Higher EU-TIRADS-Score Correlated with BRAF V600E Positivity in the Early Stage of Papillary Thyroid Carcinoma
Abstract
1. Introduction
2. Materials and Methods
2.1. Patients
2.2. DNA and RNA Extraction
2.3. Libraries Preparation and Sequencing
2.4. Data Analysis
2.5. The Cancer Genome Atlas (TCGA) PTC Dataset Exploration
3. Results
4. Discussion
5. Conclusions
Supplementary Materials
Author Contributions
Funding
Institutional Review Board Statement
Informed Consent Statement
Data Availability Statement
Conflicts of Interest
References
- Boufraqech, M.; Nilubol, N. Multi-Omics Signatures and Translational Potential to Improve Thyroid Cancer Patient Outcome. Cancers 2019, 11, 1988. [Google Scholar] [CrossRef] [PubMed]
- Lang, B.H.-H.; Wong, C.K.H. A Cost-Effectiveness Comparison between Early Surgery and Non-Surgical Approach for Incidental Papillary Thyroid Microcarcinoma. Eur. J. Endocrinol. 2015, 173, 367–375. [Google Scholar] [CrossRef]
- Oda, H.; Miyauchi, A.; Ito, Y.; Sasai, H.; Masuoka, H.; Yabuta, T.; Fukushima, M.; Higashiyama, T.; Kihara, M.; Kobayashi, K.; et al. Comparison of the Costs of Active Surveillance and Immediate Surgery in the Management of Low-Risk Papillary Microcarcinoma of the Thyroid. Endocr. J. 2017, 64, 59–64. [Google Scholar] [CrossRef] [PubMed]
- Lloyd, R.V.; Buehler, D.; Khanafshar, E. Papillary Thyroid Carcinoma Variants. Head Neck Pathol. 2011, 5, 51–56. [Google Scholar] [CrossRef] [PubMed]
- Trovisco, V.; Soares, P.; Sobrinho-Simões, M. B-RAF Mutations in the Etiopathogenesis, Diagnosis, and Prognosis of Thyroid Carcinomas. Hum. Pathol. 2006, 37, 781–786. [Google Scholar] [CrossRef]
- Kim, T.H.; Park, Y.J.; Lim, J.A.; Ahn, H.Y.; Lee, E.K.; Lee, Y.J.; Kim, K.W.; Hahn, S.K.; Youn, Y.K.; Kim, K.H.; et al. The Association of the BRAF(V600E) Mutation with Prognostic Factors and Poor Clinical Outcome in Papillary Thyroid Cancer: A Meta-Analysis. Cancer 2012, 118, 1764–1773. [Google Scholar] [CrossRef] [PubMed]
- Liu, R.; Bishop, J.; Zhu, G.; Zhang, T.; Ladenson, P.W.; Xing, M. Mortality Risk Stratification by Combining BRAF V600E and TERT Promoter Mutations in Papillary Thyroid Cancer: Genetic Duet of BRAF and TERT Promoter Mutations in Thyroid Cancer Mortality. JAMA Oncol. 2017, 3, 202–208. [Google Scholar] [CrossRef] [PubMed]
- Xing, M.; Liu, R.; Liu, X.; Murugan, A.K.; Zhu, G.; Zeiger, M.A.; Pai, S.; Bishop, J. BRAF V600E and TERT Promoter Mutations Cooperatively Identify the Most Aggressive Papillary Thyroid Cancer with Highest Recurrence. J. Clin. Oncol. 2014, 32, 2718–2726. [Google Scholar] [CrossRef]
