A New Natural Antioxidant Biomaterial from Cinnamomum osmophloeum Kanehira Leaves Represses Melanogenesis and Protects against DNA Damage
Abstract
:1. Introduction
2. Materials and Methods
2.1. Chemicals and Antibodies
2.2. Hydrosol Preparation: Extraction from COK Leaves Using Steam Distillation
2.3. Gas Chromatography/mass Spectrometry (GC/MS) Analysis of Hydrosol
2.4. Total Phenolic Content
2.5. DPPH Free Radical Scavenging Assays
2.6. Fractional Inhibitory Concentrations
2.7. Reducing Power Assays
2.8. Trolox Equivalent Antioxidant Capacity (TEAC) Assay
2.9. Effects of Hydrosol on Inhibition of Mushroom Tyrosinase
2.10. Kinetic Analysis of Mushroom Tyrosinase Inhibition
2.11. Cell Culture and Cell Viability Assays
2.12. Cellular Melanin Contents
2.13. Western Blot
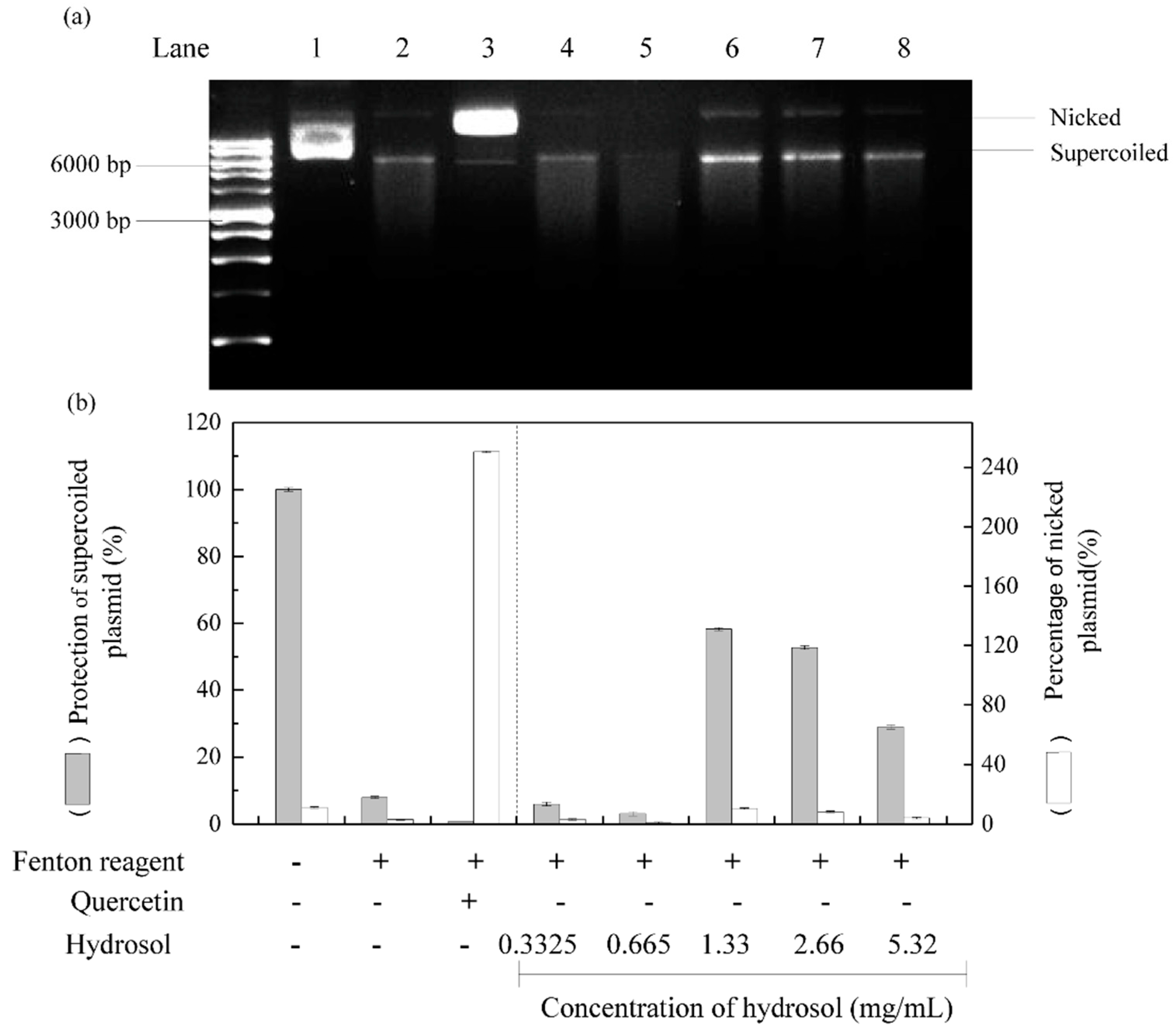
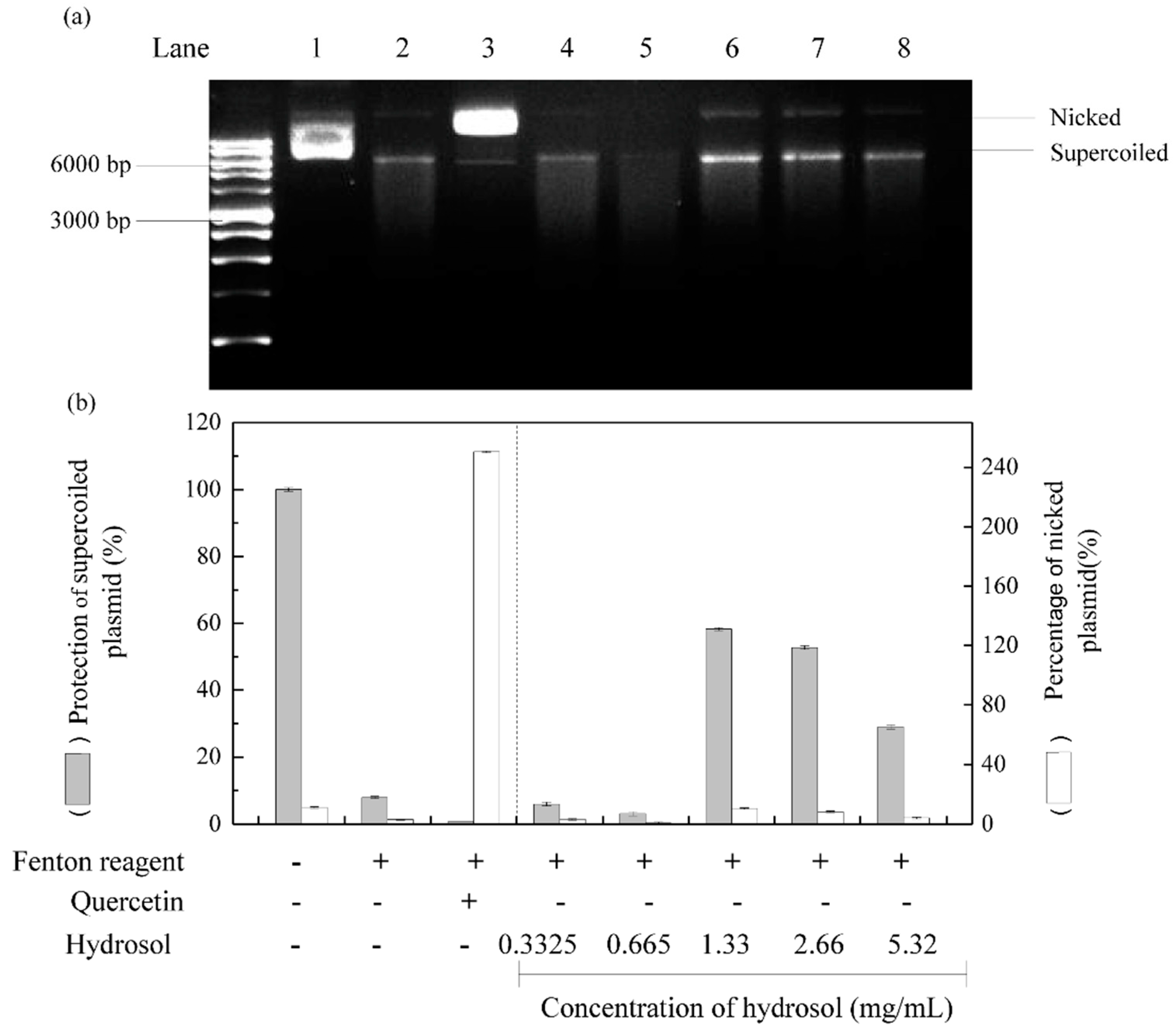
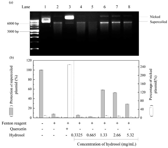
2.14. DNA Protection Assays
2.15. Statistical Analysis
3. Results and Discussion
3.1. Identification of Volatile Compounds in Hydrosol
3.2. Antioxidant Properties of Hydrosol from COK Leaves
3.2.1. DPPH Radical Scavenging Activity
3.2.2. Metal Ion Chelation
3.2.3. Reducing Power
3.2.4. TEAC Assays
3.2.5. Correlations between TPCs and Antioxidant Activities
3.3. Effect of COK Hydrosol Concentration on Tyrosinase Activity
3.4. Kinetic Modes of Mushroom Tyrosinase Inhibition by COK Hydrosol
3.5. Concentration-Dependent Effects of Hydrosol Concentrations on Melanogenesis
3.6. DNA Protection Assays
4. Conclusions
Author Contributions
Funding
Acknowledgments
Conflicts of Interest
References
- Fitzpatrick, T.B. Update—Dermatology in General Medicine; McGraw-Hill: New York, NY, USA, 1983; p. 237. [Google Scholar]
- Curto, E.V.; Kwong, C.; Hermersdorfer, H.; Glatt, H.; Santis, C.; Virador, V.; Hearing, V.J., Jr.; Dooley, T.P. Inhibitors of mammalian melanocyte tyrosinase: In vitro comparisons of alkyl esters of gentisic acid with other putative inhibitors. Biochem. Pharmacol. 1999, 57, 663–672. [Google Scholar] [CrossRef]
