Gruppo Otologico’s Experience in Managing the So-Called Inoperable Tympanojugular Paraganglioma
Abstract
1. Introduction
2. Material and Methods
3. Intraoperative Preparation
4. Postoperative Care
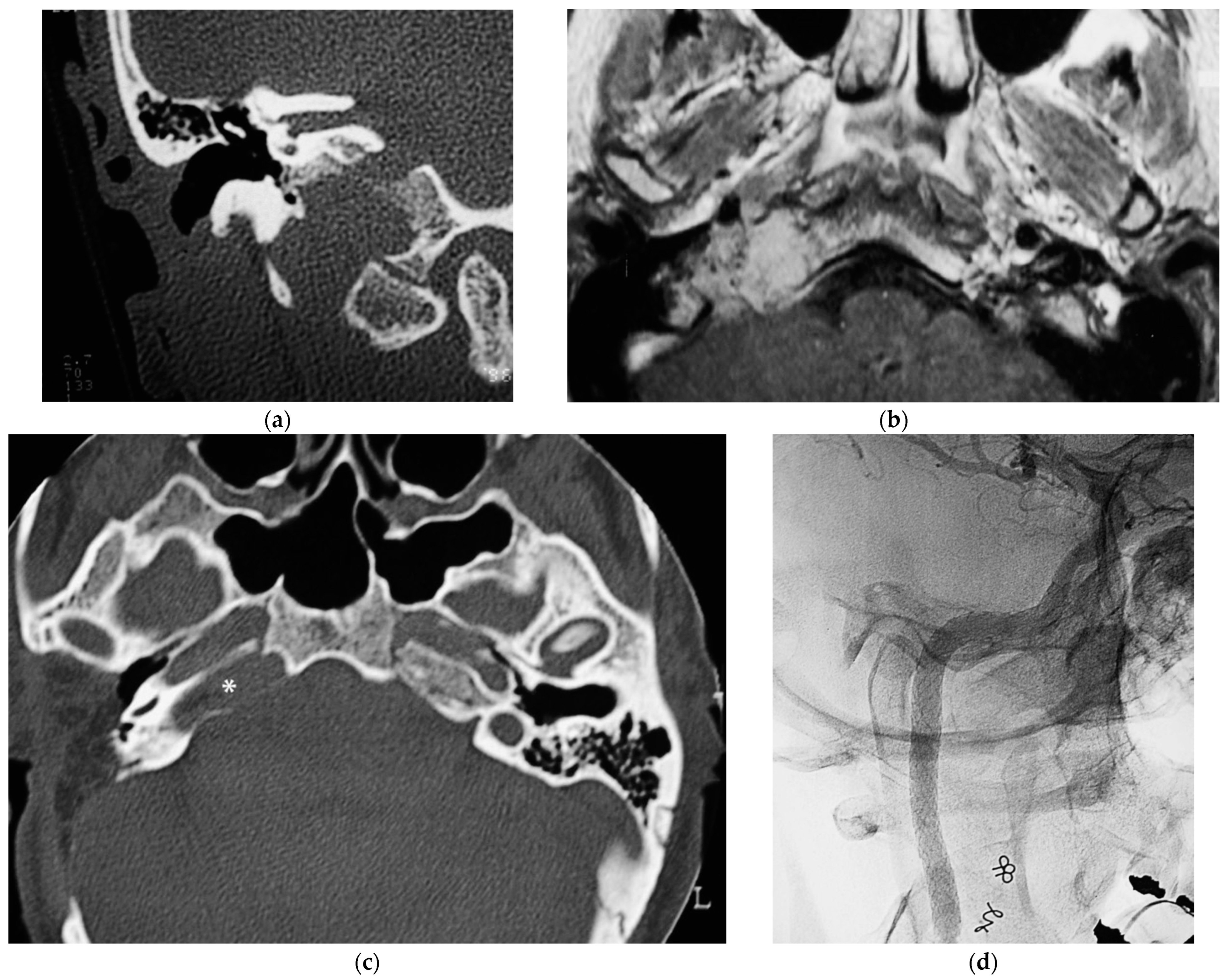
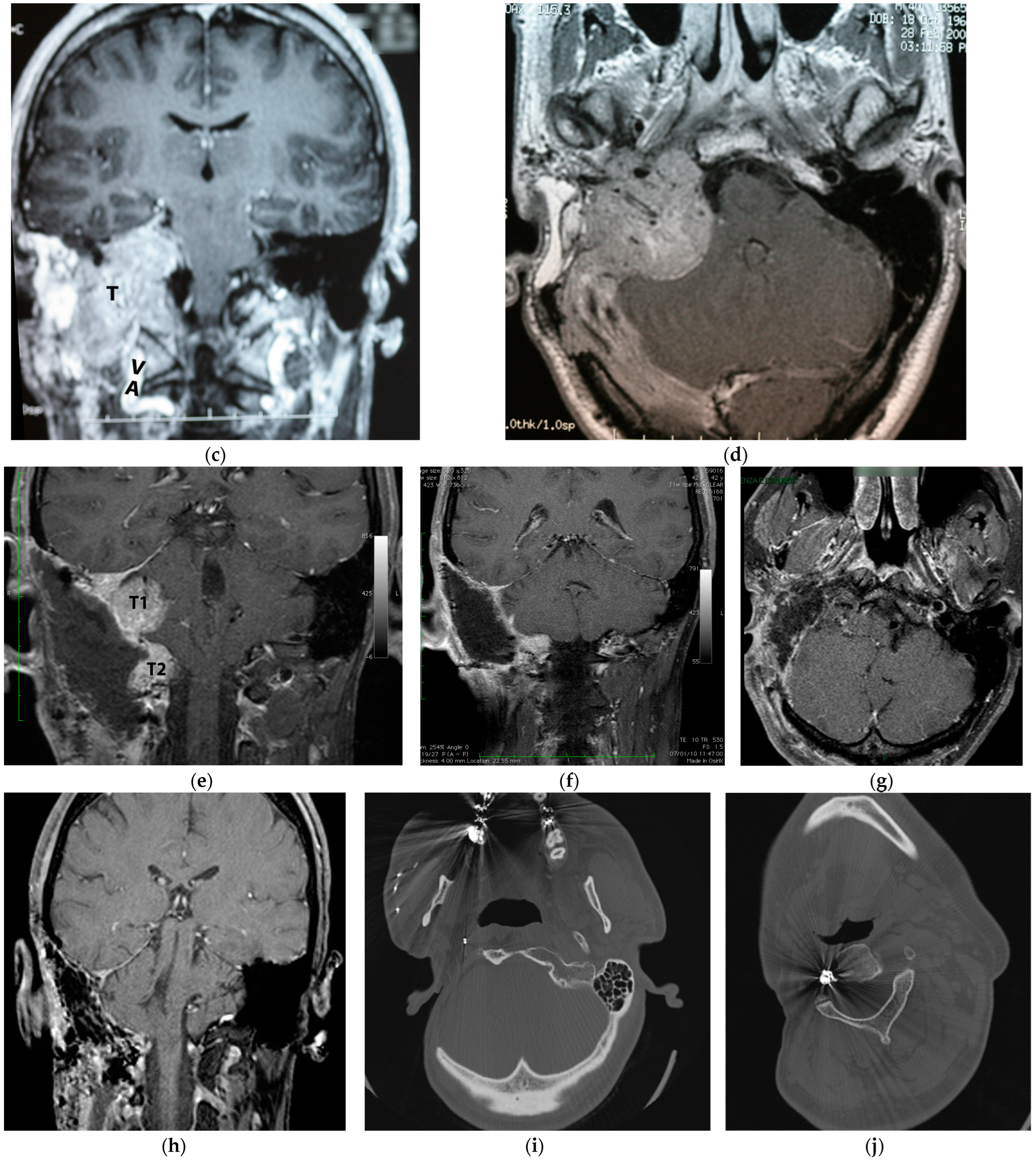
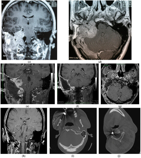
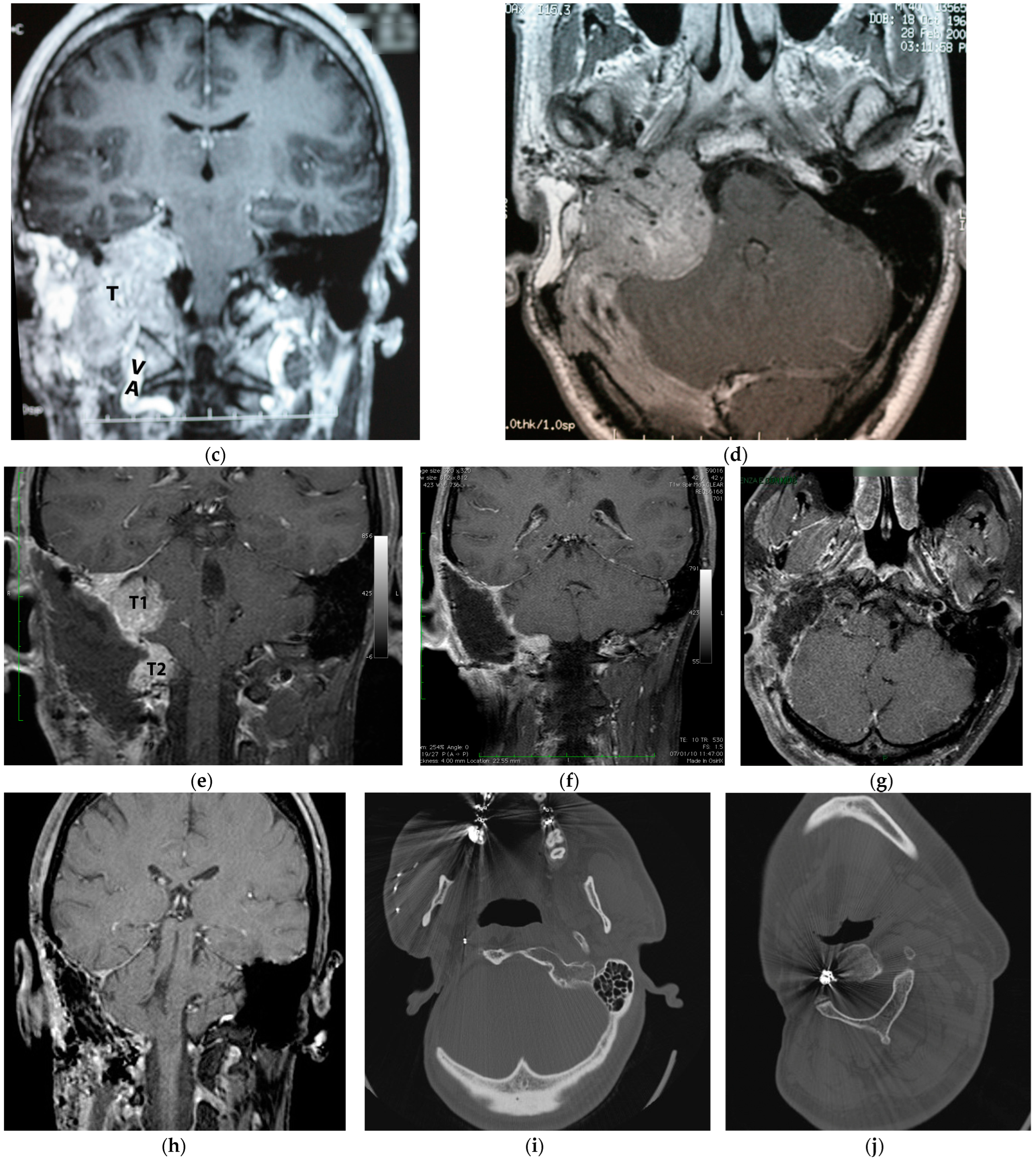
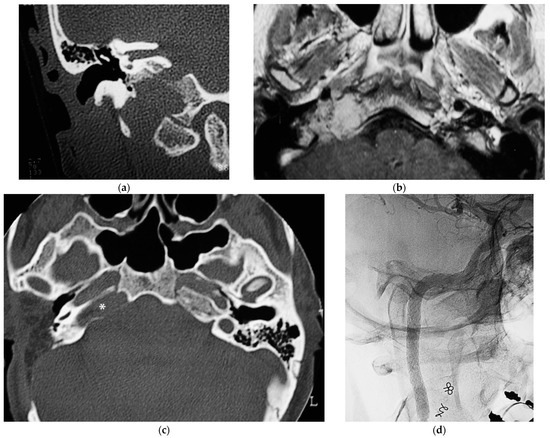
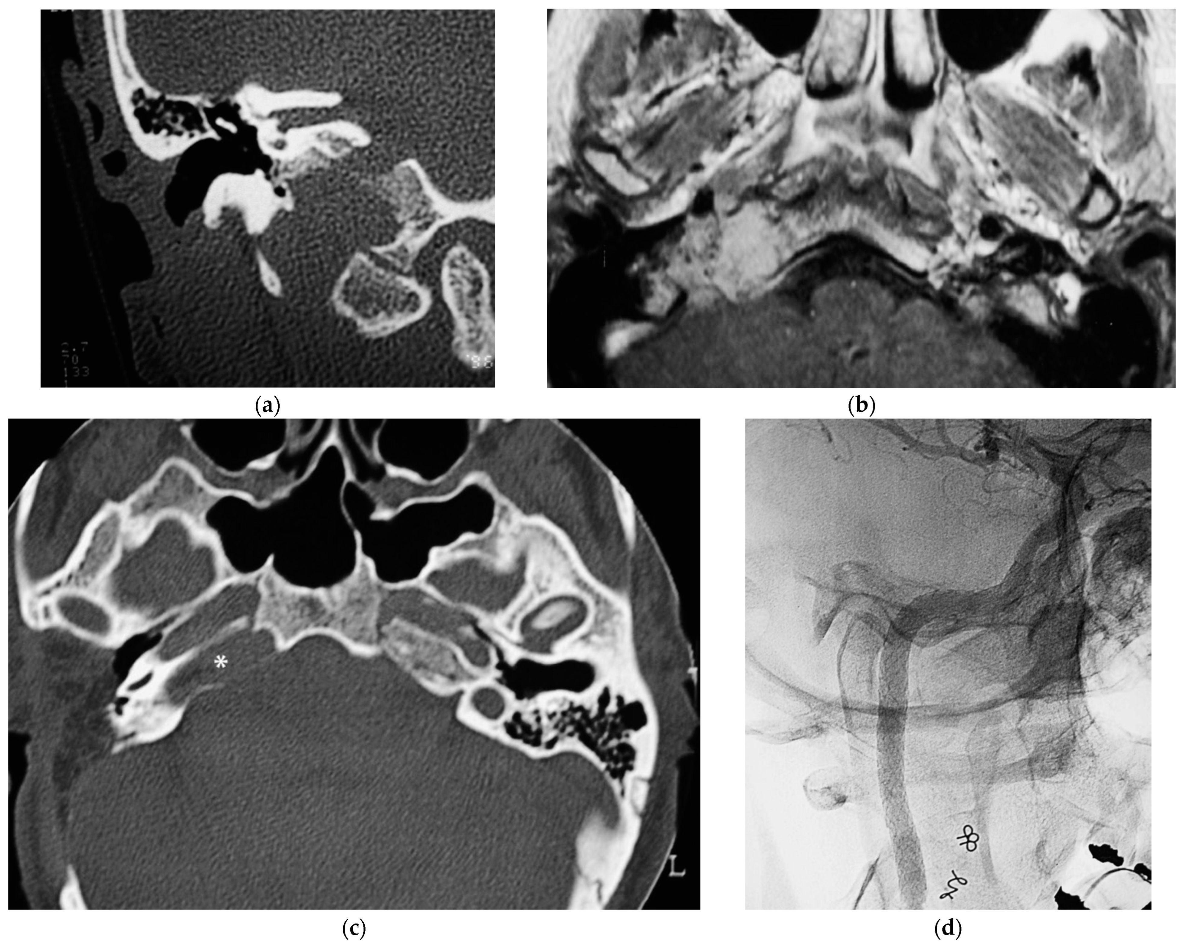
5. Clinical Cases with Illustrations
5.1. Case 1: (C4Di2)
5.2. Case 2: (C3Di1 + Stage I VP)
5.3. Case 3: (C4Di2Vi)
5.4. Case 4: (C3Di2 + Stage II Vagal PGL)
5.5. Case 5: (C3Di2Vi)
5.6. Case 6: (C4Di2Vi)
6. Results
| Patient Demographics, PGL Classification, Type of Surgery, and Postoperative Complications | |||||||||||
|---|---|---|---|---|---|---|---|---|---|---|---|
| Patient | Age at Surgery (y) | Sex | Side | Pre-op. CN Deficits | Class of Tumor | Other Surgeries/ Treatments | Embolization or Stenting | Surgical Approach | New CN Deficits | Tumor Resection | Follow-Up (m) |
| 1 | 25 | M | L | IX, X, XI, and XII | C4Di2 | 3 | Stent of left ICA + PBO |
| - | Total | 224 |
| 2 | 40 | M | R | IX, X, XI, and XII | C3Di1 + vagal | 1 surgery for CB PGL (left side) | Left ICA closed in another surgery and embolization involving stent of right ICA |
| - | Total | 95 |
| 3 | 32 | F | R | VI | C4Di2Vi | - | Absence of contralateral compensation and embolization involving stent of right-ICA |
| IX, X, and XII | Total | 336 |
| 4 | 53 | F | L | X and XII | C3Di2 + vagal | - | Embolization |
| XI | Total | 38 |
| 5 | 53 | M | R | X, XI, and XII | C3Di2Vi | Radiation therapy | Embolization |
| IX | Total | 35 |
