Punica granatum L. Extract Shows Cardioprotective Effects Measured by Oxidative Stress Markers and Biomarkers of Heart Failure in an Animal Model of Metabolic Syndrome
Abstract
1. Introduction
2. Materials and Methods
2.1. Animals and Diet
2.2. Extraction Procedure of Pomegranate Peel Phenolic Compounds
2.3. Identification of Polyphenolic Compounds by LC-PDA—QTOF/MS and Quantification via the UPLC-PDA Method
2.4. Experimental Design
2.5. Preparation of Homogenates from Heart Tissue
2.6. Assessment of Oxidative Stress Markers
2.6.1. Catalase Activity (CAT, EC 1.11.1.6)
2.6.2. Superoxide Dismutase Activity (SOD, EC 1.15.1.1)
2.6.3. Glutathione Reductase Activity (GR, EC 1.8.1.7)
2.6.4. Glutathione Peroxidase Activity (GPx, EC 1.11.1.9)
2.6.5. Glutathione S-Transferase Activity (GST, EC 2.5.1.18)
2.6.6. Protein Thiol Groups (SHs)
2.6.7. Total Oxidative Status (TOS)
2.6.8. Malondialdehyde Concentration (MDA)
2.7. Assessment of Heart Failure Biomarkers
2.7.1. Galectin-3 (GAL-3)
2.7.2. Troponin T (cTnI)
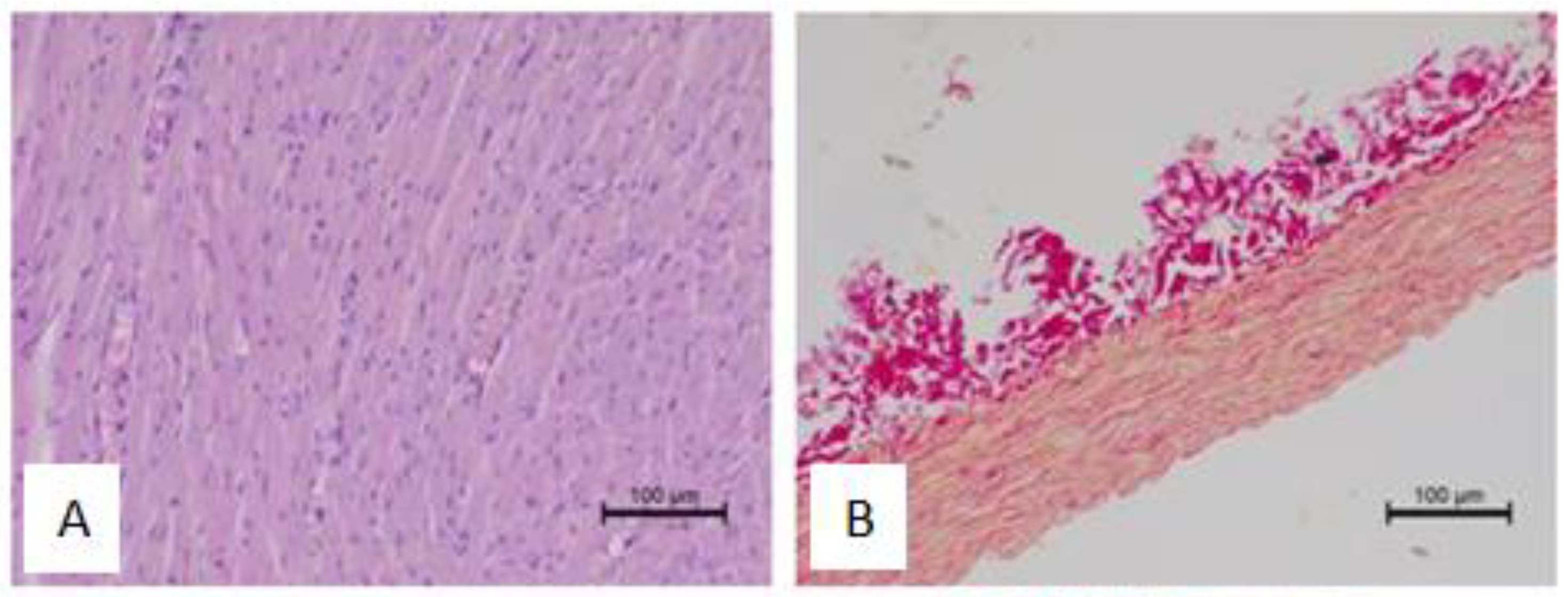
2.8. Histological Analysis
2.9. Statistical Analysis
3. Results
3.1. Identification and Quantification of Phenolic Compounds in Pomegranate Peel Extract
3.2. Impact on Oxidative Stress Markers
3.3. Changes in Serum Troponin I Levels (cTnI) and Galectin-3 (GAL-3) under EPP Administration
3.4. Effect of EPP on the Heart and Aorta Tissue Composition
4. Discussion
5. Conclusions
Author Contributions
Funding
Institutional Review Board Statement
Informed Consent Statement
Data Availability Statement
Conflicts of Interest
References
- Ahmad, F.B.; Anderson, R.N. The Leading Causes of Death in the US for 2020. JAMA 2021, 325, 1829–1830. [Google Scholar] [CrossRef] [PubMed]
- Global Health Estimates: Leading Causes of Death. Available online: https://www.who.int/data/gho/data/themes/mortality-and-global-health-estimates/ghe-leading-causes-of-death (accessed on 25 January 2023).