- Shen, X.; Zhu, G.; Liu, R.; Viola, D.; Elisei, R.; Puxeddu, E.; Fugazzola, L.; Colombo, C.; Jarzab, B.; Czarniecka, A.; et al. Patient Age-Associated Mortality Risk Is Differentiated by BRAF V600E Status in Papillary Thyroid Cancer. J. Clin. Oncol. 2018, 36, 438–445. [Google Scholar] [CrossRef] [PubMed]
- Xing, M.; Alzahrani, A.S.; Carson, K.A.; Viola, D.; Elisei, R.; Bendlova, B.; Yip, L.; Mian, C.; Vianello, F.; Tuttle, R.M.; et al. Association between BRAF V600E Mutation and Mortality in Patients with Papillary Thyroid Cancer. JAMA 2013, 309, 1493–1501. [Google Scholar] [CrossRef] [PubMed]
- Acquaviva, G.; Visani, M.; Repaci, A.; Rhoden, K.J.; de Biase, D.; Pession, A.; Giovanni, T. Molecular Pathology of Thyroid Tumours of Follicular Cells: A Review of Genetic Alterations and Their Clinicopathological Relevance. Histopathology 2018, 72, 6–31. [Google Scholar] [CrossRef]
- Wang, S.; Liu, Z.; Sun, S.; Li, X.; Zeng, W.; Xiong, Y.; Guo, Y.; Wang, Y.; Liu, C.; Huang, T. Ultrasound Features Suspicious for Malignancy Predict the Risk of BRAF Mutation in Papillary Thyroid Carcinoma. Int. J. Clin. Exp. Med. 2017, 10, 9470–9475. [Google Scholar]
- Niederer-Wüst, S.M.; Jochum, W.; Förbs, D.; Brändle, M.; Bilz, S.; Clerici, T.; Oettli, R.; Müller, J.; Haile, S.R.; Ess, S.; et al. Impact of Clinical Risk Scores and BRAF V600E Mutation Status on Outcome in Papillary Thyroid Cancer. Surgery 2015, 157, 119–125. [Google Scholar] [CrossRef] [PubMed]
- Nair, C.G.; Babu, M.; Biswas, L.; Jacob, P.; Menon, R.; Revathy, A.K.; Nair, K. Lack of Association of B-Type Raf Kinase V600E Mutation with High-Risk Tumor Features and Adverse Outcome in Conventional and Follicular Variants of Papillary Thyroid Carcinoma. Indian J. Endocrinol. Metab. 2017, 21, 329–333. [Google Scholar] [CrossRef]
- Barbaro, D.; Incensati, R.M.; Materazzi, G.; Boni, G.; Grosso, M.; Panicucci, E.; Lapi, P.; Pasquini, C.; Miccoli, P. The BRAF V600E Mutation in Papillary Thyroid Cancer with Positive or Suspected Pre-Surgical Cytological Finding Is Not Associated with Advanced Stages or Worse Prognosis. Endocrine 2014, 45, 462–468. [Google Scholar] [CrossRef]
- Lewiński, A.; Adamczewski, Z.; Zygmunt, A.; Markuszewski, L.; Karbownik-Lewińska, M.; Stasiak, M. Correlations between Molecular Landscape and Sonographic Image of Different Variants of Papillary Thyroid Carcinoma. J. Clin. Med. 2019, 8, 1916. [Google Scholar] [CrossRef]
