Peiminine Exerts Its Anti-Acne Effects by Regulating the NF-κB Pathway
Abstract
1. Introduction
2. Materials and Methods
2.1. Materials
2.2. C. acnes
2.3. Cell Culture
2.4. NO Aassay
2.5. Western Blot Analyses
2.6. Reporter Gene Analysis
2.7. Quantitative Real-Time PCR (qRT-PCR)
2.8. Mouse Acne Model In Vivo
2.9. Histological Analysis
2.10. Statistics
3. Results
3.1. Peiminine Inhibits Inflammation Induced by C. acnes in BMDMs
3.2. Peiminine Suppresses the Protein Expression of Inflammatory Mediators Induced by C. acnes
3.3. Peiminine Inhibits NF-κB Activation Induced by C. acnes but Does Not Suppress MAPK Signaling
3.4. Peiminine Inhibits the Secretion of Active IL-1β
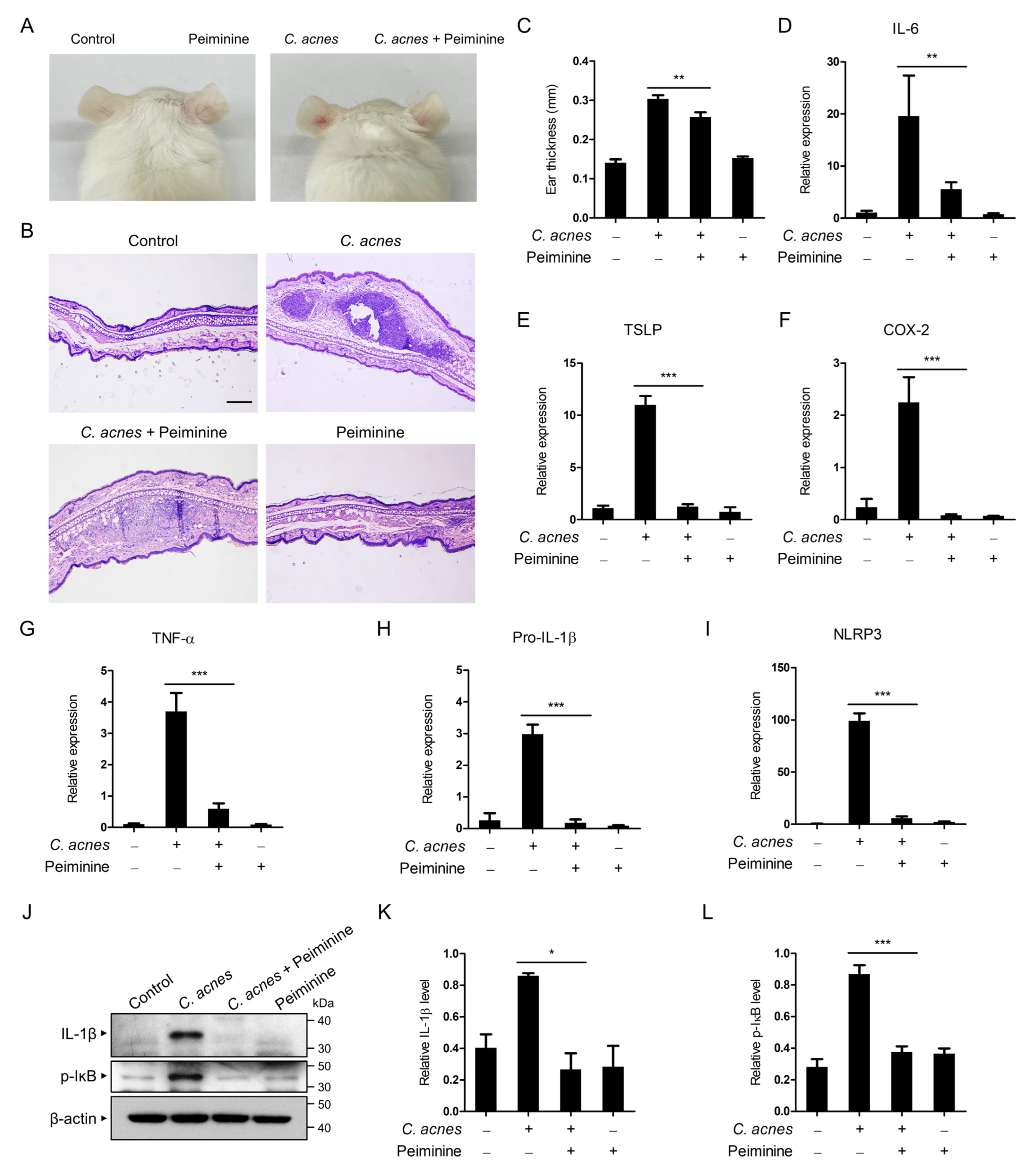
3.5. Peiminine Ameliorates C. acnes-Induced Inflammation In Vivo
4. Discussion
5. Conclusions
Author Contributions
Funding
Institutional Review Board Statement
Informed Consent Statement
Data Availability Statement
Conflicts of Interest
References
- Williams, H.C.; Dellavalle, R.P.; Garner, S. Acne vulgaris. Lancet 2012, 379, 361–372. [Google Scholar] [CrossRef]
- Fox, L.; Csongradi, C.; Aucamp, M.; du Plessis, J.; Gerber, M. Treatment Modalities for Acne. Molecules 2016, 21, 1063. [Google Scholar] [CrossRef]
- Chernyshov, P.V.; Zouboulis, C.C.; Tomas-Aragones, L.; Jemec, G.B.; Manolache, L.; Tzellos, T.; Sampogna, F.; Evers, A.W.M.; Dessinioti, C.; Marron, S.E.; et al. Quality of life measurement in acne. Position Paper of the European Academy of Dermatology and Venereology Task Forces on Quality of Life and Patient Oriented Outcomes and Acne, Rosacea and Hidradenitis Suppurativa. J. Eur. Acad. Dermatol. Venereol. 2018, 32, 194–208. [Google Scholar] [CrossRef]
- Brown, S.K.; Shalita, A.R. Acne vulgaris. Lancet 1998, 351, 1871–1876. [Google Scholar] [CrossRef]
- Heymann, W.R. Toll-like receptors in acne vulgaris. J. Am. Acad. Dermatol. 2006, 55, 691–692. [Google Scholar] [CrossRef]
- Tsai, H.H.; Lee, W.R.; Wang, P.H.; Cheng, K.T.; Chen, Y.C.; Shen, S.C. Propionibacterium acnes-induced iNOS and COX-2 protein expression via ROS-dependent NF-kappaB and AP-1 activation in macrophages. J. Dermatol. Sci. 2013, 69, 122–131. [Google Scholar] [CrossRef]
- Caamano, J.; Hunter, C.A. NF-kappaB family of transcription factors: Central regulators of innate and adaptive immune functions. Clin. Microbiol. Rev. 2002, 15, 414–429. [Google Scholar] [CrossRef]
