Chemical Fingerprinting, Antioxidant, and Anti-Inflammatory Potential of Hydroethanolic Extract of Trigonella foenum-graecum
Abstract
:1. Introduction
2. Materials and Methods
2.1. Collection of Plant Material, Identification, and Extract Preparation
2.2. Chemical Fingerprinting of T. foenum-graecum Seed Extract
2.2.1. HPLC-PDA Analysis
2.2.2. LC-MS/MS Analysis
2.3. Determination of Total Phenolic and Total Flavonoid Contents
2.4. Measurement of Total Antioxidant Capacity (TAC)
2.5. In Vitro Antioxidant Profiling of T. foenum-graecum Seed Extract
2.5.1. ABTS Cation Inhibition Assay
2.5.2. DPPH Inhibition Assay
2.6. In Vitro Cytotoxicity of T. foenum-graecum Seed Extract
2.6.1. Hemolytic Assay
2.6.2. Thrombolytic Activity
2.7. Cell Culture
2.7.1. Cytotoxicity Determination
2.7.2. Enzyme-Linked Immunosorbent Assay (ELISA)
2.7.3. Measurement of NO and PGE2
2.8. In Vivo Toxicological Evaluation of T. foenum-graecum Seed Extract
2.8.1. Ethical Considerations
2.8.2. Animals
2.8.3. Acute and Subacute Toxicity Analysis
2.9. Anti-Inflammatory Potential
2.9.1. Air Pouch Inflammation
2.9.2. Carrageenan-Induced Peritonitis
2.9.3. Measurement of Oxidative Stress Parameters and Lipid Peroxidation
2.10. Statistical Analysis
3. Results
3.1. Screening of Phytochemicals through HPLC-DAD
3.2. UHPLC-Q-TOF Chromatogram of T. foenum
3.3. Determination of TPC, TFC and In Vitro Antioxidant Activities
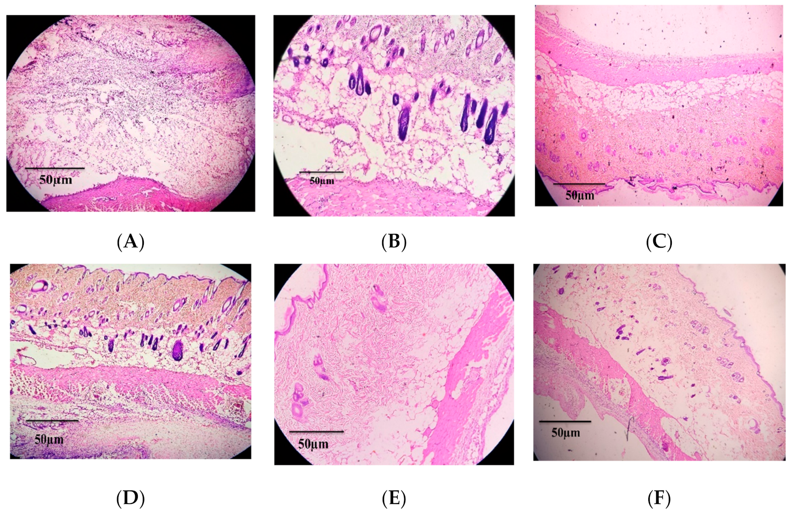
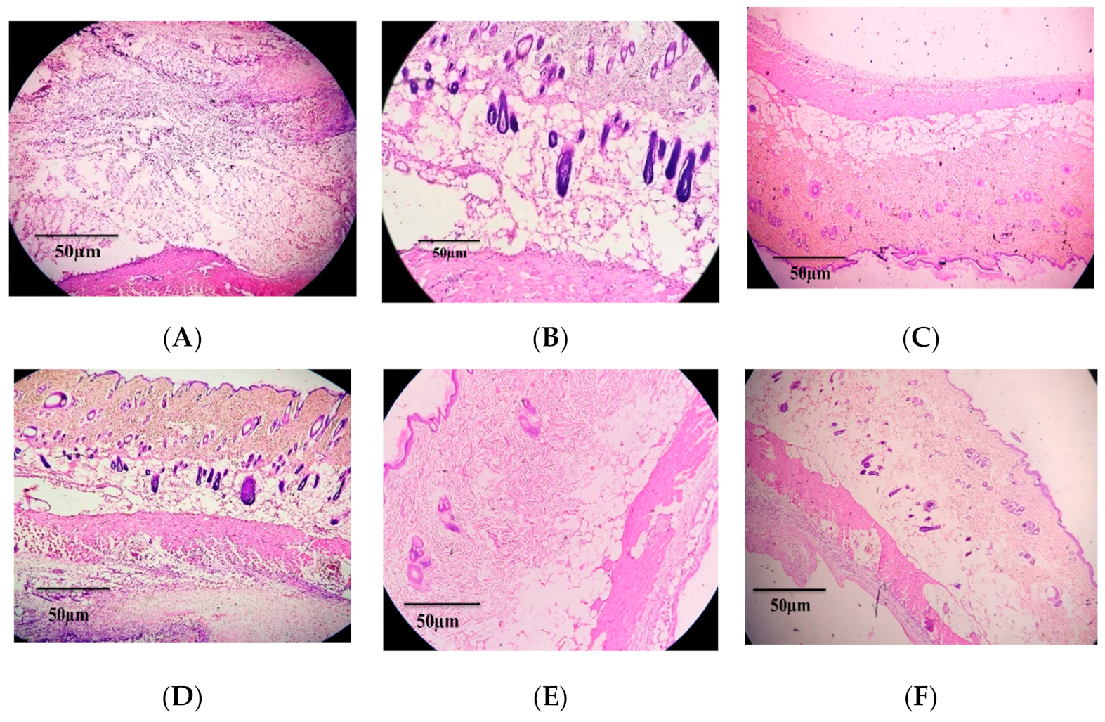
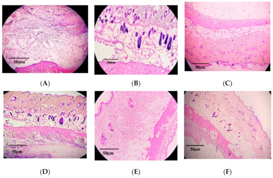
3.4. Toxicological Analysis of T. foenum-graecum Seed Extract
3.5. Cytotoxicity Determination
3.6. Effect of T. foenum-graecum Extract on TNF-α and IL-6
3.7. NO and PGE2 Quantification
3.8. In Vivo Assays
3.8.1. Acute and Subacute Toxicity Analysis of T. foenum-graecum Seed Extract
3.8.2. Hematological and Biochemical Indices
3.9. In Vivo Anti-Inflammatory Potential
3.9.1. Air Pouch Model of Inflammation
3.9.2. Carrageenan-Induced Peritonitis
3.9.3. Effect of T. foenum-graecum on Antioxidant Enzymes and Stress Markers
4. Discussion
5. Conclusions
Supplementary Materials
Author Contributions
Funding
Institutional Review Board Statement
Informed Consent Statement
Data Availability Statement
Acknowledgments
Conflicts of Interest
References
- Rauf, A.; Abu-Izneid, T.; Rashid, U.; Alhumaydhi, F.A.; Bawazeer, S.; Khalil, A.A.; Aljohani, A.S.M.; Abdallah, E.M.; Al-Tawaha, A.R.; Mabkhot, Y.N.; et al. Anti-Inflammatory, Antibacterial, Toxicological Profile, and in silico studies of Dimeric Naphthoquinones from Diospyros lotus. BioMed Res. Int. 2020, 2020, 7942549. [Google Scholar] [CrossRef]
- Liu, T.; Zhang, L.; Joo, D.; Sun, S.C. NF-ΚB Signaling in Inflammation. Signal Transduct. Target. Ther. 2017, 2, 17023. [Google Scholar] [CrossRef] [PubMed] [Green Version]
- Marquardt, P.; Seide, R.; Vissiennon, C.; Schubert, A.; Birkemeyer, C.; Ahyi, V.; Fester, K. Phytochemical Characterization and In vitro anti-Inflammatory, antioxidant and antimicrobial activity of Combretum collinum Fresen Leaves Extracts from Benin. Molecules 2020, 25, 288. [Google Scholar] [CrossRef] [PubMed] [Green Version]
- Djova, S.V.; Nyegue, M.A.; Messi, A.N.; Afagnigni, A.D.; Etoa, F.X. Phytochemical Study of Aqueous Extract of Ochna Schweinfurthiana, F. Hoffm Powder Bark and Evaluation of Their Anti-Inflammatory, Cytotoxic, and Genotoxic Properties. Evid.-Based Complement. Altern. Med. 2019, 2019, 8908343. [Google Scholar] [CrossRef] [PubMed] [Green Version]
- Marchete, R.; Oliveira, S.; Bagne, L.; Silva, J.I.d.S.; Valverde, A.P.; de Aro, A.A.; Figueira, M.M.; Fronza, M.; Bressam, T.M.; de Goes, V.F.F.; et al. Anti-Inflammatory and Antioxidant Properties of Alternanthera Brasiliana Improve Cutaneous Wound Healing in Rats. Inflammopharmacology 2021, 29, 1443–1458. [Google Scholar] [CrossRef]
- Bhatt, S.K.; Javagal, R.M.; Nanjarajurs, M.S.; Eligar, S.M. In vitro Anti-Inflammatory Property of a Quercetin-3-O-Diglucoside-7-O-Glucoside Characterized from Fresh Leaves of Trigonella foenum-graecum L. Int. J. Food Prop. 2021, 24, 1438–1452. [Google Scholar] [CrossRef]
- Semalty, M.; Semalty, A.; Joshi, G.P.; Rawat, M.S.M. Comparison of In vitro antioxidant activity of Trigonella foenum-graecum and T. corniculata Seeds. Res. J. Phytochem. 2009, 3, 63–67. [Google Scholar] [CrossRef]
- Zameer, S.; Najmi, A.K.; Vohora, D.; Akhtar, M. A review on therapeutic potentials of Trigonella foenum graecum (fenugreek) and its chemical constituents in neurological disorders: Complementary roles to its hypolipidemic, hypoglycemic, and antioxidant potential. Nutr. Neurosci. Int. J. Nutr. Diet Nerv. Syst. 2017, 21, 539–545. [Google Scholar] [CrossRef]
