Ocular Manifestations of West Nile Virus
Abstract
1. Epidemiology and Risk Factors for Ocular Involvement in West Nile Virus Infection
2. Pathophysiology
3. Clinical Manifestations
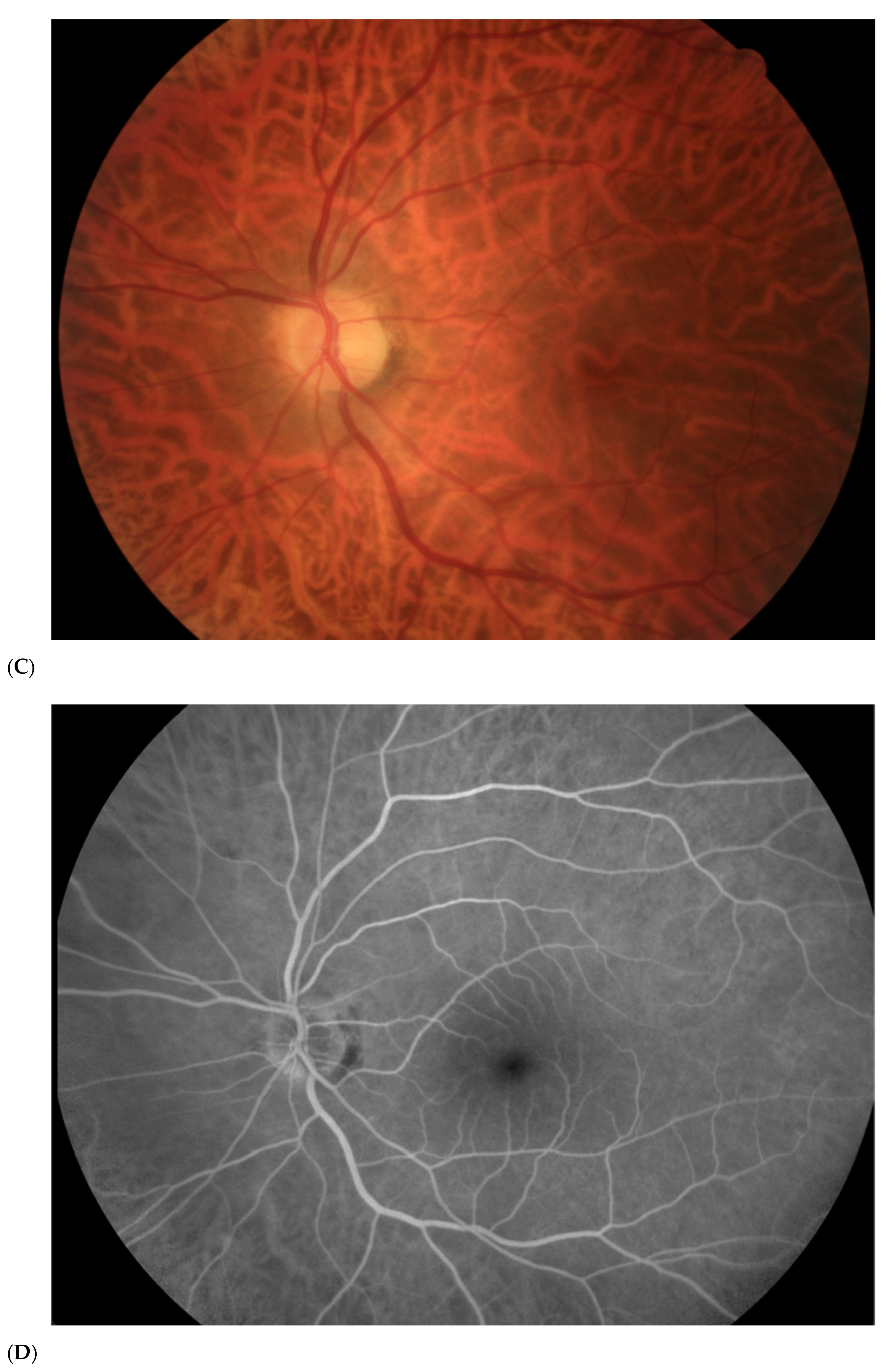
3.1. Chorioretinitis
3.2. Retinal Vasculitis
3.3. Other Ocular Manifestations
4. Diagnosis and Differential Diagnosis
5. Prognosis and Management
5.1. Management
5.2. Future Directions
6. Conclusions
Author Contributions
Funding
Conflicts of Interest
References
- Khairallah, M.; Chee, S.P.; Rathinam, S.R.; Attia, S.; Nadella, V. Novel infectious agents causing uveitis. Int. Ophthalmol. 2010, 30, 465–483. [Google Scholar] [CrossRef] [PubMed]
- Hasbun, R.; Garcia, M.N.; Kellaway, J.; Baker, L.; Salazar, L.; Woods, S.P.; Murray, K.O. West Nile Virus Retinopathy and Associations with Long Term Neurological and Neurocognitive Sequelae. PLoS ONE 2016, 11, e0148898. [Google Scholar] [CrossRef]
- Debiasi, R.L.; Tyler, K.L. West Nile virus meningoencephalitis. Nat. Clin. Pract. Neurol. 2006, 2, 264–275. [Google Scholar] [CrossRef]
- Troupin, A.; Colpitts, T.M. Overview of West Nile Virus Transmission and Epidemiology. Methods Mol. Biol. 2016, 1435, 15–18. [Google Scholar]
- Khairallah, M.; Yahia, S.B.; Letaief, M.; Attia, S.; Kahloun, R.; Jelliti, B.; Zaouali, S.; Messaoud, R. A prospective evaluation of factors associated with chorioretinitis in patients with West Nile virus infection. Ocul. Immunol. Inflamm. 2007, 15, 435–439. [Google Scholar] [CrossRef]
- Patel, S.; Sinigaglia, A.; Barzon, L.; Fassan, M.; Sparber, F.; LeibundGut-Landmann, S.; Ackermann, M. Role of NS1 and TLR3 in Pathogenesis and Immunity of WNV. Viruses 2019, 11, 603. [Google Scholar] [CrossRef]
- Khairallah, M.; Yahia, S.B.; Attia, S. Arthropod vector-borne uveitis in the developing world. Int. Ophthalmol. Clin. 2010, 50, 125–144. [Google Scholar] [CrossRef]
- Khairallah, M.; Ben Yahia, S.; Attia, S.; Zaouali, S.; Ladjimi, A.; Messaoud, R. Linear pattern of West Nile virus-associated chorioretinitis is related to retinal nerve fibres organization. Eye 2007, 21, 952–955. [Google Scholar] [CrossRef]
- Singh, S.; Kumar, A. Ocular Manifestations of Emerging Flaviviruses and the Blood-Retinal Barrier. Viruses 2018, 10, 530. [Google Scholar] [CrossRef] [PubMed]
- Cinatl, J., Jr.; Michaelis, M.; Fleckenstein, C.; Bauer, G.; Kabicková, H.; Scholz, M.; Rabenau, H.F.; Doerr, H.W. West Nile virus infection induces interferon signalling in human retinal pigment epithelial cells. Investg. Ophthalmol. Vis. Sci. 2006, 47, 645–651. [Google Scholar] [CrossRef] [PubMed]