- Viatour, P.; Merville, M.P.; Bours, V.; Chariot, A. Phosphorylation of NF-kappaB and IkappaB proteins: Implications in cancer and inflammation. Trends Biochem. Sci. 2005, 30, 43–52. [Google Scholar] [CrossRef]
- Vowels, B.R.; Yang, S.; Leyden, J.J. Induction of proinflammatory cytokines by a soluble factor of Propionibacterium acnes: Implications for chronic inflammatory acne. Infect. Immun. 1995, 63, 3158–3165. [Google Scholar] [CrossRef]
- Li, Z.J.; Choi, D.K.; Sohn, K.C.; Seo, M.S.; Lee, H.E.; Lee, Y.; Seo, Y.J.; Lee, Y.H.; Shi, G.; Zouboulis, C.C.; et al. Propionibacterium acnes activates the NLRP3 inflammasome in human sebocytes. J. Investig. Dermatol. 2014, 134, 2747–2756. [Google Scholar] [CrossRef]
- Dessinioti, C.; Katsambas, A. Antibiotics and Antimicrobial Resistance in Acne: Epidemiological Trends and Clinical Practice Considerations. Yale J. Biol. Med. 2022, 95, 429–443. [Google Scholar]
- Nast, A.; Dreno, B.; Bettoli, V.; Bukvic Mokos, Z.; Degitz, K.; Dressler, C.; Finlay, A.Y.; Haedersdal, M.; Lambert, J.; Layton, A.; et al. European evidence-based (S3) guideline for the treatment of acne—Update 2016—Short version. J. Eur. Acad. Dermatol. Venereol. 2016, 30, 1261–1268. [Google Scholar] [CrossRef]
- Zhu, M.; Xu, W.; Jiang, J.; Wang, Y.; Guo, Y.; Yang, R.; Chang, Y.; Zhao, B.; Wang, Z.; Zhang, J.; et al. Peiminine Suppresses RANKL-Induced Osteoclastogenesis by Inhibiting the NFATc1, ERK, and NF-kappaB Signaling Pathways. Front. Endocrinol. 2021, 12, 736863. [Google Scholar] [CrossRef]
- Cho, I.H.; Lee, M.J.; Kim, J.H.; Han, N.Y.; Shin, K.W.; Sohn, Y.; Jung, H.S. Fritillaria ussuriensis extract inhibits the production of inflammatory cytokine and MAPKs in mast cells. Biosci. Biotechnol. Biochem. 2011, 75, 1440–1445. [Google Scholar] [CrossRef]
- Gong, Q.; Li, Y.; Ma, H.; Guo, W.; Kan, X.; Xu, D.; Liu, J.; Fu, S. Peiminine Protects against Lipopolysaccharide-Induced Mastitis by Inhibiting the AKT/NF-kappaB, ERK1/2 and p38 Signaling Pathways. Int. J. Mol. Sci. 2018, 19, 2637. [Google Scholar] [CrossRef]
- Hsu, Y.L.; Hung, H.S.; Tsai, C.W.; Liu, S.P.; Chiang, Y.T.; Kuo, Y.H.; Shyu, W.C.; Lin, S.Z.; Fu, R.H. Peiminine Reduces ARTS-Mediated Degradation of XIAP by Modulating the PINK1/Parkin Pathway to Ameliorate 6-Hydroxydopamine Toxicity and α-Synuclein Accumulation in Parkinson’s Disease Models In Vivo and In Vitro. Int. J. Mol. Sci. 2021, 22, 10240. [Google Scholar] [CrossRef]
