Characterization of a Novel Superoxide Dismutase from a Deep-sea Sea Cucumber (Psychoropotes verruciaudatus)
Abstract
1. Introduction
2. Materials and Methods
2.1. Materials, Total RNA Extraction, and cDNA Cloning
2.2. Sequence Analysis of PVCuZnSOD
2.3. Recombinant Protein Expression
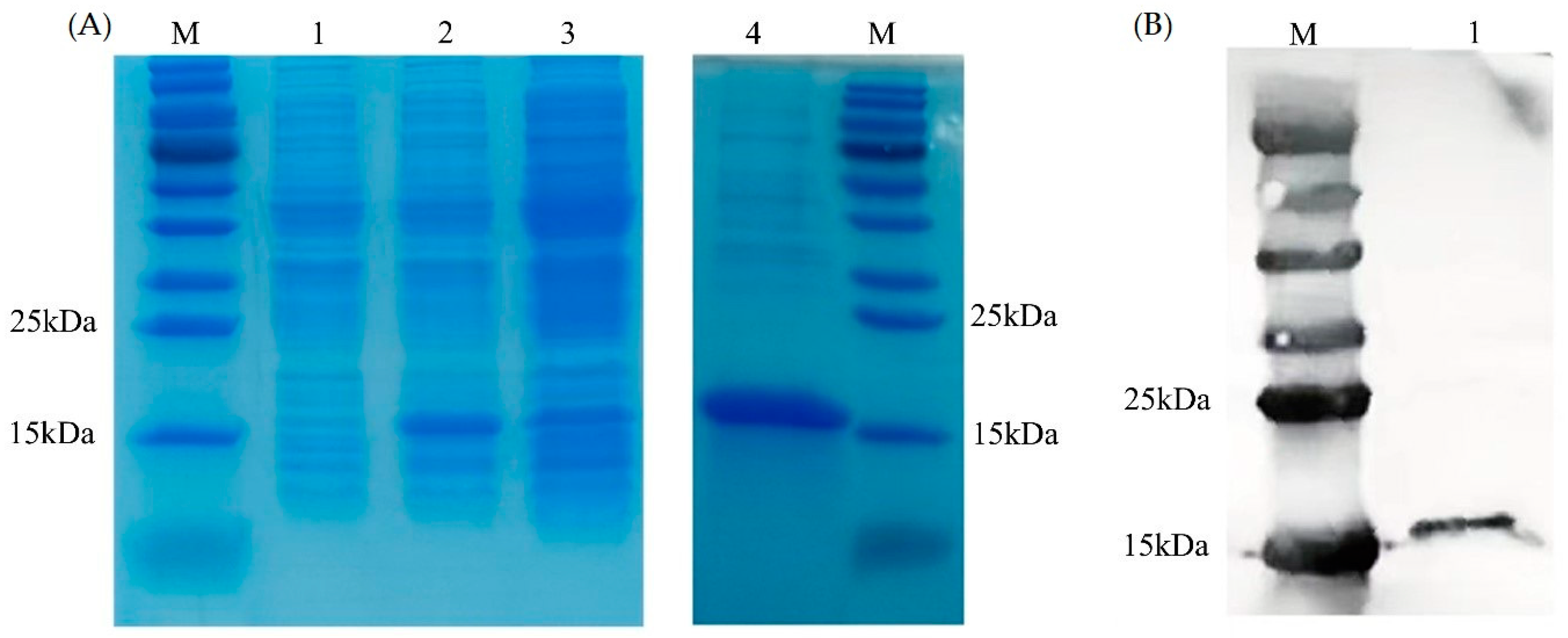
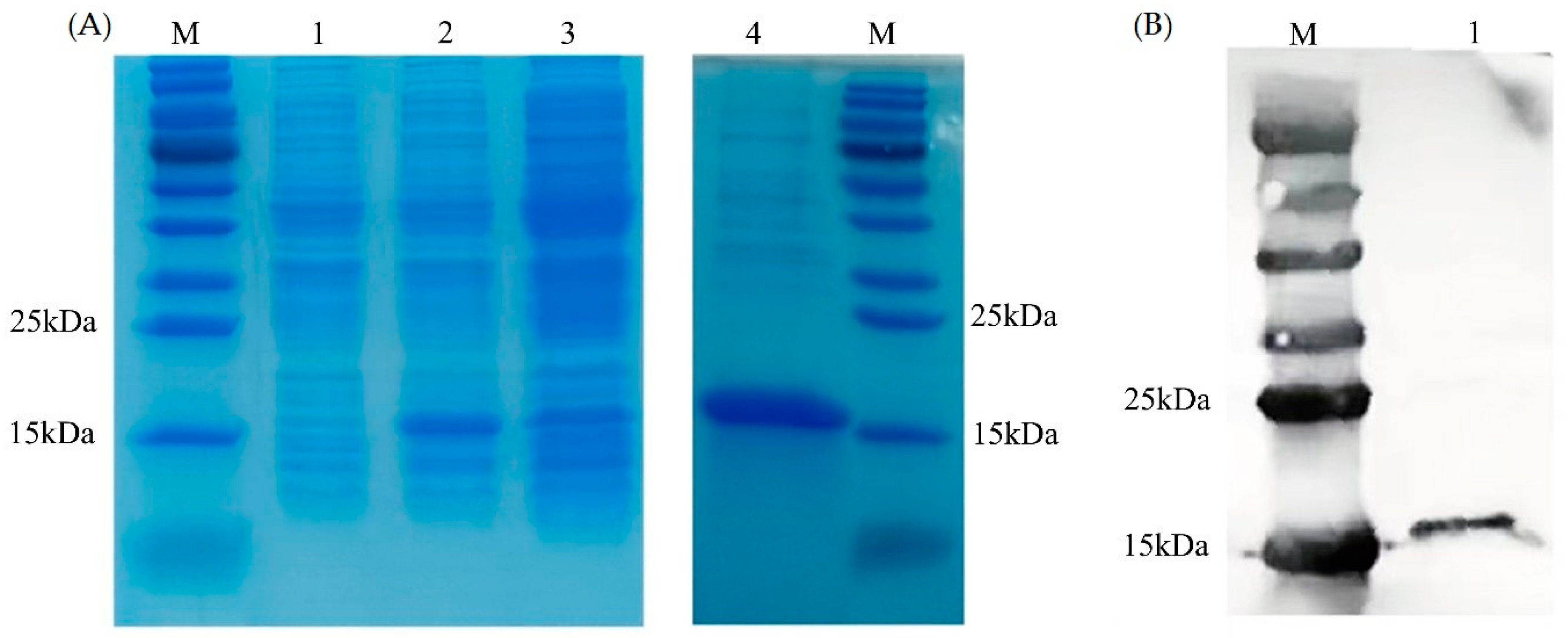
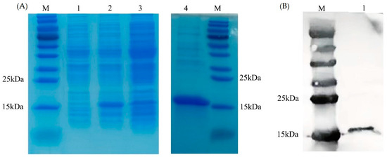
2.4. Extraction and Purification of Recombinant Protein
2.5. Western Blot Analysis
2.6. PVCuZnSOD Assay
2.7. Effect of Temperature on the Activity of PVCuZnSOD
2.8. Effect of pH on the Activity of PVCuZnSOD
2.9. Effect of Metal Ions on the Activity of PVCuZnSOD
2.10. Effect of Surfactants on the Activity of PVCuZnSOD
2.11. Effects of Organic Solvents on the Activity of PVCuZnSOD
2.12. Effect of Denaturant on the Activity of PVCuZnSOD
2.13. Effect of Digestive Enzyme on the Activity of PVCuZnSOD
2.14. Determination of Kinetic Parameters
2.15. Statistical Analysis
3. Results
3.1. Sequence and Homology Analysis of PVCuZnSOD

3.2. Protein Expression and Purification
3.3. Effect of Temperature
3.4. Effect of pH
3.5. Effect of Metal Ions
3.6. Effect of Surfactants
3.7. Effect of Organic Solvents
3.8. Effect of Denaturants
3.9. Effect of Digestive Enzyme
3.10. Kinetic Parameters
4. Discussion
5. Conclusions
Author Contributions
Funding
Institutional Review Board Statement
Informed Consent Statement
Data Availability Statement
Conflicts of Interest
References
- Karuppanapandian, T.; Moon, J.-C.; Kim, C.; Manoharan, K.; Kim, W. Reactive oxygen species in plants: Their generation, signal transduction, and scavenging mechanisms. Aust. J. Crop Sci. 2011, 5, 709–725. [Google Scholar]
- Wiseman, H.; Halliwell, B. Damage to DNA by reactive oxygen and nitrogen species: Role in inflammatory disease and progression to cancer. Biochem. J. 1996, 313 Pt 1, 17. [Google Scholar] [CrossRef]
- Lushchak, V.I. Free radicals, reactive oxygen species, oxidative stress and its classification. Chem. -Biol. Interact. 2014, 224, 164–175. [Google Scholar] [CrossRef] [PubMed]
- Pallavi, S.; Bhushan, J.A.; Shanker, D.R.; Mohammad, P. Reactive Oxygen Species, Oxidative Damage, and Antioxidative Defense Mechanism in Plants under Stressful Conditions. J. Bot. 2012, 2012, 217037. [Google Scholar]
- Sies, H. Oxidative stress: Oxidants and antioxidants. Exp. Physiol. Transl. Integr. 1997, 82, 291–295. [Google Scholar] [CrossRef] [PubMed]
