In Vivo Comparative Evaluation of Biocompatibility and Biodegradation of Bovine and Porcine Collagen Membranes
Abstract
1. Introduction
2. Materials and Methods
2.1. Experimental Groups
2.2. Characterization of Animals
2.3. Welfare of Animals
2.4. Anesthesia and Surgical Procedures
2.5. Obtaining the Samples
2.6. Material Processing
2.7. Microscopic Descriptive Analysis
2.8. Evaluation of the Local Biological Effects of Implantation of the Biomaterials. Semiquantitative Histological Analysis: ISO 10993-6:2016/Part 6/Annex E
- (1)
- The number and distribution of the inflammatory cell (neutrophils, lymphocytes, plasma cells, macrophages, and giant cells) as a function of distance from the material/tissue interface.
- (2)
- The presence and the extension of necrosis.
- (3)
- Inflammatory response parameters (neovascularization, the degree of fibrosis of the fibrous capsule, and fatty infiltrate).
2.9. Statistical Analysis
3. Results
3.1. In Vivo Response
3.2. Inflammatory Panorama Investigated after Subcutaneous Implantation
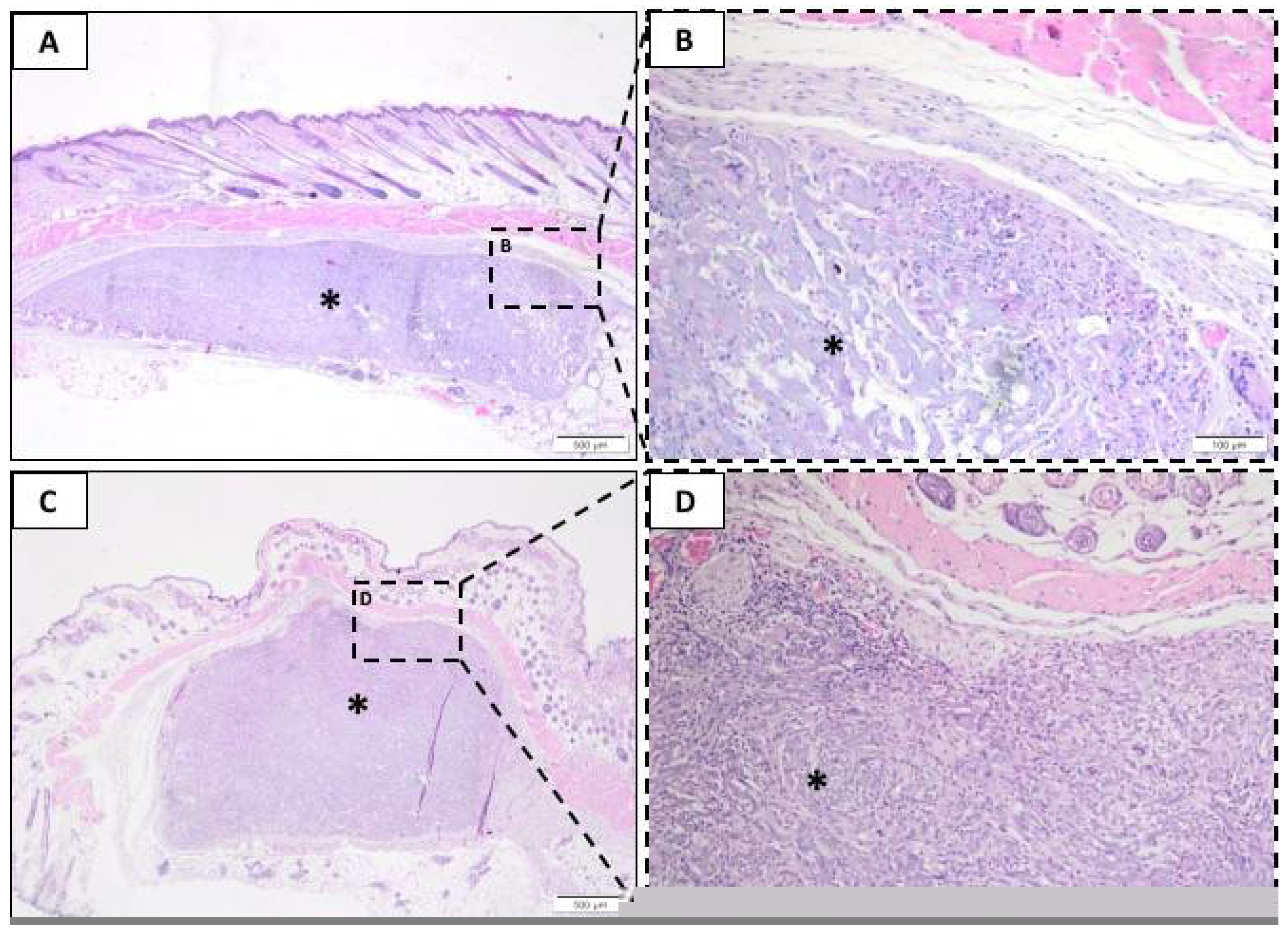
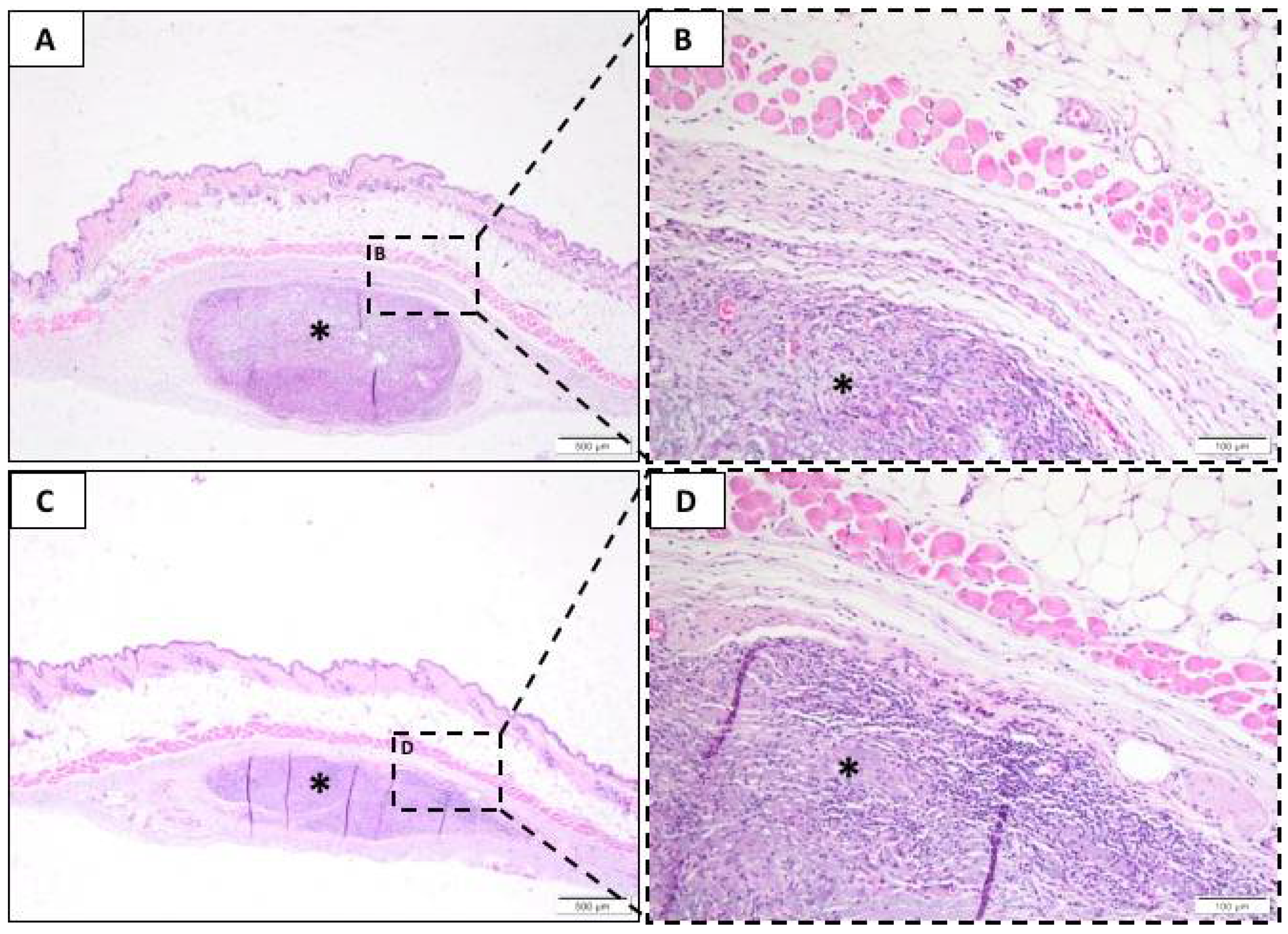
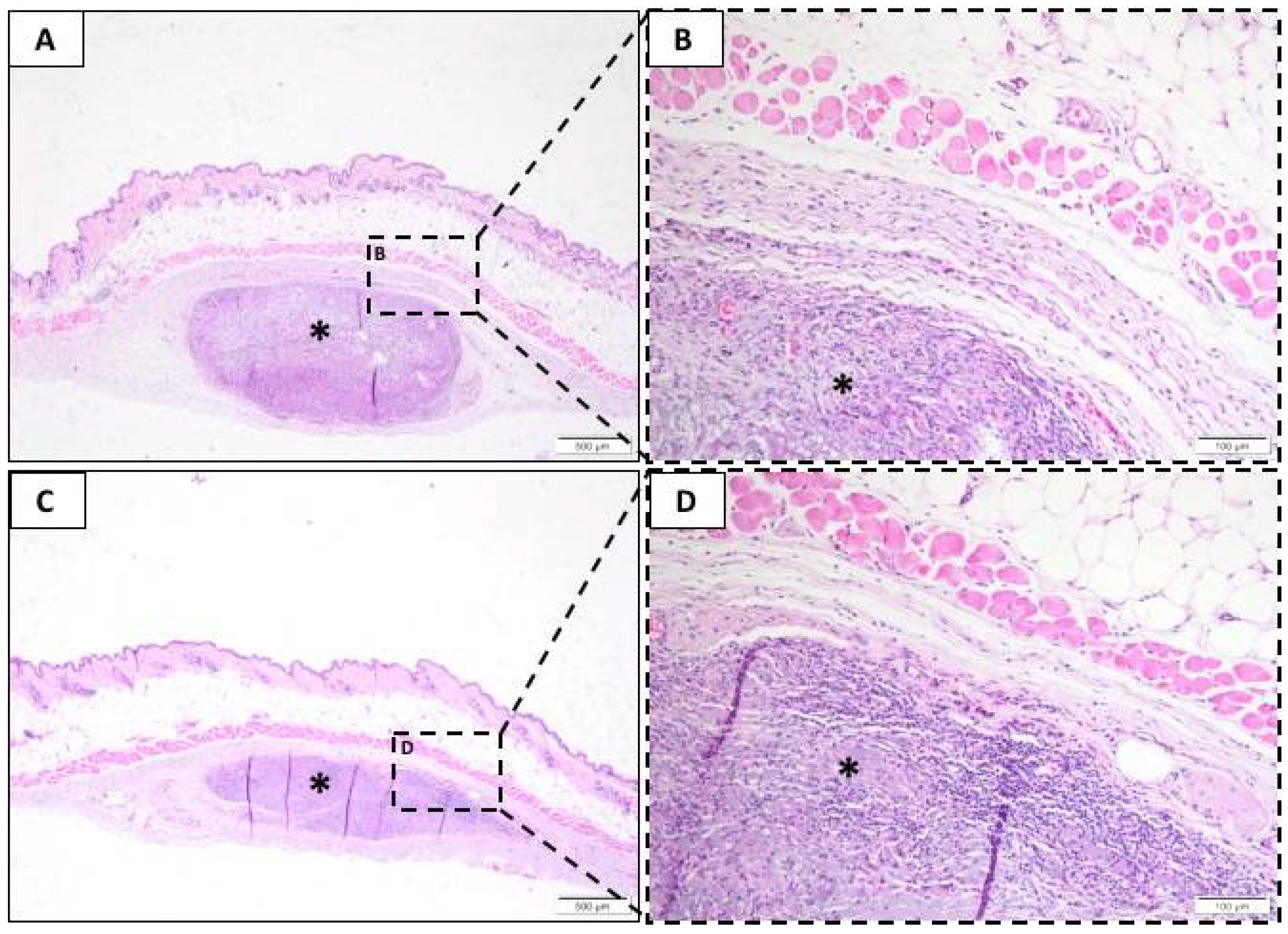
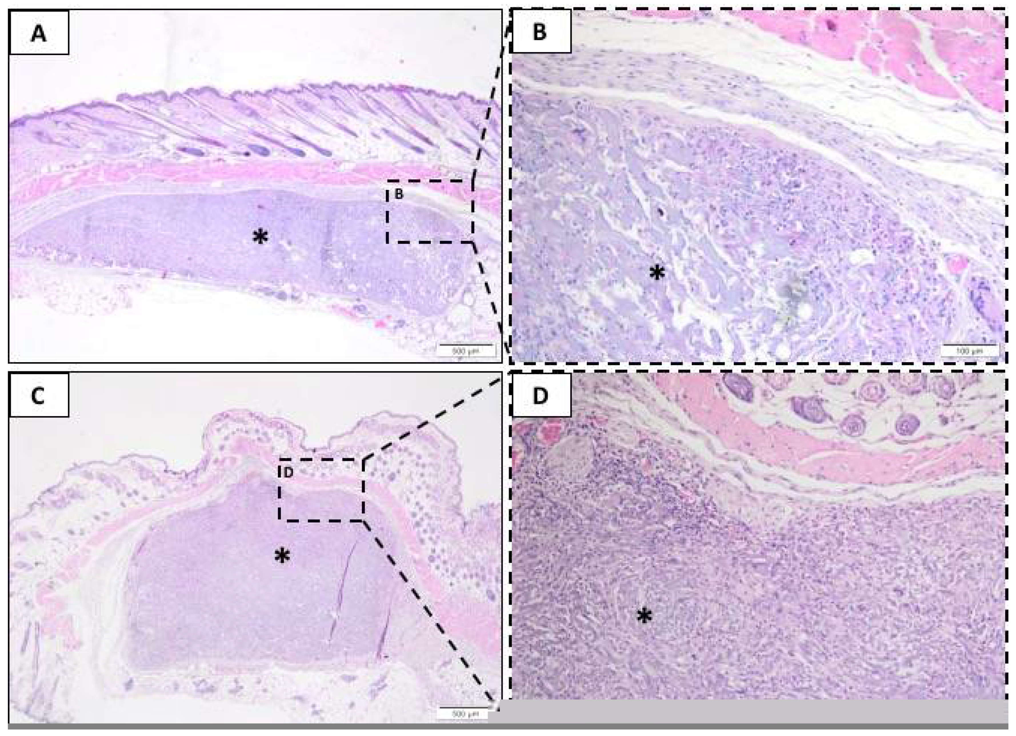
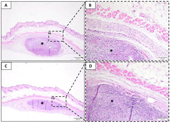
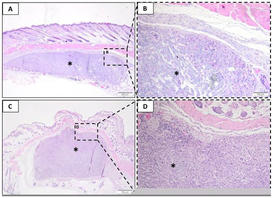
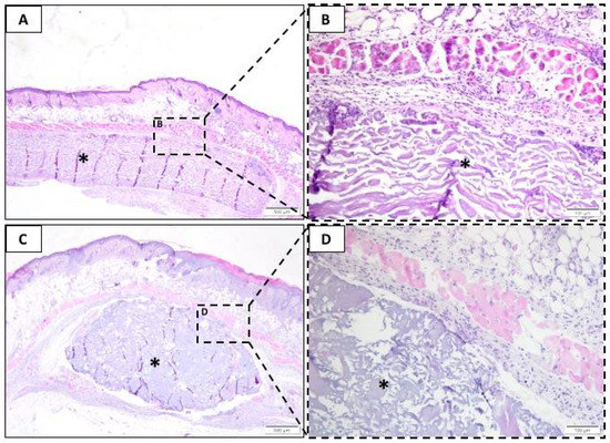
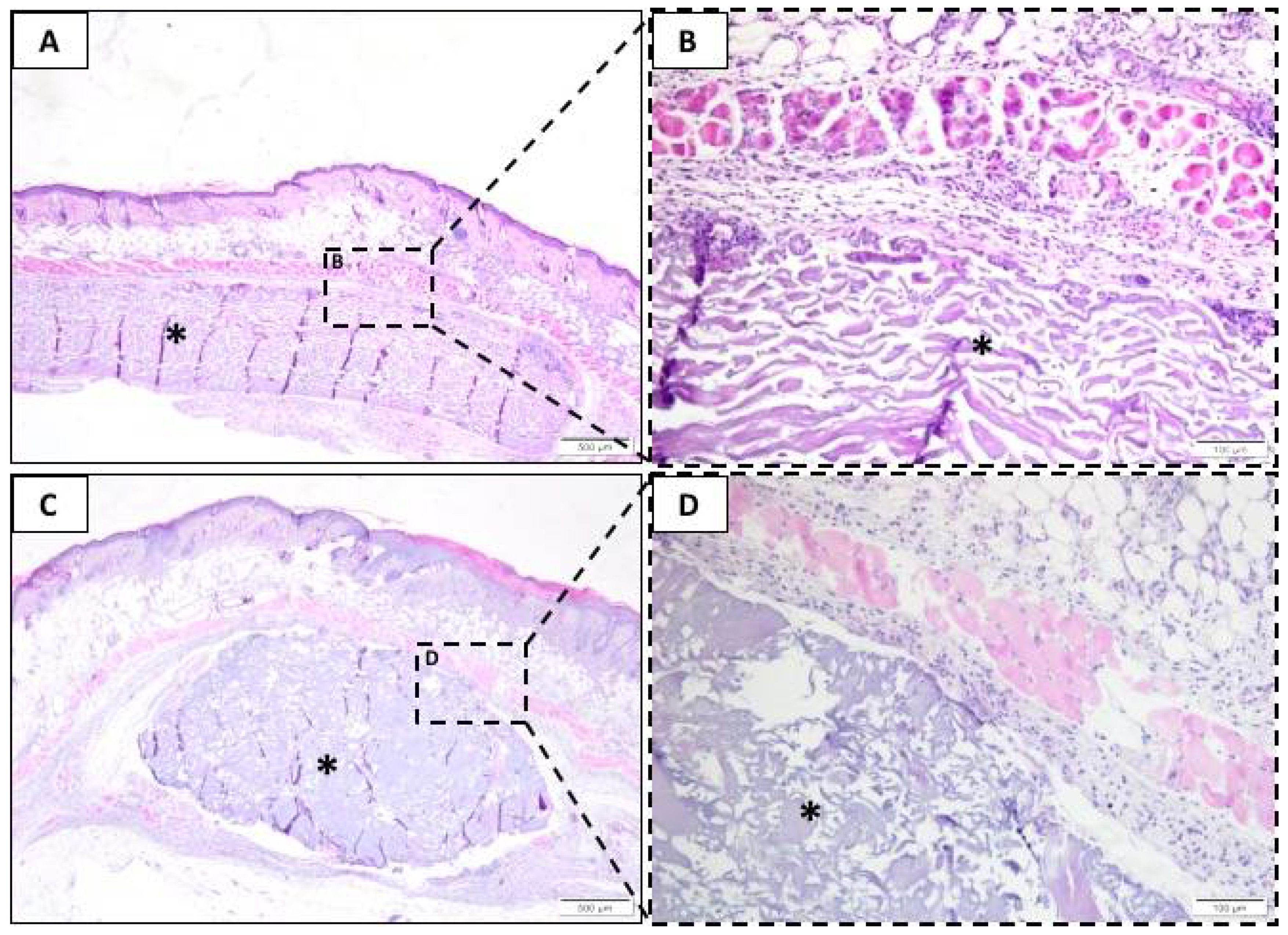
3.2.1. Seven Days Post-Implantation
3.2.2. Twenty-One Days Post-Implantation
3.2.3. Sixty-Three Days Post-Implantation
3.3. Degree of Irritation Induced by Membranes According to ISO 10993-6:2016
4. Discussion
5. Conclusions