- Sanches-Silva, A.; Testai, L.; Battino, M.; Devi, K.P.; Tejada, S.; Sureda, A.; Xu, S.; Yousefi, B.; Majidinia, M.; Russo, G.L.; et al. Therapeutic potential of polyphenols in cardiovascular diseases: Regulation of mTOR signaling pathway. Pharmacol. Res. 2020, 152, 104626. [Google Scholar] [CrossRef] [PubMed]
- Mohammadnezhad, M.; Mangum, T.; May, W.; Lucas, J.J.; Ailson, S. Common Modifiable and Non-Modifiable Risk Factors of Cardiovascular Disease (CVD) among Pacific Countries. World J. Cardiovasc. Surg. 2016, 6, 153–170. [Google Scholar] [CrossRef]
- Ciardullo, S.; Cannistraci, R.; Mazzetti, S.; Mortara, A.; Perseghin, G. Twenty-year trends in heart failure among U.S. adults, 1999–2018: The growing impact of obesity and diabetes. Int. J. Cardiol. 2022, 362, 104–109. [Google Scholar] [CrossRef]
- Fahed, G.; Aoun, L.; Bou Zerdan, M.; Allam, S.; Bou Zerdan, M.; Bouferraa, Y.; Assi, H.I. Metabolic Syndrome: Updates on Pathophysiology and Management in 2021. Int. J. Mol. Sci. 2022, 23, 786. [Google Scholar] [CrossRef]
- Zafar, U.; Khaliq, S.; Ahmad, H.U.; Manzoor, S.; Lone, K.P. Metabolic syndrome: An update on diagnostic criteria, pathogenesis, and genetic links. Hormones 2018, 17, 299–313. [Google Scholar] [CrossRef] [PubMed]
- Grundy, S.M. Metabolic syndrome update. Trends Cardiovasc. Med. 2016, 26, 364–373. [Google Scholar] [CrossRef]
- Tune, J.D.; Goodwill, A.G.; Sassoon, D.J.; Mather, K.J. Cardiovascular consequences of metabolic syndrome. Transl. Res. 2017, 183, 57–70. [Google Scholar] [CrossRef]
- Csige, I.; Ujvárosy, D.; Szabó, Z.; Lőrincz, I.; Paragh, G.; Harangi, M.; Somodi, S. The Impact of Obesity on the Cardiovascular System. J. Diabetes Res. 2018, 2018, e3407306. [Google Scholar] [CrossRef]
- Frisbee, J.C.; Goodwill, A.; Frisbee, S.J.; Butcher, J.; Wu, F.; Chantler, P.D. Microvascular perfusion heterogeneity contributes to peripheral vascular disease in metabolic syndrome. J. Physiol. 2016, 594, 2233–2243. [Google Scholar] [CrossRef]
- Boeddinghaus, J.; Nestelberger, T.; Koechlin, L.; Wussler, D.; Lopez-Ayala, P.; Walter, J.E.; Troester, V.; Ratmann, P.D.; Seidel, F.; Zimmermann, T.; et al. Early Diagnosis of Myocardial Infarction with Point-of-Care High-Sensitivity Cardiac Troponin I. J. Am. Coll. Cardiol. 2020, 75, 1111–1124. [Google Scholar] [CrossRef] [PubMed]
- Palazzuoli, A.; Masson, S.; Ronco, C.; Maisel, A. Clinical relevance of biomarkers in heart failure and cardiorenal syndrome: The role of natriuretic peptides and troponin. Hear. Fail. Rev. 2014, 19, 267–284. [Google Scholar] [CrossRef] [PubMed]
- de Boer, R.A.; Voors, A.A.; Muntendam, P.; van Gilst, W.H.; van Veldhuisen, D.J. Galectin-3: A novel mediator of heart failure development and progression. Eur. J. Hear. Fail. 2009, 11, 811–817. [Google Scholar] [CrossRef] [PubMed]
- de Boer, R.A.; Van Der Velde, A.R.; Mueller, C.; Van Veldhuisen, D.J.; Anker, S.D.; Peacock, W.F.; Adams, K.F.; Maisel, A. Galectin-3: A Modifiable Risk Factor in Heart Failure. Cardiovasc. Drugs Ther. 2014, 28, 237–246. [Google Scholar] [CrossRef] [PubMed]
- Belščak-Cvitanović, A.; Durgo, K.; Huđek, A.; Bačun-Družina, V.; Komes, D. Overview of Polyphenols and Their Properties. In Polyphenols: Properties, Recovery, and Applications; Galanakis, C.M., Ed.; Woodhead Publishing: Sawston, UK, 2018; pp. 3–44. [Google Scholar] [CrossRef]