| 6 | 41 | M | R | XII | C4Di2Vi | 1 surgery in 2002 | Embolization |
| IX, X, and XI | Residual gamma knife (stable) | 145 |
7. Discussion
8. Conclusions
Supplementary Materials
Author Contributions
Funding
Institutional Review Board Statement
Informed Consent Statement
Data Availability Statement
Conflicts of Interest
References
- Sanna, M.; Piazza, P.; Shin, S.H.; Flanagan, S.; Mancini, F. Microsurgery of Skull Base Paraganglioma; Thieme: Stuttgart, Germany, 2013. [Google Scholar]
- Fisch, U.; Fagan, P.; Valavanis, A. The infratemporal fossa approach for the lateral skull base. Otolaryngol. Clin. North Am. 1984, 17, 513–552. [Google Scholar] [CrossRef] [PubMed]
- Green, J.D., Jr.; Brackmann, D.E.; Nguyen, C.D.; Arriaga, M.A.; Telischi, F.F.; De la Cruz, A. Surgical management of previously untreated glomus jugulare tumors. Laryngoscope 1994, 104, 917–921. [Google Scholar]
- Woods, C.I.; Strasnick, B.; Jackson, C.G. Surgery for glomus tumors: The Otology Group experience. Laryngoscope 1993, 103, 65–70. [Google Scholar] [CrossRef] [PubMed]
- Al-Mefty, O.; Teixeira, A. Complex tumors of the glomus jugulare: Criteria, treatment, and outcome. J. Neurosurg. 2002, 97, 1356–1366. [Google Scholar] [CrossRef] [PubMed]
- Sanna, M.; Shin, S.H.; De Donato, G.; Sivalingam, S.; Lauda, L.; Vitullo, F.; Piazza, P. Management of complex tympanojugular paragangliomas including endovascular intervention. Laryngoscope 2011, 121, 1372–1382. [Google Scholar] [CrossRef] [PubMed]
- Brown, J.S. Glomus jugulare tumors revisited: A ten-year statistical follow up of 231 cases. Laryngoscope 1985, 95, 284–288. [Google Scholar] [CrossRef]