- Seo, S.Y.; Sharma, V.K.; Sharma, N. Mushroom tyrosinase: Recent prospects. J. Agric. Food Chem. 2003, 51, 2837–2853. [Google Scholar] [CrossRef] [PubMed]
- No, J.K.; Soung, D.Y.; Kim, Y.J.; Shim, K.H.; Jun, Y.S.; Rhee, S.H.; Yokozawa, T.; Chung, H.Y. Inhibition of tyrosinase by green tea components. Life Sci. 1999, 65, Pl241–Pl246. [Google Scholar] [CrossRef]
- Malireddy, S.; Kotha, S.R.; Secor, J.D.; Gurney, T.O.; Abbott, J.L.; Maulik, G.; Maddipati, K.R.; Parinandi, N.L. Phytochemical antioxidants modulate mammalian cellular epigenome: Implications in health and disease. Antioxid. Redox Signal. 2012, 17, 327–339. [Google Scholar] [CrossRef] [PubMed]
- Gul, M.Z.; Bhakshu, L.M.; Ahmad, F.; Kondapi, A.K.; Qureshi, I.A.; Ghazi, I.A. Evaluation of Abelmoschus moschatus extracts for antioxidant, free radical scavenging, antimicrobial and antiproliferative activities using in vitro assays. BMC Complement. Altern. Med. 2011, 11, 64. [Google Scholar] [CrossRef]
- Huang, H.C.; Chang, T.Y.; Chang, L.Z.; Wang, H.F.; Yih, K.H.; Hsieh, W.Y.; Chang, T.M. Inhibition of melanogenesis versus antioxidant properties of essential oil extracted from leaves of Vitex negundo Linn and chemical composition analysis by GC-MS. Molecules 2012, 17, 3902–3916. [Google Scholar] [CrossRef] [PubMed]
- Temneanu, O.R.; Zamfir, C.; Eloaie Zugun, F.; Cojocaru, E.; Tocan, L. Oxidants and antioxidants relevance in rats’ pulmonary induced oxidative stress. J. Med. Life 2011, 4, 244–249. [Google Scholar] [PubMed]
- Yasui, H.; Sakurai, H. Age-dependent generation of reactive oxygen species in the skin of live hairless rats exposed to UVA light. Exp. Dermatol. 2003, 12, 655–661. [Google Scholar] [CrossRef]
- Ko, H.H.; Tsai, Y.T.; Yen, M.H.; Lin, C.C.; Liang, C.J.; Yang, T.H.; Lee, C.W.; Yen, F.L. Norartocarpetin from a folk medicine Artocarpus communis plays a melanogenesis inhibitor without cytotoxicity in B16F10 cell and skin irritation in mice. BMC Complement. Altern. Med. 2013, 13, 348. [Google Scholar] [CrossRef] [PubMed]
