Preclinical Assessment of a New Virus-like Particle-Based Quadrivalent Human Papillomavirus Vaccine in Animal Models
Abstract
1. Introduction
2. Materials and Methods
2.1. Animal Maintenance and Housing
2.2. Animal Grouping and Treatment
| Study Design | Animal | Content of Injection Groups | Injection Schedule (Days) | |||||
|---|---|---|---|---|---|---|---|---|
| BPV ** | GV | PBS | BAA | |||||
| Immunological assays | Cellular * | 72 | BALB/c mice | A1: 1:5 of human dose: 24 µg L1 (4, 8, 8, and 4 µg for HPV 6, 11, 16, and 18, respectively), BAA with Al content 48 µg | B1: 1:5 of human dose | C1: 1× PBS buffer | D1: Al content equal to 48 µg | 0, 14, and 56 |
| Humoral | 72 | 0, 14, and 56 | ||||||
| Single-dose toxicity | 72 | BALB/c mice | A2: 56 µg L1 (16, 16, 8, and 16 µg for HPV 6, 11, 16, and 18, respectively), BAA with Al content 112 µg | B2: 56 µg of L1 via dilution of GV | C1: 1× PBS buffer | D1: Al content equal to 112 µg | 0 | |
| Repeated-dose toxicity | 72 | 0, 14, and 56 | ||||||
| Reproductive toxicity | 24 | Wistar rats | A3: 120 µg L1 (20, 40, 40, and 20 µg for HPV 6, 11, 16, and 18, respectively), BAA with Al content 240 µg | B3: 120 µg of L1 | C3: 1× PBS buffer | D3: Al content equal to 240 µg | 35 and 14 days before cohabitation, GD6 and LD7 | |
| Local tolerance | 24 | Wistar rats | 0, 14, and 56 | |||||




2.3. Toxicology
2.3.1. Evaluation of Single-Dose (Acute) Toxicity
2.3.2. Evaluation of Repeated-Dose (Sub-Chronic) Toxicity
2.3.3. Reproductive Toxicology Analysis
2.4. Assessment of Local Tolerance in Rats
2.5. Evaluation of BPV Efficacy in BALB/c Mice After Immunization
2.5.1. Assessment of Spleen Lymphocyte Proliferation and Cytokine Production
2.5.2. Serological Analysis
2.6. Statistical Analysis
3. Results
3.1. Toxicology
3.1.1. Evaluation of Single-Dose (Acute) Toxicity
3.1.2. Evaluation of Repeated-Dose (Sub-Chronic) Toxicity
3.1.3. Reproductive Toxicology Analysis
3.2. Assessment of Local Tolerance in Rats
3.3. Cell-Mediated and Humoral Immune Responses in BALB/c Mice After Immunization