Supplementary Materials
Author Contributions
Funding
Conflicts of Interest
References
- Polimeni, G.; Koo, K.T.; Pringle, G.A.; Agelan, A.; Safadi, F.F.; Wikesjö, U.M. Histopathological observations of a polylactic acid-based device intended for guided bone/tissue regeneration. Clin. Implant Dent. Relat. Res. 2008, 10, 99–105. [Google Scholar] [CrossRef]
- van Leeuwen, A.C.; Huddleston Slater, J.J.; Gielkens, P.F.; de Jong, J.R.; Grijpma, D.W.; Bos, R.R. Guided bone regeneration in rat mandibular defects using resorbable poly(trimethylene carbonate) barrier membranes. Acta Biomater. 2012, 8, 1422–1429. [Google Scholar] [CrossRef]
- Forti, F.L.; Goissis, G.; Plepis, A.M. Modifications on collagen structures promoted by 1,4-dioxane improve thermal and biological properties of bovine pericardium as a biomaterial. J. Biomater. Appl. 2006, 20, 267–285. [Google Scholar] [CrossRef]
- Friess, W. Collagen--biomaterial for drug delivery. Eur. J. Pharm. Biopharm. 1998, 45, 113–136. [Google Scholar] [CrossRef]
- Kasaj, A.; Reichert, C.; Götz, H.; Röhrig, B.; Smeets, R.; Willershausen, B. In vitro evaluation of various bioabsorbable and nonresorbable barrier membranes for guided tissue regeneration. Head Face Med. 2008, 14, 4–22. [Google Scholar] [CrossRef]
- Locci, P.; Calvitti, M.; Belcastro, S.; Pugliese, M.; Guerra, M.; Marinucci, L.; Staffolani, N.; Becchetti, E. Phenotype expression of gingival fibroblasts cultured on membranes used in guided tissue regeneration. J. Periodontol. 1997, 68, 857–863. [Google Scholar] [CrossRef]
