Comparison of Retinal Layer Thickness and Capillary Vessel Density in the Patients with Spontaneously Resolved Acute Central Serous Chorioretinopathy
Abstract
1. Introduction
2. Materials and Methods
2.1. Study Participants
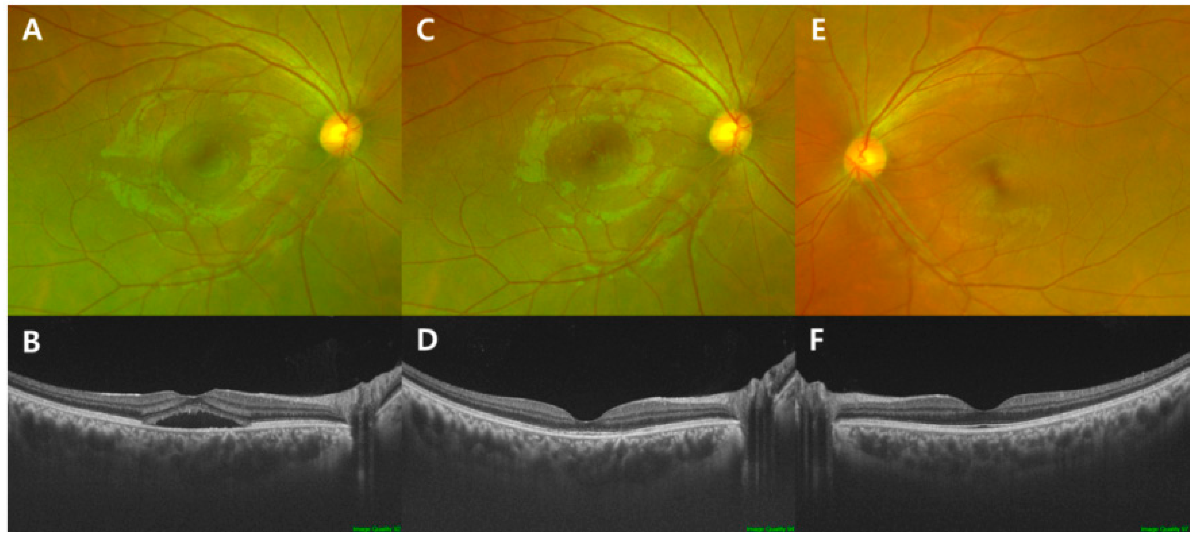
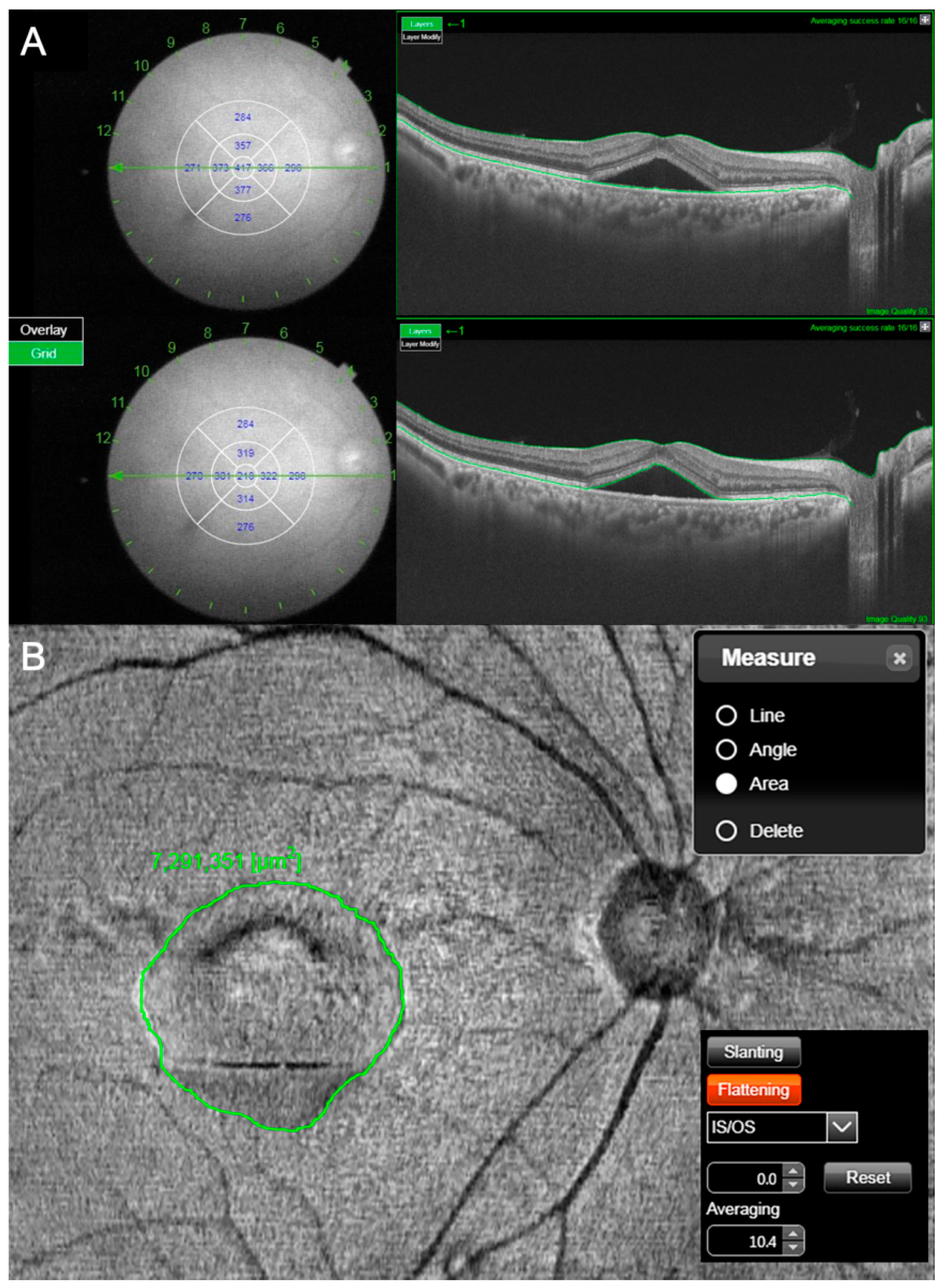
2.2. Optical Coherence Tomography and Angiography Imaging Protocols
2.3. Statistical Analyses
3. Results
3.1. Baseline Patient Demographic Parameters and Clinical Characteristics
3.2. Comparison of Ocular Characteristics
4. Discussion
5. Conclusions
Author Contributions
Funding
Institutional Review Board Statement
Informed Consent Statement
Data Availability Statement
Conflicts of Interest
References
- Montero, J.A.; Ruiz-Moreno, J.M. Optical coherence tomography characterisation of idiopathic central serous chorioretinopathy. Br. J. Ophthalmol. 2005, 89, 562–564. [Google Scholar] [CrossRef] [PubMed]
- Dansingani, K.K.; Balaratnasingam, C.; Naysan, J.; Freund, K.B. En face imaging of pachychoroid spectrum disorders with swept-source optical coherence tomography. Retina 2016, 36, 499–516. [Google Scholar] [CrossRef] [PubMed]
- Gupta, P.; Gupta, V.; Dogra, M.R.; Singh, R.; Gupta, A. Morphological changes in the retinal pigment epithelium on spectral-domain OCT in the unaffected eyes with idiopathic central serous chorioretinopathy. Int. Ophthalmol. 2010, 30, 175–181. [Google Scholar] [CrossRef] [PubMed]
- Yannuzzi, L.A. Central serous chorioretinopathy: A personal perspective. Am. J. Ophthalmol. 2010, 149, 361–363. [Google Scholar] [CrossRef] [PubMed]
- Kamppeter, B.; Jonas, J.B. Central serous chorioretinopathy imaged by optical coherence tomography. Arch. Ophthalmol. 2003, 121, 742–743. [Google Scholar] [CrossRef]
- Fujimoto, H.; Gomi, F.; Wakabayashi, T.; Sawa, M.; Tsujikawa, M.; Tano, Y. Morphologic changes in acute central serous chorioretinopathy evaluated by fourier-domain optical coherence tomography. Ophthalmology 2008, 115, 1494–1500. [Google Scholar] [CrossRef]
- Agrawal, R.; Chhablani, J.; Tan, K.A.; Shah, S.; Sarvaiya, C.; Banker, A. Choroidal vascularity index in central serous chorioretinopathy. Retina 2016, 36, 1646–1651. [Google Scholar] [CrossRef]