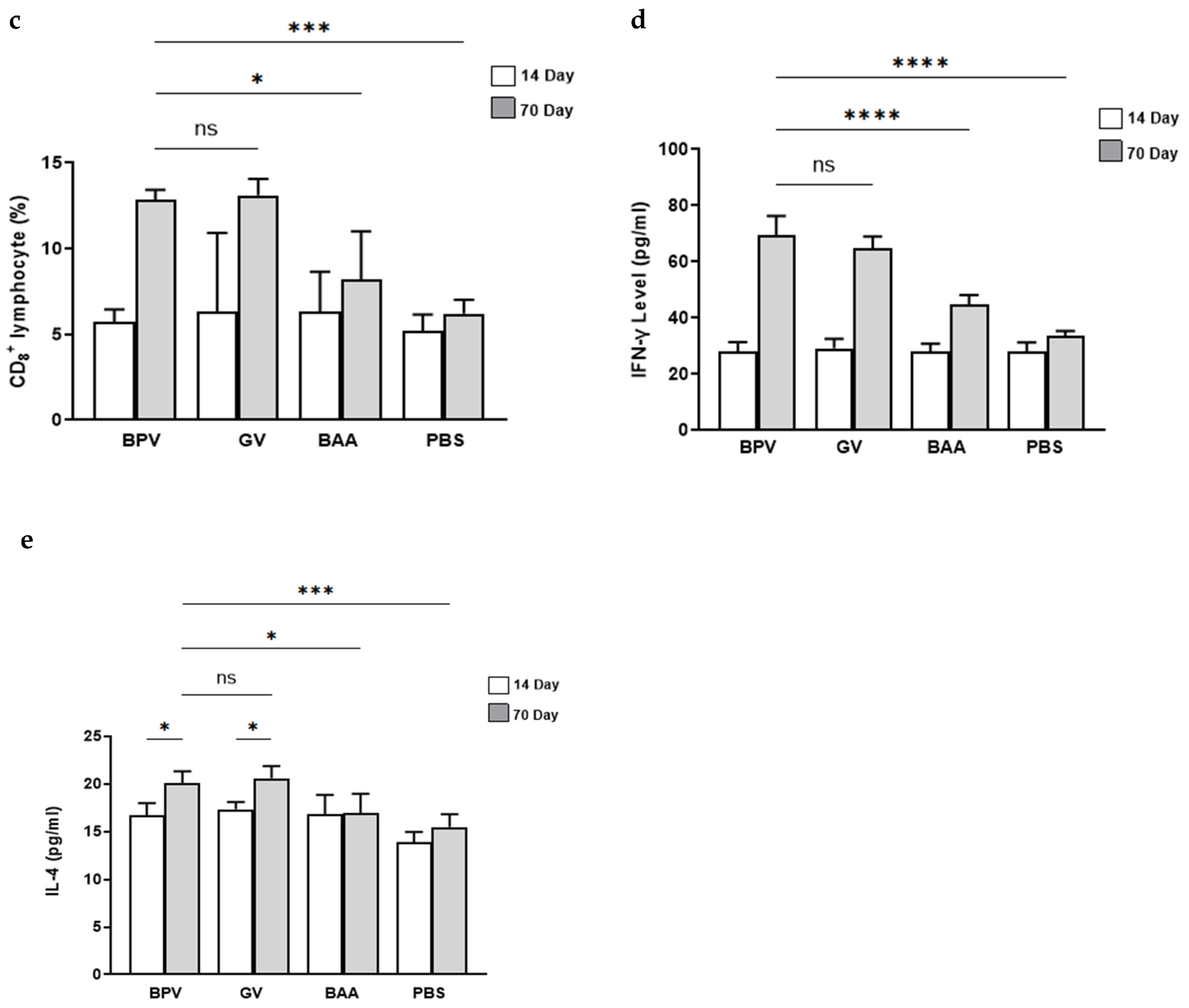
3.3.1. Lymphocyte Proliferation and Production of IFN-γ and IL-4 After Three Immunizations in BALB/c Mice
3.3.2. Serologic Analysis
4. Discussion
5. Conclusions
Author Contributions
Funding
Institutional Review Board Statement
Data Availability Statement
Conflicts of Interest
References
- Burd, E.M. Human papillomavirus and cervical cancer. Clin. Microbiol. Rev. 2003, 16, 1–17. [Google Scholar] [CrossRef] [PubMed]
- Okunade, K.S. Human papillomavirus and cervical cancer. J. Obstet. Gynaecol. 2020, 40, 602–608. [Google Scholar] [CrossRef] [PubMed]
- Zhang, S.; Xu, H.; Zhang, L.; Qiao, Y. Cervical cancer: Epidemiology, risk factors and screening. Chin. J. Cancer 2020, 32, 720. [Google Scholar] [CrossRef] [PubMed]
- Choi, S.; Ismail, A.; Pappas-Gogos, G.; Boussios, S. HPV and cervical cancer: A review of epidemiology and screening uptake in the UK. Pathogens 2023, 12, 298. [Google Scholar] [CrossRef]
- Jendoubi-Ferchichi, M.; Satouri, L.; Ghoul, F.; Malek-Mellouli, M.; Derbel, A.M.; Makni, M.K.; Reziga, H.; Baba, A.; Zili, M.; Segondy, M.; et al. Phylogeny and classification of human papillomavirus (HPV) 16 and HPV18 variants based on E6 and L1 genes in Tunisian women with cervical lesions. Asian Pac. J. Cancer Prev. 2018, 19, 3361. [Google Scholar] [CrossRef]
- Meites, E.; Gee, J.; Unger, E.; Lauri, M. Human papillomavirus. In Pink Book, 14th ed.; Health Care Providers, Public Health Foundation: Washington, DC, USA, 2024. [Google Scholar]
- Li, N.; Franceschi, S.; Howell-Jones, R.; Snijders, P.J.; Clifford, G.M. Human papillomavirus type distribution in 30,848 invasive cervical cancers worldwide: Variation by geographical region, histological type and year of publication. Int. J. Cancer 2011, 128, 927–935. [Google Scholar] [CrossRef]
- Word Health Organization. Human papillomavirus vaccines: WHO position paper. Wkly. Epidemiol. Rec. 2022, 97, 645–672. Available online: https://www.who.int/publications/i/item/who-wer9750-645-672 (accessed on 16 December 2022).
