Kaposi Sarcoma as a Possible Cutaneous Adverse Effect of ChAdOx1 nCov-19 Vaccine: A Case Report
Abstract
1. Introduction
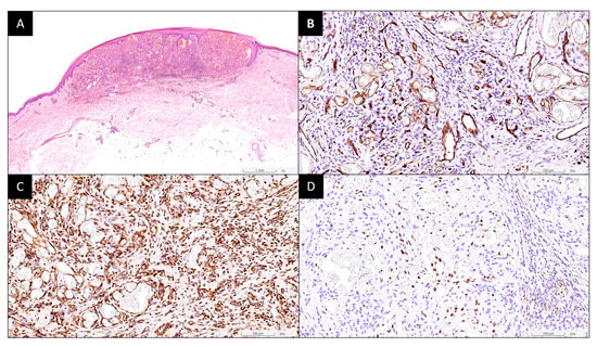
2. Case Report
3. Discussion
4. Conclusions
Author Contributions
Funding
Institutional Review Board Statement
Informed Consent Statement
Data Availability Statement
Conflicts of Interest
References
- Ramasamy, M.N.; Minassian, A.M.; Ewer, K.J.; Flaxman, A.L.; Folegatti, P.M.; Owens, D.R.; Voysey, M.; Aley, P.K.; Angus, B.; Babbage, G. Safety and immunogenicity of ChAdOx1 nCoV-19 vaccine administered in a prime-boost regimen in young and old adults (COV002): A single-blind, randomised, controlled, phase 2/3 trial. Lancet 2020, 396, 1979–1993. [Google Scholar] [CrossRef] [PubMed]
- Voysey, M.; Clemens, S.A.C.; Madhi, S.A.; Weckx, L.Y.; Folegatti, P.M.; Aley, P.K.; Angus, B.; Baillie, V.L.; Barnabas, S.L.; Bhorat, Q.E. Safety and efficacy of the ChAdOx1 nCoV-19 vaccine (AZD1222) against SARS-CoV-2: An interim analysis of four randomised controlled trials in Brazil, South Africa, and the UK. Lancet 2021, 397, 99–111. [Google Scholar] [CrossRef] [PubMed]
- World Health Organization 2023 data.who.int, WHO Coronavirus (COVID-19) Dashboard > Vaccines [Dashboard]. Available online: https://data.who.int/dashboards/covid19/vaccines (accessed on 6 August 2024).
- Rahmani, K.; Shavaleh, R.; Forouhi, M.; Disfani, H.F.; Kamandi, M.; Oskooi, R.K.; Foogerdi, M.; Soltani, M.; Rahchamani, M.; Mohaddespour, M. The effectiveness of COVID-19 vaccines in reducing the incidence, hospitalization, and mortality from COVID-19: A systematic review and meta-analysis. Front. Public Health 2022, 10, 873596. [Google Scholar] [CrossRef] [PubMed]
- Mengstu, S.; Beyene Berha, A. Safety and efficacy of COVID-19 vaccine in Africa: Systematic review. Infect. Drug Resist. 2023, 16, 3085–3100. [Google Scholar] [CrossRef] [PubMed]
- All UK—Spontaneous Reports Received between 04/01/21 and 16/06/21 for COVID-19 Vaccine Oxford University/AstraZeneca. COVID-19 Vaccine AstraZeneca Analysis; Government of United Kingdom: London, UK, 2021. Available online: https://assets.publishing.service.gov.uk/media/61e80216d3bf7f054db93895/FOI_21-1036-2.pdf (accessed on 6 August 2024).
