Characterization of Aggregatibacter actinomycetemcomitans Serotype b Strains with Five Different, Including Two Novel, Leukotoxin Promoter Structures
Abstract
1. Introduction
2. Materials and Methods
2.1. Routine Procedures for the Quantification, Isolation and Primarily Characterization of A. actinomycetemcomitans from Clinical Samples
2.2. Bacterial Strains and Growth Conditions Used
2.3. DNA Isolation and Polymerase Chain Reaction-Based Characterization
2.4. Whole Genome Sequencing
2.5. Multilocus Sequence Typing (MLST)
2.6. Determination of LtxA Production and Leukotoxic Activity
2.7. Ethical Considerations
2.8. Statistical Calculations
3. Results
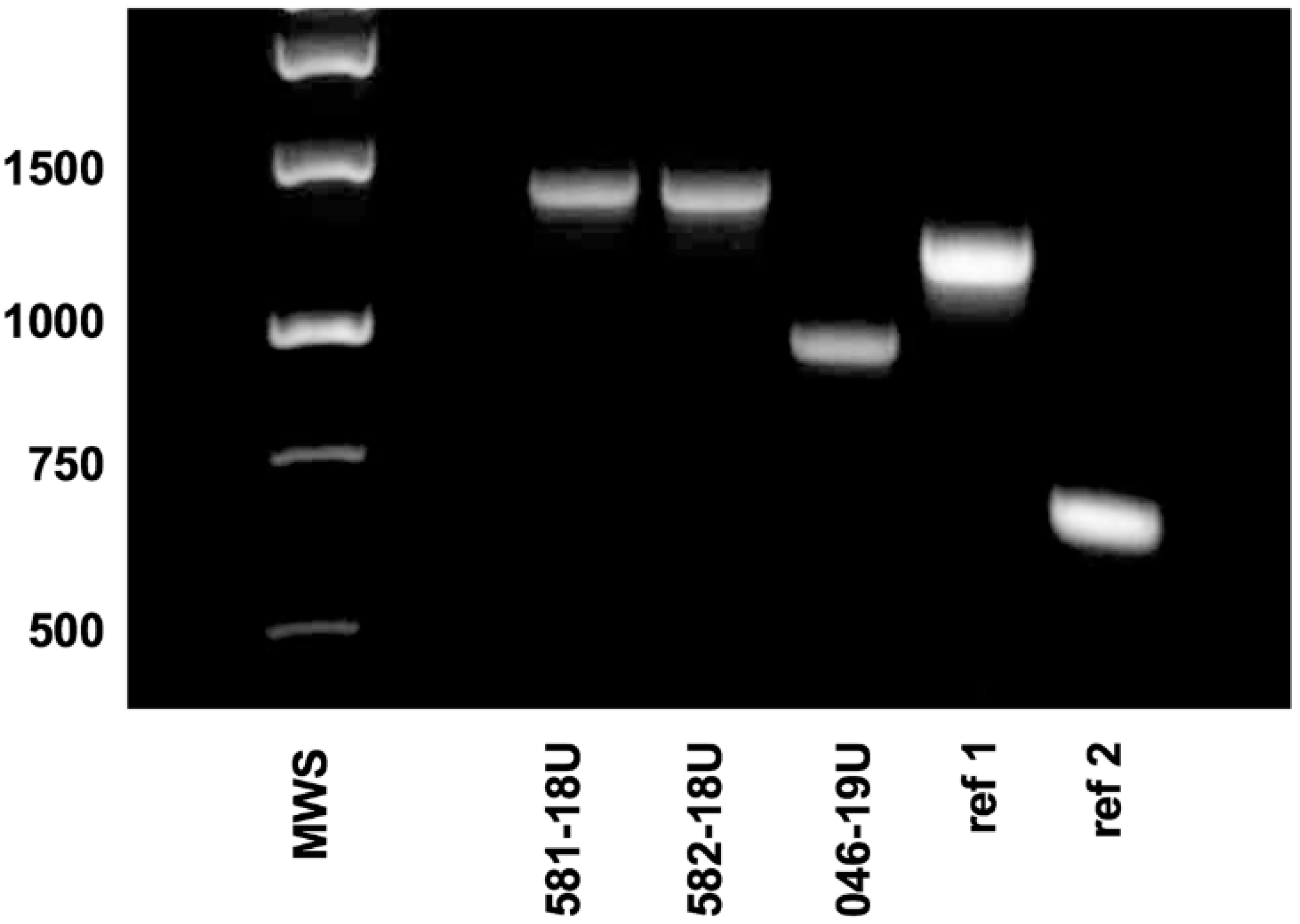
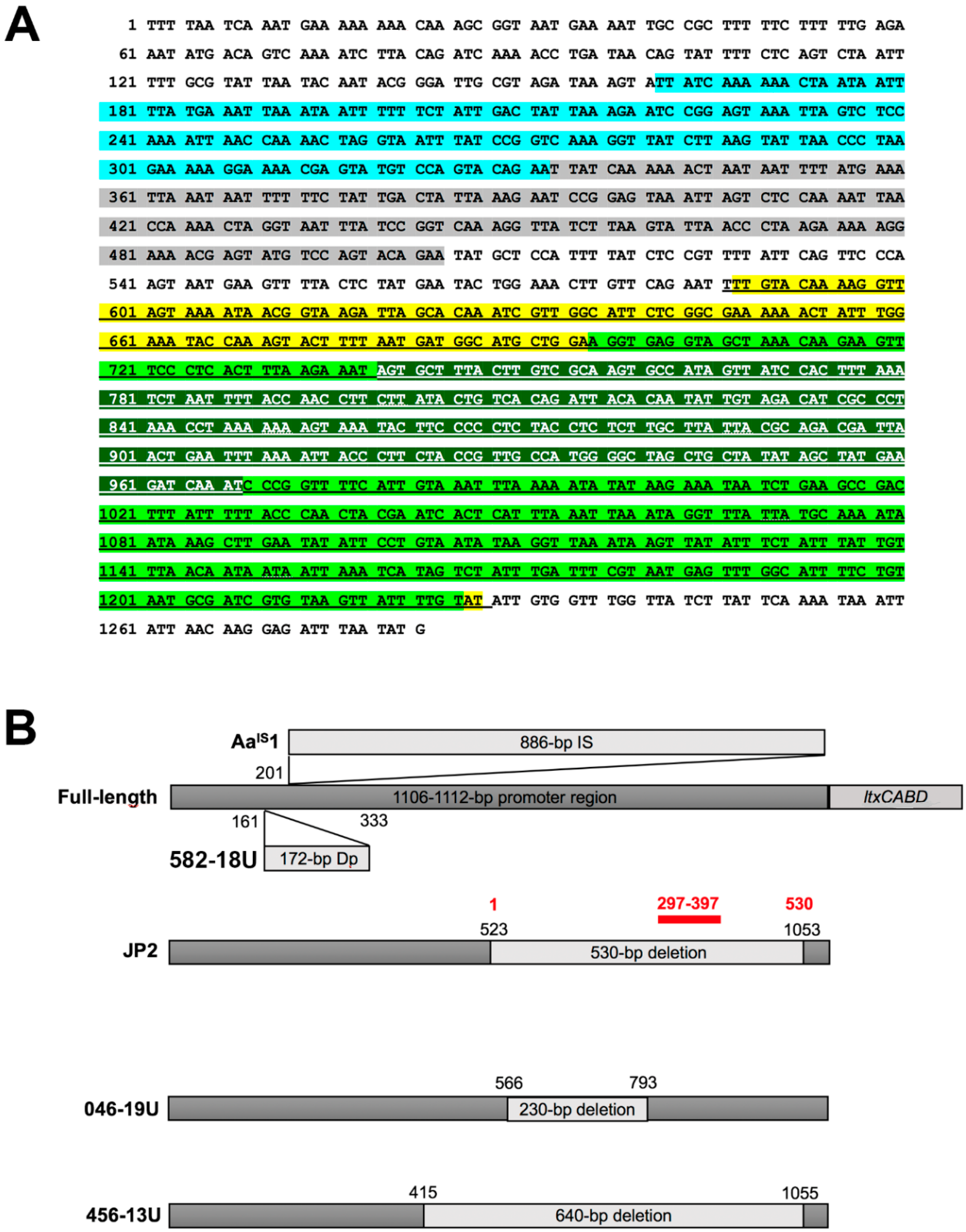
3.1. Identification of Two Novel Leukotoxin Promoter Types in A. actinomycetemcomitans Serotype b
3.2. Genotypic Characterization of the Two Novel Promoter Type Strains
3.3. Multilocus Sequence Typing and Phylogenetic Tree
3.4. The Two Novel Promoter Type Strains Exhibit Different Leukotoxicity
4. Discussion
5. Conclusions
Author Contributions
Funding
Acknowledgments
Conflicts of Interest
References
- Dahlen, G.; Basic, A.; Bylund, J. Importance of virulence factors for the persistence of oral bacteria in the inflamed gingival crevice and in the pathogenesis of periodontal disease. J. Clin. Med. 2019, 8, 1339. [Google Scholar] [CrossRef] [PubMed]
- Fine, D.H.; Schreiner, H.; Velusamy, S.K. Aggregatibacter, a Low abundance pathobiont that influences biogeography, microbial dysbiosis, and host defense capabilities in periodontitis: The history of a bug, and localization of disease. Pathogens 2020, 9, 179. [Google Scholar] [CrossRef] [PubMed]
- Haubek, D.; Ennibi, O.K.; Poulsen, K.; Vaeth, M.; Poulsen, S.; Kilian, M. Risk of aggressive periodontitis in adolescent carriers of the JP2 clone of Aggregatibacter (Actinobacillus) actinomycetemcomitans in Morocco: A prospective longitudinal cohort study. Lancet 2008, 371, 237–242. [Google Scholar] [CrossRef]
- Henderson, B.; Ward, J.M.; Ready, D. Aggregatibacter (Actinobacillus) actinomycetemcomitans: A triple A* periodontopathogen? Periodontol 2000 2010, 54, 78–105. [Google Scholar] [CrossRef]