- Jirarattanasopa, P.; Ooto, S.; Tsujikawa, A.; Yamashiro, K.; Hangai, M.; Hirata, M.; Matsumote, A.; Yoshimura, N. Assessment of macular choroidal thickness by optical coherence tomography and angiographic changes in central serous chorioretinopathy. Ophthalmology 2012, 119, 1666–1678. [Google Scholar] [CrossRef]
- Kuroda, S.; Ikuno, Y.; Yasuno, Y.; Nakai, K.; Usui, S.; Sawa, M.; Tsujikawa, M.; Gomi, F.; Nishida, K. Choroidal thickness in central serous chorioretinopathy. Retina 2013, 33, 302–308. [Google Scholar] [CrossRef]
- Costanzo, E.; Cohen, S.Y.; Miere, A.; Querques, G.; Capuano, V.; Semoun, O.; El Ameen, A.; Oubraham, H.; Souied, E.H. Optical Coherence Tomography Angiography in Central Serous Chorioretinopathy. J. Ophthalmol. 2015, 2015, 134783. [Google Scholar] [CrossRef]
- La Spina, C.; Carnevali, A.; Marchese, A.; Querques, G.; Bandello, F. Reproducibility and reliability of optical coherence tomography angiography for foveal avascular zone evaluation and measurement in different settings. Retina 2017, 37, 1636–1641. [Google Scholar] [CrossRef] [PubMed]
- Rochepeau, C.; Kodjikian, L.; Garcia, M.-A.; Coulon, C.; Burillon, C.; Denis, P.; Delaunay, B.; Mathis, T. Optical Coherence Tomography Angiography Quantitative Assessment of Choriocapillaris Blood Flow in Central Serous Chorioretinopathy. Am. J. Ophthalmol. 2018, 194, 26–34. [Google Scholar] [CrossRef] [PubMed]
- Loo, R.H.; Scott, I.U.; Flynn, H.W., Jr.; Gass, J.D.M.; Murray, T.G.; Lewis, M.L.; Rosenfeld, P.J.; Smiddy, W.E. Factors associated with reduced visual acuity during long-term follow-up of patients with idiopathic central serous chorioretinopathy. Retina 2002, 22, 19–24. [Google Scholar] [CrossRef] [PubMed]
- Iida, T.; Yannuzzi, L.A.; Spaide, R.F.; Borodoker, N.; Carvalho, C.A.; Negrão, S. Cystoid macular degeneration in chronic central serous chorioretinopathy. Retina 2003, 23, 1–7. [Google Scholar] [CrossRef] [PubMed]
- Liew, G.; Quin, G.; Gillies, M.; Fraser-Bell, S. Central serous chorioretinopathy: A review of epidemiology and pathophysiology. Clin. Exp. Ophthalmol. 2013, 41, 201–214. [Google Scholar] [CrossRef] [PubMed]
- Woo, J.M.; Yoon, Y.S.; Woo, J.E.; Min, J.K. Foveal Avascular Zone Area Changes Analyzed Using OCT Angiography after Successful Rhegmatogenous Retinal Detachment Repair. Curr. Eye Res. 2018, 43, 674–678. [Google Scholar] [CrossRef]
