Long-Term Protection and Serologic Response of European Sea Bass Vaccinated with a Betanodavirus Virus-Like Particle Produced in Pichia pastoris
Abstract
1. Introduction
2. Materials and Methods
2.1. VLP Production and Purification
2.2. Transmission Electron Microscopy and Cryo-Transmission Electron Microscopy
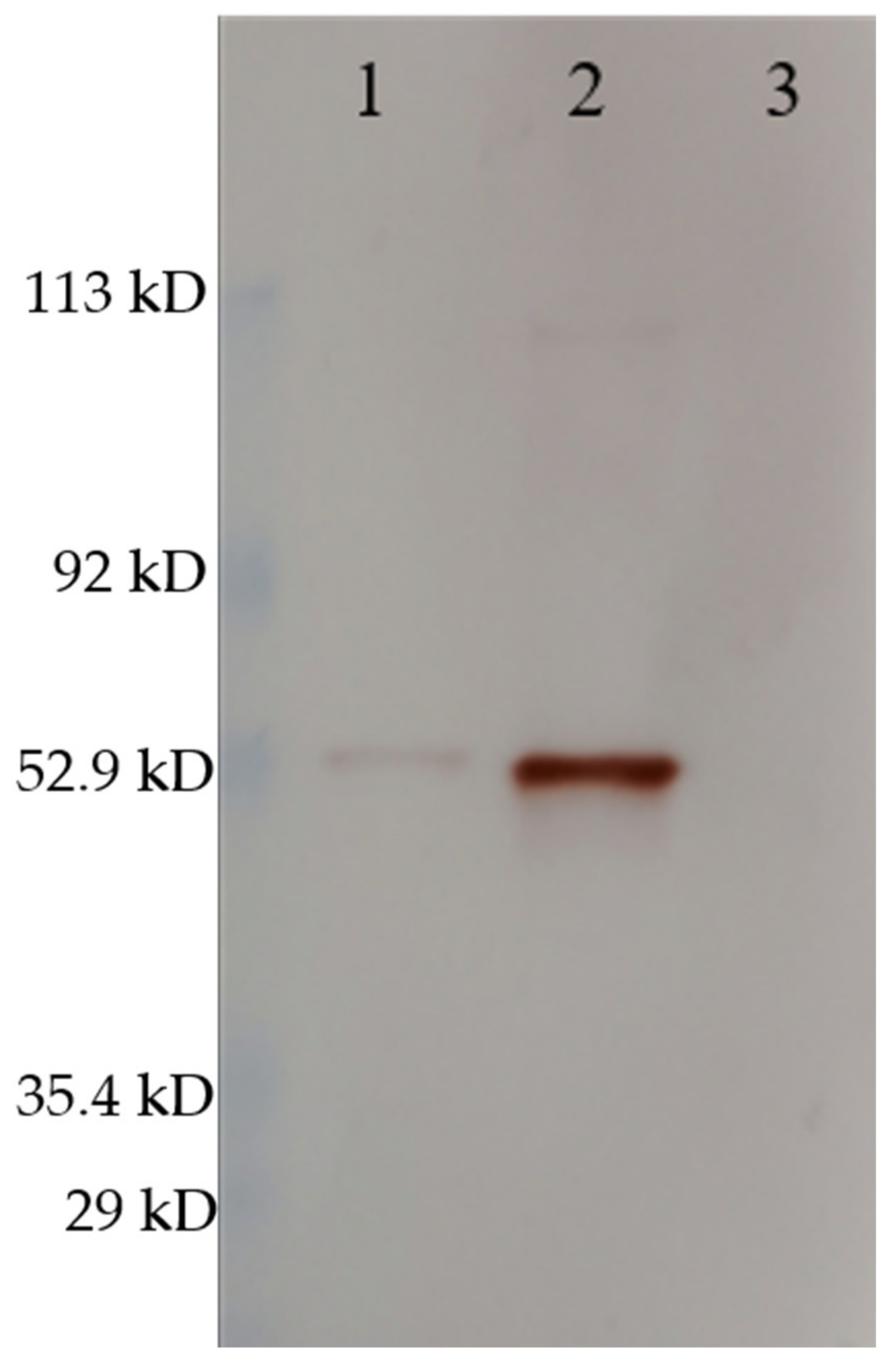
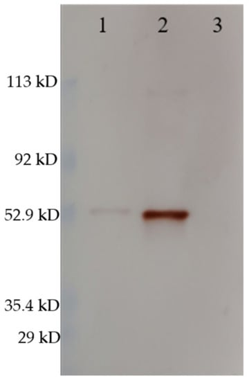
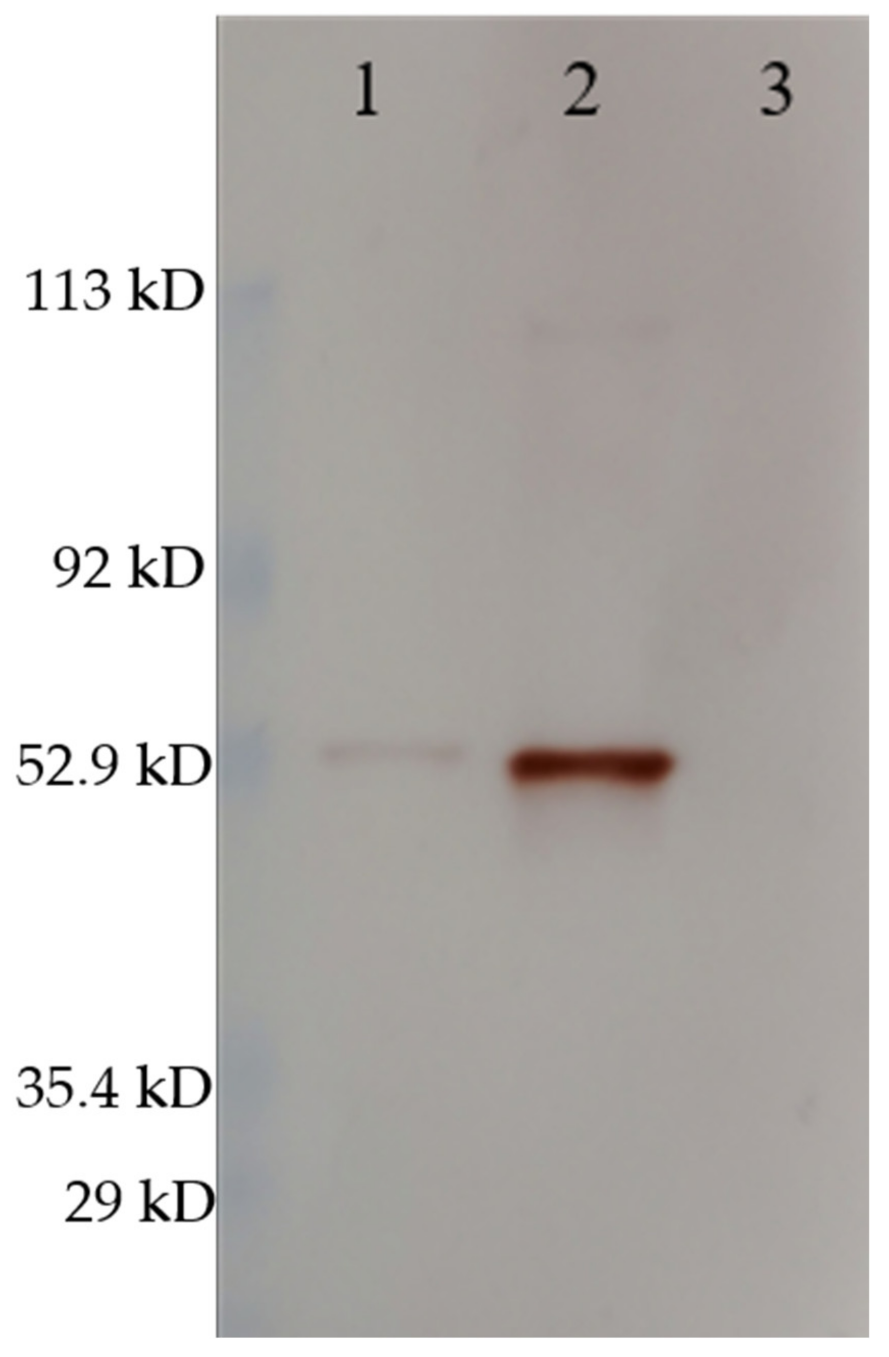
2.3. Western Blot
2.4. Fish Experiments
2.5. Vaccine Preparations
2.6. Fish and Setup
2.7. Sampling
2.8. Virus and Challenge
2.9. Titration of Virus from the Brain (Study 1)
2.10. RT-qPCR
2.11. Immunohistochemistry (Study 1)
2.12. ELISA
2.13. Serum Neutralization (Study 1)
2.14. Statistics
3. Results
3.1. Production and Charachterization of the VLP
3.2. ELISA
3.3. Serum Neutralization (Study 1)
3.4. Survival
3.5. Statistical Evaluation
3.6. Detection of Virus in Brain-Tissue
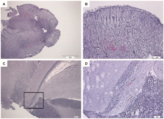
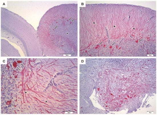
3.7. Immunohistochemistry (Study 1)
3.8. Serology—Survivors (Study 1)
4. Discussion
5. Conclusions
Supplementary Materials
Author Contributions
Funding
Institutional Review Board Statement
Data Availability Statement
Acknowledgments
Conflicts of Interest
References
- Le Breton, A.; Grisez, L.; Sweetman, J.; Ollevier, F. Viral nervous necrosis (VNN) associated with mass mortalities in cage-reared sea bass, Dicentrarchus labrax (L.). J. Fish Dis. 1997, 20, 145–151. [Google Scholar] [CrossRef]
- Midtlyng, P.J. Fish Vaccines. Birkhäuser Adv. Infect. Dis. 2016, 119–141. [Google Scholar] [CrossRef]
- Chi, S.C.; Lo, C.F.; Kou, G.H.; Chang, P.S.; Peng, S.E.; Chen, S.N. Mass mortalities associated with viral nervous necrosis (VNN) disease in two species of hatchery-reared grouper, Epinephelus fuscogutatus and Epinephelus akaara (Temminck & Schlegel). J. Fish Dis. 1997, 20, 185–193. [Google Scholar] [CrossRef]
- Breuil, G.; Bonami, J.; Pepin, J.; Pichot, Y. Viral infection (picorna-like virus) associated with mass mortalities in hatchery-reared sea-bass (Dicentrarchus labrax) larvae and juveniles. Aquaculture 1991, 97, 109–116. [Google Scholar] [CrossRef]
- Iwamoto, T.; Mise, K.; Takeda, A.; Okinaka, Y.; Mori, K.-I.; Arimoto, M.; Okuno, T.; Nakai, T. Characterization of Striped jack nervous necrosis virus subgenomic RNA3 and biological activities of its encoded protein B2. J. Gen. Virol. 2005, 86, 2807–2816. [Google Scholar] [CrossRef] [PubMed]
