Assessing the Relationship of Brain Metabolites to Cortical Thickness and Dementia Symptoms in Adults with Down Syndrome: A Pilot Study
Abstract
1. Introduction
2. Materials and Methods
2.1. Participants
2.2. Behavioral Testing
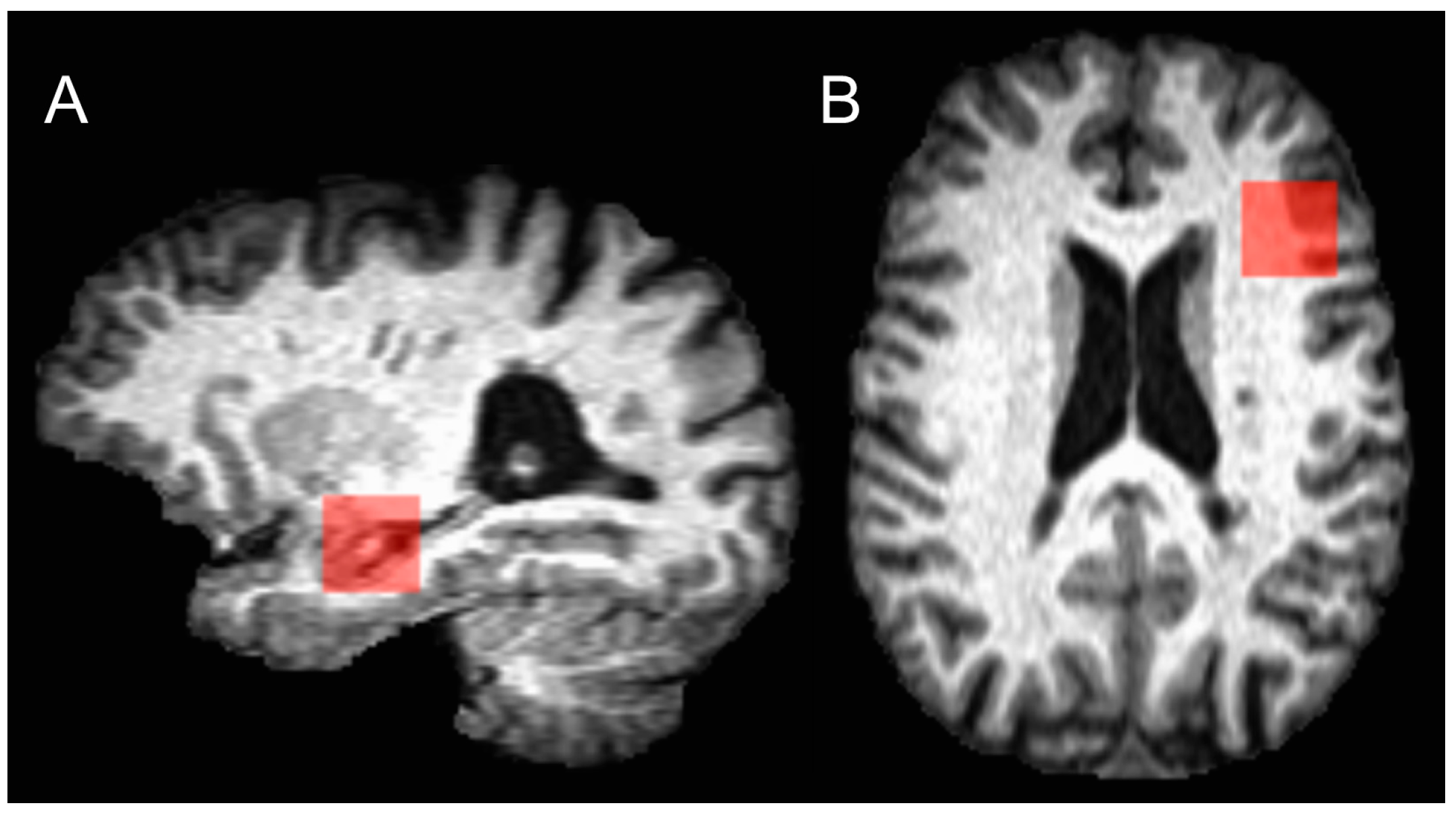
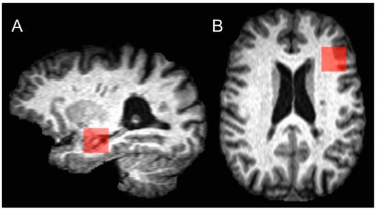
2.3. MRI Acquisition and Analysis
2.4. Statistical Analysis
3. Results
3.1. Participants
3.2. Behavioral Measures
3.3. MRS Measures
3.4. Anatomical Measures
4. Discussion
Author Contributions
Funding
Institutional Review Board Statement
Informed Consent Statement
Data Availability Statement
Conflicts of Interest
References
- Mori, C.; Spooner, E.T.; Wisniewsk, K.E.; Wisniewski, T.M.; Yamaguch, H.; Saido, T.C.; Tolan, D.R.; Selkoe, D.J.; Lemere, C.A. Intraneuronal Abeta42 accumulation in Down syndrome brain. Amyloid 2002, 9, 88–102. [Google Scholar] [CrossRef] [PubMed]
- Lott, I.T.; Head, E. Dementia in Down syndrome: Unique insights for Alzheimer disease research. Nat. Rev. Neurol. 2019, 15, 135–147. [Google Scholar] [CrossRef]
- Lemere, C.A.; Blusztajn, J.K.; Yamaguchi, H.; Wisniewski, T.; Saido, T.C.; Selkoe, D.J. Sequence of deposition of heterogeneous amyloid beta-peptides and APO E in Down syndrome: Implications for initial events in amyloid plaque formation. Neurobiol. Dis. 1996, 3, 16–32. [Google Scholar] [CrossRef]
- Rafii, M.S.; Lukic, A.S.; Andrews, R.D.; Brewer, J.; Rissman, R.A.; Strother, S.C.; Wernick, M.N.; Pennington, C.; Mobley, W.C.; Ness, S.; et al. PET Imaging of Tau Pathology and Relationship to Amyloid, Longitudinal MRI, and Cognitive Change in Down Syndrome: Results from the Down Syndrome Biomarker Initiative (DSBI). J. Alzheimers Dis. 2017, 60, 439–450. [Google Scholar] [CrossRef] [PubMed]
- Sullivan, K.D.; Evans, D.; Pandey, A.; Hraha, T.H.; Smith, K.P.; Markham, N.; Rachubinski, A.L.; Wolter-Warmerdam, K.; Hickey, F.; Espinosa, J.M.; et al. Trisomy 21 causes changes in the circulating proteome indicative of chronic autoinflammation. Sci. Rep. 2017, 7, 14818. [Google Scholar] [CrossRef]
- Zhang, Y.; Che, M.; Yuan, J.; Yu, Y.; Cao, C.; Qin, X.Y.; Cheng, Y. Aberrations in circulating inflammatory cytokine levels in patients with Down syndrome: A meta-analysis. Oncotarget 2017, 8, 84489–84496. [Google Scholar] [CrossRef] [PubMed]
- Flores-Aguilar, L.; Iulita, M.F.; Kovecses, O.; Torres, M.D.; Levi, S.M.; Zhang, Y.; Askenazi, M.; Wisniewski, T.; Busciglio, J.; Cuello, A.C. Evolution of neuroinflammation across the lifespan of individuals with Down syndrome. Brain 2020, 143, 3653–3671. [Google Scholar] [CrossRef] [PubMed]
- Weber, G.E.; Koenig, K.A.; Khrestian, M.; Shao, Y.; Tuason, E.D.; Gramm, M.; Lal, D.; Leverenz, J.B.; Bekris, L.M. An Altered Relationship between Soluble TREM2 and Inflammatory Markers in Young Adults with Down Syndrome: A Preliminary Report. J. Immunol. 2020, 204, 1111–1118. [Google Scholar] [CrossRef]
- Heneka, M.T.; Carson, M.J.; El Khoury, J.; Landreth, G.E.; Brosseron, F.; Feinstein, D.L.; Jacobs, A.H.; Wyss-Coray, T.; Vitorica, J.; Ransohoff, R.M.; et al. Neuroinflammation in Alzheimer’s disease. Lancet Neurol. 2015, 14, 388–405. [Google Scholar] [CrossRef]
