Comparison of the Immunogenicity and Efficacy of rBCG-EPCP009, BCG Prime-EPCP009 Booster, and EPCP009 Protein Regimens as Tuberculosis Vaccine Candidates
Abstract
:1. Introduction
2. Materials and Methods
2.1. Bacterial Strains and Culture Conditions
2.2. Recombinant rBCG-EPCP009 and the Fusion Protein EPCP009
2.3. Immunization Regimens and Sample Collection
2.4. Luminex Cytokine Test and Enzyme-Linked Immunospot Assay
2.5. ELISA
2.6. Flow Cytometry
2.7. In Vitro Mycobacterial Growth Inhibition Assay
2.8. Statistical Analysis
3. Results
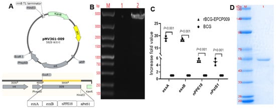
3.1. Verification of rBCG-EPCP009 and the Fusion Protein EPCP009
3.2. Long-Term Induction of High Levels of Multiple Protective Cytokines by BCG+EPCP009
3.3. Long-Term Induction of High Levels of IFN-γ in the Spleen of Mice Vaccinated with BCG+EPCP009
3.4. Induction of Th1-Specific Antibody Types by BCG+EPCP009
3.5. Consistently High Levels of IFN-γ+TEM and IL-2+TCM Cells in the Spleens of Mice Vaccinated with BCG+EPCP009
3.6. Better Growth Inhibition of H37Rv by the BCG Prime-EPCP009 Booster Than by rBCG-EPCP009 and EPCP009
4. Discussion
5. Conclusions
Supplementary Materials
Author Contributions
Funding
Institutional Review Board Statement
Data Availability Statement
Conflicts of Interest
References
- Bagcchi, S. WHO’s Global Tuberculosis Report 2022. Lancet Microbe 2023, 4, e20. [Google Scholar] [CrossRef] [PubMed]
- Lange, C.; Chesov, D.; Heyckendorf, J.; Leung, C.C.; Udwadia, Z.; Dheda, K. Drug-resistant tuberculosis: An update on disease burden, diagnosis and treatment. Respirology 2018, 23, 656–673. [Google Scholar] [CrossRef]
- Romano, M.; Squeglia, F.; Kramarska, E.; Barra, G.; Choi, H.G.; Kim, H.J.; Ruggirro, A.; Berisio, R. A Structural View at Vaccine Development against M. tuberculosis. Cells 2023, 12, 317. [Google Scholar] [CrossRef] [PubMed]
- Dalmia, N.; Ramsay, A.J. Prime-boost approaches to tuberculosis vaccine development. Expert Rev. Vaccines 2012, 11, 1221–1233. [Google Scholar] [CrossRef] [PubMed]
- Tagliabue, A.; Boraschi, D.; Leite, L.C.C.; Kaufmann, S.H.E. 100 Years of BCG Immunization: Past, Present, and Future. Vaccines 2022, 10, 1743. [Google Scholar] [CrossRef]
- Lange, C.; Aaby, P.; A Behr, M.; Donald, P.R.; E Kaufmann, S.H.; Netea, M.G.; Mandalakas, A.M. 100 years of Mycobacterium bovis bacille Calmette-Guerin. Lancet Infect. Dis. 2022, 22, e2–e12. [Google Scholar] [CrossRef]
- Rodrigues, L.C.; Pereira, S.M.; Cunha, S.S.; Genser, B.; Ichihara, M.Y.; de Brito, S.C.; Hijjar, M.A.; Cruz, A.A.; Sant, C.; Bierrenbach, A.L.; et al. Effect of BCG revaccination on incidence of tuberculosis in school-aged children in Brazil: The BCG-REVAC cluster-randomised trial. Lancet 2005, 366, 1290–1295. [Google Scholar] [CrossRef]
- Barreto, M.L.; Pereira, S.M.; Pilger, D.; Cruz, A.A.; Cunha, S.S.; Sant’anna, C.; Ichihara, M.Y.; Genser, B.; Rodrigues, L.C. Evidence of an effect of BCG revaccination on incidence of tuberculosis in school-aged children in Brazil: Second report of the BCG-REVAC cluster-randomised trial. Vaccine 2011, 29, 4875–4877. [Google Scholar] [CrossRef]
- Kalra, M.; Grover, A.; Mehta, N.; Singh, J.; Kaur, J.; Sable, S.B.; Behera, D.; Sharma, P.; Verma, I.; Khuller, G. Supplementation with RD antigens enhances the protective efficacy of BCG in tuberculous mice. Clin. Immunol. 2007, 125, 173–183. [Google Scholar] [CrossRef]