- Chen, N.-C.; Yoshimura, M.; Guan, H.-H.; Wang, T.-Y.; Misumi, Y.; Lin, C.-C.; Chuankhayan, P.; Nakagawa, A.; Chan, S.I.; Tsukihara, T.; et al. Crystal Structures of a Piscine Betanodavirus: Mechanisms of Capsid Assembly and Viral Infection. PLoS Pathog. 2015, 11, e1005203. [Google Scholar] [CrossRef]
- Olveira, J.G.; Souto, S.; Dopazo, C.P.; Thiéry, R.; Barja, J.L.; Bandin, I. Comparative analysis of both genomic segments of betanodaviruses isolated from epizootic outbreaks in farmed fish species provides evidence for genetic reassortment. J. Gen. Virol. 2009, 90, 2940–2951. [Google Scholar] [CrossRef]
- Mori, K.; Mangyoku, T.; Iwamoto, T.; Arimoto, M.; Tanaka, S.; Nakai, T. Serological relationships among genotypic variants of betanodavirus. Dis. Aquat. Org. 2003, 57, 19–26. [Google Scholar] [CrossRef]
- OIE. Viral Encephalopathy and Retinopathy. In Manual of Diagnostic Tests for Aquatic Animals; Office International Des Epizooties (OIE): Paris, France, 2019; pp. 1–20. [Google Scholar]
- Panzarin, V.; Toffan, A.; Abbadi, M.; Buratin, A.; Mancin, M.; Braaen, S.; Olsen, C.M.; Bargelloni, L.; Rimstad, E.; Cattoli, G. Molecular Basis for Antigenic Diversity of Genus Betanodavirus. PLoS ONE 2016, 11, e0158814. [Google Scholar] [CrossRef]
- Bandín, I.; Souto, S. Betanodavirus and VER Disease: A 30-year Research Review. Pathogens 2020, 9, 106. [Google Scholar] [CrossRef]
- Nuñez-Ortiz, N.; Pascoli, F.; Picchietti, S.; Buonocore, F.; Bernini, C.; Toson, M.; Scapigliati, G.; Toffan, A. A formalin-inactivated immunogen against viral encephalopathy and retinopathy (VER) disease in European sea bass (Dicentrarchus labrax): Immunological and protection effects. Veter Res. 2016, 47, 89. [Google Scholar] [CrossRef]
- Gonzalez-Silvera, D.; Guardiola, F.A.; Espinosa, C.; Chaves-Pozo, E.; Esteban, M.Á.; Cuesta, A. Recombinant nodavirus vaccine produced in bacteria and administered without purification elicits humoral immunity and protects European sea bass against infection. Fish Shellfish. Immunol. 2019, 88, 458–463. [Google Scholar] [CrossRef]
