Decade-Long Sustained Cellular Immunity Induced by Sequential and Repeated Vaccination with Four Heterologous HIV Vaccines in Rhesus Macaques
Abstract
1. Introduction
2. Materials and Methods
2.1. Development and Composition of the Four HIV Vaccines
2.2. In Vitro Assessment of Gag Immunogen in Four Different Vaccines
2.3. Rhesus Macaque Groups and Sequential Immunization Schedule
2.4. Assessment of Gag-Specific Cellular Immune Responses in Immunized Rhesus Macaques Using ELISPOT Assay
2.5. Evaluation of Gag-Specific Cellular Immune Responses in Immunized Rhesus Macaques Using Intracellular Cytokine Staining (ICS)
2.6. Quantification of HIV-1 p24, Adenovirus Vector-Binding, and Adenovirus Vector-Neutralizing Antibodies
2.7. Statistical Analysis
3. Results
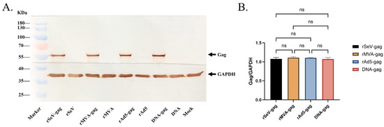
3.1. HIV-1 Gag Protein Expression in Response to DNA, rAd5, rSeV, and rMVA Vaccines
3.2. Assessment of HIV-1 Gag-Specific Cellular Immune Responses Following Sequential Vaccination
3.3. Breadth of HIV-1 Gag-Specific Cellular Immune Responses Following Sequential Vaccination
3.4. Comprehensive ICS Profiling of Gag-Specific T Cell Response
3.5. Evaluation of Antibody Responses to HIV-1 p24 and Adenovirus in Vaccinated Macaques
4. Discussion
5. Conclusions
Supplementary Materials
Author Contributions
Funding
Institutional Review Board Statement
Informed Consent Statement
Data Availability Statement
Acknowledgments
Conflicts of Interest
References
- Nkolola, J.P.; Barouch, D.H. Prophylactic HIV-1 vaccine trials: Past, present, and future. Lancet HIV 2024, 11, e117–e124. [Google Scholar] [CrossRef] [PubMed]
- Venkatesan, P. HIV vaccine trial failure. Lancet Infect. Dis. 2023, 23, 410. [Google Scholar] [CrossRef] [PubMed]
- Borgo, G.M.; Rutishauser, R.L. Generating and measuring effective vaccine-elicited HIV-specific CD8+ T cell responses. Curr. Opin. HIV AIDS 2023, 18, 331–341. [Google Scholar] [CrossRef] [PubMed]
- Pitisuttithum, P.; Gilbert, P.; Gurwith, M.; Heyward, W.; Martin, M.; van Griensven, F.; Hu, D.; Tappero, J.W.; Choopanya, K. Randomized, double-blind, placebo-controlled efficacy trial of a bivalent recombinant glycoprotein 120 HIV-1 vaccine among injection drug users in Bangkok, Thailand. J. Infect. Dis. 2006, 194, 1661–1671. [Google Scholar] [CrossRef]
- Flynn, N.M.; Forthal, D.N.; Harro, C.D.; Judson, F.N.; Mayer, K.H.; Para, M.F. Placebo-controlled phase 3 trial of a re-combinant glycoprotein 120 vaccine to prevent HIV-1 infection. J. Infect. Dis. 2005, 191, 654–665. [Google Scholar] [CrossRef]
- Gilbert, P.B.; Peterson, M.L.; Follmann, D.; Hudgens, M.G.; Francis, D.P.; Gurwith, M.; Heyward, W.L.; Jobes, D.V.; Po-povic, V.; Self, S.G.; et al. Correlation between immunologic responses to a recombinant glycoprotein 120 vaccine and incidence of HIV-1 infection in a phase 3 HIV-1 preventive vaccine trial. J. Infect. Dis. 2005, 191, 666–677. [Google Scholar] [CrossRef]
- Buchbinder, S.P.; Mehrotra, D.V.; Duerr, A.; Fitzgerald, D.W.; Mogg, R.; Li, D.; Gilbert, P.B.; Lama, J.R.; Marmor, M.; Del, R.C.; et al. Efficacy assessment of a cell-mediated immunity HIV-1 vaccine (the Step Study): A double-blind, randomised, placebo-controlled, test-of-concept trial. Lancet 2008, 372, 1881–1893. [Google Scholar] [CrossRef]
