Coriander Oil Reverses Dexamethasone-Induced Insulin Resistance in Rats
Abstract
:1. Introduction
2. Materials and Methods
2.1. Plant Material and Oil Hydrodistillation
2.2. GC/MS Analysis
2.3. Experimental Animals
2.4. Induction of Insulin Resistance and Experimental Design
2.5. Oral Glucose Tolerance Test (OGTT) and Sample Collection
2.6. Biochemical Analysis
2.7. Histopathological Study
2.8. Immunohistochemical Staining
2.9. Morphometric Analysis
2.10. Statistical Analysis
3. Results
3.1. Essential Oil Composition
3.2. In Vivo Study Results
3.2.1. Effect of Coriander Oil on Weight and Organ Index of Pancreas
3.2.2. Effect of Coriander Oil on Oral Glucose Tolerance Test (OGTT)
3.2.3. Effect of Coriander Oil on Glycemic Parameters
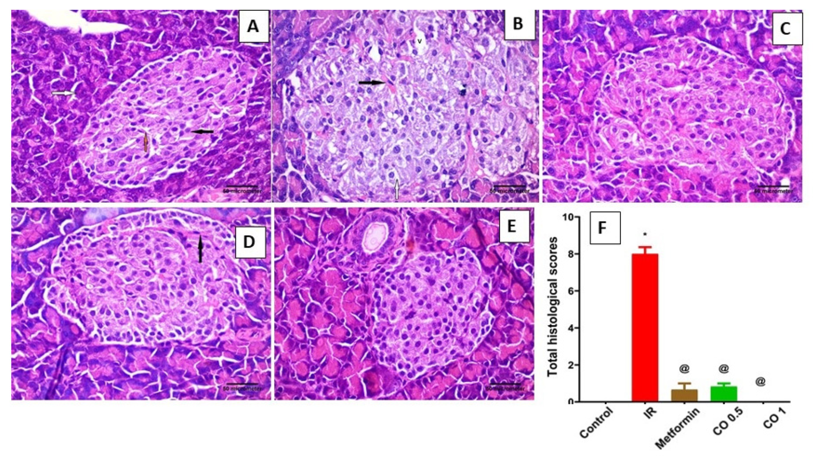
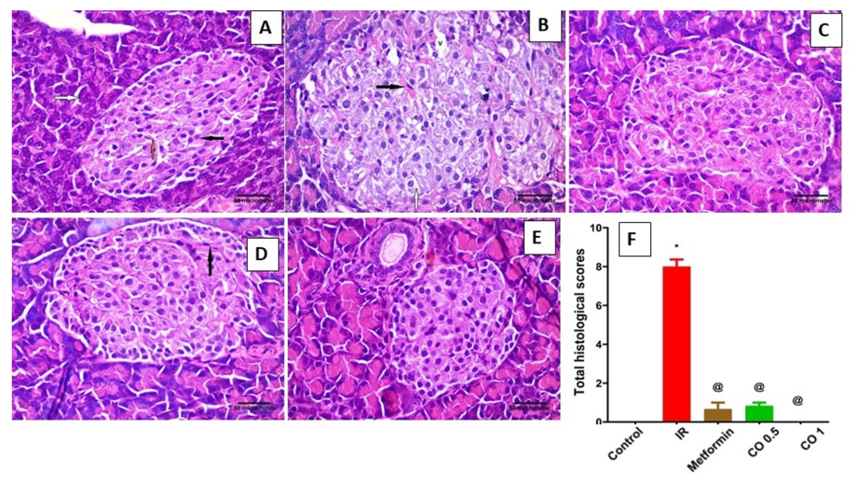
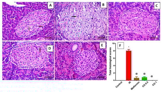
3.2.4. Effect of Coriander Oil on Pancreatic Histology
3.2.5. Effect of Coriander Oil on Lipid Profile
3.2.6. Effect of Coriander Oil on Oxidative Stress Markers, MDA and GSH Levels in Pancreatic Tissue Homogenate
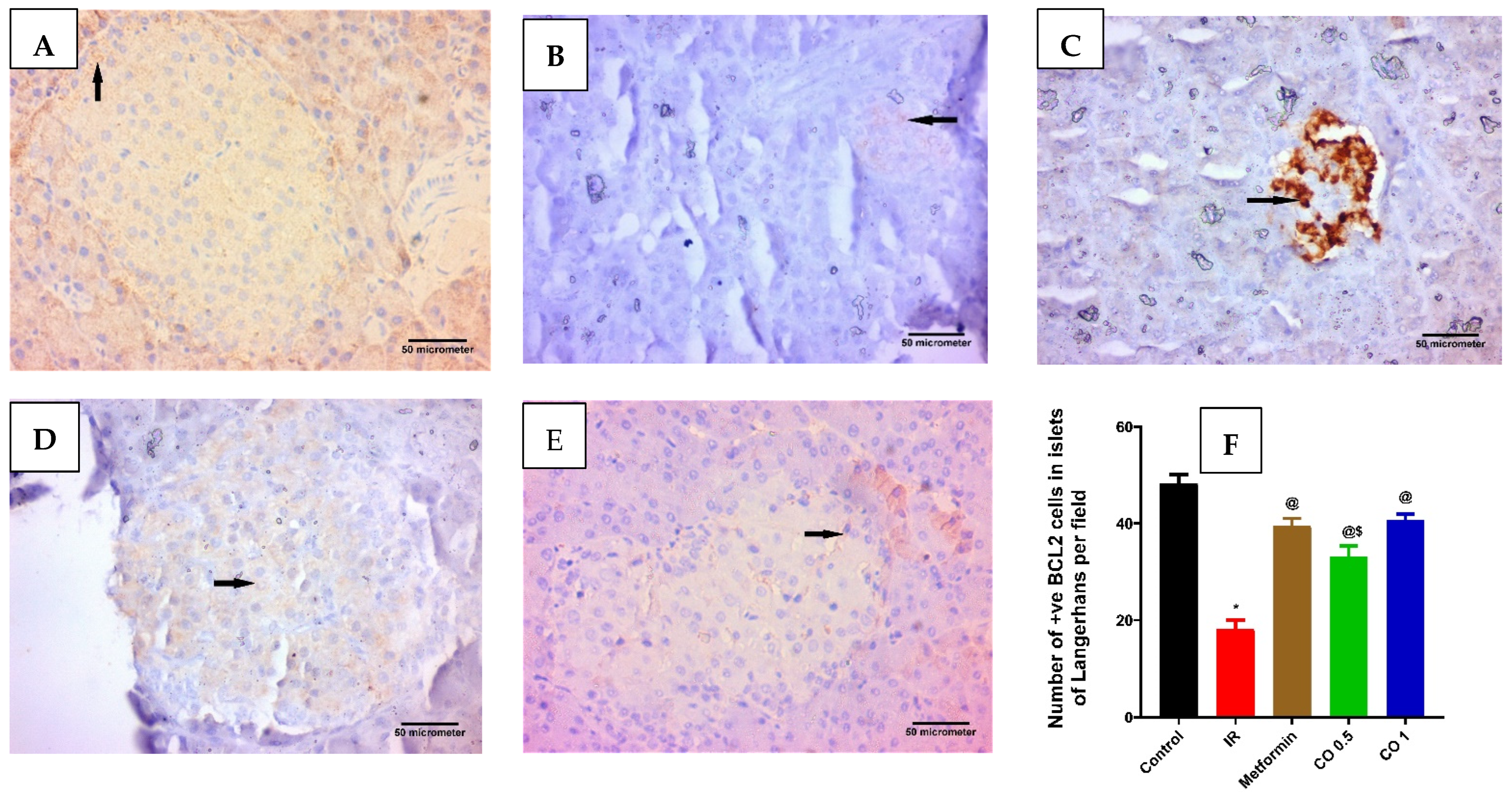
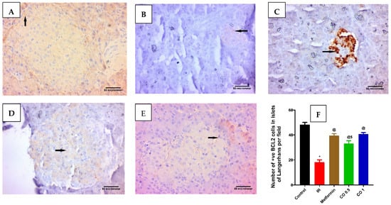
3.2.7. Effect of Coriander Oil on Pancreatic Apoptosis Markers, BAX, and BCL2 Levels
4. Discussion
5. Conclusions
Supplementary Materials
Author Contributions
Funding
Institutional Review Board Statement
Informed Consent Statement
Data Availability Statement
Conflicts of Interest
References
- Mahmoud, M.F.; Abdelaal, S.; Mohammed, H.O.; El-Shazly, A.M.; Daoud, R.; El Raey, M.A.; Sobeh, M. Syzygium jambos extract mitigates pancreatic oxidative stress, inflammation and apoptosis and modulates hepatic IRS-2/AKT/GLUT4 signaling pathway in streptozotocin-induced diabetic rats. Biomed. Pharmacother. 2021, 142, 112085. [Google Scholar] [CrossRef]
- Nurcahyanti, A.D.R.; Jap, A.; Lady, J.; Prismawan, D.; Sharopov, F.; Daoud, R.; Wink, M.; Sobeh, M. Function of selected natural antidiabetic compounds with potential against cancer via modulation of the PI3K/AKT/mTOR cascade. Biomed. Pharmacother. 2021, 144, 112138. [Google Scholar] [CrossRef]