- Valero, Y.; Mokrani, D.; Chaves-Pozo, E.; Arizcun, M.; Oumouna, M.; Meseguer, J.; Esteban, M.; Cuesta, A. Vaccination with UV-inactivated nodavirus partly protects European sea bass against infection, while inducing few changes in immunity. Dev. Comp. Immunol. 2018, 86, 171–179. [Google Scholar] [CrossRef]
- Valero, Y.; Awad, E.; Buonocore, F.; Arizcun, M.; Esteban, M.Á.; Meseguer, J.; Chaves-Pozo, E.; Cuesta, A. An oral chitosan DNA vaccine against nodavirus improves transcription of cell-mediated cytotoxicity and interferon genes in the European sea bass juveniles gut and survival upon infection. Dev. Comp. Immunol. 2016, 65, 64–72. [Google Scholar] [CrossRef]
- Pharmaq. ALPHA JECT micro® 1 Noda. Available online: https://www.pharmaq.no/sfiles/2/54/9/file/product-info_alpha-jet_micro-1-noda_english_2018-9.pdf (accessed on 17 March 2021).
- Hipra Icthiovac. VNN. Available online: https://www.hipra.com/portal/fr/hipra/animalhealth/products/detail-global/icthiovac-vnn (accessed on 17 March 2021).
- Afonso, A.; Gomes, S.; Da Silva, J.; Marques, F.; Henrique, M. Side effects in sea bass (Dicentrarchus labrax L.) due to intraperitoneal vaccination against vibriosis and pasteurellosis. Fish Shellfish. Immunol. 2005, 19, 1–16. [Google Scholar] [CrossRef] [PubMed]
- Midtlyng, P.; Reitan, L.; Speilberg, L. Experimental studies on the efficacy and side-effects of intraperitoneal vaccination of Atlantic salmon (Salmo salar L.) against furunculosis. Fish Shellfish. Immunol. 1996, 6, 335–350. [Google Scholar] [CrossRef]
- Midtlyng, P.; Lillehaug, A. Growth of Atlantic salmon Salmo salar after intraperitoneal administration of vaccines containing adjuvants. Dis. Aquat. Org. 1998, 32, 91–97. [Google Scholar] [CrossRef] [PubMed]
- Marsian, J.; Hurdiss, D.L.; Ranson, N.A.; Ritala, A.; Paley, R.; Cano, I.; Lomonossoff, G.P. Plant-Made Nervous Necrosis Virus-Like Particles Protect Fish Against Disease. Front. Plant Sci. 2019, 10, 880. [Google Scholar] [CrossRef] [PubMed]
- Lin, C.-S.; Lu, M.-W.; Tang, L.; Liu, W.; Chao, C.-B.; Lin, C.J.; Krishna, N.K.; Johnson, J.E.; Schneemann, A. Characterization of Virus-like Particles Assembled in a Recombinant Baculovirus System Expressing the Capsid Protein of a Fish Nodavirus. Virol. 2001, 290, 50–58. [Google Scholar] [CrossRef]
- Luu, V.-T.; Moon, H.Y.; Hwang, J.Y.; Kang, B.-K.; Kang, H.A. Development of recombinant Yarrowia lipolytica producing virus-like particles of a fish nervous necrosis virus. J. Microbiol. 2017, 55, 655–664. [Google Scholar] [CrossRef]