- Duerr, A.; Huang, Y.; Buchbinder, S.; Coombs, R.W.; Sanchez, J.; Del, R.C.; Casapia, M.; Santiago, S.; Gilbert, P.; Corey, L.; et al. Extended follow-up confirms early vaccine-enhanced risk of HIV acquisition and demonstrates waning effect over time among participants in a randomized trial of recombinant adenovirus HIV vaccine (Step Study). J. Infect. Dis. 2012, 206, 258–266. [Google Scholar] [CrossRef]
- Gray, G.E.; Allen, M.; Moodie, Z.; Churchyard, G.; Bekker, L.G.; Nchabeleng, M.; Mlisana, K.; Metch, B.; de Bruyn, G.; Latka, M.H.; et al. Safety and efficacy of the HVTN 503/Phambili study of a clade-B-based HIV-1 vaccine in South Africa: A double-blind, randomised, placebo-controlled test-of-concept phase 2b study. Lancet Infect. Dis. 2011, 11, 507–515. [Google Scholar] [CrossRef]
- Hammer, S.M.; Sobieszczyk, M.E.; Janes, H.; Karuna, S.T.; Mulligan, M.J.; Grove, D.; Koblin, B.A.; Buchbinder, S.P.; Keefer, M.C.; Tomaras, G.D.; et al. Efficacy trial of a DNA/rAd5 HIV-1 preventive vaccine. N. Engl. J. Med. 2013, 369, 2083–2092. [Google Scholar] [CrossRef]
- Laher, F.; Moodie, Z.; Cohen, K.W.; Grunenberg, N.; Bekker, L.G.; Allen, M.; Frahm, N.; Yates, N.L.; Morris, L.; Malahleha, M.; et al. Safety and immune responses after a 12-month booster in healthy HIV-uninfected adults in HVTN 100 in South Africa: A randomized double-blind placebo-controlled trial of ALVAC-HIV (vCP2438) and bivalent subtype C gp120/MF59 vaccines. PLoS Med. 2020, 17, e1003038. [Google Scholar] [CrossRef] [PubMed]
- Gray, G.E.; Bekker, L.G.; Laher, F.; Malahleha, M.; Allen, M.; Moodie, Z.; Grunenberg, N.; Huang, Y.; Grove, D.; Prigmore, B.; et al. Vaccine Efficacy of ALVAC-HIV and Bivalent Subtype C gp120-MF59 in Adults. N. Engl. J. Med. 2021, 384, 1089–1100. [Google Scholar] [CrossRef] [PubMed]
- Gray, G.E.; Mngadi, K.; Lavreys, L.; Nijs, S.; Gilbert, P.B.; Hural, J.; Hyrien, O.; Juraska, M.; Luedtke, A.; Mann, P.; et al. Mosaic HIV-1 vaccine regimen in southern African women (Imbokodo/HVTN 705/HPX2008): A randomised, dou-ble-blind, placebo-controlled, phase 2b trial. Lancet Infect. Dis. 2024, 24, 1201–1212. [Google Scholar] [CrossRef] [PubMed]
- Kenny, A.; van Duijn, J.; Dintwe, O.; Heptinstall, J.; Burnham, R.; Sawant, S.; Zhang, L.; Mielke, D.; Khuzwayo, S.; Omar, F.L.; et al. Immune correlates analysis of the Imbokodo (HVTN 705/HPX2008) efficacy trial of a mosaic HIV-1 vaccine regimen evaluated in Southern African people assigned female sex at birth: A two-phase case-control study. Ebiomedicine 2024, 108, 105320. [Google Scholar] [CrossRef]
- Haynes, B.F.; Wiehe, K.; Borrow, P.; Saunders, K.O.; Korber, B.; Wagh, K.; McMichael, A.J.; Kelsoe, G.; Hahn, B.H.; Alt, F.; et al. Strategies for HIV-1 vaccines that induce broadly neutralizing antibodies. Nat. Rev. Immunol. 2023, 23, 142–158. [Google Scholar] [CrossRef]
- Joachim, A.; Ahmed, M.; Pollakis, G.; Rogers, L.; Hoffmann, V.S.; Munseri, P.; Aboud, S.; Lyamuya, E.F.; Bakari, M.; Robb, M.L.; et al. Induction of Identical IgG HIV-1 Envelope Epitope Recognition Patterns After Initial HIVIS-DNA/MVA-CMDR Immunization and a Late MVA-CMDR Boost. Front. Immunol. 2020, 11, 719. [Google Scholar] [CrossRef]