- Goyal, S.; Gupta, N.; Chatterjee, S. Investigating Therapeutic Potential of Trigonella foenum-graecum L. as our defense mechanism against several human diseases. J. Toxicol. 2016, 2016, 1250387. [Google Scholar] [CrossRef] [Green Version]
- Gren, A.; Formicki, G.; Goc, Z.; Muchacka, R.; Knazicka, Z.; Lukac, N.; Massanyi, P. Effects of Trigonella foenum graecum on the leukocytes in diabetes mice. J. Microbiol. Biotechnol. Food Sci. 2012, 02, 467–476. [Google Scholar] [CrossRef]
- Yadav, U.C.S.; Baquer, N.Z. Pharmacological Effects of Trigonella foenum-graecum L. in Health and Disease. Pharm. Biol. 2014, 52, 243–254. [Google Scholar] [CrossRef] [PubMed] [Green Version]
- Aryal, B.; Niraula, P.; Khadayat, K.; Adhikari, B.; Khatri Chhetri, D.; Sapkota, B.K.; Bhattarai, B.R.; Aryal, N.; Parajuli, N. Antidiabetic, antimicrobial, and molecular profiling of selected medicinal plants. Evid.-Based Complement. Altern. Med. 2021, 2021, 5510099. [Google Scholar] [CrossRef] [PubMed]
- Suresh, P.; Kavitha, C.N.; Babu, S.M.; Reddy, V.P.; Latha, A.K. Effect of Ethanol Extract of Trigonella foenum graecum (Fenugreek) Seeds on Freund’s adjuvant-Induced arthritis in albino rats. Inflammation 2012, 35, 1314–1321. [Google Scholar] [CrossRef]
- Sidiq, L.O.; Segun, P.A.; Ogbole, O.O. Total phenolic contents and antioxidant activity of nine medicinal plants used in Nigerian traditional medicine. Trop. J. Nat. Prod. Res. 2018, 2, 438–441. [Google Scholar] [CrossRef]
- Mondal, A.; Maity, T.K.; Bishayee, A. Analgesic and Anti-Inflammatory Activities of Quercetin-3-methoxy-4’-glucosyl-7-glucoside Isolated from Indian Medicinal Plant Melothria heterophylla. Medicines 2019, 27, 59. [Google Scholar] [CrossRef] [Green Version]
- Rodriguez-Garcia, C.M.; Ruiz-Ruiz, J.C.; Peraza-Echeverria, L.; Peraza-Sanchez, S.R.; Torres-Tapia, L.W.; Perez-Brito, D.; Tapia-Tussell, R.; Herrera-Chale, F.G.; Segura-Campos, M.R.; Quijano-Ramayo, A.; et al. Antioxidant, antihypertensive, anti-hyperglycemic, and antimicrobial activity of aqueous extracts from twelve native plants of the Yucatan Coast. PLoS ONE 2019, 14, e0213493. [Google Scholar] [CrossRef]
- Tian, C.; Zhang, P.; Yang, C.; Gao, X.; Wang, H.; Guo, Y.; Liu, M. Extraction process, component analysis, and in vitro antioxidant, antibacterial, and anti-Inflammatory activities of total flavonoid extracts from Abutilon Theophrasti Medic. Leaves. Mediat. Inflamm. 2018, 2018, 3508506. [Google Scholar] [CrossRef] [Green Version]
- Manaswini, N.K.; Nazneen, S.; Shankar Rao, G.B.; Narender, B.; Vasudha, B.; Mohan, M.R. Evaluation of Ocimum tenuiflorum and Syzygium aromaticum Phenolic Ethereal Oils for In-Vitro Anti-Inflammatory and Anti-Bacterial Activities. J. Drug Deliv. Ther. 2019, 9, 93–96. [Google Scholar] [CrossRef]
- Truong, D.H.; Nguyen, D.H.; Ta, N.T.A.; Bui, A.V.; Do, T.H.; Nguyen, H.C. Evaluation of the use of different solvents for phytochemical constituents, antioxidants, and in vitro anti-Inflammatory activities of Severinia buxifolia. J. Food Qual. 2019, 2019, 8178294. [Google Scholar] [CrossRef] [Green Version]
- Ali, A.; Bashmil, Y.M.; Cottrell, J.J.; Suleria, H.A.R.; Dunshea, F.R. LC-MS/MS-QTOF Screening and Identification of Phenolic compounds from Australian grown herbs and their antioxidant potential. Antioxidants 2021, 10, 1770. [Google Scholar] [CrossRef]
- Mostafa, A.A.; Al-Askara, A.A.; Almaary, K.S.; Dawoud, T.M.; Sholkamy, E.N.; Bakri, M.M. Antimicrobial activity of some plant extracts against bacterial strains causing food poisoning diseases. Saudi J. Biol. Sci. 2018, 25, 361–366. [Google Scholar] [CrossRef] [PubMed]
- Hasany, S.M.; Huma, R.; Akram, S.; Ashraf, R.; Mushtaq, M. Maceration-mediated liquid-liquid extraction and reverse-phase High-Performance Liquid Chromatography-Based Pragmatic Analysis of Silybins. J. Chromatogr. Sci. 2020, 58, 779–787. [Google Scholar] [CrossRef] [PubMed]
- Lohvina, H.; Sandor, M.; Wink, M. Effect of Ethanol Solvents on Total Phenolic Content and Antioxidant Properties of Seed Extracts of Fenugreek (Trigonella foenum-graecum L.) varieties and determination of phenolic Composition by HPLC-ESI-MS. Diversity 2022, 14, 7. [Google Scholar] [CrossRef]
- Zhang, Y.; Wang, C.; Yang, F.; Yang, Z.; Wang, F.; Sun, G. UHPLC-ESI-Q-TOF-MS/MS analysis, antioxidant activity combined fingerprints for quality consistency evaluation of compound liquorice tablets. RSC Adv. 2018, 8, 27661–27673. [Google Scholar] [CrossRef] [Green Version]