- Cooperman, L.; Michaeli, D. The immunogenicity of injectable collagen. I. A 1-year prospective study. J. Am. Acad. Dermatol. 1984, 10, 638–646. [Google Scholar] [CrossRef]
- Corinaldesi, G.; Lizio, G.; Badiali, G.; Morselli-Labate, A.M.; Marchetti, C. Treatment of intrabony defects after impacted mandibular third molar removal with bioabsorbable and non-resorbable membranes. J. Periodontol. 2011, 82, 1404–1413. [Google Scholar] [CrossRef]
- Pieper, J.S.; van Wachem, P.B.; van Luyn, M.J.A.; Brouwer, L.A.; Hafmans, T.; Veerkamp, J.H.; van Kuppevelt, T.H. Attachment of glycosaminoglycans to collagenous matrices modulates the tissue response in rats. Biomaterials 2000, 21, 1689–1699. [Google Scholar] [CrossRef]
- Hürzeler, M.B.; Kohal, R.J.; Naghshbandl, J.; Mota, L.F.; Conradt, J.; Hutmacher, D.; Caffesse, R.G. Evaluation of a new bioresorbable barrier to facilitate guided bone regeneration around exposed implant threads. Int. J. Oral Maxillofac. Surg. 1998, 27, 315–320. [Google Scholar] [CrossRef]
- Miller, N.; Penaud, J.; Foliguet, B.; Membre, H.; Ambrosini, P.; Plombas, M. Resorption rates of 2 commercially available bioresorbable membranes. A histomorphometric study in a rabbit model. J. Clin. Periodontol. 1996, 23, 1051–1059. [Google Scholar] [CrossRef]
- Owens, K.W.; Yukna, R.A. Collagen membrane resorption in dogs: A comparative study. Implant Dent. 2001, 10, 49–58. [Google Scholar] [CrossRef]
- Hoornaert, A.; d’ Arros, C.; Heymann, M.F.; Layrolle, P. Biocompatibility, resorption and biofunctionality of a new synthetic biodegradable membrane for guided bone regeneration. Biomed. Mater. 2016, 11, 045012. [Google Scholar] [CrossRef]