- Grgacic, E.V.; Anderson, D.A. Virus-like particles: Passport to immune recognition. Methods 2006, 40, 60–65. [Google Scholar] [CrossRef]
- Word Health Organization. International Agency for Research on Cancer and IARC Working Group on the Evaluation of Carcinogenic Risks to Humans, IARC Monographs on the Evaluation of Carcinogenic Risks to Humans; World Health Organization: Geneva, Switzerland, 2007. [Google Scholar]
- Schiller, J.; Lowy, D. Explanations for the high potency of HPV prophylactic vaccines. Vaccine 2018, 36, 4768–4773. [Google Scholar] [CrossRef]
- Williamson, A.-L. Recent developments in human papillomavirus (HPV) vaccinology. Viruses 2023, 15, 1440. [Google Scholar] [CrossRef]
- Han, J.E.; Wui, S.R.; Park, S.A.; Lee, N.G.; Kim, K.S.; Cho, Y.J.; Kim, H.J.; Kim, H.J. Comparison of the immune responses to the CIA06-adjuvanted human papillomavirus L1 VLP vaccine with those against the licensed HPV vaccine CervarixTM in mice. Vaccine 2012, 30, 4127–4134. [Google Scholar] [CrossRef] [PubMed]
- Tariq, H.; Batool, S.; Asif, S.; Ali, M.; Abbasi, B.H. Virus-like particles: Revolutionary platforms for developing vaccines against emerging infectious diseases. Front. Microbiol. 2022, 12, 790121. [Google Scholar] [CrossRef] [PubMed]
- Shalchimanesh, Z.; Ghane, M.; Kalantar, E. Prevalence of human papillomavirus genotypes in Tehran, Iran. J. Res. Health Sci. 2022, 22, e00553. [Google Scholar] [CrossRef] [PubMed]
- Kesheh, M.M.; Keyvani, H. The prevalence of HPV genotypes in Iranian population: An update. Iran J. Pathol. 2019, 14, 19–205. [Google Scholar] [CrossRef]
- Gardasil, S.T. 9. Human Papillomavirus 9-Valent Vaccine (Recombinant, Adsorbed). Available online: https://www.ema.europa.eu/en/documents/product-information/gardasil-9-epar-product-information_it.pdf (accessed on 24 June 2020).