- Sobeh, M.; El-Raey, M.; Rezq, S.; Abdelfattah, M.A.; Petruk, G.; Osman, S.; El-Shazly, A.M.; El-Beshbishy, H.A.; Mahmoud, M.; Wink, M. Chemical profiling of secondary metabolites of Eugenia uniflora and their antioxidant, anti-inflammatory, pain killing and anti-diabetic activities: A comprehensive approach. J. Ethnopharmacol. 2019, 240, 111939. [Google Scholar] [CrossRef]
- Manlai, U.; Chang, S.-W.; Lee, S.-C.; Ho, W.-J.; Hsu, T.-H.; Lin, J.-G.; Lin, C.-M.; Chen, Y.-I.; Chang, S.-L. Hypoglycemic Effect of Electroacupuncture Combined with Antrodia cinnamomea in Dexamethasone-Induced Insulin-Resistant Rats. Med. Acupunct. 2021, 33, 58–64. [Google Scholar] [CrossRef] [PubMed]
- Weinstein, S.P.; Paquin, T.; Pritsker, A.; Haber, R.S. Glucocorticoid-Induced Insulin Resistance: Dexamethasone Inhibits the Activation of Glucose Transport in Rat Skeletal Muscle by Both Insulin- and Non-Insulin-Related Stimuli. Diabetes 1995, 44, 441–445. [Google Scholar] [CrossRef]
- Yen, H.-F.; Hsieh, C.-T.; Hsieh, T.-J.; Chang, F.-R.; Wang, C.-K. In vitro anti-diabetic effect and chemical component analysis of 29 essential oils products. J. Food Drug Anal. 2015, 23, 124–129. [Google Scholar] [CrossRef]
- Beutler, J. Natural Products as a Foundation for Drug Discovery. Curr. Protoc. Pharmacol. 2009, 46, 9.11.1–9.11.21. [Google Scholar] [CrossRef] [PubMed]
- Mandal, S.; Mandal, M. Coriander (Coriandrum sativum L.) essential oil: Chemistry and biological activity. Asian Pac. J. Trop. Biomed. 2015, 5, 421–428. [Google Scholar] [CrossRef]
- Hanafi, R.S.; Sobeh, M.; Ashour, M.L.; El-Readi, M.Z.; Desoukey, S.Y.; Niess, R.; Abadi, A.H.; Wink, M. Chemical Composition and Biological Activity of Essential Oils of Cumin and Coriander Fruits from Egypt. Nat. Prod. J. 2014, 4, 63–69. [Google Scholar] [CrossRef]
- Burdock, G.A.; Carabin, I.G. Safety assessment of coriander (Coriandrum sativum L.) essential oil as a food ingredient. Food Chem. Toxicol. 2009, 47, 22–34. [Google Scholar] [CrossRef]
- El-Soud, N.; El-Lithy, N.A.; Wahby, M.S.; Khalil, M.; El-Kassem, L.; Morsy, F.; Shaffie, N.M. Efficacy of Coriandrum sativum L. essential oil as antidiabetic. J. Appl. Sci. Res. 2012, 8, 3646–3655.12. [Google Scholar]