- Serrano-Pozo, A.; Mielke, M.L.; Gómez-Isla, T.; Betensky, R.A.; Growdon, J.H.; Frosch, M.P.; Hyman, B.T. Reactive glia not only associates with plaques but also parallels tangles in Alzheimer’s disease. Am. J. Pathol. 2011, 179, 1373–1384. [Google Scholar] [CrossRef]
- Garcia, O.; Flores-Aguilar, L. Astroglial and microglial pathology in Down syndrome: Focus on Alzheimer’s disease. Front. Cell. Neurosci. 2022, 16, 987212. [Google Scholar] [CrossRef] [PubMed]
- Brand, A.; Richter-Landsberg, C.; Leibfritz, D. Multinuclear NMR studies on the energy metabolism of glial and neuronal cells. Dev. Neurosci. 1993, 15, 289–298. [Google Scholar] [CrossRef] [PubMed]
- Chang, L.; Munsaka, S.M.; Kraft-Terry, S.; Ernst, T. Magnetic resonance spectroscopy to assess neuroinflammation and neuropathic pain. J. Neuroimmune Pharmacol. 2013, 8, 576–593. [Google Scholar] [CrossRef] [PubMed]
- Hattingen, E.; Raab, P.; Franz, K.; Zanella, F.E.; Lanfermann, H.; Pilatus, U. Myo-inositol: A marker of reactive astrogliosis in glial tumors? NMR Biomed. 2008, 21, 233–241. [Google Scholar] [CrossRef]
- Gomez, W.; Morales, R.; Maracaja-Coutinho, V.; Parra, V.; Nassif, M. Down syndrome and Alzheimer’s disease: Common molecular traits beyond the amyloid precursor protein. Aging 2020, 12, 1011–1033. [Google Scholar] [CrossRef]
- Wegiel, J.; Flory, M.; Kuchna, I.; Nowicki, K.; Wegiel, J.; Ma, S.Y.; Zhong, N.; Bobrowicz, T.W.; de Leon, M.; Lai, F.; et al. Developmental deficits and staging of dynamics of age associated Alzheimer’s disease neurodegeneration and neuronal loss in subjects with Down syndrome. Acta Neuropathol. Commun. 2022, 10, 2. [Google Scholar] [CrossRef]
- Bornstein, R.; Gonzalez, B.; Johnson, S.C. Mitochondrial pathways in human health and aging. Mitochondrion 2020, 54, 72–84. [Google Scholar] [CrossRef]
- Urenjak, J.; Williams, S.R.; Gadian, D.G.; Noble, M. Proton nuclear magnetic resonance spectroscopy unambiguously identifies different neural cell types. J. Neurosci. 1993, 13, 981–989. [Google Scholar] [CrossRef] [PubMed]
- Schuff, N.; Meyerhoff, D.J.; Mueller, S.; Chao, L.; Sacrey, D.T.; Laxer, K.; Weiner, M.W. N-Acetylaspartate as a marker of neuronal injury in neurodegenerative disease. In N-Acetylaspartate; A Unique Neuronal Molecule in the Central Nervous System; Springer: Boston, MA, USA, 2006; Volume 576, pp. 241–262; discussion 361–243. [Google Scholar] [CrossRef]
- Moffett, J.R.; Ross, B.; Arun, P.; Madhavarao, C.N.; Namboodiri, A.M. N-Acetylaspartate in the CNS: From neurodiagnostics to neurobiology. Prog. Neurobiol. 2007, 81, 89–131. [Google Scholar] [CrossRef]
- Song, T.; Song, X.; Zhu, C.; Patrick, R.; Skurla, M.; Santangelo, I.; Green, M.; Harper, D.; Ren, B.; Forester, B.P.; et al. Mitochondrial dysfunction, oxidative stress, neuroinflammation, and metabolic alterations in the progression of Alzheimer’s disease: A meta-analysis of in vivo magnetic resonance spectroscopy studies. Ageing Res. Rev. 2021, 72, 101503. [Google Scholar] [CrossRef]
