Exogenous Melatonin Attenuates Sleep Restriction-Induced Kidney Injury via Gut Microbiota-Derived Propionate in Mice
Abstract
1. Introduction
2. Materials and Methods
2.1. Animal Models
2.2. Blood Biochemical Analysis
2.3. Histological Analysis
2.4. RNA Isolation and Quantification Real-Time (qRT)-PCR
2.5. Determination of Antioxidant Activity and Lipid Peroxidation
2.6. Statistical Analysis
3. Results
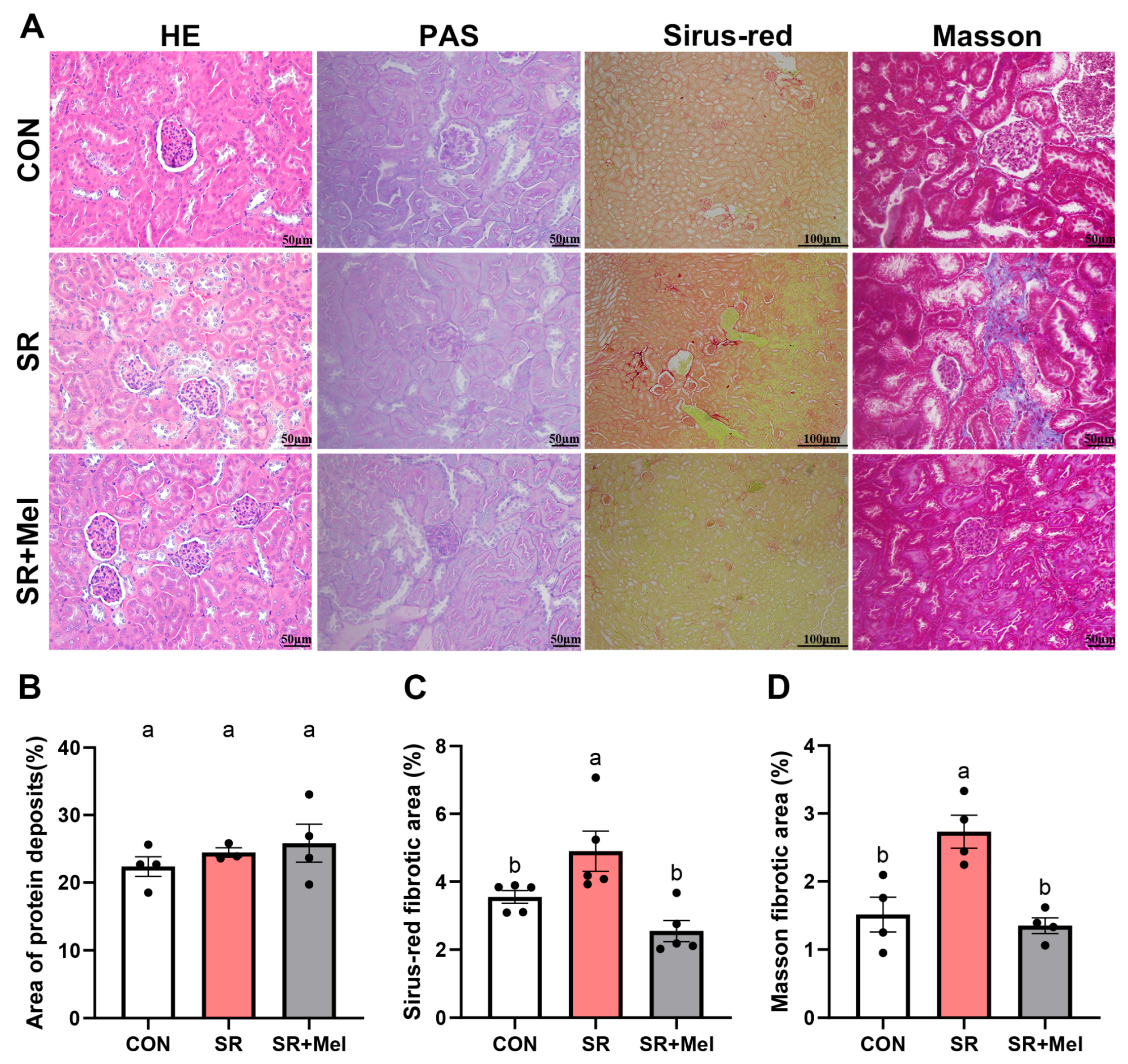
3.1. Chronic SR Caused Kidney Injury and Fibrosis in Mice
3.2. Exogenous Melatonin Improves SR-Induced Kidney Injury and Fibrosis in Mice
3.3. Gut Microbiota-Derived Propionic Acid Mediated the Protective Role of Exogenous Melatonin in Kidney Injury Induced by SR in Mice
3.4. Gut Microbiota-Derived Propionic Acid Mediated the Protective Effect of Melatonin on SR by Inhibiting Renal Oxidative Damage
4. Discussion
5. Conclusions
Author Contributions
Funding
Institutional Review Board Statement
Informed Consent Statement
Data Availability Statement
Conflicts of Interest
Abbreviations
| Abs | Antibiotics |
| AKI | Acute kidney injury |
| AST/GOT | Aspartate aminotransferase |
| BUN | Blood urea nitrogen |
| CKD | Chronic kidney disease |
| CRE | Creatinine |
| GLU | Glucose |
| IL | Interleukin |
| MDA | Malondialdehyde |
| Mel | Melatonin |
| PA | Propionic acid |
| PAS | Periodic acid–Schiff |
| SCFA | Short-chain fatty acids |
| SOD | Superoxide dismutase |
| SR | Sleep restriction |
| T-AOC | Total antioxidant capacity |
| T-CHO | Total cholesterol |
| TG | Triglyceride |
| TNF-α | Tumor necrosis factor-α |
| TP | Total protein |
| UA | Uric acid |
| ZT | Zeitgeber time |
Appendix A
| Gene | Primer Sequence (5′→3′) | Product | Accession No. |
|---|---|---|---|
| Kim1 | F: ACATATCGTGGAATCACAACGAC | 114 | XM_011248784.3 |
| R: ACTGCTCTTCTGATAGGTGACA | |||
| Lcn2 | F: TGCAGGTGGTACGTTGTGG | 418 | NM_008491.1 |
| R: TGTTGTCGTCCTTGAGGC | |||
| Podocin | F: GTGTCCAAAGCCATCCAGTT | 232 | XM_006496684.3 |
| R: GTCTTTGTGCCTCAGCTTCC | |||
| α-Actinin-4 | F: GCCATCCAGGACATCTCTGT | 189 | XM_006540257.4 |
| R: CCGCAGCTTGTCATACTCAA | |||
| Cd2ap | F: AGGAATTCAGCCACATCCAC | 200 | NM_009847.4 |
| R: TTGAGGGAAACAGTCCCAAC | |||
| Nephrin | F: CCCCTCTATGATGAAGTACAAATGGA | 213 | XM_011250647.3 |
| R: GTACGGATTTCCTCAGGTCTTCT | |||
| Col1α1 | F: CATGTTCAGCTTTGTGGACCT | 94 | NM_007742.4 |
| R: GCAGCTGACTTCAGGGATGT | |||
| α-SMA | F: GTCCCAGACATCAGGGAGTAA | 102 | NM_007392.3 |
| R: TCGGATACTTCAGCGTCAGGA | |||
| Timp1 | F: GCAACTCGGACCTGGTCATAA | 226 | NM_011593.3 |