- Jeleń, H.; Marcinkowska, M.; Marek, M. Determination of Volatile Terpenes in Coriander Cold Pressed Oil by Vacuum Assisted Sorbent Extraction (VASE). Molecules 2021, 26, 884. [Google Scholar] [CrossRef] [PubMed]
- Anwar, F.; Sulman, M.; Hussain, A.I.; Saari, N.; Iqbal, S.; Rashid, U. Physicochemical Composition of hydro-distilled essential oil from coriander (Coriandrum sativum L.) seeds cultivated in Pakistan. JMPR 2011, 5, 3537–3544. [Google Scholar] [CrossRef]
- Shalam, M.D.; Harish, M.S.; Farhana, S.A. Prevention of dexamethasone-and fructose-induced insulin resistance in rats by SH-01D, a herbal preparation. Indian J. Pharmacol. 2006, 38, 419. [Google Scholar] [CrossRef]
- Heidari, B.; Sajjadi, S.E.; Minaiyan, M. Effect of Coriandrum sativum hydroalcoholic extract and its essential oil on acetic acid- induced acute colitis in rats. Avicenna J. Phytomed. 2016, 6, 205–214. [Google Scholar] [CrossRef]
- Matthews, D.R.; Hosker, J.P.; Rudenski, A.S.; Naylor, B.A.; Treacher, D.F.; Turner, R.C. Homeostasis model assessment: Insulin resistance and β-cell function from fasting plasma glucose and insulin concentrations in man. Diabetologia 1985, 28, 412–419. [Google Scholar] [CrossRef]
- Bancroft, J.D.; Gamble, M. Theory and Practice of Histological Techniques; Elsevier Health Sciences: Amsterdam, The Netherlands, 2008; ISBN 0443102791. [Google Scholar]
- Zhou, X.; Han, Y.; Yang, H.; Li, S. Effects of SSTF on the expression of apoptosis-associated gene Bcl-2 and Bax by cardiomyocytes induced by H2O2. Guangdong Med. J. 2005, 28, 1590–1591. [Google Scholar]
- Ramos-Vara, J.A.; Kiupel, M.; Baszler, T.; Bliven, L.; Brodersen, B.; Chelack, B.; West, K.; Czub, S.; Del Piero, F.; Dial, S. Suggested Guidelines for Immunohistochemical Techniques in Veterinary Diagnostic Laboratories. J. Vet. Diagn. Investig. 2008, 20, 393–413. [Google Scholar] [CrossRef]
- Shittu, S.-T.T.; Lasisi, T.J.; Shittu, S.A.-S.; Adeyemi, A.; Adeoye, T.J.; Alada, A.A. Ocimum gratissimum enhances insulin sensitivity in male Wistar rats with dexamethasone-induced insulin resistance. J. Diabetes Metab. Disord. 2021, 20, 1257–1267. [Google Scholar] [CrossRef]