- Jackson, C.G.; Glasscock, M.E., III; McKennan, K.X.; Koopmann, C.F., Jr.; Levine, S.C.; Hays, J.W.; Smith, H.P. The surgical treatment of skull-base tumors with intracranial extension. Otolaryngol. Head Neck Surg. 1987, 96, 175–185. [Google Scholar] [CrossRef]
- Spector, G.J.; Sobol, S. Surgery for glomus tumors at the skull base. Otolaryngol. Head Neck Surg. 1980, 88, 524–530. [Google Scholar] [CrossRef] [PubMed]
- Patel, S.J.; Sekhar, L.N.; Cass, S.P.; Hirsch, B.E. Combined approaches for resection of extensive glomus jugulare tumors. A review of 12 cases. J. Neurosurg. 1994, 80, 1026–1038. [Google Scholar] [CrossRef]
- Anand, V.K.; Leonetti, J.P.; Al-Mefty, O. Neurovascular considerations in surgery of glomus tumors with intracranial extensions. Laryngoscope 1993, 103, 722–728. [Google Scholar] [CrossRef]
- Bulsara, K.R.; Al-Mefty, O. Skull base surgery for benign skull base tumors. J. Neurooncol. 2004, 69, 181–189. [Google Scholar] [CrossRef] [PubMed]
- Sanna, M.; Piazza, P.; De Donato, G.; Menozzi, R.; Falcioni, M. Combined endovascular-surgical management of the internal carotid artery in complex tympanojugular paragangliomas. Skull Base 2009, 19, 26–42. [Google Scholar] [CrossRef] [PubMed]
- Fisch, U.; Mattox, D. Microsurgery of the Skull Base; Georg Thieme Verlag: Stuttgart, Germany, 1988. [Google Scholar]
- Sanna, M.; Saleh, E.; Khrais, T.; Mancini, F.; Piazza, P.; Russo, A. Atlas of Microsurgery of the Lateral Skull Base; Georg Thieme Verlag: Stuttgart, Germany, 2008. [Google Scholar]
- Sivalingam, S.; Konishi, M.; Shin, S.H.; Lope Ahmed, R.A.; Piazza, P.; Sanna, M. Surgical management of tympanojugular paragangliomas with intradural extension, with a proposed revision of the Fisch classification. Audiol. Neurotol. 2012, 17, 243–255. [Google Scholar] [CrossRef] [PubMed]