- Pihlstrom, B.L.; Michalowicz, B.S.; Johnson, N.W. Periodontal diseases. Lancet 2005, 366, 1809–1820. [Google Scholar] [CrossRef]
- Tsai, C.C.; McArthur, W.P.; Baehni, P.C.; Hammond, B.F.; Taichman, N.S. Extraction and partial characterization of a leukotoxin from a plaque-derived Gram-negative microorganism. Infect. Immun. 1979, 25, 427–439. [Google Scholar] [CrossRef]
- Vega, B.A.; Belinka, B.A., Jr.; Kachlany, S.C. Aggregatibacter actinomycetemcomitans Leukotoxin (LtxA; Leukothera((R))): Mechanisms of action and therapeutic applications. Toxins 2019, 11, 489. [Google Scholar] [CrossRef]
- Kelk, P.; Claesson, R.; Hänström, L.; Lerner, U.H.; Kalfas, S.; Johansson, A. Abundant secretion of bioactive interleukin-1β by human macrophages induced by Actinobacillus actinomycetemcomitans leukotoxin. Infect. Immun. 2005, 73, 453–458. [Google Scholar] [CrossRef]
- Abdullahi, M.; Olotu, F.A.; Soliman, M.E. Solving the riddle: Unraveling the mechanisms of blocking the binding of leukotoxin by therapeutic antagonists in periodontal diseases. J. Cell Biochem. 2018, 119, 9364–9379. [Google Scholar] [CrossRef]
- Kolodrubetz, D. Molecular Genetics and the Analysis of Leukotoxin in A. actinomycetemcomitans. J. Periodontol. 1996, 67, 309–316. [Google Scholar] [CrossRef]
- Brogan, J.M.; Lally, E.T.; Poulsen, K.; Kilian, M.; Demuth, D.R. Regulation of Actinobacillus actinomycetemcomitans leukotoxin expression: Analysis of the promoter regions of leukotoxic and minimally leukotoxic strains. Infect. Immun. 1994, 62, 501–508. [Google Scholar] [CrossRef] [PubMed]
- Claesson, R.; Lagervall, M.; Höglund-Åberg, C.; Johansson, A.; Haubek, D. Detection of the highly leucotoxic JP2 clone of Aggregatibacter actinomycetemcomitans in members of a Caucasian family living in Sweden. J. Clin. Periodontol. 2011, 38, 115–121. [Google Scholar] [CrossRef] [PubMed]
- Claesson, R.; Höglund-Åberg, C.; Haubek, D.; Johansson, A. Age-related prevalence and characteristics of Aggregatibacter actinomycetemcomitans in periodontitis patients living in Sweden. J. Oral Microbiol. 2017, 9, 1334504. [Google Scholar] [CrossRef] [PubMed]
- de Araujo Neris, M.; Cortelli, S.C.; Aquino, D.R.; de Miranda, T.B.; Costa Fde, O.; Cortelli, J.R. A. actinomycetemcomitans profile and red complex bacterial species of an Afro-Brazilian community: A comparative study. Arch. Oral Biol. 2015, 60, 753–759. [Google Scholar] [CrossRef] [PubMed]
