Glucocerebroside-Containing Milk Concentrated Powder Suppresses Oxidative Stress and Photoaging in the Skin of Hairless Mice
Abstract
:1. Introduction
2. Materials and Methods
2.1. Preparation of Glucocerebroside-Containing Milk Concentrated Powder
2.2. UVB Irradiation-Induced Photoaging in Mice
2.3. Histological Observation
2.4. Antioxidant Enzyme Activity in Dorsal Skin
2.5. Protein Extraction and Western Blot Analysis
2.6. Isolation of Total RNA and Real-Time Reverse Transcription Polymerase Chain Reaction (RT-PCR)
2.7. Skin Hydration
2.8. Levels of Hyaluronic Acid and Sphingomyelin
2.9. Ceramide Content
2.10. Statistical Analysis
3. Results
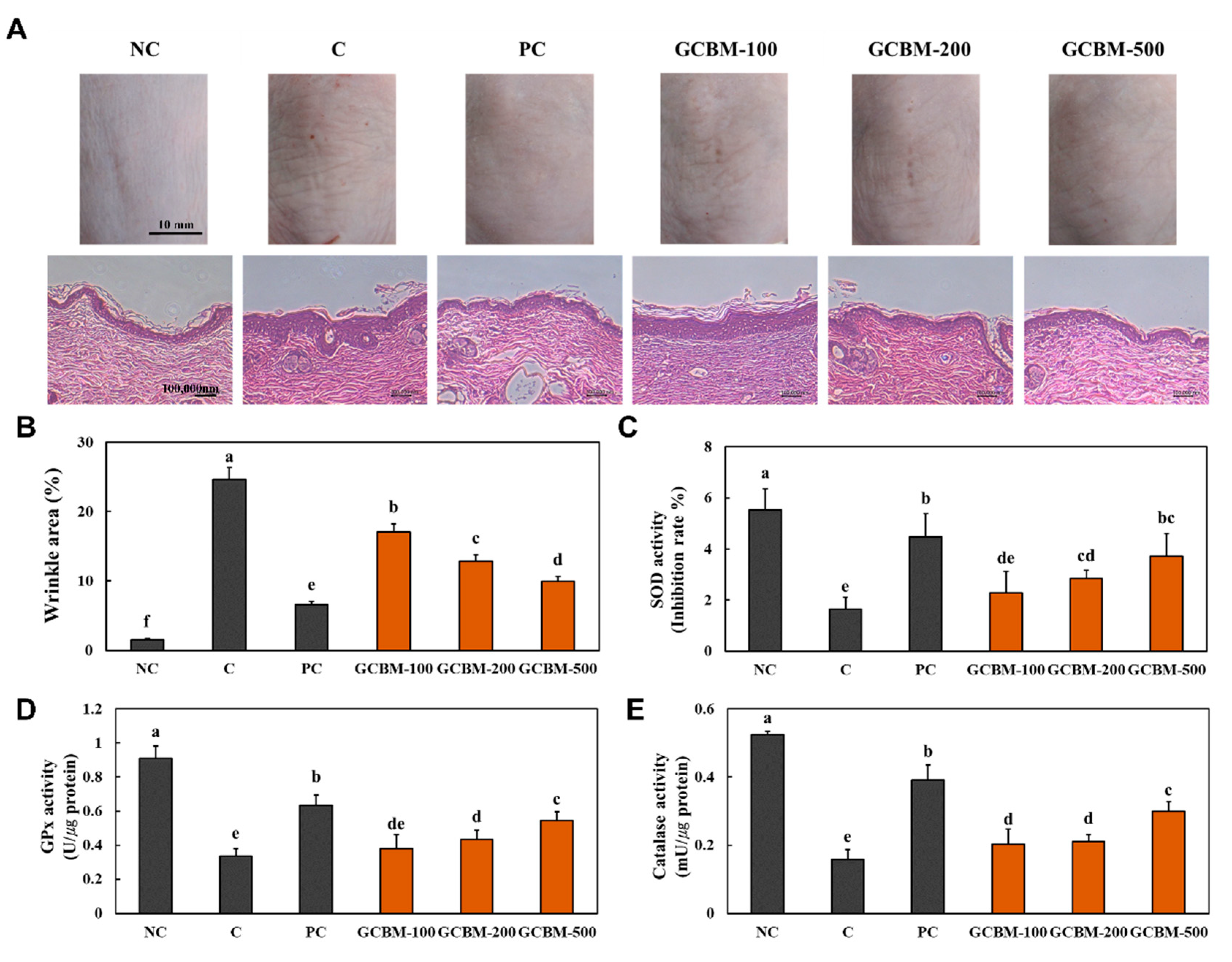
3.1. GCBM Attenuated Wrinkle Formation and Oxidative Stress in UVB Irradiation-Induced Photoaging
3.2. GCBM Suppressed Skin Inflammation in UVB Irradiation-Induced Photoaging
3.3. GCBM Increased the Activation of Elasticity Factors in UVB Irradiation-Induced Photoaging
3.4. GCBM Increased Moisturizing-Related Molecules in UVB Irradiation-Induced Photoaging
3.5. GCBM Increased Moisturizing Factors Activation in UVB Irradiation-Induced Photoaging
4. Discussion
5. Conclusions
Supplementary Materials
Author Contributions
Funding
Institutional Review Board Statement
Informed Consent Statement
Data Availability Statement
Conflicts of Interest
References
- Chuong, C.M.; Nickoloff, B.J.; Elias, P.M.; Goldsmith, L.A.; Macher, E.; Maderson, P.A.; Sundberg, J.P.; Tagami, H.; Plonka, P.M.; Thestrup-Pederson, K.; et al. What is the ‘true’ function of skin? Exp. Dermatol. 2002, 11, 159–187. [Google Scholar] [PubMed]
- Nguyen, A.V.; Soulika, A.M. The dynamics of the skin’s immune system. Int. J. Mol. Sci. 2019, 20, 1811. [Google Scholar] [CrossRef] [PubMed]
- Rittié., L.; Fisher, G.J. UV-light-induced signal cascades and skin aging. Ageing Res. Rev. 2002, 1, 705–720. [Google Scholar] [CrossRef]
- Pillai, S.; Oresajo, C.; Hayward, J. Ultraviolet radiation and skin aging: Roles of reactive oxygen species, inflammation and protease activation, and strategies for prevention of inflammation-induced matrix degradation—A review. Int. J. Cosmet. Sci. 2005, 27, 17–34. [Google Scholar] [CrossRef] [PubMed]
- Mitchell, A.; Hill, B. Moisture-associated skin damage: An overview of its diagnosis and management. Br. J. Community Nurs. 2020, 25, 12–18. [Google Scholar] [CrossRef] [PubMed]
