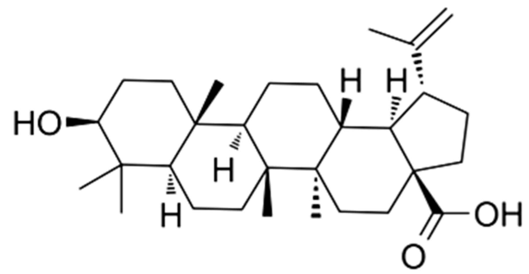
Betulinic Acid Alleviates Spleen Oxidative Damage Induced by Acute Intraperitoneal Exposure to T-2 Toxin by Activating Nrf2 and Inhibiting MAPK Signaling Pathways
Abstract
1. Introduction
2. Materials and Methods
2.1. Drugs and Reagents
2.2. Animals and Treatment
2.3. Estimation of Blood Biochemical Parameters
2.4. Detection of Hematology
2.5. Assessment of Intracellular ROS
2.6. Detection of Antioxidative Capacity
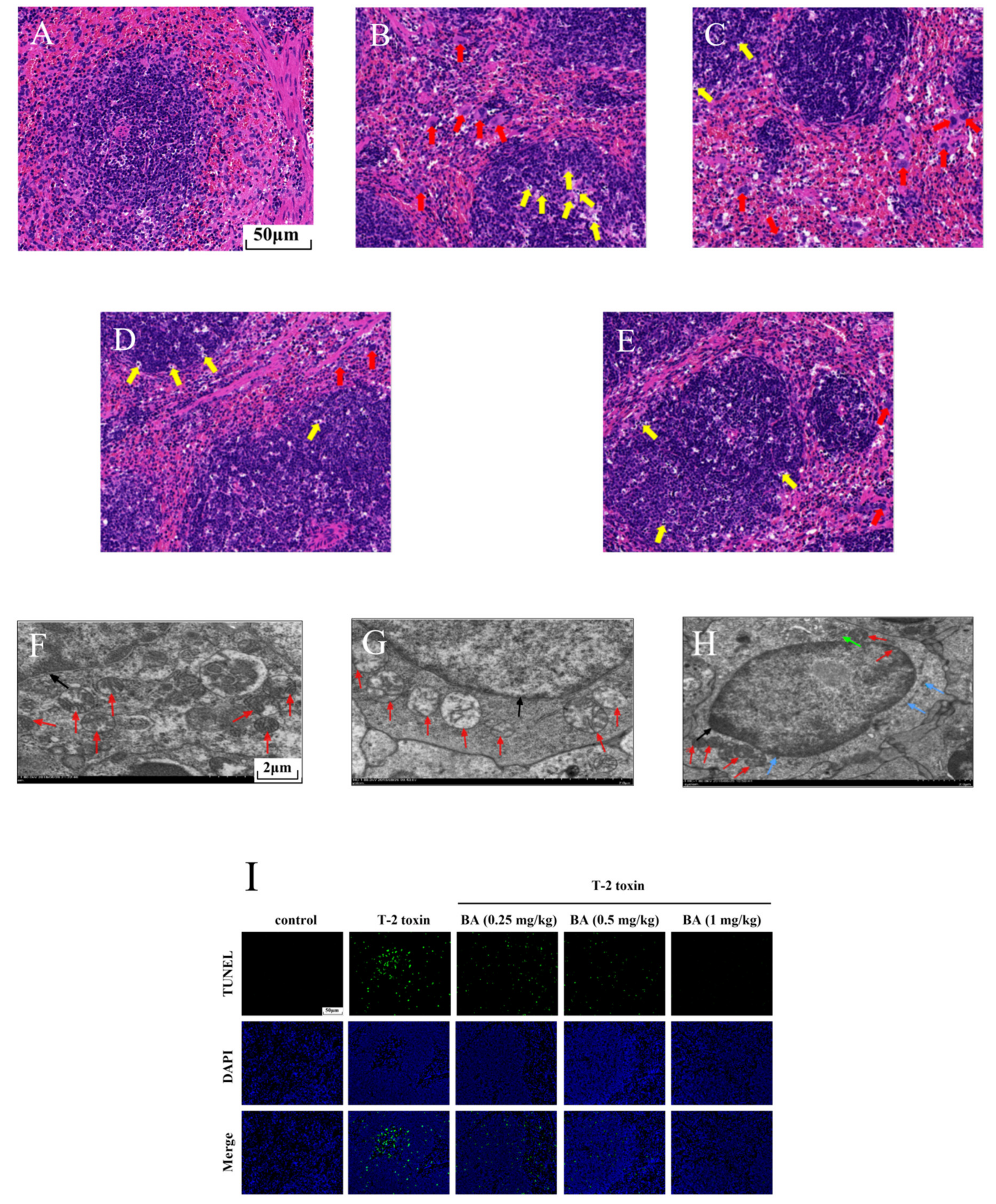
2.7. Morphological Examination by H&E Staining
2.8. Ultrastructural Observation by TEM
2.9. Observation of Splenocyte Apoptosis by TUNEL Assay
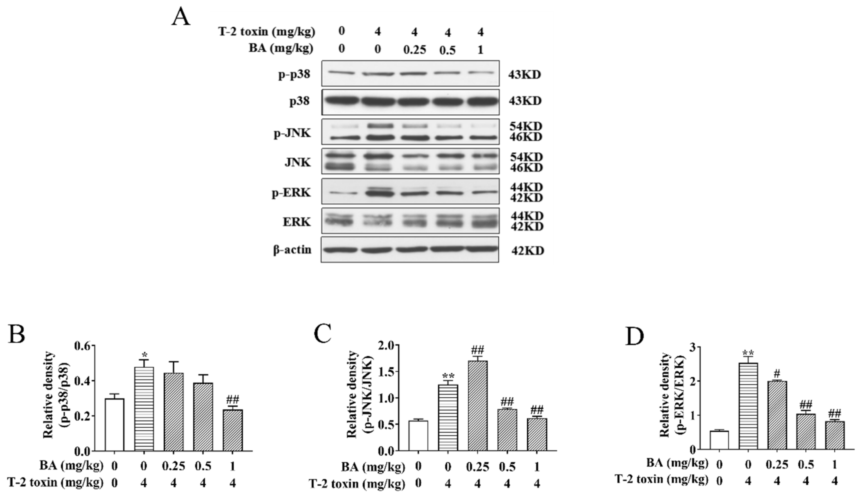
2.10. Western Blot Analysis
2.11. Statistical Analysis
3. Results
3.1. Effects of BA on Serum Biochemical Indicators and Blood Indicators in T-2 Toxin-Treated Mice
3.2. BA Protects against Spleen Oxidative Stress in T-2 Toxin-Intoxicated Mice
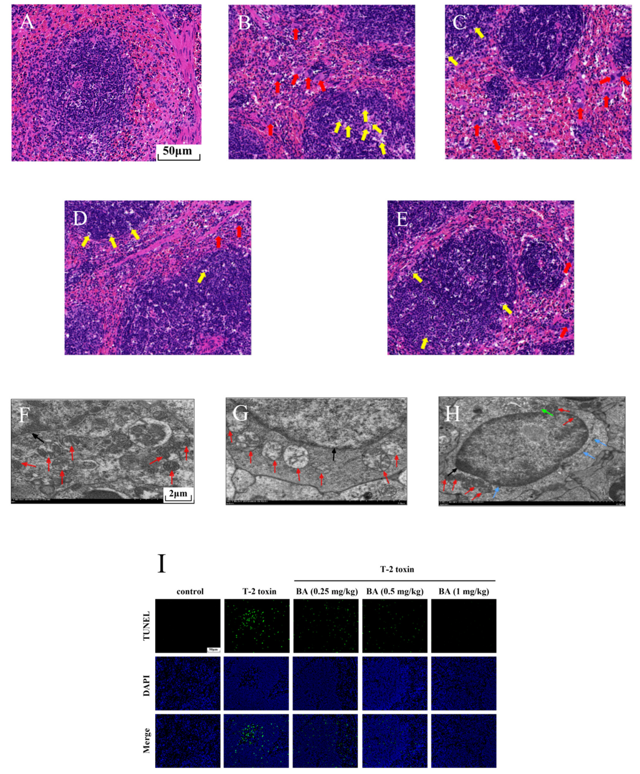
3.3. BA Mitigated Spleen Injury in T-2 Toxin-Exposed Mice
3.4. Effects of BA on the Protein Expression of the MAPK Signaling Pathway in the Spleen of T-2 Toxin-Intoxicated Mice
3.5. Effects of BA on the Protein Expression of the Nrf2 Signaling Pathway in the Spleen of T-2 Toxin-Intoxicated Mice
4. Discussion
Author Contributions
Funding
Institutional Review Board Statement
Informed Consent Statement
Data Availability Statement
Conflicts of Interest
Abbreviations
| ARE | antioxidant response element |
| ANOVA | one-way analysis of variance |
| ASK1 | apoptosis signal-regulating kinase 1 |
| BA | betulinic acid |
| CPF | chlorpyrifos |
| CAT | catalase |
| Dex | dexamethasone |
| DHE | dihydroethidium |
| ERK | extracellular signal-regulated kinases |
| ECL | enhanced chemiluminescence |
| GSH-Px | glutathione peroxidase |
| GSH | glutathione |
| HO-1 | heme oxygenase-1 |
| H&E | hematoxylin-eosin |
| HRP | horseradish peroxidase |
| JNK | c-Jun N-terminal kinase |
| Keap1 | kelch-like erythroid cell-derived protein with CNC homology [ECH]-associated protein 1 |
| LYMs | lymphocytes |
| MDA | malondialdehyde |
| MAPK | mitogen-activated protein kinases |
| Nrf2 | nuclear factor erythroid 2 [NF-E2]-related factor 2 |
| p38 | p38 mitogen-activated protein kinase |
