antiphospholipid antibody syndrome presenting with cutaneous infarction and neuropathy. Br. J. Dermatol. 1998, 138, 1092–1094. [Google Scholar] [CrossRef] [PubMed]
- Bech, C.; Sørensen, J.B. Polyneuropathy in a Patient with Malignant Pleural Mesothelioma: A Paraneoplastic Syndrome. J. Thorac. Oncol. 2008, 3, 1359–1360. [Google Scholar] [CrossRef] [PubMed]
- Wong, S.F.; Newland, L.; John, T.; White, S.C. Paraneoplastic leukocytoclastic vasculitis as an initial presentation of malignant pleural mesothelioma: A case report. J. Med. Case Rep. 2012, 6, 261. [Google Scholar] [CrossRef]
- Bin Waqar, A.; Menzies, D.; Casey, M.; Doran, M. Paraneoplastic phenomenon in mesothelioma. Thorax 2019, 74, 719–720. [Google Scholar] [CrossRef]
- Vogrig, A.; Joubert, B.; Maureille, A.; Thomas, L.; Bernard, E.; Streichenberger, N.; Cotton, F.; Ducray, F.; Honnorat, J. Motor neuron involvement in anti-Ma2-associated paraneoplastic neurological syndrome. J. Neurol. 2018, 266, 398–410. [Google Scholar] [CrossRef]
- Gotfried, M.H.; Quan, S.F.; Sobonya, R.E. Diffuse Epithelial Pleural Mesothelioma Presenting as a Solitary Lung Mass. Chest 1983, 84, 99–101. [Google Scholar] [CrossRef]
- Allen, T.C.; Cagle, P.T.; Churg, A.M.; Colby, T.V.; Gibbs, A.R.; Hammar, S.P.; Corson, J.M.; Grimes, M.M.; Ordonez, N.G.; Roggli, V.; et al. Localized Malignant Mesothelioma. Am. J. Surg. Pathol. 2005, 29, 866–873. [Google Scholar] [CrossRef]
- Marchevsky, A.M.; Khoor, A.; Walts, A.E.; Nicholson, A.G.; Zhang, Y.Z.; Roggli, V.; Carney, J.; Roden, A.C.; Tazelaar, H.D.; Larsen, B.T.; et al. Localized malignant mesothelioma, an unusual and poorly characterized neoplasm of serosal origin: Best current evidence from the literature and the International Mesothelioma Panel. Mod. Pathol. 2019, 33, 281–296. [Google Scholar] [CrossRef]
- Rossi, G.; Caroli, G.; Caruso, D.; Stella, F.; Davoli, F. Pseudocarcinomatous Mesothelioma: A Hitherto Unreported Presentation closely simulating primary lung cancer. Int. J. Surg. Pathol. 2021, 24. [Google Scholar] [CrossRef]
- Larsen, B.T.; Klein, J.R.; Hornychová, H.; Nuti, R.; Thirumala, S.; Leslie, K.O.; Colby, T.V.; Tazelaar, H.D. Diffuse intrapulmonary ma-lignant mesothelioma masquerading as interstitial lung disease: A distinctive variant of mesothelioma. Am. J. Surg. Pathol. 2013, 37, 1555–1564. [Google Scholar] [CrossRef]
- Lacle, M.M.; Van Oosterhout, M.F. An Unusual Presentation of Malignant Pleural Mesothelioma. J. Thorac. Oncol. 2013, 8, e63–e64. [Google Scholar] [CrossRef]
- Rossi, G.; Cavazza, A.; Turrini, E.; Costantini, M.; Casali, C.; Morandi, U.; Dallari, R. Exclusive Intrapulmonary Lepidic Growth of a Malignant Pleural Mesothelioma Presenting with Pneumothorax and Involving the Peritoneum. Int. J. Surg. Pathol. 2006, 14, 234–237. [Google Scholar] [CrossRef]
- Lococo, F.; Marchesini, G.; Taddei, S.; Rapicetta, C. An insidious cause of spontaneous pneumothorax in an elderly woman. Eur. J. Cardio Thoracic Surg. 2015, 49, e63–e64. [Google Scholar] [CrossRef] [PubMed][Green Version]
