Next Article in Journal
Nitroxyl Hybrids with Curcumin and Stilbene Scaffolds Display Potent Antioxidant Activity, Remodel the Amyloid Beta Oligomer, and Reverse Amyloid Beta-Induced Cytotoxicity
Previous Article in Journal
Polyphenolic Antioxidants in Bilberry Stems and Leaves: A Non-Targeted Analysis by Two-Dimensional NMR Spectroscopy and Liquid Chromatography–High-Resolution Mass Spectrometry
 
 
Font Type:
Arial Georgia Verdana
Font Size:
Aa Aa Aa
Line Spacing:
Column Width:
Background:
Correction

Correction: Mahmoud et al. Coriander Oil Reverses Dexamethasone-Induced Insulin Resistance in Rats. Antioxidants 2022, 11, 441

1
Department of Pharmacology and Toxicology, Faculty of Pharmacy, Zagazig University, Zagazig 44519, Egypt
2
Department of Pharmacognosy, Faculty of Pharmacy, Zagazig University, Zagazig 44519, Egypt
3
Department of Histology, Faculty of Medicine for Girls, Al Azhar University, Cairo 11751, Egypt
4
AgroBioSciences, Mohammed VI Polytechnic University, Lot 660, Hay MoulayRachid, Ben-Guerir 43150, Morocco
*
Authors to whom correspondence should be addressed.
Antioxidants 2024, 13(11), 1410; https://doi.org/10.3390/antiox13111410
Submission received: 9 July 2024 / Accepted: 16 July 2024 / Published: 18 November 2024
In the original publication [1], there was a mistake in Figures 7 and 8 as published. Figure 7A was mistakenly used again for Figure 7E; Figure 7D was mistakenly used again for Figure 8A; and Figure 7B was mistakenly used again for Figure 8E. The corrected Figure 7 and Figure 8 appear below.
The authors state that the scientific conclusions are unaffected. This correction was approved by the Academic Editor. The original publication has also been updated.