- Lazeyras, F.; Charles, H.C.; Tupler, L.A.; Erickson, R.; Boyko, O.B.; Krishnan, K.R. Metabolic brain mapping in Alzheimer’s disease using proton magnetic resonance spectroscopy. Psychiatry Res. 1998, 82, 95–106. [Google Scholar] [CrossRef] [PubMed]
- Shonk, T.; Ross, B.D. Role of increased cerebral myo-inositol in the dementia of Down syndrome. Magn. Reason. Med. 1995, 33, 858–861. [Google Scholar] [CrossRef] [PubMed]
- Huang, W.; Alexander, G.E.; Daly, E.M.; Shetty, H.U.; Krasuski, J.S.; Rapoport, S.I.; Schapiro, M.B. High brain myo-inositol levels in the predementia phase of Alzheimer’s disease in adults with Down’s syndrome: A 1H MRS study. Am. J. Psychiatry 1999, 156, 1879–1886. [Google Scholar] [CrossRef] [PubMed]
- Beacher, F.; Simmons, A.; Daly, E.; Prasher, V.; Adams, C.; Margallo-Lana, M.L.; Morris, R.; Lovestone, S.; Murphy, K.; Murphy, D.G.M. Hippocampal Myo-inositol and Cognitive Ability in Adults With Down Syndrome: An In Vivo Proton Magnetic Resonance Spectroscopy Study. Arch. Gen. Psychiatry 2005, 62, 1360–1365. [Google Scholar] [CrossRef]
- Lin, A.L.; Powell, D.; Caban-Holt, A.; Jicha, G.; Robertson, W.; Gold, B.T.; Davis, R.; Abner, E.; Wilcock, D.M.; Schmitt, F.A.; et al. 1H-MRS metabolites in adults with Down syndrome: Effects of dementia. NeuroImage Clin. 2016, 11, 728–735. [Google Scholar] [CrossRef]
- Montal, V.; Barroeta, I.; Bejanin, A.; Pegueroles, J.; Carmona-Iragui, M.; Altuna, M.; Benejam, B.; Videla, L.; Fernández, S.; Padilla, C.; et al. Metabolite Signature of Alzheimer’s Disease in Adults with Down Syndrome. Ann. Neurol. 2021, 90, 407–416. [Google Scholar] [CrossRef]
- Lamar, M.; Foy, C.M.L.; Beacher, F.; Daly, E.; Poppe, M.; Archer, N.; Prasher, V.; Murphy, K.C.; Morris, R.G.; Simmons, A.; et al. Down syndrome with and without dementia: An in vivo proton Magnetic Resonance Spectroscopy study with implications for Alzheimer’s disease. NeuroImage 2011, 57, 63–68. [Google Scholar] [CrossRef]
- Carlesimo, G.A.; Marotta, L.; Vicari, S. Long-term memory in mental retardation: Evidence for a specific impairment in subjects with Down’s syndrome. Neuropsychologia 1997, 35, 71–79. [Google Scholar] [CrossRef]
- Pennington, B.F.; Moon, J.; Edgin, J.; Stedron, J.; Nadel, L. The neuropsychology of Down syndrome: Evidence for hippocampal dysfunction. Child Dev. 2003, 74, 75–93. [Google Scholar] [CrossRef]
- Goldman-Rakic, P.S. Cellular and circuit basis of working memory in prefrontal cortex of nonhuman primates. Prog. Brain Res. 1990, 85, 325–335; discussion 335–326. [Google Scholar] [CrossRef]
- Lanfranchi, S.; Jerman, O.; Dal Pont, E.; Alberti, A.; Vianello, R. Executive function in adolescents with Down Syndrome. J. Intellect. Disabil. Res. 2010, 54, 308–319. [Google Scholar] [CrossRef] [PubMed]
- Braak, H.; Braak, E. Morphology of Alzheimer disease. Fortschritte Med. 1990, 108, 621–624. [Google Scholar]
- Pujol, J.; Fenoll, R.; Ribas-Vidal, N.; Martínez-Vilavella, G.; Blanco-Hinojo, L.; García-Alba, J.; Deus, J.; Novell, R.; Esteba-Castillo, S. A longitudinal study of brain anatomy changes preceding dementia in Down syndrome. NeuroImage Clin. 2018, 18, 160–166. [Google Scholar] [CrossRef]