- Marques-Neto, L.M.; Piwowarska, Z.; Kanno, A.I.; Moraes, L.; Trentini, M.M.; Rodriguez, D.; Silva, J.L.S.C.; Leite, L.C.C. Thirty years of recombinant BCG: New trends for a centenary vaccine. Expert Rev. Vaccines 2021, 20, 1001–1011. [Google Scholar] [CrossRef]
- Cotton, M.F.; A Madhi, S.; Luabeya, A.K.; Tameris, M.; Hesseling, A.C.; Shenje, J.; Schoeman, E.; Hatherill, M.; Desai, S.; Kapse, D.; et al. Safety and immunogenicity of VPM1002 versus BCG in South African newborn babies: A randomised, phase 2 non-inferiority double-blind controlled trial. Lancet Infect. Dis. 2022, 22, 1472–1483. [Google Scholar] [CrossRef] [PubMed]
- Brandt, L.; Feino Cunha, J.; Weinreich Olsen, A.; Chilima, B.; Hirsch, P.; Appelberg, R.; Andersen, P. Failure of the Mycobacterium bovis BCG vaccine: Some species of environmental mycobacteria block multiplication of BCG and induction of protective immunity to tuberculosis. Infect. Immun. 2002, 70, 672–678. [Google Scholar] [CrossRef] [PubMed]
- Poyntz, H.C.; Stylianou, E.; Griffiths, K.L.; Marsay, L.; Checkley, A.M.; McShane, H. Non-tuberculous mycobacteria have diverse effects on BCG efficacy against Mycobacterium tuberculosis. Tuberculosis 2014, 94, 226–237. [Google Scholar] [CrossRef]
- McClean, S. Prospects for subunit vaccines: Technology advances resulting in efficacious antigens requires matching advances in early clinical trial investment. Hum. Vaccin Immunother. 2016, 12, 3103–3106. [Google Scholar] [CrossRef]
- Wilkie, M.; Satti, I.; Minhinnick, A.; Harris, S.; Riste, M.; Ramon, R.L.; Sheehan, S.; Thomas, Z.-R.M.; Wright, D.; Stockdale, L.; et al. A phase I trial evaluating the safety and immunogenicity of a candidate tuberculosis vaccination regimen, ChAdOx1 85A prime—MVA85A boost in healthy UK adults. Vaccine 2020, 38, 779–789. [Google Scholar] [CrossRef]
- Bekker, L.-G.; Dintwe, O.; Fiore-Gartland, A.; Middelkoop, K.; Hutter, J.; Williams, A.; Randhawa, A.K.; Ruhwald, M.; Kromann, I.; Andersen, P.L.; et al. A phase 1b randomized study of the safety and immunological responses to vaccination with H4:IC31, H56:IC31, and BCG revaccination in Mycobacterium tuberculosis-uninfected adolescents in Cape Town, South Africa. EClinicalMedicine 2020, 21, 100313. [Google Scholar] [CrossRef]
- Tameris, M.D.; Hatherill, M.; Landry, B.S.; Scriba, T.J.; Snowden, M.A.; Lockhart, S.; Shea, J.E.; McClain, J.B.; Hussey, G.D.; McShane, H.; et al. Safety and efficacy of MVA85A, a new tuberculosis vaccine, in infants previously vaccinated with BCG: A randomised, placebo-controlled phase 2b trial. Lancet 2013, 381, 1021–1028. [Google Scholar] [CrossRef] [PubMed]
- Woodworth, J.S.; Clemmensen, H.S.; Battey, H.; Dijkman, K.; Lindenstrøm, T.; Laureano, R.S.; Taplitz, R.; Morgan, J.; Aagaard, C.; Rosenkrands, I.; et al. A Mycobacterium tuberculosis-specific subunit vaccine that provides synergistic immunity upon co-administration with Bacillus Calmette-Guerin. Nat. Commun. 2021, 12, 6658. [Google Scholar] [CrossRef]
- Tomee, J.; Kauffman, H.F.; Klimp, A.H.; Demonchy, J.; Köeter, G.H.; Dubois, A.E. Immunologic significance of a collagen-derived culture filtrate containing proteolytic activity in Aspergillus-related diseases. J. Allergy Clin. Immunol. 1994, 93, 768–778. [Google Scholar] [CrossRef]