- Funasaka, Y.; Komoto, M.; Ichihashi, M. Depigmenting effect of alpha-tocopheryl ferulate on normal human melanocytes. Pigment Cell Res. 2000, 13 (Suppl. 8), 170–174. [Google Scholar] [CrossRef]
- Wang, S.Y.; Yang, C.W.; Liao, J.W.; Zhen, W.W.; Chu, F.H.; Chang, S.T. Essential oil from leaves of Cinnamomum osmophloeum acts as a xanthine oxidase inhibitor and reduces the serum uric acid levels in oxonate-induced mice. Phytomedicine 2008, 15, 940–945. [Google Scholar] [CrossRef]
- Tayade, A.B.; Dhar, P.; Kumar, J.; Sharma, M.; Chauhan, R.S.; Chaurasia, O.P.; Srivastava, R.B. Chemometric profile of root extracts of Rhodiola imbricata Edgew. with hyphenated gas chromatography mass spectrometric technique. PLoS One 2013, 8, e52797. [Google Scholar] [CrossRef] [PubMed]
- Kahkonen, M.P.; Hopia, A.I.; Vuorela, H.J.; Rauha, J.P.; Pihlaja, K.; Kujala, T.S.; Heinonen, M. Antioxidant activity of plant extracts containing phenolic compounds. J. Agric. Food Chem. 1999, 47, 3954–3962. [Google Scholar] [CrossRef] [PubMed]
- Lee, J.Y.; Cho, Y.R.; Park, J.H.; Ahn, E.K.; Jeong, W.; Shin, H.S.; Kim, M.S.; Yang, S.H.; Oh, J.S. Anti-melanogenic and anti-oxidant activities of ethanol extract of Kummerowia striata: Kummerowia striata regulate anti-melanogenic activity through down-regulation of TRP-1, TRP-2 and MITF expression. Toxicol. Rep. 2019, 6, 10–17. [Google Scholar] [CrossRef] [PubMed]
- Singh, N.; Rajini, P.S. Free radical scavenging activity of an aqueous extract of potato peel. Food Chem. 2004, 85, 611–616. [Google Scholar] [CrossRef]
- Zhao, H.F.; Fan, W.; Dong, J.J.; Lu, J.; Chen, J.; Shan, L.J.; Lin, Y.; Kong, W.B. Evaluation of antioxidant activities and total phenolic contents of typical malting barley varieties. Food Chem. 2008, 107, 296–304. [Google Scholar] [CrossRef]
- Re, R.; Pellegrini, N.; Proteggente, A.; Pannala, A.; Yang, M.; Rice-Evans, C. Antioxidant activity applying an improved ABTS radical cation decolorization assay. Free Radic. Biol. Med. 1999, 26, 1231–1237. [Google Scholar] [CrossRef]
