Diosmin and Trolox Have Anti-Arthritic, Anti-Inflammatory and Antioxidant Potencies in Complete Freund’s Adjuvant-Induced Arthritic Male Wistar Rats: Roles of NF-κB, iNOS, Nrf2 and MMPs
Abstract
1. Introduction
2. Materials and Methods
2.1. Experimental Animals
2.2. Chemicals
2.3. Induction of Adjuvant-Induced Arthritis
2.4. Animal Grouping
2.5. Detection of Paw Edema
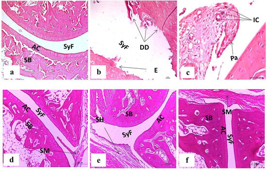
2.6. Histopathological Investigation
2.7. Determination of Total Leukocyte Count (TLC) and Differential Leukocyte Count (DLC)
2.8. Enzyme-Linked Immunosorbent Assay (ELISA)
2.9. Evaluation of Oxidative Stress and Antioxidant Status
2.10. Western Blot Analysis
2.11. Statistical Analysis
3. Results
3.1. Gross Lesions of the Paw and Ankle Joint
3.2. The Right Hind Paw Circumference
3.3. ELISA Results
3.4. Oxidative Stress and Antioxidant Defense Markers
3.5. TLC and DLC
3.6. Western Blot Analysis
3.7. Histopathological Changes
4. Discussion
5. Conclusions
Author Contributions
Funding
Institutional Review Board Statement
Informed Consent Statement
Data Availability Statement
Acknowledgments
Conflicts of Interest
Abbreviations
References
- Akiyama, M.; Kaneko, Y. Pathogenesis, clinical features, and treatment strategy for rheumatoid arthritis-associated interstitial lung disease. Autoimmun. Rev. 2022, 21, 103056. [Google Scholar] [CrossRef]
- Yang, M.; Zheng, H.; Su, Y.; Xu, K.; Yuan, Q.; Aihaiti, Y.; Xu, P. Bioinformatics Analysis Identified the Hub Genes, mRNA–miRNA–lncRNA Axis, and Signaling Pathways Involved in Rheumatoid Arthritis Pathogenesis. Int. J. Gen. Med. 2022, 15, 3879. [Google Scholar] [CrossRef]
- Wang, X.; He, X.; Zhang, C.F.; Guo, C.R.; Wang, C.Z.; Yuan, C.S. Anti-arthritic effect of berberine on adjuvant-induced rheumatoid arthritis in rats. Biomed. Pharmacother. 2017, 89, 887–893. [Google Scholar] [CrossRef]
- Asoudeh, F.; Djafarian, K.; Akhalghi, M.; Mahmoudi, M.; Jamshidi, A.R.; Farhadi, E.; Esmaillzadeh, A. The effect of probiotic cheese consumption on inflammatory and anti-inflammatory markers, disease severity, and symptoms in patients with rheumatoid arthritis: Study protocol for a randomized, double-blind, placebo-controlled trial. Trials 2022, 23, 180. [Google Scholar] [CrossRef]
- Lieber, S.B.; Navarro-Millán, I.; Rajan, M.; Curtis, J.R.; Sattui, S.E.; Lui, G.; Mandl, L.A. Prevalence of frailty in ankylosing spondylitis, psoriatic arthritis, and rheumatoid arthritis: Data from a National Claims Dataset. ACR Open Rheumatol. 2022, 4, 300–305. [Google Scholar] [CrossRef]
- Li, Y.; Wei, S.; Sun, Y.; Zong, S.; Sui, Y. Nanomedicine-based combination of dexamethasone palmitate and MCL-1 siRNA for synergistic therapeutic efficacy against rheumatoid arthritis. Drug Deliv. Transl. Res. 2021, 11, 2520–2529. [Google Scholar] [CrossRef]
- Qamar, T.; Mukherjee, S. Genetic approaches for the diagnosis and treatment of rheumatoid arthritis through personalized medicine. Gene Rep. 2021, 23, 101173. [Google Scholar] [CrossRef]
- Ahmed, K.S.Z.; Ahmed, S.S.Z.; Thangakumar, A.; Krishnaveni, R. Therapeutic effect of Parmotrema tinctorum against complete Freund’s adjuvant-induced arthritis in rats and identification of novel Isophthalic ester derivative. Biomed. Pharmacother. 2019, 112, 108646. [Google Scholar] [CrossRef]
