Protective Effects of Alpha-Lipoic Acid against 5-Fluorouracil-Induced Gastrointestinal Mucositis in Rats
Abstract
1. Introduction
2. Materials and Methods
2.1. Animals
2.2. Collection of Blood and Tissue Samples
2.3. Measurements of Biochemical Indices
2.4. Measurement of Cytokines in Sera and Tissues
2.5. Measurement of Matrix Metalloproteinases (MMPs) and Tissue Inhibitors of Metalloproteinase-1 (TIMP-1) in Sera and Tissues
2.6. Measurement of Malondialdehyde (MDA), GPx and SOD in Tissues
2.7. Histopathological Evaluation
2.8. Statistical Analyses
3. Results
3.1. ALA Positively Affects Biochemical Indicies
3.2. ALA Decreases the Production of Pro-Inflammatory Cytokines
3.3. ALA Treatment Reduces Lipid Peroxidation and Increases the Activities of Antioxidant Enzymes in Tissues
3.4. ALA Treatment Increases the Levels of Tissue MMPs and TIMP-1
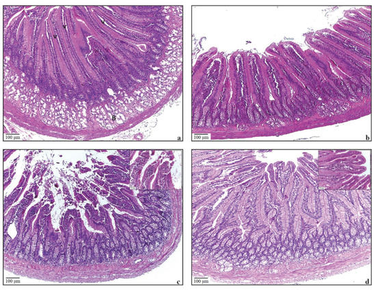
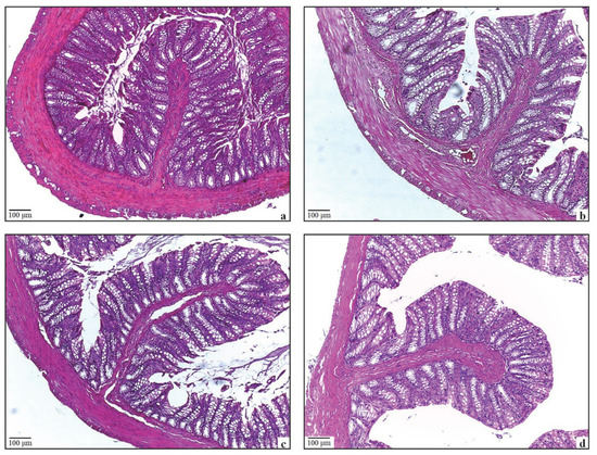
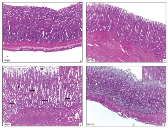
3.5. Histological Evaluation of Stomach, Small and Large Intestines
4. Discussion
5. Conclusions
Author Contributions
Funding
Institutional Review Board Statement
Informed Consent Statement
Data Availability Statement
Conflicts of Interest
References
- Rochette, L.; Vergely, C. Alpha-Lipoic Acid—An Antioxidant with Protective Actions on Cardiovascular Diseases. In Systems Biology of Free Radicals and Antioxidants; Laher, I., Ed.; Springer: Berlin/Heidelberg, Germany, 2014; pp. 1523–1536. [Google Scholar]
- Rochette, L.; Ghibu, S.; Muresan, A.; Vergely, C. Alpha-Lipoic Acid: Molecular Mechanisms and Therapeutic Potential in Diabetes. Can. J. Physiol. Pharmacol. 2015, 93, 1021–1027. [Google Scholar] [CrossRef] [PubMed]
- Flora, S.J.S. Structural, Chemical and Biological Aspects of Antioxidants for Strategies against Metal and Metalloid Exposure. Oxidative Med. Cell. Longev. 2009, 2, 191–206. [Google Scholar] [CrossRef] [PubMed]
- Packer, L.; Roy, S.; Sen, C.K. α-Lipoic Acid: A Metabolic Antioxidant and Potential Redox Modulator of Transcription. In Advances in Pharmacology; Sies, H., Ed.; Academic Press: Cambridge, MA, USA, 1996; Volume 38, pp. 79–101. [Google Scholar]
- Packer, L.; Witt, E.H.; Tritschler, H.J. Alpha-Lipoic Acid as a Biological Antioxidant. Free Radic. Biol. Med. 1995, 19, 227–250. [Google Scholar] [CrossRef]
- Packer, L.; Kraemer, K.; Rimbach, G. Molecular Aspects of Lipoic Acid in the Prevention of Diabetes Complications. Nutrition 2001, 17, 888–895. [Google Scholar] [CrossRef]
- Shay, K.P.; Moreau, R.F.; Smith, E.J.; Smith, A.R.; Hagen, T.M. Alpha-Lipoic Acid as a Dietary Supplement: Molecular Mechanisms and Therapeutic Potential. Biochim. Biophys. Acta 2009, 1790, 1149–1160. [Google Scholar] [CrossRef] [PubMed]
- Moungjaroen, J.; Nimmannit, U.; Callery, P.S.; Wang, L.; Azad, N.; Lipipun, V.; Chanvorachote, P.; Rojanasakul, Y. Reactive Oxygen Species Mediate Caspase Activation and Apoptosis Induced by Lipoic Acid in Human Lung Epithelial Cancer Cells through Bcl-2 Down-Regulation. J. Pharmacol. Exp. Ther. 2006, 319, 1062–1069. [Google Scholar] [CrossRef]