- Liu, W.J.; Chen, H.B.; Wang, X.J.; Huang, H.; Khromykh, A.A. Analysis of adaptive mutations in Kunjin virus replicon RNA reveals a novel role for the flavivirus nonstructural protein NS2A in inhibition of beta interferon promoter-driven transcription. J. Virol. 2004, 78, 12225–12235. [Google Scholar] [CrossRef] [PubMed]
- Liu, W.J.; Wang, X.J.; Clark, D.C.; Lobigs, M.; Hall, R.A.; Khromykh, A.A. A single amino acid substitution in the West Nile virus nonstructural protein NS2A disables its ability to inhibit alpha/beta interferon induction and attenuates virus virulence in mice. J. Virol. 2006, 80, 2396–2404. [Google Scholar] [CrossRef] [PubMed]
- Munoz-Erazo, L.; Natoli, R.; Provis, J.M.; Madigan, M.C.; King, N.J. Microarray analysis of gene expression in West Nile virus-infected human retinal pigment epithelium. Mol. Vis. 2012, 18, 730–743. [Google Scholar] [PubMed]
- Garg, S.; Jampol, L.M. Systemic and intraocular manifestations of West Nile virus infection. Surv. Ophthalmol. 2005, 50, 3–13. [Google Scholar] [CrossRef] [PubMed]
- Stonedahl, S.; Clarke, P.; Tyler, K.L. The Role of Microglia during West Nile Virus Infection of the Central Nervous System. Vaccines 2020, 8, 485. [Google Scholar] [CrossRef] [PubMed]
- Alpert, S.G.; Fergerson, J.; Noël, L.P. Intrauterine West Nile virus: Ocular and systemic findings. Am. J. Ophthalmol. 2003, 136, 733–735. [Google Scholar] [CrossRef]
- Khairallah, M.; Ben Yahia, S.; Ladjimi, A.; Zeghidi, H.; Ben Romdhane, F.; Besbes, L.; Zaouali, S.; Messaoud, R. Chorioretinal involvement in patients with West Nile virus infection. Ophthalmology 2004, 111, 2065–2070. [Google Scholar] [CrossRef]
- Sivakumar, R.R.; Prajna, L.; Arya, L.K.; Muraly, P.; Shukla, J.; Saxena, D.; Parida, M. Molecular diagnosis and ocular imaging of West Nile virus retinitis and neuroretinitis. Ophthalmology 2013, 120, 1820–1826. [Google Scholar] [CrossRef]
- Merle, H.; Donnio, A.; Jean-Charles, A.; Guyomarch, J.; Hage, R.; Najioullah, F.; Césaire, R.; Cabié, A. Ocular manifestations of emerging arboviruses: Dengue fever, Chikungunya, Zika virus, West Nile virus, and yellow fever. J. Fr. Ophtalmol. 2018, 41, e235–e243. [Google Scholar] [CrossRef]
- Chan, C.K.; Limstrom, S.A.; Tarasewicz, D.G.; Lin, S.G. Ocular features of west nile virus infection in North America: A study of 14 eyes. Ophthalmology 2006, 113, 1539–1546. [Google Scholar] [CrossRef]
- Bains, H.S.; Jampol, L.M.; Caughron, M.C.; Parnell, J.R. Vitritis and chorioretinitis in a patient with West Nile virus infection. Arch. Ophthalmol. 2003, 121, 205–207. [Google Scholar]
- Khairallah, M.; Ben Yahia, S.; Attia, S.; Zaouali, S.; Jelliti, B.; Ladjimi, A.; Messaoud, R. Indocyanine green angiographic features in multifocal chorioretinitis associated with West Nile virus infection. Retina 2006, 26, 358–359. [Google Scholar] [CrossRef]