- Liu, X.; Jia, J.; Jing, X.; Li, G. Antioxidant activities of extracts from Sarcocarp of Cotoneaster multiflorus. J. Chem. 2018, 2018, 4619768. [Google Scholar] [CrossRef]
- Yusuf, A.A.; Lawal, B.; Abubakar, A.N.; Berinyuy, E.B.; Omonije, Y.O.; Umar, S.I.; Shebe, M.N.; Alhaji, Y.M. In-vitro Antioxidants, antimicrobial and toxicological evaluation of Nigerian Zingiber officinale. Clin. Phytosci. 2018, 4, 2–9. [Google Scholar] [CrossRef]
- Saleem, A.; Saleem, M.; Akhtar, M.F. Antioxidant, anti-Inflammatory and antiarthritic potential of Moringa oleifera Lam: An Ethnomedicinal Plant of Moringaceae Family. S. Afr. J. Bot. 2020, 128, 246–256. [Google Scholar] [CrossRef]
- Leite, K.C.D.S.; Garcia, L.F.; Lobón, G.S.; Thomaz, D.V.; Moreno, E.K.G.; De Carvalho, M.F.; Rocha, M.L.; Dos Santos, W.T.P.; Gil, E.D.S. Antioxidant activity evaluation of dried herbal extracts: An electroanalytical approach. Rev. Bras. Farm. 2018, 28, 325–332. [Google Scholar] [CrossRef]
- Mahfuz, A.; Salam, F.B.A.; Deepa, K.N.; Hasan, A.H.M.N. Characterization of In-vitro antioxidant, cytotoxic, thrombolytic and membrane stabilizing potential of different extracts of Cheilanthes tenuifolia and Stigmasterol isolation from n-Hexane Extract. Clin. Phytosci. 2019, 5, 39. [Google Scholar] [CrossRef] [Green Version]
- Ahmed, F.; Aktar, F.; Rashid, M.A.; Rahman, M.S. Free radical scavenging, membrane stabilizing and thrombolytic potentials of the leaves of Quisqualis indica (L.). Bangladesh Pharm. J. 2021, 24, 99–104. [Google Scholar] [CrossRef]
- Kim, J.; Kim, H.; Choi, H.; Jo, A.; Kang, H.; Yun, H.; Im, S.; Choi, C. Anti-Inflammatory effects of a Stauntonia hexaphylla fruit extract in Lipopolysaccharide-activated RAW-264.7 macrophages and rats by carrageenan-induced hind paw swelling. Nutrients 2018, 10, 110. [Google Scholar] [CrossRef] [PubMed] [Green Version]
- Lim, Y.; Park, J.W.; Kwon, O.K.; Lee, J.W.; Lee, H.S.; Lee, S.; Choi, S.; Li, W.; Jin, H.; Han, S.B.; et al. Anti-Inflammatory effects of a methanolic extract of Castanea Seguinii Dode in LPS-Induced RAW264.7 macrophage cells. Int. J. Mol. Med. 2018, 41, 391–398. [Google Scholar] [CrossRef] [PubMed]
- Sandhiutami, N.M.D.; Moordiani, M.; Laksmitawati, D.R.; Fauziah, N.; Maesaroh, M.; Widowati, W. In vitro assesment of anti-Inflammatory activities of Coumarin and Indonesian Cassia extract in RAW264.7 murine macrophage cell line. Iran. J. Basic Med. Sci. 2017, 20, 99–106. [Google Scholar] [CrossRef]
- Dai, B.; Wei, D.; Zheng, N.N.; Chi, Z.H.; Xin, N.; Ma, T.X.; Zheng, L.Y.; Sumi, R.; Sun, L. Coccomyxa Gloeobotrydiformis Polysaccharide Inhibits Lipopolysaccharide-Induced Inflammation in RAW 264.7 Macrophages. Cell. Physiol. Biochem. 2019, 51, 2523–2535. [Google Scholar] [CrossRef] [PubMed] [Green Version]
- Joshi, D.V.; Patil, R.R.; Naik, S.R. Hydroalcohol extract of Trigonella foenum-graecum seed attenuates markers of inflammation and oxidative stress while improving exocrine function in diabetic rats. Pharm. Biol. 2014, 53, 201–211. [Google Scholar] [CrossRef] [PubMed]
- Lin, C.Y.; Wang, W.H.; Chen, S.H.; Chang, Y.W.; Hung, L.C.; Chen, C.Y.; Chen, Y.H. Lipopolysaccharide-Induced Nitric Oxide, Prostaglandin E2, and Cytokine Production of Mouse and Human Macrophages Are Suppressed by Pheophytin-b. Int. J. Mol. Sci. 2017, 18, 2637. [Google Scholar] [CrossRef] [PubMed] [Green Version]
- Vysakh, A.; Jayesh, K.; Helen, L.R.; Jyothis, M.; Latha, M.S. Acute oral toxicity and anti-Inflammatory evaluation of methanolic extract of Rotula aquatica roots in Wistar rats. J. Ayurveda Integr. Med. 2020, 11, 45–52. [Google Scholar] [CrossRef]
- Modak, D.; Paul, S.; Sarkar, S.; Thakur, S.; Bhattacharjee, S. Validating Potent anti-Inflammatory and anti-Rheumatoid Properties of Drynaria quercifolia rhizome methanolic extract through In vitro, in vivo, in silico and GC-MS-Based Profiling. BMC Complement. Med. Ther. 2021, 21, 89. [Google Scholar] [CrossRef]
- Arab, H.H.; El-Sawalhi, M.M. Carvedilol alleviates adjuvant-Induced arthritis and subcutaneous air pouch edema: Modulation of oxidative stress and inflammatory mediators. Toxicol. Appl. Pharmacol. 2013, 268, 241–248. [Google Scholar] [CrossRef]
- Alves, C.F.; Alves, V.B.F.; de Assis, I.P.; Clemente-Napimoga, J.T.; Uber-Bucek, E.; Dal-Secco, D.; Cunha, F.Q.; Rehder, V.L.G.; Napimoga, M.H. Anti-Inflammatory activity and possible mechanism of extract from Mikania laevigata in carrageenan-induced peritonitis. J. Pharm. Pharmacol. 2009, 61, 1097–1104. [Google Scholar] [CrossRef]
- Haddadi, R.; Rashtiani, R. Anti-Inflammatory and anti-hyperalgesic effects of Milnacipran in inflamed rats: Involvement of myeloperoxidase activity, cytokines and oxidative/nitrosative stress. Inflammopharmacology 2020, 28, 903–913. [Google Scholar] [CrossRef] [PubMed]