- Cennamo, G.; Montorio, D.; Comune, C.; Clemente, L.; Iovino, C.; Carandente, R.; Tranfa, F. Study of vessel density by optical coherence tomography angiography in patients with central serous chorioretinopathy after low-fluence photodynamic therapy. Photodiagn. Photodyn. Ther. 2020, 30, 101742. [Google Scholar] [CrossRef]
- Chen, F.K.; Viljoen, R.D.; Bukowska, D.M. Classification of image artefacts in optical coherence tomography angiography of the choroid in macular diseases. Clin. Exp. Ophthalmol. 2016, 44, 388–399. [Google Scholar] [CrossRef]
- Liegl, R.; Ulbig, M.W. Central serous chorioretinopathy. Ophthalmologica 2014, 232, 65–76. [Google Scholar] [CrossRef]
- Witkin, A.J.; Ko, T.H.; Fujimoto, J.G.; Chan, A.; Drexler, W.; Schuman, J.S.; Reichel, E.; Duker, J.S. Ultra-high resolution optical coherence tomography assessment of photoreceptors in retinitis pigmentosa and related diseases. Am. J. Ophthalmol. 2006, 142, 945–952. [Google Scholar] [CrossRef]
- Won, J.Y.; Kim, S.E.; Park, Y.H. Effect of age and sex on retinal layer thickness and volume in normal eyes. Medicine 2016, 95, e5441. [Google Scholar] [CrossRef]
- Mao, J.; Lin, J.; Zhu, L.; Liu, C.; Yu, X.; Zhang, C.; Chen, Y.; Zhang, Y.; Shen, L. Quantitative Assessment of Retinal Capillary Vessel Density and Foveal Avascular Zone Area in Central Serous Chorioretinopathy Using OCTA. Ophthalmologica 2020, 243, 370–378. [Google Scholar] [CrossRef] [PubMed]
- Balaratnasingam, C.; Inoue, M.; Ahn, S.; McCann, J.; Dhrami-Gavazi, E.; Yannuzzi, L.A.; Freund, K.B. Visual Acuity Is Correlated with the Area of the Foveal Avascular Zone in Diabetic Retinopathy and Retinal Vein Occlusion. Ophthalmology 2016, 123, 2352–2367. [Google Scholar] [CrossRef] [PubMed]
- Bakunowicz-Łazarczyk, A.; Sulkowski, S.; Moniuszko, T. Comparative studies of morphological changes and interleukin concentration in subretinal fluid of patients with retinal detachment. Ophthalmologica 1999, 213, 25–29. [Google Scholar] [CrossRef]
- Hata, M.; Oishi, A.; Shimozono, M.; Mandai, M.; Nishida, A.; Kurimoto, Y. Early changes in foveal thickness in eyes with central serous chorioretinopathy. Retina 2013, 33, 296–301. [Google Scholar] [CrossRef] [PubMed]