- Padilla, C.; Montal, V.; Walpert, M.J.; Hong, Y.T.; Fryer, T.D.; Coles, J.P.; Aigbirhio, F.I.; Hartley, S.L.; Cohen, A.D.; Tudorascu, D.L.; et al. Cortical atrophy and amyloid and tau deposition in Down syndrome: A longitudinal study. Alzheimer’s Dement. 2022, 14, e12288. [Google Scholar] [CrossRef]
- Mak, E.; Padilla, C.; Annus, T.; Wilson, L.R.; Hong, Y.T.; Fryer, T.D.; Coles, J.P.; Aigbirhio, F.I.; Menon, D.K.; Nestor, P.J.; et al. Delineating the topography of amyloid-associated cortical atrophy in Down syndrome. Neurobiol. Aging 2019, 80, 196–202. [Google Scholar] [CrossRef]
- Krinsky-McHale, S.J.; Zigman, W.B.; Lee, J.H.; Schupf, N.; Pang, D.; Listwan, T.; Kovacs, C.; Silverman, W. Promising outcome measures of early Alzheimer’s dementia in adults with Down syndrome. Alzheimer’s Dement. 2020, 12, e12044. [Google Scholar] [CrossRef]
- Evenhuis, H.M. Further evaluation of the Dementia Questionnaire for Persons with Mental Retardation (DMR). J. Intell. Disabil. Res. 1996, 40, 369–373. [Google Scholar] [CrossRef]
- Benejam, B.; Aranha, M.R.; Videla, L.; Padilla, C.; Valldeneu, S.; Fernández, S.; Altuna, M.; Carmona-Iragui, M.; Barroeta, I.; Iulita, M.F.; et al. Neural correlates of episodic memory in adults with Down syndrome and Alzheimer’s disease. Alzheimer’s Res. Ther. 2022, 14, 123. [Google Scholar] [CrossRef]
- Fortea, J.; Vilaplana, E.; Carmona-Iragui, M.; Benejam, B.; Videla, L.; Barroeta, I.; Fernández, S.; Altuna, M.; Pegueroles, J.; Montal, V.; et al. Clinical and biomarker changes of Alzheimer’s disease in adults with Down syndrome: A cross-sectional study. Lancet 2020, 395, 1988–1997. [Google Scholar] [CrossRef]
- Evenhuis, H.M.; Kengen, M.M.F.; Eurlings, H.A.L. Dementia Questionnaire for People with Intellectual Disabilities, 2nd ed.; Harcourt Assessment B.V.: Amsterdam, The Netherlands, 2006. [Google Scholar]
- Wechsler, D. WAIS-III/WMS-III Technical Manual; The Psychological Corporation: San Antonio, TX, USA, 1997. [Google Scholar]
- Gruetter, R. Automatic, localized in vivo adjustment of all first- and second-order shim coils. Magn. Reson. Med. 1993, 29, 804–811. [Google Scholar] [CrossRef]
- Smith, S.M. Fast robust automated brain extraction. Hum. Brain Mapp. 2002, 17, 143–155. [Google Scholar] [CrossRef] [PubMed]
- Zhang, Y.; Brady, M.; Smith, S. Segmentation of brain MR images through a hidden Markov random field model and the expectation-maximization algorithm. IEEE Trans. Med. Imaging 2001, 20, 45–57. [Google Scholar] [CrossRef] [PubMed]
- Smith, S.M.; Jenkinson, M.; Woolrich, M.W.; Beckmann, C.F.; Behrens, T.E.; Johansen-Berg, H.; Bannister, P.R.; De Luca, M.; Drobnjak, I.; Flitney, D.E.; et al. Advances in functional and structural MR image analysis and implementation as FSL. Neuroimage 2004, 23 (Suppl. 1), S208–S219. [Google Scholar] [CrossRef] [PubMed]
- Deelchand, D. MRSpa: Magnetic Resonance Signal Processing and Analysis. Available online: https://www.cmrr.umn.edu/downloads/mrspa/ (accessed on 1 September 2024).
