In Vitro and In Silico Antioxidant Activity of Novel Peptides Prepared from Paeonia Ostii ‘Feng Dan’ Hydrolysate
Abstract
1. Introduction
2. Materials and Methods
2.1. Reagents
2.2. Extraction of Bioactive Peptides from P. Ostii Seed Meal Protein (PoSMP)
2.2.1. Preparation of PoSMP
2.2.2. Preparation of Protein Hydrolysates from PoSMP
2.3. Sodium Dodecyl Sulphate Polyacrylamide Gel Electrophoresis (SDS-PAGE)
2.4. Purification and Identification of the Bioactive Peptides Extracted from PoSMP
2.4.1. Ultrafiltration
2.4.2. Ion-Exchange Chromatography
2.4.3. Reversed-Phase High-Performance Liquid Chromatography (RP-HPLC)
2.4.4. Nano Liquid Chromatography–Tandem Mass Spectrometry (LC-MS/MS) Analysis
2.4.5. Identification of Peptides
2.5. Synthesis of Antioxidant Peptides
2.6. Antioxidant Capacity Assays
2.6.1. DPPH (1, 1-Diphenyl-2-Picrylhydrazyl) Radical-Scavenging Assay
2.6.2. Hydroxyl Radical-Scavenging Activity Assay
2.6.3. ABTS (2, 2’-Azino-bis) Radical-Scavenging Assay
2.6.4. Superoxide Anion Radical-Scavenging Activity
2.7. Quantum Chemical Calculations
2.8. In Vitro Cytotoxicity Assay on L929 Fibroblast Cells
2.9. Statistical Analysis
3. Results and Discussion
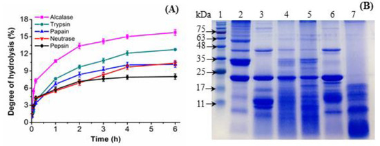
3.1. Hydrolysis of PoSMP with Peptidases and Antioxidant Activity
3.2. SDS-PAGE of the P. ostii Seed Meal Protein Hydrolysates (PoSMPHs)
3.3. Purification and Identification of the Antioxidant Peptides
3.3.1. Purification of Alcalase Hydrolysates (AHs) using Ultrafiltration
3.3.2. Purification of F4 Using Anion Exchange Chromatography
3.3.3. RP-HPLC of Fraction P3
3.4. Identification and Characterization of Antioxidant Peptides
3.5. Computational Methodology
3.6. In Vitro Cytotoxicity Assay on L929 Fibroblast Cells
4. Conclusions
Author Contributions
Funding
Acknowledgments
Conflicts of Interest
Abbreviations
| ABTS | 2, 2’-azino-bis (3-ethylbenzothiazoline-6-sulfonic acid) |
| AHs | Alcalase hydrolysates |
| BDE | Bond Dissociation Energy |
| DFT | Density Functional Theory |
| DPPH | 1, 1-diphenyl-2-picrylhydrazyl |
| FA | Formic Acid |
| FBS | Fetal Bovine Serum |
| HOMO | Highest Occupied Molecular Orbital |
| IP | Ionization Potential |
| LUMO | Lowest Unoccupied Molecular Orbital |
| NBO | Natural Bond Orbital |
| NHs | NeutraseHydrolysates |
| O2- | Superoxide Anion |
| OH· | Hydroxyl Radical |
| PA | Proton Affinity |
| PaHs | Papin Hydrolysates |
| PeHs | Pepsin hydrolysates |
| P. ostii | Paeonia ostii |
| PoSMP | Paeonia ostii seed meal protein |
| PoSMPHs | Paeonia ostii seed meal protein hydrolysates |
| ROS | Reactive oxygen species |
| RP-HPLC | Reversed phase high performance liquid chromatography |
| TFA | Trifluoroacetic Acid |
| THs | Trypsin Hydrolysates |
References