- Bray, F.; Laversanne, M.; Sung, H.; Ferlay, J.; Siegel, R.L.; Soerjomataram, I.; Jemal, A. Global cancer statistics 2022: GLOBOCAN estimates of incidence and mortality worldwide for 36 cancers in 185 countries. CA Cancer J. Clin. 2024, 74, 229–263. [Google Scholar] [CrossRef]
- Bray, F.; Ferlay, J.; Soerjomataram, I.; Siegel, R.L.; Torre, L.A.; Jemal, A. Global cancer statistics 2018: GLOBOCAN estimates of incidence and mortality worldwide for 36 cancers in 185 countries. CA A Cancer J. Clin. 2018, 68, 394–424. [Google Scholar] [CrossRef]
- Sung, H.; Ferlay, J.; Siegel, R.L.; Laversanne, M.; Soerjomataram, I.; Jemal, A.; Bray, F. Global cancer statistics 2020: GLOBOCAN estimates of incidence and mortality worldwide for 36 cancers in 185 countries. CA Cancer J. Clin. 2021, 71, 209–249. [Google Scholar] [CrossRef]
- Tschachler, E. Chapter 128. Kaposi Sarcoma and Angiosarcoma. In Fitzpatrick’s Dermatology in General Medicine, 8th ed.; Goldsmith, L.A., Katz, S.I., Gilchrest, B.A., Paller, A.S., Leffell, D.J., Wolff, K., Eds.; The McGraw-Hill Companies: New York, NY, USA, 2012. [Google Scholar]
- Iftode, N.; Rădulescu, M.A.; Aramă, Ș.S.; Aramă, V. Update on Kaposi sarcoma-associated herpesvirus (KSHV or HHV8)–review. Rom. J. Intern. Med. 2020, 58, 199–208. [Google Scholar] [CrossRef]
- Shafiee, A.; Amini, M.J.; Arabzadeh Bahri, R.; Jafarabady, K.; Salehi, S.A.; Hajishah, H.; Mozhgani, S.-H. Herpesviruses reactivation following COVID-19 vaccination: A systematic review and meta-analysis. Eur. J. Med. Res. 2023, 28, 278. [Google Scholar] [CrossRef]
- Shafiee, A.; Teymouri Athar, M.M.; Amini, M.J.; Hajishah, H.; Siahvoshi, S.; Jalali, M.; Jahanbakhshi, B.; Mozhgani, S.H. Reactivation of herpesviruses during COVID-19: A systematic review and meta-analysis. Rev. Med. Virol. 2023, 33, e2437. [Google Scholar] [CrossRef]
- Lambarey, H.; Blumenthal, M.J.; Chetram, A.; Joyimbana, W.; Jennings, L.; Orrell, C.; Schäfer, G. Reactivation of Kaposi’s sarcoma-associated herpesvirus (KSHV) by SARS-CoV-2 in non-hospitalised HIV-infected patients. EBioMedicine 2024, 100, 104986. [Google Scholar] [CrossRef] [PubMed]
- Martínez-Ortega, J.I.; Cibrian, A.G.R.; Martinez-Jaramillo, E.; Silva, M.d.C.G. Sporadic Kaposi Sarcoma Following a COVID-19 Vaccine: Mere Coincidence or Something More? Cureus 2024, 16, e53925. [Google Scholar] [CrossRef]
- White, E.; Fazio, N.; Tourmouzis, K.; Ryu, S.; Finger, P.T.; Sassoon, J.; Keresztes, R.; Chou, T.; Kaplowitz, K.; Honkanen, R. Unilateral conjunctival Classic Kaposi Sarcoma following a COVID 19 booster. Am. J. Ophthalmol. Case Rep. 2024, 34, 101986. [Google Scholar] [CrossRef] [PubMed]
- Pantanowitz, L.; Otis, C.N.; Dezube, B.J. Immunohistochemistry in Kaposi’s sarcoma. Clin. Exp. Dermatol. 2010, 35, 68–72. [Google Scholar] [CrossRef]
- Radu, O.; Pantanowitz, L. Kaposi sarcoma. Arch. Pathol. Lab. Med. 2013, 137, 289–294. [Google Scholar] [CrossRef]
- Le Balc’h, P.; Pinceaux, K.; Pronier, C.; Seguin, P.; Tadié, J.-M.; Reizine, F. Herpes simplex virus and cytomegalovirus reactivations among severe COVID-19 patients. Crit. Care 2020, 24, 530. [Google Scholar] [CrossRef] [PubMed]
- Paolucci, S.; Cassaniti, I.; Novazzi, F.; Fiorina, L.; Piralla, A.; Comolli, G.; Bruno, R.; Maserati, R.; Gulminetti, R.; Novati, S. EBV DNA increase in COVID-19 patients with impaired lymphocyte subpopulation count. Int. J. Infect. Dis. 2021, 104, 315–319. [Google Scholar] [CrossRef]
- Leoni, E.; Cerati, M.; Finzi, G.; Lombardo, M.; Sessa, F. COVID-19 and HHV8 first spotted together: An affair under electron microscopy. J. Eur. Acad. Dermatol. Venereol. 2021, 35, e311–e312. [Google Scholar] [CrossRef]