- Wang, M.S.; Sander, B.; Larsen, M. Retinal atrophy in idiopathic central serous chorioretinopathy. Am. J. Ophthalmol. 2002, 133, 787–793. [Google Scholar] [CrossRef]
- Matsumoto, H.; Sato, T.; Kishi, S. Outer nuclear layer thickness at the fovea determines visual outcomes in resolved central serous chorioretinopathy. Am. J. Ophthalmol. 2009, 148, 105–110. [Google Scholar] [CrossRef]
- Ozdemir, I.; Eren, A.; Ersöz, G. Outer nuclear layer thickness at the central fovea relation with symptom duration in central serous chorioretinopathy. Int. Ophthalmol. 2019, 39, 1323–1328. [Google Scholar] [CrossRef]
- Yu, J.; Lei, Y.; Chang, Q.; Xu, G.; Ye, X.; Li, L.; Jiang, C. The relationship between foveal outer nuclear layer thickness in the active and resolved phases of central serous chorioretinopathy treated with half-dose photodynamic therapy. BMC Ophthalmol. 2019, 19, 84. [Google Scholar] [CrossRef]
- Ohkuma, Y.; Hayashi, T.; Sakai, T.; Watanabe, A.; Tsuneoka, H. One-year results of reduced fluence photodynamic therapy for central serous chorioretinopathy: The outer nuclear layer thickness is associated with visual prognosis. Graefes Arch. Clin. Exp. Ophthalmol. 2013, 251, 1909–1917. [Google Scholar] [CrossRef]
- Cennamo, G.; Comune, C.; Mirra, F.; Napolitano, P.; Montorio, D.; de Crecchio, G. Choriocapillary vascular density in central serous chorioretinopathy complicated by choroidal neovascularization. Photodiagn. Photodyn. Ther. 2020, 29, 101604. [Google Scholar] [CrossRef] [PubMed]
- Qu, Y.; Gong, D.; Yu, W.; Dong, F. Characteristics of the Choriocapillaris Layer in Optical Coherence Tomography Angiography of Acute Central Serous Chorioretinopathy. Ophthalmic Surg. Lasers Imaging Retina 2017, 48, 1000–1005. [Google Scholar] [CrossRef] [PubMed]
- Matet, A.; Daruich, A.; Hardy, S.; Behar-Cohen, F. Patterns of choriocapillaris flow signal voids in central serous chorioretinopathy: An Optical Coherence Tomography Angiography Study. Retina 2019, 39, 2178–2188. [Google Scholar] [CrossRef] [PubMed]




| Characteristic | Eyes with CSC (n = 34) |
|---|---|
| Age (years) | 47.47 ± 8.40 |
| Male/female | 24/10 |
| Symptom duration (months) | 3.15 ± 1.33 |
| Spherical equivalent (diopter) | −0.67 ± 1.99 |
| Initial BCVA (logMAR) | 0.23 ± 0.23 |
| SRF area (mm2) | 11.63 ± 8.30 |
| SRF height (µm) | 161.24 ± 115.57 |
