Cloning and Expression of the Tibetan Pig Interleukin-23 Gene and Its Promotion of Immunity of Pigs to PCV2 Vaccine
Abstract
1. Introduction
2. Materials and Methods
2.1. Cloning of Tibetan Pig IL-23 Gene
2.1.1. Cloning of p40 and p19 Subunit Genes from Pig Peripheral Blood Mononuclear Cells (PBMCs)
2.1.2. Construction of the Recombinant Eukaryotic Expression Plasmid
2.2. Expression of VRIL23 and Bioactivity In Vitro
2.3. Effect of VRIL23 Chitosan Nanoparticles on PCV2 Vaccination In Vivo
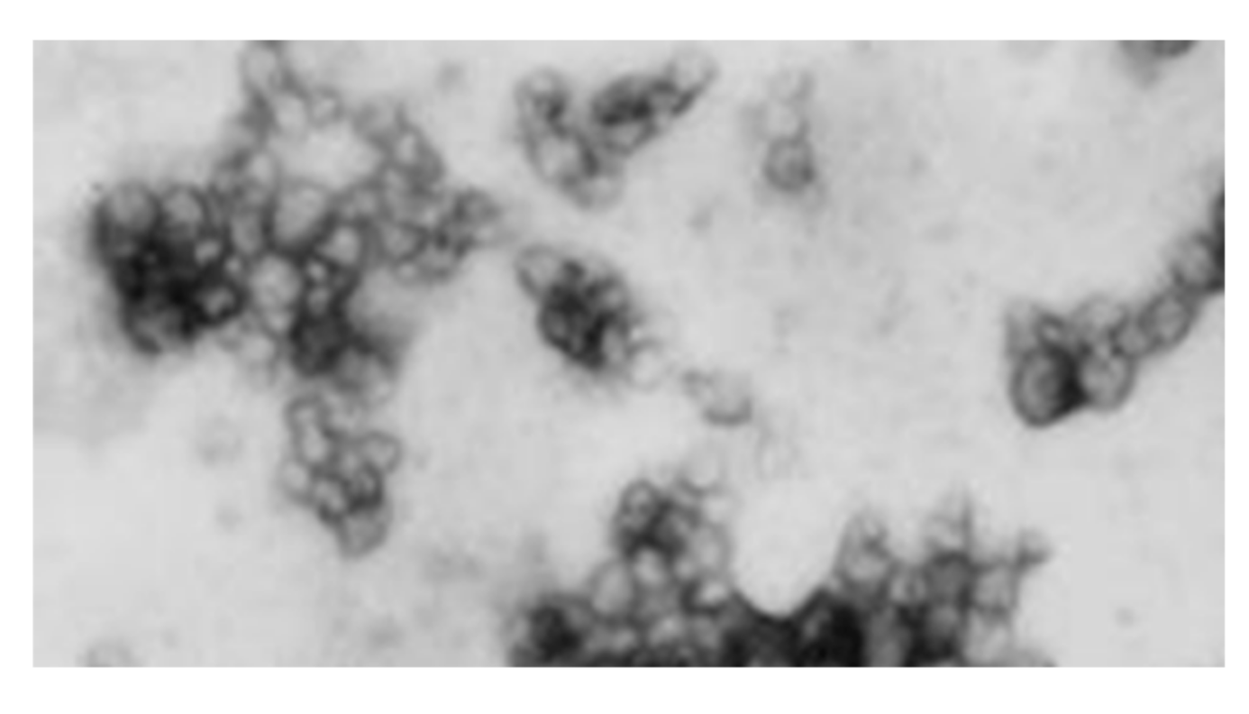
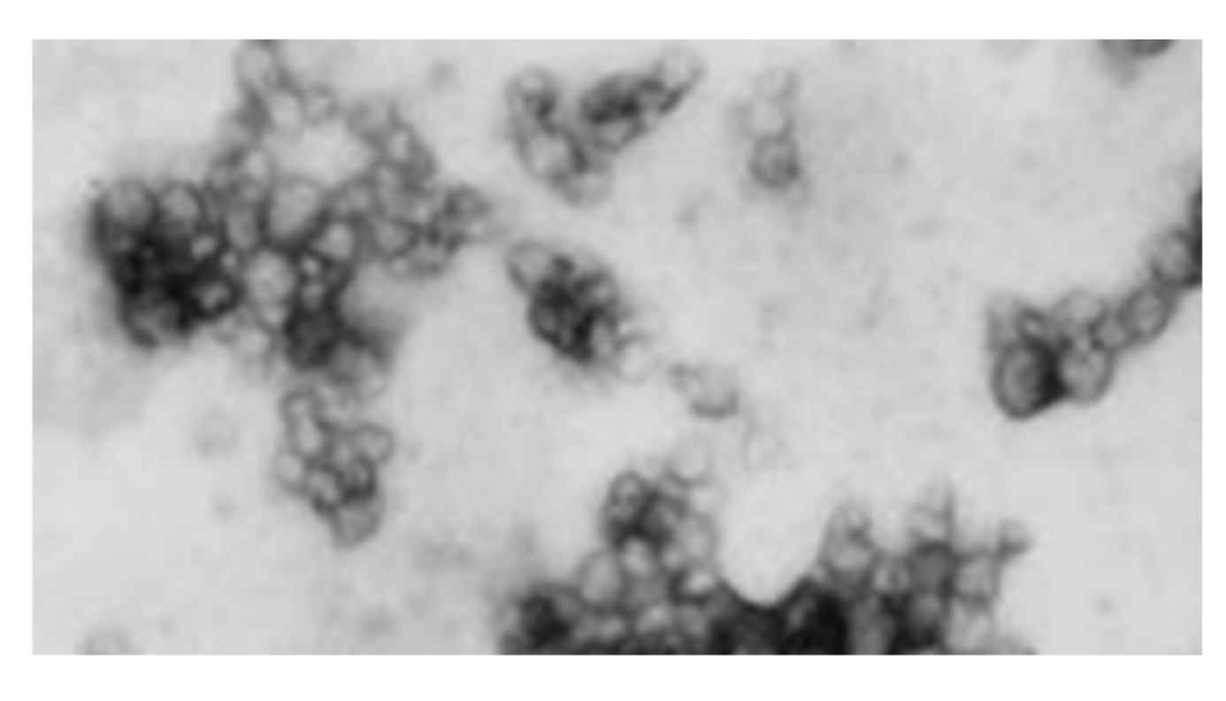
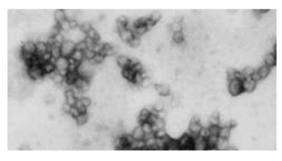
2.3.1. Preparation of Chitosan Nanoparticle-Encapsulated VRIL23
2.3.2. Animal Immunization
Peripheral Hemocytology Assay
CD4+ and CD8+ T Cells Assessment
Antibody and IgG2a
Immune Gene Expression
2.4. Statistical Analysis
3. Results
3.1. Cloning of p40 and p19 Subunit Genes
3.2. Expression of VRIL23 and Its Bioactivity In Vitro
3.3. Chitosan Nanoparticle-Encapsulated VRIL23 Detection
3.4. Changes in Peripheral Blood Immune Cells
3.5. Changes in CD4+ and CD8+ T Cells
3.6. Humoral Immune Changes
3.7. Immune Gene Expression
3.8. Changes of Weight
4. Discussion
5. Conclusions
Author Contributions
Funding
Conflicts of Interest
References
- Allan, G.M.; Ellis, J.A. Porcine circoviruses: A review. J. Vet. Diagn. Investig. 2000, 12, 3–14. [Google Scholar] [CrossRef] [PubMed]
- Ge, X.; Wang, F.; Guo, X.; Yang, H. Porcine circovirus type 2 and its associated diseases in China. Virus Res. 2012, 164, 100–106. [Google Scholar] [CrossRef] [PubMed]
- Wang, S.; Zhang, M.; Liu, X.-C.; Lin, T.; Yang, H.-C.; Yuan, S.-S.; Zhao, G.-W.; Ia, H.; Yan, R.-F.; Song, X.-K.; et al. Investigation on the co-infections of Toxoplasma gondii with PRRSV, CSFV or PCV-2 in swine in part of China. J. Integr. Agric. 2015, 14, 1838–1844. [Google Scholar] [CrossRef]
- Sanches, E.M.C.; Borba, M.R.; Spanamberg, A.; Pescador, C.; Corbellini, L.G.; Ravazzolo, A.P.; Driemeier, D.; Ferreiro, L. Co-Infection of Pneumocystis carinii f. sp. suis and Porcine Circovirus-2 (PCV2) in Pig Lungs Obtained from Slaughterhouses in Southern and Midwestern Regions of Brazil. J. Eukaryot. Microbiol. 2006, 53, S92–S94. [Google Scholar] [CrossRef]