- Lan, N.T.; Kim, H.J.; Han, H.-J.; Lee, D.-C.; Kang, B.K.; Han, S.Y.; Moon, H. Stability of virus-like particles of red-spotted grouper nervous necrosis virus in the aqueous state, and the vaccine potential of lyophilized particles. Biologicals 2018, 51, 25–31. [Google Scholar] [CrossRef]
- Mohsen, M.O.; Gomes, A.C.; Vogel, M.; Bachmann, M.F. Interaction of Viral Capsid-Derived Virus-Like Particles (VLPs) with the Innate Immune System. Vaccines 2018, 6, 37. [Google Scholar] [CrossRef] [PubMed]
- Jeong, H.; Seong, B.L. Exploiting virus-like particles as innovative vaccines against emerging viral infections. J. Microbiol. 2017, 55, 220–230. [Google Scholar] [CrossRef]
- Jeong, K.-H.; Kim, H.J. Current status and future directions of fish vaccines employing virus-like particles. Fish Shellfish. Immunol. 2020, 100, 49–57. [Google Scholar] [CrossRef]
- Crisci, E.; Bárcena, J.; Montoya, M. Virus-like particles: The new frontier of vaccines for animal viral infections. Veter Immunol. Immunopathol. 2012, 148, 211–225. [Google Scholar] [CrossRef] [PubMed]
- Thiéry, R.; Cozien, J.; Cabon, J.; Lamour, F.; Baud, M.; Schneemann, A. Induction of a Protective Immune Response against Viral Nervous Necrosis in the European Sea Bass Dicentrarchus labrax by Using Betanodavirus Virus-Like Particles. J. Virol. 2006, 80, 10201–10207. [Google Scholar] [CrossRef] [PubMed]
- Kim, H. Yeast as an expression system for producing virus-like particles: What factors do we need to consider? Lett. Appl. Microbiol. 2016, 64, 111–123. [Google Scholar] [CrossRef] [PubMed]
- Frerichs, G.N.; Morgan, D.; Hart, D.; Skerrow, C.; Roberts, R.J.; Onions, D.E. Spontaneously productive C-type retrovirus infection of fish cell lines. J. Gen. Virol. 1991, 72, 2537–2539. [Google Scholar] [CrossRef] [PubMed]
- Reed, L.; Muench, H. A Simple Method of Estimating Fifty Percent Endpoints12. Am. J. Epidemiol. 1938, 27, 493–497. [Google Scholar] [CrossRef]
- Vandeputte, M.; Garouste, R.; Dupont-Nivet, M.; Haffray, P.; Vergnet, A.; Chavanne, H.; Laureau, S.; Ron, T.B.; Pagelson, G.; Mazorra, C.; et al. Multi-site evaluation of the rearing performances of 5 wild populations of European sea bass (Dicentrarchus labrax). Aquaculture 2014, 424–425, 239–248. [Google Scholar] [CrossRef]