- Zhang, L.; Ma, Y.; Pan, X.; Chen, S.; Zhuang, H.; Wang, S. A composite hydrogel of chitosan/heparin/poly (γ-glutamic acid) loaded with superoxide dismutase for wound healing. Carbohydr. Polym. 2018, 180, 168–174. [Google Scholar] [CrossRef] [PubMed]
- Carillon, J.; Romain, C.; Bardy, G.; Fouret, G.; Feillet-Coudray, C.; Gaillet, S.; Lacan, D.; Cristol, J.-P.; Rouanet, J.-M. Cafeteria diet induces obesity and insulin resistance associated with oxidative stress but not with inflammation: Improvement by dietary supplementation with a melon superoxide dismutase. Free Radic. Biol. Med. 2013, 65, 254–261. [Google Scholar] [CrossRef]
- Corvo, M.L.; Marinho, H.S.; Marcelino, P.; Lopes, R.; Vale, C.; Marques, C.R.; Martins, L.C.D.; Laverman, P.; Storm, G.; Martins, M. Superoxide Dismutase Enzymosomes: Carrier Capacity Optimization, in Vivo Behaviour and Therapeutic Activity. Pharm. Res. 2015, 32, 91–102. [Google Scholar] [CrossRef]
- Goldberg, L.D.; Crysler, C. A single center, pilot, double-blinded, randomized, comparative, prospective clinical study to evaluate improvements in the structure and function of facial skin with tazarotene 0.1% cream alone and in combination with GliSODin® Skin Nutrients Advanced Anti-Aging Formula. Clin. Cosmet. Investig. Dermatol. 2014, 7, 139–144. [Google Scholar] [PubMed]
- Mandelli, F.; Franco Cairo, J.; Citadini, A.; Büchli, F.; Alvarez, T.; Oliveira, R.; Leite, V.; Paes Leme, A.; Mercadante, A.; Squina, F. The characterization of a thermostable and cambialistic superoxide dismutase from Thermus filiformis. Lett. Appl. Microbiol. 2013, 57, 40–46. [Google Scholar] [CrossRef] [PubMed]
- Liu, Y.; Li, Q.; Jiang, W. Nano-Drug with Superoxide Dismutase Embedded Manganese Sulfide, and Preparation Method and Application Thereof. CN Patent 115006520-A, 6 September 2022. [Google Scholar]
- Liu, F. SOD Health-Care Drinking Water and Preparation Method Thereof. CN Patent 104287030-A, 21 January 2015. [Google Scholar]
- Paravani, E.V.; Odetti, L.M.; Simoniello, M.F.; Poletta, G.L. Molecular analysis and bioinformatic characterization of cooper, zinc-superoxide dismutase (Cu/Zn-sod) gene of Caiman latirostris. Mol. Biol. Rep. 2020, 47, 8849–8857. [Google Scholar] [CrossRef]
- Zang, Y.; Chen, J.; Li, R.; Shang, S.; Tang, X. Genome-wide analysis of the superoxide dismutase (SOD) gene family in Zostera marina and expression profile analysis under temperature stress. PeerJ 2020, 8, e9063. [Google Scholar] [CrossRef]
