A Case of Acute Pulmonary Embolus after mRNA SARS-CoV-2 Immunization
Abstract
1. Introduction
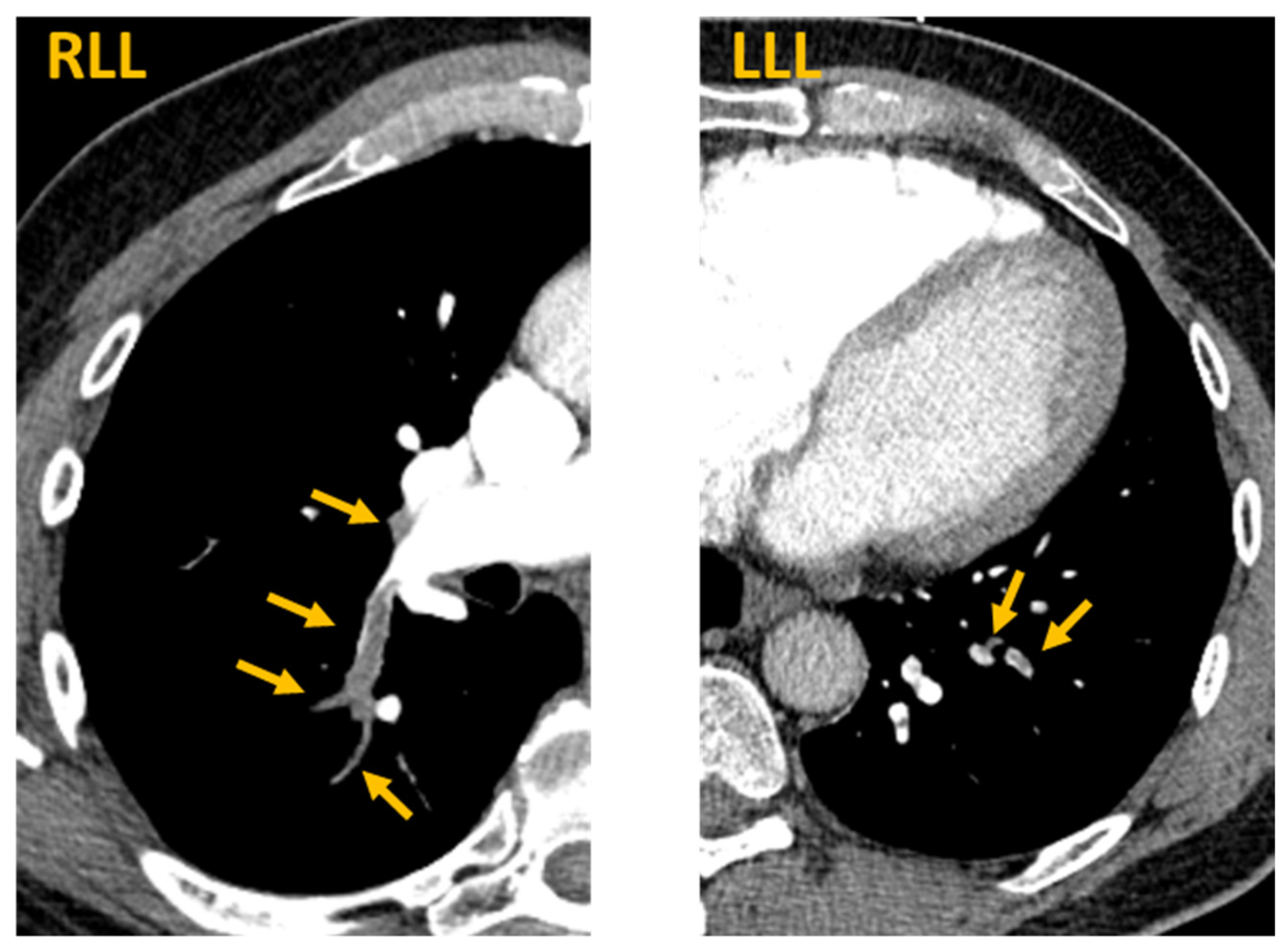
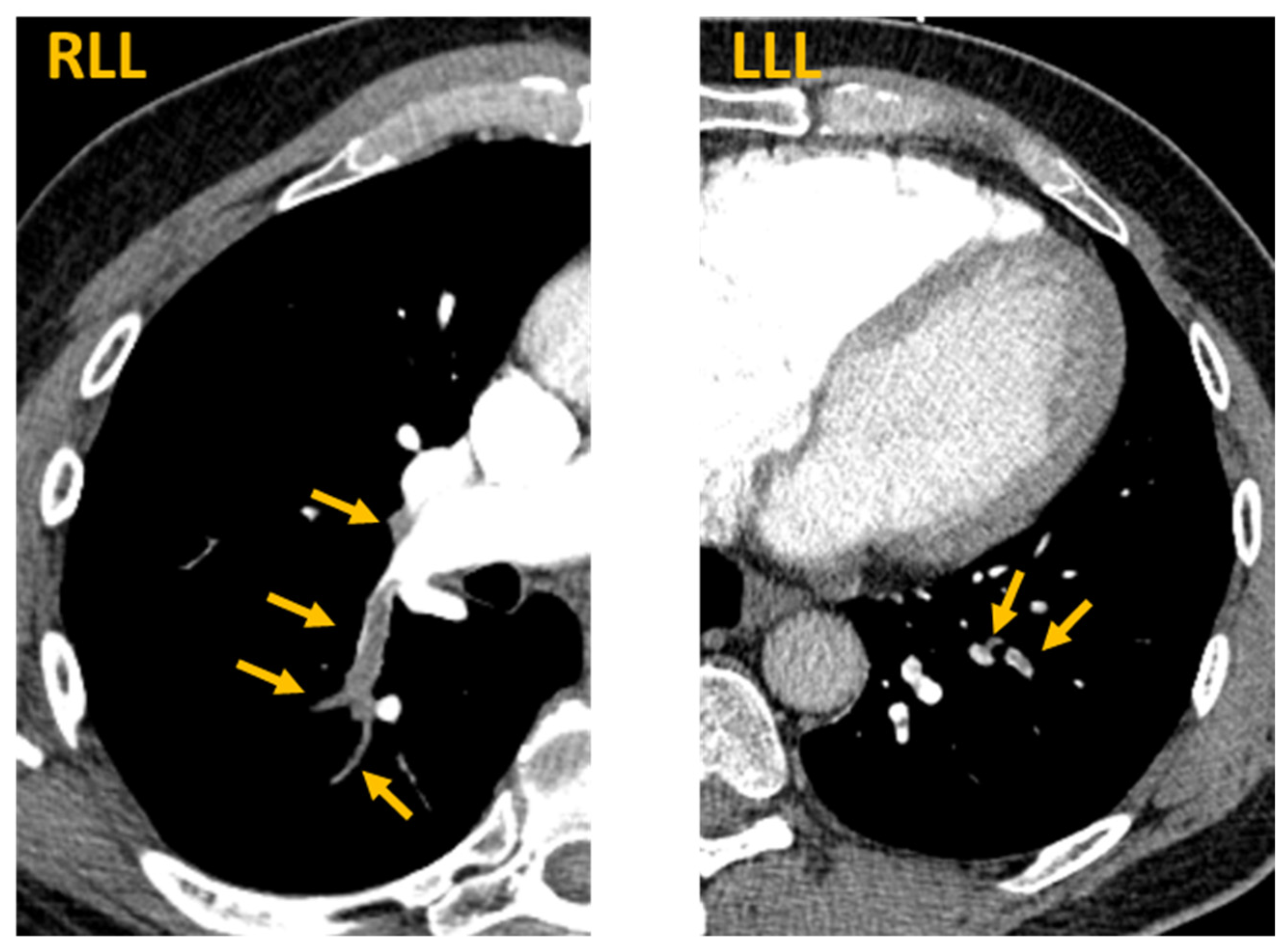
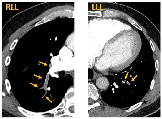
2. Case Report
3. Discussion
4. Conclusions
Author Contributions
Funding
Institutional Review Board Statement
Informed Consent Statement
Acknowledgments
Conflicts of Interest
References
- COVID-19 Dashboard by the Center for Systems Science and Engineering (CSSE) at Johns Hopkins University. Available online: https://coronavirus.jhu.edu/map.html (accessed on 24 June 2021).