- Hitzenbichler, F.; Weber, M.; Salzberger, B. Infection image: Reoccurrence of Kaposis sarcoma after SARS-CoV-2 mRNA vaccination in an HIV-infected patient. Infection 2023, 52, 283–284. [Google Scholar] [CrossRef]
- Volkow, P.; Islas-Muñoz, B.; Carpio-Guadarrama, D.; Pérez-Padilla, R. Exacerbation of Kaposi sarcoma after MVA-BN (Jynneos) vaccination in a person with HIV/AIDS. AIDS 2024, 38, 129–130. [Google Scholar] [CrossRef]
- Cappelletti, M.; Taddeo, A.; Colombo, E.; Brambilla, L.; Bellinvia, M.; Pregliasco, F.; Villa, M.L.; Della Bella, S. Immunogenicity and safety of seasonal influenza vaccination in patients with classic Kaposi’s sarcoma. J. Investig. Dermatol. 2012, 132, 2414–2421. [Google Scholar] [CrossRef] [PubMed]
- Chen, J.; Dai, L.; Barrett, L.; James, J.; Plaisance-Bonstaff, K.; Post, S.R.; Qin, Z. SARS-CoV-2 proteins and anti-COVID-19 drugs induce lytic reactivation of an oncogenic virus. Commun. Biol. 2021, 4, 682. [Google Scholar] [CrossRef] [PubMed]
- Nestić, D.; Custers, J.; Švec, D.; Majhen, D. Human adenovirus type 26 infection mediated by αvβ3 integrin is caveolin-1-dependent. Microbiol. Spectr. 2022, 10, e0109722. [Google Scholar] [CrossRef] [PubMed]
- Polizzotto, M.N.; Uldrick, T.S.; Wang, V.; Aleman, K.; Wyvill, K.M.; Marshall, V.; Pittaluga, S.; O’Mahony, D.; Whitby, D.; Tosato, G. Human and viral interleukin-6 and other cytokines in Kaposi sarcoma herpesvirus-associated multicentric Castleman disease. Blood J. Am. Soc. Hematol. 2013, 122, 4189–4198. [Google Scholar] [CrossRef] [PubMed]
- Rivera-Soto, R.; Dissinger, N.J.; Damania, B. Kaposi’s sarcoma-associated herpesvirus viral interleukin-6 signaling upregulates integrin β3 levels and is dependent on STAT3. J. Virol. 2020, 94, e01384-19. [Google Scholar] [CrossRef]
- Gregory, S.M.; West, J.A.; Dillon, P.J.; Hilscher, C.; Dittmer, D.P.; Damania, B. Toll-like receptor signaling controls reactivation of KSHV from latency. Proc. Natl. Acad. Sci. USA 2009, 106, 11725–11730. [Google Scholar] [CrossRef]


Disclaimer/Publisher’s Note: The statements, opinions and data contained in all publications are solely those of the individual author(s) and contributor(s) and not of MDPI and/or the editor(s). MDPI and/or the editor(s) disclaim responsibility for any injury to people or property resulting from any ideas, methods, instructions or products referred to in the content. |
© 2024 by the authors. Licensee MDPI, Basel, Switzerland. This article is an open access article distributed under the terms and conditions of the Creative Commons Attribution (CC BY) license (https://creativecommons.org/licenses/by/4.0/).
Share and Cite
Li, Y.-H.; Lin, Y.-T.; Chuang, S.-H.; Yang, H.-J. Kaposi Sarcoma as a Possible Cutaneous Adverse Effect of ChAdOx1 nCov-19 Vaccine: A Case Report. Vaccines 2024, 12, 1168. https://doi.org/10.3390/vaccines12101168
Li Y-H, Lin Y-T, Chuang S-H, Yang H-J. Kaposi Sarcoma as a Possible Cutaneous Adverse Effect of ChAdOx1 nCov-19 Vaccine: A Case Report. Vaccines. 2024; 12(10):1168. https://doi.org/10.3390/vaccines12101168
Chicago/Turabian StyleLi, Yan-Han, Yu-Tzu Lin, Shu-Han Chuang, and Hui-Ju Yang. 2024. "Kaposi Sarcoma as a Possible Cutaneous Adverse Effect of ChAdOx1 nCov-19 Vaccine: A Case Report" Vaccines 12, no. 10: 1168. https://doi.org/10.3390/vaccines12101168
APA StyleLi, Y.-H., Lin, Y.-T., Chuang, S.-H., & Yang, H.-J. (2024). Kaposi Sarcoma as a Possible Cutaneous Adverse Effect of ChAdOx1 nCov-19 Vaccine: A Case Report. Vaccines, 12(10), 1168. https://doi.org/10.3390/vaccines12101168