- Provencher, S.W. Estimation of metabolite concentrations from localized in vivo proton NMR spectra. Magn. Reson. Med. 1993, 30, 672–679. [Google Scholar] [CrossRef] [PubMed]
- Desikan, R.S.; Ségonne, F.; Fischl, B.; Quinn, B.T.; Dickerson, B.C.; Blacker, D.; Buckner, R.L.; Dale, A.M.; Maguire, R.P.; Hyman, B.T.; et al. An automated labeling system for subdividing the human cerebral cortex on MRI scans into gyral based regions of interest. NeuroImage 2006, 31, 968–980. [Google Scholar] [CrossRef]
- Freesurfer. Available online: https://surfer.nmr.mgh.harvard.edu/ (accessed on 15 September 2024).
- Benjamini, Y.; Hochberg, Y. On the Adaptive Control of the False Discovery Rate in Multiple Testing With Independent Statistics. J. Educ. Behav. Stat. 2000, 25, 60–83. [Google Scholar] [CrossRef]
- Faul, F.; Erdfelder, E.; Lang, A.G.; Buchner, A. G*Power 3: A flexible statistical power analysis program for the social, behavioral, and biomedical sciences. Behav. Res. Methods 2007, 39, 175–191. [Google Scholar] [CrossRef]
- Prasher, V.P. Dementia Questionnaire for Persons with Mental Retardation (DMR): Modified Criteria for Adults with Down’s Syndrome. J. Appl. Res. Intellect. Disabil. 1997, 10, 54–60. [Google Scholar] [CrossRef]
- Kantarci, K.; Lowe, V.; Przybelski, S.A.; Senjem, M.L.; Weigand, S.D.; Ivnik, R.J.; Roberts, R.; Geda, Y.E.; Boeve, B.F.; Knopman, D.S.; et al. Magnetic resonance spectroscopy, β-amyloid load, and cognition in a population-based sample of cognitively normal older adults. Neurology 2011, 77, 951–958. [Google Scholar] [CrossRef]
- Tan, G.M.; Beacher, F.; Daly, E.; Horder, J.; Prasher, V.; Hanney, M.L.; Morris, R.; Lovestone, S.; Murphy, K.C.; Simmons, A.; et al. Hippocampal glutamate-glutamine (Glx) in adults with Down syndrome: A preliminary study using in vivo proton magnetic resonance spectroscopy (1H MRS). J. Neurodev. Disord. 2014, 6, 42. [Google Scholar] [CrossRef]
- El Feil, N.S.; Elmahdy, H.S.; Elmahdy, R.A.; Aboelezz, A.A.; Dawoud, H.S.; Al-Beltagi, M. Brain metabolic profile assessed by magnetic resonance spectroscopy in children with Down syndrome: Relation to intelligence quotient. World J. Clin. Pediatr. 2023, 12, 310–318. [Google Scholar] [CrossRef] [PubMed]
- Wallace, E.R.; Harp, J.P.; Van Pelt, K.L.; Koehl, L.M.; Caban-Holt, A.M.; Anderson-Mooney, A.J.; Jicha, G.A.; Lightner, D.D.; Robertson, W.C.; Head, E.; et al. Identifying dementia in Down syndrome with the Severe Impairment Battery, Brief Praxis Test and Dementia Scale for People with Learning Disabilities. J. Intellect. Disabil. Res. 2021, 65, 1085–1096. [Google Scholar] [CrossRef] [PubMed]
- Paiva, A.F.; Nolan, A.; Thumser, C.; Santos, F.H. Screening of Cognitive Changes in Adults with Intellectual Disabilities: A Systematic Review. Brain Sci. 2020, 10, 848. [Google Scholar] [CrossRef] [PubMed]
- Levman, J.; MacDonald, A.; Baumer, N.; MacDonald, P.; Stewart, N.; Lim, A.; Cogger, L.; Shiohama, T.; Takahashi, E. Structural magnetic resonance imaging demonstrates abnormal cortical thickness in Down syndrome: Newborns to young adults. NeuroImage Clin. 2019, 23, 101874. [Google Scholar] [CrossRef]