| PLTs | platelets |
| ROS | reactive oxygen species |
| RBCs | red blood cells |
| SOD | superoxide dismutase |
| SEM | standard error of the mean |
| TC | total cholesterol |
| TG | triglyceride |
| T-AOC | total antioxidant capacity |
| TUNEL | terminal deoxynucleotidyl-transferase-mediated dUTP nick end labeling |
| TEM | transmission electron microscopy |
| WBCs | white blood cells |
References
- Zain, M.E. Impact of mycotoxins on humans and animals. J. Saudi. Chem. Soc. 2011, 15, 129–144. [Google Scholar] [CrossRef]
- Jaevi, V.; Wu, Q.; Nepovimova, E.; Kua, K. Cardiomyopathy induced by T-2 toxin in rats. Food Chem. Toxicol. 2020, 137, 111138. [Google Scholar] [CrossRef]
- Ling, A.; Sun, L.W.; Guo, W.B.; Sun, S.Y.; Yang, J.H.; Zhao, Z.H. Individual and combined cytotoxic effects of T-2 toxin and its four metabolites on porcine Leydig cells. Food Chem. Toxicol. 2020, 139, 111277. [Google Scholar] [CrossRef] [PubMed]
- Yang, L.C.; Tu, D.; Wu, Y.X.; Liu, W.; Hu, Y.; Liu, T.B.; Tan, L.; Li, Y.L.; Lei, H.Y.; Zhan, Y.; et al. Distribution and persistence of residual T-2 and HT-2 toxins from moldy feed in broiler chickens. Toxicon 2020, 178, 82–91. [Google Scholar] [CrossRef]
- Yang, L.; Guo, X. Response to comment on “Comparison of the toxic mechanism of T-2 toxin and deoxynivalenol on human chondrocytes by microarray and bioinformatics analysis”. Toxicol. Lett. 2020, 327, 32. [Google Scholar] [CrossRef]
- Doi, K.; Ishigami, N.; Sehata, S. T-2 toxin-induced toxicity in pregnant mice and rats. Int. J. Mol. Sci. 2008, 9, 2146–2158. [Google Scholar] [CrossRef]
- Hymery, N.; Sibiril, Y.; Parent-Massin, D. In vitro effects of trichothecenes on human dendritic cells. Toxicol. In Vitro 2006, 20, 899–909. [Google Scholar] [CrossRef]
- Shinozuka, J.; Li, G.; Kiatipattanasakul, W.; Uetsuka, K.; Nakayama, H.; Doi, K. T-2 toxin-induced apoptosis in lymphoid organs of mice. Exp. Toxicol. Pathol. 1997, 49, 387–392. [Google Scholar] [CrossRef]
- Chaudhari, M.; Jayaraj, R.; Bhaskar, A.S.B.; Lakshmana, R.P.V. Oxidative stress induction by T-2 toxin causes DNA damage and triggers apoptosis via caspase pathway in human cervical cancer cells. Toxicology 2009, 262, 153–161. [Google Scholar] [CrossRef]