- Dozio, E.; Ruscica, M.; Passafaro, L.; Dogliotti, G.; Steffani, L.; Pagani, A.; Demartini, G.; Esposti, D.; Fraschini, F.; Magni, P. The Natural Antioxidant Alpha-Lipoic Acid Induces P27Kip1-Dependent Cell Cycle Arrest and Apoptosis in MCF-7 Human Breast Cancer Cells. Eur. J. Pharmacol. 2010, 641, 29–34. [Google Scholar] [CrossRef]
- Wenzel, U.; Nickel, A.; Daniel, H. α-Lipoic Acid Induces Apoptosis in Human Colon Cancer Cells by Increasing Mitochondrial Respiration with a Concomitant O2−.-Generation. Apoptosis 2005, 10, 359–368. [Google Scholar] [CrossRef]
- Cai, X.; Chen, X.; Wang, X.; Xu, C.; Guo, Q.; Zhu, L.; Zhu, S.; Xu, J. Pre-Protective Effect of Lipoic Acid on Injury Induced by H2O2 in IPEC-J2 Cells. Mol. Cell. Biochem. 2013, 378, 73–81. [Google Scholar] [CrossRef]
- Bustamante, J.; Lodge, J.K.; Marcocci, L.; Tritschler, H.J.; Packer, L.; Rihn, B.H. α-Lipoic Acid in Liver Metabolism and Disease. Free Radic. Biol. Med. 1998, 24, 1023–1039. [Google Scholar] [CrossRef]
- Arpag, H.; Gül, M.; Aydemir, Y.; Atilla, N.; Yiğitcan, B.; Cakir, T.; Polat, C.; Şehirli, Ö.; Sayan, M. Protective Effects of Alpha-Lipoic Acid on Methotrexate-Induced Oxidative Lung Injury in Rats. J. Investig. Surg. 2018, 31, 107–113. [Google Scholar] [CrossRef] [PubMed]
- Çakır, T.; Baştürk, A.; Polat, C.; Aslaner, A.; Durgut, H.; Şehirli, A.Ö.; Gül, M.; Öğünç, A.V.; Gül, S.; Sabuncuoglu, M.Z.; et al. Does Alfa Lipoic Acid Prevent Liver from Methotrexate Induced Oxidative Injury in Rats? Acta Cir. Bras. 2015, 30, 247–252. [Google Scholar] [CrossRef] [PubMed]
- Kermeoğlu, F.; Sayıner, S.; Şehirli, A.Ö.; Savtekin, G.; Aksoy, U. Does α-Lipoic Acid Therapeutically Effective against Experimentally Induced-Acute Pulpitis in Rats? Aust. Endod. J. 2022. [Google Scholar] [CrossRef] [PubMed]
- Sehirli, A.; Aksoy, U.; Kermeoglu, F.; Kalender, A.; Savtekin, G.; Ozkayalar, H.; Sayiner, S. Protective Effect of Alpha-Lipoic Acid against Apical Periodontitis-Induced Cardiac Injury in Rats. Eur. J. Oral Sci. 2019, 127, 333–339. [Google Scholar] [CrossRef] [PubMed]
- Moura, F.A.; de Andrade, K.Q.; dos Santos, J.C.F.; Goulart, M.O.F. Lipoic Acid: Its Antioxidant and Anti-Inflammatory Role and Clinical Applications. Curr. Top. Med. Chem. 2015, 15, 458–483. [Google Scholar] [CrossRef]
- Aksoy, U.; Savtekin, G.; Şehirli, A.Ö.; Kermeoğlu, F.; Kalender, A.; Özkayalar, H.; Sayıner, S.; Orhan, K. Effects of Alpha-Lipoic Acid Therapy on Experimentally Induced Apical Periodontitis: A Biochemical, Histopathological and Micro-CT Analysis. Int. Endod. J. 2019, 52, 1317–1326. [Google Scholar] [CrossRef]
- el Barky, A.; Hussein, S.; Mohamed, T. The Potent Antioxidant Alpha Lipoic Acid. J. Plant Chem. Ecophysiol. 2017, 2, id1016. [Google Scholar]
- Bray, F.; Laversanne, M.; Weiderpass, E.; Soerjomataram, I. The Ever-Increasing Importance of Cancer as a Leading Cause of Premature Death Worldwide. Cancer 2021, 127, 3029–3030. [Google Scholar] [CrossRef]
- Epstein, J.B.; Thariat, J.; Bensadoun, R.-J.; Barasch, A.; Murphy, B.A.; Kolnick, L.; Popplewell, L.; Maghami, E. Oral Complications of Cancer and Cancer Therapy. CA Cancer J. Clin. 2012, 62, 400–422. [Google Scholar] [CrossRef]