- Barsøe, S.; Allal, F.; Vergnet, A.; Vandeputte, M.; Olesen, N.J.; Schmidt, J.G.; Larsen, C.A.; Cuenca, A.; Vendramin, N. Different survival of three populations of European sea bass (Dicentrarchus labrax) following challenge with two variants of nervous necrosis virus (NNV). Aquac. Rep. 2021, 19, 100621. [Google Scholar] [CrossRef]
- Panzarin, V.; Fusaro, A.; Monne, I.; Cappellozza, E.; Patarnello, P.; Bovo, G.; Capua, I.; Holmes, E.C.; Cattoli, G. Molecular epidemiology and evolutionary dynamics of betanodavirus in southern Europe. Infect. Genet. Evol. 2012, 12, 63–70. [Google Scholar] [CrossRef]
- Iwamoto, T.; Mori, K.; Arimoto, M.; Nakai, T. A combined cell-culture and RT-PCR method for rapid detection of piscine nodaviruses. J. Fish Dis. 2001, 24, 231–236. [Google Scholar] [CrossRef]
- Baud, M.; Cabon, J.; Salomoni, A.; Toffan, A.; Panzarin, V.; Bigarré, L. First generic one step real-time Taqman RT-PCR targeting the RNA1 of betanodaviruses. J. Virol. Methods 2015, 211, 1–7. [Google Scholar] [CrossRef] [PubMed]
- Rocha, A.; Zanuy, S.; Carrillo, M.; Gómez, A. Seasonal changes in gonadal expression of gonadotropin receptors, steroidogenic acute regulatory protein and steroidogenic enzymes in the European sea bass. Gen. Comp. Endocrinol. 2009, 162, 265–275. [Google Scholar] [CrossRef] [PubMed]
- Toffan, A.; De Salvador, M.; Scholz, F.; Pretto, T.; Buratin, A.; Rodger, H.D.; Toson, M.; Cuenca, A.; Vendramin, N. Lumpfish (Cyclopterus lumpus, Linnaeus) is susceptible to viral nervous necrosis: Result of an experimental infection with different genotypes of Betanodavirus. J. Fish Dis. 2019, 42, 1667–1676. [Google Scholar] [CrossRef] [PubMed]
- Pascoli, F.; Guazzo, A.; Buratin, A.; Toson, M.; Buonocore, F.; Scapigliati, G.; Toffan, A. Lack of in vivo cross-protection of two different betanodavirus species RGNNV and SJNNV in European sea bass Dicentrachus labrax. Fish Shellfish. Immunol. 2019, 85, 85–89. [Google Scholar] [CrossRef]
- R Core Team. R: A Language and Environment for Statistical Computing. 2020. Available online: http://www.r-project.org/index.html (accessed on 21 April 2021).
- Therneau, T.M.; Grambsch, P.M. Modeling Survival Data: Extending the Cox Model; Springer: New York, NY, USA, 2002. [Google Scholar]
- Therneau, T.M. A Package for Survival Analysis in R 2020. Available online: https://cran.r-project.org/web/packages/survival/index.html (accessed on 21 April 2021).