- Bletsch, A.; Mann, C.; Andrews, D.S.; Daly, E.; Tan, G.M.; Murphy, D.G.; Ecker, C. Down syndrome is accompanied by significantly reduced cortical grey–white matter tissue contrast. Hum. Brain Mapp. 2018, 39, 4043–4054. [Google Scholar] [CrossRef]
- Romano, A.; Cornia, R.; Moraschi, M.; Bozzao, A.; Chiacchiararelli, L.; Coppola, V.; Iani, C.; Stella, G.; Albertini, G.; Pierallini, A. Age-Related Cortical Thickness Reduction in Non-Demented Down’s Syndrome Subjects. J. Neuroimaging 2016, 26, 95–102. [Google Scholar] [CrossRef]
- Annus, T.; Wilson, L.R.; Acosta-Cabronero, J.; Cardenas-Blanco, A.; Hong, Y.T.; Fryer, T.D.; Coles, J.P.; Menon, D.K.; Zaman, S.H.; Holland, A.J.; et al. The Down syndrome brain in the presence and absence of fibrillar β-amyloidosis. Neurobiol. Aging 2017, 53, 11–19. [Google Scholar] [CrossRef]
- Salat, D.H.; Lee, S.Y.; van der Kouwe, A.J.; Greve, D.N.; Fischl, B.; Rosas, H.D. Age-associated alterations in cortical gray and white matter signal intensity and gray to white matter contrast. NeuroImage 2009, 48, 21–28. [Google Scholar] [CrossRef]
- Morcillo-Nieto, A.O.; Zsadanyi, S.E.; Arriola-Infante, J.E.; Carmona-Iragui, M.; Montal, V.; Pegueroles, J.; Aranha, M.R.; Vaqué-Alcázar, L.; Padilla, C.; Benejam, B.; et al. Characterization of white matter hyperintensities in Down syndrome. Alzheimer’s Dement. 2024, 20, 6527–6541. [Google Scholar] [CrossRef]
- Mullins, D.; Daly, E.; Simmons, A.; Beacher, F.; Foy, C.M.; Lovestone, S.; Hallahan, B.; Murphy, K.C.; Murphy, D.G. Dementia in Down’s syndrome: An MRI comparison with Alzheimer’s disease in the general population. J. Neurodev. Disord. 2013, 5, 19. [Google Scholar] [CrossRef]
- Nieuwenhuis-Mark, R.E. Diagnosing Alzheimer’s dementia in Down syndrome: Problems and possible solutions. Res. Dev. Disabil. 2009, 30, 827–838. [Google Scholar] [CrossRef] [PubMed]
- Aschenbrenner, A.J.; Baksh, R.A.; Benejam, B.; Beresford-Webb, J.A.; Coppus, A.; Fortea, J.; Handen, B.L.; Hartley, S.; Head, E.; Jaeger, J.; et al. Markers of early changes in cognition across cohorts of adults with Down syndrome at risk of Alzheimer’s disease. Alzheimer’s Dement. 2021, 13, e12184. [Google Scholar] [CrossRef] [PubMed]


| Measure | Mean | ± | St. Dev. | Range |
|---|---|---|---|---|
| VIQ | 55.12 | ± | 4.9 | 50–66 |
| PIQ | 60.12 | ± | 8.1 | 50–81 |
| FSIQ | 49.18 | ± | 6.1 | 42–66 |
| DLD-SCS | 6.18 | ± | 6.5 | 0–22 |
| DLD-SOS | 7.29 | ± | 6.4 | 0–24 |
| DLPFC | HIP | |||||
|---|---|---|---|---|---|---|
| Measure | Mean | ± | St. Dev. | Mean | ± | St. Dev. |
| tNAA | 9.64 | ± | 1.07 | 8.28 | ± | 1.30 |
| tCr | 6.04 | ± | 0.79 | 5.98 | ± | 0.62 |
| tCho | 1.79 | ± | 0.31 | 2.13 | ± | 0.28 |
| mI | 5.74 | ± | 0.95 | 6.55 | ± | 1.42 |
| GSH | 1.98 | ± | 0.34 | 2.22 | ± | 0.43 |
| Glx | 10.92 | ± | 1.90 | 12.42 | ± | 1.99 |
| Full Regression | Group | Age | Group | |||
|---|---|---|---|---|---|---|
| F | p | p | p | Direction | ||
| Volume | ||||||
| ICV | 7.75 | 0.0020 | 0.0014 | 0.0957 | CON > DS | |
| Total GM | 4.28 | 0.0234 | 0.0293 | 0.0828 | CON > DS | |
| Total subcortical GM | 1.77 | 0.1887 | 0.6469 | 0.0781 | ||
| Total WM | 1.02 | 0.3733 | 0.1686 | 0.8439 | ||
| Total WMH | 7.29 | 0.0027 | 0.0061 | 0.0237 | DS > CON | |