- Fauci, A.S.; Kasper, D.L.; Longo, D.L.; Braunwald, E.; Hauser, S.L.; Jameson, J.L. Harrison’s Internal Medicine, 17th Edition.—By A. S. Fauci, D.L. Kasper, D.L. Longo, E. Braunwald, S.L. Hauser, J.L. Jameson and J. Loscalzo. Intern. Med. J. 2008, 38, 932. [Google Scholar] [CrossRef]
- Stringer, A.M.; Gibson, R.J.; Bowen, J.M.; Logan, R.M.; Yeoh, A.S.J.; Keefe, D.M.K. Chemotherapy-Induced Mucositis: The Role of Gastrointestinal Microflora and Mucins in the Luminal Environment. J. Support. Oncol. 2007, 5, 259–267. [Google Scholar]
- Peterson, D.E.; Bensadoun, R.J.; Roila, F. Management of Oral and Gastrointestinal Mucositis: ESMO Clinical Practice Guidelines. Ann. Oncol. 2011, 22 (Suppl. S6), vi78–vi84. [Google Scholar] [CrossRef] [PubMed]
- Chalabi-Dchar, M.; Fenouil, T.; Machon, C.; Vincent, A.; Catez, F.; Marcel, V.; Mertani, H.C.; Saurin, J.-C.; Bouvet, P.; Guitton, J.; et al. A Novel View on an Old Drug, 5-Fluorouracil: An Unexpected RNA Modifier with Intriguing Impact on Cancer Cell Fate. NAR Cancer 2021, 3, zcab032. [Google Scholar] [CrossRef] [PubMed]
- Medeiros, A.D.C.; Azevedo, Í.M.; Lima, M.L.; Filho, I.A.; Moreira, M.D. Effects of Simvastatin on 5-Fluorouracil-Induced Gastrointestinal Mucositis in Rats. Rev. Col. Bras. Cir. 2018, 45, e1968. [Google Scholar] [CrossRef]
- Mucha, P.; Skoczyńska, A.; Małecka, M.; Hikisz, P.; Budzisz, E. Overview of the Antioxidant and Anti-Inflammatory Activities of Selected Plant Compounds and Their Metal Ions Complexes. Molecules 2021, 26, 4886. [Google Scholar] [CrossRef]
- Sonis, S.T. Pathobiology of Mucositis. Semin. Oncol. Nurs. 2004, 20, 11–15. [Google Scholar] [CrossRef]
- Benito-Miguel, M.; Blanco, M.D.; Gómez, C. Assessment of Sequential Combination of 5-Fluorouracil-Loaded-Chitosan-Nanoparticles and ALA-Photodynamic Therapy on HeLa Cell Line. Photodiagnosis Photodyn. Ther. 2015, 12, 466–475. [Google Scholar] [CrossRef]
- Dörsam, B.; Göder, A.; Seiwert, N.; Kaina, B.; Fahrer, J. Lipoic Acid Induces P53-Independent Cell Death in Colorectal Cancer Cells and Potentiates the Cytotoxicity of 5-Fluorouracil. Arch. Toxicol. 2015, 89, 1829–1846. [Google Scholar] [CrossRef]
- Şehirli, Ö.; Şener, E.; Çetinel, Ş.; Yüksel, M.; Gedik, N.; Şener, G. α-Lipoic Acid Protects against Renal Ischaemia-Reperfusion Injury in Rats. Clin. Exp. Pharmacol. Physiol. 2008, 35, 249–255. [Google Scholar] [CrossRef]
- Şehirli, Ö.; Tatlidede, E.; Yüksel, M.; Erzik, C.; Çetinel, S.; Yeǧen, B.Ç.; Şener, G. Antioxidant Effect of Alpha-Lipoic Acid against Ethanol-Induced Gastric Mucosal Erosion in Rats. Pharmacology 2008, 81, 173–180. [Google Scholar] [CrossRef]
- Kim, S.H.; Chun, H.J.; Choi, H.S.; Kim, E.S.; Keum, B.; Seo, Y.S.; Jeen, Y.T.; Lee, H.S.; Um, S.H.; Kim, C.D. Ursodeoxycholic Acid Attenuates 5-Fluorouracil-Induced Mucositis in a Rat Model. Oncol. Lett. 2018, 16, 2585–2590. [Google Scholar] [CrossRef] [PubMed]
- Omran, A.R. The Epidemiologic Transition: A Theory of the Epidemiology of Population Change. Milbank Q. 2005, 83, 731–757. [Google Scholar] [CrossRef] [PubMed]
