Microscopic Peritoneal Residual Disease after Complete Macroscopic Cytoreductive Surgery for Advanced High Grade Serous Ovarian Cancer
Abstract
1. Introduction
2. Methods
2.1. Design
2.2. Funding
2.3. Patients
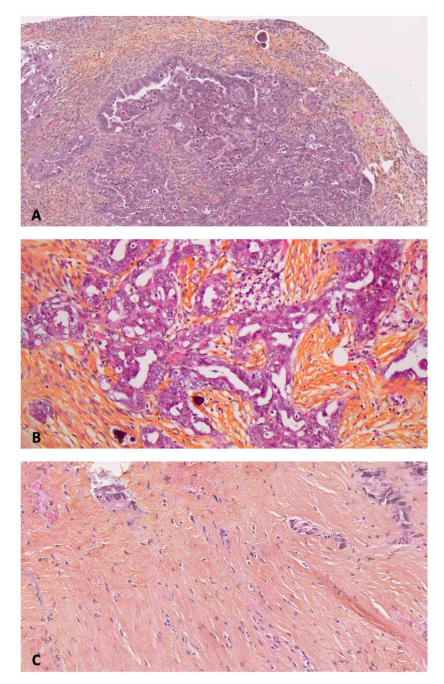
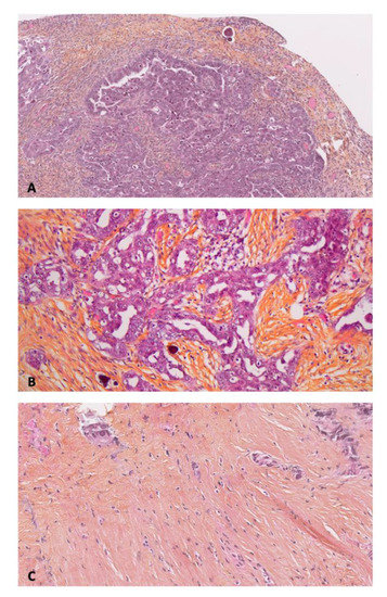
2.4. Sampling Protocol and Pathological Analysis
2.5. Primary Endpoint
2.6. Statistical Analysis
2.7. Mathematical Analysis
2.8. Ethics
3. Results
3.1. Population Characteristics
3.2. Analysis of Peritoneal Biopsies in Macroscopically Healthy Peritoneum
3.3. Mathematical Analysis
4. Discussion
5. Conclusions
Supplementary Materials
Author Contributions
Funding
Institutional Review Board Statement
Informed Consent Statement
Data Availability Statement
Conflicts of Interest
References
- Jayson, G.C.; Kohn, E.C.; Kitchener, H.C.; Ledermann, J.A. Ovarian cancer. Lancet 2014, 384, 1376–1388. [Google Scholar] [CrossRef]
- Chang, S.-J.; Hodeib, M.; Chang, J.; Bristow, R.E. Survival impact of complete cytoreduction to no gross residual disease for advanced-stage ovarian cancer: A meta-analysis. Gynecol. Oncol. 2013, 130, 493–498. [Google Scholar] [CrossRef] [PubMed]
- Collinson, F.; Qian, W.; Fossati, R.; Lissoni, A.; Williams, C.; Parmar, M.K.; Ledermann, J.; Colombo, N.; Swart, A. Optimal treatment of early-stage ovarian cancer. Ann. Oncol. 2014, 25, 1165–1171. [Google Scholar] [CrossRef] [PubMed]
- Eisenkop, S.M.; Spirtos, N.M.; Lin, W.-C.M. “Optimal” cytoreduction for advanced epithelial ovarian cancer: A commentary. Gynecol. Oncol. 2006, 103, 329–335. [Google Scholar] [CrossRef] [PubMed]
- Vergote, I.; Amant, F.; Kristensen, G.; Ehlen, T.; Reed, N.S.; Casado, A. Primary surgery or neoadjuvant chemotherapy followed by interval debulking surgery in advanced ovarian cancer. Eur. J. Cancer 2011, 47, S88–S92. [Google Scholar] [CrossRef]
- Chang, S.-J.; Bristow, R.E. Evolution of surgical treatment paradigms for advanced-stage ovarian cancer: Redefining ‘optimal’ residual disease. Gynecol. Oncol. 2012, 125, 483–492. [Google Scholar] [CrossRef]
- Chang, S.-J.; Bristow, R.E.; Ryu, H.-S. Impact of Complete Cytoreduction Leaving No Gross Residual Disease Associated with Radical Cytoreductive Surgical Procedures on Survival in Advanced Ovarian Cancer. Ann. Surg. Oncol. 2012, 19, 4059–4067. [Google Scholar] [CrossRef]
- Bristow, R.E.; Tomacruz, R.S.; Armstrong, D.K.; Trimble, E.L.; Montz, F.J. Survival Effect of Maximal Cytoreductive Surgery for Advanced Ovarian Carcinoma During the Platinum Era: A Meta-Analysis. J. Clin. Oncol. 2002, 20, 1248–1259. [Google Scholar] [CrossRef]
- Thigpen, J. Role of Surgical Outcome as Prognostic Factor in Advanced Epithelial Ovarian Cancer: A Combined Exploratory Analysis of 3 Prospectively Randomized Phase 3 Multicenter Trials: By the Arbeitsgemeinschaft Gynaekologische Onkologie Studiengruppe Ovarialkarzinom (AGO-OVAR) and the Groupe d’Investigateurs Nationaux Pour les Etudes des Cancers de l’Ovaire (GINECO). Yearb. Oncol. 2009, 2009, 28–29. [Google Scholar] [CrossRef]