| R: CGGCCCGTGATGAGAAACT | |||
| Mmp-3 | F: ACATGGAGACTTTGTCCCTTTTG | 192 | NM_010809.3 |
| R: TTGGCTGAGTGGTAGAGTCCC | |||
| Mmp-9 | F: GGACCCGAAGCGGACATTG | 139 | NM_013599.5 |
| R: CGTCGTCGAAATGGGCATCT | |||
| Tgf-β1 | F: CTCCCGTGGCTTCTAGTGC | 133 | XM_036152883.1 |
| R: GCCTTAGTTTGGACAGGATCTG | |||
| iNOS | F: GTTCTCAGCCCAACAATACAAGA | 127 | NM_010927.4 |
| R: GTGGACGGGTCGATGTCAC | |||
| Nrf2 | F: TCTTGGAGTAAGTCGAGAAGTGT | 140 | NM_006164.5 |
| R: GTTGAAACTGAGCGAAAAAGGC | |||
| Hmox-1 | F: AAGCCGAGAATGCTGAGTTCA | 100 | NC_000074.7 |
| R: GCCGTGTAGATATGGTACAAGGA | |||
| Gpr41 | F: CTTCTTTCTTGGCAATTACTGGC | 158 | NM_001033316.2 |
| R: CCGAAATGGTCAGGTTTAGCAA | |||
| Gpr43 | F: CTTGATCCTCACGGCCTACAT | 137 | XM_011250554.4 |
| R: CCAGGGTCAGATTAAGCAGGAG | |||
| Gpr109a | F: CTGGAGGTTCGGAGGCATC | 243 | NM_030701.3 |
| R: TCGCCATTTTTGGTCATCATGT | |||
| Gapdh | F: CCGAGAATGGGAAGCTTGTC | 232 | XM_036165840.1 |
| R: TTCTCGTGGTTCACACCCATC |
| Noun | Definition |
|---|---|
| acute kidney injury (AKI) | Increase in CRE by ≥50% within 7 days or increase in CRE by ≥0.3 mg/dL (26.5 μmol/L) within 2 days or oliguria for ≥6 h [6] |
| chronic kidney disease (CKD) | GFR < 60 mL/min/1.73 m2, and Elevated marker of kidney damage (albuminuria is most common) [6] |
References
- Chaput, J.-P.; McHill, A.W.; Cox, R.C.; Broussard, J.L.; Dutil, C.; Da Costa, B.G.G.; Sampasa-Kanyinga, H.; Wright, K.P. The role of insufficient sleep and circadian misalignment in obesity. Nat. Rev. Endocrinol. 2023, 19, 82–97. [Google Scholar] [CrossRef]
- Periasamy, S.; Hsu, D.-Z.; Fu, Y.-H.; Liu, M.-Y. Sleep deprivation-induced multi-organ injury: Role of oxidative stress and inflammation. EXCLI J. 2015, 14, 672–683. [Google Scholar] [CrossRef]
- Riemann, D.; Baglioni, C.; Spiegelhalder, K. Schlafmangel und insomnie. Bundesgesundheitsblatt-Gesundheitsforschung-Gesundheitsschutz 2011, 54, 1296–1302. [Google Scholar] [CrossRef]
- Neculicioiu, V.S.; Colosi, I.A.; Costache, C.; Toc, D.A.; Sevastre-Berghian, A.; Colosi, H.A.; Clichici, S. Sleep deprivation-induced oxidative stress in rat models: A scoping systematic review. Antioxidants 2023, 12, 1600. [Google Scholar] [CrossRef] [PubMed]
- Ratliff, B.B.; Abdulmahdi, W.; Pawar, R.; Wolin, M.S. Oxidant mechanisms in renal injury and disease. Antioxid. Redox Signal. 2016, 25, 119–146. [Google Scholar] [CrossRef] [PubMed]
- Kellum, J.A.; Romagnani, P.; Ashuntantang, G.; Ronco, C.; Zarbock, A.; Anders, H.-J. Acute kidney injury. Nat. Rev. Dis. Primer 2021, 7, 52. [Google Scholar] [CrossRef] [PubMed]