- Guthmiller, J.M.; Lally, E.T.; Korostoff, J. Beyond the specific plaque hypothesis: Are highly leukotoxic strains of Actinobacillus actinomycetemcomitans a paradigm for periodontal pathogenesis? Crit. Rev. Oral Biol. Med. 2001, 12, 116–124. [Google Scholar] [CrossRef]
- Orrù, G.; Marini, M.F.; Ciusa, M.L.; Isola, D.; Cotti, M.; Baldoni, M.; Piras, V.; Pisano, E.; Montaldo, C. Usefulness of real time PCR for the differentiation and quantification of 652 and JP2 Actinobacillus actinomycetemcomitans genotypes in dental plaque and saliva. BMC Infect. Dis. 2006, 6, 98. [Google Scholar] [CrossRef] [PubMed]
- Stähli, A.; Sculean, A.; Eick, S. JP2 Genotype of Aggregatibacter actinomycetemcomitans in caucasian patients: A presentation of two cases. Pathogens 2020, 9, 178. [Google Scholar] [CrossRef]
- Tsai, C.C.; Ho, Y.P.; Chou, Y.S.; Ho, K.Y.; Wu, Y.M.; Lin, Y.C. Aggregatibacter (Actinobacillus) actimycetemcomitans leukotoxin and human periodontitis-A historic review with emphasis on JP2. Kaohsiung J. Med. Sci. 2018, 34, 186–193. [Google Scholar] [CrossRef] [PubMed]
- Bueno, L.C.; Mayer, M.P.; DiRienzo, J.M. Relationship between conversion of localized juvenile periodontitis-susceptible children from health to disease and Actinobacillus actinomycetemcomitans leukotoxin promoter structure. J. Periodontol. 1998, 69, 998–1007. [Google Scholar] [CrossRef]
- Burgess, D.; Huang, H.; Harrison, P.; Aukhil, I.; Shaddox, L. Aggregatibacter actinomycetemcomitans in African Americans with localized aggressive periodontitis. JDR Clin. Trans. Res. 2017, 2, 249–257. [Google Scholar] [CrossRef] [PubMed]
- Haraszthy, V.I.; Hariharan, G.; Tinoco, E.M.; Cortelli, J.R.; Lally, E.T.; Davis, E.; Zambon, J.J. Evidence for the role of highly leukotoxic Actinobacillus actinomycetemcomitans in the pathogenesis of localized juvenile and other forms of early-onset periodontitis. J. Periodontol. 2000, 71, 912–922. [Google Scholar] [CrossRef] [PubMed]
- Höglund Åberg, C.; Haubek, D.; Kwamin, F.; Johansson, A.; Claesson, R. Leukotoxic activity of Aggregatibacter actinomycetemcomitans and periodontal attachment loss. PLoS ONE 2014, 9, e104095. [Google Scholar] [CrossRef]
