Abstract
This study investigated the influence of dietary astaxanthin (AX) on glucose and lipid metabolism in rainbow trout liver. Two iso-nitrogenous and iso-lipidic diets were tested for 12 weeks in rainbow trout with an initial mean weight of 309 g. The S-ASTA diet was supplemented with 100 mg of synthetic AX per kg of feed, whereas the control diet (CTRL) had no AX. Fish fed the S-ASTA diet displayed lower neutral and higher polar lipids in the liver, associated with smaller hepatocytes and lower cytoplasm vacuolization. Dietary AX upregulated adipose triglyceride lipase (atgl), hormone-sensitive lipase (hsl2) and 1,2-diacylglycerol choline phosphotransferase (chpt), and downregulated diacylglycerol acyltransferase (dgat2), suggesting the AX’s role in triacylglycerol (TAG) turnover and phospholipid (PL) synthesis. Dietary AX may also affect beta-oxidation with the upregulation of carnitine palmitoyltransferase 1 (cpt1α2). Although hepatic cholesterol levels were not affected, dietary AX increased gene expression of sterol regulatory element-binding protein 2 (srebp2). Dietary AX upregulated the expression of 6-phosphogluconate dehydrogenase (6pgdh) and downregulated pyruvate kinase (pkl). Overall, results suggest that dietary AX modulates the oxidative phase of the pentose phosphate pathway and the last step of glycolysis, affecting TAG turnover, β-oxidation, PL and cholesterol synthesis in rainbow trout liver.
1. Introduction
Astaxanthin (AX) is a xanthophyll carotenoid used in aquafeeds, predominantly as a pigmenting additive to confer on fish their distinctive and commercially valued skin and fillet colour appearance, directly associated with the final product quality. In salmonids, the essential role of AX has been suggested, especially for critical life stages, but is still controversial [1]. Alongside pigmentation, dietary AX supplementation has other applications as optimum levels and feeding time promote growth and health in several other farmed fish species that do not accumulate high amounts of carotenoids, contrary to salmonids [2,3,4,5]. Among the health benefits in fish, dietary AX improves endogenous enzymatic and non-enzymatic antioxidant responses [6,7], enhances immunological defence mechanisms, and plays an anti-inflammatory role [2,4]. Furthermore, AX can influence fish glucose and lipid metabolism [1,7,8], although the underlying mechanisms remain unclear.
In terrestrial animals, AX has a hypolipidemic effect mitigating symptoms in obesity-related diseases [9,10,11]. Indeed, an in vitro study reported that peroxisome proliferator-activated receptors (PPAR), which regulate lipid and glucose metabolism, are among AX molecular targets [12]. Furthermore, an in vivo study showed that AX activates sterol regulatory element-binding protein 2 (SREBP2), a key regulator of cholesterol metabolism, finding lower plasma cholesterol in animals fed the AX supplemented diet [11]. AX has also been shown to influence sterol regulatory element-binding protein 1c (SREBP1c), a key lipogenesis controlling transcription factor [13,14,15,16]. In addition, dietary AX has a potential antidiabetic role in glucose metabolism, improving insulin sensitivity [17,18,19].
Recent work in Atlantic salmon (Salmo salar) revealed that AX’s main effect on hepatic transcriptome was on genes involved in lipid metabolism, specifically on the biosynthesis of terpenoids and steroids [1]. In tiger puffer (Takifugu rubripes), dietary AX supplementation upregulated hepatic lipolysis, β-oxidation genes, and downregulated lipogenic related genes [20]. Concerning glucose metabolism, a transcriptome study in Atlantic salmon revealed that dietary AX regulated glucose homeostasis [8]. In Asian seabass (Lates calcarifer), dietary AX exerted an anti-hyperglycaemic effect, potentially beneficial in stimulating the insulin sensitivity of fish [4].
Our previous work reported an upregulation of hepatic glucokinase (gck) and glucose-6-phosphate dehydrogenase (g6pdh), denoting that hepatic glucose and lipid metabolism in rainbow trout (Oncorhynchus mykiss) might be sensitive to dietary AX [7]. Indeed, the overexpression of g6pdh may reroute glucose flux into the pentose phosphate pathway, thus affecting hepatic glycolysis, as both glucose pathways share the same substrate and run in parallel [21]. Furthermore, the G6PDH and 6-phosphogluconate dehydrogenase (6PGDH) enzymes produce nicotinamide adenine dinucleotide phosphate (NADPH) [22,23]. NADPH plays a fundamental role in antioxidant protection and anabolism with the synthesis of fatty acids, cholesterol, and steroid hormones [24,25,26].
Based on our previous work [7] and the recent literature, we investigated the effect and underlying mechanisms of the action of dietary AX on hepatic glucose and lipid metabolism under normal physiological conditions in fish. Hence, this study is the second part of our previous work [7], focusing on the effect of dietary AX on hepatic glucose and lipid metabolism, independently of the induction of oxidative stress. To get a better insight, the expression of genes involved in glycolysis, oxidative phase of the pentose phosphate pathway (ox-PPP), lipogenesis, lipolysis, and β-oxidation were studied, together with morphology, fatty acid and lipid class composition in the liver tissue.
2. Materials and Methods
2.1. Experimental Conditions
The experimental design, rearing conditions and diet preparation were previously described [7]. The present study focused on the first 12 weeks of our previous growth trial, where fish were reared under normoxia (8 mg/L) [7]. Briefly, two iso-nitrogenous (41% crude protein), iso-lipidic (23% total lipid) and iso-caloric (24 kJ/g gross energy) diets were formulated, manufactured and tested at the INRAE experimental fish farm in Donzacq (Landes, France, https://doi.org/10.15454/GPYD-AM38, accessed on 3 January 2023) (Table 1). The experimental diets differed in AX content. The CTRL diet had no AX and the S-ASTA diet was supplemented with 100 mg of chemically synthesized AX per kg of feed. The synthetic AX used was Carophyll Pink® containing 10% AX (DSM Nutrition, Village-Neuf, France). All-female diploid rainbow trout with an initial weight of 309 ± 10 g were used and stocked in six 800-L cylindrical fiberglass tanks containing 30 fish each and supplied with flow-through spring water, at 17 °C. Each diet was hand-fed twice a day to visual satiation to triplicate tanks.
Table 1.
Formulation of the experimental diets.
