Motor Outcome After Posterior Insular Resection for Pediatric Epilepsy
Abstract
1. Introduction
1.1. Anatomic Considerations
1.2. Reaching the Posterior Insula
1.3. Preservation of Function
1.4. Surgical Outcomes
2. Institutional Case Series
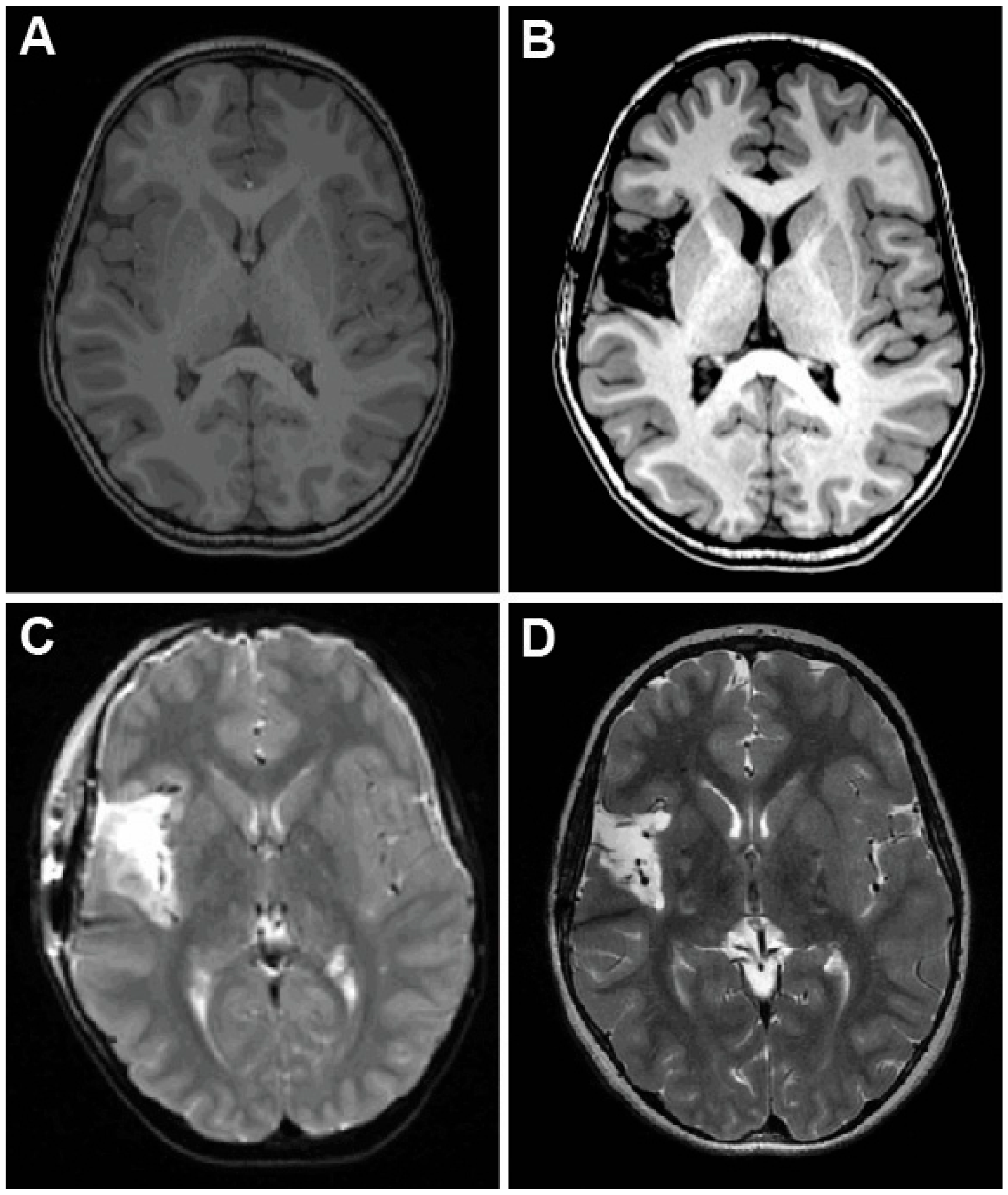
2.1. Case 1—Trans-Sylvian Approach for Insular Focal Cortical Dysplasia
2.2. Case 2—Trans-Opercular Resection for Focal Cortical Dysplasia in the Left Superior Temporal Gyrus and Posterior Insula
2.3. Case 3—Trans-Opercular Approach for Infarct Spanning Left Posterior Insula and Parietal Lobe
2.4. Case 4—Trans-Sylvian Approach for Idiopathic Insular Epilepsy
3. Summary
4. Conclusions
Author Contributions
Funding
Institutional Review Board Statement
Informed Consent Statement
Data Availability Statement
Conflicts of Interest
References
- Laoprasert, P.; Ojemann, J.G.; Handler, M.H. Insular epilepsy surgery. Epilepsia 2017, 58, 35–45. [Google Scholar] [CrossRef] [PubMed]
- Gireesh, E.D.; Lee, K.; Skinner, H.; Seo, J.; Chen, P.-C.; Westerveld, M.; Beegle, R.D.; Castillo, E.; Baumgartner, J. Intracranial EEG and laser interstitial thermal therapy in MRI-negative insular and/or cingulate epilepsy: Case series. J. Neurosurg. 2020, 135, 751–759. [Google Scholar] [CrossRef] [PubMed]
- Jobst, B.C.; Gonzalez-Martinez, J.; Isnard, J.; Kahane, P.; Lacuey, N.; Lahtoo, S.D.; Nguyen, D.K.; Wu, C.; Lado, F. The Insula and Its Epilepsies. Epilepsy Curr. 2019, 19, 11–21. [Google Scholar] [CrossRef] [PubMed]
- Feys, O.; Goldman, S.; Lolli, V.; Depondt, C.; Legros, B.; Gaspard, N.; Schuind, S.; De Tiège, X.; Rikir, E. Diagnostic and therapeutic approaches in refractory insular epilepsy. Epilepsia 2023, 64, 1409–1423. [Google Scholar] [CrossRef] [PubMed]
- Silfvenius, H.; Gloor, P.; Rasmussen, T. Evaluation of Insular Ablation in Surgical Treatment of Temporal Lobe Epilepsy. Epilepsia 1964, 5, 307–320. [Google Scholar] [CrossRef] [PubMed]
- Isnard, J.; Guénot, M.; Sindou, M.; Mauguière, F. Clinical Manifestations of Insular Lobe Seizures: A Stereo-electroencephalographic Study. Epilepsia 2004, 45, 1079–1090. [Google Scholar] [CrossRef]
- Obaid, S.; Chen, J.; Ibrahim, G.M.; Bouthillier, A.; Dimentberg, E.; Surbeck, W.; Guadagno, E.; Brunette-Clément, T.; Shlobin, N.A.; Shulkin, A.; et al. Predictors of outcomes after surgery for medically intractable insular epilepsy: A systematic review and individual participant data meta-analysis. Epilepsia Open 2022, 8, 12–31. [Google Scholar] [CrossRef]
- Finet, P.; Nguyen, D.K.; Bouthillier, A. Vascular consequences of operculoinsular corticectomy for refractory epilepsy. J. Neurosurg. 2015, 122, 1293–1298. [Google Scholar] [CrossRef]