- Royaee, A.R.; Husmann, R.J.; Dawson, H.D.; Calzada-Nova, G.; Schnitzlein, W.M.; Zuckermann, F.A.; Lunney, J.K. Deciphering the involvement of innate immune factors in the development of the host response to PRRSV vaccination. Vet. Immunol. Immunopathol. 2004, 102, 199–216. [Google Scholar] [CrossRef]
- Chen, Y.; Song, T.; Xiao, Y.-L.; Wan, X.; Yang, L.; Li, J.; Zeng, G.; Fang, P.; Wang, Z.-Z.; Gao, R. Enhancement of immune response of piglets to PCV-2 vaccine by porcine IL-2 and fusion IL-4/6 gene entrapped in chitosan nanoparticles. Res. Vet. Sci. 2018, 117, 224–232. [Google Scholar] [CrossRef]
- Meier, W.A.; Husmann, R.J.; Schnitzlein, W.M.; Osorio, F.A.; Lunney, J.K.; Zuckermann, F.A. Cytokines and synthetic double-stranded RNA augment the T helper 1 immune response of swine to porcine reproductive and respiratory syndrome virus. Vet. Immunol. Immunopathol. 2004, 102, 299–314. [Google Scholar] [CrossRef]
- Dwivedi, V.; Manickam, C.; Dhakal, S.; Binjawadagi, B.; Ouyang, K.; Hiremath, J.; Khatri, M.; Hague, J.G.; Lee, C.W.; Renukaradhya, G.J. Adjuvant effects of invariant NKT cell ligand potentiates the innate and adaptive immunity to an inactivated H1N1 swine influenza virus vaccine in pigs. Vet. Microbiol. 2016, 186, 157–163. [Google Scholar] [CrossRef]
- Yang, X.; Sun, W.-K.; Chen, W.-L.; Chen, J.-L.; Wan, X.-P.; Zhang, H.; Yang, X.; Cai, L.; Wang, Z.-Z.; Lv, X.-B.; et al. Promotion of the immunity of piglets to Hog cholera vaccine induced by shuffled pig interleukin-2 gene and CpG immunostimulatory sequences encapsulated in chitosan nanoparticles. Procedia Vaccinol. 2010, 2, 51–59. [Google Scholar] [CrossRef][Green Version]
- Zhang, G.; Jia, P.; Cheng, G.; Jiao, S.; Ren, L.; Ji, S.; Hu, T.; Liu, H.; Du, Y. Enhanced immune response to inactivated porcine circovirus type 2 (PCV2) vaccine by conjugation of chitosan oligosaccharides. Carbohydr. Polym. 2017, 166, 64–72. [Google Scholar] [CrossRef]
- Kokuho, T.; Dang, H.V.; Yasue, H. Molecular cloning of the swine interleukin-23 subunit p19 and of its receptor components interleukin-23Rα and -12Rβ1. J. Vet. Med. Sci 2012, 74, 367–372. [Google Scholar] [CrossRef] [PubMed]
- Singh, A.K.; Eken, A.; Fry, M.; Bettelli, E.; Oukka, M. DOCK8 regulates protective immunity by controlling the function and survival of RORγt+ ILCs. Nat. Commun. 2014, 5, 4603. [Google Scholar] [CrossRef] [PubMed]
