Spontaneous Intracranial Hypotension and Dural Ectasia in Marfan Syndrome: An Illustrative Case Successfully Treated with Steroid Therapy and Literature Review
Abstract
1. Introduction
2. Materials and Methods
3. Results
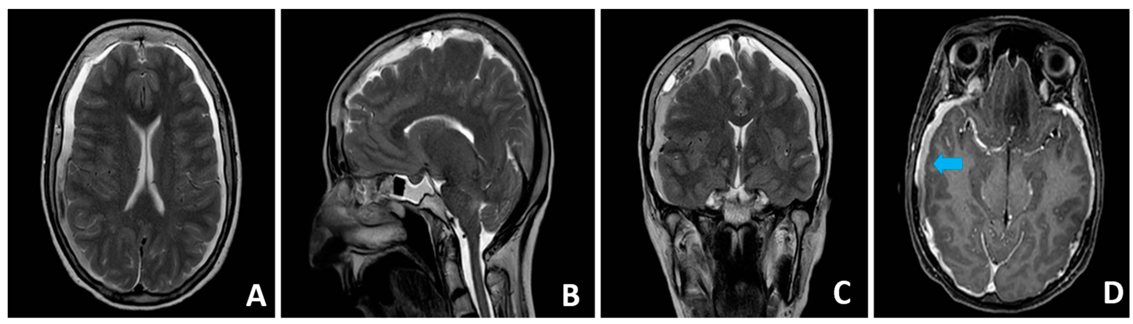
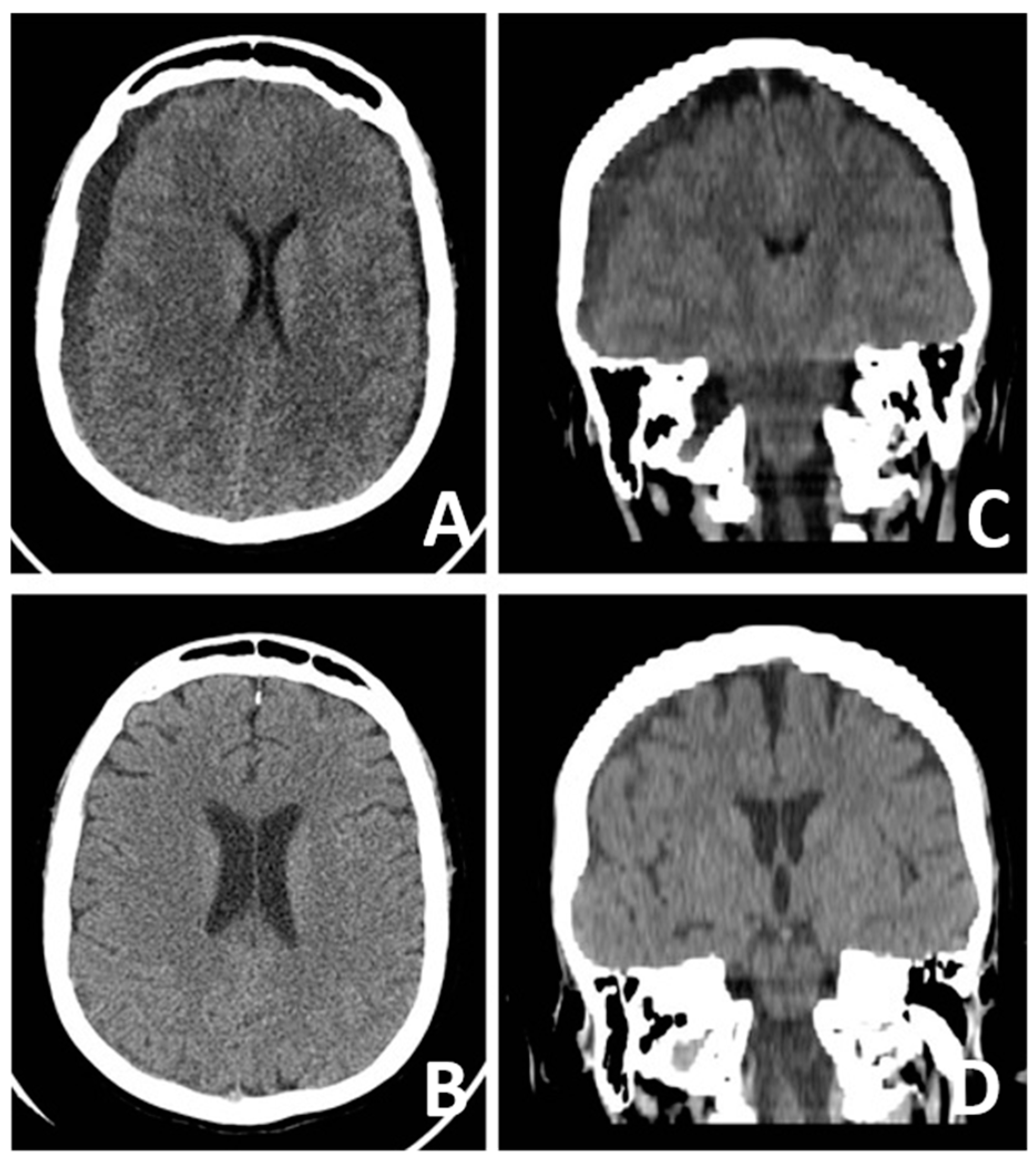
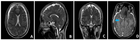
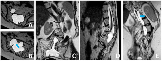
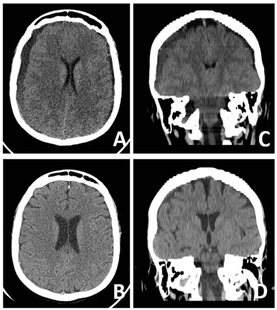
3.1. Case Presentation
3.2. Literature Search Overview
4. Discussion
5. Conclusions
Author Contributions
Funding
Institutional Review Board Statement
Informed Consent Statement
Data Availability Statement
Conflicts of Interest
References
- Urbach, H.; Fung, C.; Dovi-Akue, P.; Lützen, N.; Beck, J. Spontaneous Intracranial Hypotension. Dtsch. Arztebl. Int. 2020, 117, 480–487. [Google Scholar] [CrossRef] [PubMed]
- D’Antona, L.; Jaime Merchan, M.A.; Vassiliou, A.; Watkins, L.D.; Davagnanam, I.; Toma, A.K.; Matharu, M.S. Clinical Presentation, Investigation Findings, and Treatment Outcomes of Spontaneous Intracranial Hypotension Syndrome: A Systematic Review and Meta-analysis. JAMA Neurol. 2021, 78, 329–337. [Google Scholar] [CrossRef] [PubMed]
- Kim, M.O.; Kim, J.; Kang, J.; Kim, C.H.; Kim, Y.-S.; Kang, H.; Choi, N.-C.; Kwon, O.-Y.; Kim, S.-K. Spontaneous Intracranial Hypotension as a Cause of Subdural Hematoma in a Patient with Cerebral Venous Thrombosis on Anticoagulation Treatment. J. Clin. Neurol. 2020, 16, 327–329. [Google Scholar] [CrossRef] [PubMed]
- Schievink, W.I. Stroke and death due to spontaneous intracranial hypotension. Neurocrit. Care 2013, 18, 248–251. [Google Scholar] [CrossRef] [PubMed]
- Pichott, A.; Bernstein, T.; Guzmán, G.; Fariña, G.; Aguirre, D.; Espinoza, A. Dural ectasia and intracranial hypotension in Marfan syndrome. Ectasia dural e hipotensión endocraneal en síndrome de Marfán. Rev. Chil. Pediatr. 2020, 91, 591–596. [Google Scholar] [CrossRef]
- Michali-Stolarska, M.; Bladowska, J.; Stolarski, M.; Sąsiadek, M.J. Diagnostic Imaging and Clinical Features of Intracranial Hypotension—Review of Literature. Pol. J. Radiol. 2017, 82, 842–849. [Google Scholar] [CrossRef]
- De Paepe, A.; Devereux, R.B.; Dietz, H.C.; Hennekam, R.C.; Pyeritz, R.E. Revised diagnostic criteria for the Marfan syndrome. Am. J. Med. Genet. 1996, 62, 417–426. [Google Scholar] [CrossRef]
- Mokri, B. Spontaneous low pressure, low CSF volume headaches: Spontaneous CSF leaks. Headache 2013, 53, 1034–1053. [Google Scholar] [CrossRef]