- Hammerle, C.H.; Jung, R.E. Bone augmentation by means of barrier membranes. Periodontology 2000 2003, 33, 36–53. [Google Scholar] [CrossRef]
- Anderson, J.M.; Rodriguez, A.; Chang, D.T. Foreign body reaction to biomaterials. Semin. Immunol. 2008, 20, 86–100. [Google Scholar] [CrossRef]
- Kilkenny, C.; Brown, W.J.; Cuthill, I.C.; Emerson, M.; Altman, D.G. Improving bioscience research reporting: The ARRIVE guidelines for reporting animal research. Osteoarthr. Cartil. 2012, 20, 256–260. [Google Scholar] [CrossRef]
- Smith, A.J.; Clutton, R.E.; Lilley, E.; Hansen, K.E.A.; Brattelid, T. PREPARE: Guidelines for planning animal research and testing. Lab. Anim. 2018, 52, 135–141. [Google Scholar] [CrossRef]
- Hassumi, J.S.; Mulinari-Santos, G.; Fabris, A.L.D.S.; Jacob, R.G.M.; Gonçalves, A.; Rossi, A.C.; Freire, E.R.; Faverani, L.P.; Okamoto, R. Alveolar bone healing in rats: Micro-CT, immunohistochemical and molecular analysis. J. Appl. Oral Sci. 2018, 18, 1–12. [Google Scholar] [CrossRef]
- Marchi, M.N.A.; Sargi, L.F.; Martins, R.R.; Luz, P.E.; Tanaka, C.Y.; Pereira, U.P.; Pereira, P.M. Skin antisepsis protocols for the collection of blood from donor dogs. Ciênc. Rural 2018, 48, e20170505. [Google Scholar] [CrossRef]
- Pereira, L.d.C.; Mourão, C.F.d.A.B.; Alves, A.T.N.N.; Resende, R.F.B.; Uzeda, P.G.; Granjeiro, J.M.; Louro, R.S.; Calasans-Maia, M.D. In Vitro Physico-Chemical Characterization and Standardized In Vivo Evaluation of Biocompatibility of a New Synthetic Membrane for Guided Bone Regeneration. Materials 2019, 12, 1186. [Google Scholar] [CrossRef]