- Hussain, T.; Tan, B.; Yin, Y.; Blachier, F.; Tossou, M.C.B.; Rahu, N. Oxidative stress and inflammation: What polyphenols can do for Us? Oxidative Med. Cell. Longev. 2016, 2016, 7432797. [Google Scholar] [CrossRef] [PubMed] [Green Version]
- Nascimento, C.P.; Luz, D.A.; da Silva, C.C.S.; Malcher, C.M.R.; Fernandes, L.M.P.; Dalla Santa, H.S.; Gomes, A.R.Q.; Monteiro, M.C.; Ribeiro, C.H.M.A.; Fontes-Júnior, E.A.; et al. Ganoderma Lucidum Ameliorates Neurobehavioral Changes and Oxidative Stress Induced by Ethanol Binge Drinking. Oxidative Med. Cell. Longev. 2020, 2020, 2497845. [Google Scholar] [CrossRef] [PubMed]
- Gupta, S.K.; Kalaiselvan, V.; Srivastava, S.; Saxena, R.; Agrawal, S.S. Trigonella foenum-graecum (Fenugreek) Protects against Selenite-Induced Oxidative Stress in Experimental Cataractogenesis. Biol. Trace Elem. Res. 2010, 136, 258–268. [Google Scholar] [CrossRef] [PubMed]
- Zhishen, J.; Mengcheng, T.; Jianming, W. The Determination of Flavonoid Contents in Mulberry and their Scavenging Effects on Superoxide Radicals. Food Chem. 1999, 64, 555–559. [Google Scholar] [CrossRef]
- Arruda, C.; Ribeiro, V.P.; Mejía, J.A.A.; Almeida, M.O.; Goulart, M.O.; Candido, A.C.B.B.; Dos Santos, R.A.; Magalhães, L.G.; Martins, C.H.G.; Bastos, J.K. Green propolis: Cytotoxic and leishmanicidal activities of artepillin C, p-coumaric acid, and their degradation products. Rev. Bras. Farmacogn. 2020, 30, 169–176. [Google Scholar] [CrossRef]
- El-Hamamsy, S.M.A.; El-Khamissi, H.A.Z. Phytochemicals, Antioxidant Activity and Identification of Phenolic Compounds by HPLC of Pomegranate (Punica granatum L.) Peel Extracts. J. Agric. Chem. Biotechnol. 2020, 11, 79–84. [Google Scholar] [CrossRef]
- Saenjum, C.; Pattananandecha, T.; Nakagawa, K. Detection of antioxidant phytochemicals isolated from Camellia japonica seeds using HPLC and EPR imaging. Antioxidants 2020, 9, 493. [Google Scholar] [CrossRef]
- Monagas, M.; Suárez, R.; Gómez-Cordovés, C.; Bartolomé, B. Simultaneous determination of nonanthocyanin phenolic compounds in red wines by HPLC-DAD/ESI-MS. Am. J. Enol. Vitic. 2005, 56, 139–147. [Google Scholar]
- Chou, O.; Ali, A.; Subbiah, V.; Barrow, C.J.; Dunshea, F.R.; Suleria, H.A. LC-ESI-QTOF-MS/MS Characterisation of Phenolics in Herbal Tea Infusion and Their Antioxidant Potential. Fermentation 2021, 7, 73. [Google Scholar] [CrossRef]
- Kivilompolo, M.; Obůrka, V.; Hyötyläinen, T. Comparison of GC–MS and LC–MS methods for the analysis of antioxidant phenolic acids in herbs. Anal. Bioanal. Chem. 2007, 388, 881–887. [Google Scholar] [CrossRef] [PubMed]
- Karar, M.E.; Kuhnert, N. UPLC-ESI-Q-TOF-MS/MS characterization of phenolics from Crataegus monogyna and Crataegus laevigata (Hawthorn) leaves, fruits and their herbal derived drops (Crataegutt Tropfen). J. Chem. Biol. Ther 2015, 1, 2572-0406. [Google Scholar]
- Olennikov, D.N.; Chirikova, N.K.; Vasilieva, A.G.; Fedorov, I.A. LC-MS profile, gastrointestinal and gut microbiota stability and antioxidant activity of Rhodiola rosea herb metabolites: A comparative study with subterranean organs. Antioxidants 2020, 9, 526. [Google Scholar] [CrossRef] [PubMed]
- Jeszka-Skowron, M.; Zgoła-Grześkowiak, A.; Frankowski, R. Cistus incanus a promising herbal tea rich in bioactive compounds: LC–MS/MS determination of catechins, flavonols, phenolic acids and alkaloids—A comparison with Camellia sinensis, Rooibos and Hoan Ngoc herbal tea. J. Food Compos. Anal. 2018, 74, 71–81. [Google Scholar] [CrossRef]
- Akbari, S.; Abdurahman, N.H.; Yunus, R.M.; Alara, R.A.; Abayomi, O.O. Extraction, characterization and antioxidant activity of fenugreek (Trigonella-foenum graecum) seed oil. Mater. Sci. Energy Technol. 2019, 2, 349–355. [Google Scholar] [CrossRef]
- Kenny, O.; Smyth, T.J.; Hewage, C.M.; Brunton, N.P. Antioxidant properties and quantitative UPLC-MS analysis of phenolic compounds from extracts of fenugreek (Trigonella foenum-graecum) seeds and bitter melon (Momordica charantia) fruit. Food Chem. 2013, 141, 4295–4302. [Google Scholar] [CrossRef]
- Farrell, T.; Poquet, L.; Dionisi, F.; Barron, D.; Williamson, G. Characterization of hydroxycinnamic acid glucuronide and sulfate conjugates by HPLC–DAD–MS2: Enhancing chromatographic quantification and application in Caco-2 cell metabolism. J. Pharm. Biomed. Anal. 2011, 55, 1245–1254. [Google Scholar] [CrossRef]
- Tripathi, U.N.; Chandra, D. Anti-Hyperglycemic and Anti-Oxidative Effect of Aqueous Extract of Momordica charantia Pulp and Trigonella foenum graecum Seed in Alloxan-Induced Diabetic Rats. Indian J. Biochem. Biophys. 2010, 47, 227–233. [Google Scholar] [CrossRef] [Green Version]