- Chang, C.T.; Chang, W.L.; Hsu, J.C.; Shih, Y.; Chou, S.T. Chemical composition and tyrosinase inhibitory activity of Cinnamomum cassia essential oil. Bot. Stud. 2013, 54, 10. [Google Scholar] [CrossRef] [PubMed]
- Segel, I.H. Biochemical Calculations, 2nd ed.; John Wiley & Sons: New York, NY, USA, 1976. [Google Scholar]
- Jothy, S.L.; Chen, Y.; Kanwar, J.R.; Sasidharan, S. Evaluation of the Genotoxic Potential against H2O2-Radical-Mediated DNA Damage and Acute Oral Toxicity of Standardized Extract of Polyalthia longifolia Leaf. Evid. Based Complement. Altern. Med. 2013, 2013, 925380. [Google Scholar] [CrossRef] [PubMed]
- Kobayashi, S.; Ueda, K.; Komano, T. The effects of metal ions on the DNA damage induced by hydrogen peroxide. Agric. Biol. Chem. 1990, 54, 69–76. [Google Scholar] [PubMed]
- Yasmeen, S.; Gupta, P. In vitro demonstration of Dalbergia sissoo (Indian rosewood) methanolic extracts as potential agents for sunscreening and dna nick prevention. Int. J. Pharm. Pharm. Sci. 2016, 8, 175–181. [Google Scholar]
- Li, Y.Q.; Kong, D.X.; Wu, H. Analysis and evaluation of essential oil components of cinnamon barks using GC-MS and FTIR spectroscopy. Ind. Crop. Prod. 2013, 41, 269–278. [Google Scholar] [CrossRef]
- Dugoua, J.J.; Seely, D.; Perri, D.; Cooley, K.; Forelli, T.; Mills, E.; Koren, G. From type 2 diabetes to antioxidant activity: A systematic review of the safety and efficacy of common and cassia cinnamon bark. Can. J. Physiol. Pharmacol. 2007, 85, 837–847. [Google Scholar] [CrossRef] [PubMed]
- Prasad, K.N.; Divakar, S.; Shivamurthy, G.R.; Aradhya, S.M. Isolation of a free radical-scavenging antioxidant from water spinach (Ipomoea aquatica Forsk). J. Sci. Food Agric. 2005, 85, 1461–1468. [Google Scholar] [CrossRef]
- Zhao, M.M.; Yang, B.; Wang, J.S.; Li, B.Z.; Jiang, Y.M. Identification of the major flavonoids from pericarp tissues of lychee fruit in relation to their antioxidant activities. Food Chem. 2006, 98, 539–544. [Google Scholar] [CrossRef]
- Chua, M.T.; Tung, Y.T.; Chang, S.T. Antioxidant activities of ethanolic extracts from the twigs of Cinnamomum osmophloeum. Bioresour. Technol. 2008, 99, 1918–1925. [Google Scholar] [CrossRef] [PubMed]