- Lu, Q.R.; Sun, Y.Q.; Ares, I.; Anadon, A.; Martinez, M.; Martinez, M.A. Deltamethrin toxicity: A review of oxidative stress and metabolism. Environ. Res. 2019, 170, 260–281. [Google Scholar] [CrossRef] [PubMed]
- Sheih, I.C.; Wu, T.K.; Fang, T.J. Antioxidant properties of a new antioxidative peptide from algae protein waste hydrolysate in different oxidation systems. Bioresour. Technol. 2009, 99, 3419–3425. [Google Scholar] [CrossRef] [PubMed]
- Teixeira, A.; Cox, R.C.; Egmond, M.R. Furan fatty acids efficiently rescue brain cells from cell death induced by oxidative stress. Food Funct. 2013, 4, 1209–1215. [Google Scholar] [CrossRef] [PubMed]
- Dos Santos, S.L.; Petropoulos, I.; Friguet, B. The Oxidized Protein Repair Enzymes Methionine Sulfoxide Reductases and Their Roles in Protecting against Oxidative Stress, in Ageing and in Regulating Protein Function. Antioxidants 2018, 7, 191. [Google Scholar] [CrossRef] [PubMed]
- Tu, M.L.; Cheng, S.Z.; Lu, W.H.; Du, M. Advancement and prospects of bioinformatics analysis for studying bioactive peptides from food-derived protein: Sequence, structure, and functions. Trac Trend Anal. Chem. 2018, 105, 7–17. [Google Scholar] [CrossRef]
- Prashanth, J.; Ramesh, G.; Naik, J.L.; Ojha, J.K.; Reddy, B.V. Molecular geometry, NBO analysis, Hyperpolarizability and HOMO-LUMO energies of 2-azido-1-phenylethanone using Quantum chemical calculations. Mater. Today Proc. 2016, 3, 3761–3769. [Google Scholar] [CrossRef]
- Zhang, J.; Du, F.; Peng, B.; Lu, R.; Gao, H.; Zhou, Z. Structure, electronic properties, and radical scavenging mechanisms of daidzein, genistein, formononetin, and biochanin A: A density functional study. J. Mol. Struct. Theochem. 2010, 955, 1–6. [Google Scholar] [CrossRef]
- Kecel-Gunduz, S.; Bicak, B.; Celik, S.; Akyuz, S.; Ozel, A.E. Structural and spectroscopic investigation on antioxidant dipeptide, l -Methionyl- l -Serine: A combined experimental and DFT study. J. Mol. Struct. 2017, 1137, 756–770. [Google Scholar] [CrossRef]
- Mıhçıokur, Ö.; Özpozan, T. Molecular structure, vibrational spectroscopic analysis (IR & Raman), HOMO-LUMO and NBO analysis of anti-cancer drug sunitinib using DFT method. J. Mol. Struct. 2017, 1149, 27–41. [Google Scholar]
- Barbosa, E.A.; Oliveira, A.; Placido, A.; Socodato, R.; Portugal, C.C.; Leite, J. Structure and function of a novel antioxidant peptide from the skin of tropical frogs. Free Radic. Biol. Med. 2018, 115, 68–79. [Google Scholar] [CrossRef]
- Lin, Z.; Zhao, Y.; Dong, H.; Su, G.; Zhao, M. Structure–activity relationship of antioxidant dipeptides: Dominant role of Tyr, Trp, Cys and Met residues. J. Funct. Foods 2016, 21, 485–496. [Google Scholar]