- Gersten, O.; Wilmoth, J.R. The Cancer Transition in Japan since 1951. Demogr. Res. 2002, 7, 271–306. [Google Scholar] [CrossRef]
- Gilman, A. The Initial Clinical Trial of Nitrogen Mustard. Am. J. Surg. 1963, 105, 574–578. [Google Scholar] [CrossRef]
- Grem, J.L. 5-Fluorouracil: Forty-plus and Still Ticking. A Review of Its Preclinical and Clinical Development. Investig. N. Drugs 2000, 18, 299–313. [Google Scholar] [CrossRef] [PubMed]
- Noordhuis, P.; Holwerda, U.; van der Wilt, C.L.; van Groeningen, C.J.; Smid, K.; Meijer, S.; Pinedo, H.M.; Peters, G.J. 5-Fluorouracil Incorporation into RNA and DNA in Relation to Thymidylate Synthase Inhibition of Human Colorectal Cancers. Ann. Oncol. 2004, 15, 1025–1032. [Google Scholar] [CrossRef]
- Wyatt, M.D.; Wilson, D.M. Participation of DNA Repair in the Response to 5-Fluorouracil. Cell. Mol. Life Sci. 2009, 66, 788–799. [Google Scholar] [CrossRef]
- Cairns, R.A.; Harris, I.S.; Mak, T.W. Regulation of Cancer Cell Metabolism. Nat. Rev. Cancer 2011, 11, 85–95. [Google Scholar] [CrossRef]
- Panis, C.; Herrera, A.C.S.A.; Victorino, V.J.; Campos, F.C.; Freitas, L.F.; de Rossi, T.; Colado Simão, A.N.; Cecchini, A.L.; Cecchini, R. Oxidative Stress and Hematological Profiles of Advanced Breast Cancer Patients Subjected to Paclitaxel or Doxorubicin Chemotherapy. Breast Cancer Res. Treat. 2012, 133, 89–97. [Google Scholar] [CrossRef]
- Conklin, K.A. Free Radicals: The Pros and Cons of Antioxidants Cancer Chemotherapy and Antioxidants. J. Nutr. 2004, 134, 3201S–3204S. [Google Scholar] [CrossRef]
- Hess, J.A.; Khasawneh, M.K. Cancer Metabolism and Oxidative Stress: Insights into Carcinogenesis and Chemotherapy via the Non-Dihydrofolate Reductase Effects of Methotrexate. BBA Clin. 2015, 3, 152–161. [Google Scholar] [CrossRef] [PubMed]
- Yan, X.X.; Li, H.L.; Zhang, Y.T.; Wu, S.Y.; Lu, H.L.; Yu, X.L.; Meng, F.G.; Sun, J.H.; Gong, L.K. A New Recombinant MS-Superoxide Dismutase Alleviates 5-Fluorouracil-Induced Intestinal Mucositis in Mice. Acta Pharmacol. Sin. 2020, 41, 348–357. [Google Scholar] [CrossRef] [PubMed]
- Nadhanan, R.R.; Abimosleh, S.M.; Su, Y.W.; Scherer, M.A.; Howarth, G.S.; Xian, C.J. Dietary Emu Oil Supplementation Suppresses 5-Fluorouracil Chemotherapy-Induced Inflammation, Osteoclast Formation, and Bone Loss. Am. J. Physiol. Endocrinol. Metab. 2012, 302, E1440–E1449. [Google Scholar] [CrossRef] [PubMed]
- Rapa, S.F.; Magliocca, G.; Pepe, G.; Amodio, G.; Autore, G.; Campiglia, P.; Marzocco, S. Protective Effect of Pomegranate on Oxidative Stress and Inflammatory Response Induced by 5-Fluorouracil in Human Keratinocytes. Antioxidants 2021, 10, 203. [Google Scholar] [CrossRef]
- Rashid, S.; Ali, N.; Nafees, S.; Hasan, S.K.; Sultana, S. Mitigation of 5-Fluorouracil Induced Renal Toxicity by Chrysin via Targeting Oxidative Stress and Apoptosis in Wistar Rats. Food Chem. Toxicol. 2014, 66, 185–193. [Google Scholar] [CrossRef]