- Owji, H.; Hemmati, S.; Heidari, R.; Hakimzadeh, M. Effect of Alumina (Al2O3) Nanoparticles and Macroparticles on Trigonella foenum-graceum L. In vitro Cultures: Assessment of Growth Parameters and Oxidative Stress-Related Responses. 3 Biotech 2019, 9, 419. [Google Scholar] [CrossRef]
- Kudumela, R.G.; McGaw, L.J.; Masoko, P. Antibacterial Interactions, Anti-Inflammatory and Cytotoxic Effects of Four Medicinal Plant Species. BMC Complement. Altern. Med. 2018, 18, 199. [Google Scholar] [CrossRef] [Green Version]
- Kumar, G.; Karthik, L.; Rao, K.V.B. Haemolytic Activity of Indian Medicinal Plants toward Human Erythrocytes: An In vitro Study. Elixir Appl. Bot. 2011, 40, e5537. [Google Scholar]
- Karim, M.A.; Islam, M.A.; Islam, M.M.; Rahman, M.S.; Sultana, S.; Biswas, S.; Hosen, M.J.; Mazumder, K.; Rahman, M.M.; Hasan, M.N. Evaluation of Antioxidant, Anti-Hemolytic, Cytotoxic Effects and Anti-Bacterial Activity of Selected Mangrove Plants (Bruguiera Gymnorrhiza and Heritiera Littoralis) in Bangladesh. Clin. Phytosci. 2020, 6, 8. [Google Scholar] [CrossRef] [Green Version]
- Ktari, N.; Trabelsi, I.; Bardaa, S.; Triki, M.; Bkhairia, I.; Salem, R.B.S.; Nasri, M.; Salah, R.B. Antioxidant and hemolytic activities, and effects in rat cutaneous wound healing of a novel polysaccharide from fenugreek (Trigonella foenum-graecum) seeds. Int. J. Biol. Macromol. 2017, 95, 625–634. [Google Scholar] [CrossRef] [PubMed]
- Nautiyal, C.S.; Govindarajan, R.; Lavania, M.; Pushpangadan, P. Novel Mechanism of Modulating Natural Antioxidants in Functional Foods: Involvement of Plant Growth Promoting Rhizobacteria NRRL B-30488. J. Agric. Food Chem. 2008, 56, 4474–4481. [Google Scholar] [CrossRef]
- Villa-De La Torre, F.; Kinscherf, R.; Bonaterra, G.; Arana-Argaez, V.E.; Méndez-González, M.; Cáceres-Farfán, M.; Borges-Argáez, R. Anti-Inflammatory and Immunomodulatory Effects of Critonia Aromatisans Leaves: Downregulation of pro-Inflammatory Cytokines. J. Ethnopharmacol. 2016, 190, 174–182. [Google Scholar] [CrossRef]
- Patel, N.K.; Pulipaka, S.; Dubey, S.P.; Bhutani, K.K. Pro-Inflammatory Cytokines and Nitric Oxide Inhibitory Constituents from Cassia Occidentalis Roots. Nat. Prod. Commun. 2014, 9, 661–664. [Google Scholar] [CrossRef] [Green Version]
- Nworu, C.S.; Akah, P.A.; Okoye, F.B.C.; Toukam, D.K.; Udeh, J.; Esimone, C.O. The Leaf Extract of Spondias Mombin, L. Displays an Anti-Inflammatory Effect and Suppresses Inducible Formation of Tumor Necrosis Factor-α and Nitric Oxide (NO). J. Immunotoxicol. 2011, 8, 10–16. [Google Scholar] [CrossRef]
- Lin, W.C.; Deng, J.S.; Huang, S.S.; Wu, S.H.; Lin, H.Y.; Huang, G.J. Evaluation of Antioxidant, Anti-Inflammatory, and Anti-Proliferative Activities of Ethanol Extracts from Different Varieties of Sanghuang Species. RSC Adv. 2017, 7, 7780–7788. [Google Scholar] [CrossRef] [Green Version]
- Dabitao, D.; Margolick, J.B.; Lopez, J.; Bream, J.H. Multiplex Measurement of Proinflammatory Cytokines in Human Serum: Comparison of the Meso Scale Discovery Electrochemiluminescence Assay and the Cytometric Bead Array. J. Immunol. Methods 2011, 372, 71–77. [Google Scholar] [CrossRef] [Green Version]
- Sindhu, G.S.; Pushpan, C.K.; Nambisan, B.A.H. Evaluation of anti-arthritic potential of Trigonella foenum graecum L. (Fenugreek) mucilage against rheumatoid arthritis. Prostaglandins Other Lipid Mediat. 2018, 138, 48–53. [Google Scholar] [CrossRef]
- Syam, S.; Bustamam, A.; Abdullah, R.; Sukari, M.A.; Hashim, N.M.; Mohan, S.; Looi, C.Y.; Wong, W.F.; Yahayu, M.A.; Abdelwahab, S.I. β Mangostin Suppress LPS-Induced Inflammatory Response in RAW 264.7 Macrophages in vitro and Carrageenan-Induced Peritonitis in vivo. J. Ethnopharmacol. 2014, 153, 435–445. [Google Scholar] [CrossRef] [PubMed]
- Naz, R.; Ayub, H.; Nawaz, S.; Islam, Z.U.; Yasmin, T.; Bano, A.; Wakeel, A.; Zia, S.; Roberts, T.H. Antimicrobial Activity, Toxicity and Anti-Inflammatory Potential of Methanolic Extracts of Four Ethnomedicinal Plant Species from Punjab, Pakistan. BMC Complement. Altern. Med. 2017, 17, 302. [Google Scholar] [CrossRef] [PubMed] [Green Version]
- Loha, M.; Mulu, A.; Abay, S.M.; Ergete, W.; Geleta, B. Acute and Subacute Toxicity of Methanol Extract of Syzygium Guineense Leaves on the Histology of the Liver and Kidney and Biochemical Compositions of Blood in Rats. Evid.-Based Complement. Altern. Med. 2019, 2019, 5702159. [Google Scholar] [CrossRef] [PubMed] [Green Version]