- Liu, P.; Zhang, Y.; Gao, J.Y.; Du, M.Z.; Zhang, K.; Zhang, J.L. HPLC-DAD analysis of 15 monoterpene glycosides in oil peony seed cakes sourced from different cultivation areas in China. Ind. Crop. Prod. 2018, 118, 259–270. [Google Scholar] [CrossRef]
- Liu, P.; Zhang, L.N.; Wang, X.S.; Gao, J.Y.; Yi, J.P.; Deng, R.X. Characterization of Paeonia ostii seed and oil sourced from different cultivation areas in China. Ind. Crop. Prod. 2019, 133, 63–71. [Google Scholar] [CrossRef]
- Pastorova, V.E.; Liapina, L.A.; Uspenskaia, M.S.; Ziadetdinova, G.A. Effects of the water and ethanol extracts from the root bark of the peony Paeonia lutea on the hemostatic blood parameters. Bull. Exp. Biol. Med. 1999, 127, 533–535. [Google Scholar] [CrossRef]
- Chen, Z.X.; Li, B.; liu, T.; Wang, X.; Zhu, Y.; Wang, L. Evaluation of paeonol-loaded transethosomes as transdermal delivery carriers. Eur. J. Pharm. Sci. 2017, 99, 240–245. [Google Scholar] [CrossRef] [PubMed]
- Stone, A.K.; Karalash, A.; Tyler, R.T.; Warkentin, T.D.; Nickerson, M.T. Functional attributes of pea protein isolates prepared using different extraction methods and cultivars. Food Res. Int. 2015, 76, 31–38. [Google Scholar] [CrossRef]
- Mat, D.J.L.; Cattenoz, T.; Souchon, I.; Michon, C.; Le Feunteun, S. Monitoring protein hydrolysis by pepsin using pH-stat: In vitro gastric digestions in static and dynamic pH conditions. Food Chem. 2018, 239, 268–275. [Google Scholar] [CrossRef] [PubMed]
- Yerramilli, M.; Longmore, N.; Ghosh, S. Improved stabilization of nanoemulsions by partial replacement of sodium caseinate with pea protein isolate. Food Hydrocoll. 2017, 64, 99–111. [Google Scholar] [CrossRef]
- Liu, C.; Ren, D.; Li, J.; Fang, L.; Wang, J.; Liu, J.; Min, W. Cytoprotective effect and purification of novel antioxidant peptides from hazelnut (C. heterophylla Fisch) protein hydrolysates. J. Funct. Foods 2018, 42, 203–215. [Google Scholar] [CrossRef]
- Silva, F.; Hernandez-Ledesma, B.; Amigo, L.; Netto, F.M.; Miralles, B. Identification of peptides released from flaxseed (Linum usitatissimum) protein by Alcalase (R) hydrolysis: Antioxidant activity. LWT Food Sci. Technol. 2017, 76, 140–146. [Google Scholar] [CrossRef]
- Agrawal, H.; Joshi, R.; Gupta, M. Isolation, purification and characterization of antioxidative peptide of pearl millet (Pennisetum glaucum) protein hydrolysate. Food Chem. 2016, 204, 365–372. [Google Scholar] [CrossRef] [PubMed]
- Lu, C.; Li, H.; Li, C.; Chen, B.; Shen, Y. Chemical composition and radical scavenging activity of Amygdalus pedunculata Pall leaves’ essential oil. Food Chem. Toxicol. 2018, 119, 368–374. [Google Scholar] [CrossRef] [PubMed]
- Frisch, M.J.; Trucks, G.W.; Schlegel, H.B.; Scuseria, G.E.; Robb, M.A.; Cheeseman, J.R.; Scalmani, G.; Barone, V.; Petersson, G.A.; Nakatsuji, H.; et al. GAUSSIAN 09, Revision E.01; Gaussian, Inc.: Wallingford, CT, USA, 2009. [Google Scholar]