- Al-Henhena, N.; Khalifa, S.A.M.; Ying, R.P.Y.; Hassandarvish, P.; Rouhollahi, E.; Al-Wajeeh, N.S.; Ali, H.M.; Abdulla, M.A.; El-Seedi, H.R. Chemopreventive Effects of Strobilanthes Crispus Leaf Extract on Azoxymethane-Induced Aberrant Crypt Foci in Rat Colon. Sci. Rep. 2015, 5, srep13312. [Google Scholar] [CrossRef]
- Kütük, S.G.; Nazıroğlu, M. Selenium Diminishes Docetaxel-Induced Cell Death, Oxidative Stress, and Inflammation in the Laryngotracheal Epithelium of the Mouse. Biol. Trace Elem. Res. 2020, 196, 184–194. [Google Scholar] [CrossRef]
- Ma, Z.; Xu, L.; Liu, D.; Zhang, X.; Di, S.; Li, W.; Zhang, J.; Reiter, R.J.; Han, J.; Li, X.; et al. Utilizing Melatonin to Alleviate Side Effects of Chemotherapy: A Potentially Good Partner for Treating Cancer with Ageing. Oxid. Med. Cell. Longev. 2020, 2020, 1–20. [Google Scholar] [CrossRef]
- Bhattacharyya, A.; Chattopadhyay, R.; Mitra, S.; Crowe, S.E. Oxidative Stress: An Essential Factor in the Pathogenesis of Gastrointestinal Mucosal Diseases. Physiol. Rev. 2014, 94, 329–354. [Google Scholar] [CrossRef]
- Kaplan, K.A.; Odabasoglu, F.; Halici, Z.; Halici, M.; Cadirci, E.; Atalay, F.; Aydin, O.; Cakir, A. Alpha-Lipoic Acid Protects against Indomethacin-Induced Gastric Oxidative Toxicity by Modulating Antioxidant System. J. Food Sci. 2012, 77, H224–H230. [Google Scholar] [CrossRef]
- Piechota-Polanczyk, A.; Zielińska, M.; Piekielny, D.; Fichna, J. The Influence of Lipoic Acid on Caveolin-1-Regulated Antioxidative Enzymes in the Mouse Model of Acute Ulcerative Colitis. Biomed. Pharmacother. 2016, 84, 470–475. [Google Scholar] [CrossRef] [PubMed]
- Park, C.H.; Youn, H.R.; Lee, J.; Lee, K.-U.; Park, J.-Y.; Koh, E.-H.; Kim, H.-S. Improved Efficacy of Appetite Suppression by Lipoic Acid Particles Prepared by Nanocomminution. Drug Dev. Ind. Pharm. 2009, 35, 1305–1311. [Google Scholar] [CrossRef] [PubMed]
- Wei, L.; Wang, J.; Yan, L.; Shui, S.; Wang, L.; Zheng, W.; Liu, S.; Liu, C.; Zheng, L. Sulforaphane Attenuates 5-Fluorouracil Induced Intestinal Injury in Mice. J. Funct. Foods 2020, 69, 103965. [Google Scholar] [CrossRef]
- Inomata, A.; Horii, I.; Suzuki, K. 5-Fluorouracil-Induced Intestinal Toxicity: What Determines the Severity of Damage to Murine Intestinal Crypt Epithelia? Toxicol. Lett. 2002, 133, 231–240. [Google Scholar] [CrossRef]
- Korenaga, D.; Honda, M.; Yasuda, M.; Inutsuka, S.; Nozoe, T.; Tashiro, H. Increased Intestinal Permeability Correlates with Gastrointestinal Toxicity among Formulations of the Fluorouracil Analogue Tegafur in Rats. Eur. Surg. Res. 2002, 34, 351–356. [Google Scholar] [CrossRef] [PubMed]
- Fan, P.; Tan, Y.; Jin, K.; Lin, C.; Xia, S.; Han, B.; Zhang, F.; Wu, L.; Ma, X. Supplemental Lipoic Acid Relieves Post-Weaning Diarrhoea by Decreasing Intestinal Permeability in Rats. J. Anim. Physiol. Anim. Nutr. 2017, 101, 136–146. [Google Scholar] [CrossRef] [PubMed]
- Kolgazi, M.; Jahovic, N.; Yüksel, M.; Ercan, F.; Alican, I. α-Lipoic Acid Modulates Gut Inflammation Induced by Trinitrobenzene Sulfonic Acid in Rats. J. Gastroenterol. Hepatol. 2007, 22, 1859–1865. [Google Scholar] [CrossRef] [PubMed]