2.2. Sample Collection
By the end of the feeding trial, ten fish per replicate tank were individually weighed, measured, and sampled [7]. Fish were anesthetized with benzocaine and killed with a blow to the head. Seven fish per tank were dissected to collect viscera with the liver and calculate the viscerosomatic (VSI) and hepatosomatic index (HSI). For gene expression and lipid analysis, half of three liver samples were taken from the seven dissected fish, immediately frozen in liquid nitrogen and stored at −80 °C. The other half of the three liver samples per tank were fixed in buffered formalin for morphological analysis.
2.3. Morphological Analysis
Liver samples were dehydrated in a graded ethanol series and embedded in paraffin wax. Paraffin blocks were made and cut (4 μm thick) in a Leica 2055-Autocut microtome (Leica Instruments GmbH, Nussloch, Germany) and stained with hematoxylin and eosin [27]. Micrographs from each slide were taken using a Nikon Microphot-FXA microscope (Nikon Instruments Inc., Melville, NY, USA) incorporated with an Olympus DP50 camera (Olympus Optical Co., LTD, Shinjuku-ku, Tokyo, Japan). The total area of 50 hepatocytes per specimen (450 hepatocytes per experimental diet) was measured as well as the maximum and minimum hepatocyte length, considered the hepatocyte nucleus as a reference point. All the measurements were carried out with ImageJ software (version 1.53e) using arbitrary units.
2.4. Total Lipid Content and Fatty Acid Analysis
Hepatic total lipid was extracted from three pooled samples of three livers and measured gravimetrically [28] using dichloromethane instead of chloroform. Fatty acid methyl esters were prepared by acid-catalysed transesterification of total lipid using boron trifluoride in methanol (14%) [29] and analysed in a Varian Chrompack CP-3900 gas chromatograph equipped with a DB Wax fused silica capillary column (30 m × 0·25 mm internal diameter, film thickness 0·25 mm; JW Alltech, France) with helium as the carrier gas (1.4 mL/min). The thermal gradient was 100 to 180 °C at 8 °C/min, 180 to 220 °C at 4 °C/min, and a constant temperature of 220 °C during 20 min. Injector and flame ionization detector temperatures were 260 and 250 °C, respectively. Individual fatty acid methyl esters were identified by comparison with known standards and by reference to published data [30,31]. Data were collected and processed using Chromcard for Windows (version1.19).
2.5. Lipid Class Composition
Lipid class composition was determined by high-performance thin-layer chromatography (HPTLC) using 20 × 10 cm plates (VWR, Lutterworth, England). Approximately 1 μg of total lipid was applied on a 3 mm origin and the plates developed in methyl acetate/isopropanol/chloroform/methanol/0.25% aqueous KCl (25:25:25:10:9, by vol.) to half distance. After drying for 20 min, the plate was fully developed with isohexane/diethyl ether/acetic acid (85:15:1, by vol.). Lipid classes were visualized by charring at 160 °C for 15 min after spraying with 3% (w/v) aqueous cupric acetate containing 8% (v/v) phosphoric acid and quantified by densitometry using a CAMAG-3 TLC Scanner (version Firmware 1.14.16) [32]. Scanned images were recorded automatically and analysed by computer using winCATS Planar Chromatography Manager (version 1.2.0).
2.6. Gene Expression
Total RNA was isolated from the liver using Trizol reagent (Invitrogen, Cergy-Pontoise, France). Quantitative RT-PCR was performed as described previously [33].
Briefly, complementary DNA was generated from 1 mg total RNA using SuperScriptIII RT (Invitrogen) and a mix of oligo (dT)15 and random primers (Promega, Charbonnières, France). Quantitative PCR analyses were performed with 2 µL of the diluted RT reaction mixture (dilution 40) and 4 µL of master mix added with 0.4 mM of each primer (Table 2). Relative quantification of target gene transcripts was performed using elongation factor 1α (ef1α) as the reference gene and CTRL as the reference group, using the ΔΔCt method [34].
Table 2.
PCR primers used to assay gene expression by real-time quantitative polymerase chain reaction.
2.7. Statistical Analysis
Data are presented as mean ± standard deviation (SD) or as mean ± standard error of the mean (SEM). Individual fish was the experimental unit for morphometric data and data on gene expression (n = 27 with 3 or 9 fish originating from each of the 3 replicate tanks). Tanks (n = 3) were used as the experimental unit for data on lipid and fatty acid composition due to the small size of samples, so a pool of 3 fish originating from each of the 3 replicate tanks was used. Differences were considered significant when values of p < 0.05. Comparisons between two treatment groups (CTRL and S-ASTA) were assessed by the t-Student test. All statistical analyses were performed using SPSS (IBM, Chicago, IL, USA).
3. Results
3.1. Liver Weight and Histology
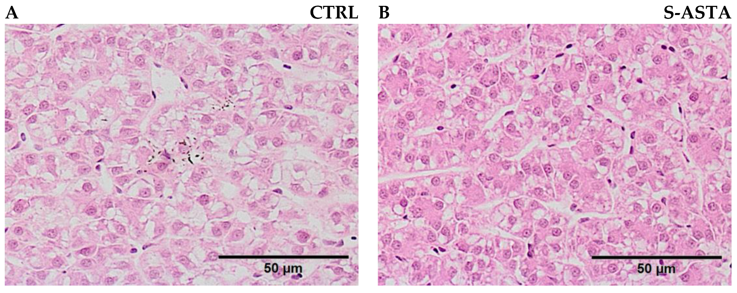
Fish fed with the S-ASTA diet presented lower liver weight (p = 0.002) and viscera weight (p = 0.001) than fish fed with the CTRL diet, while final weight was not significantly affected (Figure 1). S-ASTA-fed fish also displayed the lowest HSI and VSI, albeit not significantly (p = 0.053 and 0.052, respectively). After a 12-week feeding trial, the liver of rainbow trout fed the S-ASTA diet presented a significantly smaller hepatocyte area, a lower lipid vacuolization, and a more regular-shaped morphology around sinusoidal spaces than the liver of rainbow trout fed the CTRL diet (Figure 2, Table 3).
Figure 1.
Final body (A), liver (B) and viscera (C) weight with hepatosomatic (D) and viscerosomatic (E) index of rainbow trout fed a diet without (CTRL) or with astaxanthin (S-ASTA) for 12 weeks. Values are expressed as mean ± SEM (n = 27 fish). ** p < 0.01 according to t-test analysis.
Figure 2.
Liver morphology of rainbow trout fed a diet without (CTRL, (A)) and with astaxanthin (S-ASTA, (B)) for 12 weeks (stained with haematoxylin and eosin).