- Glendening, E.D.; Reed, A.E.; Carpenter, J.E.; Weinhold, F. NBO Version 3.1, TCI; University of Wisconsin: Madison, WI, USA, 1998. [Google Scholar]
- Ghassem, M.; Arihara, K.; Mohammadi, S.; Sani, N.A.; Babji, A.S. Identification of two novel antioxidant peptides from edible bird’s nest (Aerodramus fuciphagus) protein hydrolysate. Food Funct. 2017, 8, 2046–2048. [Google Scholar] [CrossRef] [PubMed]
- Guo, P.; Qi, Y.J.; Zhu, C.H.; Wang, Q. Purification and identification of antioxidant peptides from Chinese cherry (Prunus pseudocerasus Lindl.) seeds. J. Funct. Foods 2015, 19, 394–403. [Google Scholar] [CrossRef]
- Jin, J.E.; Ahn, C.B.; Je, J.Y. Purification and characterization of antioxidant peptides from enzymatically hydrolyzed ark shell (Scapharca subcrenata). Process Biochem. 2018, 72, 170–176. [Google Scholar] [CrossRef]
- He, R.; Girgih, A.T.; Malomo, S.A.; Ju, X.; Aluko, R.E. Antioxidant activities of enzymatic rapeseed protein hydrolysates and the membrane ultrafiltration fractions. J. Funct. Foods 2013, 5, 219–227. [Google Scholar] [CrossRef]
- Lorenzo, J.M.; Munekata, P.E.S.; Gómez, B.; Barba, F.J.; Mora, L.; Pérez-Santaescolástica, C.; Toldrá, F. Bioactive peptides as natural antioxidants in food products—A review. Trends Food Sci. Technol. 2018, 79, 136–147. [Google Scholar] [CrossRef]
- Klost, S.D.M. Functionalisation of pea protein by tryptic hydrolysis-Characterisation of interfacial and functional properties. Food Hydrocoll. 2018, 86, 134–140. [Google Scholar] [CrossRef]
- Chen, L.; Chen, J.; Yu, L.; Wu, K.; Zhao, M. Emulsification performance and interfacial properties of enzymically hydrolyzed peanut protein isolate pretreated by extrusion cooking. Food Hydrocoll. 2018, 77, 607–616. [Google Scholar] [CrossRef]
- Miao, J.; Liao, W.; Pan, Z.; Wang, Q.; Duan, S.; Xiao, S. Isolation and identification of iron-chelating peptides from casein hydrolysates. Food Funct. 2019, 10, 2372–2381. [Google Scholar] [CrossRef]
- Xia, Y.; Bamdad, F.; Ganzle, M.; Chen, L. Fractionation and characterization of antioxidant peptides derived from barley glutelin by enzymatic hydrolysis. Food Chem. 2012, 134, 1509–1518. [Google Scholar] [CrossRef] [PubMed]
- Matsui, R.; Honda, R.; Kanome, M.; Hagiwara, A.; Matsuda, Y.; Togitani, T.; Ikemoto, N. Designing antioxidant peptides based on the antioxidant properties of the amino acid side-chains. Food Chem. 2018, 245, 750–755. [Google Scholar] [CrossRef] [PubMed]
- Hu, F.; Ci, A.T.; Wang, H.; Zhang, Y.Y.; Zhang, J.G.; Thakur, K.; Wei, Z.J. Identification and hydrolysis kinetic of a novel antioxidant peptide from pecan meal using Alcalase. Food Chem. 2018, 261, 301–310. [Google Scholar] [CrossRef] [PubMed]