- Hassan, I.; Goolam-Mahomed, A. An unusual cause of an anterior mediastinal mass. Respir. Med. Case Rep. 2014, 12, 52–54. [Google Scholar] [CrossRef]
- Matsuoka, K. Malignant Pleural Mesothelioma Presenting as Acute Empyema with Severe Leukocytosis. Ann. Thorac. Cardiovasc. Surg. 2014, 20, 513–516. [Google Scholar] [CrossRef] [PubMed]
- Darley, D.R.; Granger, E.; Glanville, A.R. Chest pain and recurrent chylothorax: An unusual presentation of malignant pleural mesothelioma. Respirol. Case Rep. 2017, 5, e00250. [Google Scholar] [CrossRef]
- Benninger, L.A.; Ross, J.A.; Leon, M.E.; Reddy, R. An unusual case of chylothorax. Respir. Med. Case Rep. 2018, 25, 318–322. [Google Scholar] [CrossRef] [PubMed]
- Kurtipek, E.; Karanis, M.I.E.; Düzgün, N.; Esme, H.; Çaycı, M. A Cause of Bilateral Chylothorax: A Case of Mesothelioma without Pleural Involvement during Initial Diagnosis. Case Rep. Pulmonol. 2015, 2015, 1–4. [Google Scholar] [CrossRef] [PubMed][Green Version]
- Knipscheer, B.; Kromontono, R.; De Bruin, P.; Van Strijen, M.; Herder, G. Two malignancies or an unusual presentation of a pleural malignancy? Lung Cancer 2013, 81, 306–307. [Google Scholar] [CrossRef] [PubMed]
- Lester, T.; Xu, H. Malignant Pleural Mesothelioma with Osseous Metastases and Pathologic Fracture of Femoral Neck. Appl. Immunohistochem. Mol. Morphol. 2008, 16, 507–509. [Google Scholar] [CrossRef] [PubMed]
- Framarino-Dei-Malatesta, M.; Sammartino, P.; Derme, M.; Iannini, I.; Masselli, G.; Pecorella, I. Breast cancer or metastasis? An unusual case of metastatic malignant pleural mesothelioma to the breast. World, J. Surg. Oncol. 2015, 13, 79. [Google Scholar] [CrossRef][Green Version]
- Ambroggi, M.; Orlandi, E.; Foroni, R.P.; Cavanna, L. Malignant pleural mesothelioma metastatic to the submandibular salivary gland, simulating glandular hypertrophy, diagnosed by fine-needle aspiration biopsy: A case report and literature review. World J. Surg. Oncol. 2014, 12, 129. [Google Scholar] [CrossRef]
- Gocho, K.; Isobe, K.; Kaburaki, K.; Honda, Y.; Mitsuda, A.; Akasaka, Y.; Shimada, N.; Takagi, K.; Homma, S. Malignant pleural meso-thelioma presenting as an acute surgical abdomen due to metastatic jejunal perforation. Intern Med. 2010, 49, 597–601. [Google Scholar] [CrossRef]
- Zardawi, S.J.; Li, B.T.; Zauderer, M.G.; Wang, J.W.; Atmore, B.B.; Barnes, T.A.; Pavlakis, N.; Mathur, M.N.; Clarke, S. Localized malignant pleural mesothelioma with renal metastasis. Oxf. Med. Case Rep. 2015, 2015, 170–172. [Google Scholar] [CrossRef]
- Campbell, G.D.; Greenberg, S.D. Pleural Mesothelioma with Calcified Liver Metastases. Chest 1981, 79, 229–230. [Google Scholar] [CrossRef]
- Rapicetta, C.; Taddei, S.; Casali, M.; Valli, R.; Lococo, F.; Treglia, G.; Paci, M. Metástasis infrecuente de mesotelioma pleural detectada mediante 18 F-FDG PET/TC de cuerpo entero. Rev. Española Med. Nuclear Imagen Mol. 2018, 37, 125–127. [Google Scholar] [CrossRef]
- Kubota, K.; Furuse, K.; Kawahara, M.; Ogawara, M.; Ryu, S.; Yamamoto, S. A Case of Malignant Pleural Mesothelioma with Metastasis to the Orbit. Jpn. J. Clin. Oncol. 1996, 26, 469–471. [Google Scholar] [CrossRef][Green Version]