- Sholikhah, E.N.; Mustofa, M.; Nugrahaningsih, D.A.A.; Yuliani, F.S.; Purwono, S.; Sugiyono, S.; Widyarini, S.; Ngatidjan, N.; Jumina, J.; Santosa, D.; et al. Acute and Subchronic Oral Toxicity Study of Polyherbal Formulation Containing Allium sativum L., Terminalia bellirica (Gaertn.) Roxb., Curcuma Aeruginosa Roxb., and Amomum Compactum Sol. Ex. Maton in Rats. BioMed Res. Int. 2020, 2020, 8609364. [Google Scholar] [CrossRef] [Green Version]
- Narasimhamurthy, K.; Viswanatha, S.; Ramesh, B.S. Acute and subchronic toxicity assessment of debitterized fenugreek powder in the mouse and rat. Food Chem. Toxicol. 1999, 37, 831–838. [Google Scholar] [CrossRef]
- Kandhare, A.D.; Bodhankar, S.L.; Mohan, V.; Thakurdesai, P.A. Acute and repeated doses (28 days) oral toxicity study of glycosides based standardized fenugreek seed extract in laboratory mice. Regul. Toxicol. Pharmacol. 2015, 72, 323–334. [Google Scholar] [CrossRef]
- Moriasi, G.A.; Ireri, A.M.; Nelson, E.M.; Ngugi, M.P. In vivo Anti-Inflammatory, Anti-Nociceptive, and in vitro Antioxidant Efficacy, and Acute Oral Toxicity Effects of the Aqueous and Methanolic Stem Bark Extracts of Lonchocarpus eriocalyx (Harms.). Heliyon 2021, 7, e07145. [Google Scholar] [CrossRef]
- Costa, B.; Colleoni, M.; Conti, S.; Parolaro, D.; Franke, C.; Elisa, A. Oral Anti-Inflammatory Activity of Cannabidiol, a Non-Psychoactive Constituent of Cannabis, in Acute Carrageenan-Induced Inflammation in the Rat Paw. Naunyn-Schmiedebergs Arch. Exp. Pathol. Pharmakol. 2004, 369, 294–299. [Google Scholar] [CrossRef]
- Yao, L.J.; Jalil, J.; Attiq, A.; Hui, C.C.; Zakaria, N.A. The Medicinal Uses, Toxicities and Anti-Inflammatory Activity of Polyalthia Species (Annonaceae). J. Ethnopharmacol 2019, 229, 303–325. [Google Scholar] [CrossRef]
- Spiller, F.; Alves, M.K.; Vieira, S.M.; Carvalho, T.A.; Leite, C.E.; Lunardelli, A.; Poloni, J.A.; Cunha, F.Q.; de Oliveira, J.R. Anti-Inflammatory Effects of Red Pepper (Capsicum baccatum) on Carrageenan- and Antigen-Induced Inflammation. J. Pharm. Pharmacol. 2010, 60, 473–478. [Google Scholar] [CrossRef]
- Nussbaum, C.; Klinke, A.; Adam, M.; Baldus, S.; Sperandio, M. Myeloperoxidase: A Leukocyte-Derived Protagonist of Inflammation and Cardiovascular Disease. Antioxid. Redox Signal. 2013, 18, 692–713. [Google Scholar] [CrossRef] [PubMed]
- Chniguir, A.; Zioud, F.; Marzaioli, V.; El-Benna, J.; Bachoual, R. Syzygium aromaticum aqueous extract Inhibits Human Neutrophils Myeloperoxidase and Protects Mice from LPS-Induced Lung Inflammation. Pharm. Biol. 2019, 57, 56–64. [Google Scholar] [CrossRef] [PubMed] [Green Version]
- Silva, A.O.; Damaceno Alves, A.; de Almeida, D.A.T.; Balogun, S.O.; de Oliveira, R.G.; Aires Aguiar, A.; Soares, I.M.; Marson-Ascêncio, P.G.; Ascêncio, S.D.; de Oliveira Martins, D.T. Evaluation of Anti-Inflammatory and Mechanism of Action of Extract of Macrosiphonia longiflora (Desf.) Müll. Arg. J. Ethnopharmacol. 2014, 154, 319–329. [Google Scholar] [CrossRef]
- Basting, R.T.; Spindola, H.M.; de Oliveira Sousa, I.M.; Queiroz, N.D.; Trigo, J.R.; de Carvalho, J.E.; Foglio, M.A. Pterodon Pubescens and Cordia Verbenacea Association Promotes a Synergistic Response in Antinociceptive Model and Improves the Anti-Inflammatory Results in Animal Models. Biomed. Pharmacother. 2019, 112, 108693. [Google Scholar] [CrossRef] [PubMed]
- Perez-Cano, F.J.; Castell, M. Flavonoids, Inflammation and Immune System. Nutrients 2016, 8, 659. [Google Scholar] [CrossRef] [PubMed]









| Peak No. | Compound Name | Retention Time | ʎmax (nm) | Concentration mg/100 g DW |
|---|---|---|---|---|
| 1 | Gallic acid (GA) | 4.4 | 271.2, 214.6 | 117.6 ± 1.5 |
| 2 | Trihydroxybenzoic (TBHA) acid | 7.3 | 260.5, 221.4 | 112.6 ± 5.6 |
| 3 | Protochateuic acid (PTA) | 13.4 | 291.4, 260.5, 214.4 | 103.8 ± 2.4 |
| 4 | Ferulic acid (FA) | 14.1 | 323.7, 236.8 | 168.4 ± 1.8 |
| 5 | Protocatechualdehyde (PTCA) | 15.0 | 308.2, 279.5, 229.7 | 98.4 ± 2.3 |
| 6 | p-coumaric acid (PCA) | 18.4 | 309.4, 229.7 | 256.7 ± 6.8 |
| 7 | Vanillic acid (VN) | 19.7 | 279.5, 246.4 | 57.9 ± 2.4 |
| 8 | Protocatechualdehyde (PhA) | 22.2 | 280.6, 224.3 | 116.8 ± 1.9 |
| 9 | Vaniline (VNA) | 23.6 | 87.5 ± 2.4 | |
| 10 | Apigenic acid (APG) | 26.9 | 294.6, 261.7, 219.8 | 117.7 ± 3.6 |
| 13 | Syringic acid (peak 13) | 27.2 | 310.5, 222.5 | 95.6 ± 11.3 |
| 14 | p-hydroxybenzoic acid (PHBA) | 28.1 | 328.5, 234.4 | 113.7 ± 3.8 |
| Serial# | Compound Detected | Retention Time (min) | MS | M − H (Predicted) | M − H (Found) | MS2 | Formula | Reference |
|---|---|---|---|---|---|---|---|---|
| 1 | Catechin 3-O-gallate | 2.34 | 442.09 | 441.0827 | 441.0840 | 251.0365, 233.0297, 124.9848 | C22H18O10 | [49,50] |