- Tonello, S.; Grossi, U.; Trincia, E.; Zanus, G. First-line steroid treatment for spontaneous intracranial hypotension. Eur. J. Neurol. 2022, 29, 947–949. [Google Scholar] [CrossRef]
- Davenport, R.J.; Chataway, S.J.; Warlow, C.P. Spontaneous intracranial hypotension from a CSF leak in a patient with Marfan’s syndrome. J. Neurol. Neurosurg. Psychiatry 1995, 59, 516–519. [Google Scholar] [CrossRef]
- Fukutake, T.; Sakakibara, R.; Mori, M.; Araki, M.; Hattori, T. Chronic intractable headache in a patient with Marfan’s syndrome. Headache 1997, 37, 291–295. [Google Scholar] [CrossRef] [PubMed]
- Deputy, S.R.; Tilton, A.H. New-onset headache in an adolescent with MASS syndrome. Semin. Pediatr. Neurol. 1999, 6, 177–180; discussion 180–181. [Google Scholar] [CrossRef] [PubMed]
- Diaz, J.H. Epidemiology and outcome of postural headache management in spontaneous intracranial hypotension. Reg. Anesth. Pain Med. 2001, 26, 582–587. [Google Scholar] [CrossRef] [PubMed]
- Ferrante, E.; Citterio, A.; Savino, A.; Santalucia, P. Postural headache in a patient with Marfan’s syndrome. Cephalalgia 2003, 23, 552–555. [Google Scholar] [CrossRef] [PubMed]
- Owler, B.K.; Halmagyi, G.M.; Brennan, J.; Besser, M. Syringomyelia with Chiari malformation; 3 unusual cases with implications for pathogenesis. Acta Neurochir. 2004, 146, 1137–1143. [Google Scholar] [CrossRef]
- Milledge, J.T.; Ades, L.C.; Cooper, M.G.; Jaumees, A.; Onikul, E. Severe spontaneous intracranial hypotension and Marfan syndrome in an adolescent. J. Paediatr. Child Health 2005, 41, 68–71. [Google Scholar] [CrossRef]
- Rosser, T.; Finkel, J.; Vezina, G.; Majd, M. Postural headache in a child with Marfan syndrome: Case report and review of the literature. J. Child Neurol. 2005, 20, 153–155. [Google Scholar] [CrossRef]
- Puget, S.; Kondageski, C.; Wray, A.; Boddaert, N.; Roujeau, T.; Di Rocco, F.; Zerah, M.; Sainte-Rose, C. Chiari-like tonsillar herniation associated with intracranial hypotension in Marfan syndrome. Case report. J. Neurosurg. 2007, 106 (Suppl. S1), 48–52. [Google Scholar]
- Albayram, S.; Baş, A.; Ozer, H.; Dikici, S.; Gulertan, S.Y.; Yuksel, A. Spontaneous intracranial hypotension syndrome in a patient with marfan syndrome and autosomal dominant polycystic kidney disease. Headache 2008, 48, 632–636. [Google Scholar] [CrossRef] [PubMed]