- Chou, Y.-T.; Li, C.-H.; Shen, W.-C.; Yang, Y.-C.; Lu, F.-H.; Wu, J.-S.; Chang, C.-J. Association of sleep quality and sleep duration with serum uric acid levels in adults. PLoS ONE 2020, 15, e0239185. [Google Scholar] [CrossRef]
- Taha, M.; Rady, H.Y.; Olama, N.K. Effect of sleep deprivation on the liver, kidney and heart: Histological and immunohistochemical study. Int. J. Sci. Rep. 2018, 4, 172. [Google Scholar] [CrossRef]
- Thomal, J.T.; Palma, B.D.; Ponzio, B.F.; Franco, M.d.C.P.; Zaladek-Gil, F.; Fortes, Z.B.; Tufik, S.; Gomes, G.N. Sleep restriction during pregnancy: Hypertension and renal abnormalities in young offspring rats. Sleep 2010, 33, 1357. [Google Scholar] [CrossRef]
- Deng, Z.; He, M.; Hu, H.; Zhang, W.; Zhang, Y.; Ge, Y.; Ma, T.; Wu, J.; Li, L.; Sun, M.; et al. Melatonin attenuates sepsis-induced acute kidney injury by promoting mitophagy through SIRT3-mediated TFAM deacetylation. Autophagy 2024, 20, 151–165. [Google Scholar] [CrossRef]
- Yang, Z.; He, Y.; Ma, Q.; Wang, H.; Zhang, Q. Alleviative effect of melatonin against the nephrotoxicity induced by cadmium exposure through regulating renal oxidative stress, inflammatory reaction, and fibrosis in a mouse model. Ecotoxicol. Environ. Saf. 2023, 265, 115536. [Google Scholar] [CrossRef] [PubMed]
- Gao, T.; Wang, Z.; Dong, Y.; Cao, J.; Lin, R.; Wang, X.; Yu, Z.; Chen, Y. Role of melatonin in sleep deprivation-induced intestinal barrier dysfunction in mice. J. Pineal Res. 2019, 67, e12574. [Google Scholar] [CrossRef]
- Li, W.; Wang, Z.; Cao, J.; Dong, Y.; Chen, Y. Melatonin improves the homeostasis of mice gut microbiota rhythm caused by sleep restriction. Microbes Infect. 2023, 25, 105121. [Google Scholar] [CrossRef]
- Antza, C.; Stabouli, S.; Kotsis, V. Gut microbiota in kidney disease and hypertension. Pharmacol. Res. 2018, 130, 198–203. [Google Scholar] [CrossRef]
- Rios-Arce, N.D.; Schepper, J.D.; Dagenais, A.; Schaefer, L.; Daly-Seiler, C.S.; Gardinier, J.D.; Britton, R.A.; McCabe, L.R.; Parameswaran, N. Post-antibiotic gut dysbiosis-induced trabecular bone loss is dependent on lymphocytes. Bone 2020, 134, 115269. [Google Scholar] [CrossRef] [PubMed]
- Agus, A.; Richard, D.; Faïs, T.; Vazeille, E.; Chervy, M.; Bonnin, V.; Dalmasso, G.; Denizot, J.; Billard, E.; Bonnet, R.; et al. Propionate catabolism by CD-associated adherent-invasive E. coli counteracts its anti-inflammatory effect. Gut Microbes 2021, 13, 1839318. [Google Scholar] [CrossRef] [PubMed]