- Valizadeh, A.; Fooladi, A.A.I.; Sedighian, H.; Mahboobi, M.; Parizad, E.G.; Behzadi, E.; Khosravi, A. Evaluating the Performance of PPE44, HSPX, ESAT-6 and CFP-10 Factors in Tuberculosis Subunit Vaccines. Curr. Microbiol. 2022, 79, 260. [Google Scholar] [CrossRef]
- Hakim, J.M.C.; Yang, Z. Predicted Structural Variability of Mycobacterium tuberculosis PPE18 Protein with Immunological Implications Among Clinical Strains. Front. Microbiol. 2020, 11, 595312. [Google Scholar] [CrossRef] [PubMed]
- Palma, C.; Spallek, R.; Piccaro, G.; Pardini, M.; Jonas, F.; Oehlmann, W.; Singh, M.; Cassone, A. The M. tuberculosis phosphate-binding lipoproteins PstS1 and PstS3 induce Th1 and Th17 responses that are not associated with protection against M. tuberculosis infection. Clin. Dev. Immunol. 2011, 2011, 690328. [Google Scholar] [CrossRef]
- Fan, X.; Li, X.; Wan, K.; Zhao, X.; Deng, Y.; Chen, Z.; Luan, X.; Lu, S.; Liu, H. Construction and immunogenicity of a T cell epitope-based subunit vaccine candidate against Mycobacterium tuberculosis. Vaccine 2021, 39, 6860–6865. [Google Scholar] [CrossRef] [PubMed]
- Crasto, C.J.; Feng, J.-A. LINKER: A program to generate linker sequences for fusion proteins. Protein Eng. 2000, 13, 309–312. [Google Scholar] [CrossRef] [PubMed]
- Wang, R.; Fan, X.; Jiang, Y.; Li, G.; Li, M.; Zhao, X.; Luan, X.; Deng, Y.; Chen, Z.; Liu, H.; et al. Immunogenicity and efficacy analyses of EPC002, ECA006, and EPCP009 protein subunit combinations as tuberculosis vaccine candidates. Vaccine 2023, 41, 3836–3846. [Google Scholar] [CrossRef]
- Jensen, C.; Holm, L.L.; Svensson, E.; Aagaard, C.; Ruhwald, M. Optimisation of a murine splenocyte mycobacterial growth inhibition assay using virulent Mycobacterium tuberculosis. Sci. Rep. 2017, 7, 2830. [Google Scholar] [CrossRef]
- Scriba, T.J.; Netea, M.G.; Ginsberg, A.M. Key recent advances in TB vaccine development and understanding of protective immune responses against Mycobacterium tuberculosis. Semin. Immunol. 2020, 50, 101431. [Google Scholar] [CrossRef]
- Hoft, D.F.; Blazevic, A.; Abate, G.; Hanekom, W.A.; Kaplan, G.; Soler, J.H.; Weichold, F.; Geiter, L.; Sadoff, J.C.; Horwitz, M.A. A new recombinant bacille Calmette-Guerin vaccine safely induces significantly enhanced tuberculosis-specific immunity in human volunteers. J. Infect. Dis. 2008, 198, 1491–1501. [Google Scholar] [CrossRef]
- Yuan, X.; Teng, X.; Jing, Y.; Ma, J.; Tian, M.; Yu, Q.; Zhou, L.; Wang, R.; Wang, W.; Li, L.; et al. A live attenuated BCG vaccine overexpressing multistage antigens Ag85B and HspX provides superior protection against Mycobacterium tuberculosis infection. Appl. Microbiol. Biotechnol. 2015, 99, 10587–10595. [Google Scholar] [CrossRef]
- Tan, K.; Liang, J.; Teng, X.; Wang, X.; Zhang, J.; Yuan, X.; Fan, X. Comparison of BCG prime-DNA booster and rBCG regimens for protection against tuberculosis. Hum. Vaccin. Immunother. 2014, 10, 391–398. [Google Scholar] [CrossRef]
- Li, Q.; Ren, W.; Yuan, J.; Guo, H.; Shang, Y.; Wang, W.; Pan, J.; Gao, M.; Pang, Y. Significant difference in Th1/Th2 paradigm induced by tuberculosis-specific antigens between IGRA-positive and IGRA-negative patients. Front. Immunol. 2022, 13, 904308. [Google Scholar] [CrossRef] [PubMed]
- McNab, F.W.; Ewbank, J.; Howes, A.; Moreira-Teixeira, L.; Martirosyan, A.; Ghilardi, N.; Saraiva, M.; O’Garra, A. Type I IFN induces IL-10 production in an IL-27-independent manner and blocks responsiveness to IFN-gamma for production of IL-12 and bacterial killing in Mycobacterium tuberculosis-infected macrophages. J. Immunol. 2014, 193, 3600–3612. [Google Scholar] [CrossRef] [PubMed]