- Lee, E.H.; Shin, J.H.; Kim, S.S.; Lee, H.; Yang, S.R.; Seo, S.R. Laurus nobilis leaf extract controls inflammation by suppressing NLRP3 inflammasome activation. J. Cell. Physiol. 2019, 234, 6854–6864. [Google Scholar] [CrossRef]
- Gupta, N.; Gupta, M. The Controversies Surrounding Acne and Suicide: Essential Knowledge for Clinicians. Cureus 2023, 15, e43867. [Google Scholar] [CrossRef]
- Dreno, B.; Dekio, I.; Baldwin, H.; Demessant, A.L.; Dagnelie, M.A.; Khammari, A.; Corvec, S. Acne microbiome: From phyla to phylotypes. J. Eur. Acad. Dermatol. Venereol. 2023. [Google Scholar] [CrossRef]
- Savitri, D.; Wahyuni, S.; Bukhari, A.; Djawad, K.; Hatta, M.; Riyanto, P.; Bahar, B.; Wahab, S.; Hamid, F.; Rifai, Y. Anti-inflammatory effects of banana (Musa balbisiana) peel extract on acne vulgaris: In vivo and in silico study. J. Taibah Univ. Med. Sci. 2023, 18, 1586–1598. [Google Scholar] [CrossRef]
- Cros, M.P.; Mir-Pedrol, J.; Toloza, L.; Knodlseder, N.; Maruotti, J.; Zouboulis, C.C.; Guell, M.; Fabrega, M.J. New insights into the role of Cutibacterium acnes-derived extracellular vesicles in inflammatory skin disorders. Sci. Rep. 2023, 13, 16058. [Google Scholar] [CrossRef]
- Iinuma, K.; Sato, T.; Akimoto, N.; Noguchi, N.; Sasatsu, M.; Nishijima, S.; Kurokawa, I.; Ito, A. Involvement of Propionibacterium acnes in the augmentation of lipogenesis in hamster sebaceous glands in vivo and in vitro. J. Investig. Dermatol. 2009, 129, 2113–2119. [Google Scholar] [CrossRef]
- Gribbon, E.M.; Cunliffe, W.J.; Holland, K.T. Interaction of Propionibacterium acnes with skin lipids in vitro. Microbiology 1993, 139, 1745–1751. [Google Scholar] [CrossRef]
- Snodgrass, R.G.; Huang, S.; Choi, I.W.; Rutledge, J.C.; Hwang, D.H. Inflammasome-mediated secretion of IL-1β in human monocytes through TLR2 activation; modulation by dietary fatty acids. J. Immunol. 2013, 191, 4337–4347. [Google Scholar] [CrossRef]
- Katsuta, Y.; Iida, T.; Hasegawa, K.; Inomata, S.; Denda, M. Function of oleic acid on epidermal barrier and calcium influx into keratinocytes is associated with N-methyl D-aspartate-type glutamate receptors. Br. J. Dermatol. 2009, 160, 69–74. [Google Scholar] [CrossRef]