- Sui, Y.; Jiang, R.; Niimi, M.; Wang, X.; Xu, Y.; Zhang, Y.; Shi, Z.; Suda, M.; Mao, Z.; Fan, J.; et al. Gut bacteria exacerbates TNBS-induced colitis and kidney injury through oxidative stress. Redox Biol. 2024, 72, 103140. [Google Scholar] [CrossRef]
- Li, W. The Role of Melatonin in Chronic Sleep Restriction Affecting Circadian Rhythm Changes in the Brain-Gut-Skin Axis. Ph.D. Thesis, Agricultural Sciences by China Agricultural University, Beijing, China, June 2023. [Google Scholar]
- Takashi, K.; Hiromi, K.; Hisao, N.; Saburo, T.; Yuji, Y.; Satoshi, I.; Akio, M.; Tadahiro, T. Dietary fiber suppresses elevation of uric acid and urea nitrogen concentrations in serum of rats with renal dysfunction induced by dietary adenine. Int. J. Vitam. Nutr. Res. 2004, 74, 253–263. [Google Scholar] [CrossRef]
- Han, W.K.; Bailly, V.; Abichandani, R.; Thadhani, R.; Bonventre, J.V. Kidney injury molecule-1 (KIM-1): A novel biomarker for human renal proximal tubule injury. Kidney Int. 2002, 62, 237–244. [Google Scholar] [CrossRef]
- Venkatachalam, M.A.; Weinberg, J.M.; Kriz, W.; Bidani, A.K. Failed tubule recovery, AKI-CKD transition, and kidney disease progression. J. Am. Soc. Nephrol. JASN 2015, 26, 1765–1776. [Google Scholar] [CrossRef]
- Wen, X.; Peng, Z.; Kellum, J.A. Pathogenesis of acute kidney injury: Effects of remote tissue damage on the kidney. Contrib. Nephrol. 2011, 174, 129–137. [Google Scholar] [CrossRef]
- Kim, J.-Y.; Park, J.-H.; Jeon, E.J.; Leem, J.; Park, K.-K. Melatonin prevents transforming growth factor-β1-stimulated transdifferentiation of renal interstitial fibroblasts to myofibroblasts by suppressing reactive oxygen species-dependent mechanisms. Antioxidants 2020, 9, 39. [Google Scholar] [CrossRef] [PubMed]
- Saberi, K.; Pasbakhsh, P.; Omidi, A.; Borhani-Haghighi, M.; Nekoonam, S.; Omidi, N.; Ghasemi, S.; Kashani, I.R. Melatonin preconditioning of bone marrow-derived mesenchymal stem cells promotes their engraftment and improves renal regeneration in a rat model of chronic kidney disease. J. Mol. Histol. 2019, 50, 129–140. [Google Scholar] [CrossRef]
- Yoon, Y.M.; Go, G.; Yun, C.W.; Lim, J.H.; Lee, J.H.; Lee, S.H. Melatonin suppresses renal cortical fibrosis by inhibiting cytoskeleton reorganization and mitochondrial dysfunction through regulation of miR-4516. Int. J. Mol. Sci. 2020, 21, 5323. [Google Scholar] [CrossRef]