- Triastuti, A.; Pradana, D.A.; Saputra, D.E.; Lianika, N.; Wicaksono, H.R.; Anisari, T.D.; Widyarini, S. Anti-rheumatoid activity of a hexane-insoluble fraction from Plantago major in female Wistar rats induced by Complete Freund’s Adjuvant. J. Tradit. Complementary Med. 2022, 12, 219–224. [Google Scholar] [CrossRef]
- Wu, Y.Y.; Li, X.F.; Wu, S.; Niu, X.N.; Yin, S.Q.; Huang, C.; Li, J. Role of the S100 protein family in rheumatoid arthritis. Arthritis Res. Ther. 2022, 24, 35. [Google Scholar] [CrossRef]
- Makuch, S.; Więcek, K.; Woźniak, M. The immunomodulatory and anti-inflammatory effect of curcumin on immune cell populations, cytokines, and in vivo models of rheumatoid arthritis. Pharmaceuticals 2021, 14, 309. [Google Scholar] [CrossRef] [PubMed]
- Ferreira, H.B.; Melo, T.; Paiva, A.; Domingues, M.D.R. Insights in the role of lipids, oxidative stress and inflammation in rheumatoid arthritis unveiled by new trends in lipidomic investigations. Antioxidants 2021, 10, 45. [Google Scholar] [CrossRef] [PubMed]
- Uttra, A.M.; Shahzad, M.; Shabbir, A.; Jahan, S. Ephedra gerardiana aqueous ethanolic extract and fractions attenuate Freund Complete Adjuvant induced arthritis in Sprague Dawley rats by downregulating PGE2, COX2, IL-1β, IL-6, TNF-α, NF-kB and upregulating IL-4 and IL-10. J. Ethnopharmacol. 2018, 224, 482–496. [Google Scholar] [CrossRef] [PubMed]
- Ahmed, O.M.; Soliman, H.A.; Mahmoud, B.; Gheryany, R.R. Ulva lactuca hydroethanolic extract suppresses experimental arthritis via its anti-inflammatory and antioxidant activities. Beni-Suef Univ. J. Basic Appl. Sci. 2017, 6, 394–408. [Google Scholar] [CrossRef]
- Ruckmani, A.; Meti, V.; Vijayashree, R.; Arunkumar, R.; Konda, V.R.; Prabhu, L.; Devi, S. Anti-rheumatoid activity of ethanolic extract of Sesamum indicum seed extract in Freund’s complete adjuvant induced arthritis in Wistar albino rats. J. Tradit. Complementary Med. 2018, 8, 377–386. [Google Scholar] [CrossRef] [PubMed]
- Ahmed, E.A.; Ahmed, O.M.; Fahim, H.I.; Ali, T.M.; Elesawy, B.H.; Ashour, M.B. Potency of Bone Marrow-Derived Mesenchymal Stem Cells and Indomethacin in Complete Freund’s Adjuvant-Induced Arthritic Rats: Roles of TNF-α, IL-10, iNOS, MMP-9, and TGF-β1. Stem Cells Int. 2021, 2021, 6665601. [Google Scholar] [CrossRef] [PubMed]
- Ahmed, E.A.; Ahmed, O.M.; Fahim, H.I.; Mahdi, E.A.; Ali, T.M.; Elesawy, B.H.; Ashour, M.B. Combinatory effects of bone marrow-derived mesenchymal stem cells and indomethacin on adjuvant-induced arthritis in Wistar rats: Roles of IL-1β, IL-4, Nrf-2, and oxidative Stress. Evid.-Based Complementary Altern. Med. 2021, 2021, 8899143. [Google Scholar] [CrossRef]
- Ahmed, R.H.; Galaly, S.R.; Moustafa, N.; Ahmed, R.R.; Ali, T.M.; Elesawy, B.H.; Abdul-Hamid, M. Curcumin and mesenchymal stem cells ameliorate ankle, testis, and ovary deleterious histological changes in arthritic rats via suppression of oxidative stress and inflammation. Stem Cells Int. 2021, 2021, 3516834. [Google Scholar] [CrossRef]
- Yasir, M.; Goyal, A.; Sonthalia, S. Corticosteroid Adverse Effects. In StatPearls [Internet]; StatPearls Publishing: Treasure Island, FL, USA, 2022. Available online: https://www.ncbi.nlm.nih.gov/books/NBK531462/ (accessed on 4 July 2022).