- Kim, C.-H.; Kim, E.J.; Nam, Y.K. Superoxide dismutase multigene family from a primitive chondrostean sturgeon, acipenser baerii: Molecular characterization, evolution, and antioxidant defense during development and pathogen infection. Antioxidants 2021, 10, 232. [Google Scholar] [CrossRef]
- Li, Y.; Kong, X.; Zhang, H. Characteristics of a novel manganese superoxide dismutase of a hadal sea cucumber (Paelopatides Sp.) from the Mariana Trench. Mar. Drugs 2019, 17, 84. [Google Scholar] [CrossRef]
- Teh, A.H.; Kanamasa, S.; Kajiwara, S.; Kumasaka, T. Structure of Cu/Zn superoxide dismutase from the heavy-metal-tolerant yeast Cryptococcus liquefaciens strain N6. Biochem. Biophys. Res. Commun. 2008, 374, 475–478. [Google Scholar] [CrossRef] [PubMed]
- Zhu, Y.; Wang, G.; Ni, H.; Xiao, A.; Cai, H. Cloning and characterization of a new manganese superoxide dismutase from deep-sea thermophile Geobacillus sp. EPT3. World J. Microbiol. Biotechnol. 2014, 30, 1347–1357. [Google Scholar] [CrossRef] [PubMed]
- Deng, D.; Zhang, Y.; Sun, A.; Liang, J.; Hu, Y. Characterization of a thermostable manganese superoxide dismutase from a deep-sea thermophilic bacterium. Xiandai Shipin Keji 2016, 32, 77–83. [Google Scholar]
- Xiao, N.; Gong, L.; Kou, Q.; Li, X. Psychropotes verrucicaudatus, a new species of deep-sea holothurian (Echinodermata: Holothuroidea: Elasipodida: Psychropotidae) from a seamount in the South China Sea. Bull. Mar. Sci. 2019, 95, 421–430. [Google Scholar] [CrossRef]
- Tamura, K.; Stecher, G.; Kumar, S. MEGA11: Molecular Evolutionary Genetics Analysis Version 11. Mol Biol Evol 2021, 38, 3022–3027. [Google Scholar] [CrossRef] [PubMed]
- Xiao, X.; Zhang, Y. Life in extreme environments: Approaches to study life-environment co-evolutionary strategies. Sci. China Earth Sci. 2014, 5, 9. [Google Scholar] [CrossRef]
- Wang, Q.; Yuan, Z.; Wu, H.; Liu, F.; Zhao, J. Molecular characterization of a manganese superoxide dismutase and copper/zinc superoxide dismutase from the mussel Mytilus galloprovincialis. Fish Shellfish Immunol. 2013, 34, 1345–1351. [Google Scholar] [CrossRef] [PubMed]
- Sea, K.; Sohn, S.H.; Durazo, A.; Sheng, Y.; Shaw, B.F.; Cao, X.; Taylor, A.B.; Whitson, L.J.; Holloway, S.P.; Hart, P.J. Insights into the role of the unusual disulfide bond in copper-zinc superoxide dismutase. J. Biol. Chem. 2015, 290, 2405–2418. [Google Scholar] [CrossRef] [PubMed]
- Zelko, I.N.; Mariani, T.J.; Folz, R.J. Superoxide dismutase multigene family: A comparison of the CuZn-SOD (SOD1), Mn-SOD (SOD2), and EC-SOD (SOD3) gene structures, evolution, and expression. Free Radic. Biol. Med. 2002, 33, 337–349. [Google Scholar] [CrossRef] [PubMed]