- Learned, D.; Nudleman, E.; Robinson, J.; Chang, E.; Stec, L.; Faia, L.J.; Wolfe, J.; Williams, G.A. Multimodal imaging of west nile virus chorioretinitis. Retina 2014, 34, 2269–2274. [Google Scholar] [CrossRef]
- Khairallah, M.; Kahloun, R.; Gargouri, S.; Jelliti, B.; Sellami, D.; Ben Yahia, S.; Feki, J. Swept-Source Optical Coherence Tomography Angiography in West Nile Virus Chorioretinitis and Associated Occlusive Retinal Vasculitis. Ophthalmic Surg. Lasers Imaging Retin. 2017, 48, 672–675. [Google Scholar] [CrossRef]
- Gohari, A.R.; Willson, R.L.; Gitter, K.A. West nile virus occlusive retinal vasculitis. Retin. Cases Brief Rep. 2011, 5, 209–212. [Google Scholar] [CrossRef] [PubMed]
- Garg, S.; Jampol, L.M.; Wilson, J.F.; Batlle, I.R.; Buettner, H. Ischemic and hemorrhagic retinal vasculitis associated with West Nile virus infection. Retina 2006, 26, 365–367. [Google Scholar] [CrossRef] [PubMed]
- Kuchtey, R.W.; Kosmorsky, G.S.; Martin, D.; Lee, M.S. Uveitis associated with West Nile virus infection. Arch Ophthalmol. 2003, 121, 1648–1649. [Google Scholar] [CrossRef] [PubMed][Green Version]
- Anninger, W.; Lubow, M. Visual loss with West Nile virus infection: A wider spectrum of a “new” disease. Clin. Infect. Dis. 2004, 38, e55–e56. [Google Scholar] [CrossRef]
- Dahal, U.; Mobarakai, N.; Sharma, D.; Pathak, B. West Nile virus infection and diplopia: A case report and review of literature. Int. J. Gen. Med. 2013, 6, 369–373. [Google Scholar] [CrossRef] [PubMed]
- Miller, A.H.; Liang, I.E. Diplopia: A focal neurologic presentation of West Nile meningoencephalitis. Ann. Emerg. Med. 2003, 42, 413–416. [Google Scholar] [CrossRef]
- Alshekhlee, A.; Sultan, B.; Chandar, K. Opsoclonus persisting during sleep in West Nile encephalitis. Arch. Neurol. 2006, 63, 1324–1326. [Google Scholar] [CrossRef] [PubMed]
- Prasad, S.; Brown, M.J.; Galetta, S.L. Transient downbeat nystagmus from West Nile virus encephalomyelitis. Neurology 2006, 66, 1599–1600. [Google Scholar] [CrossRef] [PubMed]
- Seth, R.K.; Stoessel, K.M.; Adelman, R.A. Choroidal neovascularization associated with West Nile virus chorioretinitis. Semin. Ophthalmol. 2007, 22, 81–84. [Google Scholar] [CrossRef] [PubMed]
- Beardsley, R.; McCannel, C. Reactivation West Nile virus infection-related chorioretinitis. Semin. Ophthalmol. 2012, 27, 43–45. [Google Scholar] [CrossRef]
- Araujo, S.C.; Pereira, L.R.; Alves, R.P.S.; Andreata-Santos, R.; Kanno, A.I.; Ferreira, L.C.S.; Gonçalves, V.M. Anti-Flavivirus Vaccines: Review of the Present Situation and Perspectives of Subunit Vaccines Produced in Escherichia coli. Vaccines 2020, 8, 492. [Google Scholar] [CrossRef]