- Chaudhari, M.; Jayaraj, R.; Santhosh, S.R.; Rao, P.V.L. Oxidative damage and gene expression profile of antioxidant enzymes after T-2 toxin exposure in mice. J. Biochem. Mol. Toxicol. 2009, 23, 212–222. [Google Scholar] [CrossRef]
- Doi, K.; Uetsuka, K. Mechanisms of mycotoxin-induced neurotoxicity through oxidative stress-associated pathways. Int. J. Mol. Sci. 2011, 12, 5213–5237. [Google Scholar] [CrossRef] [PubMed]
- Wu, Q.H.; Wang, X.; Yang, W.; Nüssler, A.K.; Xiong, L.Y.; Kuča, K.; Dohnal, V.; Zhang, X.J.; Yuan, Z.H. Oxidative stress-mediated cytotoxicity and metabolism of T-2 toxin and deoxynivalenol in animals and humans: An update. Arch. Toxicol. 2014, 88, 1309–1326. [Google Scholar] [CrossRef] [PubMed]
- Johnson, G.L.; Vaillancourt, R.R. Sequential protein kinase reactions controlling cell growth and differentiation. Curr. Opin. Cell Biol. 1994, 6, 230–238. [Google Scholar] [CrossRef]
- Ki, Y.W.; Park, J.H.; Lee, J.E.; Shin, I.C.; Koh, H.C. JNK and p38 MAPK regulate oxidative stress and the inflammatory response in chlorpyrifos-induced apoptosis. Toxicol. Lett. 2013, 218, 235–245. [Google Scholar] [CrossRef]
- Gao, Y.; Fu, R.R.; Wang, J.; Yang, X.; Wen, L.L.; Feng, J. Resveratrol mitigates the oxidative stress mediated by hypoxic-ischemic brain injury in neonatal rats via Nrf2/HO-1 pathway. Pharm. Biol. 2018, 56, 440–449. [Google Scholar] [CrossRef]
- Ríos, J.L.; Máñez, S. New pharmacological opportunities for betulinic acid. Planta Med. 2018, 84, 8–19. [Google Scholar] [CrossRef]
- Amiri, S.; Dastghaib, S.; Ahmadi, M.; Mehrbod, P.; Khadem, F.; Behrouj, H.; Aghanoori, M.R.; Machaj, F.; Ghamsari, M.; Rosik, J.; et al. Betulin and its derivatives as novel compounds with different pharmacological effects. Biotechnol. Adv. 2020, 38, 107409. [Google Scholar] [CrossRef]
- Zheng, Z.W.; Song, S.Z.; Wu, Y.L.; Lian, L.H.; Wan, Y.; Nan, J.X. Betulinic acid prevention of d-galactosamine/lipopolysaccharide liver toxicity is triggered by activation of Bcl-2 and antioxidant mechanisms. J. Pharm. Pharmacol. 2011, 63, 572–578. [Google Scholar] [CrossRef]
- Peng, J.; Lv, Y.C.; He, P.P.; Tang, Y.Y.; Xie, W.; Liu, X.Y.; Li, Y.; Lan, G.; Zhang, M.; Zhang, C.; et al. Betulinic acid downregulates expression of oxidative stress-induced lipoprotein lipase via the PKC/ERK/c-Fos pathway in RAW264.7 macrophages. Biochimie 2015, 119, 192–203. [Google Scholar] [CrossRef]