- Lin, Y.-T.; Wu, B.-S.; Yang, S.-F.; Chen, H.-C. Isolated Pancreatic Metastasis of a Malignant Pleural Mesothelioma. Kaohsiung J. Med. Sci. 2009, 25, 395–400. [Google Scholar] [CrossRef]
- Arslan, A.; Ozcakir-Tomruk, C.; Deniz, E.; Akin, O. A case report of metastasis of malignant mesothelioma to the retromolar trigone. World J. Surg. Oncol. 2016, 14, 188. [Google Scholar] [CrossRef]
- Maiorana, A.; Giusti, F.; Cesinaro, A.M.; Conti, A.; Rossi, G.; Maiorana, A.; Rossi, A. Cutaneous metastases as the first manifestation of pleural malignant mesothelioma. J. Am. Acad. Dermatol. 2006, 54, 363–365. [Google Scholar] [CrossRef]
- Ward, R.E.; Ali, S.A.; Kuhar, M. Epithelioid malignant mesothelioma metastatic to the skin: A case report and review of the liter-ature. J. Cutan Pathol. 2017, 44, 1057–1063. [Google Scholar] [CrossRef] [PubMed]
- Klebanov, N.; Reddy, B.Y.; Husain, S.; Silvers, D.N.; Grossman, M.E.; Tsao, H. Cutaneous Presentation of Mesothelioma with a Sarcomatoid Transformation. Am. J. Dermatopathol. 2018, 40, 378–382. [Google Scholar] [CrossRef] [PubMed]
- Sridhar, K.S.; Hussein, A.M.; Ganjei, P.; Thurer, R.J.; Raskin, N.; Beattie, E.J. Brain Metastases in Malignant Pleural Mesothelioma. Am. J. Clin. Oncol. 1989, 12, 222–228. [Google Scholar] [CrossRef]
- Yamagishi, T.; Fujimoto, N.; Miyamoto, Y.; Asano, M.; Fuchimoto, Y.; Wada, S.; Kitamura, K.; Ozaki, S.; Nishi, H.; Kishimoto, T. Brain metastases in malignant pleural mesothelioma. Clin. Exp. Metastasis 2015, 33, 231–237. [Google Scholar] [CrossRef]
- Smith, M.; Colby, T. The diagnosis of thoracic malignant mesothelioma: Practical considerations and recent developments. Turk. J. Pathol. 2014, 30, 1–10. [Google Scholar] [CrossRef]
- Rossi, G.; Mengoli, M.C.; Cavazza, A. Update in neoplastic pleuro-pulmonary pathology. The ignorant mesothelioma. Pathologica 2014, 106, 108–109. [Google Scholar]
- Ordóñez, N.G. Deciduoid mesothelioma: Report of 21 cases with review of the literature. Mod. Pathol. 2012, 25, 1481–1495. [Google Scholar] [CrossRef] [PubMed]
- Ordóñez, N.G. Mesothelioma with clear cell features: An ultrastructural and immunohistochemical study of 20 cases. Hum. Pathol. 2005, 36, 465–473. [Google Scholar] [CrossRef]
- Mayall, F.G.; Gibbs, A.R. The histology and immunohistochemistry of small cell mesothelioma. Histopathology 1992, 20, 47–51. [Google Scholar] [CrossRef] [PubMed]
- Cavazza, A.; Rossi, G.; Agostini, L.; Facciolongo, N.; De Marco, L.; Putrino, I.; Gardini, G. Small cell mesothelioma of the pleura: A case report. Pathologica 2002, 94, 247–252. [Google Scholar] [CrossRef] [PubMed]
- Wang, H.; Herath, C. Signet ring cell mesothelioma; A diagnostic challenge. Pathol. Res. Pr. 2019, 215, 152462. [Google Scholar] [CrossRef] [PubMed]
- Ordonez, N.G.; Ord, N.G. Mesothelioma with signet-ring cell features: Report of 23 cases. Mod. Pathol. 2013, 26, 370–384. [Google Scholar] [CrossRef] [PubMed]