- Shang, W.H.; Tang, Y.; Su, S.Y.; Han, J.R.; Yan, J.N.; Wu, H.T. In silico assessment and structural characterization of antioxidant peptides from major yolk protein of sea urchin Strongylocentrotus nudus. Food Funct. 2018, 9, 6436–6444. [Google Scholar] [CrossRef] [PubMed]
- Wang, Y.W.; Chen, H.X.; Wang, X.M.; Li, S.Q.; Chen, Z.Q.; Wang, J.Y. Isolation and identification of a novel peptide from zein with antioxidant and antihypertensive activities. Food Funct. 2015, 6, 3799–3806. [Google Scholar] [CrossRef] [PubMed]
- Rajan, V.K.; Muraleedharan, K. A computational investigation on the structure, global parameters and antioxidant capacity of a polyphenol, Gallic acid. Food Chem. 2017, 220, 93–99. [Google Scholar] [CrossRef] [PubMed]
- Mitra, I.; Saha, A.; Roy, K. Quantitative structure-activity relationship modeling of antioxidant activities of hydroxybenzalacetones using quantum chemical, physicochemical and spatial descriptors. Chem. Biol. Drug Des. 2010, 73, 526–536. [Google Scholar] [CrossRef]
- Alcaro, S.; Chiodo, S.G.; Leopoldini, M.; Ortuso, F. Antioxidant efficiency of oxovitisin, a new class of red wine pyranoanthocyanins, revealed through quantum mechanical investigations. J. Chem. Inf. Model. 2013, 53, 66–75. [Google Scholar] [CrossRef]






| Enzyme (activity) | Proteolytic activity of enzyme (U/g) | Optimal pH and temperature | Antioxidant activity | |||
|---|---|---|---|---|---|---|
| DPPH (%) | ABTS (%) | Hydroxyl (%) | O2−● (%) | |||
| Alcalase | 20,000 | pH 9.0; 55 °C | 74.9 ± 1.6 b | 45.5 ± 1.5 a | 56.1 ± 1.8 a | 37.6 ± 1.2 a |
| Trypsin | 250,000 | pH 7.5; 45 °C | 66.4 ± 2.0 c | 35.0 ± 1.8 b | 46.0 ± 1.6 c | 32.7 ± 1.6 b |
| Papain | 10,000 | pH 7.5; 50 °C | 78.4 ± 0.9 a | 14.2 ± 1.1 d | 39.4 ± 1.9 d | 23.5 ± 1.1 c |
| Neutrase | 50,000 | pH 7.5; 45 °C | 57.9 ± 1.7 e | 30.0 ± 2.1 c | 52.1 ± 1.2 b | 21.1 ± 1.7 c |
| Pepsin | 10,000 | pH 3.0; 37 °C | 80.2 ± 1.8 a | 10.6 ± 1.3 e | 48.8 ± 1.4 c | 31.3 ± 1.4 b |
| Ultrafiltration | F1 | F2 | F3 | F4 | Positive |
|---|---|---|---|---|---|
| DPPH (%) | 75.4 ± 2.1 a | 61.0 ± 1.9 b | 62.8 ± 2.5 b | 38.4 ± 1.0 c | 74.4 ± 2.1 a (GSH) |
| ABTS (%) | 47.4 ± 1.0 c | 36.8 ± 1.2 e | 41.3 ± 1.7 d | 69.7 ± 1.0 a | 58.2 ± 1.8 b (VC) 2 |
| Hydroxyl (%) | 50.2 ± 1.7 c | 49.6 ± 1.5 c | 52.4 ± 1.8 b | 68.8 ± 1.2 a | 69.2 ± 1.6 a(GSH) |
| O2−● (%) 1 | 32.2 ± 1.1 c | 37.8 ± 1.3 b | 37.3 ± 1.0 b | 30.8 ± 1.4 c | 48.3 ± 1.3 a(GSH) |
| FSAP | PVETVR | QEPLLR | EAAY | VLRPPLS | |||||
|---|---|---|---|---|---|---|---|---|---|
| Atom | Charge | Atom | Charge | Atom | Charge | Atom | Charge | Atom | Charge |
| N1 | −0.88759 | N1 | −0.69881 | N1 | −0.88921 | N1 | −0.91883 | N1 | −0.88832 |
| H2 | 0.38462 | H2 | 0.40074 | H2 | 0.37610 | C2 | −0.14216 | H2 | 0.37434 |
| C16 | 0.69191 | C7 | 0.71086 | O8 | −0.69341 | C5 | 0.83494 | N24 | −0.68781 |