- Liu, J.; Wang, J.; Yin, M.; Zhu, H.; Lu, J.; Cui, Z. Purification and characterization of superoxide dismutase from garlic. Food Bioprod. Process. 2011, 89, 294–299. [Google Scholar] [CrossRef]
- Li, R.K.; Fu, C.L.; Chen, P.; Ng, T.B.; Ye, X.Y. High-level expression of a sika deer (Cervus nippon) Cu/Zn superoxide dismutase in Pichia pastoris and its characterization. Env. Toxicol Pharm. 2013, 35, 185–192. [Google Scholar] [CrossRef]
- Ruan, L.; Lin, W.; Shi, H.; Wang, C.; Chen, D.; Zou, C.; Ren, J.; Li, X. Characterization of a novel extracellular CuZn superoxide dismutase from Rimicaris exoculata living around deep-sea hydrothermal vent. Int. J. Biol. Macromol. 2020, 163, 2346–2356. [Google Scholar] [CrossRef]
- Sirisena, D.; Sandamalika, W.; Tharuka, N.; Madusanka, R.K.; Jeong, J.B.; Lee, J. A copper-zinc-superoxide dismutase (CuZnSOD) from redlip mullet, Liza haematocheila: Insights to its structural characteristics, immune responses, antioxidant activity, and potent antibacterial properties. Dev. Comp. Immunol. 2021, 123, 104165. [Google Scholar] [CrossRef]
- Li, Y.; Yan, L.; Kong, X.; Chen, J.; Zhang, H. Cloning, expression, and characterization of a novel superoxide dismutase from deep-sea sea cucumber. Int. J. Biol. Macromol. 2020, 163, 1875–1883. [Google Scholar] [CrossRef]
- Li, Y.; Zhang, H. A novel, kinetically stable copper, zinc superoxide dismutase from Psychropotes longicauda. Int. J. Biol. Macromol. 2019, 140, 998–1005. [Google Scholar] [CrossRef]
- Zhu, Y.; Li, H.; Zhang, X.; Zhang, C.; Xiang, J.; Liu, G. Characterization of a thermostable manganese-containing superoxide dismutase from inshore hot spring thermophile Thermus sp. JM1. Acta Oceanol. Sin. 2011, 30, 95–103. [Google Scholar] [CrossRef]
- Li, Y.; Kong, X.; Chen, J.; Liu, H.; Zhang, H. Characteristics of the Copper, Zinc Superoxide Dismutase of a Hadal Sea Cucumber (Paelopatides sp.) from the Mariana Trench. Mar Drugs 2018, 16, 169. [Google Scholar] [CrossRef]
- Lin, F.; Yan, D.; Chen, Y.; E, F.E.; Shi, H.; Han, B.; Zhou, Y. Cloning, purification and enzymatic characterization of recombinant human superoxide dismutase 1 (hSOD1) expressed in Escherichia coli. Acta Biochim. Pol. 2018, 65, 235–240. [Google Scholar] [PubMed]