- D’Archivio, M.; Filesi, C.; Di Benedetto, R.; Gargiulo, R.; Giovannini, C.; Masella, R. Polyphenols, dietary sources and bioavailability. Ann. Ist. Super. Sanita 2007, 43, 348–361. [Google Scholar]
- Stromsnes, K.; Lagzdina, R.; Olaso-Gonzalez, G.; Gimeno-Mallench, L.; Gambini, J. Pharmacological Properties of Polyphenols: Bioavailability, Mechanisms of Action, and Biological Effects in In Vitro Studies, Animal Models, and Humans. Biomedicines 2021, 9, 1074. [Google Scholar] [CrossRef]
- Mithul Aravind, S.; Wichienchot, S.; Tsao, R.; Ramakrishnan, S.; Chakkaravarthi, S. Role of dietary polyphenols on gut microbiota, their metabolites and health benefits. Food Res. Int. 2021, 142, 110189. [Google Scholar] [CrossRef] [PubMed]
- Scalbert, A.; Manach, C.; Morand, C.; Rémésy, C.; Jiménez, L. Dietary Polyphenols and the Prevention of Diseases. Crit. Rev. Food Sci. Nutr. 2005, 45, 287–306. [Google Scholar] [CrossRef]
- Rana, A.; Samtiya, M.; Dhewa, T.; Mishra, V.; Aluko, R.E. Health benefits of polyphenols: A concise review. J. Food Biochem. 2022, 46, e14264. [Google Scholar] [CrossRef]
- Abbas, M.; Saeed, F.; Anjum, F.M.; Afzaal, M.; Tufail, T.; Bashir, M.S.; Ishtiaq, A.; Hussain, S.; Suleria, H.A.R. Natural polyphenols: An overview. Int. J. Food Prop. 2017, 20, 1689–1699. [Google Scholar] [CrossRef]
- Ranjha, M.M.A.N.; Shafique, B.; Wang, L.; Irfan, S.; Safdar, M.N.; Murtaza, M.A.; Nadeem, M.; Mahmood, S.; Mueen-ud-Din, G.; Nadeem, H.R. A comprehensive review on phytochemistry, bioactivity and medicinal value of bioactive compounds of pomegranate (Punica granatum). Adv. Tradit. Med. 2021, 23, 37–57. [Google Scholar] [CrossRef]
- Melgarejo-Sánchez, P.; Núñez-Gómez, D.; Martínez-Nicolás, J.J.; Hernández, F.; Legua, P.; Melgarejo, P. Pomegranate variety and pomegranate plant part, relevance from bioactive point of view: A review. Bioresour. Bioprocess. 2021, 8, 2. [Google Scholar] [CrossRef]
- Fahmy, H.A.; Farag, M.A. Ongoing and potential novel trends of pomegranate fruit peel; a comprehensive review of its health benefits and future perspectives as nutraceutical. J. Food Biochem. 2022, 46, e14024. [Google Scholar] [CrossRef] [PubMed]
- Singh, B.; Singh, J.P.; Kaur, A.; Singh, N. Phenolic compounds as beneficial phytochemicals in pomegranate (Punica granatum L.) peel: A review. Food Chem. 2018, 261, 75–86. [Google Scholar] [CrossRef]
- Lowry, O.H.; Rosebrough, N.J.; Farr, A.L.; Randall, R.J. Protein measurement with the Folin phenol reagent. J. Biol. Chem. 1951, 193, 265–275. [Google Scholar] [CrossRef] [PubMed]
- Aebi, H. Catalase In Vitro. In Methods in Enzymology; Academic Press: Cambridge, MA, USA, 1984; pp. 121–126. [Google Scholar] [CrossRef]
- Ōyanagui, Y. Reevaluation of assay methods and establishment of kit for superoxide dismutase activity. Anal. Biochem. 1984, 142, 290–296. [Google Scholar] [CrossRef]
- Carlberg, I.; Mannervik, B. Glutathione Reductase. In Methods in Enzymology; Academic Press: Cambridge, MA, USA, 1985; pp. 484–490. [Google Scholar] [CrossRef]
- Mannervik, B. Glutathione Peroxidase. In Methods in Enzymology; Academic Press: Cambridge, MA, USA, 1985; pp. 490–495. [Google Scholar] [CrossRef]