- House, J.W.; Brackmann, D.E. Facial nerve grading system. Otolaryngol. Head Neck Surg. 1985, 93, 146–147. [Google Scholar] [CrossRef] [PubMed]
- Piras, G.; Grinblat, G.; Lauda, L.; Caruso, A.; Mardighian, D.; Sanna, M. Long term outcomes of stenting of a single internal carotid artery in complex head and neck paragangliomas. Clin. Med. 2023, 9, 1–5. [Google Scholar] [CrossRef]
- Jackson, C.G.; Haynes, D.S.; Walker, P.A.; Glasscock, M.E., III; Storper, I.S.; Josey, A.F. Hearing conservation in surgery for glomus jugulare tumors. Am. J. Otol. 1996, 17, 425–437. [Google Scholar] [PubMed]
- Dharnipragada, R.; Butterfield, J.T.; Dhawan, S.; Adams, M.E.; Venteicher, A.S. Modern management of complex tympanojugular paragangliomas: Systematic review and meta-analysis. World Neurosurg. 2023, 170, 149–156. [Google Scholar] [CrossRef]
- Fancello, G.; Fancello, V.; Ehsani, D.; Porpiglia, V.; Piras, G.; Caruso, A.; Sanna, M. Tumor progression in tympanojugular paragangliomas: The role of radiotherapy and wait and scan. Eur. Arch. Oto-Rhino-Laryngol. 2024, 281, 2779–2789. [Google Scholar] [CrossRef] [PubMed]
- Ishak, C.; Danda, V. Jugular foramen paragangliomas: Preoperative transcatheter particle embolization. J. Cerebrovasc. Endovasc. Neurosurg. 2020, 22, 273–281. [Google Scholar] [CrossRef] [PubMed]
- Saringer, W.; Kitz, K.; Czerny, C.; Kornfehl, J.; Gstöttner, W.; Matula, C.; Knosp, E. Paragangliomas of the temporal bone: Results of different treatment modalities in 53 patients. Acta Neurochir. 2002, 144, 1255–1264. [Google Scholar] [CrossRef]