- Yi, J.E.; Xia, W.; Wu, J.P.; Yuan, L.Y.; Wu, J.; Tu, D.; Fang, J.; Tan, Z.L. Betulinic acid prevents alcohol-induced liver damage by improving the antioxidant system in mice. J. Vet. Sci. 2014, 15, 141–148. [Google Scholar] [CrossRef]
- Wang, D.; Chen, T.Y.; Liu, F.J. Betulinic acid alleviates myocardial hypoxia/reoxygenation injury via inducing Nrf2/HO-1 and inhibiting p38 and JNK pathways. Eur. J. Pharmacol. 2018, 838, 53–59. [Google Scholar] [CrossRef] [PubMed]
- Sutariya, B.; Taneja, N.; Saraf, M. Betulinic acid, isolated from the leaves of Syzygium cumini (L.) Skeels, ameliorates the proteinuria in experimental membranous nephropathy through regulating Nrf2/NF-κB pathways. Chem. Biol. Interact. 2017, 274, 124–137. [Google Scholar] [CrossRef] [PubMed]
- Zhu, L.J.; Yi, X.L.; Zhao, J.; Yuan, Z.H.; Wen, L.X.; Pozniak, B.; Obminska-Mrukowicz, B.; Tian, Y.N.; Tan, Z.L.; Wu, J.; et al. Betulinic acid attenuates dexamethasone-induced oxidative damage through the JNK-P38 MAPK signaling pathway in mice. Biomed. Pharmacother. 2018, 103, 499–508. [Google Scholar] [CrossRef] [PubMed]
- Wu, J.; Yang, C.L.; Liu, J.; Chen, J.X.; Huang, C.; Wang, J.; Liang, Z.; Wen, L.X.; Yi, J.E.; Yuan, Z.H. Betulinic acid attenuates T-2-toxin-induced testis oxidative damage through regulation of the JAK2/STAT3 signaling pathway in mice. Biomolecules 2019, 9, 787. [Google Scholar] [CrossRef] [PubMed]
- Zhu, L.J.; Yi, X.L.; Ma, C.Y.; Luo, C.X.; Kong, L.; Lin, X.; Gao, X.Y.; Yuan, Z.H.; Wen, L.X.; Li, R.F.; et al. Betulinic acid attenuates oxidative stress in the thymus induced by acute exposure to T-2 toxin via regulation of the MAPK/Nrf2 signaling pathway. Toxins 2020, 12, 540. [Google Scholar] [CrossRef]
- Zhu, S.Y.; Wang, Y.X.; Wang, X.Y.; Li, J.Y.; Hu, F. Emodin inhibits ATP-induced IL-1β secretion, ROS production and phagocytosis attenuation in rat peritoneal macrophages via antagonizing P2X7 receptor. Pharm. Biol. 2014, 52, 51–57. [Google Scholar] [CrossRef]
- Woo, Y.; Lim, J.S.; Oh, J.; Lee, J.S.; Kim, J.S. Neuroprotective effects of euonymus alatus extract on scopolamine-induced memory deficits in mice. Antioxidants 2020, 9, 449. [Google Scholar] [CrossRef]