- Hale, A.T.; Sen, S.; Haider, A.S.; Perkins, F.F.; Clarke, D.F.; Lee, M.R.; Tomycz, L.D. Open Resection versus Laser Interstitial Thermal Therapy for the Treatment of Pediatric Insular Epilepsy. Neurosurgery 2019, 85, E730–E736. [Google Scholar] [CrossRef]
- Tanriover, N.; Rhoton, A.L.; Kawashima, M.; Ulm, A.J.; Yasuda, A. Microsurgical anatomy of the insula and the sylvian fissure. J. Neurosurg. 2004, 100, 891–922. [Google Scholar] [CrossRef]
- Türe, U.; Yaşargil, D.C.H.; Al-Mefty, O.; Yaşargil, M.G. Topographic anatomy of the insular region. J. Neurosurg. 1999, 90, 720–733. [Google Scholar] [CrossRef] [PubMed]
- von Lehe, M.; Parpaley, Y. Insular Cortex Surgery for the Treatment of Refractory Epilepsy. J. Clin. Neurophysiol. 2017, 34, 333. [Google Scholar] [CrossRef] [PubMed]
- Bykanov, A.; Pitskhelauri, D.; Dobrovol’skiy, G.; Shkarubo, M. Surgical anatomy of the insular cortex. Zh. Vopr. Neirokhir. Im. N. N. Burdenko 2015, 79, 48–60. [Google Scholar] [CrossRef]
- Türe, U.; Yaşargil, M.G.; Al-Mefty, O.; Yaşargil, D.C.H. Arteries of the insula. J. Neurosurg. 2000, 92, 676–687. [Google Scholar] [CrossRef]
- Kumabe, T.; Higano, S.; Takahashi, S.; Tominaga, T. Ischemic complications associated with resection of opercular glioma. J. Neurosurg. 2007, 106, 263–269. [Google Scholar] [CrossRef]
- Bouthellier, A.; Chabardes, S.; Cossu, M.; Gonzalez-Martinez, J. Chapter 22—Insular Epilepsy Surgery: Surgical Techniques and Experience of Various Centers. In Insular Epilepsies; Nguyen, D., Isnard, J., Kahane, P., Eds.; Cambridge University Press: Cambridge, UK, 2022; pp. 257–265. [Google Scholar] [CrossRef]
- Girvin, J.P. Corticectomy. In Operative Techniques in Epilepsy; Girvin, J.P., Ed.; Springer International Publishing: Cham, Switzerland, 2015; pp. 107–123. [Google Scholar] [CrossRef]
- Kudr, M.; Janca, R.; Jahodova, A.; Belohlavkova, A.; Ebel, M.; Bukacova, K.; Maulisova, A.; Tichy, M.; Liby, P.; Kyncl, M.; et al. Epilepsy surgery in children with operculoinsular epilepsy: Results of a large unicentric cohort. Epilepsia 2024, in press. [Google Scholar] [CrossRef]
- Bouthillier, A.; Weil, A.G.; Martineau, L.; Létourneau-Guillon, L.; Nguyen, D.K. Operculoinsular cortectomy for refractory epilepsy. Part 2: Is it safe? J. Neurosurg. 2019, 133, 960–970. [Google Scholar] [CrossRef] [PubMed]
- Chen, H.; Dugan, P.; Chong, D.J.; Liu, A.; Doyle, W.; Friedman, D. Application of RNS in refractory epilepsy: Targeting insula. Epilepsia Open 2017, 2, 345–349. [Google Scholar] [CrossRef]
- Solanki, C.; Williams, J.; Andrews, C.; Fayed, I.; Wu, C. Insula in epilepsy—“Untying the gordian knot”: A systematic review. Seizure Eur. J. Epilepsy 2023, 106, 148–161. [Google Scholar] [CrossRef]