- Kadota, K.; Suzuki, K.; Sima, C.S.; Rusch, V.W.; Adusumilli, P.S.; Travis, W.D. Pleomorphic Epithelioid Diffuse Malignant Pleural Mesothelioma: A Clinicopathological Review and Conceptual Proposal to Reclassify as Biphasic or Sarcomatoid Mesothelioma. J. Thorac. Oncol. 2011, 6, 896–904. [Google Scholar] [CrossRef]
- Weissferdt, A.; Kalhor, N.; Suster, S. Malignant mesothelioma with prominent adenomatoid features: A clinicopathologic and immunohistochemical study of 10 cases. Ann. Diagn. Pathol. 2011, 15, 25–29. [Google Scholar] [CrossRef] [PubMed]
- Galateau-Sallé, F.; Attanoos, R.; Gibbs, A.R.; Burke, L.; Astoul, P.; Rolland, P.; Ilg, A.G.S.; Pairon, J.C.; Brochard, P.; Begueret, H.; et al. Lymphohistiocytoid Variant of Malignant Mesothelioma of the Pleura: A Series of 22 Cases. Am. J. Surg. Pathol. 2007, 31, 711–716. [Google Scholar] [CrossRef] [PubMed]
- Beasley, M.B.; Galateau-Salle, F.; Dacic, S. Pleural mesothelioma classification update. Virchows Archiv 2021, 478, 59–72. [Google Scholar] [CrossRef]
- Suster, S.; Moran, C.A. Applications and Limitations of Immunohistochemistry in the Diagnosis of Malignant Mesothelioma. Adv. Anat. Pathol. 2006, 13, 316–329. [Google Scholar] [CrossRef]
- Case, B.W. Pathology analysis for mesothelioma study in the United Kingdom: Current practice and historical development. J. Toxicol. Environ. Health Part B 2016, 19, 201–212. [Google Scholar] [CrossRef]
- Miettinen, M.; Sarlomo-Rikala, M. Expression of Calretinin, Thrombomodulin, Keratin 5, and Mesothelin in Lung Carcinomas of Different Types. Am. J. Surg. Pathol. 2003, 27, 150–158. [Google Scholar] [CrossRef]
- Comin, C.E.; Novelli, L.; Cavazza, A.; Rotellini, M.; Cianchi, F.; Messerini, L. Expression of thrombomodulin, calretinin, cytokeratin 5/6, D2-40 and WT-1 in a series of of primary carcinoma of the lung: An immunohistochemical study in comparison with ep-itheliod pleural mesothelioma. Tumori 2014, 100, 559–567. [Google Scholar]
- Kushitani, K.; Amatya, V.J.; Okada, Y.; Katayama, Y.; Mawas, A.S.; Miyata, Y.; Okada, M.; Inai, K.; Kishimoto, T.; Takeshima, Y. Utility and pitfalls of immunohistochemistry in the differential diagnosis between epithelioid mesothelioma and poorly differentiated lung squamous cell carcinoma. Histopathology 2016, 70, 375–384. [Google Scholar] [CrossRef]
- Matsuda, M.; Ninomiya, H.; Wakejima, R.; Inamura, K.; Okumura, S.; Mun, M.; Kitagawa, M.; Ishikawa, Y. Calretinin-expressing lung adenocarcinoma: Distinct characteristics of advanced stages, smoker-type features, and rare expression of other mesothelial markers are useful to differentiate epithelioid mesothelioma. Pathol. Res. Pr. 2020, 216, 152817. [Google Scholar] [CrossRef]
- Le Stang, N.; Burke, L.; Blaizot, G.; Gibbs, A.R.; LeBailly, P.; Clin, B.; Girard, N.; Galateau-Sallé, F.; Networks, F.T.M.A.E. Differential Diagnosis of Epithelioid Malignant Mesothelioma with Lung and Breast Pleural Metastasis: A Systematic Review Compared with a Standardized Panel of Antibodies—A New Proposal That May Influence Pathologic Practice. Arch. Pathol. Lab. Med. 2019, 144, 446–456. [Google Scholar] [CrossRef] [PubMed]