- Khadra, H.; Deniwar, A.; Mohsin, K.; Monlezun, D.; Kandil, E. Can Suspicious Ultrasound Features Predict BRAFV600E Status in Papillary Thyroid Cancer? Eur. Thyroid J. 2018, 7, 205–210. [Google Scholar] [CrossRef]
- Kakarmath, S.; Heller, H.T.; Alexander, C.A.; Cibas, E.S.; Krane, J.F.; Barletta, J.A.; Lindeman, N.I.; Frates, M.C.; Benson, C.B.; Gawande, A.A.; et al. Clinical, Sonographic, and Pathological Characteristics of RAS-Positive Versus BRAF-Positive Thyroid Carcinoma. J. Clin. Endocrinol. Metab. 2016, 101, 4938–4944. [Google Scholar] [CrossRef] [PubMed]
- Kabaker, A.S.; Tublin, M.E.; Nikiforov, Y.E.; Armstrong, M.J.; Hodak, S.P.; Stang, M.T.; McCoy, K.L.; Carty, S.E.; Yip, L. Suspicious Ultrasound Characteristics Predict BRAF V600E-Positive Papillary Thyroid Carcinoma. Thyroid 2012, 22, 585–589. [Google Scholar] [CrossRef] [PubMed]
- Baek, H.J.; Kim, D.W.; Lee, Y.J.; Choo, H.J.; Ahn, H.S.; Lim, H.K.; Ryu, J.H. Diagnostic Accuracy of Computed Tomography for Differentiating Diffuse Thyroid Disease from Normal Thyroid Parenchyma: A Multicenter Study. PLoS ONE 2018, 13, e0205507. [Google Scholar] [CrossRef]
- McKenna, A.; Hanna, M.; Banks, E.; Sivachenko, A.; Cibulskis, K.; Kernytsky, A.; Garimella, K.; Altshuler, D.; Gabriel, S.; Daly, M.; et al. The Genome Analysis Toolkit: A MapReduce Framework for Analyzing next-Generation DNA Sequencing Data. Genome Res. 2010, 20, 1297–1303. [Google Scholar] [CrossRef] [PubMed]
- Wang, K.; Li, M.; Hakonarson, H. ANNOVAR: Functional Annotation of Genetic Variants from High-Throughput Sequencing Data. Nucleic Acids Res. 2010, 38, e164. [Google Scholar] [CrossRef] [PubMed]
- Sudmant, P.H.; Rausch, T.; Gardner, E.J.; Handsaker, R.E.; Abyzov, A.; Huddleston, J.; Zhang, Y.; Ye, K.; Jun, G.; Fritz, M.H.-Y.; et al. An Integrated Map of Structural Variation in 2,504 Human Genomes. Nature 2015, 526, 75–81. [Google Scholar] [CrossRef] [PubMed]
- Lek, M.; Karczewski, K.J.; Minikel, E.V.; Samocha, K.E.; Banks, E.; Fennell, T.; O’Donnell-Luria, A.H.; Ware, J.S.; Hill, A.J.; Cummings, B.B.; et al. Analysis of Protein-Coding Genetic Variation in 60,706 Humans. Nature 2016, 536, 285–291. [Google Scholar] [CrossRef]
- Gao, J.; Aksoy, B.A.; Dogrusoz, U.; Dresdner, G.; Gross, B.; Sumer, S.O.; Sun, Y.; Jacobsen, A.; Sinha, R.; Larsson, E.; et al. Integrative Analysis of Complex Cancer Genomics and Clinical Profiles Using the CBioPortal. Sci. Signal. 2013, 6, pl1. [Google Scholar] [CrossRef]
- Hoadley, K.A.; Yau, C.; Hinoue, T.; Wolf, D.M.; Lazar, A.J.; Drill, E.; Shen, R.; Taylor, A.M.; Cherniack, A.D.; Thorsson, V.; et al. Cell-of-Origin Patterns Dominate the Molecular Classification of 10,000 Tumors from 33 Types of Cancer. Cell 2018, 173, 291–304. [Google Scholar] [CrossRef] [PubMed]