- Luat, A.F.; Asano, E.; Juhász, C.; Chandana, S.R.; Shah, A.; Sood, S.; Chugani, H.T. Relationship Between Brain Glucose Metabolism Positron Emission Tomography (PET) and Electroencephalography (EEG) in Children With Continuous Spike-and-Wave Activity During Slow-Wave Sleep. J. Child. Neurol. 2005, 20, 682–690. [Google Scholar] [CrossRef]
- De Tiège, X.; Goldman, S.; Laureys, S.; Verheulpen, D.; Chiron, C.; Wetzburger, C.; Paquier, P.; Chaigne, D.; Poznanski, N.; Jambaqué, I.; et al. Regional cerebral glucosemetabolism in epilepsies with continuous spikes and waves during sleep. Neurology 2004, 63, 853–857. [Google Scholar] [CrossRef] [PubMed]
- Baumgartner, M.E.; Kessler, S.; Franco, A.J.; Tomlinson, S.B.; Kennedy, B.C. Transorbital intraoperative electrocorticography-guided surgical resection for medically refractory developmental epileptic encephalopathy with spike-wave activation in sleep. Epilepsy Behav. Rep. 2024, 28, 100712. [Google Scholar] [CrossRef]
- van den Munckhof, B.; van Dee, V.; Sagi, L.; Caraballo, R.H.; Veggiotti, P.; Liukkonen, E.; Loddenkemper, T.; Fernández, I.S.; Buzatu, M.; Bulteau, C.; et al. Treatment of electrical status epilepticus in sleep: A pooled analysis of 575 cases. Epilepsia 2015, 56, 1738–1746. [Google Scholar] [CrossRef] [PubMed]






Disclaimer/Publisher’s Note: The statements, opinions and data contained in all publications are solely those of the individual author(s) and contributor(s) and not of MDPI and/or the editor(s). MDPI and/or the editor(s) disclaim responsibility for any injury to people or property resulting from any ideas, methods, instructions or products referred to in the content. |
© 2025 by the authors. Licensee MDPI, Basel, Switzerland. This article is an open access article distributed under the terms and conditions of the Creative Commons Attribution (CC BY) license (https://creativecommons.org/licenses/by/4.0/).
Share and Cite
Baumgartner, M.E.; Tomlinson, S.B.; Galligan, K.; Kennedy, B.C. Motor Outcome After Posterior Insular Resection for Pediatric Epilepsy. Brain Sci. 2025, 15, 177. https://doi.org/10.3390/brainsci15020177
Baumgartner ME, Tomlinson SB, Galligan K, Kennedy BC. Motor Outcome After Posterior Insular Resection for Pediatric Epilepsy. Brain Sciences. 2025; 15(2):177. https://doi.org/10.3390/brainsci15020177
Chicago/Turabian StyleBaumgartner, Michael E., Samuel B. Tomlinson, Kathleen Galligan, and Benjamin C. Kennedy. 2025. "Motor Outcome After Posterior Insular Resection for Pediatric Epilepsy" Brain Sciences 15, no. 2: 177. https://doi.org/10.3390/brainsci15020177
APA StyleBaumgartner, M. E., Tomlinson, S. B., Galligan, K., & Kennedy, B. C. (2025). Motor Outcome After Posterior Insular Resection for Pediatric Epilepsy. Brain Sciences, 15(2), 177. https://doi.org/10.3390/brainsci15020177