- Kassambara, A.; Kosinski, M.; Biecek, P. survminer: Drawing Survival Curves using “ggplot2” 2020. Available online: https://rdrr.io/cran/survminer/man/ggsurvplot.html (accessed on 10 April 2021).
- Wickham, H. ggplot2: Elegant Graphics for Data Analysis; Springer: New York, NY, USA, 2016; ISBN 978-3-319-24277-4. [Google Scholar]
- Amend, D.F. Potency Testing of Fish Vaccines. Fish Biol. Serodiagn. Vaccines 1981, 49, 447–454. [Google Scholar]
- Cecchini, S.; Saroglia, M. Antibody response in sea bass (Dicentrarchus labrax L.) in relation to water temperature and oxygenation. Aquac. Res. 2002, 33, 607–613. [Google Scholar] [CrossRef]
- Le Morvan, C.; Troutaud, D.; Deschaux, P. Differential effects of temperature on specific and nonspecific immune defences in fish. J. Exp. Biol. 1998, 201, 165–168. [Google Scholar] [CrossRef]
- Yamashita, H.; Mori, K.; Kuroda, A.; Nakai, T. Neutralizing antibody levels for protection against betanodavirus infection in sevenband grouper, Epinephelus septemfasciatus (Thunberg), immunized with an inactivated virus vaccine. J. Fish Dis. 2009, 32, 767–775. [Google Scholar] [CrossRef] [PubMed]
- Vendramin, N.; Toffan, A.; Mancin, M.; Cappellozza, E.; Panzarin, V.; Bovo, G.; Cattoli, G.; Capua, I.; Terregino, C. Comparative pathogenicity study of ten different betanodavirus strains in experimentally infected European sea bass, Dicentrarchus labrax (L.). J. Fish Dis. 2014, 37, 371–383. [Google Scholar] [CrossRef] [PubMed]
- Tafalla, C.; Bøgwald, J.; Dalmo, R.A. Adjuvants and immunostimulants in fish vaccines: Current knowledge and future perspectives. Fish Shellfish. Immunol. 2013, 35, 1740–1750. [Google Scholar] [CrossRef] [PubMed]
- Liu, W.; Hsu, C.-H.; Chang, C.-Y.; Chen, H.-H.; Lin, C.-S. Immune response against grouper nervous necrosis virus by vaccination of virus-like particles. Vaccine 2006, 24, 6282–6287. [Google Scholar] [CrossRef] [PubMed]
- Gye, H.J.; Oh, M.-J.; Nishizawa, T. Lack of nervous necrosis virus (NNV) neutralizing antibodies in convalescent sevenband grouper Hyporthodus septemfasciatus after NNV infection. Vaccine 2018, 36, 1863–1870. [Google Scholar] [CrossRef] [PubMed]










| Study 1 | Study 2 | ||
|---|---|---|---|
| Group 1 | Group 2 | ||
| Vaccination | |||
| Fish size | 29 g (±2 g) | 5 g (±2 g) | 14 g (±2 g) |