- Wang, Q.; Nie, P.; Hou, Y.; Wang, Y. Purification, biochemical characterization and DNA protection against oxidative damage of a novel recombinant superoxide dismutase from psychrophilic bacterium Halomonas sp. ANT108. Protein Expr. Purif. 2020, 173, 105661. [Google Scholar] [CrossRef] [PubMed]
- Kan, G.F.; Wen, H.; Wang, X.F.; Zhou, T.; Shi, C.J. Cloning and characterization of iron-superoxide dismutase in Antarctic yeast strain Rhodotorula mucilaginosa AN5. J. Basic Microbiol. 2017, 57, 680–690. [Google Scholar] [CrossRef] [PubMed]
- Wei, S. Production and application status of glycerol and new progress in technical development. Guangzhou Chem. Ind. 2009, 37, 62–64+67. [Google Scholar]
- Zhuqian, X.; Jianwei, M.; Hongsheng, O.; Chengjun, J.; Jianbing, J. Application of Isopropanol in Catalytic Transfer Hydrogenation. Chem. World 2014, 55, 113–118. [Google Scholar]
- Hunter, T.; Bannister, J.V.; Hunter, G.J. Thermostability of manganese- and iron-superoxide dismutases from Escherichia coli is determined by the characteristic position of a glutamine residue. Eur. J. Biochem. 2002, 269, 5137–5148. [Google Scholar] [CrossRef]
- Lin, M.-W.; Lin, M.-T.; Lin, C.-T. Copper/zinc-superoxide dismutase from lemon cDNA and enzyme stability. J. Agric. Food Chem. 2002, 50, 7264–7270. [Google Scholar] [CrossRef]
- Ken, C.-F.; Cheng, Y.-F.; Chang, C.-F.; Lin, C.-T. Copper/Zinc− Superoxide Dismutase from Epinephelus malabaricus cDNA and Enzyme Property. J. Agric. Food Chem. 2003, 51, 5688–5694. [Google Scholar] [CrossRef]










| Genbank | Species | Abbreviation |
|---|---|---|
| OQ687337 | P. verruciaudatus | PVCuZnSOD |
| MK580169.1 | Psychropotes longicauda | PLCuZnSOD |
| MK580168.1 | Benthodytes marianensis | BMCuZnSOD |
| MG989672.1 | Paelopatides sp. | PACuZnSOD |
| JX097096.1 | Apostichopus japonicus | AJCuZnSOD |
| KT594770.1 | Sterechinus neumayeri | SNCuZnSOD |
| MF324875.1 | Eisenia fetida | EFCuZnSOD |
| KR106132.1 | Eisenia andrei | EACuZnSOD |
| FM177867.1 | Mytilus galloprovincialis | MGCuZnSOD |
| AY332385.2 | Lymnaea stagnalis | LSCuZnSOD |
| JX470524.1 | Pelodiscus sinensis | PSCuZnSOD |
| BT082811.1 | Anoplopoma fimbria | AFCuZnSOD |
| JN032591.1 | Amphiprion clarkii | ACCuZnSOD |
| AF329278.1 | Pagrus major | PMCuZnSOD |
| MH716024.1 | Mugil incilis | MICuZnSOD |
| AY491056.1 | Oreochromis mossambicus | OMCuZnSOD |
| HQ318825.1 | Lates calcarifer | LCCuZnSOD |
| AY613390.1 | Oplegnathus fasciatus | OFCuZnSOD |
| MG208871.1 | Nibea albiflora | NACuZnSOD |
| MK860772.1 | Planiliza haematocheilus | PHCuZnSOD |
| MT123896.1 | Bostrychus sinensis | BSCuZnSOD |
| X95726.1 | Brassica juncea | BJCuZnSOD |