- Soslow, R.; Eisenhauer, E.L.; Zivanovic, O.; Sonoda, Y.; Abu-Rustum, N.R.; Levine, D.A.; Guile, M.W.; Bristow, R.E.; Aghajanian, C.; Barakat, R.R. Improved progression-free and overall survival in advanced ovarian cancer as a result of a change in surgical paradigm. Gynecol. Oncol. 2009, 114, 26–31. [Google Scholar] [CrossRef]
- Elattar, A.; Bryant, A.; Winter-Roach, B.A.; Hatem, M.; Naik, R. Optimal primary surgical treatment for advanced epithelial ovarian cance. In Cochrane Database of Systematic Reviews; John Wiley & Sons, Ltd.: Hoboken, NJ, USA, 2011; Available online: http://onlinelibrary.wiley.com.doc-distant.univ-lille2.fr/doi/10.1002/14651858.CD007565.pub2/abstract (accessed on 1 January 2016).
- Al Rawahi, T.; Lopes, A.; Bristow, R.E.; Bryant, A.; Elattar, A.; Chattopadhyay, S.; Galaal, K. Surgical cytoreduction for recurrent epithelial ovarian cancer. Cochrane Database Syst. Rev. 2013, 2, CD008765. [Google Scholar] [CrossRef] [PubMed]
- Fagotti, A.; Gallotta, V.; Romano, F.; Fanfani, F.; Rossitto, C.; Naldini, A.; Vigliotta, M.; Scambia, G. Peritoneal carcinosis of ovarian origin. WorldJ. Gastrointest. Oncol. 2010, 2, 102–108. [Google Scholar] [CrossRef] [PubMed]
- Azaïs, H.; Estevez, J.P.; Foucher, P.; Kerbage, Y.; Mordon, S.; Collinet, P. Dealing with microscopic peritoneal metastases of epithelial ovarian cancer. A surgical challenge. Surg. Oncol. 2017, 26, 46–52. [Google Scholar] [CrossRef] [PubMed]
- Sugarbaker, P.H. Cytoreductive surgery and perioperative intraperitoneal chemotherapy for the treatment of advanced primary and recurrent ovarian cancer. Curr. Opin. Obs. Gynecol. 2009, 21, 15–24. [Google Scholar] [CrossRef] [PubMed]
- Fagotti, A.; Ferrandina, G.; Fanfani, F.; Garganese, G.; Vizzielli, G.; Carone, V.; Salerno, M.G.; Scambia, G. Prospective validation of a laparoscopic predictive model for optimal cytoreduction in advanced ovarian carcinoma. Am. J. Obs. Gynecol. 2008, 199, 642.e1–642.e6. [Google Scholar] [CrossRef] [PubMed]
- Lavoué, V.; Huchon, C.; Akladios, C.; Alfonsi, P.; Bakrin, N.; Ballester, M.; Bendifallah, S.; Bolze, P.; Bonnet, F.; Bourgin, C.; et al. Management of epithelial cancer of the ovary, fallopian tube, and primary peritoneum. Long text of the Joint French Clinical Practice Guidelines issued by FRANCOGYN, CNGOF, SFOG, and GINECO-ARCAGY, and endorsed by INCa. Part 1: Diagnostic exploration and staging, surgery, perioperative care, and pathology. J. Gynecol. Obs. Hum. Reprod. 2019, 48, 369–378. [Google Scholar] [CrossRef]