| Treatments | VLP 1.25, 5 and 20 µg/fish Commercial vaccine PBS | VLP 6 (±adj) and 20 µg/fish Commercial vaccine PBS (±adj) | |
| Serology | ELISA Serum neutralization | ELISA | |
| Immunization period | 2 months at 20 °C/ 1180 dd 1 | 10 months at 12 °C/ 3600 dd | 1 month at 19 °C/ 570 dd |
| Challenge | |||
| RGNNV dose | 2 × 105 TCID50/fish | 105 TCID50/fish | |
| Moribund (detection of NNV) | Isolation and titration of live RGNNV from brain tissue on E-11 cells RT-qPCR Immunohistochemistry | RT-qPCR | |
| Survivors (detection of NNV) | Isolation and titration of live RGNNV from brain tissue on E-11 cells RT-qPCR Immunohistochemistry | RT-qPCR (with relative quantification (2-∆∆cq-method)) | |
| Statistical analysis | Pearson’s Chi-squared | Logistic regression | |
| Factor | OR [95% CI] |
|---|---|
| PBS | 1 |
| Commercial vaccine | 3.5 [1.7–7.2] |
| VLP 6 µg | 4.8 [2.6–9.1] |
| VLP 20 µg | 12.1 [5.9–26.2] |
| Time = 10 months | 0.7 [0.7–0.8] |
| Treatment | Survival (%) Replicate Tanks | Survival (%) Combined [CI] 1 | RPS 2 | Moribund Fish | Survivors | |||
|---|---|---|---|---|---|---|---|---|
| Cells | RT-qPCR | Cells | RT-qPCR | |||||
| Study 1 | ||||||||
| Time = 2 months | PBS | 0.0 a | 5/5 | 5/5 | NT | NT | ||
| Commercial | 18.8 b [5.2–32.3] | 18.8 | 4/4 | 4/4 | 3/3 | 3/3 | ||
| VLP 1.25 µg | 35.0 b [20.2–49.8] | 35.0 | 3/3 | 3/3 | NT | NT | ||
| VLP 5 µg | 8.6 b [0–17.8] | 8.6 | 5/5 | 5/5 | NT | NT | ||
| VLP 20 µg | 73.5 c [58.7–88.4] | 73.5 | 4/4 | 4/4 | 4/4 | 4/4 | ||
| Control 3 | 100 | NT | NT | NT | NT | |||
| Study 2 | ||||||||
| Time = 10 months | PBS | 0.0; 3.6 | 1.8 * [0.0–5.2] | NT | 6/6 | NT | 1/1 | |
| PBS + adj | 3.1; 0.0 | 1.7 * [0.0–5.0] | NT | 6/6 | NT | 1/1 | ||
| Commercial | 4.0; 4.0 | 4.0 ** [0.0–9.4] | 2.3 | NT | 6/6 | NT | 2/2 | |
| VLP 6 µg | 11.1; 3.7 | 7.4 ** [0.4–14.4] | 5.8 | NT | 6/6 | NT | 4/4 | |
| VLP 6 µg + adj | 3.2; 0.0 | 1.7 ** [0.0–4.9] | −0.1 | NT | 6/6 | NT | 1/1 | |
| VLP 20 µg | 8.0; 21.4 | 15.1 ** [5.5–24.7] | 13.6 | NT | 6/6 | NT | 6/6 | |
| Time = 1 month | PBS | 21.7; 29.2 | 25.5 #,a [13.2–38.0] | NT | 6/6 | NT | 6/6 | |
| PBS + adj | 17.4; 20.0 | 18.8 # [7.7–29.8] | NT | 6/6 | NT | 6/6 | ||
| Commercial | 55.0; 48.0 | 51.1 ##,b [36.5–65.7] | 34.3 | NT | 6/6 | NT | 6/6 | |
| VLP 6 µg | 64.3; 60.0 | 62.1 ##,b [44.4–79.7] | 49.1 | NT | 6/6 | NT | 6/6 | |