- Habig, W.H.; Jakoby, W.B. Assays for Differentiation of Glutathione S-Transferases. In Methods in Enzymology; Academic Press: Cambridge, MA, USA, 1981; pp. 398–405. [Google Scholar] [CrossRef]
- Sedlak, J.; Lindsay, R.H. Estimation of total, protein-bound, and nonprotein sulfhydryl groups in tissue with Ellman’s reagent. Anal. Biochem. 1968, 25, 192–205. [Google Scholar] [CrossRef] [PubMed]
- Erel, O. A new automated colorimetric method for measuring total oxidant status. Clin. Biochem. 2005, 38, 1103–1111. [Google Scholar] [CrossRef]
- Ohkawa, H.; Ohishi, N.; Yagi, K. Assay for lipid peroxides in animal tissues by thiobarbituric acid reaction. Anal. Biochem. 1979, 95, 351–358. [Google Scholar] [CrossRef]
- Emam, N.M.; Anjum, S.; Okail, H.A.; Ibrahim, M.A.R.; Ahmad, T. Pomegranate peel extract protects against carbon tetrachloride-induced nephrotoxicity in mice through increasing antioxidants status. Biomed. Rep. 2020, 13, 13. [Google Scholar] [CrossRef] [PubMed]
- Al-sallami, A.; Al-Bideri, A.; Alsaaedi, S. Hepatoprotective Effect of Pomegranate Peel (Punica granatum L.) against Thioacetamide-Induced Cirrhosis. Egypt. J. Exp. Biol. (Zool.) 2018, 14, 41–47. [Google Scholar]
- Nuncio-Jáuregui, N.; Nowicka, P.; Munera-Picazo, S.; Hernández, F.; Carbonell-Barrachina, Á.A.; Wojdyło, A. Identification and quantification of major derivatives of ellagic acid and antioxidant properties of thinning and ripe Spanish pomegranates. J. Funct. Foods 2015, 12, 354–364. [Google Scholar] [CrossRef]
- Magangana, T.P.; Makunga, N.P.; Fawole, O.A.; Opara, U.L. Processing Factors Affecting the Phytochemical and Nutritional Properties of Pomegranate (Punica granatum L.) Peel Waste: A Review. Molecules 2020, 25, 4690. [Google Scholar] [CrossRef] [PubMed]
- Kaderides, K.; Mourtzinos, I.; Goula, A.M. Stability of pomegranate peel polyphenols encapsulated in orange juice industry by-product and their incorporation in cookies. Food Chem. 2020, 310, 125849. [Google Scholar] [CrossRef] [PubMed]
- Bassiri-Jahromi, S.; Doostkam, A. Comparative evaluation of bioactive compounds of various cultivars of pomegranate (Punica granatum) in different world regions. AIMS Agric. Food 2019, 4, 41–55. [Google Scholar] [CrossRef]
- Kumar, N.; Neeraj, D. Study on physico-chemical and antioxidant properties of pomegranate peel. J. Pharm. Phytochem. 2018, 7, 2141–2147. [Google Scholar]
- Kupnik, K.; Primožič, M.; Vasić, K.; Knez, Ž.; Leitgeb, M. A Comprehensive Study of the Antibacterial Activity of Bioactive Juice and Extracts from Pomegranate (Punica granatum L.) Peels and Seeds. Plants 2021, 10, 1554. [Google Scholar] [CrossRef]
- Al-Rawahi, A.; Edwards, G.; Al-Sibani, M.; AAl-Thani, G.; Al-Harrasi, A.; Rahman, M. Phenolic Constituents of Pomegranate Peels (Punica granatum L.) Cultivated in Oman. Eur. J. Med. Plants 2014, 4, 315–331. [Google Scholar] [CrossRef]
- Kannan, M.M.; Quine, S.D. Ellagic acid inhibits cardiac arrhythmias, hypertrophy and hyperlipidaemia during myocardial infarction in rats. Metabolism 2013, 62, 52–61. [Google Scholar] [CrossRef]