- Boedeker, C.C. Paragangliomas and paragangliomas syndromes. GMS Curr. Top. Otorhinolaryngol-Head. Neck Surg. 2011, 10, 1–26. [Google Scholar]
- Karaman, E.; Isildak, H.; Yilmaz, M.; Edizer, D.T.; Ibrahimov, M.; Cansiz, H.; Nazim, K.; Ozgun, E. Management of paragangliomas in otolaryngology practice: Review of a 7-year experience. J. Craniofac. Surg. 2009, 20, 1294–1297. [Google Scholar] [CrossRef] [PubMed]
- Makiese, O.; Chibbaro, S.; Marsella, M.; Tran Ba Huy, P.; George, B. Jugular foramen paragangliomas: Management, outcome and avoidance of complications in a series of 75 cases. Neurosurg. Rev. 2012, 35, 185–194; discussion 194. [Google Scholar] [CrossRef] [PubMed]
- Liscak, R.; Urgosik, D.; Chytka, T.; Simonova, G.; Novotny, J., Jr.; Vymazal, J.; Guseynova, K.; Vladyka, V. Leksell Gamma Knife radiosurgery of the jugulotympanic glomus tumor: Long-term results. J. Neurosurg. 2014, 121, 198–202. [Google Scholar] [CrossRef] [PubMed]
- Farrior, J.B. Infratemporal approach to skull base for glomus tumors: Anatomic considerations. Ann. Otol. Rhinol. Laryngol. 1984, 93 Pt 1, 616–622. [Google Scholar] [CrossRef] [PubMed]
- Fisch, U. Infratemporal fossa approach for glomus tumors of the temporal bone. Ann. Otol. Rhinol. Laryngol. 1982, 91 Pt 1, 474–479. [Google Scholar] [CrossRef] [PubMed]
- Makek, M.; Franklin, D.J.; Zhao, J.C.; Fisch, U. Neural infiltration of glomus temporale tumors. Am. J. Otol. 1990, 11, 1–5. [Google Scholar]
- Al Mefty, O.; Fox, J.L.; Rifai, A.; Smith, R.R. A combined infratemporal and posterior fossa approach for the removal of giant glomus tumors and chondrosarcomas. Surg. Neurol. 1987, 28, 423–431. [Google Scholar] [CrossRef] [PubMed]