| Eyes with CSC (n = 34) | Fellow Eyes (n = 34) | Healthy Control Eyes (n = 34) | p * | p† | p‡ | p§ | |
|---|---|---|---|---|---|---|---|
| Final BCVA (logMAR) | 0.03 ± 0.06 | 0.00 ± 0.00 | 0.00 ± 0.01 | 0.002 | 0.001 | 0.035 | 0.079 |
| Spherical equivalent (diopter) | −0.67 ± 1.99 | −0.82 ± 2.07 | −0.74 ± 1.62 | 0.758 | 0.618 | 0.777 | 0.479 |
| Total retinal layer thickness (µm) | 275.81 ± 19.92 | 296.15 ± 13.52 | 290.15 ± 15.37 | <0.001 | <0.001 | 0.004 | 0.095 |
| GCL++ thickness (µm) | 104.08 ± 18.72 | 103.68 ± 9.09 | 102.77 ± 8.70 | 0.883 | 0.951 | 0.681 | 0.654 |
| Outer retinal layer thickness (µm) | 171.72 ± 17.21 | 192.47 ± 7.58 | 187.38 ± 10.84 | <0.001 | <0.001 | <0.001 | 0.023 |
| SCP FAZ area (mm2) | 0.409 ± 0.111 | 0.394 ± 0.118 | 0.388 ± 0.146 | 0.742 | 0.715 | 0.432 | 0.715 |
| DCP FAZ area (mm2) | 0.721 ± 0.148 | 0.663 ± 0.158 | 0.653 ± 0.148 | 0.120 | 0.101 | 0.058 | 0.974 |
| SCP vessel density center (%) | 16.46 ± 4.02 | 17.28 ± 3.87 | 17.97 ± 4.96 | 0.356 | 0.419 | 0.171 | 0.461 |
| SCP vessel density whole (%) | 41.98 ± 1.48 | 42.05 ± 1.59 | 42.33 ± 1.78 | 0.896 | 0.888 | 0.641 | 0.768 |
| DCP vessel density center (%) | 14.31 ± 3.60 | 13.82 ± 3.94 | 14.68 ± 5.10 | 0.904 | 0.715 | 0.927 | 0.686 |
| DCP vessel density whole (%) | 42.52 ± 2.13 | 42.54 ± 2.13 | 42.92 ± 2.04 | 0.700 | 0.837 | 0.404 | 0.572 |
| CC vessel density center (%) | 47.77 ± 4.67 | 51.54 ± 3.27 | 51.29 ± 3.35 | <0.001 | <0.001 | 0.002 | 0.672 |
| CC vessel density whole (%) | 52.14 ± 1.46 | 52.89 ± 0.77 | 52.79 ± 1.23 | 0.009 | 0.003 | 0.022 | 0.934 |
| Final BCVA ρ (p-Value) | Initial BCVA ρ (p-Value) | Outer Retina Thickness ρ (p-Value) | SCP FAZ Area ρ (p-Value) | DCP FAZ Area ρ (p-Value) | SCP VD Center ρ (p-Value) | DCP VD Center ρ (p-Value) | CC VD Center ρ (p-Value) | |
|---|---|---|---|---|---|---|---|---|
| Final BCVA ρ (p-value) | 1 | |||||||
| Initial BCVA ρ (p-value) | 0.436 (0.010) | 1 | ||||||
| Outer retinal layer thickness ρ (p-value) | −0.513 (0.002) | −0.505 (0.002) | 1 | |||||
| SCP FAZ area ρ (p-value) | −0.33 (0.855) | 0.074 (0.679) | −0.292 (0.094) | 1 | ||||
| DCP FAZ area ρ (p-value) | 0.078 (0.661) | 0.150 (0.396) | −0.191 (0.278) | 0.034 (0.080) | 1 | |||