- Awasthi, A.; Riol-Blanco, L.; Jäger, A.; Korn, T.; Pot, C.; Galileos, G.; Bettelli, E.; Kuchroo, V.K.; Oukka, M. Cutting Edge: IL-23 Receptor GFP Reporter Mice Reveal Distinct Populations of IL-17-Producing Cells. J. Immunol. 2009, 182, 5904–5908. [Google Scholar] [CrossRef] [PubMed]
- Zindl, C.L.; Lai, J.-F.; Lee, Y.K.; Maynard, C.L.; Harbour, S.N.; Ouyang, W.; Chaplin, D.D.; Weaver, C.T. IL-22-producing neutrophils contribute to antimicrobial defense and restitution of colonic epithelial integrity during colitis. Proc. Natl. Acad. Sci. USA 2013, 110, 12768–12773. [Google Scholar] [CrossRef]
- Gaffen, S.L.; Jain, R.; Garg, A.V.; Cua, D.J. The IL-23–IL-17 immune axis: From mechanisms to therapeutic testing. Nat. Rev. Immunol. 2014, 14, 585–600. [Google Scholar] [CrossRef]
- Langrish, C.L.; McKenzie, B.S.; Wilson, N.J.; Malefyt, R.d.W.; Kastelein, R.A.; Cua, D.J. IL-12 and IL-23: Master regulators of innate and adaptive immunity. Immunol. Rev. 2004, 202, 96–105. [Google Scholar] [CrossRef]
- Datta, S.K.; Sabet, M.; Nguyen, K.P.L.; Valdez, P.A.; Gonzalez-Navajas, J.M.; Islam, S.; Mihajlov, I.; Fierer, J.; Insel, P.A.; Webster, N.J. Mucosal adjuvant activity of cholera toxin requires Th17 cells and protects against inhalation anthrax. Proc. Natl. Acad. Sci. USA 2010, 107, 10638–10643. [Google Scholar] [CrossRef]
- Cheng, C.; Sun, W.K.; Liu, R.; Wang, R.M.; Chen, Y.H.; Wang, Y.; Li, J.L.; Lu, X.B.; Gao, R. Comparison of gene expression of Toll-like receptors and antimicrobial peptides in immune organs and tissues between Yorkshire and Tibetan pigs. Anim. Genet. 2015, 46, 272–279. [Google Scholar] [CrossRef]
- Petrovsky, N.; Aguilar, J.C. Vaccine adjuvants: Current state and future trends. Immunol. Cell Biol. 2004, 82, 488–496. [Google Scholar] [CrossRef]
- Marciani, D.J. Vaccine adjuvants: Role and mechanisms of action in vaccine immunogenicity. Drug Discov. Today 2003, 8, 934–943. [Google Scholar] [CrossRef]
- Gerdts, V. Adjuvants for veterinary vaccines--types and modes of action. Berl. Munch. Tierarztl. Wochenschr. 2015, 128, 456–463. [Google Scholar] [PubMed]
- Romagnani, S. T-cell subsets (Th1 versus Th2). Ann. Allergy Asthma Immunol. 2000, 85, 9–21. [Google Scholar] [CrossRef]