| O17 | −0.66103 | O8 | −0.67434 | N9 | −0.83729 | O6 | −0.59491 | H25 | 0.42348 |
| N18 | −0.65131 | N9 | -0.6504 | H10 | 0.44054 | O7 | −0.71113 | N27 | −0.80799 |
| H19 | 0.41982 | H10 | 0.42203 | C19 | 0.83827 | N10 | −0.66883 | H28 | 0.34732 |
| C20 | −0.1693 | O31 | −0.75823 | O20 | −0.62187 | H11 | 0.44739 | N29 | −0.88529 |
| O22 | −0.75366 | H32 | 0.47055 | C22 | 0.71839 | C14 | 0.69475 | H30 | 0.39771 |
| H23 | 0.48868 | C33 | −0.70866 | O23 | −0.68693 | O15 | −0.65216 | C32 | 0.72417 |
| C24 | 0.68167 | C34 | 0.69293 | C38 | 0.69139 | C35 | 0.32133 | O33 | −0.67817 |
| O25 | −0.65711 | O35 | −0.66451 | O39 | −0.63917 | O36 | −0.68939 | C39 | 0.72043 |
| N26 | −0.63958 | N50 | −0.66717 | N55 | −0.68442 | H37 | 0.48477 | O40 | −0.67631 |
| H27 | 0.44129 | H51 | 0.43862 | H56 | 0.41222 | C38 | 0.82460 | N41 | −0.48518 |
| C30 | 0.72173 | N53 | −0.8806 | N58 | −0.89905 | O39 | −0.60017 | C46 | 0.70801 |
| O31 | −0.69570 | H54 | 0.40155 | H59 | 0.40002 | H46 | 0.39801 | O47 | −0.67163 |
| C37 | 0.81978 | N56 | −0.85604 | N61 | −0.79998 | H47 | 0.38678 | O61 | −0.76549 |
| O38 | −0.58935 | H57 | 0.34416 | H62 | 0.35620 | O59 | −0.70009 | H62 | 0.48539 |
| H42 | 0.38653 | C58 | 0.83508 | O109 | −0.70815 | H60 | 0.51537 | C63 | 0.84110 |
| O57 | −0.70917 | O59 | −0.59617 | H110 | 0.49871 | - | - | O64 | −0.62418 |
| H58 | 0.51168 | O100 | −0.71190 | H111 | 0.49870 | - | - | O118 | −0.71865 |
| - | - | H101 | 0.49801 | - | - | - | - | H119 | 0.53081 |
© 2019 by the authors. Licensee MDPI, Basel, Switzerland. This article is an open access article distributed under the terms and conditions of the Creative Commons Attribution (CC BY) license (http://creativecommons.org/licenses/by/4.0/).
Share and Cite
Wang, M.; Li, C.; Li, H.; Wu, Z.; Chen, B.; Lei, Y.; Shen, Y. In Vitro and In Silico Antioxidant Activity of Novel Peptides Prepared from Paeonia Ostii ‘Feng Dan’ Hydrolysate. Antioxidants 2019, 8, 433. https://doi.org/10.3390/antiox8100433
Wang M, Li C, Li H, Wu Z, Chen B, Lei Y, Shen Y. In Vitro and In Silico Antioxidant Activity of Novel Peptides Prepared from Paeonia Ostii ‘Feng Dan’ Hydrolysate. Antioxidants. 2019; 8(10):433. https://doi.org/10.3390/antiox8100433
Chicago/Turabian StyleWang, Min, Cong Li, Haoyu Li, Zibo Wu, Bang Chen, Yibo Lei, and Yehua Shen. 2019. "In Vitro and In Silico Antioxidant Activity of Novel Peptides Prepared from Paeonia Ostii ‘Feng Dan’ Hydrolysate" Antioxidants 8, no. 10: 433. https://doi.org/10.3390/antiox8100433
APA StyleWang, M., Li, C., Li, H., Wu, Z., Chen, B., Lei, Y., & Shen, Y. (2019). In Vitro and In Silico Antioxidant Activity of Novel Peptides Prepared from Paeonia Ostii ‘Feng Dan’ Hydrolysate. Antioxidants, 8(10), 433. https://doi.org/10.3390/antiox8100433