- Johansson, A.; Claesson, R.; Höglund Åberg, C.; Haubek, D.; Oscarsson, J. The cagE gene sequence as a diagnostic marker to identify JP2 and non-JP2 highly leukotoxic Aggregatibacter actinomycetemcomitans serotype b strains. J. Periodontol. Res. 2017, 52, 903–912. [Google Scholar] [CrossRef] [PubMed]
- Johansson, A.; Claesson, R.; Höglund Åberg, C.; Haubek, D.; Lindholm, M.; Jasim, S.; Oscarsson, J. Genetic profiling of Aggregatibacter actinomycetemcomitans serotype B isolated from periodontitis patients living in sweden. Pathogens 2019, 8, 153. [Google Scholar] [CrossRef] [PubMed]
- Haubek, D.; Poulsen, K.; Kilian, M. Microevolution and patterns of dissemination of the JP2 clone of Aggregatibacter (Actinobacillus) actinomycetemcomitans. Infect. Immun. 2007, 75, 3080–3088. [Google Scholar] [CrossRef] [PubMed]
- Claesson, R.; Gudmundson, J.; Höglund Åberg, C.; Haubek, D.; Johansson, A. Detection of a 640-bp deletion in the Aggregatibacter actinomycetemcomitans leukotoxin promoter region in isolates from an adolescent of Ethiopian origin. J. Oral Microbiol. 2015, 7, 26974. [Google Scholar] [CrossRef] [PubMed]
- He, T.; Hayashi, J.; Yamamoto, M.; Ishikawa, I. Genotypic characterization of Actinobacillus actinomycetemcomitans isolated from periodontitis patients by arbitrarily primed polymerase chain reaction. J. Periodontol. 1998, 69, 69–75. [Google Scholar] [CrossRef] [PubMed]
- Möller, A.J. Microbiological examination of root canals and periapical tissues of human teeth. Methodological studies. Odontol. Tidskr. 1966, 74, 1–380. [Google Scholar]
- Slots, J. Selective medium for isolation of Actinobacillus actinomycetemcomitans. J. Clin. Microbiol. 1982, 15, 606–609. [Google Scholar] [CrossRef]
- Kiley, P.; Holt, S.C. Characterization of the lipopolysaccharide from Actinobacillus actinomycetemcomitans Y4 and N27. Infect. Immun. 1980, 30, 862–873. [Google Scholar]
- Newman, M.G.; Socransky, S.S. Predominant cultivable microbiota in periodontosis. J. Periodontal Res. 1977, 12, 120–128. [Google Scholar] [CrossRef] [PubMed]
- Haubek, D.; Havemose-Poulsen, A.; Westergaard, J. Aggressive periodontitis in a 16-year-old Ghanaian adolescent, the original source of Actinobacillus actinomycetemcomitans strain HK1651-a 10-year follow up. Int. J. Paediatr. Dent. 2006, 16, 370–375. [Google Scholar] [CrossRef] [PubMed]