- Oppmann, B.; Lesley, R.; Blom, B.; Timans, J.C.; Xu, Y.; Hunte, B.; Vega, F.; Yu, N.; Wang, J.; Singh, K.; et al. Novel p19 Protein Engages IL-12p40 to Form a Cytokine, IL-23, with Biological Activities Similar as Well as Distinct from IL-12. Immunity 2000, 13, 715–725. [Google Scholar] [CrossRef]
- Lupardus, P.J.; Garcia, K.C. The Structure of Interleukin-23 Reveals the Molecular Basis of p40 Subunit Sharing with Interleukin-12. J. Mol. Biol. 2008, 382, 931–941. [Google Scholar] [CrossRef]
- Trinchieri, G. Interleukin-12 and the regulation of innate resistance and adaptive immunity. Nat. Rev. Immunol. 2003, 3, 133. [Google Scholar] [CrossRef]
- Cooper, A.M.; Kipnis, A.; Turner, J.; Magram, J.; Ferrante, J.; Orme, I.M. Mice lacking bioactive IL-12 can generate protective, antigen-specific cellular responses to mycobacterial infection only if the IL-12 p40 subunit is present. J. Immunol. 2002, 168, 1322–1327. [Google Scholar] [CrossRef]
- Decken, K.; Kohler, G.; Palmer-Lehmann, K.; Wunderlin, A.; Mattner, F.; Magram, J.; Gately, M.K.; Alber, G. Interleukin-12 is essential for a protective Th1 response in mice infected with Cryptococcus neoformans. Infect. Immun. 1998, 66, 4994–5000. [Google Scholar] [CrossRef]
- Kennedy, M.K.; Glaccum, M.; Brown, S.N.; Butz, E.A.; Viney, J.L.; Embers, M.; Matsuki, N.; Charrier, K.; Sedger, L.; Willis, C.R.; et al. Reversible Defects in Natural Killer and Memory Cd8 T Cell Lineages in Interleukin 15–Deficient Mice. J. Exp. Med. 2000, 191, 771. [Google Scholar] [CrossRef]
- Earl, L.A.; Baum, L.G. CD45 Glycosylation controls T-cell life and death. Immunol. Cell Biol. 2008, 86, 608–615. [Google Scholar] [CrossRef]
- Li, W.X. Canonical and non-canonical JAK–STAT signaling. Trends Cell Biol. 2008, 18, 545–551. [Google Scholar] [CrossRef]
- Liao, Y.; Hu, X.; Guo, X.; Zhang, B.; Xu, W.; Jiang, H. Promoting effects of IL-23 on myocardial ischemia and reperfusion are associated with increased expression of IL-17A and upregulation of the JAK2-STAT3 signaling pathway. Mol. Med. Rep. 2017, 16, 9309–9316. [Google Scholar] [CrossRef] [PubMed]
- Shi, W.Y.; Che, C.Y.; Liu, L. Human interleukin 23 receptor induces cell apoptosis in mammalian cells by intrinsic mitochondrial pathway associated with the down-regulation of RAS/mitog. Int. J. Mol. Sci. 2013, 14, 24656–24669. [Google Scholar] [CrossRef] [PubMed]