- International Organization for Standardization. ISO 10993-6, Biological Evaluation of Medical Devices; Part 6: Tests for Local Effects after Implantation; International Organization for Standardization: Vernier, Switzerland, 2016. [Google Scholar]
- Gheno, E.; Mourão, C.F.d.A.B.; Mello-Machado, R.C.; Stellet Lourenço, E.; Miron, R.J.; Catarino, K.F.F.; Alves, A.T.; Alves, G.G.; Calasans-Maia, M.D. In Vivo evaluation of the biocompatibility and biodegradation of a new denatured plasma membrane combined with liquid PRF (Alb-PRF). Platelets 2020, 12, 1–13. [Google Scholar] [CrossRef]
- Taguchi, Y.; Amizuka, N.; Nakadate, M.; Ohnishi, H.; Fujii, N.; Oda, K.; Maeda, T. A histological evaluation for guided bone regeneration induced by a collagenous membrane. Biomaterials 2005, 26, 6158–6166. [Google Scholar] [CrossRef]
- Anderson, J.M.; McNally, A.K. Biocompatibility of implants: Lymphocyte/macrophage interactions. Semin. Immunopathol. 2011, 33, 221–233. [Google Scholar] [CrossRef]
- Diegelmann, R.F.; Evans, M.C. Wound healing: An overview of acute, fibrotic and delayed healing. Front. Biosci. 2004, 9, 283–289. [Google Scholar] [CrossRef]
- Tal, H.; Kozlovsky, A.; Artzi, Z.; Nemcovsky, C.E.; Moses, O. Long-term bio-degradation of crosslinked and noncross-linked collagen barriers in human guided bone regeneration. Clin. Oral Impl. Res. 2008, 19, 295–302. [Google Scholar] [CrossRef]
- Jones, J.A.; McNally, A.K.; Chang, D.T.; Qin, L.A.; Meyerson, H.; Colton, E.; Kwon, I.L.K.; Matsuda, T.; Anderson, J.M. Matrix metalloproteinases and their inhibitors in the foreign body reaction on biomaterials. J. Biomed. Mater. Res. A 2008, 84, 158–166. [Google Scholar] [CrossRef]