- Harter, P.; Sehouli, J.; Lorusso, D.; Reuss, A.; Vergote, I.; Marth, C.; Kim, J.-W.; Raspagliesi, F.; Lampe, B.; Aletti, G.; et al. A Randomized Trial of Lymphadenectomy in Patients with Advanced Ovarian Neoplasms. N. Engl. J. Med. 2019, 380, 822–832. [Google Scholar] [CrossRef]
- Prat, J. FIGO Committee on Gynecologic Oncology Staging classification for cancer of the ovary, fallopian tube, and peritoneum. Int. J. Gynecol. Obs. 2014, 124, 1–5. [Google Scholar] [CrossRef]
- Albanese, A.M.; Albanese, E.F.; Miño, J.H.; Gómez, E.; Gómez, M.; Zandomeni, M.; Merlo, A.B. Peritoneal surface area: Measurements of 40 structures covered by peritoneum: Correlation between total peritoneal surface area and the surface calculated by formulas. Surg. Radiol. Anat. 2009, 31, 369–377. [Google Scholar] [CrossRef]
- Shroff, R.; Brooks, R.A.; Zighelboim, I.; Powell, M.A.; Thaker, P.H.; Mutch, D.M.; Massad, L.S. The Utility of Peritoneal Biopsy and Omentectomy in the Upstaging of Apparent Early Ovarian Cancer. Int. J. Gynecol. Cancer 2011, 21, 1208–1212. [Google Scholar] [CrossRef]
- Ayhan, A.; Gultekin, M.; Çelik, N.Y.; Dursun, P.; Taskiran, C.; Aksan, G.; Yüce, K. Occult metastasis in early ovarian cancers: Risk factors and associated prognosis. Am. J. Obs. Gynecol. 2007, 196, 81.e1–81.e6. [Google Scholar] [CrossRef] [PubMed]
- Soper, J.T.; Johnson, P.; Johnson, V.; Berchuck, A.; Clarke-Pearson, D.L. Comprehensive restaging laparotomy in women with apparent early ovarian carcinoma. Obs. Gynecol. 1992, 80, 949–953. [Google Scholar]
- Young, R.C.; Decker, D.G.; Wharton, J.T.; Piver, M.S.; Sindelar, W.F.; Edwards, B.K.; Smith, J.P. Staging laparotomy in early ovarian cancer. JAMA 1983, 250, 3072–3076. [Google Scholar] [CrossRef] [PubMed]
- Schueler, J.; Trimbos, J.; Hermans, J.; Fleuren, G. The yield of surgical staging in presumed early stage ovarian cancer: Benefits or doubts? Int. J. Gynecol. Cancer 1998, 8, 95–102. [Google Scholar] [CrossRef]
- Gadducci, A.; Tana, R.; Landoni, F.; Ferrari, F.; Peiretti, M.; Perrone, F.; Sartori, E. Analysis of failures and clinical outcome of advanced epithelial ovarian cancer in patients with microscopic residual disease at second-look reassessment following primary cytoreductive surgery and first-line platinum-based chemotherapy. Eur. J. Gynaecol. Oncol. 2013, 34, 213–217. [Google Scholar] [PubMed]
- van Driel, W.J.; Koole, S.N.; Sikorska, K.; van Leeuwen, J.H.S.; Schreuder, H.W.R.; Hermans, R.H.M.; De Hingh, I.H.; Van Der Velden, J.; Arts, H.J.; Massuger, L.F.; et al. Hyperthermic Intraperitoneal Chemotherapy in Ovarian Cancer. N. Engl. J. Med. 2018, 378, 230–240. [Google Scholar] [CrossRef]
- Amate, P.; Huchon, C.; Dessapt, A.L.; Bensaid, C.; Medioni, J.; Belda, M.-A.L.F.; Bats, A.-S.; Lécuru, F.R. Ovarian Cancer: Sites of Recurrence. Int. J. Gynecol. Cancer 2013, 23, 1590–1596. [Google Scholar] [CrossRef]