- Jeon, E.J.; Jeong, Y.J.; Park, S.H.; Cho, C.H.; Shon, H.S.; Jung, E.D. Ultrasonographic Characteristics of the Follicular Variant Papillary Thyroid Cancer According to the Tumor Size. J. Korean Med. Sci. 2016, 31, 397–402. [Google Scholar] [CrossRef] [PubMed]
- Rhee, S.J.; Hahn, S.Y.; Ko, E.S.; Ryu, J.W.; Ko, E.Y.; Shin, J.H. Follicular Variant of Papillary Thyroid Carcinoma: Distinct Biologic Behavior Based on Ultrasonographic Features. Thyroid 2014, 24, 683–688. [Google Scholar] [CrossRef]
- Zhang, F.; Chen, W. Sonographic Features of Follicular Variant of Papillary Thyroid Carcinoma (FV-PTC) and Diagnostic Performance of the 2017 ACR TI-RADS in FV-PTC. Endocrine 2020, 67, 379–386. [Google Scholar] [CrossRef] [PubMed]
- Kim, H.; Kim, B.H.; Kim, Y.K.; Kim, J.M.; Oh, S.Y.; Kim, E.H.; Lee, M.J.; Kim, J.H.; Jeon, Y.K.; Kim, S.S.; et al. Prevalence of BRAFV600E Mutation in Follicular Variant of Papillary Thyroid Carcinoma and Non-Invasive Follicular Tumor with Papillary-Like Nuclear Features (NIFTP) in a BRAFV600E Prevalent Area. J. Korean Med. Sci. 2018, 33, e75. [Google Scholar] [CrossRef] [PubMed]
- Shin, J.H. Ultrasonographic Imaging of Papillary Thyroid Carcinoma Variants. Ultrasonography 2017, 36, 103–110. [Google Scholar] [CrossRef]
- Kim, G.R.; Shin, J.H.; Hahn, S.Y.; Ko, E.Y.; Oh, Y.L. Ultrasonographic Features and Clinical Characteristics of Warthin-like Variant of Papillary Thyroid Carcinoma. Endocr. J. 2016, 63, 329–335. [Google Scholar] [CrossRef]
- Zhang, Q.; Liu, B.-J.; Ren, W.-W.; He, Y.-P.; Li, X.-L.; Zhao, C.-K.; Zhang, Y.-F.; Yue, W.-W.; Zheng, J.-Y.; Xu, H.-X. Association between BRAF V600E Mutation and Ultrasound Features in Papillary Thyroid Carcinoma Patients with and without Hashimoto’s Thyroiditis. Sci. Rep. 2017, 7, 4899. [Google Scholar] [CrossRef]
- Zatelli, M.C.; Trasforini, G.; Leoni, S.; Frigato, G.; Buratto, M.; Tagliati, F.; Rossi, R.; Cavazzini, L.; Roti, E.; degli Uberti, E.C. BRAF V600E Mutation Analysis Increases Diagnostic Accuracy for Papillary Thyroid Carcinoma in Fine-Needle Aspiration Biopsies. Eur. J. Endocrinol. 2009, 161, 467–473. [Google Scholar] [CrossRef] [PubMed]
- Kim, S.W.; Lee, J.I.; Kim, J.-W.; Ki, C.-S.; Oh, Y.L.; Choi, Y.-L.; Shin, J.H.; Kim, H.K.; Jang, H.W.; Chung, J.H. BRAFV600E Mutation Analysis in Fine-Needle Aspiration Cytology Specimens for Evaluation of Thyroid Nodule: A Large Series in a BRAFV600E-Prevalent Population. J. Clin. Endocrinol. Metab. 2010, 95, 3693–3700. [Google Scholar] [CrossRef]