- Vostinaru, O. Adverse Effects and Drug Interactions of the Non-Steroidal Anti-Inflammatory Drugs. In Nonsteroidal Anti-Inflammatory Drugs [Internet]; Al-kaf, A.G.A., Ed.; IntechOpen: London, UK, 2017. [Google Scholar] [CrossRef]
- Lindhardsen, J.; Gislason, G.H.; Jacobsen, S.; Ahlehoff, O.; Olsen, A.M.; Madsen, O.R.; Torp-Pedersen, C.; Hansen, P.R. Non-steroidal anti-inflammatory drugs and risk of cardiovascular disease in patients with rheumatoid arthritis: A nationwide cohort study. Ann. Rheum. Dis. 2014, 73, 1515–1521. [Google Scholar] [CrossRef]
- Vonkeman, H.E.; van de Laar, M.A. Nonsteroidal anti-inflammatory drugs: Adverse effects and their prevention. Semin. Arthritis Rheum. 2010, 39, 294–312. [Google Scholar] [CrossRef]
- Masoumi, M.; Balasi, J.; Aghamiri, S.M.; Moradi, S.; Baghban, M.; Vahedian, M.; Gandomi-Mohammadabadi, A.R. Side effects of methotrexate therapy in patients with rheumatoid arthritis. Immunopathol. Persa 2021, 7, e38. [Google Scholar] [CrossRef]
- Dalkilic, E.; Coskun, B.N.; Yağız, B.; Tufan, A.N.; Ermurat, S.; Pehlivan, Y. Methotrexate intoxication: Beyond the adverse events. Int. J. Rheum. Dis. 2018, 21, 1557–1562. [Google Scholar] [CrossRef] [PubMed]
- Alkhalaf, M.I. Diosmin protects against acrylamide-induced toxicity in rats: Roles of oxidative stress and inflammation. J. King Saud Univ.-Sci. 2020, 32, 1510–1515. [Google Scholar] [CrossRef]
- Carballo-Villalobos, A.I.; González-Trujano, M.E.; Pellicer, F.; Alvarado-Vásquez, N.; López-Muñoz, F.J. Central and peripheral anti-hyperalgesic effects of diosmin in a neuropathic pain model in rats. Biomed. Pharmacother. 2018, 97, 310–320. [Google Scholar] [CrossRef]
- Gerges, S.H.; Wahdan, S.A.; Elsherbiny, D.A.; El-Demerdash, E. Pharmacology of Diosmin, a Citrus Flavone Glycoside: An Updated Review. Eur. J. Drug Metab. Pharmacokinet. 2021, 47, 1–18. [Google Scholar] [CrossRef] [PubMed]
- Habib, C.N.; Mohamed, M.R.; Tadros, M.G.; Tolba, M.F.; Menze, E.T.; Masoud, S.I. The potential neuroprotective effect of diosmin in rotenone-induced model of Parkinson’s disease in rats. Eur. J. Pharmacol. 2022, 914, 174573. [Google Scholar] [CrossRef] [PubMed]
- Huwait, E.; Mobashir, M. Potential and Therapeutic Roles of Diosmin in Human Diseases. Biomedicines 2022, 10, 1076. [Google Scholar] [CrossRef]
- Russo, R.; Mancinelli, A.; Ciccone, M.; Terruzzi, F.; Pisano, C.; Severino, L. Pharmacokinetic Profile of µSMIN Plus™, a new Micronized Diosmin Formulation, after Oral Administration in Rats. Nat. Prod. Commun. 2015, 10, 1569–1572. [Google Scholar]
- Cova, D.R.; de Angelis, L.; Giavarini, F.; Palladini, G.; Perego, R.A. Pharmacokinetics and metabolism of oral diosmin in healthy volunteers. Int. J. Clin. Pharmacol. Ther. Toxicol. 1992, 30, 29–33. [Google Scholar]
- Lee, Y.W.; Fu, S.C.; Mok, T.Y.; Chan, K.M.; Hung, L.K. Local administration of trolox, a vitamin E analog, reduced tendon adhesion in a chicken model of flexor digitorum profundus tendon injury. J. Orthop. Transl. 2017, 10, 102–107. [Google Scholar] [CrossRef]
- Harmankaya, A.; Özcan, A.; Dalginli, K.; Erdağ, D.; Dursun, Y.A.; Güngör, B. The Effect of trolox on Oxidative Stress Index and Nitric Oxide Levels. J. Inst. Sci. Technol. 2021, 11, 3262–3268. [Google Scholar] [CrossRef]
- Slovák, L.; Poništ, S.; Kuncírová, V.; Mihalová, D.; Fedorova, T.; Bauerová, K. Evaluation of the effect of carnosine, its novel derivative trolox-carnosine and trolox in a pre-clinical study focussing on the regulation of immunity. Eur. Pharm. J. 2016, 63, 16–19. [Google Scholar] [CrossRef][Green Version]