| 2 | 4-O-methylepigallocatechin | 11.20 | 320.0896 | 321.1569 | 321.1468 | 303.1364, 241.1007 | C16H16O7 | [50,51,52] |
| 3 | Sativanone | 12.84 | 300.1398 | 299.1425 | 299.1474 | 283.1462, 223.0883, 179.0974 | C17H16O5 | [50,52] |
| 4 | Gallic acid | 13.36 | 170.12 | 169.1345 | 169.1342 | 125.4622 | C7H6O5 | [50,52] |
| 5 | Kampferol | 18.34 | 286.23 | 285.1487 | 285.1425 | 245.1357 189.1109 | C15H10O6 | [50,53] |
| 6 | Methylviolanone | 18.57 | 330.1103 | 329.1103 | 329.1539 | 311.1424, 279.1167 | C18H18O6 | [20,50] |
| 7 | homovanilic acid-hexoside | 19.23 | 344.138 | 343.1135 | 343.1762 | 279.1162, 255.1146, 181.0796, 163.0396 | C15H20O9 | [50,51] |
| 8 | 5-O-Feruloylquinic acid | 20.99 | 368.1568 | 367.1448 | 367.1648 | 337.1599, 293.1295, 191.0640 | C17H20O9 | [49,50,52] |
| 9 | Cyanidin | 25.17 | 288.2 | 287.2 | 287.1768 | 287.1768, 253.095, 167.1364, 149.1272 | C15H11O6 | [53,54] |
| 10 | Coumaroylquinic acid | 26.09 | 338.1002 | 337.1927 | 337.1900 | 265.1338, 173.1554 | C16H18O8 | [51,52,53] |
| 11 | Quercetin | 27.15 | 302.236 | 301.1915 | 301.1950 | 295.1747 291.1551, 163.1428 | C15H10O7 | [20,52] |
| 12 | Schisandrin C | 27.49 | 384.1573 | 385.1646 | 385.1393 | 339.1704, 137.0888, 123.0786 | C22H24O6 | [20,52] |
| 13 | p-coumaric acid O-hexoside | 27.95 | 326.1455 | 325.1529 | 325.1552 | 295.1080, 165.0856, 123.0763 | C15H18O8 | [20,52] |
| 14 | Hydroxytyrosol-4-o-glycoside | 29.29 | 316.2158 | 315.2085 | 315.2140 | 251.1190, 237.1404, 237.1042 177.1555 | C14H20O8 | [50,55] |
| 15 | 3-Methoxysinensetin | 31.42 | 402.2315 | 403.2388 | 403.2755 | 399.2602, 383.2710, 199.0671 | C21H22O8 | [52,54] |
| 16 | Pinoresinol | 31.74 | 358.1416 | 357.1343 | 357.2531 | 313.2297, | C20H22O6 | [52,54] |
| 17 | Glycitin | 32.45 | 446.3213 | 447.3286 | 447.3361 | 403.3065, 368.4185 | C22H22O10 | [20,52] |
| 18 | Dihydroferulic acid 4-O-glucuronide | 33.52 | 372.1156 | 371.1054 | 371.1674 | 291.1162, 266.9912, 73.0421 | C6H20O10 | [50,55] |
| Antioxidant Assay | T. foenum-graecum | Ascorbic Acid |
|---|---|---|
| Total phenolic contents (GAE mg/g) | 454.93 ± 3.57 | - |
| Total flavonoid contents (CE µg/g) | 135.04 ± 2.12 | - |
| Total antioxidant capacity (AAE mg/g) | 162.51 ± 3.81 | - |
| DPPH inhibition assay (IC50) (µg/mL) | 24.7 ± 2.70 a | 25.05 ± 1.45 a |
| ABTS cation inhibition (IC50) (µg/mL) | 15.8 ± 0.87 a | - |
| Observation | Control Group | Treatment Group |
|---|---|---|
| Behavior change | NO | NO |
| Salivation | NO | NO |
| Eye/skin appearance | NC | NC |
| Sleep | NO | NO |
| Diarrhea | NO | NO |
| Lethargy | NO | NO |
| Coma | NO | NO |
| Respiration/cardiac output | NO | NO |
| Mortality | NO | NO |
| Sex | Treatment | Time | ||||
|---|---|---|---|---|---|---|
| Day 1 | Day 7 | Day 14 | Day 21 | Day 28 | ||
| Male | Control | 213.78 ± 3.39 | 223.54 ± 2.38 | 240.12 ± 5.79 | 272.13 ± 1.36 | 310.13 ± 1.05 |
| T. foenum-graecum | 210.14 ± 1.68 | 223.67 ± 2.30 | 242.27 ± 1.88 c | 265.55 ± 1.25 c | 295.53 ± 1.14 c | |
| Female | Control | 215.12 ± 1.05 | 230.59 ± 1.21 | 239.16 ± 2.68 | 290.19 ± 3.39 | 319.12 ± 5.81 |
| T. foenum-graecum | 212.1 ± 2.18 b | 211.66 ± 4.99 a | 233.12 ± 1.55 c | 250.41 ± 2.94 c | 269.64 ± 3.14 c | |
| Sex | Organ | Control | T. foenum-graecum |
|---|---|---|---|
| Male | Liver | 2.46 ± 0.32 | 2.51 ± 0.47 |
| Kidney | 0.49 ± 0.03 | 0.49 ± 0.05 | |
| Female | Liver | 2.09 ± 0.16 | 2.31 ± 0.08 |
| Kidney | 0.49 ± 0.11 | 0.46 ± 0.30 |
| Parameter | Male | Female | ||
|---|---|---|---|---|
| Control | T. foenum-graecum | Control | T. foenum-graecum | |
| Hemoglobin (g/dL) | 14.0 ± 1.40 | 14.0 ± 1.83 | 14.0 ± 1.5 | 15.0 ± 0.73 |
| Packed cell volume | 42 ± 1.05 | 43 ± 1.11 | 42 ± 1.68 | 46 ± 2.55 |
| Red Blood Cells (106/µL) | 7.7 ± 0.35 | 7.4 ± 0.53 | 6.68 ± 0.15 | 7.2 ± 0.19 |
| Mean corpuscular volume (fL) | 52 ± 1.13 | 54 ± 1.31 | 57 ± 2.62 | 59 ± 1.64 |
| Mean cell hemoglobin (pg) | 22 ± 2.54 | 21 ± 1.41 | 19.59 ± 2.23 | 19.91 ± 2.54 |
| Mean corpuscular hemoglobin concentration (g/L) | 35 ± 1.72 | 34 ± 1.03 | 36.01 ± 1.99 | 33.08 ± 1.88 |
| White blood cells (109/L) | 9.0 ± 0.31 | 8.9 ± 0.54 b | 7.90 ± 0.93 | 6.1 ± 0.26 b |
| Platelets (109/L) | 161 ± 2.43 c | 216 ± 3.14 c | 160 ± 11.46 | 225 ± 16.42 c |
| Neutrophils (%) | 10 ± 0.36 | 9 ± 0.52 | 10 ± 0.22 | 11 ± 0.41 |
| Lymphocytes (%) | 82 ± 2.74 | 85 ± 2.64 a | 82 ± 2.65 | 79 ± 2.95 a |
| Monocytes (%) | 6 ± 0.04 | 4 ± 0.53 b | 5 ± 0.62 | 7 ± 0.17 |
| Eosinophils (%) | 2 ± 0.08 | 2 ± 0.68 b | 3 ± 0.81 | 3 ± 0.19 |
| Parameter | Male | Female | ||
|---|---|---|---|---|