- Ahmadi-Noorbakhsh, S.; Mirabzadeh Ardakani, E.; Sadighi, J.; Aldavood, S.J.; Farajli Abbasi, M.; Farzad-Mohajeri, S.; Ghasemi, A.; Sharif-Paghaleh, E.; Hatami, Z.; Nikravanfard, N.; et al. Guideline for the care and use of laboratory animals in Iran. Lab Anim. 2021, 50, 303–305. [Google Scholar] [CrossRef]
- Segal, L.; Morelle, D.; Kaaber, K.; Destexhe, E.; Garçon, N. Non-clinical safety assessment of single and repeated intramuscular administration of a human papillomavirus-16/18 vaccine in rabbits and rats. J. Appl. Toxicol. 2015, 35, 1577–1585. [Google Scholar] [CrossRef]
- Stanley, M. HPV vaccines: Alternative dosage schedules. Expert Rev. Vaccines 2019, 18, 1309–1316. [Google Scholar] [CrossRef]
- Wise, L.D.; Wolf, J.J.; Plitnick, L.M. Evaluation of a 9-valent HPV vaccine in Sprague-Dawley rats: Nonclinical studies assessing general, reproductive, and developmental toxicity. Vaccine 2018, 36, 6401–6407. [Google Scholar] [CrossRef]
- Segal, L.; Wilby, O.K.; Willoughby, C.R.; Veenstra, S.; Deschamps, M. Evaluation of the intramuscular administration of Cervarix™ vaccine on fertility, pre-and post-natal development in rats. Reprod. Toxicol. 2011, 31, 111–120. [Google Scholar] [CrossRef]
- McCormack, P.L. Quadrivalent human papillomavirus (types 6, 11, 16, 18) recombinant vaccine (Gardasil®): A review of its use in the prevention of premalignant anogenital lesions, cervical and anal cancers, and genital warts. Drugs 2014, 74, 1253–1283. [Google Scholar] [CrossRef]
- Marais, D.; Passmore, J.-A.; Maclean, J.; Rose, R.; Williamson, A.-L. A recombinant human papillomavirus (HPV) type 16 L1–vaccinia virus murine challenge model demonstrates cell-mediated immunity against HPV virus-like particles. J. Gen. Virol. 1999, 80, 2471–2475. [Google Scholar] [CrossRef] [PubMed]
- Sun, X.; Zhang, C.; Jin, H.; Sun, G.; Tian, Y.; Shi, W.; Zhang, D. Flow cytometric analysis of T lymphocyte proliferation in vivo by EdU incorporation. Int. Immunopharmacol. 2016, 41, 56–65. [Google Scholar] [CrossRef] [PubMed]
- David Wise, L.; Wolf, J.J.; Kaplanski, C.V.; Pauley, C.J.; Ledwith, B.J. Lack of effects on fertility and developmental toxicity of a quadrivalent HPV vaccine in Sprague-Dawley rats. Birth Defects Res. Part B Dev. Reprod. Toxicol. 2008, 83, 561–572. [Google Scholar] [CrossRef] [PubMed]
- Schiller, J.T.; Castellsagué, X.; Garland, S.M. A review of clinical trials of human papillomavirus prophylactic vaccines. Vaccine 2012, 30, F123–F138. [Google Scholar] [CrossRef]
- Ward, D.; Thorsen, N.M.; Frisch, M.; Valentiner-Branth, P.; Mølbak, K.; Hviid, A. A cluster analysis of serious adverse event reports after human papillomavirus (HPV) vaccination in Danish girls and young women, September 2009 to August 2017. Eurosurveillance 2019, 24, 1800380. [Google Scholar] [CrossRef]
- van Bockel, D.; Kelleher, A. The crossroads: Divergent roles of virus-specific CD4+ T lymphocytes in determining the outcome for human papillomavirus infection. Immunol. Cell Biol. 2023, 101, 525–534. [Google Scholar] [CrossRef]