| DQ481231.1 | Populus suaveolens | POCuZnSOD |
| KU240390.1 | Solanum melongena | SMCuZnSOD |
| JQ692111.2 | Vitis vinifera | VVCuZnSOD |
| Name of Enzyme | No. of Cleavages | Positions of Cleavage Sites |
|---|---|---|
| Pepsin (pH > 2) | 17 | 8 9 19 20 35 42 47 61 81 82 103 104 114 123 124 132 133 |
| Chymotrypsin | 2 | 20 48 |
| Trypsin | 10 | 21 34 66 77 94 113 126 141 150 151 |
| Residual Activity (%) | |||
|---|---|---|---|
| Time (h) | Bovine SOD | PVCuZnSOD | |
| Pepsin | 0 | 100.00 ± 2.05 | 100.00 ± 0.75 |
| 1 | 88.21 ± 3.86 | 93.21 ± 0.70 | |
| 2 | 42.29 ± 4.86 | 81.28 ± 1.43 | |
| 3 | 2.18 ± 8.29 | 69.59 ± 1.16 | |
| Trypsin/chymotrypsin | 0 | 100.00 ± 4.94 | 100.00 ± 2.27 |
| 1 | 75.79 ± 1.10 | 121.57 ± 2.30 | |
| 2 | 43.92 ± 4.11 | 105.73 ± 3.29 | |
| 3 | 17.85 ± 6.20 | 87.96 ± 7.50 | |
Disclaimer/Publisher’s Note: The statements, opinions and data contained in all publications are solely those of the individual author(s) and contributor(s) and not of MDPI and/or the editor(s). MDPI and/or the editor(s) disclaim responsibility for any injury to people or property resulting from any ideas, methods, instructions or products referred to in the content. |
© 2023 by the authors. Licensee MDPI, Basel, Switzerland. This article is an open access article distributed under the terms and conditions of the Creative Commons Attribution (CC BY) license (https://creativecommons.org/licenses/by/4.0/).
Share and Cite
Li, Y.; Chen, Z.; Zhang, P.; Gao, F.; Wang, J.; Lin, L.; Zhang, H. Characterization of a Novel Superoxide Dismutase from a Deep-sea Sea Cucumber (Psychoropotes verruciaudatus). Antioxidants 2023, 12, 1227. https://doi.org/10.3390/antiox12061227
Li Y, Chen Z, Zhang P, Gao F, Wang J, Lin L, Zhang H. Characterization of a Novel Superoxide Dismutase from a Deep-sea Sea Cucumber (Psychoropotes verruciaudatus). Antioxidants. 2023; 12(6):1227. https://doi.org/10.3390/antiox12061227
Chicago/Turabian StyleLi, Yanan, Zongfu Chen, Peng Zhang, Feng Gao, Junfeng Wang, Li Lin, and Haibin Zhang. 2023. "Characterization of a Novel Superoxide Dismutase from a Deep-sea Sea Cucumber (Psychoropotes verruciaudatus)" Antioxidants 12, no. 6: 1227. https://doi.org/10.3390/antiox12061227
APA StyleLi, Y., Chen, Z., Zhang, P., Gao, F., Wang, J., Lin, L., & Zhang, H. (2023). Characterization of a Novel Superoxide Dismutase from a Deep-sea Sea Cucumber (Psychoropotes verruciaudatus). Antioxidants, 12(6), 1227. https://doi.org/10.3390/antiox12061227