- Delgado, R.L.; Acosta, M.E.; Fraga, P.A.; Bécquer, V.M.A.; Soto, L.Y.; Falcón, C.V.; Vázquez, L.A.M.; Martínez-Sánchez, G.; Fernández-Sánchez, E. Lipofundin-induced hyperlipidemia promotes oxidative stress and atherosclerotic lesions in new zealand white rabbits. Int. J. Vasc. Med. 2012, 2012, 898769. [Google Scholar] [CrossRef][Green Version]
- Parent-Massin, D. Haematotoxicity of trichothecenes. Toxicol. Lett. 2004, 153, 75–81. [Google Scholar] [CrossRef]
- Minervini, F.; Fornelli, F.; Lucivero, G.; Romano, C.; Visconti, A. T-2 toxin immunotoxicity on human B and T lymphoid cell lines. Toxicology 2005, 210, 81–91. [Google Scholar] [CrossRef]
- Ahmed, A.S.A.; Eryilmaz, R.; Demir, H.; Aykan, S.; Demir, C. Determination of oxidative stress levels and some antioxidant enzyme activities in prostate cancer. Aging Male 2019, 22, 198–206. [Google Scholar] [CrossRef] [PubMed]
- Yi, J.E.; Zhu, R.C.; Wu, J.P.; Wu, J.; Xia, W.; Zhu, L.J.; Jiang, W.W.; Xiang, S.T.; Tan, Z.L. In vivo protective effect of betulinic acid on dexamethasone induced thymocyte apoptosis by reducing oxidative stress. Pharmacol. Rep. 2016, 68, 95–100. [Google Scholar] [CrossRef] [PubMed]
- Krishnamoorthy, P.; Vairamuthu, S.; Balachandran, C.; Muralimanohar, B. Pathology of lymphoid organs in chlorpyriphos and T-2 toxin fed broiler chicken. Int. J. Poult. Sci. 2007, 6, 71–76. [Google Scholar] [CrossRef][Green Version]
- Chen, Y.Q.; Han, S.S.; Wang, Y.; Li, D.Y.; Zhao, X.L.; Zhu, Q.; Yin, H.D. Oxidative stress and apoptotic changes in broiler chicken splenocytes exposed to T-2 toxin. Biomed. Res. Int. 2019, 2019, 5493870. [Google Scholar] [CrossRef] [PubMed]
- Yi, J.E.; Obminska-Mrukowicz, B.; Yuan, L.Y.; Yuan, H. Immunomodulatory effects of betulinic acid from the bark of white birch on mice. J. Vet. Sci. 2010, 11, 305–313. [Google Scholar] [CrossRef] [PubMed]
- Lacy, M.; Atzler, D.; Liu, R.Q.; De, W.M.; Weber, C.; Lutgens, E. Interactions between dyslipidemia and the immune system and their relevance as putative therapeutic targets in atherosclerosis. Pharmacol. Ther. 2019, 193, 50–62. [Google Scholar] [CrossRef]
- Acharya, P.; Talahalli, R.R. Aging and hyperglycemia intensify dyslipidemia-induced oxidative stress and inflammation in rats: Assessment of restorative potentials of ALA and EPA + DHA. Inflammation 2019, 42, 946–952. [Google Scholar] [CrossRef]