- Berkban, T.; Boonprom, P.; Bunbupha, S.; Welbat, J.U.; Kukongviriyapan, U.; Kukongviriyapan, V.; Pakdeechote, P.; Prachaney, P. Ellagic Acid Prevents L-NAME-Induced Hypertension via Restoration of eNOS and p47phox Expression in Rats. Nutrients 2015, 7, 5265–5280. [Google Scholar] [CrossRef]
- Lin, M.-C.; Yin, M.-C. Preventive Effects of Ellagic Acid Against Doxorubicin-Induced Cardio-Toxicity in Mice. Cardiovasc. Toxicol. 2013, 13, 185–193. [Google Scholar] [CrossRef] [PubMed]
- Namekata, I.; Hamaguchi, S.; Wakasugi, Y.; Ohhara, M.; Hirota, Y.; Tanaka, H. Ellagic acid and gingerol, activators of the sarco-endoplasmic reticulum Ca2+-ATPase, ameliorate diabetes mellitus-induced diastolic dysfunction in isolated murine ventricular myocardia. Eur. J. Pharmacol. 2013, 706, 48–55. [Google Scholar] [CrossRef] [PubMed]
- El-Shitany, N.A.; El-Bastawissy, E.A.; El-desoky, K. Ellagic acid protects against carrageenan-induced acute inflammation through inhibition of nuclear factor kappa B, inducible cyclooxygenase and proinflammatory cytokines and enhancement of interleukin-10 via an antioxidant mechanism. Int. Immunopharmacol. 2014, 19, 290–299. [Google Scholar] [CrossRef] [PubMed]
- Yu, L.-M.; Dong, X.; Xue, X.-D.; Zhang, J.; Li, Z.; Wu, H.-J.; Yang, Z.-L.; Yang, Y.; Wang, H.-S. Protection of the myocardium against ischemia/reperfusion injury by punicalagin through an SIRT1-NRF-2-HO-1-dependent mechanism. Chem. Interact. 2019, 306, 152–162. [Google Scholar] [CrossRef] [PubMed]
- Shao, J.; Wang, P.; Liu, A.; Du, X.; Bai, J.; Chen, M. Punicalagin Prevents Hypoxic Pulmonary Hypertension via Anti-Oxidant Effects in Rats. Am. J. Chin. Med. 2016, 44, 785–801. [Google Scholar] [CrossRef]
- Adams, L.S.; Seeram, N.P.; Aggarwal, B.B.; Takada, Y.; Sand, D.; Heber, D. Pomegranate Juice, Total Pomegranate Ellagitannins, and Punicalagin Suppress Inflammatory Cell Signaling in Colon Cancer Cells. J. Agric. Food Chem. 2006, 54, 980–985. [Google Scholar] [CrossRef]
- Sun, Y.; Tao, X.; Men, X.; Xu, Z.; Wang, T. In vitro and in vivo antioxidant activities of three major polyphenolic compounds in pomegranate peel: Ellagic acid, punicalin, and punicalagin. J. Integr. Agric. 2017, 16, 1808–1818. [Google Scholar] [CrossRef]
- Varghese, J.F.; Patel, R.; Yadav, U.C.S. Novel Insights in the Metabolic Syndrome-induced Oxidative Stress and Inflammation-mediated Atherosclerosis. Curr. Cardiol. Rev. 2018, 14, 4–14. [Google Scholar] [CrossRef]
- Violi, F.; Loffredo, L.; Carnevale, R.; Pignatelli, P.; Pastori, D. Atherothrombosis and Oxidative Stress: Mechanisms and Management in Elderly. Antioxid. Redox Signal. 2017, 27, 1083–1124. [Google Scholar] [CrossRef]
- Maslov, L.N.; Naryzhnaya, N.V.; Boshchenko, A.A.; Popov, S.V.; Ivanov, V.V.; Oeltgen, P.R. Is oxidative stress of adipocytes a cause or a consequence of the metabolic syndrome? J. Clin. Transl. Endocrinol. 2019, 15, 1–5. [Google Scholar] [CrossRef]
- Violi, F.; Carnevale, R.; Loffredo, L.; Pignatelli, P.; Gallin, J.I. NADPH Oxidase-2 and Atherothrombosis. Arter. Thromb. Vasc. Biol. 2017, 37, 218–225. [Google Scholar] [CrossRef] [PubMed]
- Tauffenberger, A.; Magistretti, P.J. Reactive Oxygen Species: Beyond Their Reactive Behavior. Neurochem. Res. 2021, 46, 77–87. [Google Scholar] [CrossRef] [PubMed]