- Li, Y.D.; Chi, W.Y.; Su, J.H.; Ferrall, L.; Hung, C.F.; Wu, T.C. Coronavirus vaccine development: From SARS and MERS to COVID-19. J. Biomed. Sci. 2020, 27, 104. [Google Scholar] [CrossRef] [PubMed]
- MacNeil, J.R.; Su, J.R.; Broder, K.R.; Guh, A.Y.; Gargano, J.W.; Wallace, M.; Hadler, S.C.; Scobie, H.M.; Blain, A.E.; Moulia, D.; et al. Updated Recommendations from the Advisory Committee on Immunization Practices for Use of the Janssen (Johnson & Johnson) COVID-19 Vaccine After Reports of Thrombosis with Thrombocytopenia Syndrome Among Vaccine Recipients—United States, April 2021. MMWR Morb. Mortal Wkly. Rep. 2021, 70, 651–656. [Google Scholar] [CrossRef] [PubMed]
- Scully, M.; Singh, D.; Lown, R.; Poles, A.; Solomon, T.; Levi, M.; Goldblatt, D.; Kotoucek, P.; Thomas, W.; Lester, W. Pathologic Antibodies to Platelet Factor 4 after ChAdOx1 nCoV-19 Vaccination. N. Engl. J. Med. 2021, 384, 2202–2211. [Google Scholar] [CrossRef]
- Mahase, E. Covid-19: Unusual blood clots are “very rare side effect” of Janssen vaccine, says EMA. BMJ 2021, 373, n1046. [Google Scholar] [CrossRef] [PubMed]
- Carli, G.; Nichele, I.; Ruggeri, M.; Barra, S.; Tosetto, A. Deep vein thrombosis (DVT) occurring shortly after the second dose of mRNA SARS-CoV-2 vaccine. Intern. Emerg. Med. 2021, 16, 803–804. [Google Scholar] [CrossRef] [PubMed]
- Al-Maqbali, J.S.; Al Rasbi, S.; Kashoub, M.S.; Al Hinaai, A.M.; Farhan, H.; Al Rawahi, B.; Al Alawi, A.M. A 59-Year-Old Woman with Extensive Deep Vein Thrombosis and Pulmonary Thromboembolism 7 Days Following a First Dose of the Pfizer-BioNTech BNT162b2 mRNA COVID-19 Vaccine. Am. J. Case Rep. 2021, 22, e932946. [Google Scholar] [CrossRef]
- Kniffin, W.D., Jr.; Baron, J.A.; Barrett, J.; Birkmeyer, J.D.; Anderson, F.A., Jr. The epidemiology of diagnosed pulmonary embolism and deep venous thrombosis in the elderly. Arch. Intern. Med. 1994, 154, 861–866. [Google Scholar] [CrossRef]
- Greinacher, A.; Thiele, T.; Warkentin, T.E.; Weisser, K.; Kyrle, P.A.; Eichinger, S. Thrombotic Thrombocytopenia after ChAdOx1 nCov-19 Vaccination. N. Engl. J. Med. 2021, 384, 2092–2101. [Google Scholar] [CrossRef]
- Schultz, N.H.; Sorvoll, I.H.; Michelsen, A.E.; Munthe, L.A.; Lund-Johansen, F.; Ahlen, M.T.; Wiedmann, M.; Aamodt, A.H.; Skattor, T.H.; Tjonnfjord, G.E.; et al. Thrombosis and Thrombocytopenia after ChAdOx1 nCoV-19 Vaccination. N. Engl. J. Med. 2021, 384, 2124–2130. [Google Scholar] [CrossRef]
- Lee, G.M.; Arepally, G.M. Heparin-induced thrombocytopenia. Hematol. Am. Soc. Hematol. Educ. Program 2013, 2013, 668–674. [Google Scholar] [CrossRef] [PubMed]
- Nevzorova, T.A.; Mordakhanova, E.R.; Daminova, A.G.; Ponomareva, A.A.; Andrianova, I.A.; Le Minh, G.; Rauova, L.; Litvinov, R.I.; Weisel, J.W. Platelet factor 4-containing immune complexes induce platelet activation followed by calpain-dependent platelet death. Cell Death Discov. 2019, 5, 106. [Google Scholar] [CrossRef]
- Thachil, J.; Longstaff, C.; Favaloro, E.J.; Lippi, G.; Urano, T.; Kim, P.Y.; SSC Subcommittee on Fibrinolysis of the International Society on Thrombosis and Haemostasis. The need for accurate D-dimer reporting in COVID-19: Communication from the ISTH SSC on fibrinolysis. J. Thromb. Haemost. 2020, 18, 2408–2411. [Google Scholar] [CrossRef]