- Kang, R.; Perveen, A.; Li, C. Effects of maternal T-2 toxin exposure on the hepatic glycolipid metabolism in young mice. Ecotoxicol. Environ. Saf. 2020, 196, 110530. [Google Scholar] [CrossRef]
- Wu, J.; Zhou, Y.; Yuan, Z.; Yi, J.; Chen, J.; Wang, N.; Tian, Y. Autophagy and apoptosis interact to modulate T-2 toxin-induced toxicity in liver cells. Toxins 2019, 11, 45. [Google Scholar] [CrossRef]
- Liu, A.; Sun, Y.; Wang, X.; Ihsan, A.; Tao, Y.; Chen, D.; Peng, D.; Wu, Q.; Wang, X.; Yuan, Z. DNA methylation is involved in pro-inflammatory cytokines expression in T-2 toxin-induced liver injury. Food Chem. Toxicol. 2019, 132, 110661. [Google Scholar] [CrossRef]
- De, M.C.L.; Queiroz, M.G.R.; Arruda, F.A.C.V.; Rodrigues, A.M.; De, S.D.F.; Almeida, J.G.L.; Pessoa, O.D.L.; Silveira, E.R.; Menezes, D.B.; Melo, T.S.; et al. Betulinic acid, a natural pentacyclic triterpenoid, prevents abdominal fat accumulation in mice fed a high-fat diet. J. Agric. Food Chem. 2009, 57, 8776–8781. [Google Scholar] [CrossRef]
- Yi, J.E.; Lis, M.; Szczypka, M.; Obmińska-Mrukowicz, B. Influence of betulinic acid on lymphocyte subsets and humoral immune response in mice. Pol. J. Vet. Sci. 2012, 15, 305–313. [Google Scholar] [CrossRef][Green Version]
- Wu, J.; Tu, D.; Yuan, L.Y.; Yuan, H.; Wen, L.X. T-2 toxin exposure induces apoptosis in rat ovarian granulosa cells through oxidative stress. Environ. Toxicol. Pharmacol. 2013, 36, 493–500. [Google Scholar] [CrossRef] [PubMed]
- Luo, C.X.; Huang, C.L.; Zhu, L.J.; Kong, L.; Yuan, Z.H.; Wen, L.X.; Li, R.F.; Wu, J.; Yi, J.E. Betulinic acid ameliorates the T-2 toxin-triggered intestinal impairment in mice by inhibiting inflammation and mucosal Barrier dysfunction through the NF-κB signaling pathway. Toxins 2020, 12, 794. [Google Scholar] [CrossRef]
- Jaradat, Z.W.; Viià, B.; Marquardt, R.R. Adverse effects of T-2 toxin on chicken lymphocytes blastogenesis and its protection with Vitamin E. Toxicology 2006, 225, 90–96. [Google Scholar] [CrossRef]
- Circu, M.L.; Aw, T.Y. Reactive oxygen species, cellular redox systems, and apoptosis. Free Radic. Biol. Med. 2010, 48, 749–762. [Google Scholar] [CrossRef]