- Trivedi, P.P.; Jena, G.B. Role of α-Lipoic Acid in Dextran Sulfate Sodium-Induced Ulcerative Colitis in Mice: Studies on Inflammation, Oxidative Stress, DNA Damage and Fibrosis. Food Chem. Toxicol. 2013, 59, 339–355. [Google Scholar] [CrossRef]
- Hassan, A.; Ibrahim, A.; Mbodji, K.; Coëffier, M.; Ziegler, F.; Bounoure, F.; Chardigny, J.M.; Skiba, M.; Savoye, G.; Déchelotte, P.; et al. An α-Linolenic Acid-Rich Formula Reduces Oxidative Stress and Inflammation by Regulating NF-ΚB in Rats with TNBS-Induced Colitis. J. Nutr. 2010, 140, 1714–1721. [Google Scholar] [CrossRef]
- Gomaa, A.M.S.; Abd El-Mottaleb, N.A.; Aamer, H.A. Antioxidant and Anti-Inflammatory Activities of Alpha Lipoic Acid Protect against Indomethacin-Induced Gastric Ulcer in Rats. Biomed. Pharmacother. 2018, 101, 188–194. [Google Scholar] [CrossRef]
- Curra, M.; Martins, M.A.T.; Lauxen, I.S.; Pellicioli, A.C.A.; Sant’Ana Filho, M.; Pavesi, V.C.S.; Carrard, V.C.; Martins, M.D. Effect of Topical Chamomile on Immunohistochemical Levels of IL-1β and TNF-α in 5-Fluorouracil-Induced Oral Mucositis in Hamsters. Cancer Chemother. Pharmacol. 2013, 71, 293–299. [Google Scholar] [CrossRef] [PubMed]
- Akyuz, C.; Yasar, N.F.; Uzun, O.; Peker, K.D.; Sunamak, O.; Duman, M.; Sehirli, A.O.; Yol, S. Effects of Melatonin on Colonic Anastomosis Healing Following Chemotherapy in Rats. Singap. Med. J. 2018, 59, 545–549. [Google Scholar] [CrossRef] [PubMed]
- Şehirli, Ö.; Tozan, A.; Omurtag, G.Z.; Cetinel, S.; Contuk, G.; Gedik, N.; Şener, G. Protective Effect of Resveratrol against Naphthalene-Induced Oxidative Stress in Mice. Ecotoxicol. Environ. Saf. 2008, 71, 301–308. [Google Scholar] [CrossRef] [PubMed]
- Şehirli, A.Ö.; Tatlidede, E.; Yüksel, M.; Çetinel, Ş.; Erzik, C.; Yeǧen, B.; Şener, G. Protective Effects of Alpha-Lipoic Acid against Oxidative Injury in TNBS-Induced Colitis. Erciyes Med. J. 2009, 31, 15–26. [Google Scholar]
- Pittayapruek, P.; Meephansan, J.; Prapapan, O.; Komine, M.; Ohtsuki, M. Role of Matrix Metalloproteinases in Photoaging and Photocarcinogenesis. Int. J. Mol. Sci. 2016, 17, 868. [Google Scholar] [CrossRef] [PubMed]
- Alison, M.R.; Lim, S.; Houghton, J.M. Bone Marrow-Derived Cells and Epithelial Tumours: More than Just an Inflammatory Relationship. Curr. Opin. Oncol. 2009, 21, 77–82. [Google Scholar] [CrossRef]
- Chen, Q.; Jin, M.; Yang, F.; Zhu, J.; Xiao, Q.; Zhang, L. Matrix Metalloproteinases: Inflammatory Regulators of Cell Behaviors in Vascular Formation and Remodeling. Mediat. Inflamm. 2013, 2013, 928315. [Google Scholar] [CrossRef]
- Paiva, K.B.S.; Granjeiro, J.M. Bone Tissue Remodeling and Development: Focus on Matrix Metalloproteinase Functions. Arch. Biochem. Biophys. 2014, 561, 74–87. [Google Scholar] [CrossRef]
- Nissinen, L.; Kähäri, V.-M. Matrix Metalloproteinases in Inflammation. Biochim. Biophys. Acta Gen. Subj. 2014, 1840, 2571–2580. [Google Scholar] [CrossRef]
- Cavdar, Z.; Ozbal, S.; Celik, A.; Ergur, B.U.; Guneli, E.; Ural, C.; Camsari, T.; Guner, G.A. The Effects of Alpha-Lipoic Acid on MMP-2 and MMP-9 Activities in a Rat Renal Ischemia and Re-Perfusion Model. Biotech. Histochem. 2014, 89, 304–314. [Google Scholar] [CrossRef]