- Azaïs, H.; Betrouni, N.; Mordon, S.; Collinet, P. Targeted approaches and innovative illumination solutions: A new era for photodynamic therapy applications in gynecologic oncology? Photodiagnosis Photodyn. 2016, 13, 128–129. [Google Scholar] [CrossRef]
- Van Dam, G.M.; Themelis, G.; Crane, L.M.A.; Harlaar, N.J.; Pleijhuis, R.G.; Kelder, W.; Sarantopoulos, A.; De Jong, J.S.; Arts, H.J.G.; Van Der Zee, A.G.J.; et al. Intraoperative tumor-specific fluorescence imaging in ovarian cancer by folate receptor-α targeting: First in-human results. Nat. Med. 2011, 17, 1315–1319. [Google Scholar] [CrossRef]
- Tummers, Q.R.; Hoogstins, C.E.; Gaarenstroom, K.N.; De Kroon, C.D.; Van Poelgeest, M.I.; Vuyk, J.; Bosse, T.; Smit, V.T.; Van De Velde, C.J.; Cohen, A.F.; et al. Intraoperative imaging of folate receptor alpha positive ovarian and breast cancer using the tumor specific agent EC17. Oncotarget 2016, 7, 32144–32155. [Google Scholar] [CrossRef]
- Hoogstins, C.E.; Tummers, Q.R.; Gaarenstroom, K.N.; De Kroon, C.D.; Trimbos, J.B.M.; Bosse, T.; Smit, V.T.; Vuyk, J.; Van De Velde, C.J.; Cohen, A.F.; et al. A Novel Tumor-Specific Agent for Intraoperative Near-Infrared Fluorescence Imaging: A Translational Study in Healthy Volunteers and Patients with Ovarian Cancer. Clin. Cancer Res. 2016, 22, 2929–2938. [Google Scholar] [CrossRef] [PubMed]
- Liu, Y.; Endo, Y.; Fujita, T.; Ishibashi, H.; Nishioka, T.; Canbay, E.; Li, Y.; Ogura, S.-I.; Yonemura, Y. Cytoreductive Surgery Under Aminolevulinic Acid-Mediated Photodynamic Diagnosis Plus Hyperthermic Intraperitoneal Chemotherapy in Patients with Peritoneal Carcinomatosis from Ovarian Cancer and Primary Peritoneal Carcinoma: Results of a Phase I Trial. Ann. Surg. Oncol. 2014, 21, 4256–4262. [Google Scholar] [CrossRef] [PubMed]
- Dedrick, R.L.; Flessner, M.F. Pharmacokinetic Problems in Peritoneal Drug Administration: Tissue Penetration and Surface Exposure. J. Natl. Cancer Inst. 1997, 89, 480–487. [Google Scholar] [CrossRef] [PubMed]
- Yan, T.D.; Black, D.A.; Savady, R.; Sugarbaker, P.H. A Systematic Review on the Efficacy of Cytoreductive Surgery and Perioperative Intraperitoneal Chemotherapy for Pseudomyxoma Peritonei. Ann. Surg. Oncol. 2006, 14, 484–492. [Google Scholar] [CrossRef] [PubMed]
- Lavoué, V.; Huchon, C.; Akladios, C.; Alfonsi, P.; Bakrin, N.; Ballester, M.; Bendifallah, S.; Bolze, P.; Bonnet, F.; Bourgin, C.; et al. Management of epithelial cancer of the ovary, fallopian tube, primary peritoneum. Long text of the joint French clinical practice guidelines issued by FRANCOGYN, CNGOF, SFOG, GINECO-ARCAGY, endorsed by INCa. (Part 2: Systemic, intraperitoneal treatment, elderly patients, fertility preservation, follow-up). J. Gynecol. Obs. Hum. Reprod. 2019, 48, 379–386. [Google Scholar] [CrossRef]