- Pinto, L.A.; Dillner, J.; Beddows, S.; Unger, E.R. Immunogenicity of HPV prophylactic vaccines: Serology assays and their use in HPV vaccine evaluation and development. Vaccine 2018, 36, 5535–5543. [Google Scholar] [CrossRef]
- Pasupuleti, D.; Bagwe, P.; Ferguson, A.; NUddin, M.; Souza, M.J.D.; Zughaier, S.M. Evaluating Nanoparticulate Vaccine Formulations for Effective Antigen Presentation and T-Cell Proliferation Using an In Vitro Overlay Assay. Vaccines 2024, 12, 1049. [Google Scholar] [CrossRef]
- Yasaghi, M.; Mahdavi, M. Potentiation of human papilloma vaccine candidate using naloxone/alum mixture as an adjuvant: Increasing immunogenicity of HPV-16E7d vaccine. Iran J. Basic Med. Sci. 2016, 19, 1003–1009. [Google Scholar]
- Sato, K.; Takahashi, Y.; Adachi, Y.; Asanuma, H.; Ato, M.; Tashiro, M.; Itamura, S. Efficient protection of mice from influenza A/H1N1pdm09 virus challenge infection via high avidity serum antibodies induced by booster immunizations with inactivated whole virus vaccine. Heliyon 2019, 5, e01113. [Google Scholar] [CrossRef]
- Nikbakht, M.; Pakbin, B.; Nikbakht Brujeni, G.H. Evaluation of a new lymphocyte proliferation assay based on cyclic voltammetry; an alternative method. Sci. Rep. 2019, 9, 4503. [Google Scholar] [CrossRef]
- Pinto, L.A.; Edwards, J.; Castle, P.E.; Harro, C.D.; Lowy, D.R.; Schiller, J.T.; Wallace, D.; Kopp, W.; Adelsberger, J.W.; Baseler, M.W.; et al. Cellular Immune Responses to Human Papillomavirus (HPV)-16 L1 in Healthy Volunteers Immunized with Recombinant HPV-16 L1 Virus-Like Particles. Infect Dis. 2023, 188, 327–338. [Google Scholar] [CrossRef]
- He, Y. Vaccine adjuvant informatics: From data integration and analysis to rational vaccine adjuvant design. Front. Immunol. 2014, 5, 32. [Google Scholar] [CrossRef]
- Serre, K.; Mohr, E.; Gaspal, F.; Lane, P.J.L.; Bird, R.; Cunningham, A.F.; Maclennan, I.C.M. IL-4 directs both CD4 and CD8 T cells to produce Th2 cytokines In Vitro, but only CD4 T cells produce these cytokines in response to alum-precipitated protein in vivo. Mol. Immunol. 2010, 47, 1914–1922. [Google Scholar] [CrossRef]
- Li, J.; Li, X.; Dong, J.; Wei, J.; Guo, X.; Wang, G.; Xu, M.; Zhao, A. Enhanced Immune Responses in Mice by Combining the Mpox Virus B6R-Protein and Aluminum Hydroxide-CpG Vaccine Adjuvants. Vaccines 2024, 12, 776. [Google Scholar] [CrossRef]
- Caulfield, M.J.; Shi, L.; Wang, S.; Wang, B.; Tobery, T.W.; Mach, H.; Ahl, P.L.; Cannon, J.L.; Cook, J.C.; Heinrichs, J.H.; et al. Effect of alternative aluminum adjuvants on the absorption and immunogenicity of HPV16 L1 VLPs in mice. Hum. Vaccines 2007, 3, 139–145. [Google Scholar] [CrossRef]


| Hematological and Biochemical Parameters | Content of Injection Groups (Mean ± SD) | |||
|---|---|---|---|---|
| Adjuvant | BP | GV | PBS | |
| RBC (109/mcL) | 6.8 ± 0.141 | 8.4 ± 0.1 | 7.533 ± 0.351 | 7.5 ± 0.35 |
| Hb (g/dL) | 15 ± 1.697 | 16 ± 1.2 | 13 ± 0.529 | 12 ± 0.5 |