Table 3.
Hepatocyte morphometry of rainbow trout fed a diet without (CTRL) and with astaxanthin (S-ASTA) for 12 weeks.
3.2. Liver Lipid Content and Fatty Acid Profile
No significant differences in hepatic total lipid content were observed between the two groups (Table 4). According to the fatty acid composition of the liver total lipid (Table 4), no significant differences in saturated fatty acids (SFA) were noticed between the two groups. A tendency of lower 18:1 (p = 0.07), total monounsaturated fatty acids (MUFA) (p = 0.09) and ratio between MUFA and SFA (p = 0.09) was found in the liver of fish fed S-ASTA. Fish from the S-ASTA group presented significantly lower 18:2 n − 6. With n − 3 polyunsaturated fatty acids (PUFA), only 22:6 n − 3 (docosahexaenoic acid, DHA) showed a significant increase in the S-ASTA diet. A general trend towards more n − 3 PUFA in fish from the S-ASTA group than those from the CTRL treatment resulted in a significantly higher n − 3/n − 6 ratio.
Table 4.
Liver lipid content and total lipid fatty acid composition (% of total fatty acids) of rainbow trout fed a diet without (CTRL) and with astaxanthin (S-ASTA) for 12 weeks.
3.3. Hepatic Lipid Class Composition
Liver lipid class composition in rainbow trout fed the S-ASTA showed significantly higher polar and lower neutral lipids than fish fed the CTRL diet (Table 5). In hepatic polar lipids, the two main phospholipids (PL), phosphatidylcholine (PC) and phosphatidylethanolamine (PE), were significantly higher in the S-ASTA group than in the CTRL treatment (Table 5). In neutral lipids, triacylglycerols (TAG) and diacylglycerols (DAG) were reduced in fish fed the S-ASTA diet compared to the CTRL group (Table 5).
Table 5.
Liver lipid class composition (% of total lipid) of rainbow trout fed a diet without (CTRL) and with astaxanthin (S-ASTA) for 12 weeks.
3.4. Hepatic Neutral and Polar Lipid Fatty Acid Profile
Liver neutral and polar lipid fatty acids are presented in Table 6, showing no significant differences in the polar fatty acid profile. However, neutral MUFA were significantly lower in fish from the S-ASTA treatment than in CTRL fish, confirming the tendency observed in total lipid. DHA and 20:5 n − 3 (eicosapentaenoic acid, EPA) from neutral lipids were increased by the S-ASTA diet, as well as the sum of n − 3 PUFA and total PUFA.
Table 6.
Liver neutral and polar lipid fatty acid composition (% of total fatty acids) of rainbow trout fed a diet without (CTRL) and with astaxanthin (S-ASTA) for 12 weeks.
3.5. Expression of Lipid and Glucose Metabolism Genes in Rainbow Trout Liver
3.5.1. Glucose Metabolism
No significant effect was noticed on phosphofructokinase (pfk1a, pfk1b) expression levels among treatment groups (Figure 3A). However, pyruvate kinase (pkl) showed a significantly lower hepatic expression in rainbow trout fed the S-ASTA diet than fish fed the CTRL diet. On the contrary, 6pgdh was up-regulated in the S-ASTA livers.

Figure 3.
Hepatic expression of genes involved in glycolysis (pfk1a, pfk1b and pkl) and the oxidative phase of the pentose phosphate pathway (6gdph, (A)), transcription factors regulating lipogenesis (srebp1c, srebp2, pparγ), lipolysis and β-oxidation (pparα and pparβ, (B)), PL and TAG synthesis (C), lipolysis (D) and β-oxidation (E) in rainbow trout fed a diet without (CTRL) or with astaxanthin (S-ASTA) for 12 weeks. Values are expressed as mean ± SEM (n = 9 fish). * p < 0.05 according to t-test analysis.
3.5.2. Lipogenesis
Rainbow trout fed the S-ASTA diet presented a significantly higher hepatic expression of srepbp2, a transcription factor involved in lipogenesis, than fish fed the CTRL diet (Figure 3B). Furthermore, the hepatic expressions of 1,2-diacylglycerol choline phosphotransferase (chpt), an enzyme involved in PC synthesis, and diacylglycerol acyltransferase 2 (dgat2), catalyzing the last step in TAG synthesis, were increased and decreased, respectively, by the S-ASTA diet (Figure 3C).
3.5.3. Lipolysis and β-Oxidation
The expressions of pparα and pparβ were unaffected by dietary treatments (Figure 3B), as were monoacylglycerol lipase (abhd2 and abhd6) mRNA levels (Figure 3D). However, fish from the S-ASTA treatment group had significantly higher hepatic adipose triglyceride lipase (atgl) and hormone-sensitive lipase 2 (hsl2) expression compared to the levels found in the CTRL group (Figure 3D).
Moreover, hepatic carnitine palmitoyl transferase 1 alpha 2 (cpt1α2) expression was significantly increased by dietary AX (Figure 3E).
4. Discussion
This study and our previous work [7] provide the first evidence, to our knowledge, of a dietary AX modulating effect on the ox-PPP in rainbow trout liver, upregulating hepatic g6pdh [7] and 6pgdh gene expression. Both ox-PPP dehydrogenases generate NADPH, which maintains the reduced pools of glutathione and thioredoxin [35,36]. Indeed, our previous work reported that rainbow trout fed an AX-supplemented diet presented a higher hepatic ratio between reduced and oxidized glutathione derived from increased g6pdh mRNA level and higher glutathione reductase activity and gene expression [7]. Moreover, NADPH is widely assumed to play a role in the reductive biosynthesis of fatty acids, TAG, PL, and cholesterol [24]. Therefore, this study, which is the second part following our previous work [7], aimed to elucidate whether the modulation of dietary AX towards the hepatic ox-PPP (g6pdh and 6pgdh) may also affect lipid metabolism in rainbow trout liver.