- Gourley, C.; Walker, J.L.; Mackay, H.J. Update on Intraperitoneal Chemotherapy for the Treatment of Epithelial Ovarian Cancer. Am. Soc. Clin. Oncol. Educ. Book 2016, 35, 143–151. [Google Scholar] [CrossRef]
- Colombo, N.; Sessa, C.; Du Bois, A.; Ledermann, J.; McCluggage, W.G.; McNeish, I.; Morice, P.; Pignata, S.; Ray-Coquard, I.; Vergote, I.; et al. ESMO–ESGO consensus conference recommendations on ovarian cancer: Pathology and molecular biology, early and advanced stages, borderline tumours and recurrent disease. Ann. Oncol. 2019, 30, 672–705. [Google Scholar] [CrossRef]
- Baydoun, M.; Moralès, O.; Frochot, C.; Ludovic, C.; Leroux, B.; Thecua, E.; Ziane, L.; Grabarz, A.; Kumar, A.; De Schutter, C.; et al. Photodynamic Therapy Using a New Folate Receptor-Targeted Photosensitizer on Peritoneal Ovarian Cancer Cells Induces the Release of Extracellular Vesicles with Immunoactivating Properties. J. Clin. Med. 2020, 9, 1185. [Google Scholar] [CrossRef]
- Azaïs, H.; Collinet, P.; Delhem-Fellahi, N.; Morales, O.; Mordon, S.; Frochot, C.; Vanderesse, R.; Stallivieri, A. Pyropheophorbide Conjugate and Use Thereof in the Treatment of Cancer and As a Fluorescent Marker. WIPO Patent WO2019016397 (A1), 2019. [Google Scholar]
- Tate, S.; Nishikimi, K.; Kato, K.; Matsuoka, A.; Kambe, M.; Kiyokawa, T.; Shozu, M. Microscopic diseases remain in initial disseminated sites after neoadjuvant chemotherapy for stage III/IV ovarian, tubal, and primary peritoneal cancer. J. Gynecol. Oncol. 2020, 31, e34. [Google Scholar] [CrossRef]
- Moore, K.; Colombo, N.; Scambia, G.; Kim, B.-G.; Oaknin, A.; Friedlander, M.; Lisyanskaya, A.; Floquet, A.; Leary, A.; Sonke, G.S.; et al. Maintenance Olaparib in Patients with Newly Diagnosed Advanced Ovarian Cancer. N. Engl. J. Med. 2018, 379, 2495–2505. [Google Scholar] [CrossRef] [PubMed]




| Overall Population | Without mPM | With mPM | p | |
|---|---|---|---|---|
| n = 26 | n = 19 | n = 7 | ||
| Age (mean ± SD)~years | 65.3 ± 11.1 | 63.6 ± 11.6 | 69.9 ± 9.1 | 0.17 |
| BMI (mean ± SD)~kg/m2 | 22.9 ± 3.7 | 23.2 ± 3.8 | 22.3 ± 3.5 | 0.64 |
| Body surface (mean ± SD)~m2 | 1.65 ± 0.13 | 1.65 ± 0.15 | 1.62 ± 0.04 | 0.91 |
| BRCA status | ||||
| BRCA1~n (%) | 3 (11.5) | 3 (15.8) | 0 (0) | NA |
| BRCA2~n (%) | 1 (3.8) | 1 (5.3) | 0 (0) | NA |
| No mutation~n (%) | 18 (69.2) | 12 (63.2) | 6 (8.7) | NA |
| Unknown~n (%) | 4 (15.4) | 3 (15.8) | 1 (14.3) | NA |
| Follow-up (after CRS), median (range)~days | 492 (262–862) | 495 (301–862) | 376 (262–714) | 0.27 |
| Recurrence~n (%) | 8 (30.8) | 6 (31.6) | 2 (28.6) | NA |
| RFS (median (range))~days | 356 (213–862) | 359 (292–862) | 307 (213–400) | NA |
| Death~n (%) | 3 (11.5) | 2 (10.5) | 1 (14.3) | NA |
| Peritoneal metastases spread at diagnosis | ||||
| PCI (median (range))~/39 | 13 (3–31) | 11 (3–31) | 21·5 (10–31) | 0.16 |
| Fagotti score (median (range))~/14 | 6 (0–12) | 4 (0–10) | 8 (6–12) | 0.26 |