- Dogan, B.; Saarela, M.H.; Jousimies-Somer, H.; Alaluusua, S.; Asikainen, S. Actinobacillus actinomycetemcomitans serotype e--biotypes, genetic diversity and distribution in relation to periodontal status. Oral Microbiol. Immunol. 1999, 14, 98–103. [Google Scholar] [CrossRef] [PubMed]
- Kaplan, J.B.; Perry, M.B.; MacLean, L.L.; Furgang, D.; Wilson, M.E.; Fine, D.H. Structural and genetic analyses of O polysaccharide from Actinobacillus actinomycetemcomitans serotype f. Infect. Immun. 2001, 69, 5375–5384. [Google Scholar] [CrossRef]
- Poulsen, K.; Ennibi, O.K.; Haubek, D. Improved PCR for detection of the highly leukotoxic JP2 clone of Actinobacillus actinomycetemcomitans in subgingival plaque samples. J. Clin. Microbiol. 2003, 41, 4829–4832. [Google Scholar] [CrossRef]
- Suzuki, N.; Nakano, Y.; Yoshida, Y.; Ikeda, D.; Koga, T. Identification of Actinobacillus actinomycetemcomitans serotypes by multiplex PCR. J. Clin. Microbiol. 2001, 39, 2002–2005. [Google Scholar] [CrossRef]
- Kumar, S.; Stecher, G.; Li, M.; Knyaz, C.; Tamura, K. MEGA X: Molecular evolutionary genetics analysis across computing platforms. Mol. Biol. Evol. 2018, 35, 1547–1549. [Google Scholar] [CrossRef]
- Stecher, G.; Tamura, K.; Kumar, S. Molecular evolutionary genetics analysis (MEGA) for macOS. Mol. Biol. Evol. 2020, 37, 1237–1239. [Google Scholar] [CrossRef]
- Tamura, K.; Nei, M. Estimation of the number of nucleotide substitutions in the control region of mitochondrial DNA in humans and chimpanzees. Mol. Biol. Evol. 1993, 10, 512–526. [Google Scholar] [CrossRef] [PubMed]
- Repetto, G.; del Peso, A.; Zurita, J.L. Neutral red uptake assay for the estimation of cell viability/cytotoxicity. Nat. Protoc. 2008, 3, 1125–1131. [Google Scholar] [CrossRef] [PubMed]
- Kolodrubetz, D.; Spitznagel, J., Jr.; Wang, B.; Phillips, L.H.; Jacobs, C.; Kraig, E. cis Elements and trans factors are both important in strain-specific regulation of the leukotoxin gene in Actinobacillus actinomycetemcomitans. Infect. Immun. 1996, 64, 3451–3460. [Google Scholar] [CrossRef] [PubMed]