- Tait, S.W.G.; Green, D.R. Mitochondrial regulation of cell death. CSH. Perspect. Biol. 2013, 5, a008706. [Google Scholar] [CrossRef]
- Xiao, J.; Zhang, R.F.; Huang, F.; Liu, L.; Deng, Y.Y.; Ma, Y.X.; Wei, Z.C.; Tang, X.J.; Zhang, Y.; Zhang, M.W. Lychee (Litchi chinensis Sonn.) pulp phenolic extract confers a protective activity against alcoholic liver disease in mice by alleviating mitochondrial dysfunction. J. Agric. Food Chem. 2017, 65, 5000–5009. [Google Scholar] [CrossRef]
- Zhang, G.W.; Yang, W.; Jiang, F.; Zou, P.; Zeng, Y.F.; Ling, X.; Zhou, Z.Y.; Cao, J.; Ao, L. PERK regulates Nrf2/ARE antioxidant pathway against dibutyl phthalate-induced mitochondrial damage and apoptosis dependent of reactive oxygen species in mouse spermatocyte-derived cells. Toxicol. Lett. 2019, 308, 24–33. [Google Scholar] [CrossRef]
- Yang, J.H.; Guo, W.B.; Wang, J.H.; Yang, X.L.; Zhang, Z.Q.; Zhao, Z.H. T-2 toxin-induced oxidative stress leads to imbalance of mitochondrial fission and fusion to activate cellular apoptosis in the human liver 7702 cell line. Toxins 2020, 12, 43. [Google Scholar] [CrossRef]
- Yi, J.; Zhu, R.; Wu, J.; Wu, J.; Tan, Z. Ameliorative effect of betulinic acid on oxidative damage and apoptosis in the splenocytes of dexamethasone treated mice. Int. Immunopharmacol. 2015, 27, 85–94. [Google Scholar] [CrossRef] [PubMed]
- Liang, T.; Zhang, X.J.; Xue, W.H.; Zhao, S.F.; Zhang, X.; Pei, J.Y. Curcumin induced human gastric cancer BGC-823 cells apoptosis by ROS-mediated ASK1-MKK4-JNK stress signaling pathway. Int. J. Mol. Sci. 2014, 15, 15754–15765. [Google Scholar] [CrossRef] [PubMed]
- Soga, M.; Matsuzawa, A.; Ichijo, H. Oxidative stress-induced diseases via the ASK1 signaling pathway. Int. J. Cell Biol. 2012, 2012, 439587. [Google Scholar] [CrossRef] [PubMed]
- Szuster-Ciesielska, A.; Plewka, K.; Daniluk, J.; Kandefer-Szersze, M. Betulin and betulinic acid attenuate ethanol-induced liver stellate cell activation by inhibiting reactive oxygen species (ROS), cytokine (TNF-α, TGF-β) production and by influencing intracellular signaling. Toxicology 2011, 280, 152–163. [Google Scholar] [CrossRef] [PubMed]