- Liu, Q.; Li, W.; Chen, Y. Association of IL-4 rs2243250 polymorphism with susceptibility to tuberculosis: A meta-analysis involving 6794 subjects. Microb. Pathog. 2021, 158, 104959. [Google Scholar] [CrossRef] [PubMed]
- Choi, H.G.; Kwon, K.W.; Choi, S.; Back, Y.W.; Park, H.S.; Kang, S.M.; Choi, E.; Shin, S.J.; Kim, H.-J.; Kim, H.-J. Antigen-Specific IFN-gamma/IL-17-Co-Producing CD4(+) T-Cells Are the Determinants for Protective Efficacy of Tuberculosis Subunit Vaccine. Vaccines 2020, 8, 300. [Google Scholar] [CrossRef] [PubMed]
- Appelberg, R.; Castro, A.G.; Pedrosa, J.; Minóprio, P. Role of interleukin-6 in the induction of protective T cells during mycobacterial infections in mice. Immunology 1994, 82, 361–364. [Google Scholar] [PubMed]
- Lyadova, I.V.; Panteleev, A.V. Th1 and Th17 Cells in Tuberculosis: Protection, Pathology, and Biomarkers. Mediat. Inflamm. 2015, 2015, 854507. [Google Scholar] [CrossRef]
- Tang, X.; Hu, F.; Xia, X.; Zhang, H.; Zhou, F.; Huang, Y.; Wu, Y. Mannose-capped lipoarabinomannan (ManLAM) binding TLR2 activates mast cells to release exosomes and induces M2 polarization of macrophages. Xi Bao Yu Fen Zi Mian Yi Xue Za Zhi 2021, 37, 481–486. [Google Scholar]
- Henao-Tamayo, M.I.; Ordway, D.J.; Irwin, S.M.; Shang, S.; Shanley, C.; Orme, I.M. Phenotypic definition of effector and memory T-lymphocyte subsets in mice chronically infected with Mycobacterium tuberculosis. Clin. Vaccine Immunol. 2010, 17, 618–625. [Google Scholar] [CrossRef]
- Seder, R.A.; Darrah, P.A.; Roederer, M. T-cell quality in memory and protection: Implications for vaccine design. Nat. Rev. Immunol. 2008, 8, 247–258. [Google Scholar] [CrossRef]
- Ma, J.; Tian, M.; Fan, X.; Yu, Q.; Jing, Y.; Wang, W.; Li, L.; Zhou, Z. Mycobacterium tuberculosis multistage antigens confer comprehensive protection against pre- and post-exposure infections by driving Th1-type T cell immunity. Oncotarget 2016, 7, 63804–63815. [Google Scholar] [CrossRef]
- Kwon, K.W.; Aceves-Sánchez, M.D.J.; Segura-Cerda, C.A.; Choi, E.; Bielefeldt-Ohmann, H.; Shin, S.J.; Flores-Valdez, M.A. BCGDeltaBCG1419c increased memory CD8(+) T cell-associated immunogenicity and mitigated pulmonary inflammation compared with BCG in a model of chronic tuberculosis. Sci. Rep. 2022, 12, 15824. [Google Scholar] [CrossRef] [PubMed]
- Schwendemann, J.; Choi, C.; Schirrmacher, V.; Beckhove, P. Dynamic differentiation of activated human peripheral blood CD8+ and CD4+ effector memory T cells. J. Immunol. 2005, 175, 1433–1439. [Google Scholar] [CrossRef] [PubMed]
- Mueller, S.N.; Gebhardt, T.; Carbone, F.R.; Heath, W.R. Memory T cell subsets, migration patterns, and tissue residence. Annu. Rev. Immunol. 2013, 31, 137–161. [Google Scholar] [CrossRef] [PubMed]
- PPepponi, I.; Khatri, B.; Tanner, R.; Villarreal-Ramos, B.; Vordermeier, M.; McShane, H. A mycobacterial growth inhibition assay (MGIA) for bovine TB vaccine development. Tuberculosis 2017, 106, 118–122. [Google Scholar] [CrossRef]
- Yang, A.L.; Schmidt, T.E.; Stibitz, S.; Derrick, S.C.; Morris, S.L.; Parra, M. A simplified mycobacterial growth inhibition assay (MGIA) using direct infection of mouse splenocytes and the MGIT system. J. Microbiol. Methods 2016, 131, 7–9. [Google Scholar] [CrossRef]