- Muzzarelli, R. Chitins and Chitosans as Immunoadjuvants and Non-Allergenic Drug Carriers. Mar. Drugs 2010, 8, 292–312. [Google Scholar] [CrossRef] [PubMed]
- Arca, H.; Günbeyaz, M.; Senel, S. Chitosan-based systems for the delivery of vaccine antigens. Expert Rev. Vaccines 2009, 8, 937–953. [Google Scholar] [CrossRef] [PubMed]
- Baldrick, P. The safety of chitosan as a pharmaceutical excipient. Regul. Toxicol. Pharmacol. 2010, 56, 290–299. [Google Scholar] [CrossRef] [PubMed]
- Lebre, F.; Bento, D.; Ribeiro, J.; Colaço, M.; Borchard, G.; de Lima, M.C.P.; Borges, O. Association of chitosan and aluminium as a new adjuvant strategy for improved vaccination. Int. J. Pharm. 2017, 527, 103–114. [Google Scholar] [CrossRef] [PubMed]
- Riteau, N.; Sher, A. Chitosan: An Adjuvant with an Unanticipated STING. Immunity 2016, 44, 522–524. [Google Scholar] [CrossRef]
- Li, D.; Chen, J.; Zhang, H.; Yang, X.; Wan, X.; Cheng, C.; Li, Y.; Wang, Z.-Z.; Lv, X.-B.; Wang, H.; et al. Improvement of the immunity of pig to hog cholera vaccine by recombinant plasmid with porcine interleukin-6 gene and CpG motifs. Vaccine 2011, 29, 3888–3894. [Google Scholar] [CrossRef]
- Yang, Y.; Chen, J.; Li, H.; Wang, Y.; Xie, Z.; Wu, M.; Zhang, H.; Zhao, Z.; Chen, Q.; Fu, M.; et al. Porcine interleukin-2 gene encapsulated in chitosan nanoparticles enhances immune response of mice to piglet paratyphoid vaccine. Comp. Immunol. Microbiol. Infect. Dis. 2007, 30, 19–32. [Google Scholar] [CrossRef]













| Name | Sequences (5′-3′) |
|---|---|
| p40 | Forward: ATGCACCTTCAGCAGCTGGTTGTC |
| Reverse: CTAATTGCAGGACACAGATGCCCAT | |
| p19 | Forward: ATGCTGGGAAGCAGAGCTGTGATG |
| Reverse: TTACTGGCTCAGAGTTGCTGCTC |
| Gene | Primer Sequences (5′-3′) | Annealing Temperature (°C) |
|---|---|---|
| PPIA-F | AGACAGCAGAAAACTTCCGTG | 52 |
| PPIA-R | ACTTGCCACCAGTGCCATTA | |
| TLR2-F | TGCTGCAAGGTCAACTCTCT | 61 |
| TLR2-R | CAGCAGGGTCACAAGACAGA | |
| TLR7-F | TTCCTAAAACTCTGCCCTGTG | 60 |
| TLR7-R | TTAATGCTGAGGGTGAGGTTG | |
| IL12-F | ACCCCACATTCCTACTTTTCC | 59 |
| IL12-R | TGAGATTTGGTCCGTGAAGAG | |
| CD45-F | GGACATGTGACCTGGAAACC | 55 |