- Saino, E.; Focarete, M.L.; Gualandi, C.; Emanuele, E.; Cornaglia, A.I.; Imbriani, M.; Visai, L. Effect of Electrospun Fiber Diameter and Alignment on Macrophage Activation and Secretion of Proinflammatory Cytokines and Chemokines. Biomacromolecules 2011, 12, 1900–1911. [Google Scholar] [CrossRef]
- Zhao, S.; Pinholt, E.M.; Madsen, J.E.; Donath, K. Histological evaluation of different biodegradable and non-biodegradable membranes implanted subcutaneously in rats. J. Craniomaxillofac. Surg. 2000, 28, 116–122. [Google Scholar] [CrossRef]
- Von Arx, T.; Broggini, N.; Jensen, S.S.; Schenk, R.K.; Buser, D. Membrane Durability and Tissue Response of Different Bioresorbable Barrier Membranes: A Histologic Study in the Rabbit Calvarium. Int. J. Oral Maxillofac. Implants 2005, 20, 843–853. [Google Scholar]
- Rothamel, D.; Benner, M.; Fienitz, T.; Happe, A.; Kreppel, M.; Nickenig, H.J.; Zöller, J.E. Biodegradation pattern and tissue integration of native and crosslinked porcine collagen soft tissue augmentation matrices- an experimental study in the rat. Head Face Med. 2014, 10, 10. [Google Scholar] [CrossRef]
- Patino, M.G.; Neiders, M.E.; Andreana, S.; Noble, B.; Cohen, R.E. Cellular inflammatory response to porcine collagen membranes. J. Periodontal Res. 2003, 38, 458–464. [Google Scholar] [CrossRef] [PubMed]
- Luttikhuizen, D.T.; Dankers, P.Y.W.; Harmsen, M.C.; van Luyn, M.J.A. Material dependent differences in inflammatory gene expression by giant cells during the foreign body reaction. J. Biomed. Mater. Res. A 2007, 83, 879–886. [Google Scholar] [CrossRef] [PubMed]