- Landovitz, R.J.; Scott, H.; Deeks, S.G. Prevention, treatment and cure of HIV infection. Nat. Rev. Microbiol. 2023, 21, 657–670. [Google Scholar] [CrossRef]
- Baden, L.R.; Stieh, D.J.; Sarnecki, M.; Walsh, S.R.; Tomaras, G.D.; Kublin, J.G.; McElrath, M.J.; Alter, G.; Ferrari, G.; Montefiori, D.; et al. Safety and immunogenicity of two heterologous HIV vaccine regimens in healthy, HIV-uninfected adults (TRAVERSE): A randomised, parallel-group, placebo-controlled, double-blind, phase 1/2a study. Lancet HIV 2020, 7, e688–e698. [Google Scholar] [CrossRef]
- Lu, S. Heterologous prime-boost vaccination. Curr. Opin. Immunol. 2009, 21, 346–351. [Google Scholar] [CrossRef]
- Ellis, A.A.; Geary, S.M.; Salem, A.K. Heterologous prime-boost vaccine using antigen-loaded microparticles and adeno-virus (encoding antigen) enhances cellular immune responses and antitumor activity. Int. J. Pharm. 2023, 638, 122932. [Google Scholar] [CrossRef]
- Xiao, M.; Xie, L.; Cao, G.; Lei, S.; Wang, P.; Wei, Z.; Luo, Y.; Fang, J.; Yang, X.; Huang, Q.; et al. CD4(+) T-cell epitope-based heterologous prime-boost vaccination potentiates anti-tumor immunity and PD-1/PD-L1 immunotherapy. J. Immunother. Cancer 2022, 10, e004022. [Google Scholar] [CrossRef] [PubMed]
- He, Q.; Mao, Q.; An, C.; Zhang, J.; Gao, F.; Bian, L.; Li, C.; Liang, Z.; Xu, M.; Wang, J. Heterologous prime-boost: Breaking the protective immune response bottleneck of COVID-19 vaccine candidates. Emerg. Microbes Infect. 2021, 10, 629–637. [Google Scholar] [CrossRef] [PubMed]
- Wang, Z.; Zhao, Z.; Cui, T.; Huang, M.; Liu, S.; Su, X.; Li, G.; Song, T.; Li, W.; Zhong, N.; et al. Heterologous boosting with third dose of coronavirus disease recombinant subunit vaccine increases neutralizing antibodies and T cell immunity against different severe acute respiratory syndrome coronavirus 2 variants. Emerg. Microbes Infect. 2022, 11, 829–840. [Google Scholar] [CrossRef]
- Yu, S.; Feng, X.; Shu, T.; Matano, T.; Hasegawa, M.; Wang, X.; Ma, H.; Li, H.; Li, Z.; Zeng, Y. Potent specific immune responses induced by prime-boost-boost strategies based on DNA, adenovirus, and Sendai virus vectors expressing gag gene of Chinese HIV-1 subtype B. Vaccine 2008, 26, 6124–6131. [Google Scholar] [CrossRef]
- Poh, X.Y.; Tan, C.W.; Lee, I.R.; Chavatte, J.M.; Fong, S.W.; Prince, T.; Hartley, C.; Yeoh, A.; Rao, S.; Chia, P.Y.; et al. Antibody Response of Heterologous vs Homologous Messenger RNA Vaccine Boosters Against the Severe Acute Res-piratory Syndrome Coronavirus 2 Omicron Variant: Interim Results from the PRIBIVAC Study, a Randomized Clinical Trial. Clin. Infect. Dis. 2022, 75, 2088–2096. [Google Scholar] [CrossRef]
- Jin, P.; Guo, X.; Chen, W.; Ma, S.; Pan, H.; Dai, L.; Du, P.; Wang, L.; Jin, L.; Chen, Y.; et al. Safety and immunogenicity of heterologous boost immunization with an adenovirus type-5-vectored and protein-subunit-based COVID-19 vaccine (Convidecia/ZF2001): A randomized, observer-blinded, placebo-controlled trial. PLoS Med. 2022, 19, e1003953. [Google Scholar] [CrossRef]