- He, T.; Nishihara, T.; Demuth, D.R.; Ishikawa, I. A novel insertion sequence increases the expression of leukotoxicity in Actinobacillus actinomycetemcomitans clinical isolates. J. Periodontol. 1999, 70, 1261–1268. [Google Scholar] [CrossRef]
- Sampathkumar, V.; Velusamy, S.K.; Godboley, D.; Fine, D.H. Increased leukotoxin production: Characterization of 100 base pairs within the 530 base pair leukotoxin promoter region of Aggregatibacter actinomycetemcomitans. Sci. Rep. 2017, 7, 1887. [Google Scholar] [CrossRef] [PubMed]
- Baehni, P.C.; Tsai, C.C.; McArthur, W.P.; Hammond, B.F.; Shenker, B.J.; Taichman, N.S. Leukotoxic activity in different strains of the bacterium Actinobacillus actinomycetemcomitans isolated from juvenile periodontitis in man. Arch. Oral Biol. 1981, 26, 671–676. [Google Scholar] [CrossRef]
- Jensen, A.B.; Lund, M.; Nørskov-Lauritsen, N.; Johansson, A.; Claesson, R.; Reinholdt, J.; Haubek, D. Differential cell lysis among periodontal strains of JP2 and Non-JP2 genotype of Aggregatibacter actinomycetemcomitans serotype B is not reflected in dissimilar expression and production of leukotoxin. Pathogens 2019, 8, 211. [Google Scholar] [CrossRef]
- Zambon, J.J.; DeLuca, C.; Slots, J.; Genco, R.J. Studies of leukotoxin from Actinobacillus actinomycetemcomitans using the promyelocytic HL-60 cell line. Infect. Immun. 1983, 40, 205–212. [Google Scholar] [CrossRef]
- Mitchell, C.; Gao, L.; Demuth, D.R. Positive and negative cis-acting regulatory sequences control expression of leukotoxin in Actinobacillus actinomycetemcomitans 652. Infect. Immun. 2003, 71, 5640–5649. [Google Scholar] [CrossRef]
- Pahumunto, N.; Ruangsri, P.; Wongsuwanlert, M.; Piwat, S.; Dahlen, G.; Teanpaisan, R. Aggregatibacter actinomycetemcomitans serotypes and DGGE subtypes in Thai adults with chronic periodontitis. Arch. Oral Biol. 2015, 60, 1789–1796. [Google Scholar] [CrossRef]







| Sample | TVC per Sample, Millions | Aa per Sample, Millions | Aa % of TVC | Tooth Site | PPD * mm |
|---|---|---|---|---|---|
| 581-18U | 13 | 2.9 | 22 | 26 | 8 |
| 582-18U | 13 | 6.6 | 51 | 46 | 8 |
| 046-19U | 32 | 0.02 | 0.05 | 14 | 11 |
| adk | atpG | frdB | mdh | pgi | recA | hbpA1 2 | hbpA2 | hbpA2 | tpbA | tpbA | MLST Type 3 | |
|---|---|---|---|---|---|---|---|---|---|---|---|---|