| Control | T. foenum-graecum | Control | T. foenum-graecum | |
| Aspartate aminotransferase (AST) (U/L) | 34 ± 0.97 | 21 ± 2.04 c | 30 ± 1.66 | 21 ± 1.53 c |
| Alanine aminotransferase (ALT) (U/L) | 35 ± 1.23 | 24 ± 1.32 b | 33 ± 1.50 | 25 ± 1.71 a |
| Alkaline phosphatase (ALP) (U/L) | 449 ± 2.41 | 447 ± 1.78 c | 452 ± 2.72 | 442 ± 1.24 c |
| Gamma Glutamyl Transferase (γ-GT) (U/L) | 6.16 ± 0.56 | 5.70 ± 0.72 a | 6.71 ± 0.77 | 4.72 ± 0.15 c |
| Total Bilirubin (μmol/L) | 0.6 ± 0.03 | 0.6 ± 0.01 b | 0.6 ± 0.16 | 0.6 ± 0.16 |
| Direct Bilirubin (μmol/L) | 0.2 ± 0.04 | 0.3 ± 0.03 | 0.2 ± 0.04 | 0.2 ± 0.06 |
| Indirect Bilirubin (μmol/L) | 0.4 ± 0.02 | 0.3 ± 0.07 | 0.4 ± 0.05 | 0.4 ± 0.09 |
| Glucose(mmol/L) | 4.61 ± 1.56 | 4.93 ± 0.87 | 4.88 ± 1.00 | 4.72 ± 0.11 |
| Creatinine (μmol/L) | 60.27 ± 1.09 | 59.17 ± 1.90 | 61.16 ± 5.17 | 55.25 ± 2.26 |
| Total cholesterol (mmol/L) | 1.69 ± 0.32 | 1.47 ± 0.07 | 1.77 ± 0.52 | 1.41 ± 0.40 |
| Triglycerides (mmol/L) | 0.84 ± 0.37 | 0.80 ± 0.14 | 0.90 ± 0.15 | 0.84 ± 0.11 |
| Total protein (g/L) | 4.01 ± 0.59 | 3.91 ± 0.62 | 4.39 ± 0.45 | 4.28 ± 0.49 |
| Blood Urea Nitrogen (mmol/L) | 8.13 ± 0.37 | 7.08 ± 1.18 a | 9.11 ± 0.71 | 6.54 ± 1.16 a |
| Treatment | Dose (mg/kg) | Myeloperoxidase (U/mg Protein) | Malondialdehyde (nmol/mg Protein) | Catalase (µmol H2O2/µg of Protein) | Superoxide Dismutase (U/mg of Protein) | Total Oxidant Status (µM H2O2 Eq/g) | Total Antioxidant Status (µM Trolox Eq/g) |
|---|---|---|---|---|---|---|---|
| Control | - | 364 ± 1.54 | 5.84 ± 4.61 | 321.37 ± 2.87 | 4.39 ± 0.28 | 1.98 ± 0.45 | 6.35 ± 0.28 |
| Carrageenan | - | 647 ± 1.46 c | 14.46 ± 1.67 c | 218.38 ± 4.53 | 2.39 ± 0.21 | 13.21 ± 0.48 c | 0.28 ± 0.05 |
| T. foenum-graecum | 100 | 273 ± 2.01 | 13.28 ± 1.72 | 328.48 ± 2.23 | 4.39 ± 0.38 b | 9.98 ± 1.16 | 6.39 ± 0.60 a |
| 200 | 214 ± 1.03 | 9.99 ± 1.44 | 438.38 ± 3.99 | 5.92 ± 0.83 | 7.95 ± 0.71 | 6.54 ± 0.75 | |
| 400 | 184 ± 2.04 | 7.98 ± 1.14 | 647.29 ± 8.31 c | 6.20 ± 0.21 c | 6.47 ± 1.39 | 8.84 ± 1.25 b | |
| Dexamethasone | 20 | 173 ± 1.27 a | 8.30 ± 1.87 a | 438.58 ± 11.60 b | 7.31 ± 0.33 | 0.27 ± 0.32 | 13.68 ±1.99 c |
| Treatment | Dose (mg/kg) | Myeloperoxidase (U/mg Protein) | Malondialdehyde (nmol/mg Protein) | Catalase (µmol H2O2/µg of Protein) | Superoxide Dismutase (U/mg of Protein) | Total Oxidant Status (µM H2O2 Eq/g) | Total Antioxidant Status (µM Trolox Eq/g) |
|---|---|---|---|---|---|---|---|
| Control | - | 34 ± 0.24 | 1.45 ± 0.01 | 212.07 ± 2.97 | 1.39 ± 0.08 | 0.85 ± 0.01 | 1.65 ± 0.28 |
| Carrageenan | - | 177 ± 3.06 | 4.86 ± 0.27 | 109.48 ± 0.43 | 0.89 ± 0.16 | 0.22 ± 0.08 | 0.61 ± 0.05 |
| T. foenum-graecum | 100 | 31.42 ± 0.61 | 4.38 ± 0.21 b | 108.08 ± 0.13 a | 1.12 ± 0.81 a | 0.48 ± 0.06 | 1.09 ± 0.20 |
| 200 | 29.09 ± 0.23 | 3.99 ± 0.14 | 148.58 ± 0.69 | 1.16 ± 0.38 | 0.61 ± 0.01 | 1.54 ± 0.19 | |
| 400 | 18.53 ± 0.41 | 2.98 ± 1.14 | 205.29 ± 1.61 c | 1.21 ± 0.19 b | 0.98 ± 0.04 a | 1.49 ± 0.12 | |
| Dexamethasone | 20 | 15.98 ± 108.27 c | 1.10 ± 0.07 c | 201.18 ± 1.46 | 1.46 ± 0.35 | 0.97 ± 0.02 | 1.88 ± 0.67 b |
Publisher’s Note: MDPI stays neutral with regard to jurisdictional claims in published maps and institutional affiliations. |
© 2022 by the authors. Licensee MDPI, Basel, Switzerland. This article is an open access article distributed under the terms and conditions of the Creative Commons Attribution (CC BY) license (https://creativecommons.org/licenses/by/4.0/).
Share and Cite
Fatima, H.; Shahid, M.; Pruitt, C.; Pung, M.A.; Mills, P.J.; Riaz, M.; Ashraf, R. Chemical Fingerprinting, Antioxidant, and Anti-Inflammatory Potential of Hydroethanolic Extract of Trigonella foenum-graecum. Antioxidants 2022, 11, 364. https://doi.org/10.3390/antiox11020364
Fatima H, Shahid M, Pruitt C, Pung MA, Mills PJ, Riaz M, Ashraf R. Chemical Fingerprinting, Antioxidant, and Anti-Inflammatory Potential of Hydroethanolic Extract of Trigonella foenum-graecum. Antioxidants. 2022; 11(2):364. https://doi.org/10.3390/antiox11020364
Chicago/Turabian StyleFatima, Hina, Muhammad Shahid, Chris Pruitt, Meredith A. Pung, Paul J. Mills, Muhammad Riaz, and Rizwan Ashraf. 2022. "Chemical Fingerprinting, Antioxidant, and Anti-Inflammatory Potential of Hydroethanolic Extract of Trigonella foenum-graecum" Antioxidants 11, no. 2: 364. https://doi.org/10.3390/antiox11020364
APA StyleFatima, H., Shahid, M., Pruitt, C., Pung, M. A., Mills, P. J., Riaz, M., & Ashraf, R. (2022). Chemical Fingerprinting, Antioxidant, and Anti-Inflammatory Potential of Hydroethanolic Extract of Trigonella foenum-graecum. Antioxidants, 11(2), 364. https://doi.org/10.3390/antiox11020364