| L | Lateral Ventricle | 5.97 | 0.0067 | 0.0026 | 0.3255 | DS > CON |
| R | Lateral Ventricle | 4.50 | 0.0198 | 0.0074 | 0.4159 | DS > CON |
| L | Hippocampus | 5.35 | 0.0106 | 0.0047 | 0.2761 | CON > DS |
| R | Hippocampus | 6.76 | 0.0039 | 0.0021 | 0.1618 | CON > DS |
| Cortical thickness | ||||||
| Frontal lobe | ||||||
| L | Superior frontal | 9.10 | 0.0009 | 0.0002 | 0.4542 | DS > CON |
| R | Superior frontal | 11.37 | 0.0002 | 4.9 × 10−5 | 0.7511 | DS > CON |
| L | Rostral middle frontal | 2.99 | 0.0659 | 0.0348 | 0.2985 | |
| R | Rostral middle frontal | 6.41 | 0.0049 | 0.0014 | 0.5883 | DS > CON |
| L | Caudal middle frontal | 0.64 | 0.5351 | 0.4957 | 0.3815 | |
| R | Caudal middle frontal | 0.42 | 0.6600 | 0.4243 | 0.6636 | |
| L | Pars opercularis | 0.61 | 0.5479 | 0.4844 | 0.4047 | |
| R | Pars opercularis | 1.12 | 0.3407 | 0.3078 | 0.2953 | |
| L | Pars orbitalis | 4.41 | 0.0212 | 0.0963 | 0.0210 | |
| R | Pars orbitalis | 3.94 | 0.0306 | 0.1931 | 0.0190 | |
| L | Pars triangularis | 2.89 | 0.0718 | 0.7428 | 0.0239 | |
| L | Lateral orbitofrontal | 9.62 | 0.0006 | 0.0004 | 0.0727 | DS > CON |
| R | Lateral orbitofrontal | 0.35 | 0.7043 | 0.7396 | 0.4441 | |
| L | Medial orbitofrontal | 10.87 | 0.0003 | 0.0001 | 0.1763 | DS > CON |
| R | Medial orbitofrontal | 15.52 | 2.6 × 10−5 | 5.3 × 10−6 | 0.7154 | DS > CON |
| L | Frontal pole | 5.82 | 0.0075 | 0.0352 | 0.0138 | DS > CON |
| R | Frontal pole | 2.96 | 0.0678 | 0.0282 | 0.4394 | |
| L | Precentral | 9.12 | 0.0008 | 0.0002 | 0.6527 | CON > DS |
| R | Precentral | 9.95 | 0.0005 | 0.0002 | 0.2919 | CON > DS |
| L | Paracentral lobule | 0.42 | 0.6623 | 0.9045 | 0.3717 | |
| R | Paracentral lobule | 1.86 | 0.1741 | 0.3290 | 0.1073 | |
| Cingulate | ||||||
| L | Rostral anterior cingulate | 2.12 | 0.1380 | 0.0485 | 0.9996 | |
| R | Rostral anterior cingulate | 3.04 | 0.0632 | 0.1573 | 0.0541 | |
| L | Caudal anterior cingulate | 1.48 | 0.2437 | 0.1140 | 0.5926 | |
| R | Caudal anterior cingulate | 0.93 | 0.4062 | 0.3785 | 0.3079 | |
| L | Posterior cingulate | 0.12 | 0.8900 | 0.6696 | 0.8311 | |
| R | Posterior cingulate | 1.16 | 0.3288 | 0.5678 | 0.1686 | |
| L | Isthmus cingulate | 3.72 | 0.0365 | 0.0225 | 0.2038 | DS > CON |
| R | Isthmus cingulate | 1.92 | 0.1649 | 0.5377 | 0.0726 | |
| Insula | ||||||
| L | Insula | 1.13 | 0.3376 | 0.8328 | 0.1474 | |
| R | Insula | 1.41 | 0.2595 | 0.1875 | 0.3180 | |
| Parietal Lobe | ||||||
| L | Postcentral | 1.13 | 0.3364 | 0.4992 | 0.1887 | |
| R | Postcentral | 2.04 | 0.1486 | 0.4062 | 0.0756 | |
| L | Supramarginal | 3.07 | 0.0620 | 0.6676 | 0.0209 | |
| R | Supramarginal | 2.83 | 0.0753 | 0.6817 | 0.0264 | |
| L | Superior parietal | 2.36 | 0.1123 | 0.0736 | 0.2609 | |
| R | Superior parietal | 1.21 | 0.3114 | 0.4688 | 0.1774 | |
| L | Inferior parietal | 0.56 | 0.5793 | 0.5349 | 0.4003 | |
| R | Inferior parietal | 2.43 | 0.1054 | 0.9385 | 0.0356 | |
| L | Precuneus | 1.35 | 0.2743 | 0.4718 | 0.1492 | |
| R | Precuneus | 2.50 | 0.0999 | 0.8314 | 0.0339 | |
| Temporal Lobe | ||||||
| L | Superior temporal | 3.96 | 0.0303 | 0.5772 | 0.0102 | |
| R | Superior temporal | 4.45 | 0.0206 | 0.1137 | 0.0191 | |