- Kelley, D.E.; Mandarino, L.J. Fuel selection in human skeletal muscle in insulin resistance: A reexamination. Diabetes 2000, 49, 677–683. [Google Scholar] [CrossRef]
- Koyagura, N.; Kumar, V.H.; Shanmugam, C. Anti-Diabetic and Hypolipidemic Effect of Coccinia Indica in Glucocorticoid Induced Insulin Resistance. Biomed. Pharmacol. J. 2021, 14, 133–140. [Google Scholar] [CrossRef]
- Mechchate, H.; Es-Safi, I.; Amaghnouje, A.; Boukhira, S.; Alotaibi, A.A.; Al-Zharani, M.; Nasr, F.A.; Noman, O.M.; Conte, R.; Amal, E.H.E.Y. Antioxidant, anti-inflammatory and antidiabetic proprieties of LC-MS/MS identified polyphenols from coriander seeds. Molecules 2021, 26, 487. [Google Scholar] [CrossRef] [PubMed]
- Deepa, B.; Anuradha, C.V. Effects of linalool on inflammation, matrix accumulation and podocyte loss in kidney of streptozotocin-induced diabetic rats. Toxicol. Mech. Methods 2012, 23, 223–234. [Google Scholar] [CrossRef]
- More, T.A.; Kulkarni, B.R.; Nalawade, M.L.; Arvindekar, A.U. Antidiabetic activity of linalool and limonene in streptozotocin-induced diabetic rat: A combinatorial therapy approach. Int. J. Pharm. Pharm. Sci. 2014, 6, 159–163. [Google Scholar]
- Alona, S.; Svitlana, M.; Sofia, N. Influence of some herbal mixtures on insulin resistance and glucose tolerance in rats. PharmacologyOnLine 2021, 1, 356–364. [Google Scholar]
- Nguelefack-Mbuyo, E.P.; Peyembouo, F.P.; Fofié, C.K.; Nguelefack, T.B. Dose-dependent and time-dependent metabolic, hemodynamic, and redox disturbances in dexamethasone-treated wistar rats. J. Basic Clin. Physiol. Pharmacol. 2021, 4. [Google Scholar] [CrossRef]
- Buzatto, A.Z.; Malkawi, A.; Sabi, E.M.; Mujamammi, A.H.; Li, L.; Rahman, A.M.A. Tissue Lipidomic Alterations Induced by Prolonged Dexamethasone Treatment. J. Proteome Res. 2021, 20, 1558–1570. [Google Scholar] [CrossRef]
- Dzinyela, R.; Asomaning, E.K.; Abdul-Baasit, A.-N.; Alhassan, A.R.; Movahedi, A. An In Vivo Evaluation of Antihyperlipidaemic Activity of Ethanolic Extract of Amaranthus spinosus Leaves on Dexamethasone Induced Hyperlipidaemic Rats. Biochem. Mol. Biol. 2021, 6, 25. [Google Scholar] [CrossRef]