- Wattamwar, P.P.; Mo, Y.; Wan, R.; Palli, R.; Zhang, Q.; Dziubla, T.D. Antioxidant activity of degradable polymer poly (trolox ester) to suppress oxidative stress injury in the cells. Adv. Funct. Mater. 2010, 20, 147–154. [Google Scholar] [CrossRef]
- Nekoonam, S.; Nashtaei, M.S.; Zangi, B.M.; Amidi, F. Effect of trolox on sperm quality in normozospermia and oligozospermia during cryopreservation. Cryobiology 2016, 72, 106–111. [Google Scholar] [CrossRef]
- Yang, N.; Guan, Q.W.; Chen, F.H.; Xia, Q.X.; Yin, X.X.; Zhou, H.H.; Mao, X.Y. Antioxidants targeting mitochondrial oxidative stress: Promising neuroprotectants for epilepsy. Oxidative Med. Cell. Longev. 2020, 2020, 6687185. [Google Scholar] [CrossRef]
- Ikemura, K.; Inoue, K.; Mizutani, H.; Oka, H.; Iwamoto, T.; Okuda, M. An antioxidant trolox restores decreased oral absorption of cyclosporine A after liver ischemia–reperfusion through distinct mechanisms between CYP3A and P-glycoprotein in the small intestine. Eur. J. Pharmacol. 2012, 690, 192–201. [Google Scholar] [CrossRef]
- Binuclara, J.; Raghunandakumar, S.; Asokkumar, S.; Naveenkumar, C.; Premkumar, T.; Devaki, T. Antifibrotic effect of diosmin against DMN-induced liver fibrosis in rats: A biochemical analysis. Int. J. Res. Pharm. Nanosci. 2013, 2, 283–292. [Google Scholar]
- Xu, K.; Stringer, J.L. Antioxidants and free radical scavengers do not consistently delay seizure onset in animal models of acute seizures. Epilepsy Behav. 2008, 13, 77–82. [Google Scholar] [CrossRef]
- Yagi, K. Lipid peroxides and human disease. Chem. Phys. Lipids 1987, 45, 337–351. [Google Scholar] [CrossRef]
- Beutler, E.; Duron, O.; Kelly, B.M. Improved method for the determination of blood glutathione. J. Lab. Clin. Med. 1963, 61, 882–888. [Google Scholar]
- Mannervik, B.; Guthenberg, C. Glutathione transferase (human placenta). Meth. Enzym. 1981, 77, 231–235. [Google Scholar] [PubMed]
- Marklund, S.; Marklund, G. Involvement of the superoxide anion radical in the autoxidation of pyrogallol and convenient assay for superoxide dismutase. Eur. J. Biochem. 1974, 47, 469–474. [Google Scholar] [CrossRef] [PubMed]
- Cohen, G.; Dembiec, D.; Marcus, J. Measurement of catalase activity in tissue extracts. Anal. Biochem. 1970, 34, 30–38. [Google Scholar] [CrossRef]
- Harlow, E.; Lane, D. (Eds.) Using Antibodies: A Laboratory Manual; Cold Spring Harbor Laboratory Press: New York, NY, USA, 1999; ISBN 0-87969-543-9. [Google Scholar]
- Prasad, S.; Kulshreshtha, A.; Lall, R.; Gupta, S.C. Inflammation and ROS in arthritis: Management by Ayurvedic medicinal plants. Food Funct. 2021, 12, 8227–8247. [Google Scholar] [CrossRef]
- Gandhi, G.R.; Jothi, G.; Mohana, T.; Vasconcelos, A.B.S.; Montalvão, M.M.; Hariharan, G.; Gan, R.Y. Anti-inflammatory natural products as potential therapeutic agents of rheumatoid arthritis: A systematic review. Phytomedicine 2021, 93, 153766. [Google Scholar] [CrossRef] [PubMed]
- Ahmed, O.M.; EL-Abd, S.F.; El Mahdi, E.A.; Abdou, E.A. Curcumin ameliorative efficacy on type 1 diabetes mellitus coexisted with rheumatoid arthritis in Wistar rats. Merit. Res. J. Med. Med. Sci. 2015, 3, 256–270. [Google Scholar]
- Feldo, M.; Wójciak-Kosior, M.; Sowa, I.; Kocki, J.; Bogucki, J.; Zubilewicz, T.; Bogucka-Kocka, A. Monitoring of endostatin, TNF-a VEGFs, MMP-9, and cathepsin-L during three months of diosmin treatment in patients with chronic venous disease (CVD). Acta Angiol. 2019, 25, 7–13. [Google Scholar] [CrossRef]
- Devi, S.M.; Balach, V.; Sasikala, K.; Manikantan, P.; Arun, M.; Krishnan, B.B.; Sudha, S. Elevated rheumatoid factor (RF) from peripheral blood of patients with rheumatoid arthritis (RA) has altered chromosomes in Coimbatore population, South India. J. Clin. Med. Res. 2010, 2, 167–174. [Google Scholar]