| L | Bank SSTS | 1.24 | 0.3038 | 0.6478 | 0.1438 | |
| R | Bank SSTS | 1.94 | 0.1625 | 0.2046 | 0.1533 | |
| L | Middle temporal | 2.36 | 0.1124 | 0.8161 | 0.0394 | |
| R | Middle temporal | 2.12 | 0.1381 | 0.8803 | 0.0489 | |
| L | Inferior temporal | 2.53 | 0.0970 | 0.1171 | 0.1319 | |
| R | Inferior temporal | 2.09 | 0.1420 | 0.9470 | 0.0503 | |
| L | Transverse temporal | 2.16 | 0.1338 | 0.1783 | 0.1346 | |
| R | Transverse temporal | 6.97 | 0.0034 | 0.8355 | 0.0008 | |
| L | Entorhinal | 1.95 | 0.1603 | 0.9386 | 0.0579 | |
| R | Entorhinal | 1.86 | 0.1732 | 0.5121 | 0.0812 | |
| L | Fusiform | 1.39 | 0.2660 | 0.2269 | 0.2780 | |
| R | Fusiform | 1.80 | 0.1836 | 0.4961 | 0.0866 | |
| L | Parahippocampal | 0.53 | 0.5937 | 0.3885 | 0.5853 | |
| R | Parahippocampal | 5.47 | 0.0096 | 0.0029 | 0.5410 | DS > CON |
| L | Temporal pole | 3.66 | 0.0381 | 0.0682 | 0.0654 | |
| R | Temporal pole | 2.69 | 0.0850 | 0.0785 | 0.1684 | |
| Occipital Lobe | ||||||
| L | Lingual | 14.62 | 4.1 × 10−5 | 2.3 × 10−5 | 0.0548 | DS > CON |
| R | Lingual | 10.07 | 0.0005 | 0.0004 | 0.0546 | DS > CON |
| L | Pericalcarine | 9.88 | 0.0005 | 0.0001 | 0.5854 | DS > CON |
| R | Pericalcarine | 6.29 | 0.0054 | 0.0044 | 0.0851 | DS > CON |
| L | Cuneus | 5.94 | 0.0069 | 0.0021 | 0.4908 | DS > CON |
| R | Cuneus | 12.32 | 0.0001 | 0.0001 | 0.1177 | DS > CON |
| L | Lateral occipital | 5.45 | 0.0098 | 0.0077 | 0.1060 | DS > CON |
| R | Lateral occipital | 6.36 | 0.0048 | 0.0059 | 0.0504 | DS > CON |
Disclaimer/Publisher’s Note: The statements, opinions and data contained in all publications are solely those of the individual author(s) and contributor(s) and not of MDPI and/or the editor(s). MDPI and/or the editor(s) disclaim responsibility for any injury to people or property resulting from any ideas, methods, instructions or products referred to in the content. |
© 2024 by the authors. Licensee MDPI, Basel, Switzerland. This article is an open access article distributed under the terms and conditions of the Creative Commons Attribution (CC BY) license (https://creativecommons.org/licenses/by/4.0/).
Share and Cite
Koenig, K.A.; Bhattacharyya, P.K. Assessing the Relationship of Brain Metabolites to Cortical Thickness and Dementia Symptoms in Adults with Down Syndrome: A Pilot Study. Brain Sci. 2024, 14, 1241. https://doi.org/10.3390/brainsci14121241
Koenig KA, Bhattacharyya PK. Assessing the Relationship of Brain Metabolites to Cortical Thickness and Dementia Symptoms in Adults with Down Syndrome: A Pilot Study. Brain Sciences. 2024; 14(12):1241. https://doi.org/10.3390/brainsci14121241
Chicago/Turabian StyleKoenig, Katherine A., and Pallab K. Bhattacharyya. 2024. "Assessing the Relationship of Brain Metabolites to Cortical Thickness and Dementia Symptoms in Adults with Down Syndrome: A Pilot Study" Brain Sciences 14, no. 12: 1241. https://doi.org/10.3390/brainsci14121241
APA StyleKoenig, K. A., & Bhattacharyya, P. K. (2024). Assessing the Relationship of Brain Metabolites to Cortical Thickness and Dementia Symptoms in Adults with Down Syndrome: A Pilot Study. Brain Sciences, 14(12), 1241. https://doi.org/10.3390/brainsci14121241