- Manur, R.; Lamzabi, I. Aberrant Cytokeratin 20 Reactivity in Epithelioid Malignant Mesothelioma: A Case Report. Appl. Immunohistochem. Mol. Morphol. 2019, 27, e93–e96. [Google Scholar] [CrossRef]
- Klebe, S.; Swalling, A.; Jonavicius, L.; Henderson, D.W. An immunohistochemical comparison of two TTF-1 monoclonal antibod-ies in atypical squamous lesions and sarcomatoid carcinoma of the lung, and pleural malignant mesothelioma. J. Clin. Pathol. 2016, 69, 136–141. [Google Scholar] [CrossRef] [PubMed]
- Richter, G.; Heidersdorf, H.; Hirschfeld, D.; Krebbel, F. Positive TTF-1 Expression in Malignant Mesothelioma: A Case Report. Am. J. Case Rep. 2016, 17, 133–136. [Google Scholar] [CrossRef] [PubMed][Green Version]
- Butnor, K.J.; Brownlee, N.A.; Mahar, A.; Pavlisko, E.N.; Sporn, T.A.; Roggli, V.L. Diffuse malignant mesothelioma and synchronous lung cancer: A clinicopathological study of 18 cases. Lung Cancer 2016, 95, 1–7. [Google Scholar] [CrossRef] [PubMed]
- Bs, L.B.; Bs, T.B.; Pironi, F.; Bs, S.S.; Bs, R.B.; Fabbri, E.; Bs, G.D.C.; Rossi, G. The “Brescia panel” (Claudin-4 and BRCA-associated protein 1) in the differential diagnosis of mesotheliomas with epithelioid features versus metastatic carcinomas. Cancer Cytopathol. 2021, 129, 275–282. [Google Scholar] [CrossRef]
- Cigognetti, M.; Lonardi, S.; Fisogni, S.; Balzarini, P.; Pellegrini, V.; Tironi, A.; Bercich, L.; Bugatti, M.; De Rossi, G.; Murer, B.; et al. BAP1 (BRCA1-associated protein 1) is a highly specific marker for differentiating mesothelioma from reactive mesothelial proliferations. Mod. Pathol. 2015, 28, 1043–1057. [Google Scholar] [CrossRef] [PubMed]
- Cozzi, I.; Oprescu, F.A.; Rullo, E.; Ascoli, V. Loss of BRCA1-associated protein 1 (BAP1) expression is useful in diagnostic cyto-pathology of malignant mesothelioma in effusions. Diagn Cytopathol. 2018, 46, 9–14. [Google Scholar] [CrossRef] [PubMed]
- Facchetti, F.; Lonardi, S.; Gentili, F.; Bercich, L.; Falchetti, M.; Tardanico, R.; Baronchelli, C.; Lucini, L.; Santin, A.; Murer, B. Claudin 4 identifies a wide spectrum of epithelial neoplasms and represents a very useful marker for carcinoma versus mesothelioma diagnosis in pleural and peritoneal biopsies and effusions. Virchows Archiv 2007, 451, 669–680. [Google Scholar] [CrossRef] [PubMed]
- Patel, A.; Borczuk, A.C.; Siddiqui, M.T. Utility of Claudin-4 versus BerEP4 and B72. 3 in pleural fluids with metastatic lung ade-nocarcinoma. J. Am. Soc. Cytopathol. 2020, 9, 146–151. [Google Scholar]
- Naso, J.R.; Churg, A. Claudin-4 shows superior specificity for mesothelioma vs non–small-cell lung carcinoma compared with MOC-31 and Ber-EP4. Hum. Pathol. 2020, 100, 10–14. [Google Scholar] [CrossRef]
- Berg, K.B.; Dacic, S.; Miller, C.; Cheung, S.; Churg, A. Utility of Methylthioadenosine Phosphorylase Compared with BAP1 Immunohistochemistry, and CDKN2A and NF2 Fluorescence In Situ Hybridization in Separating Reactive Mesothelial Proliferations From Epithelioid Malignant Mesotheliomas. Arch. Pathol. Lab. Med. 2018, 142, 1549–1553. [Google Scholar] [CrossRef]