- Luttikhuizen, D.T.; Harmsen, M.C.; van Luyn, M.J.A. Cytokine and chemokine dynamics differ between rats and mice after collagen implantation. J. Tissue Eng. Regen. Med. 2007, 1, 398–405. [Google Scholar] [CrossRef] [PubMed]
- Luttikhuizen, D.T.; van Amerongen, M.J.; de Feijter, P.C.; Petersen, A.H.; Harmsen, M.C.; van Luyn, M.J.A. The correlation between difference in foreign body reaction between implant locations and cytokine and MMP expression. Biomaterials 2006, 27, 5763–5770. [Google Scholar] [CrossRef]
- Zafalon, E.J.; Versiani, M.A.; de Souza, C.J.A.; Gomes Moura, C.C.; Dechichi, P. In vivo comparison of the biocompatibility of two root canal sealers implanted into the subcutaneous connective tissue of rats. Oral Surg, Oral Med. Oral Pathol. Oral Radiol. Endod. 2007, 103, e88–e94. [Google Scholar] [CrossRef]
- An, Y.Z.; Kim, Y.K.; Lim, S.M.; Heo, Y.K.; Kwon, M.K.; Cha, J.K.; Lee, J.S.; Jung, U.W.; Choi, S.H. Physiochemical properties and resorption progress of porcine skin-derived collagen membranes: In vitro and in vivo analysis. Dent. Mater. J. 2018, 37, 332–340. [Google Scholar] [CrossRef] [PubMed]






Publisher’s Note: MDPI stays neutral with regard to jurisdictional claims in published maps and institutional affiliations. |
© 2020 by the authors. Licensee MDPI, Basel, Switzerland. This article is an open access article distributed under the terms and conditions of the Creative Commons Attribution (CC BY) license (http://creativecommons.org/licenses/by/4.0/).
Share and Cite