| Hct (%) | 50.5 ± 0.707 | 42.5 ± 0.5 | 39.3 ± 1.587 | 38.7 ± 1.5 |
| MCV (fl) | 60 ± 0.0 | 58 ± 0.00 | 45.23 ± 11.46 | 51.4 ± 10.15 |
| MCH (pg/cell) | 22.5 ± 0.707 | 19.5 ± 0.5 | 17.233 ± 0.252 | 20.2 ± 0.25 |
| MCHC (g/dL) | 38.5 ± 0.707 | 36.5 ± 0.5 | 35.667 ± 0.577 | 34 ± 0.5 |
| PLT (109/L) | 659 ± 58.196 | 570 ± 139 | 552.667 ± 96.194 | 491 ± 5.187 |
| WBC (109/L) | 18.55 ± 2.192 | 17.55 ± 1.55 | 16.25 ± 1.061 | 8.25 ± 0.75 |
| Neutrophiles | 34 ± 11.747 | 32.778 ± 10.721 | 30 ± 9.101 | 25.4 ± 8.792 |
| Eosinophiles | 1.2 ± 1.211 | 1 | 1 | 0 |
| Lymphocyte | 64.6 ± 13.297 | 66 ± 12.359 | 69.01 ± 8.5 | 74.167 ± 9.928 |
| Monocyte | 0.6 ± 0.894 | 1.111 ± 1.691 | 0.857 ± 1.167 | 1 ± 0.632 |
| ALT (IU/L) | 220 ± 26.87 | 189 ± 19 | 175.667 ± 8.021 | 140 ± 7.041 |
| AST (IU/L) | 165.5 ± 31.82 | 152.5 ± 22.5 | 130.333 ± 3.512 | 110 ± 3.5 |
| ALP (IU/L) | 95.5 ± 21.190 | 80.5 ± 5.134 | 96 ± 13.231 | 80 ± 5.218 |
| Urea (mg/dL) | 18.5 ± 9.192 | 19.5 ± 6.5 | 16.25 ± 4.856 | 17 ± 5.75 |
| Crea (mg/dL) | 1.3 ± 0.354 | 0.9 ± 0.25 | 1.1 ± 0.096 | 1.2 ± 0.125 |
| Animals per groups (n) | 6 | 6 | 6 | 6 |
Disclaimer/Publisher’s Note: The statements, opinions and data contained in all publications are solely those of the individual author(s) and contributor(s) and not of MDPI and/or the editor(s). MDPI and/or the editor(s) disclaim responsibility for any injury to people or property resulting from any ideas, methods, instructions or products referred to in the content. |
© 2026 by the authors. Licensee MDPI, Basel, Switzerland. This article is an open access article distributed under the terms and conditions of the Creative Commons Attribution (CC BY) license.
Share and Cite
Mohammadi Barzelighi, H.; Naderi Saffar, Z.; Pakatchian, E.; Taqavian, M.; Javadimehr, B.; Safaeian, M.; Abbaszadeh, P.; Jalili, H. Preclinical Assessment of a New Virus-like Particle-Based Quadrivalent Human Papillomavirus Vaccine in Animal Models. Vaccines 2026, 14, 66. https://doi.org/10.3390/vaccines14010066
Mohammadi Barzelighi H, Naderi Saffar Z, Pakatchian E, Taqavian M, Javadimehr B, Safaeian M, Abbaszadeh P, Jalili H. Preclinical Assessment of a New Virus-like Particle-Based Quadrivalent Human Papillomavirus Vaccine in Animal Models. Vaccines. 2026; 14(1):66. https://doi.org/10.3390/vaccines14010066
Chicago/Turabian StyleMohammadi Barzelighi, Hajar, Zahra Naderi Saffar, Erfan Pakatchian, Mohammad Taqavian, Babak Javadimehr, Mansooreh Safaeian, Payam Abbaszadeh, and Hasan Jalili. 2026. "Preclinical Assessment of a New Virus-like Particle-Based Quadrivalent Human Papillomavirus Vaccine in Animal Models" Vaccines 14, no. 1: 66. https://doi.org/10.3390/vaccines14010066
APA StyleMohammadi Barzelighi, H., Naderi Saffar, Z., Pakatchian, E., Taqavian, M., Javadimehr, B., Safaeian, M., Abbaszadeh, P., & Jalili, H. (2026). Preclinical Assessment of a New Virus-like Particle-Based Quadrivalent Human Papillomavirus Vaccine in Animal Models. Vaccines, 14(1), 66. https://doi.org/10.3390/vaccines14010066