- Kalkan, T.; Bintepe, C.; Yurekli, I.; Ersoy, N.; Bagriyanik, H.A.; Reel, B. Alpha Lipoic Acid Inhibits Oxidative Stress and Up-Regulation of MMPS in Human Saphenous Vein Grafts. Atherosclerosis 2020, 315, e249. [Google Scholar] [CrossRef]
- Sharma, A.; Kumar, D.; Moore, R.M.; Deshmukh, A.; Mercer, B.M.; Mansour, J.M.; Moore, J.J. Granulocyte Macrophage Colony Stimulating Factor (GM-CSF), the Critical Intermediate of Inflammation-Induced Fetal Membrane Weakening, Primarily Exerts Its Weakening Effect on the Choriodecidua Rather than the Amnion. Placenta 2020, 89, 1–7. [Google Scholar] [CrossRef] [PubMed]
- Tsou, P.S.; Balogh, B.; Pinney, A.J.; Zakhem, G.; Lozier, A.; Amin, M.A.; Stinson, W.A.; Schiopu, E.; Khanna, D.; Fox, D.A.; et al. Lipoic Acid Plays a Role in Scleroderma: Insights Obtained from Scleroderma Dermal Fibroblasts. Arthritis Res. Ther. 2014, 16, 411. [Google Scholar] [CrossRef] [PubMed]
- Herszényi, L.; Hritz, I.; Lakatos, G.; Varga, M.Z.; Tulassay, Z. The Behavior of Matrix Metalloproteinases and Their Inhibitors in Colorectal Cancer. Int. J. Mol. Sci. 2012, 13, 13240–13263. [Google Scholar] [CrossRef]
- Song, L.; Zhou, X.; Jia, H.J.; Du, M.; Zhang, J.L.; Li, L. Effect of HGC-MSCs from Human Gastric Cancer Tissue on Cell Proliferation, Invasion and Epithelial-Mesenchymal Transition in Tumor Tissue of Gastric Cancer Tumor-Bearing Mice. Asian Pac. J. Trop. Med. 2016, 9, 796–800. [Google Scholar] [CrossRef]
- Knight, B.E.; Kozlowski, N.; Havelin, J.; King, T.; Crocker, S.J.; Young, E.E.; Baumbauer, K.M. TIMP-1 Attenuates the Development of Inflammatory Pain Through MMP-Dependent and Receptor-Mediated Cell Signaling Mechanisms. Front. Mol. Neurosci. 2019, 12, 220. [Google Scholar] [CrossRef]
- Bugno, M.; Witek, B.; Bereta, J.; Bereta, M.; Edwards, D.R.; Kordula, T. Reprogramming of TIMP-1 and TIMP-3 Expression Profiles in Brain Microvascular Endothelial Cells and Astrocytes in Response to Proinflammatory Cytokines. FEBS Lett. 1999, 448, 9–14. [Google Scholar] [CrossRef]





| Control | ALA | Mucositis | Mucositis + ALA | |
|---|---|---|---|---|
| Albumin (g/dL) | 2.97 ± 0.16 | 3.22 ± 0.35 * | 3.76 ± 0.22 ** | 3.10 ± 0.57 § |
| TP (g/dL) | 4.44 ± 0.47 | 5.28 ± 0.93 | 5.77 ± 0.42 * | 4.95 ± 0.87 |
| ALP (U/L) | 64.01 ± 21.15 | 71.85 ± 19.19 | 120.50 ± 11.97 ***,†† | 69.14 ± 24.45 §§ |
| ALT (U/L) | 27.36 ± 9.12 | 25.00 ± 4.73 | 43.55 ± 11.10 **,†† | 25.57 ± 3.85 §§ |
| AST (U/L) | 109.6 ± 13.2 | 114.3 ± 5.3 | 142.3 ± 13.2 **,† | 118.4 ± 19.4 § |
| LDH (U/L) | 939 ± 249 | 681 ± 156 | 1853 ± 454 ***,†††† | 1241 ± 377 § |
| BUN (mg/dL) | 18.04 ± 2.29 | 21.49 ± 2.71 | 23.80 ± 1.49 *** | 18.22 ± 1.90 §§ |
| Creatinine (mg/dL) | 0.30 ± 0.09 | 0.41 ± 0.86 | 0.51 ± 0.048 *** | 0.37 ± 0.040 § |
| Amylase (U/L) | 1350 ± 165 | 1681 ± 188 | 2575 ± 426 ****,††† | 1659 ± 312 §§§ |
| Lipase (U/L) | 24.50 ± 4.84 | 27.67 ± 4.22 | 31.83 ± 3.97 * | 27.67 ± 4.54 |
| Control | ALA | Mucositis | Mucositis + ALA | |
|---|---|---|---|---|
| MMP-1 (sera pg/mL; tissues pg/mg protein) | ||||
| Serum | 1.09 ± 0.18 | 1.14 ± 0.37 | 2.99 ± 0.81 ***,††† | 1.87 ± 0.87 § |