| SCP VD center ρ (p-value) | 0.051 (0.774) | −0.172 (0.331) | 0.320 (0.065) | −0.913 (<0.001) | −0.391 (0.022) | 1 | ||
| DCP VD center ρ (p-value) | 0.127 (0.474) | 0.066 (0.710) | −0.028 (0.877) | −0.820 (<0.001) | −0.442 (0.009) | 0.739 (<0.001) | 1 | |
| CC VD center ρ (p-value) | −0.091 (0.610) | −0.238 (0.175) | 0.013 (0.463) | −0.231 (0.188) | −0.327 (0.059) | 0.321 (0.064) | 0.213 (0.226) | 1 |
| SRF Area | SRF Height | SCP FAZ Area with CSC Eyes | DCP FAZ Area with CSC Eyes | SCP FAZ Area with Fellow Eyes | DCP FAZ Area with Fellow Eyes | SCP FAZ Area with Control Eyes | DCP FAZ Area with Control Eyes | |
|---|---|---|---|---|---|---|---|---|
| ICC | 0.929 | 0.922 | 0.921 | 0.857 | 0.935 | 0.899 | 0.926 | 0.888 |
| p-value | <0.001 | <0.001 | <0.001 | <0.001 | <0.001 | <0.001 | <0.001 | <0.001 |
Publisher’s Note: MDPI stays neutral with regard to jurisdictional claims in published maps and institutional affiliations. |
© 2020 by the authors. Licensee MDPI, Basel, Switzerland. This article is an open access article distributed under the terms and conditions of the Creative Commons Attribution (CC BY) license (http://creativecommons.org/licenses/by/4.0/).
Share and Cite
Han, K.J.; Kim, H.J.; Woo, J.M.; Min, J.K. Comparison of Retinal Layer Thickness and Capillary Vessel Density in the Patients with Spontaneously Resolved Acute Central Serous Chorioretinopathy. J. Clin. Med. 2021, 10, 45. https://doi.org/10.3390/jcm10010045
Han KJ, Kim HJ, Woo JM, Min JK. Comparison of Retinal Layer Thickness and Capillary Vessel Density in the Patients with Spontaneously Resolved Acute Central Serous Chorioretinopathy. Journal of Clinical Medicine. 2021; 10(1):45. https://doi.org/10.3390/jcm10010045
Chicago/Turabian StyleHan, Kyu Jin, Hyeong Ju Kim, Je Moon Woo, and Jung Kee Min. 2021. "Comparison of Retinal Layer Thickness and Capillary Vessel Density in the Patients with Spontaneously Resolved Acute Central Serous Chorioretinopathy" Journal of Clinical Medicine 10, no. 1: 45. https://doi.org/10.3390/jcm10010045
APA StyleHan, K. J., Kim, H. J., Woo, J. M., & Min, J. K. (2021). Comparison of Retinal Layer Thickness and Capillary Vessel Density in the Patients with Spontaneously Resolved Acute Central Serous Chorioretinopathy. Journal of Clinical Medicine, 10(1), 45. https://doi.org/10.3390/jcm10010045