- Hida, T.; Hamasaki, M.; Matsumoto, S.; Sato, A.; Tsujimura, T.; Kawahara, K.; Iwasaki, A.; Okamoto, T.; Oda, Y.; Honda, H.; et al. Immunohistochemical detection of MTAP and BAP1 protein loss for mesothelioma diagnosis: Comparison with 9p21 FISH and BAP1 immunohistochemistry. Lung Cancer 2017, 104, 98–105. [Google Scholar] [CrossRef]
- Chapel, D.B.; Schulte, J.J.; Berg, K.; Churg, A.; Dacic, S.; Fitzpatrick, C.; Galateau-Salle, F.; Hiroshima, K.; Krausz, T.; Le Stang, N.; et al. MTAP immunohistochemistry is an accurate and reproducible surrogate for CDKN2A fluorescence in situ hybridization in diagnosis of malignant pleural mesothelioma. Mod. Pathol. 2019, 33, 245–254. [Google Scholar] [CrossRef]
- Ordóñez, N.G. Value of Claudin-4 Immunostaining in the Diagnosis of Mesothelioma. Am. J. Clin. Pathol. 2013, 139, 611–619. [Google Scholar] [CrossRef] [PubMed]
- Marchevsky, A.M.; LeStang, N.; Hiroshima, K.; Pelosi, G.; Attanoos, R.; Churg, A.; Chirieac, L.; Dacic, S.; Husain, A.; Khoor, A.; et al. The differential diagnosis between pleural sarcomatoid mesothelioma and spindle cell/pleomorphic (sarcomatoid) carcinomas of the lung: Evidence-based guidelines from the International Mesothelioma Panel and the MESOPATH National Reference Center. Hum. Pathol. 2017, 67, 160–168. [Google Scholar] [CrossRef]
- Chapel, D.B.; Schulte, J.J.; Husain, A.N.; Krausz, T. Application of immunohistochemistry in diagnosis and management of malignant mesothelioma. Transl. Lung Cancer Res. 2020, 9, S3–S27. [Google Scholar] [CrossRef]
- Monaco, S.; Mehrad, M.; Dacic, S. Recent Advances in the Diagnosis of Malignant Mesothelioma: Focus on Approach in Challenging Cases and in Limited Tissue and Cytologic Samples. Adv. Anat. Pathol. 2018, 25, 24–30. [Google Scholar] [CrossRef]
- Pleura Mesothelioma Guidelines of Italian Association of Medical Oncology (AIOM). Available online: https://aiom.it/wp-content/uploads/2019/10/2019_LG_AIOM_Mesotelioma.pdf (accessed on 17 April 2021).
- Churg, A.; Galateau-Salle, F.; Roden, A.C.; Attanoos, R.; von der Thusen, J.H.; Tsao, M.S.; Chang, N.; De Perrot, M.; Dacic, S. Malig-nant mesothelioma in situ: Morphologic features and clinical outcome. Mod. Pathol. 2020, 33, 297–302. [Google Scholar] [CrossRef]
- Klebe, S.; Nakatani, Y.; Dobra, K.; Butnor, K.J.; Roden, A.C.; Nicholson, A.G.; Marchevsky, A.M.; Husain, A.N.; Segal, A.; Walts, A.E.; et al. The concept of mesothelioma in situ, with consideration of its potential impact on cytology diagnosis. Pathology 2021, 53, 446–453. [Google Scholar] [CrossRef] [PubMed]
- Hjerpe, A.; Ascoli, V.; Bedrossian, C.W.M.; Boon, M.E.; Creaney, J.; Davidson, B.; Dejmek, A.; Dobra, K.; Fassina, A.; Field, A.; et al. Guidelines for the Cytopathologic Diagnosis of Epithelioid and Mixed-Type Malignant Mesothelioma: A secondary publication. Cytopathology 2015, 26, 142–156. [Google Scholar] [CrossRef] [PubMed]
- Mneimneh, W.S.; Jiang, Y.; Harbhajanka, A.; Michael, C.W. Immunochemistry in the work-up of mesothelioma and its differential diagnosis and mimickers. Diagn. Cytopathol. 2021, 49, 582–595. [Google Scholar] [CrossRef] [PubMed]