- Chen, J.S.; Wei, C.I.; Rolle, R.S.; Otwell, W.S.; Balaban, M.O.; Marshall, M.R. Inhibitory Effect of Kojic Acid on Some Plant and Crustacean Polyphenol Oxidases. J. Agric. Food Chem. 1991, 39, 1396–1401. [Google Scholar] [CrossRef]
- Hakiman, M.; Maziah, M. Non enzymatic and enzymatic antioxidant activities in aqueous extract of different Ficus deltoidea accessions. J. Med. Plants Res. 2009, 3, 120–131. [Google Scholar]
- Kubo, I.; Kinst-Hori, I. Tyrosinase inhibitors from anise oil. J. Agric. Food Chem. 1998, 46, 1268–1271. [Google Scholar] [CrossRef]
- Lee, S.E.; Kim, M.K.; Lee, S.G.; Ahn, Y.J.; Lee, H.S. Inhibitory Effects of Cinnamomum cassia Bark-derived Materials on Mushroom Tyrosinase. Food Sci. Biotechnol. 2000, 9, 330–333. [Google Scholar]
- Kubo, I.; Kinst-Hori, I. 2-hydroxy-4-methoxybenzaldehyde: A potent tyrosinase inhibitor from African medicinal plants. Planta Med. 1999, 65, 19–22. [Google Scholar] [CrossRef]
- Echegoyen, Y.; Nerin, C. Performance of an active paper based on cinnamon essential oil in mushrooms quality. Food Chem. 2015, 170, 30–36. [Google Scholar] [CrossRef]
- Lee, H.S. Tyrosinase inhibitors of Pulsatilla cernua root-derived materials. J. Agric. Food Chem. 2002, 50, 1400–1403. [Google Scholar] [CrossRef]
- Kubo, I.; Kinst-Hori, I.; Chaudhuri, S.K.; Kubo, Y.; Sanchez, Y.; Ogura, T. Flavonols from Heterotheca inuloides: Tyrosinase inhibitory activity and structural criteria. Bioorg. Med. Chem. 2000, 8, 1749–1755. [Google Scholar] [CrossRef]
- Nerya, O.; Vaya, J.; Musa, R.; Izrael, S.; Ben-Arie, R.; Tamir, S. Glabrene and isoliquiritigenin as tyrosinase inhibitors from licorice roots. J. Agric. Food Chem. 2003, 51, 1201–1207. [Google Scholar] [CrossRef]
- Huang, H.; Liu, X.; Chen, Q. Studies on mushroom tyrosinase activity inhibited by benzaldehyde family compounds. J. Xiamen Univ. 2003, 42, 97–101. [Google Scholar]
- Kubo, I.; Kinst-Hori, I. Tyrosinase inhibitors from cumin. J. Agric. Food Chem. 1998, 46, 5338–5341. [Google Scholar] [CrossRef]