Moreover, glucose-6-phosphate (G6P), the ox-PPP substrate, has other metabolic fates in the liver: glycogenesis and glycolysis, obtained by glucokinase, a hepatic enzyme, is also upregulated by dietary AX (with a 3-fold increase of glucokinase b) [7]. Hence, as ox-PPP not only shares the same substrate but also runs parallel with glycolysis [21], dietary AX enhancement of hepatic ox-PPP may have rerouted glucose into the ox-PPP. The inhibition of phosphofructokinase, glyceraldehyde-3-phosphate dehydrogenase and pyruvate kinase denotes the rerouting of glycolysis into the ox-PPP [37]. The altered glycolytic pathway allows cells to divert flux into the ox-PPP to promote NADPH production [37]. Indeed, fish fed on the S-ASTA diet showed lower hepatic mRNA levels of pkl. However, fish fed on the S-ASTA diet did not show different mRNA levels of hepatic pfk1a and pfk1b than CTRL fish. The pyruvate kinase enzyme catalyses pyruvate production, an acetyl CoA precursor. Therefore, the increased flux into the ox-PPP due to dietary AX supplementation may have inhibited the production of hepatic acetyl CoA, a key intermediary for lipid synthesis and ATP production [38]. Moreover, because there is no higher level of hepatic glycogen in this experiment [7], the G6P molecule was mainly transferred to ox-PPP, and glycogenesis was not affected. Based on dietary AX enhancement of hepatic ox-PPP (mRNA levels of g6pdh and 6pgdh), and the possible inhibition of hepatic acetyl CoA production, hepatic lipid metabolism might have been affected.
The transcription factors that regulate lipid homeostasis include SREBP that activate the expression of genes involved in the synthesis and uptake of cholesterol, fatty acids, TAG and PL, as well as the NADPH cofactor required to synthesize these molecules [39]. Among SREBP, SREBP1c activates genes involved in fatty acid and TAG metabolism and induces the expression of genes involved in glucose utilization [40,41]. Studies in terrestrial animals have reported the downregulating effect of AX on srebp1c [13,14,16]. However, in a mouse model, dietary AX increased mRNA levels of srebp1c in a dose-dependent manner [15]. In this study, the hepatic gene expression of srebp1c was higher in the S-ASTA treatment group, although not significant. Among enzymes regulated by srebp1c are g6pdh, 6pgdh [40,42], and glucokinase [41]. Therefore, the higher mRNA levels of srepb1c found in fish fed S-ASTA diet could have influenced hepatic mRNA levels of glucokinase and g6pdh reported in our previous work [7] and 6pgdh found in this study. From the molecular perspective, it seems that dietary AX influences hepatic lipogenesis. However, biochemical results do not corroborate molecular findings as no differences in hepatic lipid content or fatty acid synthesis products such as SFA and MUFA in total lipids and lipid classes were found among dietary treatment groups. Nevertheless, fish fed the S-ASTA diet showed a higher hepatic content of DHA. Carotenoids seem to increase the biosynthesis of n − 3 and n − 6 PUFA [43], although, in this study, the S-ASTA diet did not affect the levels of any of the precursors of this fatty acid. As n − 3 long-chain PUFA are readily oxidized, the higher DHA levels found in the liver of S-ASTA fed fish could be due to the antioxidant activity of AX. Indeed, liver thiobarbituric acid-reactive substance (TBARS) values were reduced by 15% due to AX supplementation [7]. Another significant finding in rainbow trout fed the S-ASTA diet was the higher n − 3/n − 6 ratio. An adequate balance of n − 3 and n − 6 PUFA is fundamental for several physiological functions promoting a better liver status in rainbow trout, as both fatty acid groups are substrates for different enzymes involved in fish lipid metabolism [44]. As CTRL and S-ASTA diets were formulated with the same batch of ingredients, including fish oil, similar dietary fatty acid profiles can be expected, suggesting that our results on liver could be due to dietary AX supplementation. Therefore, neither dietary AX enhancement of the hepatic ox-PPP nor the glycolytic rerouting seems to affect hepatic fatty acid synthesis in rainbow trout liver. The use of NADPH on anabolic reactions or the maintenance of cellular redox homeostasis depends on the cell requirements [45]. In the present study, we previously suggested that hepatic ox-PPP enhancement improved oxidative stress protection by increasing glutathione reductase activity and gene expression, leading to higher ratio between reduced and oxidized glutathione (GSH/GSSG) and lower TBARS values [7].
Regarding hepatic glycerolipid synthesis, fish fed on the S-ASTA diet showed lower hepatic mRNA levels of dgat2, the rate-limiting enzyme for TAG formation, which modulates the last step in TAG synthesis. The reaction catalysed by DGAT is crucial as it is a branching point for hydrocarbon flow towards either the TAG pathway or PL pathway [46]. Therefore, this finding suggests that dietary AX inhibits hepatic TAG synthesis and enhances hepatic PL synthesis. Indeed, increasing hepatic mRNA levels of chpt involved in the synthesis of PC from DAG were found in rainbow trout fed the S-ASTA diet, as DAG can act as a precursor of PC and PE [47]. Similarly, in tiger puffer, AX supplementation downregulated the gene expression of dgat1 [20]. Nevertheless, in broiler chicken, dietary AX upregulated the dgat2 mRNA [16]. Hepatic lipid class composition corroborates our molecular findings, reporting that rainbow trout fed on the S-ASTA diet presented higher hepatic PL (PC and PE) and lower hepatic total neutral lipids than fish from the CTRL treatment. In mice models, the perturbation of pyruvate kinase affects lipogenesis, lowering liver TAG and cholesterol [48]. Therefore, dietary AX downregulation of hepatic pkl may have caused the lowering of hepatic TAG synthesis in rainbow trout liver. Furthermore, overall molecular TAG metabolism results denote the role of dietary AX in modulating TAG turnover in rainbow trout liver. Consequently, this affects hepatic PL composition since TAG turnover seems essential in maintaining the pool size of PL [49].
Concerning SREBP2, fish fed the S-ASTA diet presented the highest mRNA levels of hepatic srebp2, an activator of cholesterol biosynthetic enzymes [39]. In agreement with our results, AX supplementation increased srebp2 mRNA levels in mice [11]. The increase of hepatic mRNA levels of srebp2 observed in fish fed the S-ASTA diet could be a compensatory response linked to the downregulating effect of dietary AX supplementation on hepatic pkl, lowering hepatic acetyl CoA and affecting cholesterol biosynthesis. Moreover, the rate-limiting enzyme of cholesterol biosynthesis, 3-hydroxy-3-methylglutaryl CoA reductase (not evaluated in this study), requires NADPH as a cofactor. Therefore, the increase in hepatic NADPH produced by AX enhancement of the hepatic ox-PPP might have also affected the activity of this cholesterol-synthesizing enzyme. However, at the end of the trial, cholesterol concentrations in the liver of rainbow trout were not significantly different among dietary treatments. In a study with Atlantic salmon fed diets with low content of marine ingredients, only differing in AX concentrations (48 and <1 mg/kg feed), fish fed the diet with low AX levels showed higher biosynthesis of hepatic steroids [1]. In diets with low fishmeal and fish oil, there is low cholesterol content, and there is a need for endogenous synthesis of cholesterol [50,51,52]. Therefore, results found in Atlantic salmon liver [1] reinforce the dietary AX role in cholesterol homeostasis.