- Tala-Heikkilä, M.M.; Tuominen, J.E.; Tala, E.O.J. Bacillus Calmette-Guerin revaccination questionable with low tuberculosis incidence. Am. J. Respir. Crit. Care Med. 1998, 157, 1324–1327. [Google Scholar] [CrossRef]
- Rahman, M.; Sekimoto, M.; Hira, K.; Koyama, H.; Imanaka, Y.; Fukui, T. Is Bacillus Calmette-Guerin revaccination necessary for Japanese children? Prev. Med. 2002, 35, 70–77. [Google Scholar] [CrossRef]
- Düzenli, F.; Okay, S.; Kazkayasi, I.; ÖNER, A.F. Recombinant AhpC antigen from Mycobacterium bovis boosts BCG-primed immunity in mice. Turk. J. Biol. 2022, 46, 95–104. [Google Scholar]








| Primers | Primer Sequences (5′ to 3′) |
|---|---|
| Integration validation primer F | CGGCTTATCAACTAGATCGGCGCAG |
| Integration validation primer R | GACGTCAGGTGGCTAGCTGATCA |
| esxA RT-qPCR primer F | TGACAGAGCAGCAGTGGAATTTCG |
| esxA RT-qPCR primer R | CAAGGAGGGAATGAATGGACGTGAC |
| esxB RT-qPCR primer F | AGCCAATAAGCAGAAGCAGGAACTC |
| esxB RT-qPCR primer R | CTAGAAGCCCATTTGCGAGGACAG |
| nPPE18 RT-qPCR primer F | TGTCGATGACCAACACCTTGAGC |
| nPPE18 RT-qPCR primer R | CCAGAACCACCACCCGAAGAAC |
| nPstS1 RT-qPCR primer F | CGCCTATCTGTCGGAAGGTGATATG |
| nPstS1 RT-qPCR primer R | GTTGACCTGCTGAGCGGAGATG |
| 16s RT-qPCR primer F | CGCACAAGCGGCGGAGCA |
| 16s RT-qPCR primer R | GCCACAAGGGAACGCCTATCT |
Disclaimer/Publisher’s Note: The statements, opinions and data contained in all publications are solely those of the individual author(s) and contributor(s) and not of MDPI and/or the editor(s). MDPI and/or the editor(s) disclaim responsibility for any injury to people or property resulting from any ideas, methods, instructions or products referred to in the content. |
© 2023 by the authors. Licensee MDPI, Basel, Switzerland. This article is an open access article distributed under the terms and conditions of the Creative Commons Attribution (CC BY) license (https://creativecommons.org/licenses/by/4.0/).
Share and Cite
Wang, R.; Fan, X.; Xu, D.; Li, M.; Zhao, X.; Cao, B.; Qian, C.; Yu, J.; Fang, D.; Gu, Y.; et al. Comparison of the Immunogenicity and Efficacy of rBCG-EPCP009, BCG Prime-EPCP009 Booster, and EPCP009 Protein Regimens as Tuberculosis Vaccine Candidates. Vaccines 2023, 11, 1738. https://doi.org/10.3390/vaccines11121738
Wang R, Fan X, Xu D, Li M, Zhao X, Cao B, Qian C, Yu J, Fang D, Gu Y, et al. Comparison of the Immunogenicity and Efficacy of rBCG-EPCP009, BCG Prime-EPCP009 Booster, and EPCP009 Protein Regimens as Tuberculosis Vaccine Candidates. Vaccines. 2023; 11(12):1738. https://doi.org/10.3390/vaccines11121738
Chicago/Turabian StyleWang, Ruihuan, Xueting Fan, Da Xu, Machao Li, Xiuqin Zhao, Bin Cao, Chengyu Qian, Jinjie Yu, Dan’ang Fang, Yujie Gu, and et al. 2023. "Comparison of the Immunogenicity and Efficacy of rBCG-EPCP009, BCG Prime-EPCP009 Booster, and EPCP009 Protein Regimens as Tuberculosis Vaccine Candidates" Vaccines 11, no. 12: 1738. https://doi.org/10.3390/vaccines11121738
APA StyleWang, R., Fan, X., Xu, D., Li, M., Zhao, X., Cao, B., Qian, C., Yu, J., Fang, D., Gu, Y., Wan, K., & Liu, H. (2023). Comparison of the Immunogenicity and Efficacy of rBCG-EPCP009, BCG Prime-EPCP009 Booster, and EPCP009 Protein Regimens as Tuberculosis Vaccine Candidates. Vaccines, 11(12), 1738. https://doi.org/10.3390/vaccines11121738