- Murray, A.; Tharmalingam, S.; Nguyen, P.; Tai, T.C. Untargeted metabolomics reveals sex-specific differences in lipid metabolism of adult rats exposed to dexamethasone in utero. Sci. Rep. 2021, 11, 1–12. [Google Scholar] [CrossRef]
- Campbell-Thompson, M.L.; Kaddis, J.S.; Wasserfall, C.; Haller, M.J.; Pugliese, A.; Schatz, D.A.; Shuster, J.J.; Atkinson, M.A. The influence of type 1 diabetes on pancreatic weight. Diabetologia 2016, 59, 217–221. [Google Scholar] [CrossRef]
- Yagihashi, S. Diabetes and pancreas size, does it matter? J. Diabetes Investig. 2016, 8, 413–415. [Google Scholar] [CrossRef] [PubMed]
- Elseady, W.S.; Ellatif, R.A.A.; Estfanous, R.S.; Emam, M.N.; Keshk, W.A. New insight on the role of liraglutide in alleviating dexamethasone-induced pancreatic cytotoxicity via improving redox status, autophagy flux, and PI3K/Akt/Nrf2 signaling. Can. J. Physiol. Pharmacol. 2021, 7, 1–9. [Google Scholar] [CrossRef] [PubMed]
- Ulla, A.; Uchida, T.; Miki, Y.; Sugiura, K.; Higashitani, A.; Kobayashi, T.; Ohno, A.; Nakao, R.; Hirasaka, K.; Sakakibara, I.; et al. Morin attenuates dexamethasone-mediated oxidative stress and atrophy in mouse C2C12 skeletal myotubes. Arch. Biochem. Biophys. 2021, 704, 108873. [Google Scholar] [CrossRef] [PubMed]
- Salimi, A.; Khodaparast, F.; Bohlooli, S.; Hashemidanesh, N.; Baghal, E.; Rezagholizadeh, L. Linalool reverses benzene-induced cytotoxicity, oxidative stress and lysosomal/mitochondrial damages in human lymphocytes. Drug Chem. Toxicol. 2021, 1–9. [Google Scholar] [CrossRef] [PubMed]
- Yuan, C.; Shin, M.; Park, Y.; Choi, B.; Jang, S.; Lim, C.; Yun, H.S.; Lee, I.-S.; Won, S.-Y.; Cho, K.S. Linalool Alleviates Aβ42-Induced Neurodegeneration via Suppressing ROS Production and Inflammation in Fly and Rat Models of Alzheimer’s Disease. Oxidative Med. Cell. Longev. 2021, 2021, 1–10. [Google Scholar] [CrossRef]
- Suksri, K.; Semprasert, N.; Junking, M.; Kutpruek, S.; Limjindaporn, T.; Yenchitsomanus, P.-T.; Kooptiwut, S. Dexamethasone induces pancreatic β-cell apoptosis through upregulation of TRAIL death receptor. J. Mol. Endocrinol. 2021, 67, 95–106. [Google Scholar] [CrossRef] [PubMed]