- Cheuret, E.; Edouard, T.; Mejdoubi, M.; Acar, P.; Pienkowski, C.; Cances, C.; Lebon, S.; Tauber, M. Intracranial hypotension in a girl with Marfan syndrome: Case report and review of the literature. Childs Nerv. Syst. 2008, 24, 509–513. [Google Scholar] [CrossRef]
- Decontee, J.; Joel, C.; John, R. Images from headache: Intracranial hypotension complicating Marfan’s syndrome. Headache 2009, 49, 1534–1535. [Google Scholar] [CrossRef]
- Rosdy, B.; Kollár, K.; Móser, J.; Várallyay, G.; Kordas, M. Súlyos fokú spontán intracranialis hipotenzió Marfan-szindrómás serdülô esetében [Severe intracranial hypotension in an adolescent with Marfan syndrome. Case report]. Ideggyogy Sz. 2009, 62, 181–184. [Google Scholar]
- Voermans, N.C.; Dijk, K.G.; Bos, M.M.; Geus-Oei, L.F.; Verrips, A.; Lindert, E.J. Postural headache in marfan syndrome associated with spinal cysts and liquor hypotension. Neuropediatrics 2009, 40, 201–204. [Google Scholar] [CrossRef]
- Pabaney, A.H.; Mirza, F.A.; Syed, N.A.; Ahsan, H. Spontaneous dural tear leading to intracranial hypotension and tonsillar herniation in Marfan syndrome: A case report. BMC Neurol. 2010, 10, 54. [Google Scholar] [CrossRef]
- Khalid, S.; Das, P.G.; Mohammad, H.; Hameed, U. Spontaneous intracranial hypotension in a patient with Marfan’s syndrome treated with epidural blood patch—A case report. Middle East J. Anaesthesiol. 2012, 21, 635–638. [Google Scholar]
- Schievink, W.I.; Maya, M.M.; Louy, C.; Moser, F.G.; Sloninsky, L. Spontaneous intracranial hypotension in childhood and adolescence. J. Pediatr. 2013, 163, 504–510. [Google Scholar] [CrossRef] [PubMed]
- Bassani, L.; Graffeo, C.S.; Behrooz, N.; Tyagi, V.; Wilson, T.; Penaranda, S.; Zagzag, D.; Rifkin, D.B.; Barcellos-Hoff, M.H.; Fatterpekar, G.; et al. Noninvasive diagnosis and management of spontaneous intracranial hypotension in patients with marfan syndrome: Case Report and Review of the Literature. Surg. Neurol. Int. 2014, 5, 8. [Google Scholar]
- Abu Libdeh, A.; Matsumoto, J.A.; Dhamija, R. Teaching NeuroImages: Intracranial hypotension in a patient with Marfan syndrome. Neurology 2016, 87, e40–e41. [Google Scholar] [CrossRef]
- Apetroae, A.; Strenzke, T.; Ferbert, A.; Schellinger, P.D. Spontanes Liquorunterdrucksyndrom und Marfan-Syndrom [Spontaneous intracranial hypotension and Marfan syndrome]. Nervenarzt 2016, 87, 846–852. [Google Scholar] [CrossRef]
- Mirchi, A.; Saint-Martin, C.; Myers, K.A. Spontaneous Multilevel Cerebrospinal Fluid Leak in Marfan Syndrome. Ann. Neurol. 2020, 88, 855–856. [Google Scholar] [CrossRef]