- Radajewska, A.; Szyller, J.; Niewiadomska, J.; Noszczyk-Nowak, A.; Bil-Lula, I. Punica granatum L. Polyphenolic Extract as an Antioxidant to Prevent Kidney Injury in Metabolic Syndrome Rats. Oxidative Med. Cell. Longev. 2023, 2023, e6144967. [Google Scholar] [CrossRef]
- Al-Shaaibi, S.N.K.; Waly, M.I.; Al-Subhi, L.; Tageldin, M.H.; Al-Balushi, N.M.; Rahman, M.S. Ameliorative Effects of Pomegranate Peel Extract against Dietary-Induced Nonalcoholic Fatty Liver in Rats. Prev. Nutr. Food Sci. 2016, 21, 14–23. [Google Scholar] [CrossRef] [PubMed]
- Akuru, E.A.; Chukwuma, C.I.; Oyeagu, C.E.; Erukainure, O.L.; Mashile, B.; Setlhodi, R.; Mashele, S.S.; Makhafola, T.J.; Unuofin, J.O.; Abifarin, T.O.; et al. Nutritional and phytochemical profile of pomegranate (“Wonderful variety”) peel and its effects on hepatic oxidative stress and metabolic alterations. J. Food Biochem. 2022, 46, e13913. [Google Scholar] [CrossRef]
- Shaban, N.Z.; El-Kersh, M.A.; El-Rashidy, F.H.; Habashy, N.H. Protective role of Punica granatum (pomegranate) peel and seed oil extracts on diethylnitrosamine and phenobarbital-induced hepatic injury in male rats. Food Chem. 2013, 141, 1587–1596. [Google Scholar] [CrossRef]
- Patel, I.B.; Atar, M.A.; Ali, S.A. Punica granatum Peel Extract Ameliorates Doxorubicin Induced Cardiotoxicity. Anal. Chem. Lett. 2019, 9, 835–844. [Google Scholar] [CrossRef]
- Mandić-Kovačević, N.; Kukrić, Z.; Latinović, S.; Cvjetković, T.; Šobot, T.; Bajić, Z.; Maličević, U.; Marinković, S.; Đukanović, Đ.; Uletilović, S.; et al. Antioxidative potential of pomegranate peel extract: In vitro and in vivo studies. Scr. Med. 2023, 54, 9–18. [Google Scholar] [CrossRef]
- El Wakf, A.; El-Habibi, E.; Barakat, N.; Attia, A.; Hussein, A.M.; Hameed Alhalfy, I. Cardiovascular Toxic Effects of Chlorpyrifos: A Possible Protective Role for Pomegranate Extracts. J. Clin. Toxicol. 2018, 8, 2161-0495. [Google Scholar] [CrossRef]
- Romuk, E.; Wojciechowska, C.; Jacheć, W.; Nowak, J.; Niedziela, J.; Malinowska-Borowska, J.; Głogowska-Gruszka, A.; Birkner, E.; Rozentryt, P. Comparison of Oxidative Stress Parameters in Heart Failure Patients Depending on Ischaemic or Nonischaemic Aetiology. Oxidative Med. Cell. Longev. 2019, 2019, e7156038. [Google Scholar] [CrossRef]
- Gupta, M.; Sharma, P.; Mazumder, A.G.; Patial, V.; Singh, D. Dwindling of cardio damaging effect of isoproterenol by Punica granatum L. peel extract involve activation of nitric oxide-mediated Nrf2/ARE signaling pathway and apoptosis inhibition. Nitric Oxide 2015, 50, 105–113. [Google Scholar] [CrossRef] [PubMed]
- Marín-Royo, G.; Gallardo, I.; Martínez-Martínez, E.; Gutiérrez, B.; Jurado-López, R.; López-Andrés, N.; Gutiérrez-Tenorio, J.; Rial, E.; Bartolomé, M.V.; Nieto, M.L.; et al. Inhibition of galectin-3 ameliorates the consequences of cardiac lipotoxicity in a rat model of diet-induced obesity. Dis. Model. Mech. 2018, 11, dmm032086. [Google Scholar] [CrossRef] [PubMed]
- dos Santos, R.L.; Dellacqua, L.O.; Delgado, N.T.; Rouver, W.N.; Podratz, P.L.; Lima, L.C.; Piccin, M.P.; Meyrelles, S.S.; Mauad, H.; Graceli, J.B.; et al. Pomegranate peel extract attenuates oxidative stress by decreasing coronary angiotensin-converting enzyme (ACE) activity in hypertensive female rats. J. Toxicol. Environ. Health Part A 2016, 79, 998–1007. [Google Scholar] [CrossRef] [PubMed]