| CA 125 (median (range))~UI/mL | 590 (19–8000) | 579 (19–4042) | 600 (40–8000) | 0.57 |
| Peritoneal metastases spread at CRS | ||||
| PCI (median (range))~/39 | 11 (0–20) | 11 (0–20) | 4 (1–15) | 0.4 |
| Fagotti score (median (range))~/14 | 4 (0–8) | 4 (0–8) | 2 (2–8) | 0.97 |
| CA 125 (median (range))~UI/mL | 20 (10–1162) | 20 (10–1162) | 253 (11–904) | 0.3 |
| FIGO Stage | ||||
| IIIC~n (%) | 18 (69.2) | 13 (68.4) | 5 (71.4) | NA |
| IV~n (%) | 8 (30.8) | 6 (31.6) | 2 (28.6) | NA |
| Number of biopsies (MHP) (median (range)) | 7 (3–13) | 7 (3–13) | 6 (3–12) | 0.41 |
| ~n (%) | 23 (88.5) | 16 (84.2) | 7 (100) | NA |
| Number of courses before CRS (median (range)) | 5 (3–9) | 6 (3–9) | 4 (3–9) | 0.84 |
| Probability to Have More Than n Possible Areas of Biopsy with Microscopic Metastases | 5% | 25% | 50% | 75% | 95% |
|---|---|---|---|---|---|
| n | 125 | 105 | 97 | 91 | 69 |
Publisher’s Note: MDPI stays neutral with regard to jurisdictional claims in published maps and institutional affiliations. |
© 2020 by the authors. Licensee MDPI, Basel, Switzerland. This article is an open access article distributed under the terms and conditions of the Creative Commons Attribution (CC BY) license (http://creativecommons.org/licenses/by/4.0/).
Share and Cite
Azaïs, H.; Vignion-Dewalle, A.-S.; Carrier, M.; Augustin, J.; Da Maïa, E.; Penel, A.; Belghiti, J.; Nikpayam, M.; Gonthier, C.; Ziane, L.; et al. Microscopic Peritoneal Residual Disease after Complete Macroscopic Cytoreductive Surgery for Advanced High Grade Serous Ovarian Cancer. J. Clin. Med. 2021, 10, 41. https://doi.org/10.3390/jcm10010041
Azaïs H, Vignion-Dewalle A-S, Carrier M, Augustin J, Da Maïa E, Penel A, Belghiti J, Nikpayam M, Gonthier C, Ziane L, et al. Microscopic Peritoneal Residual Disease after Complete Macroscopic Cytoreductive Surgery for Advanced High Grade Serous Ovarian Cancer. Journal of Clinical Medicine. 2021; 10(1):41. https://doi.org/10.3390/jcm10010041
Chicago/Turabian StyleAzaïs, Henri, Anne-Sophie Vignion-Dewalle, Marine Carrier, Jeremy Augustin, Elisabeth Da Maïa, Alix Penel, Jérémie Belghiti, Marianne Nikpayam, Clémentine Gonthier, Laurine Ziane, and et al. 2021. "Microscopic Peritoneal Residual Disease after Complete Macroscopic Cytoreductive Surgery for Advanced High Grade Serous Ovarian Cancer" Journal of Clinical Medicine 10, no. 1: 41. https://doi.org/10.3390/jcm10010041
APA StyleAzaïs, H., Vignion-Dewalle, A.-S., Carrier, M., Augustin, J., Da Maïa, E., Penel, A., Belghiti, J., Nikpayam, M., Gonthier, C., Ziane, L., Mordon, S., Collinet, P., Canlorbe, G., & Uzan, C. (2021). Microscopic Peritoneal Residual Disease after Complete Macroscopic Cytoreductive Surgery for Advanced High Grade Serous Ovarian Cancer. Journal of Clinical Medicine, 10(1), 41. https://doi.org/10.3390/jcm10010041