- Park, S.-J.; Sun, J.Y.H.; Hong, K.; Kwak, J.Y.; Kim, E.-K.; Chung, W.Y.; Choi, J.R. Application of BRAF, NRAS, KRAS Mutations as Markers for the Detection of Papillary Thyroid Cancer from FNAB Specimens by Pyrosequencing Analysis. Clin. Chem. Lab. Med. 2013, 51, 1673–1680. [Google Scholar] [CrossRef]
- Zhang, Y.; Xu, T.; Cui, D.; Li, X.; Yao, Q.; Gong, H.; Liu, X.; Chen, H.; Jiang, L.; Ye, X.; et al. Value of TIRADS, BSRTC and FNA-BRAF V600E Mutation Analysis in Differentiating High-Risk Thyroid Nodules. Sci. Rep. 2015, 5, 16927. [Google Scholar] [CrossRef] [PubMed]
- Nikiforov, Y.E. Role of Molecular Marketers in Thyroid Nodule Management: Then and Now. Endocr. Pract. 2017, 23, 979–988. [Google Scholar] [CrossRef] [PubMed]
- Baloch, Z.W.; LiVolsi, V.A.; Asa, S.L.; Rosai, J.; Merino, M.J.; Randolph, G.; Vielh, P.; DeMay, R.M.; Sidawy, M.K.; Frable, W.J. Diagnostic Terminology and Morphologic Criteria for Cytologic Diagnosis of Thyroid Lesions: A Synopsis of the National Cancer Institute Thyroid Fine-Needle Aspiration State of the Science Conference. Diagn. Cytopathol. 2008, 36, 425–437. [Google Scholar] [CrossRef] [PubMed]
- Nikiforova, M.N.; Mercurio, S.; Wald, A.I.; Barbi de Moura, M.; Callenberg, K.; Santana-Santos, L.; Gooding, W.E.; Yip, L.; Ferris, R.L.; Nikiforov, Y.E. Analytical Performance of the ThyroSeq v3 Genomic Classifier for Cancer Diagnosis in Thyroid Nodules. Cancer 2018, 124, 1682–1690. [Google Scholar] [CrossRef]
- Roman, B.R.; Morris, L.G.; Davies, L. The Thyroid Cancer Epidemic, 2017 Perspective. Curr. Opin. Endocrinol. Diabetes Obes. 2017, 24, 332–336. [Google Scholar] [CrossRef]
- Fnais, N.; Soobiah, C.; Al-Qahtani, K.; Hamid, J.S.; Perrier, L.; Straus, S.E.; Tricco, A.C. Diagnostic Value of Fine Needle Aspiration BRAF(V600E) Mutation Analysis in Papillary Thyroid Cancer: A Systematic Review and Meta-Analysis. Hum. Pathol. 2015, 46, 1443–1454. [Google Scholar] [CrossRef] [PubMed]
- Jinih, M.; Foley, N.; Osho, O.; Houlihan, L.; Toor, A.A.; Khan, J.Z.; Achakzai, A.A.; Redmond, H.P. BRAFV600E Mutation as a Predictor of Thyroid Malignancy in Indeterminate Nodules: A Systematic Review and Meta-Analysis. Eur. J. Surg. Oncol. 2017, 43, 1219–1227. [Google Scholar] [CrossRef] [PubMed]
- Aragon Han, P.; Olson, M.T.; Fazeli, R.; Prescott, J.D.; Pai, S.I.; Schneider, E.B.; Tufano, R.P.; Zeiger, M.A. The Impact of Molecular Testing on the Surgical Management of Patients with Thyroid Nodules. Ann. Surg. Oncol. 2014, 21, 1862–1869. [Google Scholar] [CrossRef]