- Shaaban, S.; Fayez, A.M.; Abdelaziz, M.; Abou El-ezz, D. Amelioration of Autoimmunity and Inflammation by Zinc Oxide Nanoparticles in Experimental Rheumatoid Arthritis. Naunyn-Schmiedeberg’s Arch. Pharmacol. 2021, 394, 1975–1981. [Google Scholar]
- Kurowska, W.; Kuca-Warnawin, E.H.; Radzikowska, A.; Maśliński, W. The role of anti-citrullinated protein antibodies (ACPA) in the pathogenesis of rheumatoid arthritis. Cent.-Eur. J. Immunol. 2017, 42, 390. [Google Scholar] [CrossRef]
- Mohamed, M.A.; Mahmoud, M.F.; Rezk, A.M. Effect of pentoxifylline and pioglitazone on rheumatoid arthritis induced experimentally in rats. Menoufia Med. J. 2014, 27, 766. [Google Scholar]
- Gokhale, J.P.; Mahajan, H.S.; Surana, S.J. Quercetin loaded nanoemulsion-based gel for rheumatoid arthritis: In vivo and in vitro studies. Biomed. Pharmacother. 2019, 112, 108622. [Google Scholar] [CrossRef] [PubMed]
- Ali, N.; AlAsmari, A.F.; Imam, F.; Ahmed, M.Z.; Alqahtani, F.; Alharbi, M.; Alanazi, M.M. Protective effect of diosmin against doxorubicin-induced nephrotoxicity. Saudi J. Biol. Sci. 2021, 28, 4375–4383. [Google Scholar] [CrossRef] [PubMed]
- Lee, J.H.; Kim, B.; Jin, W.J.; Kim, J.W.; Kim, H.H.; Ha, H.; Lee, Z.H. Trolox inhibits osteolytic bone metastasis of breast cancer through both PGE2-dependent and independent mechanisms. Biochem. Pharmacol. 2014, 91, 51–60. [Google Scholar] [CrossRef]
- Chen, Z.; Bozec, A.; Ramming, A.; Schett, G. Anti-inflammatory and immune-regulatory cytokines in rheumatoid arthritis. Nat. Rev. Rheumatol. 2019, 15, 9–17. [Google Scholar] [CrossRef]
- Azizi, G.; Jadidi-Niaragh, F.; Mirshafiey, A. Th17 Cells in Immunopathogenesis and treatment of rheumatoid arthritis. Int. J. Rheum. Dis. 2013, 16, 243–253. [Google Scholar] [CrossRef]
- Rangachari, M.; Mauermann, N.; Marty, R.R.; Dirnhofer, S.; Kurrer, M.O.; Komnenovic, V.; Eriksson, U. T-bet negatively regulates autoimmune myocarditis by suppressing local production of interleukin 17. J. Exp. Med. 2006, 203, 2009–2019. [Google Scholar] [CrossRef]
- Ahmed, O.M.; Ashour, M.B.; Fahim, H.I.; Ahmed, N.A. (The role of Th1/Th2/Th17 cytokines and antioxidant defense system in mediating the effects of lemon and grapefruit peel hydroethanolic extracts on adjuvant-induced arthritis in rats. J. Appl. Pharm. Sci. 2018, 8, 69–081. [Google Scholar]
- Berkoz, M. Diosmin suppresses the proinflammatory mediators in lipopolysaccharide-induced RAW264. 7 macrophages via NF-κB and MAPKs signal pathways. Gen. Physiol. Biophys. 2019, 38, 315–324. [Google Scholar] [CrossRef]
- Fattori, V.; Rasquel-Oliveira, F.S.; Artero, N.A.; Ferraz, C.R.; Borghi, S.M.; Casagrande, R.; Verri, W.A., Jr. Diosmin treats lipopolysaccharide-induced inflammatory pain and peritonitis by blocking NF-κB activation in mice. J. Nat. Prod. 2020, 83, 1018–1026. [Google Scholar] [CrossRef]
- Ahmed, S.; Mundhe, N.; Borgohain, M.; Chowdhury, L.; Kwatra, M.; Bolshette, N.; Lahkar, M. Diosmin modulates the NF-kB signal transduction pathways and downregulation of various oxidative stress markers in alloxan-induced diabetic nephropathy. Inflammation 2016, 39, 1783–1797. [Google Scholar] [CrossRef] [PubMed]
- Hartung, J.E.; Eskew, O.; Wong, T.; Tchivileva, I.E.; Oladosu, F.A.; O’Buckley, S.C.; Nackley, A.G. Nuclear factor-kappa B regulates pain and COMT expression in a rodent model of inflammation. Brain Behav. Immun. 2015, 50, 196–202. [Google Scholar] [CrossRef] [PubMed]
- Hayden, M.S.; Ghosh, S. Shared principles in NF-κB signaling. Cell 2008, 132, 344–362. [Google Scholar] [CrossRef] [PubMed]