| CD45-R | CCATTACGCTCTGCTTTTCC | |
| IL15-F | ACTGAGGATGGCATTCATGTC | 57.5 |
| IL15-R | GCCAGGTTGCTTCTGTTTTAG | |
| STAT1-F | TCTGGCACAGTGGCTAGAAAATC | 56.3 |
| STAT1-R | GAAAACGGATGGTGGCAAAC | |
| STAT2-F | AACATTCCTGAGAACCCACTG | 54 |
| STAT2-R | CTGTTAGAGACCACGATGAGC | |
| STAT3-F | AGGACATCAGCGGTAAGA | 60 |
| STAT3-R | GGTAGACCAGCGGAGACA | |
| STAT4-F | CCTGAAAACCCTCTGAAGTACC | 53.7 |
| STAT4-R | CTGGGAGCTGTAGTGTTTACC | |
| Bcl-2-F Bcl-2-R | GAAACCCCTAGTGCCATCAA GGGACGTCAGGTCACTGAAT | 60 |
| Group | Initial Weight (kg) | End Weight (kg) | Net Gain (kg) | Average Gain (kg) | Feed Conversion | Death Ratio |
|---|---|---|---|---|---|---|
| VRIL23-CS | 7.52 ± 0.36 | 45.02 ± 2.68 | 37.50 ± 2.41 a | 0.45 ± 0.03 a | 2.40 | 0 |
| Control | 7.35 ± 0.25 | 38.33 ± 4.50 | 30.98 ± 4.25 b | 0.37 ± 0.05 b | 2.97 | 0 |
© 2020 by the authors. Licensee MDPI, Basel, Switzerland. This article is an open access article distributed under the terms and conditions of the Creative Commons Attribution (CC BY) license (http://creativecommons.org/licenses/by/4.0/).
Share and Cite
Xiao, Y.; Zhang, H.; Chen, J.; Chen, Y.; Li, J.; Song, T.; Zeng, G.; Chen, X.; Lü, X.; Fang, P.; et al. Cloning and Expression of the Tibetan Pig Interleukin-23 Gene and Its Promotion of Immunity of Pigs to PCV2 Vaccine. Vaccines 2020, 8, 250. https://doi.org/10.3390/vaccines8020250
Xiao Y, Zhang H, Chen J, Chen Y, Li J, Song T, Zeng G, Chen X, Lü X, Fang P, et al. Cloning and Expression of the Tibetan Pig Interleukin-23 Gene and Its Promotion of Immunity of Pigs to PCV2 Vaccine. Vaccines. 2020; 8(2):250. https://doi.org/10.3390/vaccines8020250
Chicago/Turabian StyleXiao, Yongle, Huan Zhang, Jianlin Chen, Yi Chen, Jinghai Li, Tingyu Song, Guangzhi Zeng, Xiaohui Chen, Xuebin Lü, Pengfei Fang, and et al. 2020. "Cloning and Expression of the Tibetan Pig Interleukin-23 Gene and Its Promotion of Immunity of Pigs to PCV2 Vaccine" Vaccines 8, no. 2: 250. https://doi.org/10.3390/vaccines8020250
APA StyleXiao, Y., Zhang, H., Chen, J., Chen, Y., Li, J., Song, T., Zeng, G., Chen, X., Lü, X., Fang, P., & Gao, R. (2020). Cloning and Expression of the Tibetan Pig Interleukin-23 Gene and Its Promotion of Immunity of Pigs to PCV2 Vaccine. Vaccines, 8(2), 250. https://doi.org/10.3390/vaccines8020250