- Nam, S.Y.; Han, B.-K.; Ko, E.Y.; Kang, S.S.; Hahn, S.Y.; Hwang, J.-Y.; Nam, M.Y.; Kim, J.-W.; Chung, J.H.; Oh, Y.L.; et al. BRAF V600E Mutation Analysis of Thyroid Nodules Needle Aspirates in Relation to Their Ultrasongraphic Classification: A Potential Guide for Selection of Samples for Molecular Analysis. Thyroid 2010, 20, 273–279. [Google Scholar] [CrossRef] [PubMed]
- Moon, H.J.; Kim, E.-K.; Chung, W.Y.; Choi, J.R.; Yoon, J.H.; Kwak, J.Y. Diagnostic Value of BRAF(V600E) Mutation Analysis of Thyroid Nodules According to Ultrasonographic Features and the Time of Aspiration. Ann. Surg. Oncol. 2011, 18, 792–799. [Google Scholar] [CrossRef]
- Seo, J.Y.; Kim, E.-K.; Kwak, J.Y. Additional BRAF Mutation Analysis May Have Additional Diagnostic Value in Thyroid Nodules with “Suspicious for Malignant” Cytology Alone Even When the Nodules Do Not Show Suspicious US Features. Endocrine 2014, 47, 283–289. [Google Scholar] [CrossRef]
- Hahn, S.Y.; Kim, T.H.; Ki, C.S.; Kim, S.W.; Ahn, S.; Shin, J.H.; Chung, J.H. Ultrasound and Clinicopathological Features of Papillary Thyroid Carcinomas with BRAF and TERT Promoter Mutations. Oncotarget 2017, 8, 108946–108957. [Google Scholar] [CrossRef]
- Lee, E.J.; Song, K.-H.; Kim, D.-L.; Jang, Y.-M.; Hwang, T.S.; Kim, S.K. The BRAF(V600E) Mutation Is Associated with Malignant Ultrasonographic Features in Thyroid Nodules. Clin. Endocrinol. 2011, 75, 844–850. [Google Scholar] [CrossRef] [PubMed]
- Hwang, J.; Shin, J.H.; Han, B.-K.; Ko, E.Y.; Kang, S.S.; Kim, J.-W.; Chung, J.H. Papillary Thyroid Carcinoma with BRAFV600E Mutation: Sonographic Prediction. AJR Am. J. Roentgenol. 2010, 194, W425–W430. [Google Scholar] [CrossRef]
- Kwak, J.Y.; Kim, E.-K.; Chung, W.Y.; Moon, H.J.; Kim, M.J.; Choi, J.R. Association of BRAFV600E Mutation with Poor Clinical Prognostic Factors and US Features in Korean Patients with Papillary Thyroid Microcarcinoma. Radiology 2009, 253, 854–860. [Google Scholar] [CrossRef] [PubMed]
- Kim, S.-Y.; Kim, E.-K.; Kwak, J.Y.; Moon, H.J.; Yoon, J.H. What to Do with Thyroid Nodules Showing Benign Cytology and BRAF(V600E) Mutation? A Study Based on Clinical and Radiologic Features Using a Highly Sensitive Analytic Method. Surgery 2015, 157, 354–361. [Google Scholar] [CrossRef]
- Chen, X.; Zhou, Q.; Wang, F.; Zhang, F.; Du, H.; Zhang, Q.; Wu, W.; Gong, X. Value of BRAF V600E in High-Risk Thyroid Nodules with Benign Cytology Results. AJNR Am. J. Neuroradiol. 2018, 39, 2360–2365. [Google Scholar] [CrossRef] [PubMed]