- Bhardwaj, R.; Yester, J.W.; Singh, S.K.; Biswas, D.D.; Surace, M.J.; Waters, M.R.; Kordula, T. RelB/p50 complexes regulate cytokine-induced YKL-40 expression. J. Immunol. 2015, 194, 2862–2870. [Google Scholar] [CrossRef]
- Peng, S.; Hu, C.; Liu, X.; Lei, L.; He, G.; Xiong, C.; Wu, W. Rhoifolin regulates oxidative stress and proinflammatory cytokine levels in Freund’s adjuvant-induced rheumatoid arthritis via inhibition of NF-κB. Braz. J. Med. Biol. Res. 2020, 53, e9489. [Google Scholar] [CrossRef]
- Yu, Z.; Wang, Y.; Li, Y.; Liao, C.; Dai, J.; Luo, Y.; Wu, P. Effect of Moxibustion on the Serum Levels of MMP-1, MMP-3, and VEGF in Patients with Rheumatoid Arthritis. Evid.-Based Complementary Altern. Med. 2020, 2020, 7150605. [Google Scholar] [CrossRef]
- Elisha, I.L.; Dzoyem, J.P.; McGaw, L.J.; Botha, F.S.; Eloff, J.N. The anti-arthritic, anti-inflammatory, antioxidant activity and relationships with total phenolics and total flavonoids of nine South African plants used traditionally to treat arthritis. BMC Complementary Altern. Med. 2016, 16, 307. [Google Scholar] [CrossRef]
- Abdel-Daim, M.M.; Khalifa, H.A.; Abushouk, A.I.; Dkhil, M.A.; Al-Quraishy, S.A. Diosmin attenuates methotrexate-induced hepatic, renal, and cardiac injury: A biochemical and histopathological study in mice. Oxidative Med. Cell. Longev. 2017, 2017, 3281670. [Google Scholar] [CrossRef]
- Lee, J.H.; Kim, H.N.; Yang, D.; Jung, K.; Kim, H.M.; Kim, H.H.; Lee, Z.H. Trolox prevents osteoclastogenesis by suppressing RANKL expression and signaling. J. Biol. Chem. 2009, 284, 13725–13734. [Google Scholar] [CrossRef]
- Imam, F.; Al-Harbi, N.O.; Al-Harbi, M.M.; Ansari, M.A.; Zoheir, K.M.; Iqbal, M.; Ahmad, S.F. Diosmin downregulates the expression of T cell receptors, pro-inflammatory cytokines and NF-κB activation against LPS-induced acute lung injury in mice. Pharmacol. Res. 2015, 102, 1–11. [Google Scholar] [CrossRef]
- Weng, W.; Wang, F.; He, X.; Zhou, K.; Wu, X.; Wu, X. Protective effect of Corynoline on the CFA induced Rheumatoid arthritis via attenuation of oxidative and inflammatory mediators. Mol. Cell. Biochem. 2021, 476, 831–839. [Google Scholar] [CrossRef] [PubMed]
- Salehi, B.; Martorell, M.; Arbiser, J.L.; Sureda, A.; Martins, N.; Maurya, P.K.; Sharifi-Rad, J. Antioxidants: Positive or negative actors? Biomolecules 2018, 8, 124. [Google Scholar] [CrossRef] [PubMed]
- Veselinovic, M.; Barudzic, N.; Vuletic, M.; Zivkovic, V.; Tomic-Lucic, A.; Djuric, D.; Jakovljevic, V. Oxidative stress in rheumatoid arthritis patients: Relationship to diseases activity. Mol. Cell. Biochem. 2014, 391, 225–232. [Google Scholar] [CrossRef] [PubMed]
- Tahir, M.; Rehman, M.U.; Lateef, A.; Khan, A.Q.; Khan, R.; Qamar, W.; Sultana, S. Diosmin abrogates chemically induced hepatocarcinogenesis via alleviation of oxidative stress, hyperproliferative and inflammatory markers in murine model. Toxicol. Lett. 2013, 220, 205–218. [Google Scholar] [CrossRef]
- Shalkami, A.S.; Hassan, M.I.A.; Bakr, A.G. Anti-inflammatory, antioxidant and anti-apoptotic activity of diosmin in acetic acid-induced ulcerative colitis. Hum. Exp. Toxicol. 2018, 37, 78–86. [Google Scholar] [CrossRef]
- Mahgoub, S.; Sallam, A.O.; Sarhan, H.K.; Ammar, A.A.; Soror, S.H. Role of Diosmin in protection against the oxidative stress induced damage by gamma-radiation in Wistar albino rats. Regul. Toxicol. Pharmacol. 2020, 113, 104622. [Google Scholar] [CrossRef]
- Wang, W.; Yue, R.F.; Jin, Z.; He, L.M.; Shen, R.; Du, D.; Tang, Y.Z. Efficiency comparison of apigenin-7-O-glucoside and trolox in antioxidative stress and anti-inflammatory properties. J. Pharm. Pharmacol. 2020, 72, 1645–1656. [Google Scholar] [CrossRef]