- Carbone, M.; Shimizu, D.; Napolitano, A.; Tanji, M.; Pass, H.I.; Yang, H.; Pastorino, S. Positive nuclear BAP1 immunostaining helps differentiate non-small cell lung carcinomas from malignant mesothelioma. Oncotarget 2016, 7, 59314–59321. [Google Scholar] [CrossRef] [PubMed]
- Bueno, R.; Reblando, J.; Glickman, J.; Jaklitsch, M.T.; Lukanich, J.M.; Sugarbaker, D.J. Pleural Biopsy: A Reliable Method for Determining the Diagnosis but Not Subtype in Mesothelioma. Ann. Thorac. Surg. 2004, 78, 1774–1776. [Google Scholar] [CrossRef]
- Schulte, J.J.; Chapel, D.B.; Attanoos, R.; Brcic, L.; Burn, J.; Butnor, K.J.; Chang, N.; Chen, H.; Dacic, S.; De Perrot, M.; et al. Comparison of Nuclear Grade, Necrosis, and Histologic Subtype Between Biopsy and Resection in Pleural Malignant Mesothelioma. Am. J. Clin. Pathol. 2021. [Google Scholar] [CrossRef]
- Kiyotani, K.; Park, J.-H.; Inoue, H.; Husain, A.; Olugbile, S.; Zewde, M.; Nakamura, Y.; Vigneswaran, W.T. Integrated analysis of somatic mutations and immune microenvironment in malignant pleural mesothelioma. OncoImmunology 2017, 6, e1278330. [Google Scholar] [CrossRef]
- Wu, D.; Hiroshima, K.; Matsumoto, S.; Nabeshima, K.; Yusa, T.; Ozaki, D.; Fujino, M.; Yamakawa, H.; Nakatani, Y.; Tada, Y.; et al. Di-agnostic usefulness of p16/cdkn2a fish in distinguishing between sarcomatoid mesothelioma and fibrous pleuritis. Am. J. Clin. Pathol. 2013, 139, 39–46. [Google Scholar] [CrossRef]
- Comertpay, S.; Pastorino, S.; Tanji, M.; Mezzapelle, R.; Strianese, O.; Napolitano, A.; Baumann, F.; Weigel, T.; Friedberg, J.; Sugarbaker, P.; et al. Evaluation of clonal origin of malignant mesothelioma. J. Transl. Med. 2014, 12, 301. [Google Scholar] [CrossRef] [PubMed]
- Courtiol, P.; Maussion, C.; Moarii, M.; Pronier, E.; Pilcer, S.; Sefta, M.; Manceron, P.; Toldo, S.; Zaslavskiy, M.; Le Stang, N.; et al. Deep learning-based classification of mesothelioma improves prediction of patient outcome. Nat. Med. 2019, 25, 1519–1525. [Google Scholar] [CrossRef] [PubMed]
- Salle, F.G.; Le Stang, N.; Tirode, F.; Courtiol, P.; Nicholson, A.G.; Tsao, M.-S.; Tazelaar, H.D.; Churg, A.; Dacic, S.; Roggli, V.; et al. Comprehensive Molecular and Pathologic Evaluation of Transitional Mesothelioma Assisted by Deep Learning Approach: A Multi-Institutional Study of the International Mesothelioma Panel from the MESOPATH Reference Center. J. Thorac. Oncol. 2020, 15, 1037–1053. [Google Scholar] [CrossRef] [PubMed]
- Dacic, S.; Le Stang, N.; Husain, A.; Weynand, B.; Beasley, M.B.; Butnor, K.; Chapel, D.; Gibbs, A.; Klebe, S.; Lantuejoul, S.; et al. Interobserver variation in the assessment of the sarcomatoid and transitional components in biphasic mesotheliomas. Mod. Pathol. 2019, 33, 255–262. [Google Scholar] [CrossRef]
- Oehl, K.; Vrugt, B.; Opitz, I.; Meerang, M. Heterogeneity in Malignant Pleural Mesothelioma. Int. J. Mol. Sci. 2018, 19, 1603. [Google Scholar] [CrossRef] [PubMed]