Furthermore, several studies have suggested the implication of dietary AX in fatty acid utilization via the activation of cpt1 and associated with enhanced lipolysis and sparing of glycogen [10,53,54]. Indeed, this study found an effect of AX supplementation on hepatic lipolysis and β-oxidation. Rainbow trout fed the S-ASTA diet showed higher mRNA levels of hepatic atgl, hsl1 and hsl2. Indeed, rainbow trout fed the S-ASTA showed lower hepatic TAG. Both enzymes are involved in lipolysis, mobilizing TAG and under the control of the PPARγ transcription factor [55,56]. However, in the present study, hepatic pparγ was not affected by the S-ASTA diet. Most studies have reported dietary AX as an antagonist of PPARγ [11,12]. The increased hydrolytic cleavage of hepatic TAG due to dietary AX supplementation increased the availability of fatty acids, promoting β-oxidation, resulting in fish fed on the S-ASTA diet presenting higher mRNA levels of cpt1α2. In fact, rainbow trout fed the S-ASTA diet showed lower hepatic MUFA in the neutral fraction than fish fed the CTRL diet, which are among the main substrates for mitochondrial β-oxidation in fish [57]. However, dietary AX did not affect hepatic pparα, a transcription factor stimulating fatty acid catabolism [58]. Similarly, in tiger puffer, dietary AX increased the hepatic mRNA expression of genes involved in β-oxidation and monoacylglycerol hydrolysis [20]. In mice, dietary AX also upregulated the expression of cpt1, suggesting that AX may activate pparα [11,59]. The enhancement of hepatic lipolysis and β-oxidation found in this work suggests that dietary AX may stimulate the use of fatty acids for ATP generation, to compensate for the lowering of ATP production derived from the rerouting of hepatic glucose toward the pentose phosphate pathway to maintain hepatic energy homeostasis.
Biological and histological results are also in agreement with molecular observations, finding that liver and visceral weights were lower in fish fed the S-ASTA diet. In Atlantic salmon fed diets with low content of marine ingredients, dietary AX decreased HSI but not the visceral fat score [1]. Moreover, mice fed a high-fat diet supplemented with AX displayed reduced body weight, adipose tissue weight, liver weight, and liver TAG [10,54]. Furthermore, liver histology strengthens our results, as fish fed the S-ASTA diet presented lower hepatocyte area and lower nuclear displacement than rainbow trout fed the CTRL diet. Indeed, studies on diverse fish species have also reported a positive influence of AX on liver histology. Dietary AX has been shown to improve liver structure and metabolism in Oreochromis niloticus and Colisa labiosa [60]. In Eurasian perch (Perca fluviatilis L.), AX partially abrogated the effects of a high-fat diet [61].
5. Conclusions
This study is the first to document the modulating effect of dietary AX on the ox-PPP and the last step of the glycolytic pathway in rainbow trout liver. Both findings influenced TAG turnover, β-oxidation, PL, and cholesterol synthesis in rainbow trout liver. Overall, dietary AX positively influenced rainbow trout liver physiology and is a suitable feed additive to help address aquaculture challenges related to hepatic health, as a fatty liver is caused by an imbalance between lipogenesis and lipolysis, and oxidative stress. However, further studies testing different AX levels on salmonids and other fish species are worth evaluating, to define the minimal efficient level as AX represents a significant fraction of the feed cost. The sustainability of the aquaculture industry, indeed, requires realistic functional ingredients.
Author Contributions
Conceptualization, C.T.K., M.S.I., S.J.K. and S.F.-D.; methodology, C.T.K., M.B.B., S.T., M.S., L.L., V.V., S.P. and S.F.-D.; validation, C.T.K. and S.F.-D.; formal analysis, S.T., L.L. and V.V.; investigation, C.T.K. and S.F.-D.; writing—original draft preparation, C.T.K.; writing—review and editing, C.T.K., S.P., M.B.B., M.S. and S.F.-D. All authors have read and agreed to the published version of the manuscript.
Funding
The project leading to these results has received funding from the European Union’s Horizon 2020 research and innovation programme under grant agreement No. 652831 (AQUAEXCEL2020).
Institutional Review Board Statement
All the protocols involving animals in this experiment were strictly performed in compliance with the European Directive 010/63/EU for the protection of animals used for scientific purposes, and the French Decree no. 2013-118 for animal experimentation.
Informed Consent Statement
Not applicable.
Data Availability Statement
Data are available upon request to the corresponding author.
Acknowledgments
The authors wish to thank P. Borges for his valuable input in the initial project and F. Terrier, A. Lanuque and F. Sandres for the preparation of diets and care of fish. They are also very grateful to A. Surget, M. Cluzeaud, L. Attard, and L. Bouakaz for technical assistance and C. Heraud, K. Dias and M. Parailloux for sampling.
Conflicts of Interest
The authors declare no conflict of interest.