- Dixon, M.; Webb, E.C. Enzyme inhibition and activation. In Enzymes; Longman: London, UK, 1979; pp. 332–467. [Google Scholar]
- Goldstein, S.; Meyerstein, D.; Czapski, G. The Fenton Reagents. Free Radic. Biol. Med. 1993, 15, 435–445. [Google Scholar] [CrossRef]
- Burrows, C.J.; Muller, J.G. Oxidative nucleobase modifications leading to strand scission. Chem. Rev. 1998, 98, 1109–1151. [Google Scholar] [CrossRef]
- Spotheim-Maurizot, M.; Franchet, J.; Sabattier, R.; Charlier, M. DNA radiolysis by fast neutrons. II. Oxygen, thiols and ionic strength effects. Int. J. Radiat. Biol. 1991, 59, 1313–1324. [Google Scholar] [CrossRef]
- Wang, L.; Yen, J.H.; Liang, H.L.; Wu, M.J. Antioxidant effect of methanol extracts from lotus plumule and blossom (Nelumbo nucifera Gertn.). J. Food Drug Anal. 2003, 11, 60–66. [Google Scholar]
- Sestili, P.; Guidarelli, A.; Dacha, M.; Cantoni, O. Quercetin prevents DNA single strand breakage and cytotoxicity caused by tert-butylhydroperoxide: Free radical scavenging versus iron chelating mechanism. Free Radic. Biol. Med. 1998, 25, 196–200. [Google Scholar] [CrossRef]






| Compounds | Type of Inhibition | IC50 (mM) | IC50 (mg/mL) | References | 
|---|---|---|---|---|
| kojic acid | mixed-type b | 0.014 | 0.002 | [29] | 
| Anisaldehyde | Non-competitive b | 0.32 | 0.044 | [31] | 
| Anisaldehyde | Non-competitive b | 0.38 | 0.052 | [32] | 
| Benzaldehyde | Non-competitive b | 0.83 | 0.088 | [32] | 
| Cuminaldehyde | Non-competitive b | 0.05 | 0.007 | [31] | 
| Cinnamaldehyde | Non-competitive b | 0.98 | 0.145 | [33] | 
| Cinnamaldehyde | Non-competitive | 4.73 | 0.701 | [34] | 
| Cinnamaldehyde | Noncompetitive | 0.97 | 0.144 | [35] | 
| Eugenol | Competitive | 12.83 | 2.107 | [34] | 
| Trans-cinnamaldehyde | Mixed-type b | 4.04 | 0.534 | [19] | 
| Trans-cinnamaldehyde | Mixed-type a | 0.0053 | 0.0007 | This study | 
| Trans-cinnamaldehyde | Mixed-type b | 2.32 | 0.307 | This study | 
| Trans-cinnamaldehyde | Competitive b | 0.85 | 0.112 | [32] | 