- Altintas Aykan, D.; Ergun, Y. Isotretinoin: Still the cause of anxiety for teratogenicity. Dermatol. Ther. 2020, 33, e13192. [Google Scholar] [CrossRef]
- Monteiro, R.C.; Fernandes, M. Are antibiotics still relevant in acne? A review of the therapeutic conundrum. Int. J. Dermatol. 2023. [Google Scholar] [CrossRef]
- Nile, S.H.; Su, J.; Wu, D.; Wang, L.; Hu, J.; Sieniawska, E.; Kai, G. Fritillaria thunbergii Miq. (Zhe Beimu): A review on its traditional uses, phytochemical profile and pharmacological properties. Food Chem. Toxicol. 2021, 153, 112289. [Google Scholar] [CrossRef]
- Zheng, Z.; Xu, L.; Zhang, S.; Li, W.; Tou, F.; He, Q.; Rao, J.; Shen, Q. Peiminine inhibits colorectal cancer cell proliferation by inducing apoptosis and autophagy and modulating key metabolic pathways. Oncotarget 2017, 8, 47619–47631. [Google Scholar] [CrossRef]
- Lim, J.M.; Lee, B.; Min, J.H.; Kim, E.Y.; Kim, J.H.; Hong, S.; Kim, J.J.; Sohn, Y.; Jung, H.S. Effect of peiminine on DNCB-induced atopic dermatitis by inhibiting inflammatory cytokine expression in vivo and in vitro. Int. Immunopharmacol. 2018, 56, 135–142. [Google Scholar] [CrossRef]
- Chen, G.; Liu, J.; Jiang, L.; Ran, X.; He, D.; Li, Y.; Huang, B.; Wang, W.; Liu, D.; Fu, S. Peiminine Protects Dopaminergic Neurons from Inflammation-Induced Cell Death by Inhibiting the ERK1/2 and NF-κB Signalling Pathways. Int. J. Mol. Sci. 2018, 19, 821. [Google Scholar] [CrossRef] [PubMed]
- Hooftman, A.; Angiari, S.; Hester, S.; Corcoran, S.E.; Runtsch, M.C.; Ling, C.; Ruzek, M.C.; Slivka, P.F.; McGettrick, A.F.; Banahan, K.; et al. The Immunomodulatory Metabolite Itaconate Modifies NLRP3 and Inhibits Inflammasome Activation. Cell Metab. 2020, 32, 468–478. [Google Scholar] [CrossRef] [PubMed]
- Sharma, B.R.; Kanneganti, T.D. NLRP3 inflammasome in cancer and metabolic diseases. Nat. Immunol. 2021, 22, 550–559. [Google Scholar] [CrossRef] [PubMed]
- Huang, C.; Zhuo, F.; Han, B.; Li, W.; Jiang, B.; Zhang, K.; Jian, X.; Chen, Z.; Li, H.; Huang, H.; et al. The updates and implications of cutaneous microbiota in acne. Cell Biosci. 2023, 13, 113. [Google Scholar] [CrossRef]
- Wardyn, J.D.; Ponsford, A.H.; Sanderson, C.M. Dissecting molecular cross-talk between Nrf2 and NF-κB response pathways. Biochem. Soc. Trans. 2015, 43, 621–626. [Google Scholar] [CrossRef]