- Shaw, R.H.; Greenland, M.; Stuart, A.; Aley, P.K.; Andrews, N.J.; Cameron, J.C.; Charlton, S.; Clutterbuck, E.A.; Collins, A.M.; Darton, T.; et al. Persistence of immune response in heterologous COVID vaccination schedules in the Com-COV2 study—A single-blind, randomised trial incorporating mRNA, viral-vector and protein-adjuvant vaccines. J. Infect. 2023, 86, 574–583. [Google Scholar] [CrossRef]
- Borthwick, N.; Ahmed, T.; Ondondo, B.; Hayes, P.; Rose, A.; Ebrahimsa, U.; Hayton, E.J.; Black, A.; Bridgeman, A.; Ro-sario, M.; et al. Vaccine-elicited human T cells recognizing conserved protein regions inhibit HIV-1. Mol. Ther. 2014, 22, 464–475. [Google Scholar] [CrossRef]
- Arunachalam, P.S.; Charles, T.P.; Joag, V.; Bollimpelli, V.S.; Scott, M.; Wimmers, F.; Burton, S.L.; Labranche, C.C.; Petitdemange, C.; Gangadhara, S.; et al. T cell-inducing vaccine durably prevents mucosal SHIV infection even with lower neutralizing antibody titers. Nat. Med. 2020, 26, 932–940. [Google Scholar] [CrossRef]
- Liu, X.; Munro, A.; Wright, A.; Feng, S.; Janani, L.; Aley, P.K.; Babbage, G.; Baker, J.; Baxter, D.; Bawa, T.; et al. Persis-tence of immune responses after heterologous and homologous third COVID-19 vaccine dose schedules in the UK: Eight-month analyses of the COV-BOOST trial. J. Infect. 2023, 87, 18–26. [Google Scholar] [CrossRef]
- Novitsky, V.; Cao, H.; Rybak, N.; Gilbert, P.; McLane, M.F.; Gaolekwe, S.; Peter, T.; Thior, I.; Ndung’U, T.; Marlink, R.; et al. Magnitude and frequency of cytotoxic T-lymphocyte responses: Identification of immunodominant regions of human immunodeficiency virus type 1 subtype C. J. Virol. 2002, 76, 10155–10168. [Google Scholar] [CrossRef] [PubMed]
- Geldmacher, C.; Currier, J.R.; Herrmann, E.; Haule, A.; Kuta, E.; McCutchan, F.; Njovu, L.; Geis, S.; Hoffmann, O.; Maboko, L.; et al. CD8 T-cell recognition of multiple epitopes within specific Gag regions is associated with maintenance of a low steady-state viremia in human immunodeficiency virus type 1-seropositive patients. J. Virol. 2007, 81, 2440–2448. [Google Scholar] [CrossRef] [PubMed]
- Pollard, R.B.; Rockstroh, J.K.; Pantaleo, G.; Asmuth, D.M.; Peters, B.; Lazzarin, A.; Garcia, F.; Ellefsen, K.; Podzamczer, D.; van Lunzen, J.; et al. Safety and efficacy of the peptide-based therapeutic vaccine for HIV-1, Vacc-4x: A phase 2 random-ised, double-blind, placebo-controlled trial. Lancet Infect. Dis. 2014, 14, 291–300. [Google Scholar] [CrossRef] [PubMed]
- Stephenson, K.E.; Li, H.; Walker, B.D.; Michael, N.L.; Barouch, D.H. Gag-specific cellular immunity determines in vitro viral inhibition and in vivo virologic control following simian immunodeficiency virus challenges of vaccinated rhesus monkeys. J. Virol. 2012, 86, 9583–9589. [Google Scholar] [CrossRef]
- Excler, J.L.; Kim, J.H. Novel prime-boost vaccine strategies against HIV-1. Expert Rev. Vaccines 2019, 18, 765–779. [Google Scholar] [CrossRef]