- Felizardo, R.J.F.; Castoldi, A.; Andrade-Oliveira, V.; Câmara, N.O.S. The microbiota and chronic kidney diseases: A double-edged sword. Clin. Transl. Immunol. 2016, 5, e86. [Google Scholar] [CrossRef]
- Arteaga-Muller, G.Y.; Flores-Treviño, S.; Bocanegra-Ibarias, P.; Robles-Espino, D.; Garza-González, E.; Fabela-Valdez, G.C.; Camacho-Ortiz, A. Changes in the progression of chronic kidney disease in patients undergoing fecal microbiota transplantation. Nutrients 2024, 16, 1109. [Google Scholar] [CrossRef] [PubMed]
- Watanabe, I.K.M.; Andrade-Silva, M.; Foresto-Neto, O.; Felizardo, R.J.F.; Matheus, M.A.C.; Silva, R.C.; Cenedeze, M.A.; Honda, T.S.B.; Perandini, L.A.B.; Volpini, R.A.; et al. Gut microbiota and intestinal epithelial Myd88 signaling are crucial for renal injury in UUO mice. Front. Immunol. 2020, 11, 578623. [Google Scholar] [CrossRef] [PubMed]
- Ma, L.; Zhang, L.; Li, J.; Zhang, X.; Xie, Y.; Li, X.; Yang, B.; Yang, H. The potential mechanism of gut microbiota-microbial metabolites-mitochondrial axis in progression of diabetic kidney disease. Mol. Med. 2023, 29, 148. [Google Scholar] [CrossRef]
- Li, L.; Ma, L.; Fu, P. Gut microbiota–derived short-chain fatty acids and kidney diseases. Drug Des. Devel. Ther. 2017, 11, 3531–3542. [Google Scholar] [CrossRef]
- Li, S.; Lin, Z.; Xiao, H.; Xu, Z.; Li, C.; Zeng, J.; Xie, X.; Deng, L.; Huang, H. Fyn deficiency inhibits oxidative stress by decreasing c-cbl-mediated ubiquitination of Sirt1 to attenuate diabetic renal fibrosis. Metabolism 2023, 139, 155378. [Google Scholar] [CrossRef]
- Zhou, L.; Tang, S.; Li, F.; Wu, Y.; Li, S.; Cui, L.; Luo, J.; Yang, L.; Ren, Z.; Zhang, J.; et al. Ceria nanoparticles prophylactic used for renal ischemia-reperfusion injury treatment by attenuating oxidative stress and inflammatory response. Biomaterials 2022, 287, 121686. [Google Scholar] [CrossRef]
- Modafferi, S.; Lupo, G.; Tomasello, M.; Rampulla, F.; Ontario, M.; Scuto, M.; Salinaro, A.T.; Arcidiacono, A.; Anfuso, C.D.; Legmouz, M.; et al. Antioxidants, hormetic nutrition, and autism. Curr. Neuropharmacol. 2024, 22, 1156. [Google Scholar] [CrossRef]
- Scuto, M.; Rampulla, F.; Reali, G.M.; Spanò, S.M.; Trovato Salinaro, A.; Calabrese, V. Hormetic nutrition and redox regulation in gut–brain axis disorders. Antioxidants 2024, 13, 484. [Google Scholar] [CrossRef]
- Scuto, M.; Majzúnová, M.; Torcitto, G.; Antonuzzo, S.; Rampulla, F.; Di Fatta, E.; Trovato Salinaro, A. Functional food nutrients, redox resilience signaling and neurosteroids for brain health. Int. J. Mol. Sci. 2024, 25, 12155. [Google Scholar] [CrossRef] [PubMed]