- Tracy, L.E.; Minasian, R.A.; Caterson, E.J. Extracellular Matrix and Dermal Fibroblast Function in the Healing Wound. Adv. Wound Care 2016, 5, 119–136. [Google Scholar] [CrossRef]
- Draelos, Z.D. The effect of ceramide-containing skin care products on eczema resolution duration. Cutis 2008, 81, 87–91. [Google Scholar]
- Chiang, H.M.; Chen, H.C.; Chiu, H.H.; Chen, C.W.; Wang, S.M.; Wen, K.C. Neonauclea reticulata (Havil.) Merr Stimulates Skin Regeneration after UVB Exposure via ROS Scavenging and Modulation of the MAPK/MMPs/Collagen Pathway. Evid.-Based Complement. Altern. Med. 2013, 2013, 324864. [Google Scholar] [CrossRef]
- Dai, G.; Freudenberger, T.; Zipper, P.; Melchior, A.; Grether-Beck, S.; Rabausch, B.; de Groot, J.; Twarock, S.; Hanenberg, H.; Homey, B.; et al. Chronic ultraviolet B irradiation causes loss of hyaluronic acid from mouse dermis because of down-regulation of hyaluronic acid synthases. Am. J. Pathol. 2007, 171, 1451–1461. [Google Scholar] [CrossRef]
- Sodini, I.; Morin, P.; Olabi, A.; Jiménez-Flores, R. Compositional and functional properties of buttermilk: A comparison between sweet, sour, and whey buttermilk. J. Dairy Sci. 2006, 89, 525–536. [Google Scholar] [CrossRef]
- Conway, V.; Couture, P.; Richard, C.; Gauthier, S.F.; Pouliot, Y.; Lamarche, B. Impact of buttermilk consumption on plasma lipids and surrogate markers of cholesterol homeostasis in men and women. Nutr. Metab. Cardiovasc. Dis. 2013, 23, 1255–1262. [Google Scholar] [CrossRef] [PubMed]
- Kuchta-Noctor, A.M.; Murray, B.A.; Stanton, C.; Devery, R.; Kelly, P.M. Anticancer Activity of Buttermilk Against SW480 Colon Cancer Cells is Associated with Caspase-Independent Cell Death and Attenuation of Wnt, Akt, and ERK Signaling. Nutr. Cancer 2016, 68, 1234–1246. [Google Scholar] [CrossRef] [PubMed]
- Ahn, Y.; Kim, M.G.; Choi, Y.J.; Lee, S.J.; Suh, H.J.; Jo, K. Photoprotective effects of sphingomyelin-containing milk phospholipids in ultraviolet B-irradiated hairless mice by suppressing nuclear factor-κB expression. J. Dairy Sci. 2022, 105, 1929–1939. [Google Scholar] [CrossRef] [PubMed]
- Contarini, G.; Povolo, M. Phospholipids in milk fat: Composition, biological and technological significance, and analytical strategies. Int. J. Mol. Sci. 2013, 14, 2808–2831. [Google Scholar] [CrossRef]