- Haugen, B.R.; Alexander, E.K.; Bible, K.C.; Doherty, G.M.; Mandel, S.J.; Nikiforov, Y.E.; Pacini, F.; Randolph, G.W.; Sawka, A.M.; Schlumberger, M.; et al. 2015 American Thyroid Association Management Guidelines for Adult Patients with Thyroid Nodules and Differentiated Thyroid Cancer: The American Thyroid Association Guidelines Task Force on Thyroid Nodules and Differentiated Thyroid Cancer. Thyroid 2016, 26, 1–133. [Google Scholar] [CrossRef] [PubMed]
- Daliri, M.; Abbaszadegan, M.R.; Bahar, M.M.; Arabi, A.; Yadollahi, M.; Ghafari, A.; Taghehchian, N.; Zakavi, S.R. The Role of BRAF V600E Mutation as a Potential Marker for Prognostic Stratification of Papillary Thyroid Carcinoma: A Long-Term Follow-up Study. Endocr. Res. 2014, 39, 189–193. [Google Scholar] [CrossRef]
- Elisei, R.; Ugolini, C.; Viola, D.; Lupi, C.; Biagini, A.; Giannini, R.; Romei, C.; Miccoli, P.; Pinchera, A.; Basolo, F. BRAF(V600E) Mutation and Outcome of Patients with Papillary Thyroid Carcinoma: A 15-Year Median Follow-up Study. J. Clin. Endocrinol. Metab. 2008, 93, 3943–3949. [Google Scholar] [CrossRef] [PubMed]
- Wang, J.; Liu, L.T.; Cui, D.; He, L.; Liu, D.G. [The co-relation of BRAF V600E mutation and factors affecting occurrence and prognosis of papillary thyroid carcinoma]. Zhonghua Bing Li Xue Za Zhi 2019, 48, 288–292. [Google Scholar] [CrossRef] [PubMed]
- Lin, Z.-M.; Yan, C.-X.; Song, Y.; Hong, Y.-R.; Wen, Q.; Xu, Y.-Y.; Pan, M.-Q.; Ye, Q.; Huang, P.-T. The Features of Contrast Enhanced Ultrasound and BRAF V600E in Papillary Thyroid Carcinoma. J. Thorac. Dis. 2019, 11, 5071–5078. [Google Scholar] [CrossRef]
- Grogan, R.H.; Kaplan, S.P.; Cao, H.; Weiss, R.E.; Degroot, L.J.; Simon, C.A.; Embia, O.M.A.; Angelos, P.; Kaplan, E.L.; Schechter, R.B. A Study of Recurrence and Death from Papillary Thyroid Cancer with 27 Years of Median Follow-Up. Surgery 2013, 154, 1436–1446. [Google Scholar] [CrossRef]
- Hirshoren, N.; Kaganov, K.; Weinberger, J.M.; Glaser, B.; Uziely, B.; Mizrahi, I.; Eliashar, R.; Mazeh, H. Thyroidectomy Practice After Implementation of the 2015 American Thyroid Association Guidelines on Surgical Options for Patients With Well-Differentiated Thyroid Carcinoma. JAMA Otolaryngol. Head Neck Surg. 2018, 144, 427–432. [Google Scholar] [CrossRef]



| BRAF(+), N = 21 Cs | BRAF(-), N = 23 Cs | p-value | |
|---|---|---|---|
| Demographic characteristics | |||
| Age | 45.1, SD 16.1 | 45.6, SD 13.7 | 0.91 |
| Male/Female ratio | 3 M,18 F | 5 M, 18 F | 0.52 |
| Histopathological characteristics | |||
| Max diameter [mm] | 12.7, SD 6.1 | 15.3, SD 12.5 | 0.38 |