- Reiter, R.J.; Mayo, J.C.; Tan, D.-X.; Sainz, R.M.; Alatorre-Jimenez, M.; Qin, L. Melatonin as an antioxidant: Under promises but over delivers. J. Pineal Res. 2016, 61, 253–278. [Google Scholar] [CrossRef] [PubMed]
- Wang, Y.; Zhu, S.; He, W.; Marchuk, H.; Richard, E.; Desviat, L.R.; Young, S.P.; Koeberl, D.; Kasumov, T.; Chen, X.; et al. The attenuated hepatic clearance of propionate increases cardiac oxidative stress in propionic acidemia. Basic Res. Cardiol. 2024, 119, 1045–1062. [Google Scholar] [CrossRef] [PubMed]
- Yi, X.; Cai, R.; Shaoyong, W.; Wang, G.; Yan, W.; He, Z.; Li, R.; Chao, M.; Zhao, T.; Deng, L.; et al. Melatonin promotes gut anti-oxidative status in perinatal rat by remodeling the gut microbiome. Redox Biol. 2023, 65, 102829. [Google Scholar] [CrossRef]







Disclaimer/Publisher’s Note: The statements, opinions and data contained in all publications are solely those of the individual author(s) and contributor(s) and not of MDPI and/or the editor(s). MDPI and/or the editor(s) disclaim responsibility for any injury to people or property resulting from any ideas, methods, instructions or products referred to in the content. |
© 2025 by the authors. Licensee MDPI, Basel, Switzerland. This article is an open access article distributed under the terms and conditions of the Creative Commons Attribution (CC BY) license (https://creativecommons.org/licenses/by/4.0/).
Share and Cite
Cui, A.; Guan, Q.; Wang, Z.; Cao, J.; Dong, Y.; Chen, Y. Exogenous Melatonin Attenuates Sleep Restriction-Induced Kidney Injury via Gut Microbiota-Derived Propionate in Mice. Antioxidants 2025, 14, 1218. https://doi.org/10.3390/antiox14101218
Cui A, Guan Q, Wang Z, Cao J, Dong Y, Chen Y. Exogenous Melatonin Attenuates Sleep Restriction-Induced Kidney Injury via Gut Microbiota-Derived Propionate in Mice. Antioxidants. 2025; 14(10):1218. https://doi.org/10.3390/antiox14101218
Chicago/Turabian StyleCui, An, Qingyun Guan, Zixu Wang, Jing Cao, Yulan Dong, and Yaoxing Chen. 2025. "Exogenous Melatonin Attenuates Sleep Restriction-Induced Kidney Injury via Gut Microbiota-Derived Propionate in Mice" Antioxidants 14, no. 10: 1218. https://doi.org/10.3390/antiox14101218
APA StyleCui, A., Guan, Q., Wang, Z., Cao, J., Dong, Y., & Chen, Y. (2025). Exogenous Melatonin Attenuates Sleep Restriction-Induced Kidney Injury via Gut Microbiota-Derived Propionate in Mice. Antioxidants, 14(10), 1218. https://doi.org/10.3390/antiox14101218