- Afshar, A.R.; Hariprasad, S.M.; Jampol, L.M.; Sheth, V.S. Use of intravitreous bevacizumab to treat macular edema in West Nile virus chorioretinitis. Arch. Ophthalmol. 2012, 130, 396–398. [Google Scholar] [CrossRef]
- Khairallah, M.; Kahloun, R. Ocular manifestations of emerging infectious diseases. Curr. Opin. Ophthalmol. 2013, 24, 574–580. [Google Scholar] [CrossRef]
- Sinigaglia, A.; Peta, E.; Riccetti, S.; Barzon, L. New avenues for therapeutic discovery against West Nile virus. Expert Opin. Drug Discov. 2020, 15, 333–348. [Google Scholar] [CrossRef]
- Jans, D.A.; Wagstaff, K.M. Ivermectin as a Broad-Spectrum Host-Directed Antiviral: The Real Deal? Cells 2020, 9, 2100. [Google Scholar] [CrossRef]
- Ulbert, S. West Nile virus vaccines—Current situation and future directions. Hum. Vaccin. Immunother. 2019, 15, 2337–2342. [Google Scholar] [CrossRef]
- Angenvoort, J.; Brault, A.C.; Bowen, R.A.; Groschup, M.H. West Nile viral infection of equids. Vet. Microbiol. 2013, 167, 168–180. [Google Scholar] [CrossRef]
- Kaiser, J.A.; Barrett, A.D.T. Twenty Years of Progress Toward West Nile Virus Vaccine Development. Viruses 2019, 11, 823. [Google Scholar] [CrossRef] [PubMed]



| Ocular Structure | Clinical Findings |
|---|---|
| Anterior segment | Anterior uveitis |
| Posterior segment | Vitritis Bilateral multifocal chorioretinitis Non occlusive or occlusive retinal vasculitis Retinitis Macular edema Congenital chorioretinal scarring |
| Optic nerve Other neuro-ophthalmic structures | Optic neuritis, neuroretinitis, papilledema, optic atrophy Retrogeniculate damage, ocular nerve palsy, nystagmus |
Publisher’s Note: MDPI stays neutral with regard to jurisdictional claims in published maps and institutional affiliations. |
© 2020 by the authors. Licensee MDPI, Basel, Switzerland. This article is an open access article distributed under the terms and conditions of the Creative Commons Attribution (CC BY) license (http://creativecommons.org/licenses/by/4.0/).
Share and Cite
Rousseau, A.; Haigh, O.; Ksiaa, I.; Khairallah, M.; Labetoulle, M. Ocular Manifestations of West Nile Virus. Vaccines 2020, 8, 641. https://doi.org/10.3390/vaccines8040641
Rousseau A, Haigh O, Ksiaa I, Khairallah M, Labetoulle M. Ocular Manifestations of West Nile Virus. Vaccines. 2020; 8(4):641. https://doi.org/10.3390/vaccines8040641
Chicago/Turabian StyleRousseau, Antoine, Oscar Haigh, Imen Ksiaa, Moncef Khairallah, and Marc Labetoulle. 2020. "Ocular Manifestations of West Nile Virus" Vaccines 8, no. 4: 641. https://doi.org/10.3390/vaccines8040641
APA StyleRousseau, A., Haigh, O., Ksiaa, I., Khairallah, M., & Labetoulle, M. (2020). Ocular Manifestations of West Nile Virus. Vaccines, 8(4), 641. https://doi.org/10.3390/vaccines8040641