| VLP 6 µg + adj | 50.0; 70.0 | 59.5 ##,b,c [43.6–75.3] | 45.6 | NT | 6/6 | NT | 6/6 | |
| VLP 20 µg | 73.7; 77.3 | 75.6 ##,c,d [62.5–88.8] | 67.2 | NT | 6/6 | NT | 5/6 | |
| Control | 95.2 [91.5–99.0] | NT | 0/6 | NT | NT | |||
| Treatment | n | ELISA Pos | SN > 20 |
|---|---|---|---|
| VLP 20 µg | 10 | 10/10 | 0/10 |
| VLP 5 µg | 3 | 3/3 | 0/3 |
| VLP 1.25 µg | 10 | 10/10 | 0/10 |
| Commercial | 6 | 6/6 | 0/6 |
| PBS | 0 | 0 | 0 |
Publisher’s Note: MDPI stays neutral with regard to jurisdictional claims in published maps and institutional affiliations. |
© 2021 by the authors. Licensee MDPI, Basel, Switzerland. This article is an open access article distributed under the terms and conditions of the Creative Commons Attribution (CC BY) license (https://creativecommons.org/licenses/by/4.0/).
Share and Cite
Barsøe, S.; Toffan, A.; Pascoli, F.; Stratmann, A.; Pretto, T.; Marsella, A.; Er-Rafik, M.; Vendramin, N.; Olesen, N.J.; Sepúlveda, D.; et al. Long-Term Protection and Serologic Response of European Sea Bass Vaccinated with a Betanodavirus Virus-Like Particle Produced in Pichia pastoris. Vaccines 2021, 9, 447. https://doi.org/10.3390/vaccines9050447
Barsøe S, Toffan A, Pascoli F, Stratmann A, Pretto T, Marsella A, Er-Rafik M, Vendramin N, Olesen NJ, Sepúlveda D, et al. Long-Term Protection and Serologic Response of European Sea Bass Vaccinated with a Betanodavirus Virus-Like Particle Produced in Pichia pastoris. Vaccines. 2021; 9(5):447. https://doi.org/10.3390/vaccines9050447
Chicago/Turabian StyleBarsøe, Sofie, Anna Toffan, Francesco Pascoli, Ansgar Stratmann, Tobia Pretto, Andrea Marsella, Mériem Er-Rafik, Niccolò Vendramin, Niels J. Olesen, Dagoberto Sepúlveda, and et al. 2021. "Long-Term Protection and Serologic Response of European Sea Bass Vaccinated with a Betanodavirus Virus-Like Particle Produced in Pichia pastoris" Vaccines 9, no. 5: 447. https://doi.org/10.3390/vaccines9050447
APA StyleBarsøe, S., Toffan, A., Pascoli, F., Stratmann, A., Pretto, T., Marsella, A., Er-Rafik, M., Vendramin, N., Olesen, N. J., Sepúlveda, D., & Lorenzen, N. (2021). Long-Term Protection and Serologic Response of European Sea Bass Vaccinated with a Betanodavirus Virus-Like Particle Produced in Pichia pastoris. Vaccines, 9(5), 447. https://doi.org/10.3390/vaccines9050447