- Ali, F.E.; Sayed, A.M.; El-Bahrawy, A.H.; Omar, Z.M.; Hassanein, E.H. Targeting KEAP1/Nrf2, AKT, and PPAR-γ signals as a potential protective mechanism of diosmin against gentamicin-induced nephrotoxicity. Life Sci. 2021, 275, 119349. [Google Scholar] [CrossRef]
- Ma, Q. Role of Nrf2 in oxidative stress and toxicity. Annu. Rev. Pharmacol. Toxicol. 2013, 53, 401–426. [Google Scholar] [CrossRef]
- Ahmed, O.M.; Fahim, H.F.; Ashour, M.B.; Elkomy, M.H.; Naguib, I.A.; Mahmoud, H.R.; Ahmed, N.A. Rutin and quercetin counter doxorubicin-induced liver toxicity in Wistar rats via their modulatory effects on inflammation, oxidative Stress, apoptosis and Nrf2 expression. Antioxidants, 2022; in press. [Google Scholar] [CrossRef]
- Saha, S.; Buttari, B.; Panieri, E.; Profumo, E.; Saso, L. An overview of Nrf2 signaling pathway and its role in inflammation. Molecules 2020, 25, 5474. [Google Scholar] [CrossRef] [PubMed]
- Wang, G.; Xie, X.; Yuan, L.; Qiu, J.; Duan, W.; Xu, B.; Chen, X. Resveratrol ameliorates rheumatoid arthritis via activation of SIRT1-Nrf2 signaling pathway. BioFactors 2020, 46, 441–453. [Google Scholar] [CrossRef] [PubMed]
- Xie, Y.; Mai, C.T.; Zheng, D.C.; He, Y.F.; Feng, S.L.; Li, Y.Z.; Liu, L. Wutou decoction ameliorates experimental rheumatoid arthritis via regulating NF-kB and Nrf2: Integrating efficacy-oriented compatibility of traditional Chinese medicine. Phytomedicine 2021, 85, 153522. [Google Scholar] [CrossRef] [PubMed]
- Lal, R.; Dhaliwal, J.; Dhaliwal, N.; Dharavath, R.N.; Chopra, K. Activation of the Nrf2/HO-1 signaling pathway by dimethyl fumarate ameliorates complete Freund’s adjuvant-induced arthritis in rats. Eur. J. Pharmacol. 2021, 899, 174044. [Google Scholar] [CrossRef]
- Ali, F.E.; Bakr, A.G.; Abo-Youssef, A.M.; Azouz, A.A.; Hemeida, R.A. Targeting Keap-1/Nrf-2 pathway and cytoglobin as a potential protective mechanism of diosmin and pentoxifylline against cholestatic liver cirrhosis. Life Sci. 2018, 207, 50–60. [Google Scholar] [CrossRef]
- Messier, E.M.; Bahmed, K.; Tuder, R.M.; Chu, H.W.; Bowler, R.P.; Kosmider, B. Trolox contributes to Nrf2-mediated protection of human and murine primary alveolar type II cells from injury by cigarette smoke. Cell Death Dis. 2013, 4, e573. [Google Scholar] [CrossRef]












| Source of Variance | Sum of Squares | D.F. | Mean Squares | F Ratio | p Value | |
|---|---|---|---|---|---|---|
| One-way ANOVA | General effect In between groups | 9.014 | 9 | 1.002 | 37.771 | p < 0.05 |
| Within groups | 1.326 | 50 | 0.027 | |||
| Total | 10.34 | 59 | ||||
| Two-way ANOVA | Treatment | 6.467 | 4 | 1.617 | 60.966 | p < 0.05 |
| Time | 1.647 | 1 | 1.647 | 62.1 | p < 0.05 | |
| Treatment-Time | 0.901 | 4 | 0.225 | 4.494 | p < 0.05 |
| Groups | RF (µIU/L) | % Change | ACPA (ng/mL) | % Change | TNF-α (pg/mL) | % Change | IL-13 (pg/mL) | % Change | IL-17 (pg/mL) | % Change |
|---|---|---|---|---|---|---|---|---|---|---|
| Normal | 17.9 ± 1.36 a | - | 1.50 ± 0.12 a | - | 31.5 ± 1.77 a | - | 158 ± 4.79 c | - | 18.1 ± 1.35 a | - |
| Arthritic | 94.4 ± 1.60 c | 427 | 8.90 ± 0.34 d | 493 | 112 ± 4.45 d | 256 | 69.1 ± 1.06 a | −129 | 99.7 ± 3.27 d | 451 |
| Arthritic treated with Diosmin | 37.7 ± 2.04 b | −60 | 4.70 ± 0.16 c | −47 | 56.3 ± 5.28 b | −50 | 123 ± 1.42 b | 78 | 53.7 ± 2.73 c | −46 |
| Arthritic treated with Trolox | 36.0 ± 6.49 b | −62 | 4.00 ± 0.46 c | −56 | 86.8 ± 3.12 c | −23 | 122 ± 9.80 b | 77 | 48.2 ± 1.68 c | −52 |
| Arthritic treated with Diosmin and Trolox | 21.9 ± 1.94 a | −77 | 2.90 ± 0.36 b | −67 | 39.0 ± 2.14 a | −65 | 149 ± 2.14 c | 116 | 27.6 ± 1.05 b | −72 |