References
- Ytrestøyl, T.; Afanasyev, S.; Ruyter, B.; Hatlen, B.; Østbye, T.-K.; Krasnov, A. Transcriptome and functional responses to absence of astaxanthin in Atlantic salmon fed low marine diets. Comp. Biochem. Physiol. D 2021, 39, 100841. [Google Scholar] [CrossRef] [PubMed]
- Li, M.; Wu, W.; Zhou, P.; Xie, F.; Zhou, Q.; Mai, K. Comparison effect of dietary astaxanthin and Haematococcus pluvialis on growth performance, antioxidant status and immune response of large yellow croaker Pseudosciaena Crocea. Aquaculture 2014, 434, 227–232. [Google Scholar] [CrossRef]
- Hansen, Ø.J.; Puvanendran, V.; Bangera, R. Broodstock diet with water and astaxanthin improve condition and egg output of brood fish and larval survival in Atlantic cod, Gadus morhua L. Aquac. Res. 2016, 47, 819–829. [Google Scholar] [CrossRef]
- Lim, K.C.; Yusoff, F.M.; Shariff, M.; Kamarudin, M.S. Dietary astaxanthin augments disease resistance of Asian seabass, Lates calcarifer (Bloch, 1790), against Vibrio alginolyticus infection. Fish Shellfish Immunol. 2021, 114, 90–101. [Google Scholar] [CrossRef]
- Xie, J.; Fang, H.; He, X.; Liao, S.; Liu, Y.; Tian, L.; Niu, J. Study on mechanism of synthetic astaxanthin and Haematococcus pluvialis improving the growth performance and antioxidant capacity under acute hypoxia stress of golden pompano (Trachinotus ovatus) and enhancing anti-inflammatory by activating Nrf2-ARE pathway to antagonize the NF-κB pathway. Aquaculture 2020, 518, 734657. [Google Scholar] [CrossRef]
- Elia, A.C.; Prearo, M.; Dörr, A.J.M.; Pacini, N.; Magara, G.; Brizio, P.; Gasco, L.; Abete, M.C. Effects of astaxanthin and canthaxanthin on oxidative stress biomarkers in rainbow trout. J. Toxicol. Environ. Health Pt A 2019, 82, 760–768. [Google Scholar] [CrossRef]
- Kalinowski, C.T.; Larroquet, L.; Véron, V.; Robaina, L.; Izquierdo, M.S.; Panserat, S.; Kaushik, S.; Fontagné-Dicharry, S. Influence of dietary astaxanthin on the hepatic oxidative stress response caused by episodic hyperoxia in rainbow trout. Antioxidants 2019, 8, 626. [Google Scholar] [CrossRef]
- Schmeisser, J.; Verlhac-Trichet, V.; Madaro, A.; Lall, S.P.; Torrissen, O.; Olsen, R.E. Molecular mechanism involved in carotenoid metabolism in post-smolt Atlantic salmon: Astaxanthin metabolism during flesh pigmentation and its antioxidant properties. Mar. Biotechnol. 2021, 23, 653–670. [Google Scholar] [CrossRef]
- Hussein, G.; Nakagawa, T.; Goto, H.; Shimada, Y.; Matsumoto, K.; Sankawa, U.; Watanabe, H. Astaxanthin ameliorates features of metabolic syndrome in SHR/NDmcr-cp. Life Sci. 2007, 80, 522–529. [Google Scholar] [CrossRef]
- Ikeuchi, M.; Koyama, T.; Takahashi, J.; Yazawa, K. Effects of astaxanthin in obese mice fed a high-fat diet. Biosci. Biotechnol. Biochem. 2007, 71, 893–899. [Google Scholar] [CrossRef]
- Yang, Y.; Seo, J.M.; Nguyen, A.; Pham, T.X.; Park, H.J.; Park, Y.; Kim, B.; Bruno, R.S.; Lee, J. Astaxanthin-rich extract from the green alga Haematococcus pluvialis lowers plasma lipid concentrations and enhances antioxidant defense in apolipoprotein E knockout mice. J. Nutr. 2011, 141, 1611–1617. [Google Scholar] [CrossRef] [PubMed]
- Jia, Y.; Kim, J.-Y.; Jun, H.-J.; Kim, S.-J.; Lee, J.-H.; Hoang, M.H.; Hwang, K.-Y.; Um, S.-J.; Chang, H.I.; Lee, S.-J. The natural carotenoid astaxanthin, a PPAR-α agonist and PPAR-γ antagonist, reduces hepatic lipid accumulation by rewiring the transcriptome in lipid-loaded hepatocytes. Mol. Nutr. Food Res. 2012, 56, 878–888. [Google Scholar] [CrossRef] [PubMed]
- Ni, Y.; Nagashimada, M.; Zhuge, F.; Zhan, L.; Nagata, N.; Tsutsui, A.; Nakanuma, Y.; Kaneko, S.; Ota, T. Astaxanthin prevents and reverses diet-induced insulin resistance and steatohepatitis in mice: A comparison with vitamin E. Sci. Rep. 2015, 5, 17192. [Google Scholar] [CrossRef] [PubMed]
- Xu, J.; Rong, S.; Gao, H.; Chen, C.; Yang, W.; Deng, Q.; Huang, Q.; Xiao, L.; Huang, F. A combination of flaxseed oil and astaxanthin improves hepatic lipid accumulation and reduces oxidative stress in high fat-diet fed rats. Nutrients 2017, 9, 271. [Google Scholar] [CrossRef] [PubMed]
- Mimoun-Benarroch, M.; Lallement, J.; Rhazi, L.; Boroch, C.; Hugot, C.; Niamba, C.-N.; Younes, H.; Depeint, F. Free form astaxanthin from yeast Phaffia rhodozyma fermentation reduces plasmatic triglycerides in a pre-obesity diet-induced dyslipidaemia mouse model. J. Food Compos. Anal. 2018, 65, 11–15. [Google Scholar] [CrossRef]
- Tolba, S.A.; Magnuson, A.D.; Sun, T.; Lei, X.G. Dietary supplemental microalgal astaxanthin modulates molecular profiles of stress, inflammation, and lipid metabolism in broiler chickens and laying hens under high ambient temperatures. Poult. Sci. 2020, 99, 4853–4860. [Google Scholar] [CrossRef]
- Kim, Y.J.; Kim, Y.A.; Yokozawa, T. Protection against oxidative stress, inflammation, and apoptosis of high-glucose-exposed proximal tubular epithelial cells by astaxanthin. J. Agric. Food Chem. 2009, 57, 8793–8797. [Google Scholar] [CrossRef]
- Ishiki, M.; Nishida, Y.; Ishibashi, H.; Wada, T.; Fujisaka, S.; Takikawa, A.; Urakaze, M.; Sasaoka, T.; Usui, I.; Tobe, K. Impact of divergent effects of astaxanthin on insulin signaling in L6 cells. Endocrinology 2013, 154, 2600–2612. [Google Scholar] [CrossRef]