Reference

  1. Mahmoud, M.F.; Ali, N.; Mostafa, I.; Hasan, R.A.; Sobeh, M. Coriander Oil Reverses Dexamethasone-Induced Insulin Resistance in Rats. Antioxidants 2022, 11, 441. [Google Scholar] [CrossRef]
Figure 7. Effect of coriander oil and metformin (50 mg/kg/day, PO) on pancreatic apoptosis marker, BAX in dexamethasone-induced insulin resistance in rats (RI). Photomicrograph of a pancreatic sections of (A) the control group displaying few of the islet cells are BAX positive cells; (B) the IR group displaying most of the islet cells are BAX positive cells; (C) metformin group showing some of the islet cells are BAX positive cells; (D) coriander oil (low dose group, 0.5 mL/kg, PO) displaying many of the islet cells are BAX positive cells; (E) coriander oil (high dose group, 1 mL/kg, PO) displaying some of the islet cells are BAX positive cells (Avidine biotin peroxidase stain with Hx counter stain ×400, scale bar = 50 µm); (F) Bar graph showing the difference in number of immunopositive BAX cells in islets of Langerhans per field in all studied groups which was quantified ×400. Results were analyzed by one-way ANOVA followed by the Post-hoc Tukey test. Results are shown in mean ± SEM (n = 6). *, @, #, $ p < 0.05 compared to normal, IR, metformin, and high dose coriander oil (CO 1) groups, respectively.
Figure 7. Effect of coriander oil and metformin (50 mg/kg/day, PO) on pancreatic apoptosis marker, BAX in dexamethasone-induced insulin resistance in rats (RI). Photomicrograph of a pancreatic sections of (A) the control group displaying few of the islet cells are BAX positive cells; (B) the IR group displaying most of the islet cells are BAX positive cells; (C) metformin group showing some of the islet cells are BAX positive cells; (D) coriander oil (low dose group, 0.5 mL/kg, PO) displaying many of the islet cells are BAX positive cells; (E) coriander oil (high dose group, 1 mL/kg, PO) displaying some of the islet cells are BAX positive cells (Avidine biotin peroxidase stain with Hx counter stain ×400, scale bar = 50 µm); (F) Bar graph showing the difference in number of immunopositive BAX cells in islets of Langerhans per field in all studied groups which was quantified ×400. Results were analyzed by one-way ANOVA followed by the Post-hoc Tukey test. Results are shown in mean ± SEM (n = 6). *, @, #, $ p < 0.05 compared to normal, IR, metformin, and high dose coriander oil (CO 1) groups, respectively.
Antioxidants 13 01410 g007
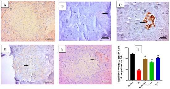
Figure 8. Effect of Effect of coriander oil and metformin on pancreatic anti-apoptotic marker, BCL2 in dexamethasone-induced insulin resistance in rats (RI). Photomicrograph of a pancreatic sections (A) control group displaying most of the islet cells are BCL2 positive cells; (B) IR group displaying few of the islet cells are BCL2 positive cells; (C) metformin group (50 mg/kg/day, PO) displaying many of the islet cells are BCL2 positive cells; (D) coriander oil group (low dose, (CO 0.5 mL/kg, PO)) displaying some of the islet cells are BCL2 positive cells; (E) coriander oil group (high dose, (CO 1 mL/kg, PO)) displaying many of the islet cells are BCL2 positive cells (Avidine biotin peroxidase stain with Hx counter stain ×400, scale bar = 50 µm); (F) Bar graph showing the difference in number of immunopositive BCL2 cells in islets of Langerhans per field in all studied groups that were quantified at ×400. Results were analyzed by one-way ANOVA followed by the post-hoc Tukey test. Results are shown in mean ± SEM (n = 6). *, @, $ p < 0.05 compared to normal, IR, and high dose coriander oil (CO 1) groups, respectively.
Figure 8. Effect of Effect of coriander oil and metformin on pancreatic anti-apoptotic marker, BCL2 in dexamethasone-induced insulin resistance in rats (RI). Photomicrograph of a pancreatic sections (A) control group displaying most of the islet cells are BCL2 positive cells; (B) IR group displaying few of the islet cells are BCL2 positive cells; (C) metformin group (50 mg/kg/day, PO) displaying many of the islet cells are BCL2 positive cells; (D) coriander oil group (low dose, (CO 0.5 mL/kg, PO)) displaying some of the islet cells are BCL2 positive cells; (E) coriander oil group (high dose, (CO 1 mL/kg, PO)) displaying many of the islet cells are BCL2 positive cells (Avidine biotin peroxidase stain with Hx counter stain ×400, scale bar = 50 µm); (F) Bar graph showing the difference in number of immunopositive BCL2 cells in islets of Langerhans per field in all studied groups that were quantified at ×400. Results were analyzed by one-way ANOVA followed by the post-hoc Tukey test. Results are shown in mean ± SEM (n = 6). *, @, $ p < 0.05 compared to normal, IR, and high dose coriander oil (CO 1) groups, respectively.
Antioxidants 13 01410 g008
Disclaimer/Publisher’s Note: The statements, opinions and data contained in all publications are solely those of the individual author(s) and contributor(s) and not of MDPI and/or the editor(s). MDPI and/or the editor(s) disclaim responsibility for any injury to people or property resulting from any ideas, methods, instructions or products referred to in the content.

Share and Cite

MDPI and ACS Style

Mahmoud, M.F.; Ali, N.; Mostafa, I.; Hasan, R.A.; Sobeh, M. Correction: Mahmoud et al. Coriander Oil Reverses Dexamethasone-Induced Insulin Resistance in Rats. Antioxidants 2022, 11, 441. Antioxidants 2024, 13, 1410. https://doi.org/10.3390/antiox13111410

AMA Style

Mahmoud MF, Ali N, Mostafa I, Hasan RA, Sobeh M. Correction: Mahmoud et al. Coriander Oil Reverses Dexamethasone-Induced Insulin Resistance in Rats. Antioxidants 2022, 11, 441. Antioxidants. 2024; 13(11):1410. https://doi.org/10.3390/antiox13111410

Chicago/Turabian Style

Mahmoud, Mona F., Noura Ali, Islam Mostafa, Rehab A. Hasan, and Mansour Sobeh. 2024. "Correction: Mahmoud et al. Coriander Oil Reverses Dexamethasone-Induced Insulin Resistance in Rats. Antioxidants 2022, 11, 441" Antioxidants 13, no. 11: 1410. https://doi.org/10.3390/antiox13111410

APA Style

Mahmoud, M. F., Ali, N., Mostafa, I., Hasan, R. A., & Sobeh, M. (2024). Correction: Mahmoud et al. Coriander Oil Reverses Dexamethasone-Induced Insulin Resistance in Rats. Antioxidants 2022, 11, 441. Antioxidants, 13(11), 1410. https://doi.org/10.3390/antiox13111410

Note that from the first issue of 2016, this journal uses article numbers instead of page numbers. See further details here.

Article Metrics

Back to TopTop