| Multifocality | 42.9% | 21.7% | 0.13 |
| Angioinvasion | 42.9% | 34.8% | 0.58 |
| Capsule infiltration or extrathyroidal extension | 47.6% | 21.7% | 0.07 |
| Lymph node metastases at diagnosis | 42.9% | 34.8% | 0.58 |
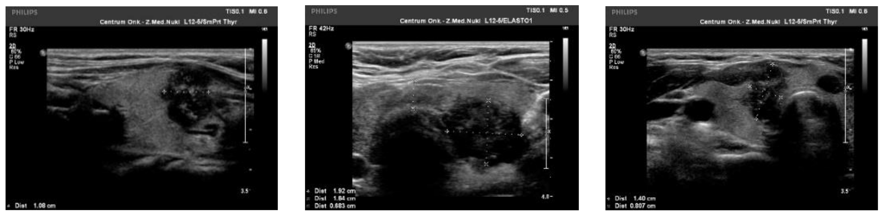
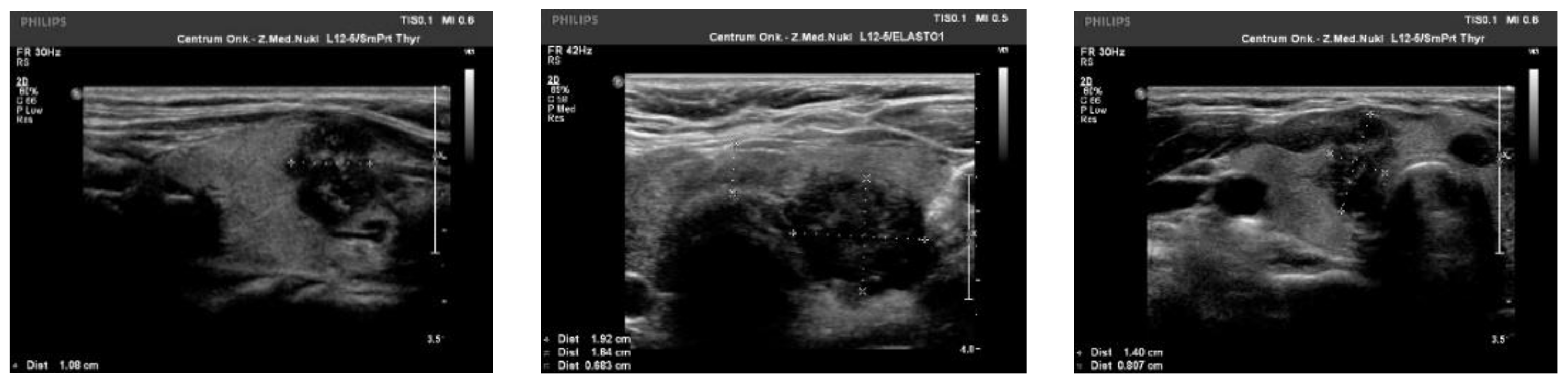
| Sonographic characteristics (pre-surgically) | |||
| Solid | 94.7% | 95.5% | 0.92 |
| Hypoechogenic | 100,0% | 77.3% | 0.03 |
| Taller-than-wide | 68.4% | 40.9% | 0.08 |
| Irregular margins | 95.2% | 78.3% | 0.10 |
| Microcalcifications | 52.4% | 43.5% | 0.55 |
| Absence of “halo” | 81.0% | 60.9% | 0.14 |
| EU-TIRADS, points | 10* | 8.5* | 0.04 |
Publisher’s Note: MDPI stays neutral with regard to jurisdictional claims in published maps and institutional affiliations. |
© 2021 by the authors. Licensee MDPI, Basel, Switzerland. This article is an open access article distributed under the terms and conditions of the Creative Commons Attribution (CC BY) license (https://creativecommons.org/licenses/by/4.0/).
Share and Cite
Skubisz, K.; Januszkiewicz-Caulier, J.; Cybula, P.; Bakuła-Zalewska, E.; Goryca, K.; Paziewska, A.; Ambrożkiewicz, F.; Woliński, K.; Mikula, M.; Ostrowski, J.; et al. Higher EU-TIRADS-Score Correlated with BRAF V600E Positivity in the Early Stage of Papillary Thyroid Carcinoma. J. Clin. Med. 2021, 10, 2304. https://doi.org/10.3390/jcm10112304
Skubisz K, Januszkiewicz-Caulier J, Cybula P, Bakuła-Zalewska E, Goryca K, Paziewska A, Ambrożkiewicz F, Woliński K, Mikula M, Ostrowski J, et al. Higher EU-TIRADS-Score Correlated with BRAF V600E Positivity in the Early Stage of Papillary Thyroid Carcinoma. Journal of Clinical Medicine. 2021; 10(11):2304. https://doi.org/10.3390/jcm10112304
Chicago/Turabian StyleSkubisz, Karolina, Joanna Januszkiewicz-Caulier, Patrycja Cybula, Elwira Bakuła-Zalewska, Krzysztof Goryca, Agnieszka Paziewska, Filip Ambrożkiewicz, Kosma Woliński, Michał Mikula, Jerzy Ostrowski, and et al. 2021. "Higher EU-TIRADS-Score Correlated with BRAF V600E Positivity in the Early Stage of Papillary Thyroid Carcinoma" Journal of Clinical Medicine 10, no. 11: 2304. https://doi.org/10.3390/jcm10112304
APA StyleSkubisz, K., Januszkiewicz-Caulier, J., Cybula, P., Bakuła-Zalewska, E., Goryca, K., Paziewska, A., Ambrożkiewicz, F., Woliński, K., Mikula, M., Ostrowski, J., & Dedecjus, M. (2021). Higher EU-TIRADS-Score Correlated with BRAF V600E Positivity in the Early Stage of Papillary Thyroid Carcinoma. Journal of Clinical Medicine, 10(11), 2304. https://doi.org/10.3390/jcm10112304