- Ursoniu, S.; Sahebkar, A.; Serban, M.-C.; Banach, M. Lipid profile and glucose changes after supplementation with astaxanthin: A systematic review and meta-analysis of randomized controlled trials. Arch. Med. Sci. 2015, 11, 253–266. [Google Scholar] [CrossRef]
- Liao, Z.; Xu, H.; Wei, Y.; Zhang, Q.; Liang, M. Dietary astaxanthin differentially affected the lipid accumulation in the liver and muscle of the marine teleost, tiger puffer Takifugu rubripes. Aquac. Res. 2018, 49, 3421–3433. [Google Scholar] [CrossRef]
- Cherkas, A.; Holota, S.; Mdzinarashvili, T.; Gabbianelli, R.; Zarkovic, N. Glucose as a major antioxidant: When, what for and why it fails? Antioxidants 2020, 9, 140. [Google Scholar] [CrossRef] [PubMed]
- Cappellini, M.D.; Fiorelli, G. Glucose-6-phosphate dehydrogenase deficiency. Lancet 2008, 371, 64–74. [Google Scholar] [CrossRef] [PubMed]
- Stanton, R.C. Glucose-6-phosphate dehydrogenase, NADPH, and cell survival. IUBMB Life 2012, 64, 362–369. [Google Scholar] [CrossRef]
- Park, J.; Rho Ho, K.; Kim Kang, H.; Choe Sung, S.; Lee Yun, S.; Kim Jae, B. Overexpression of glucose-6-phosphate dehydrogenase is associated with lipid dysregulation and insulin resistance in obesity. Mol. Cell. Biol. 2005, 25, 5146–5157. [Google Scholar] [CrossRef]
- Riganti, C.; Gazzano, E.; Polimeni, M.; Aldieri, E.; Ghigo, D. The pentose phosphate pathway: An antioxidant defense and a crossroad in tumor cell fate. Free Radic. Biol. Med. 2012, 53, 421–436. [Google Scholar] [CrossRef] [PubMed]
- Ge, T.; Yang, J.; Zhou, S.; Wang, Y.; Li, Y.; Tong, X. The role of the pentose phosphate pathway in diabetes and cancer. Front. Endocrinol. 2020, 11, 365. [Google Scholar] [CrossRef] [PubMed]
- Martoja, R.; Martoja-Pierson, M. Técnicas de Histología Animal; Toray-Masson, S.A.: Barcelona, Spain, 1970; 350p. [Google Scholar]
- Folch, J.; Lees, M.; Sloane Stanley, G.H. A simple method for the isolation and purification of total lipids from animal tissues. J. Biol. Chem. 1957, 226, 497–509. [Google Scholar] [CrossRef]
- Shantha, N.C.; Ackman, R.G. Nervonic acid versus tricosanoic acid as internal standards in quantitative gas chromatographic analyses of fish oil longer-chain n-3 polyunsaturated fatty acid methyl esters. J. Chromatogr. 1990, 533, 1–10. [Google Scholar] [CrossRef]
- Ackman, R.G. Fish Lipids. In Advances in Fish Science and Technology; Connell, J.J., Ed.; Fishing News Books Ltd.: Farnham, UK, 1980; pp. 83–103. [Google Scholar]
- Tocher, D.R.; Harvie, D.G. Fatty acid compositions of the major phosphoglycerides from fish neural tissues; (n − 3) and (n − 6) polyunsaturated fatty acids in rainbow trout (Salmo gairdneri) and cod (Gadus morhua) brains and retinas. Fish Physiol. Biochem. 1988, 5, 229–239. [Google Scholar] [CrossRef]
- Henderson, R.J.; Tocher, D.R. Thin Layer Chromatography. In Lipid Analysis: A Practical Approach; Hamilton, R.J., Hamilton, S., Eds.; IRL Press: Oxford, UK, 1992; pp. 65–111. [Google Scholar]
- Fontagné-Dicharry, S.; Larroquet, L.; Dias, K.; Cluzeaud, M.; Heraud, C.; Corlay, D. Effects of dietary oxidized fish oil supplementation on oxidative stress and antioxidant defense system in juvenile rainbow trout (Oncorhynchus mykiss). Fish Shellfish Immunol. 2018, 74, 43–51. [Google Scholar] [CrossRef]
- Pfaffl, M.W. A new mathematical model for relative quantification in real-time RT-PCR. Nucl. Acids Res. 2001, 29, e45. [Google Scholar] [CrossRef] [PubMed]
- Jiang, P.; Du, W.; Wang, X.; Mancuso, A.; Gao, X.; Wu, M.; Yang, X. p53 regulates biosynthesis through direct inactivation of glucose-6-phosphate dehydrogenase. Nat. Cell Biol. 2011, 13, 310–316. [Google Scholar] [CrossRef] [PubMed]
- Jiang, P.; Du, W.; Yang, X. A critical role of glucose-6-phosphate dehydrogenase in TAp73-mediated cell proliferation. Cell Cycle 2013, 12, 3720–3726. [Google Scholar] [CrossRef]
- Mullarky, E.; Cantley, L.C. Diverting Glycolysis to Combat Oxidative Stress. In Proceedings of the Innovative Medicine; Nakao, K., Minato, N., Uemoto, S., Eds.; Springer: Tokyo, Japan, 2015; pp. 3–23. [Google Scholar]
- Rui, L. Energy Metabolism in the Liver. In Comprehensive Physiology; Pollock, D.M., Ed.; American Physiological Society: Rockville, MD, USA, 2014; pp. 177–197. [Google Scholar] [CrossRef]
- Horton, J.D.; Goldstein, J.L.; Brown, M.S. SREBPs: Activators of the complete program of cholesterol and fatty acid synthesis in the liver. J. Clin. Investig. 2002, 109, 1125–1131. [Google Scholar] [CrossRef] [PubMed]
- Shimomura, I.; Bashmakov, Y.; Horton, J.D. Increased levels of nuclear SREBP-1c associated with fatty livers in two mouse models of diabetes mellitus. J. Biol. Chem. 1999, 274, 30028–30032. [Google Scholar] [CrossRef]
- Ferré, P.; Foufelle, F. SREBP-1c transcription factor and lipid homeostasis: Clinical perspective. Horm. Res. Paediatr. 2007, 68, 72–82. [Google Scholar] [CrossRef]
- Korczynska, J.; Stelmanska, E.; Nogalska, A.; Szolkiewicz, M.; Goyke, E.; Swierczynski, J.; Rutkowski, B. Upregulation of lipogenic enzymes genes expression in white adipose tissue of rats with chronic renal failure is associated with higher level of sterol regulatory element binding protein-1. Metabolism 2004, 53, 1060–1065. [Google Scholar] [CrossRef]