| Stomach | 1.01 ± 0.29 | 1.03 ± 0.19 | 1.94 ± 0.36 ****,††† | 1.34 ± 0.27 §§ |
| Small Intestine | 0.68 ± 0.23 | 0.99 ± 0.41 | 2.36 ± 0.67 ****,††† | 1.35 ± 0.23 §§ |
| Large Intestine | 0.78 ± 0.14 | 0.60 ± 0.15 | 1.26 ± 0.22 ***,†††† | 0.96 ± 0.18 § |
| MMP-2 (sera pg/mL; tissues pg/mg protein) | ||||
| Serum | 25.06 ± 6.36 | 23.74 ± 3.37 | 37.13 ± 7.81 **,†† | 20.04 ± 4.14 §§§ |
| Stomach | 1.39 ± 0.32 | 1.45 ± 0.27 | 2.07 ± 0.27 **,†† | 1.59 ± 0.31§ |
| Small Intestine | 0.74 ± 0.33 | 0.86 ± 0.19 | 1.38 ± 0.12 ***,†† | 0.98 ± 0.24 § |
| Large Intestine | 0.73 ± 0.20 | 0.81 ± 0.21 | 1.39 ± 0.29 ***,†† | 0.86 ± 0.20 §§ |
| MMP-8 (sera pg/mL; tissues pg/mg protein) | ||||
| Serum | 61.67 ± 20.49 | 73.23 ± 14.00 | 176.40 ± 110.00 *,† | 111.00 ± 34.25 |
| Stomach | 2.66 ± 0.45 | 2.18 ± 0.59 | 4.89 ± 2.26 *,†† | 2.26 ± 0.74 §§ |
| Small Intestine | 0.95 ± 0.31 | 0.69 ± 0.36 | 1.98 ± 0.55 **,†††† | 1.06 ± 0.32 §§ |
| Large Intestine | 0.60 ± 0.22 | 0.65 ± 0.29 | 1.74 ± 0.47 ****,†††† | 0.99 ± 0.25 §§ |
| TIMP-1 (sera pg/mL; tissues pg/mg protein) | ||||
| Serum | 435 ± 175 | 794 ± 300 | 2154 ± 477 ****,†††† | 839 ± 463 §§§§ |
| Stomach | 592 ± 189 | 593 ± 121 | 893 ± 113 **,†† | 631 ± 138 § |
| Small Intestine | 57.4 ± 30.3 | 54.9 ± 27.1 | 213.2 ± 62.9 ***,††† | 124.5 ± 64.7 § |
| Large Intestine | 378 ± 62 | 470 ± 65 | 669 ± 50 ****,††† | 551 ± 74 § |
| Groups | Villus Heights |
|---|---|
| Control | 425.56 ± 77.67 |
| ALA | 423.64 ± 69.99 |
| Mucositis | 351.83 ± 40.22 |
| Mucositis +ALA | 399.06 ± 42.69 |
| p value | 0.183 |
Publisher’s Note: MDPI stays neutral with regard to jurisdictional claims in published maps and institutional affiliations. |
© 2022 by the authors. Licensee MDPI, Basel, Switzerland. This article is an open access article distributed under the terms and conditions of the Creative Commons Attribution (CC BY) license (https://creativecommons.org/licenses/by/4.0/).
Share and Cite
Ceylanlı, D.; Şehirli, A.Ö.; Gençosman, S.; Teralı, K.; Şah, H.; Gülmez, N.; Sayıner, S. Protective Effects of Alpha-Lipoic Acid against 5-Fluorouracil-Induced Gastrointestinal Mucositis in Rats. Antioxidants 2022, 11, 1930. https://doi.org/10.3390/antiox11101930
Ceylanlı D, Şehirli AÖ, Gençosman S, Teralı K, Şah H, Gülmez N, Sayıner S. Protective Effects of Alpha-Lipoic Acid against 5-Fluorouracil-Induced Gastrointestinal Mucositis in Rats. Antioxidants. 2022; 11(10):1930. https://doi.org/10.3390/antiox11101930
Chicago/Turabian StyleCeylanlı, Deniz, Ahmet Özer Şehirli, Sevgi Gençosman, Kerem Teralı, Hüseyin Şah, Nurhayat Gülmez, and Serkan Sayıner. 2022. "Protective Effects of Alpha-Lipoic Acid against 5-Fluorouracil-Induced Gastrointestinal Mucositis in Rats" Antioxidants 11, no. 10: 1930. https://doi.org/10.3390/antiox11101930
APA StyleCeylanlı, D., Şehirli, A. Ö., Gençosman, S., Teralı, K., Şah, H., Gülmez, N., & Sayıner, S. (2022). Protective Effects of Alpha-Lipoic Acid against 5-Fluorouracil-Induced Gastrointestinal Mucositis in Rats. Antioxidants, 11(10), 1930. https://doi.org/10.3390/antiox11101930