- Guo, Y.; Hao, D.; Hu, H. High doses of dexamethasone induce endoplasmic reticulum stress-mediated apoptosis by promoting calcium ion influx-dependent CHOP expression in osteoblasts. Mol. Biol. Rep. 2021, 48, 7841–7851. [Google Scholar] [CrossRef] [PubMed]
- Caputo, L.; Piccialli, I.; Ciccone, R.; De Caprariis, P.; Massa, A.; De Feo, V.; Pannaccione, A. Lavender and coriander essential oils and their main component linalool exert a protective effect against amyloid-β neurotoxicity. Phytother. Res. 2020, 35, 486–493. [Google Scholar] [CrossRef]









| Groups | Vacuolation | Congestion | Hemorrhage | Total Scores |
|---|---|---|---|---|
| Control | 0.00 ± 0.00 | 0.00 ± 0.00 | 0.00 ± 0.00 | 0.00 ± 0.00 |
| IR | 2.83 * ± 0.17 | 2.50 * ± 0.22 | 2.67 * ± 0.21 | 8.00 * ± 0.37 |
| Metformin | 0.33 @ ± 0.21 | 0.33 @ ± 0.21 | 0.00 @ ± 0.00 | 0.67 @ ± 0.33 |
| Coriander oil (0.5 mL/kg) | 0.17 @ ± 0.17 | 0.67 @ ± 0.21 | 0.00 @ ± 0.00 | 0.83 @ ± 0.17 |
| Coriander oil (1 mL/kg) | 0.00 @ ± 0.00 | 0.00 @ ± 0.00 | 0.00 @ ± 0.00 | 0.00 @ ± 0.00 |
Publisher’s Note: MDPI stays neutral with regard to jurisdictional claims in published maps and institutional affiliations. |
© 2022 by the authors. Licensee MDPI, Basel, Switzerland. This article is an open access article distributed under the terms and conditions of the Creative Commons Attribution (CC BY) license (https://creativecommons.org/licenses/by/4.0/).
Share and Cite
Mahmoud, M.F.; Ali, N.; Mostafa, I.; Hasan, R.A.; Sobeh, M. Coriander Oil Reverses Dexamethasone-Induced Insulin Resistance in Rats. Antioxidants 2022, 11, 441. https://doi.org/10.3390/antiox11030441
Mahmoud MF, Ali N, Mostafa I, Hasan RA, Sobeh M. Coriander Oil Reverses Dexamethasone-Induced Insulin Resistance in Rats. Antioxidants. 2022; 11(3):441. https://doi.org/10.3390/antiox11030441
Chicago/Turabian StyleMahmoud, Mona F., Noura Ali, Islam Mostafa, Rehab A. Hasan, and Mansour Sobeh. 2022. "Coriander Oil Reverses Dexamethasone-Induced Insulin Resistance in Rats" Antioxidants 11, no. 3: 441. https://doi.org/10.3390/antiox11030441
APA StyleMahmoud, M. F., Ali, N., Mostafa, I., Hasan, R. A., & Sobeh, M. (2022). Coriander Oil Reverses Dexamethasone-Induced Insulin Resistance in Rats. Antioxidants, 11(3), 441. https://doi.org/10.3390/antiox11030441