- Tsukui, T.; Baba, N.; Hosokawa, M.; Sashima, T.; Miyashita, K. Enhancement of hepatic docosahexaenoic acid and arachidonic acid contents in C57BL/6J mice by dietary fucoxanthin. Fish. Sci. 2009, 75, 261–263. [Google Scholar] [CrossRef]
- Sargent, J.; Henderson, R.J.; Tocher, D.R. The Lipids. In Fish Nutrition, 2nd ed.; Halver, J.E., Ed.; Academic Press: San Diego, CA, USA, 1989; pp. 153–218. [Google Scholar]
- Tsouko, E.; Khan, A.S.; White, M.A.; Han, J.J.; Shi, Y.; Merchant, F.A.; Sharpe, M.A.; Xin, L.; Frigo, D.E. Regulation of the pentose phosphate pathway by an androgen receptor–mTOR-mediated mechanism and its role in prostate cancer cell growth. Oncogenesis 2014, 3, e103. [Google Scholar] [CrossRef]
- Kjær, M.A.; Vegusdal, A.; Gjøen, T.; Rustan, A.C.; Todorčević, M.; Ruyter, B. Effect of rapeseed oil and dietary n-3 fatty acids on triacylglycerol synthesis and secretion in Atlantic salmon hepatocytes. Biochim. Biophys. Acta Mol. Cell Biol. Lipids 2008, 1781, 112–122. [Google Scholar] [CrossRef]
- Carrasco, S.; Mérida, I. Diacylglycerol, when simplicity becomes complex. Trends Biochem.Sci. 2007, 32, 27–36. [Google Scholar] [CrossRef] [PubMed]
- Liu, Z.; Zhang, C.; Lee, S.; Kim, W.; Klevstig, M.; Harzandi, A.M.; Sikanic, N.; Arif, M.; Ståhlman, M.; Nielsen, J.; et al. Pyruvate kinase L/R is a regulator of lipid metabolism and mitochondrial function. Metab. Eng. 2019, 52, 263–272. [Google Scholar] [CrossRef] [PubMed]
- Rajakumari, S.; Rajasekharan, R.; Daum, G. Triacylglycerol lipolysis is linked to sphingolipid and phospholipid metabolism of the yeast Saccharomyces cerevisiae. Biochim. Biophys. Acta Mol. Cell Biol. Lipids 2010, 1801, 1314–1322. [Google Scholar] [CrossRef] [PubMed]
- Leaver, M.J.; Bautista, J.M.; Bjornsson, B.T.; Jonsson, E.; Krey, G.; Tocher, D.R.; Torstensen, B.E. Towards fish lipid nutrigenomics: Current state and prospects for fin-fish aquaculture. Rev. Fish Sci. 2008, 16, 73–94. [Google Scholar] [CrossRef]
- Kortner, T.M.; Björkhem, I.; Krasnov, A.; Timmerhaus, G.; Krogdahl, Å. Dietary cholesterol supplementation to a plant-based diet suppresses the complete pathway of cholesterol synthesis and induces bile acid production in Atlantic salmon (Salmo salar L.). Br. J. Nutr. 2014, 111, 2089–2103. [Google Scholar] [CrossRef] [PubMed]
- Caballero-Solares, A.; Xue, X.; Parrish, C.C.; Foroutani, M.B.; Taylor, R.G.; Rise, M.L. Changes in the liver transcriptome of farmed Atlantic salmon (Salmo salar) fed experimental diets based on terrestrial alternatives to fish meal and fish oil. BMC Genom. 2018, 19, 796. [Google Scholar] [CrossRef]
- Aoi, W.; Naito, Y.; Sakuma, K.; Kuchide, M.; Tokuda, H.; Maoka, T.; Toyokuni, S.; Oka, S.; Yasuhara, M.; Yoshikawa, T. Astaxanthin limits exercise-induced skeletal and cardiac muscle damage in mice. Antioxid. Redox Signal. 2003, 5, 139–144. [Google Scholar] [CrossRef]
- Ikeuchi, M.; Koyama, T.; Takahashi, J.; Yazawa, K. Effects of astaxanthin supplementation on exercise-induced fatigue in mice. Biol. Pharm. Bull. 2006, 29, 2106–2110. [Google Scholar] [CrossRef]
- Reid, B.N.; Ables, G.P.; Otlivanchik, O.A.; Schoiswohl, G.; Zechner, R.; Blaner, W.S.; Goldberg, I.J.; Schwabe, R.F.; Chua, S.C.; Huang, L.-S. Hepatic overexpression of hormone-sensitive lipase and adipose triglyceride lipase promotes fatty acid oxidation, stimulates direct release of free fatty acids, and ameliorates steatosis. J. Biol. Chem. 2008, 283, 13087–13099. [Google Scholar] [CrossRef]
- Schreiber, R.; Xie, H.; Schweiger, M. Of mice and men: The physiological role of adipose triglyceride lipase (ATGL). Biochim. Biophys. Acta Mol. Cell Biol. Lipids 2019, 1864, 880–899. [Google Scholar] [CrossRef]
- Tocher, D.R. Metabolism and functions of lipids and fatty acids in teleost fish. Rev. Fish Sci. 2003, 11, 107–184. [Google Scholar] [CrossRef]
- Rakhshandehroo, M.; Knoch, B.; Müller, M.; Kersten, S. Peroxisome proliferator-activated receptor alpha target genes. PPAR Res. 2010, 2010, 612089. [Google Scholar] [CrossRef] [PubMed]
- Yang, Y.; Pham, T.X.; Wegner, C.J.; Kim, B.; Ku, C.S.; Park, Y.-K.; Lee, J.-Y. Astaxanthin lowers plasma TAG concentrations and increases hepatic antioxidant gene expression in diet-induced obesity mice. Br. J. Nutr. 2014, 112, 1797–1804. [Google Scholar] [CrossRef] [PubMed]
- Segner, H.; Arend, P.; Von Poeppinghausen, K.; Schmidt, H. The effect of feeding astaxanthin to Oreochromis niloticus and Colisa labiosa on the histology of the liver. Aquaculture 1989, 79, 381–390. [Google Scholar] [CrossRef]
- Blanchard, G. Influence de Facteurs Nutritionnels et d’elevage sur Le Statut Hepatique et La Composition Lipidique de Tissus Cible Chez La Perche Perca fluviatis (Linne, 1758). Ph.D. Thesis, University of Namur, Namur, Belgium, 2008. [Google Scholar]
Disclaimer/Publisher’s Note: The statements, opinions and data contained in all publications are solely those of the individual author(s) and contributor(s) and not of MDPI and/or the editor(s). MDPI and/or the editor(s) disclaim responsibility for any injury to people or property resulting from any ideas, methods, instructions or products referred to in the content. |
© 2023 by the authors. Licensee MDPI, Basel, Switzerland. This article is an open access article distributed under the terms and conditions of the Creative Commons Attribution (CC BY) license (https://creativecommons.org/licenses/by/4.0/).