| Flavanols | ||||
| (–)-Epigallocatechin | Competitive a | 0.035 | 0.011 | [4] | 
| (–)-Epicatechin gallate | Competitive a | 0.017 | 0.008 | [4] | 
| (–)-Epigallocatechin gallate | Competitive a | 0.034 | 0.015 | [4] | 
| Flavonols | ||||
| Quercetin | Competitive b | 0.07 | 0.024 | [36] | 
| Kaempferol | Competitive b | 0.23 | 0.066 | [36] | 
| Morin | Competitive b | 2.32 | 0.701 | [36] | 
| Flavones | ||||
| Luteolin | Non-competitive b | 0.19 | 0.054 | [36] | 
| Luteoilin 7-O-glucoside | Non-competitive b | 0.5 | 0.143 | [36] | 
| Isoflavans | ||||
| Glabridin | Non-competitive b | 0.004 | 0.001 | [37] | 
| Glabrene | Mixed-type b | 7.6 | 2.450 | [37] | 
| Isoliquiritigenin | Mixed-type b | 0.047 | 0.012 | [37] | 
© 2019 by the authors. Licensee MDPI, Basel, Switzerland. This article is an open access article distributed under the terms and conditions of the Creative Commons Attribution (CC BY) license (http://creativecommons.org/licenses/by/4.0/).
Share and Cite
Ho, Y.-S.; Wu, J.-Y.; Chang, C.-Y. A New Natural Antioxidant Biomaterial from Cinnamomum osmophloeum Kanehira Leaves Represses Melanogenesis and Protects against DNA Damage. Antioxidants 2019, 8, 474. https://doi.org/10.3390/antiox8100474
Ho Y-S, Wu J-Y, Chang C-Y. A New Natural Antioxidant Biomaterial from Cinnamomum osmophloeum Kanehira Leaves Represses Melanogenesis and Protects against DNA Damage. Antioxidants. 2019; 8(10):474. https://doi.org/10.3390/antiox8100474
Chicago/Turabian StyleHo, Yung-Shu, Jane-Yii Wu, and Chi-Yue Chang. 2019. "A New Natural Antioxidant Biomaterial from Cinnamomum osmophloeum Kanehira Leaves Represses Melanogenesis and Protects against DNA Damage" Antioxidants 8, no. 10: 474. https://doi.org/10.3390/antiox8100474
APA StyleHo, Y.-S., Wu, J.-Y., & Chang, C.-Y. (2019). A New Natural Antioxidant Biomaterial from Cinnamomum osmophloeum Kanehira Leaves Represses Melanogenesis and Protects against DNA Damage. Antioxidants, 8(10), 474. https://doi.org/10.3390/antiox8100474
 
        


 
                         
       