- Kim, O.K.; Kim, D.; Lee, M.; Park, S.H.; Yamada, W.; Eun, S.; Lee, J. Standardized Edible Bird’s Nest Extract Prevents UVB Irradiation-Mediated Oxidative Stress and Photoaging in the Skin. Antioxidants 2021, 10, 1452. [Google Scholar] [CrossRef]
- Wong, P.Y.; Kitts, D.D. Chemistry of buttermilk solid antioxidant activity. J. Dairy Sci. 2003, 86, 1541–1547. [Google Scholar] [CrossRef]
- Conway, V.; Gauthier, S.F.; Pouliot, Y. Antioxidant activities of buttermilk proteins, whey proteins, and their enzymatic hydrolysates. J. Agric. Food Chem. 2013, 61, 364–372. [Google Scholar] [CrossRef]
- Kim, Y.I.; Kim, K.S.; Ahn, H.J.; Kang, I.H.; Shin, M.K. Reduced matrix metalloproteinase and collagen transcription mediated by the TGF-beta/Smad pathway in passaged normal human dermal fibroblasts. J. Cosmet. Dermatol. 2020, 19, 1211–1218. [Google Scholar] [CrossRef]
- Fisher, G.J.; Shao, Y.; He, T.; Qin, Z.; Perry, D.; Voorhees, J.J.; Quan, T. Reduction of fibroblast size/mechanical force down-regulates TGF-beta type II receptor: Implications for human skin aging. Aging Cell 2016, 15, 67–76. [Google Scholar] [CrossRef]
- Rabionet, M.; Gorgas, K.; Sandhoff, R. Ceramide synthesis in the epidermis. Biochim. Biophys. Acta 2014, 1841, 422–434. [Google Scholar] [CrossRef]
- Kihara, A. Synthesis and degradation pathways, functions, and pathology of ceramides and epidermal acylceramides. Prog. Lipid Res. 2016, 63, 50–69. [Google Scholar] [CrossRef] [PubMed]
- Sugawara, T.; Kinoshita, M.; Ohnishi, M.; Nagata, J.; Saito, M. Digestion of maize sphingolipids in rats and uptake of sphingadienine by Caco-2 cells. J. Nutr. 2003, 133, 2777–2782. [Google Scholar] [CrossRef] [PubMed]
- Ueda, O.; Hasegawa, M.; Kitamura, S. Distribution in skin of ceramide after oral administration to rats. Drug Metab. Pharmacokinet. 2009, 24, 180–184. [Google Scholar] [CrossRef] [PubMed]
- Sugawara, T.; Kinoshita, M.; Ohnishi, M.; Tsuzuki, T.; Miyazawa, T.; Nagata, J.; Hirata, T.; Saito, M. Efflux of sphingoid bases by P-glycoprotein in human intestinal Caco-2 cells. Biosci. Biotechnol. Biochem. 2004, 68, 2541–2546. [Google Scholar] [CrossRef] [Green Version]





| Gene | Accession Number | Sequence |
|---|---|---|
| TNF-α (M) | NM_001278601.1 | F: 5′-CAC CGT CAG CCG ATT TGC-3′ |
| R: 5′-TTG ACG GCA GAG AGG AGG TT-3′ | ||
| IL-1β (M) | XM_006498795.5 | F: 5′-GAT GAT AAC CTG CTG GTG TGT GA-3′ |
| R: 5′-GTT GTT CAT CTC GGA GCC TGT AG-3′ | ||
| IL-6 (M) | NM_001314054.1 | F: 5′-CGC TAT GAA GTT CCT CTC TGC AA-3′ |