- Arnout, J.; Vanrusselt, M.; Huybrechts, E.; Vermylen, J. Optimization of the dilute prothrombin time for the detection of the lupus anticoagulant by use of a recombinant tissue thromboplastin. Br. J. Haematol. 1994, 87, 94–99. [Google Scholar] [CrossRef] [PubMed]
- Schjetlein, R.; Wisloff, F. An evaluation of two commercial test procedures for the detection of lupus anticoagulant. Am. J. Clin. Pathol. 1995, 103, 108–111. [Google Scholar] [CrossRef] [PubMed][Green Version]
- Radic, M.; Pattanaik, D. Cellular and Molecular Mechanisms of Anti-Phospholipid Syndrome. Front. Immunol. 2018, 9, 969. [Google Scholar] [CrossRef] [PubMed]
- Miyakis, S.; Lockshin, M.D.; Atsumi, T.; Branch, D.W.; Brey, R.L.; Cervera, R.; Derksen, R.H.; De Groot, P.G.; Koike, T.; Meroni, P.L.; et al. International consensus statement on an update of the classification criteria for definite antiphospholipid syndrome (APS). J. Thromb. Haemost. 2006, 4, 295–306. [Google Scholar] [CrossRef]
- De Kesel, P.M.M.; Devreese, K.M.J. The effect of unfractionated heparin, enoxaparin, and danaparoid on lupus anticoagulant testing: Can activated carbon eliminate false-positive results? Res. Pract. Thromb. Haemost. 2020, 4, 161–168. [Google Scholar] [CrossRef]
- Tung, M.L.; Tan, B.; Cherian, R.; Chandra, B. Anti-phospholipid syndrome and COVID-19 thrombosis: Connecting the dots. Rheumatol. Adv. Pract. 2021, 5, rkaa081. [Google Scholar] [CrossRef]
- Bowles, L.; Platton, S.; Yartey, N.; Dave, M.; Lee, K.; Hart, D.P.; MacDonald, V.; Green, L.; Sivapalaratnam, S.; Pasi, K.J.; et al. Lupus Anticoagulant and Abnormal Coagulation Tests in Patients with Covid-19. N. Engl. J. Med. 2020, 383, 288–290. [Google Scholar] [CrossRef]
- Toom, S.; Wolf, B.; Avula, A.; Peeke, S.; Becker, K. Familial thrombocytopenia flare-up following the first dose of mRNA-1273 Covid-19 vaccine. Am. J. Hematol. 2021, 96, E134–E135. [Google Scholar] [CrossRef]
- Malas, M.B.; Naazie, I.N.; Elsayed, N.; Mathlouthi, A.; Marmor, R.; Clary, B. Thromboembolism risk of COVID-19 is high and associated with a higher risk of mortality: A systematic review and meta-analysis. EClinicalMedicine 2020, 29, 100639. [Google Scholar] [CrossRef] [PubMed]
- Baden, L.R.; El Sahly, H.M.; Essink, B.; Kotloff, K.; Frey, S.; Novak, R.; Diemert, D.; Spector, S.A.; Rouphael, N.; Creech, C.B.; et al. Efficacy and Safety of the mRNA-1273 SARS-CoV-2 Vaccine. N. Engl. J. Med. 2021, 384, 403–416. [Google Scholar] [CrossRef]
- Polack, F.P.; Thomas, S.J.; Kitchin, N.; Absalon, J.; Gurtman, A.; Lockhart, S.; Perez, J.L.; Perez Marc, G.; Moreira, E.D.; Zerbini, C.; et al. Safety and Efficacy of the BNT162b2 mRNA Covid-19 Vaccine. N. Engl. J. Med. 2020, 383, 2603–2615. [Google Scholar] [CrossRef]
- Taquet, M.; Husain, M.; Geddes, J.; Luciano, S.; Harrison, P.J. Cerebral Venous Thrombosis: A Retrospective Cohort Study of 513,284 Confirmed COVID-19 Cases and a Comparison with 489,871 People Receiving a COVID-19 mRNA Vaccine. medRxiv 2021. Available online: https://www.medrxiv.org/content/10.1101/2021.04.27.21256153v1 (accessed on 25 May 2021).
- Smadja, D.M.; Yue, Q.Y.; Chocron, R.; Sanchez, O.; Lillo-Le Louet, A. Vaccination against COVID-19: Insight from arterial and venous thrombosis occurrence using data from VigiBase. Eur. Respir. J. 2021. [Google Scholar] [CrossRef] [PubMed]
- (HHS) USDoHaHS. Vaccine Adverse Event Reporting System (VAERS). Available online: https://vaers.hhs.gov/ (accessed on 25 May 2021).