- Gottfried, O.N.; Liu, J.K.; Couldwell, W.T. Comparison of radiosurgery and conventional surgery for the treatment of glomus jugulare tumors. Neurosurg. Focus 2004, 17, 22–30. [Google Scholar] [CrossRef] [PubMed]
- Whitfield, P.C.; Grey, P.; Hardy, D.G.; Moffat, D.A. The surgical management of patients with glomus tumours of the skull base. Br. J. Neurosurg. 1996, 10, 343–350. [Google Scholar] [CrossRef]
- Mazzoni, A.; Sanna, M. A posterolateral approach to the skull base: The petro-occipital trans sigmoid approach. Skull Base Surg. 1995, 5, 157–167. [Google Scholar] [CrossRef] [PubMed]
- Liu, J.K.; Sameshima, T.; Gottfried, O.N.; Couldwell, W.T.; Fukushima, T. The combined transmastoid retro-and infralabyrinthine transjugular transcondylar transtubercular high cervical approach for resection of glomus jugulare tumors. Oper. Neurosurg. 2006, 59, ONS115-25. [Google Scholar] [CrossRef] [PubMed]
- Witiak, D.G.; Pensak, M.L. Limitations to mobilizing the intrapetrous carotid artery. Ann. Otol. Rhinol. Laryngol. 2002, 111, 343–348. [Google Scholar] [CrossRef] [PubMed]
- Jackson, C.G.; McGrew, B.M.; Forest, J.A.; Netterville, J.L.; Hampf, C.F.; Glasscock, M.E. III. Lateral skull base surgery for glomus tumors: Long-term control. Otol. Neurotol. 2001, 22, 377–382. [Google Scholar] [CrossRef]
- Zanoletti, E.; Mazzoni, A. Vagal paraganglioma. Skull Base 2006, 16, 161–167. [Google Scholar] [CrossRef]
- Moe, K.S.; Li, D.; Linder, T.E.; Schmid, S.; Fisch, U. An update on the surgical treatment of temporal bone paraganglioma. Skull Base Surg. 1999, 9, 185–194. [Google Scholar] [CrossRef] [PubMed]
- Pareschi, R.; Righini, S.; Destito, D.; Raucci, A.F.; Colombo, S. Surgery of glomus jugulare tumors. Skull Base 2003, 13, 149–157. [Google Scholar] [CrossRef]