| Groups | LPO (nmole MDA/100 mL/hr) | % Change | GSH (nmole/100 mL) | % Change | GST (U/mL) | % Change | SOD (U/mL) | % Change | CAT (U/mL) × 102 | % Change |
|---|---|---|---|---|---|---|---|---|---|---|
| Normal | 0.7 ± 0.47 a | - | 13.2 ± 1.65 b | - | 147.3 ± 7.94 c | - | 4.4 ± 0.27 c | - | 2.00 ± 0.12 b | - |
| Arthritic | 2.1 ± 0.10 c | 200 | 6.2 ± 0.50 a | −53 | 77.1 ± 3.76 a | −48 | 1.0 ± 0.09 a | −77 | 0.50 ± 0.07 a | −75 |
| Arthritic treated with Diosmin | 1.3 ± 0.12 b | −38 | 11.5 ± 0.83 b | 86 | 109.9 ± 4.67 b | 43 | 2.5 ± 0.15 b | 150 | 1.50 ± 0.09 b | 200 |
| Arthritic treated with Trolox | 1.4 ± 0.07 b | −33 | 10.3 ± 0.75 b | 66 | 115.1 ± 13.31 b | 49 | 3.1 ± 0.31 b | 210 | 1.70 ± 0.35 b | 240 |
| Arthritic treated with Diosmin and Trolox | 1.3 ± 0.02 b | −38 | 12.5 ± 1.05 b | 102 | 108.6 ± 8.91 b | 41 | 2.9 ± 0.31 b | 190 | 1.65 ± 0.06 b | 230 |
| Groups | TLC (Cell × 103/mm3) | % Change | Neutrophil | % Change | Lymphocyte | % Change | Monocyte | % Change | Eosinophil | % Change |
|---|---|---|---|---|---|---|---|---|---|---|
| Normal | 5.78 ± 0.26 a | - | 1274.3 ± 32.50 a | - | 2991.0 ± 147.4 a | - | 117 ± 12.3 a | - | 53.7 ± 3.7 a | - |
| Arthritic | 11.4 ± 0.49 c | 98 | 3266.3 ± 247.9 c | 156 | 7865.8 ± 354.3 c | 163 | 289 ± 24.4 c | 147 | 116.8 ± 7.3 c | 117.5 |
| Arthritic treated with Diosmin | 8.88 ± 0.28 b | −22 | 2272.3 ± 137.4 b | −30.4 | 5793.7 ± 226.8 b | −26.3 | 227.7 ± 9.6 b | −21.2 | 88.7 ± 2.8 b | −24.1 |
| Arthritic treated with Trolox | 8.60 ± 0.66 b | −25 | 2161.2 ± 204.6 b | −33.8 | 5588 ± 260.9 b | −30 | 130 ± 15.1 a | −55 | 88.3 ± 5.1 b | −24.4 |
| Arthritic treated with Diosmin and Trolox | 9.12 ± 0.24 b | −20 | 2958.2 ± 70.00 c | −9.4 | 5440 ± 322.6 b | −30.8 | 125.2 ± 26.9 a | −56.7 | 94.8 ± 6.1 b | −18.8 |
Publisher’s Note: MDPI stays neutral with regard to jurisdictional claims in published maps and institutional affiliations. |
© 2022 by the authors. Licensee MDPI, Basel, Switzerland. This article is an open access article distributed under the terms and conditions of the Creative Commons Attribution (CC BY) license (https://creativecommons.org/licenses/by/4.0/).
Share and Cite
Shaaban, H.H.; Hozayen, W.G.; Khaliefa, A.K.; El-Kenawy, A.E.; Ali, T.M.; Ahmed, O.M. Diosmin and Trolox Have Anti-Arthritic, Anti-Inflammatory and Antioxidant Potencies in Complete Freund’s Adjuvant-Induced Arthritic Male Wistar Rats: Roles of NF-κB, iNOS, Nrf2 and MMPs. Antioxidants 2022, 11, 1721. https://doi.org/10.3390/antiox11091721
Shaaban HH, Hozayen WG, Khaliefa AK, El-Kenawy AE, Ali TM, Ahmed OM. Diosmin and Trolox Have Anti-Arthritic, Anti-Inflammatory and Antioxidant Potencies in Complete Freund’s Adjuvant-Induced Arthritic Male Wistar Rats: Roles of NF-κB, iNOS, Nrf2 and MMPs. Antioxidants. 2022; 11(9):1721. https://doi.org/10.3390/antiox11091721
Chicago/Turabian StyleShaaban, Huda H., Walaa G. Hozayen, Amal K. Khaliefa, Ayman E. El-Kenawy, Tarek M. Ali, and Osama M. Ahmed. 2022. "Diosmin and Trolox Have Anti-Arthritic, Anti-Inflammatory and Antioxidant Potencies in Complete Freund’s Adjuvant-Induced Arthritic Male Wistar Rats: Roles of NF-κB, iNOS, Nrf2 and MMPs" Antioxidants 11, no. 9: 1721. https://doi.org/10.3390/antiox11091721
APA StyleShaaban, H. H., Hozayen, W. G., Khaliefa, A. K., El-Kenawy, A. E., Ali, T. M., & Ahmed, O. M. (2022). Diosmin and Trolox Have Anti-Arthritic, Anti-Inflammatory and Antioxidant Potencies in Complete Freund’s Adjuvant-Induced Arthritic Male Wistar Rats: Roles of NF-κB, iNOS, Nrf2 and MMPs. Antioxidants, 11(9), 1721. https://doi.org/10.3390/antiox11091721