| Laboratory Studies | Coagulation Studies | Thrombophilia Studies | ||||||
|---|---|---|---|---|---|---|---|---|
| Test | Value | Reference | Test | Value | Reference | Test | Value | Reference |
| Hemoglobin | 13.8 g/dL | 13.2–16.6 g/dL | PT | 14.0 s | 9.4–12.5 s | Prothrombin G20210A mutation | Negative | Negative |
| Platelet Count | 176 × 109/L | 135–317 × 109/L | INR | 1.2 | 0.9–1.1 | Factor V leiden (R506Q) mutation | Negative | Negative |
| WBC count | 9.2 × 109/L | 3.4–9.6 × 109/L | APTT | 35 s | 25–37 s | Antithrombin activity | 81% | 80–130% |
| Sodium | 141 mmol/L | 135–145 mmol/L | Factor II Assay | 120% | 75–145% | Protein C activity | 102% | 70–150% |
| Potassium | 4.2mmol/L | 3.6–5.2 mmol/L | Factor V Assay | 119% | 70–165% | Protein S antigen, Free | 105% | 65–160% |
| Chloride | 104 mmol/L | 98–107 mmol/L | Factor VII Assay | 76% | 65–180% | Protein S activity | 137% | 65–160% |
| BUN | 17 mg/dL | 8–24 mg/dL | Factor X Assay | 105% | 70–150% | PT dilution 1:2 | 12.4s | 9.4–12.5 s |
| Creatinine | 1.14 mg/dL | 0.74–1.35 mg/dL | Thrombin Time | 20.9s | 15.8–24.9 s | Dilute PT 1:50 ratio | 1.7 | <1.1 |
| Glucose | 104 mg/dL | 70–140 mg/dL | Dilute PT 1:500 ratio | 1.7 | <1.1 | |||
| Estimated GFR. | 77 mL/min/BSA | >60 mL/min/BSA | DRVVT ratio | 1.1 | 0–1.1 | |||
| C-reactive protein | 38.2 mg/L | <8.0 mg/L | StaClot LA | 10.7 s | <8 s | |||
| ESR | 14 mm/1 h | 0–22 mm/1 h | Homocysteine | 14.4 nmol/L | 7.1–16.3 nmol/L | |||
| D-dimer | 3840 ng/mL FEU | <500 ng/mL FEU | Antinuclear Ab | 0.1 U | <1.0 U | |||
| SARS-CoV-2 RNA, Nasal Swab | Negative | Negative | Beta 2 Glycoprotein 1 Ab IgM | <9.4 U/mL | <15.0 U/mL | |||
| SARS-CoV-2 Nucleocapsid Total Ab | Negative | Negative | Beta 2 Glycoprotein 1 Ab IgG | <9.4 U/mL | <15.0 U/mL | |||
| SARS-CoV-2 Spike Ab | >2500 U/mL | <0.8 U/mL | Phospholipid Ab IgM | 27.1 MPL | <15.0 MPL | |||
| Phospholipid Ab IgG | <9.4 GPL | <15.0 GPL | ||||||
Publisher’s Note: MDPI stays neutral with regard to jurisdictional claims in published maps and institutional affiliations. |
© 2021 by the authors. Licensee MDPI, Basel, Switzerland. This article is an open access article distributed under the terms and conditions of the Creative Commons Attribution (CC BY) license (https://creativecommons.org/licenses/by/4.0/).
Share and Cite
Wiest, N.E.; Johns, G.S.; Edwards, E. A Case of Acute Pulmonary Embolus after mRNA SARS-CoV-2 Immunization. Vaccines 2021, 9, 903. https://doi.org/10.3390/vaccines9080903
Wiest NE, Johns GS, Edwards E. A Case of Acute Pulmonary Embolus after mRNA SARS-CoV-2 Immunization. Vaccines. 2021; 9(8):903. https://doi.org/10.3390/vaccines9080903
Chicago/Turabian StyleWiest, Nathaniel E., Gretchen S. Johns, and Eric Edwards. 2021. "A Case of Acute Pulmonary Embolus after mRNA SARS-CoV-2 Immunization" Vaccines 9, no. 8: 903. https://doi.org/10.3390/vaccines9080903
APA StyleWiest, N. E., Johns, G. S., & Edwards, E. (2021). A Case of Acute Pulmonary Embolus after mRNA SARS-CoV-2 Immunization. Vaccines, 9(8), 903. https://doi.org/10.3390/vaccines9080903