- Gui, M.-H.; Ling, Y.; Liu, L.; Jiang, J.-J.; Li, X.-Y.; Gao, X. Effect of Metabolic Syndrome Score, Metabolic Syndrome, and Its Individual Components on the Prevalence and Severity of Angiographic Coronary Artery Disease. Chin. Med. J. 2017, 130, 669–677. [Google Scholar] [CrossRef]
- Oltman, C.L.; Richou, L.L.; Davidson, E.P.; Coppey, L.J.; Lund, D.D.; Yorek, M.A. Progression of coronary and mesenteric vascular dysfunction in Zucker obese and Zucker diabetic fatty rats. Am. J. Physiol. Circ. Physiol. 2006, 291, H1780–H1787. [Google Scholar] [CrossRef]
- Gonçalves, L.B.; Miot, H.A.; Domingues, M.A.C.; Oliveira, C.C. Autopsy Patients with Obesity or Metabolic Syndrome as Basic Cause of Death: Are There Pathological Differences between These Groups? Clin. Med. Insights Pathol. 2018, 11, 1179555718791575. [Google Scholar] [CrossRef]
- Xue, Y.; Tuipulotu, D.E.; Tan, W.H.; Kay, C.; Man, S.M. Emerging Activators and Regulators of Inflammasomes and Pyroptosis. Trends Immunol. 2019, 40, 1035–1052. [Google Scholar] [CrossRef]
- Albrakati, A. Protective Effects of Pomegranate Peel Extract on Cardiac Muscle in Streptozotocin-Induced Diabetes in Rats. Int. J. Toxicol. Pharmacol. Res. 2016, 8, 379–383. [Google Scholar]
- Abo-Saif, M.A.; Ragab, A.E.; Ibrahim, A.O.; Abdelzaher, O.F.; Mehanyd, A.B.M.; Saber-Ayad, M.; El-Feky, O.A. Pomegranate peel extract protects against the development of diabetic cardiomyopathy in rats by inhibiting pyroptosis and downregulating LncRNA-MALAT1. Front. Pharmacol. 2023, 14, 1166653. [Google Scholar] [CrossRef]
- Hubrecht, R.C.; Carter, E. The 3Rs and Humane Experimental Technique: Implementing Change. Animals 2019, 9, 754. [Google Scholar] [CrossRef]








| T pRt | MS [M-H]- (m/z) | MS/MS [M-H]- (m/z) | Name of Compound | Polyphenol Content |
|---|---|---|---|---|
| 1.67 | 331 | 271/169 | Galloyl-glucose | 2.00 ± 0.03 |
| 1.73 | 781 | 721/601 | Punicalin α/A | 3.11 ± 0.06 |
| 2.02 | 1083 | 611/331/146 | HHDP-galloyl-hexoside (punicalagin) | 4.20 ± 0.09 |
| 2.12 | 1083 | 781/622/301 | Punicalagin isomer | 14.82 ± 1.04 |
| 2.33 | 933 | 631/450/301 | Ellagitannin | 4.71 ± 0.40 |
| 2.87 | 1083 | 781/301 | HHDP-gallagyl-hexoside (punicalagin) | 93.91 ± 2.05 |
| 3.12 | 1085 | 907/783/301 | Ellagic acid derivative | 2.49 ± 0.53 |
| 3.69 | 1083 | 781/301 | HHDP-gallagyl-hexoside (punicalagin) | 157.0 ± 2.65 |
| 3.89 | 799 | 301 | Granatin A | 4.74 ± 0.32 |
| 5.08 | 783 | 481/301 | Ellagitannin | 25.86 ± 1.53 |
| 6.20 | 1085 | 933/301 | Digalloyl-gallagyl-hexoside | 10.37 ± 0.65 |
| 6.25 | 783 | 481/301 | Ellagitannin | 13.51 ± 0.99 |
| 6.38 | 463 | 301 | Ellagic acid-hexoside | 33.63 ± 1.23 |
| 6.89 | 951 | 907/635/301 | Galloyl-HHDP-DHHDP-hex (granatin B) | 2.68 ± 0.11 |
| Total (mg/g dw) | 373.05 |
| MetS Control | MetS 100 | MetS 200 | pANOVA | pcontrol vs. 100 | pcontrol vs. 200 | |
|---|---|---|---|---|---|---|
| CAT (IU/g protein) | 46.1 ± 3.14 | 56.7 ± 2.1 | 48.2 ± 3.0 | <0.001 | <0.001 | 0.364 |
| GR (IU/g protein) | 11.0 ± 1.4 | 12.0 ± 1.2 | 10.2 ± 1.2 | 0.063 | – | – |
| TOS (μmol/g protein) | 0.31 ± 0.09 | 0.09 ± 0.01 | 0.26 ± 0.05 | <0.001 | <0.001 | 0.227 |