- Cui, G.Z.; Luk, S.C.W.; Li, R.A.; Chan, K.K.K.; Lei, S.W.; Wang, L.; Shen, H.F.; Leung, G.P.H.; Lee, S.M.Y. Cytoprotection of baicalein against oxidative stress-induced cardiomyocytes injury through the Nrf2/Keap1 pathway. J. Cardiovasc. Pharm. 2015, 65, 39–46. [Google Scholar] [CrossRef] [PubMed]
- Ren, Y.S.; Zheng, Y.; Duan, H.; Lei, L.; Deng, X.; Liu, X.Q.; Mei, Z.N.; Deng, X.K. Dandelion polyphenols protect against acetaminophen-induced hepatotoxicity in mice via activation of the Nrf2/HO-1 pathway and inhibition of the JNK signaling pathway. Chin. J. Nat. Med. 2020, 18, 103–113. [Google Scholar] [CrossRef] [PubMed]









Publisher’s Note: MDPI stays neutral with regard to jurisdictional claims in published maps and institutional affiliations. |
© 2021 by the authors. Licensee MDPI, Basel, Switzerland. This article is an open access article distributed under the terms and conditions of the Creative Commons Attribution (CC BY) license (http://creativecommons.org/licenses/by/4.0/).
Share and Cite
Kong, L.; Zhu, L.; Yi, X.; Huang, Y.; Zhao, H.; Chen, Y.; Yuan, Z.; Wen, L.; Wu, J.; Yi, J. Betulinic Acid Alleviates Spleen Oxidative Damage Induced by Acute Intraperitoneal Exposure to T-2 Toxin by Activating Nrf2 and Inhibiting MAPK Signaling Pathways. Antioxidants 2021, 10, 158. https://doi.org/10.3390/antiox10020158
Kong L, Zhu L, Yi X, Huang Y, Zhao H, Chen Y, Yuan Z, Wen L, Wu J, Yi J. Betulinic Acid Alleviates Spleen Oxidative Damage Induced by Acute Intraperitoneal Exposure to T-2 Toxin by Activating Nrf2 and Inhibiting MAPK Signaling Pathways. Antioxidants. 2021; 10(2):158. https://doi.org/10.3390/antiox10020158
Chicago/Turabian StyleKong, Li, Lijuan Zhu, Xianglian Yi, You Huang, Haoqiang Zhao, Yazhi Chen, Zhihang Yuan, Lixin Wen, Jing Wu, and Jine Yi. 2021. "Betulinic Acid Alleviates Spleen Oxidative Damage Induced by Acute Intraperitoneal Exposure to T-2 Toxin by Activating Nrf2 and Inhibiting MAPK Signaling Pathways" Antioxidants 10, no. 2: 158. https://doi.org/10.3390/antiox10020158
APA StyleKong, L., Zhu, L., Yi, X., Huang, Y., Zhao, H., Chen, Y., Yuan, Z., Wen, L., Wu, J., & Yi, J. (2021). Betulinic Acid Alleviates Spleen Oxidative Damage Induced by Acute Intraperitoneal Exposure to T-2 Toxin by Activating Nrf2 and Inhibiting MAPK Signaling Pathways. Antioxidants, 10(2), 158. https://doi.org/10.3390/antiox10020158