| 231 1 | 131 | 509 | 44 | 6 | 214 | 24 | 56 | |||||
| 456-13U | G > C | C > T | T > G | T > G | A > G | A > - | 6 | |||||
| 046-19U | G > C | T > G | A > G | A > G | A > - | 4 | ||||||
| Y4 | G > C | T > C | T > G | A > G | A > G | A > - | 5 | |||||
| 582-18U | G > C | C > T | T > G | T > G | A > G | A > - | 6 | |||||
| S23A | G > C | 2 | ||||||||||
| 575G | G > C | T > G | A > G | A > - | 3 |
| Aa Strain | LD50 MOI | SD | p-Value |
|---|---|---|---|
| HK1651 | 35 | ±40 | - |
| Y4 | 544 | ±377 | 0.036 |
| S23A | 676 | ±400 | 0.002 |
| 456-13U | 11 | ±10 | 1 |
| 582-18U | 142 | ±99 | 1 |
| 575G | 458 | ±435 | 0.178 |
| 046-19U | 18 | ±12 | 1 |
| LtxA * | 33 | ±19 | - |
© 2020 by the authors. Licensee MDPI, Basel, Switzerland. This article is an open access article distributed under the terms and conditions of the Creative Commons Attribution (CC BY) license (http://creativecommons.org/licenses/by/4.0/).
Share and Cite
Claesson, R.; Chiang, H.-M.; Lindholm, M.; Höglund Åberg, C.; Haubek, D.; Johansson, A.; Oscarsson, J. Characterization of Aggregatibacter actinomycetemcomitans Serotype b Strains with Five Different, Including Two Novel, Leukotoxin Promoter Structures. Vaccines 2020, 8, 398. https://doi.org/10.3390/vaccines8030398
Claesson R, Chiang H-M, Lindholm M, Höglund Åberg C, Haubek D, Johansson A, Oscarsson J. Characterization of Aggregatibacter actinomycetemcomitans Serotype b Strains with Five Different, Including Two Novel, Leukotoxin Promoter Structures. Vaccines. 2020; 8(3):398. https://doi.org/10.3390/vaccines8030398
Chicago/Turabian StyleClaesson, Rolf, Huei-Min Chiang, Mark Lindholm, Carola Höglund Åberg, Dorte Haubek, Anders Johansson, and Jan Oscarsson. 2020. "Characterization of Aggregatibacter actinomycetemcomitans Serotype b Strains with Five Different, Including Two Novel, Leukotoxin Promoter Structures" Vaccines 8, no. 3: 398. https://doi.org/10.3390/vaccines8030398
APA StyleClaesson, R., Chiang, H.-M., Lindholm, M., Höglund Åberg, C., Haubek, D., Johansson, A., & Oscarsson, J. (2020). Characterization of Aggregatibacter actinomycetemcomitans Serotype b Strains with Five Different, Including Two Novel, Leukotoxin Promoter Structures. Vaccines, 8(3), 398. https://doi.org/10.3390/vaccines8030398