| SH (μmol/g protein) | 2.2 ± 0.4 | 4.1 ± 0.6 | 8.5 ± 0.9 | <0.001 | <0.001 | <0.001 |
| SOD (NU/mg protein) | 40.0 ± 1.4 | 41.6 ± 1.6 | 40.9 ± 3.1 | 0.455 | – | – |
| MnSOD (NU/mg protein) | 37.6 ± 1.1 | 39.2 ± 1.5 | 39,7 ± 2.5 | 0.155 | – | – |
| GPx (IU/g protein) | 6.1 ± 0.9 | 7.0 ± 0.4 | 5.9 ± 0.9 | <0.05 | 0.071 | 0.876 |
| GST (IU/g protein) | 0.99 ± 0.13 | 1.27 ± 0.18 | 1.00 ± 0.16 | <0.05 | <0.05 | 0.991 |
| MDA (μmol/g protein) | 6.5 ± 0.7 | 6.1 ± 1.1 | 6.3 ± 1.4 | 0.790 | – | – |
| MetS Control | MetS 100 | MetS 200 | pANOVA | |
|---|---|---|---|---|
| cTnI (pg/mL) | 338.3 ± 92,1 | 359.1 ± 125.3 | 501.2 ± 97.9 | 0.244 |
| GAL-3 (pg/mL) | 30.7 ± 1.1 | 30.3 ± 0.9 | 30.7 ± 0.9 | 0.670 |
| MetS Control | MetS 100 | MetS 200 | |
|---|---|---|---|
| Parenchymal degeneration | 1 (0–2) | 2 (2–3) | 2 (1–3) |
| Fibrosis | 0 (0–0) | 0 (0–1) | 0 (0–2) |
| Inflammatory infiltration | 0 (0–0) | 0 (0–0) | 0 (0–3) |
| MetS Control | MetS 100 | MetS 200 | |
|---|---|---|---|
| Fiber disarrangement | 0 (0–1) | 1 (1–3) | 1 (0–2) |
Disclaimer/Publisher’s Note: The statements, opinions and data contained in all publications are solely those of the individual author(s) and contributor(s) and not of MDPI and/or the editor(s). MDPI and/or the editor(s) disclaim responsibility for any injury to people or property resulting from any ideas, methods, instructions or products referred to in the content. |
© 2023 by the authors. Licensee MDPI, Basel, Switzerland. This article is an open access article distributed under the terms and conditions of the Creative Commons Attribution (CC BY) license (https://creativecommons.org/licenses/by/4.0/).
Share and Cite
Niewiadomska, J.; Kasztura, M.; Janus, I.; Chełmecka, E.; Stygar, D.M.; Frydrychowski, P.; Wojdyło, A.; Noszczyk-Nowak, A. Punica granatum L. Extract Shows Cardioprotective Effects Measured by Oxidative Stress Markers and Biomarkers of Heart Failure in an Animal Model of Metabolic Syndrome. Antioxidants 2023, 12, 1152. https://doi.org/10.3390/antiox12061152
Niewiadomska J, Kasztura M, Janus I, Chełmecka E, Stygar DM, Frydrychowski P, Wojdyło A, Noszczyk-Nowak A. Punica granatum L. Extract Shows Cardioprotective Effects Measured by Oxidative Stress Markers and Biomarkers of Heart Failure in an Animal Model of Metabolic Syndrome. Antioxidants. 2023; 12(6):1152. https://doi.org/10.3390/antiox12061152
Chicago/Turabian StyleNiewiadomska, Joanna, Monika Kasztura, Izabela Janus, Elżbieta Chełmecka, Dominika Marta Stygar, Piotr Frydrychowski, Aneta Wojdyło, and Agnieszka Noszczyk-Nowak. 2023. "Punica granatum L. Extract Shows Cardioprotective Effects Measured by Oxidative Stress Markers and Biomarkers of Heart Failure in an Animal Model of Metabolic Syndrome" Antioxidants 12, no. 6: 1152. https://doi.org/10.3390/antiox12061152
APA StyleNiewiadomska, J., Kasztura, M., Janus, I., Chełmecka, E., Stygar, D. M., Frydrychowski, P., Wojdyło, A., & Noszczyk-Nowak, A. (2023). Punica granatum L. Extract Shows Cardioprotective Effects Measured by Oxidative Stress Markers and Biomarkers of Heart Failure in an Animal Model of Metabolic Syndrome. Antioxidants, 12(6), 1152. https://doi.org/10.3390/antiox12061152