- Gejrot, T. Surgical treatment of glomus jugulare tumours with special reference to the diagnostic value of retrograde jugularography. Acta Otolaryngol. 1965, 60, 150–168. [Google Scholar] [CrossRef]








| Class C | Tumors extending beyond the tympano-mastoid cavity, destroying the bone of the infra-labyrinthine and apical compartment of the temporal bone and involving the carotid canal | |
| C1 | Tumors with limited involvement of the vertical portion of the carotid canal | |
| C2 | Tumors invading the vertical portion of the carotid canal | |
| C3 | Tumors with invasions of the horizontal portion of the carotid canal | |
| C4 | Tumors reaching the anterior foramen lacerum | |
| Class D | Tumors with intracranial extension | |
| Di1 | Tumors with up to 2 cm of intradural extension | |
| Di2 | Tumors with more than 2 cm of intradural extension | |
| Di3 | Tumors with an inoperable intradural extension | |
| Class V | Tumors involving the VA | |
| Ve | Tumors involving the extradural VA | |
| Vi | Tumors involving the intradural VA | |
| Symptoms and Signs | No. of Patients (%) |
|---|---|
| Hearing loss | 4 (66.6) |
| Pulsating tinnitus | 4 (66.6) |
| Vertigo | 2 (33.3) |
| Dysphonia | 4 (66.6) |
| Dysphagia | 4 (66.6) |
| Glossal atrophy | 5 (83.3) |
| Shoulder weakness | 3 (50) |
| Diplopia | 1 (16.6) |
| Preoperative, Immediate Postoperative, and Final Facial Nerve Function According to House–Brackmann Scale | |||
|---|---|---|---|
| Patient | Preoperative (HB) * | Immediately Postoperative (HB) | At Last Follow-Up (HB) |
| 1 | III | VI | IV |
| 2 | I | VI | III |
| 3 | I | VI | I |
| 4 | I | VI | III |
| 5 | I | VI | III |