Neto, A.M.D.; Sartoretto, S.C.; Duarte, I.M.; Resende, R.F.d.B.; Neves Novellino Alves, A.T.; Mourão, C.F.d.A.B.; Calasans-Maia, J.; Montemezzi, P.; Tristão, G.C.; Calasans-Maia, M.D. In Vivo Comparative Evaluation of Biocompatibility and Biodegradation of Bovine and Porcine Collagen Membranes. Membranes 2020, 10, 423. https://doi.org/10.3390/membranes10120423
Neto AMD, Sartoretto SC, Duarte IM, Resende RFdB, Neves Novellino Alves AT, Mourão CFdAB, Calasans-Maia J, Montemezzi P, Tristão GC, Calasans-Maia MD. In Vivo Comparative Evaluation of Biocompatibility and Biodegradation of Bovine and Porcine Collagen Membranes. Membranes. 2020; 10(12):423. https://doi.org/10.3390/membranes10120423
Chicago/Turabian StyleNeto, Abdu Mansur Dacache, Suelen Cristina Sartoretto, Isabelle Martins Duarte, Rodrigo Figueiredo de Brito Resende, Adriana Terezinha Neves Novellino Alves, Carlos Fernando de Almeida Barros Mourão, Jose Calasans-Maia, Pietro Montemezzi, Gilson Coutinho Tristão, and Mônica Diuana Calasans-Maia. 2020. "In Vivo Comparative Evaluation of Biocompatibility and Biodegradation of Bovine and Porcine Collagen Membranes" Membranes 10, no. 12: 423. https://doi.org/10.3390/membranes10120423
APA StyleNeto, A. M. D., Sartoretto, S. C., Duarte, I. M., Resende, R. F. d. B., Neves Novellino Alves, A. T., Mourão, C. F. d. A. B., Calasans-Maia, J., Montemezzi, P., Tristão, G. C., & Calasans-Maia, M. D. (2020). In Vivo Comparative Evaluation of Biocompatibility and Biodegradation of Bovine and Porcine Collagen Membranes. Membranes, 10(12), 423. https://doi.org/10.3390/membranes10120423