- Musich, T.; Thovarai, V.; Venzon, D.J.; Mohanram, V.; Tuero, I.; Miller-Novak, L.K.; Helmold, H.S.; Rahman, M.A.; Hunegnaw, R.; Huiting, E.; et al. A Prime/Boost Vaccine Regimen Alters the Rectal Microbiome and Impacts Immune Re-sponses and Viremia Control Post-Simian Immunodeficiency Virus Infection in Male and Female Rhesus Macaques. J. Virol. 2020, 94, 10–1128. [Google Scholar] [CrossRef]
- Sun, C.; Zhang, Y.; Feng, L.; Pan, W.; Zhang, M.; Hong, Z.; Ma, X.; Chen, X.; Chen, L. Epidemiology of adenovirus type 5 neutralizing antibodies in healthy people and AIDS patients in Guangzhou, southern China. Vaccine 2011, 29, 3837–3841. [Google Scholar] [CrossRef]
- Ondondo, B.O. The influence of delivery vectors on HIV vaccine efficacy. Front. Microbiol. 2014, 5, 439. [Google Scholar] [CrossRef]
- Seo, Y.B.; Ko, A.; Shin, D.; Kim, J.; Suh, Y.S.; Na, J.; Ryu, J.I.; Lee, S.; Oh, M.J.; Sung, Y.C. Potentiating the Cross-Reactive IFN-gamma T Cell and Polyfunctional T Cell Responses by Heterologous GX-19N DNA Booster in Mice Primed with Either a COVID-19 mRNA Vaccine or Inactivated Vaccine. Int. J. Mol. Sci. 2023, 24, 9753. [Google Scholar] [CrossRef]
- Zuo, F.; Abolhassani, H.; Du, L.; Piralla, A.; Bertoglio, F.; de Campos-Mata, L.; Wan, H.; Schubert, M.; Cassaniti, I.; Wang, Y.; et al. Heterologous immunization with inactivated vaccine followed by mRNA-booster elicits strong immunity against SARS-CoV-2 Omicron variant. Nat. Commun. 2022, 13, 2670. [Google Scholar] [CrossRef]







Disclaimer/Publisher’s Note: The statements, opinions and data contained in all publications are solely those of the individual author(s) and contributor(s) and not of MDPI and/or the editor(s). MDPI and/or the editor(s) disclaim responsibility for any injury to people or property resulting from any ideas, methods, instructions or products referred to in the content. |
© 2025 by the authors. Licensee MDPI, Basel, Switzerland. This article is an open access article distributed under the terms and conditions of the Creative Commons Attribution (CC BY) license (https://creativecommons.org/licenses/by/4.0/).
Share and Cite
He, X.; Chen, D.; Ma, Q.; Hao, Y.; Li, H.; Zhang, X.; Cao, Y.; Feng, X. Decade-Long Sustained Cellular Immunity Induced by Sequential and Repeated Vaccination with Four Heterologous HIV Vaccines in Rhesus Macaques. Vaccines 2025, 13, 338. https://doi.org/10.3390/vaccines13040338
He X, Chen D, Ma Q, Hao Y, Li H, Zhang X, Cao Y, Feng X. Decade-Long Sustained Cellular Immunity Induced by Sequential and Repeated Vaccination with Four Heterologous HIV Vaccines in Rhesus Macaques. Vaccines. 2025; 13(4):338. https://doi.org/10.3390/vaccines13040338
Chicago/Turabian StyleHe, Xiaozhou, Danying Chen, Qi Ma, Yanzhe Hao, Hongxia Li, Xiaoguang Zhang, Yuxi Cao, and Xia Feng. 2025. "Decade-Long Sustained Cellular Immunity Induced by Sequential and Repeated Vaccination with Four Heterologous HIV Vaccines in Rhesus Macaques" Vaccines 13, no. 4: 338. https://doi.org/10.3390/vaccines13040338
APA StyleHe, X., Chen, D., Ma, Q., Hao, Y., Li, H., Zhang, X., Cao, Y., & Feng, X. (2025). Decade-Long Sustained Cellular Immunity Induced by Sequential and Repeated Vaccination with Four Heterologous HIV Vaccines in Rhesus Macaques. Vaccines, 13(4), 338. https://doi.org/10.3390/vaccines13040338