- Wadowski B, De Rienzo A, Bueno R. The Molecular Basis of Malignant Pleural Mesothelioma. Thorac. Surg. Clin. 2020, 30, 383–393. [Google Scholar] [CrossRef]
- Bronte, G.; Delmonte, A.; Burgio, M.A.; Verlicchi, A.; Puccetti, M.; Bravaccini, S.; Cravero, P.; Tumedei, M.M.; Diano, D.; Rossi, G.; et al. Impressive clinical response to anti-PD-1 therapy in epithelioid mesothelioma with high clonal PD-L1 expression and EML4-ALK rearrangement. Lung Cancer 2020, 142, 47–50. [Google Scholar] [CrossRef]
- Wang, N. Pleural mesothelioma: An approach to diagnostic problems. Respirology 1996, 1, 259–271. [Google Scholar] [CrossRef]
- Marchevsky, A.M.; Wick, M.R. Current controversies regarding the role of asbestos exposure in the causation of malignant mesothelioma: The need for an evidence-based approach to develop medicolegal guidelines. Ann. Diagn. Pathol. 2003, 7, 321–332. [Google Scholar] [CrossRef]
- Egilman, D. Fiber types, asbestos potency, and environmental causation: A peer review of published work and legal and regu-latory scientific testimony. Int. J. Occup. Environ. Health 2009, 15, 202–228. [Google Scholar] [CrossRef]
- van der Bij, S.; Baas, P.; van de Vijver, M.J.; de Mol, B.A.; Burgers, J.A. Legal claims for malignant mesothelioma: Dealing with all cases. Lung Cancer 2013, 80, 153–158. [Google Scholar] [CrossRef] [PubMed]
- Klebe, S.; Griggs, K.M.; Ely, M.; Henderson, D.W. Is there a need for expert opinion for biopsy diagnosis of difficult cases of malignant mesothelioma? Pathology 2012, 44, 562–563. [Google Scholar] [CrossRef] [PubMed]
- Dixon, D.-L.; Griggs, K.M.; Ely, M.; Henderson, D.W.; Klebe, S. The usefulness of expert opinion in medicolegal referrals of malignant mesothelioma. Pathology 2013, 45, 523–525. [Google Scholar] [CrossRef] [PubMed]
















Publisher’s Note: MDPI stays neutral with regard to jurisdictional claims in published maps and institutional affiliations. |
© 2021 by the authors. Licensee MDPI, Basel, Switzerland. This article is an open access article distributed under the terms and conditions of the Creative Commons Attribution (CC BY) license (https://creativecommons.org/licenses/by/4.0/).
Share and Cite
Rossi, G.; Davoli, F.; Poletti, V.; Cavazza, A.; Lococo, F. When the Diagnosis of Mesothelioma Challenges Textbooks and Guidelines. J. Clin. Med. 2021, 10, 2434. https://doi.org/10.3390/jcm10112434
Rossi G, Davoli F, Poletti V, Cavazza A, Lococo F. When the Diagnosis of Mesothelioma Challenges Textbooks and Guidelines. Journal of Clinical Medicine. 2021; 10(11):2434. https://doi.org/10.3390/jcm10112434
Chicago/Turabian StyleRossi, Giulio, Fabio Davoli, Venerino Poletti, Alberto Cavazza, and Filippo Lococo. 2021. "When the Diagnosis of Mesothelioma Challenges Textbooks and Guidelines" Journal of Clinical Medicine 10, no. 11: 2434. https://doi.org/10.3390/jcm10112434
APA StyleRossi, G., Davoli, F., Poletti, V., Cavazza, A., & Lococo, F. (2021). When the Diagnosis of Mesothelioma Challenges Textbooks and Guidelines. Journal of Clinical Medicine, 10(11), 2434. https://doi.org/10.3390/jcm10112434