| R: 5′-CAC CAG CAT CAG TCC CAA GAA-3′ | ||
| TGF-β RI (M) | AF271072. | F 5′-CAT CCT GAT GGC AAG AGC TAC A-3′ |
| R 5′-TAG TGG ATG CGG ACG TAA CCA-3′ | ||
| Procollagen type I (M) | NM_008788.2 | F 5′-TTA CGT GGC AAG TGA GGG TTT-3′ |
| R 5′-TGT CCA GAT GCA CTT CTT GTT TG-3′ | ||
| Collagen type I (M) | NM_007742.4 | F 5′-GAC CGT TCT ATT CCT CAG TGC AA-3′ |
| R 5′-CCC GGT GAC ACA CAA AGA CA-3′ | ||
| UGTrel8 (M) | XM_006517374.4 | F: 5′-TTC CTC ATC GTG CTG GTC AA-3′ |
| R: 5′-TTG GTG AGG GAA AAC CGT ATG-3′ | ||
| DEGS1 (M) | NM_007853.5 | F 5′-CCG GCG CAA GGA GAT CT-3′ |
| R 5′-TGT GGT CAG GTT TCA TCA AGG A-3′ | ||
| LCB1(SPT) (M) | AF003823.1 | F 5′-AGC GCC TGG CAA AGT TTA TG-3′ |
| R 5′-GTG GAG AAG CCG TAC GTG TAA AT-3′ | ||
| GAPDH (M) | NM_001289726.1 | F 5′-CCC CAC ACA CAT GCA CTT ACC-3′ |
| R 5′-TTG CCA AGT TGC CTG TCC TT-3′ |
Publisher’s Note: MDPI stays neutral with regard to jurisdictional claims in published maps and institutional affiliations. |
© 2022 by the authors. Licensee MDPI, Basel, Switzerland. This article is an open access article distributed under the terms and conditions of the Creative Commons Attribution (CC BY) license (https://creativecommons.org/licenses/by/4.0/).
Share and Cite
Kim, D.; Choi, E.-h.; Lee, J.Y.; See, H.-J.; Kim, H.-J.; Cho, Y.; Kim, O.-K.; Lee, J. Glucocerebroside-Containing Milk Concentrated Powder Suppresses Oxidative Stress and Photoaging in the Skin of Hairless Mice. Antioxidants 2022, 11, 1804. https://doi.org/10.3390/antiox11091804
Kim D, Choi E-h, Lee JY, See H-J, Kim H-J, Cho Y, Kim O-K, Lee J. Glucocerebroside-Containing Milk Concentrated Powder Suppresses Oxidative Stress and Photoaging in the Skin of Hairless Mice. Antioxidants. 2022; 11(9):1804. https://doi.org/10.3390/antiox11091804
Chicago/Turabian StyleKim, Dakyung, Eun-hye Choi, Ju Young Lee, Hye-Jeong See, Hye-Jin Kim, Yunhi Cho, Ok-Kyung Kim, and Jeongmin Lee. 2022. "Glucocerebroside-Containing Milk Concentrated Powder Suppresses Oxidative Stress and Photoaging in the Skin of Hairless Mice" Antioxidants 11, no. 9: 1804. https://doi.org/10.3390/antiox11091804
APA StyleKim, D., Choi, E.-h., Lee, J. Y., See, H.-J., Kim, H.-J., Cho, Y., Kim, O.-K., & Lee, J. (2022). Glucocerebroside-Containing Milk Concentrated Powder Suppresses Oxidative Stress and Photoaging in the Skin of Hairless Mice. Antioxidants, 11(9), 1804. https://doi.org/10.3390/antiox11091804