| 6 | IV | VI | III (after V–VII anastomosis) |
Disclaimer/Publisher’s Note: The statements, opinions and data contained in all publications are solely those of the individual author(s) and contributor(s) and not of MDPI and/or the editor(s). MDPI and/or the editor(s) disclaim responsibility for any injury to people or property resulting from any ideas, methods, instructions or products referred to in the content. |
© 2024 by the authors. Licensee MDPI, Basel, Switzerland. This article is an open access article distributed under the terms and conditions of the Creative Commons Attribution (CC BY) license (https://creativecommons.org/licenses/by/4.0/).
Share and Cite
Sanna, M.; Al-Khateeb, M.; Yilala, M.H.; Almashhadani, M.; Fancello, G. Gruppo Otologico’s Experience in Managing the So-Called Inoperable Tympanojugular Paraganglioma. Brain Sci. 2024, 14, 745. https://doi.org/10.3390/brainsci14080745
Sanna M, Al-Khateeb M, Yilala MH, Almashhadani M, Fancello G. Gruppo Otologico’s Experience in Managing the So-Called Inoperable Tympanojugular Paraganglioma. Brain Sciences. 2024; 14(8):745. https://doi.org/10.3390/brainsci14080745
Chicago/Turabian StyleSanna, Mario, Mohammed Al-Khateeb, Melcol Hailu Yilala, Mohanad Almashhadani, and Giuseppe Fancello. 2024. "Gruppo Otologico’s Experience in Managing the So-Called Inoperable Tympanojugular Paraganglioma" Brain Sciences 14, no. 8: 745. https://doi.org/10.3390/brainsci14080745
APA StyleSanna, M., Al-Khateeb, M., Yilala, M. H., Almashhadani, M., & Fancello, G. (2024). Gruppo Otologico’s Experience in Managing the So-Called Inoperable Tympanojugular Paraganglioma. Brain Sciences, 14(8), 745. https://doi.org/10.3390/brainsci14080745