| Gene | Primer Sequence | Accession No. | Tm (°C) | Amplification Efficiency (%) | Product Size (bp) |
|---|---|---|---|---|---|
| Il1b | F: GCCACCTTTTGACAGTGATGAG | NM_008361 | 84.5 | 102.2 | 165 |
| R: AGTGATACTGCCTGCCTGAAG | |||||
| Il6 | F: TACCACTTCACAAGTCGGAGGC | NM_031168 | 83 | 95.7 | 116 |
| R: CTGCAAGTGCATCATCGTTGTTC | |||||
| Tnf | F: CCCTCACACTCACAAACCAC | NM_001278601 | 79.5 | 101.5 | 133 |
| R: ACAAGGTACAACCCATCGGC | |||||
| Cox-2 | F: TTGGAGGCGAAGTGGGTTTT | NM_011198 | 85.5 | 92.2 | 148 |
| R: TGGGAGGCACTTGCATTGAT | |||||
| Nlrp3 | F: GACCGTGAGGAAAGGACCAG | NM_145827 | 81.5 | 105.4 | 125 |
| R: GGCCAAAGAGGAATCGGACA | |||||
| Tslp | F: CCCTTCACTCCCCGACAAAA | NM_021367 | 80.5 | 98.6 | 61 |
| R: GCAGTGGTCATTGAGGGCTT | |||||
| Actb | F: AGAGGGAAATCGTGCGTGAC | NM_007393 | 85 | 103.3 | 138 |
| R: CGATAGTGATGACCTGACCGT |
Disclaimer/Publisher’s Note: The statements, opinions and data contained in all publications are solely those of the individual author(s) and contributor(s) and not of MDPI and/or the editor(s). MDPI and/or the editor(s) disclaim responsibility for any injury to people or property resulting from any ideas, methods, instructions or products referred to in the content. |
© 2024 by the authors. Licensee MDPI, Basel, Switzerland. This article is an open access article distributed under the terms and conditions of the Creative Commons Attribution (CC BY) license (https://creativecommons.org/licenses/by/4.0/).
Share and Cite
Cha, S.J.; Kim, S.S.; Shin, J.H.; Seo, S.R. Peiminine Exerts Its Anti-Acne Effects by Regulating the NF-κB Pathway. Antioxidants 2024, 13, 131. https://doi.org/10.3390/antiox13010131
Cha SJ, Kim SS, Shin JH, Seo SR. Peiminine Exerts Its Anti-Acne Effects by Regulating the NF-κB Pathway. Antioxidants. 2024; 13(1):131. https://doi.org/10.3390/antiox13010131
Chicago/Turabian StyleCha, So Jin, Seon Sook Kim, Jin Hak Shin, and Su Ryeon Seo. 2024. "Peiminine Exerts Its Anti-Acne Effects by Regulating the NF-κB Pathway" Antioxidants 13, no. 1: 131. https://doi.org/10.3390/antiox13010131
APA StyleCha, S. J., Kim, S. S., Shin, J. H., & Seo, S. R. (2024). Peiminine Exerts Its Anti-Acne Effects by Regulating the NF-κB Pathway. Antioxidants, 13(1), 131. https://doi.org/10.3390/antiox13010131