- Cerulli Irelli, E.; Morano, A.; Fanella, M.; Giallonardo, A.T.; Di Bonaventura, C. An uncommon case of thunderclap headache in a patient with Marfan syndrome. Acta Neurol. Belg. 2021, 121, 1361–1363. [Google Scholar] [CrossRef]
- Moreno Sánchez, A.; Molina Herranz, D.; Sánchez Andrés, A.; Monge Galindo, L. Intracranial hypotension syndrome in a pediatric patient with Marfan syndrome. An. Sist. Sanit. Navar. 2023, 46, e1031. [Google Scholar] [CrossRef]
- Tariq, F.; Eilbert, W. Spontaneous Intracranial Hypotension Associated with Marfan Syndrome: A Case Report. Clin. Pract. Cases Emerg Med. 2024, 8, 243–245. [Google Scholar] [CrossRef]
- Headache Classification Committee of the International Headache Society (IHS). The International Classification of Headache Disorders, 3rd edition. Cephalalgia 2018, 38, 1–211. [Google Scholar] [CrossRef] [PubMed]
- Signorelli, F.; Caccavella, V.M.; Giordano, M.; Ioannoni, E.; Caricato, A.; Polli, F.M.; Olivi, A. A systematic review and meta-analysis of factors affecting the outcome of the epidural blood patching in spontaneous intracranial hypotension. Neurosurg. Rev. 2021, 44, 3079–3085. [Google Scholar] [CrossRef]
- Goto, S.; Ohshima, T.; Yamamoto, T.; Shimato, S.; Nishizawa, T.; Kato, K. Successful steroid treatment of coma induced by severe spontaneous intracranial hypotension. Nagoya J. Med. Sci. 2016, 78, 229–236. [Google Scholar] [PubMed] [PubMed Central]
- Russo, C.; Buono, V.; Fenza, G.; Zandolino, A.; Serino, A.; Manto, A. Spontaneous intracranial hypotension: Two steroid-responsive cases. Pol. J. Radiol. 2018, 83, e229–e233. [Google Scholar] [CrossRef] [PubMed] [PubMed Central]
- Vela, A.R.; Carey, M.E.; Thompson, B.M. Further data on the acute effect of intravenous steroids on canine CSF secretion and absorption. J. Neurosurg. 1979, 50, 477–482. [Google Scholar] [CrossRef]
- Shahbaz, S.; Fatima, R.; Bashir, M.; Shahbaz, M.H. Exploring the potential of low-dose hydrocortisone in the medical management for chronic subdural hematoma. Neurosurg. Rev. 2024, 47, 648. [Google Scholar] [CrossRef]
- Cevc, G.; Blume, G. Hydrocortisone and dexamethasone in very deformable drug carriers have increased biological potency, prolonged effect, and reduced therapeutic dosage. Biochim. Biophys. Acta. 2004, 1663, 61–73. [Google Scholar] [CrossRef]
- Moro, N.; Katayama, Y.; Igarashi, T.; Mori, T.; Kawamata, T.; Kojima, J. Hyponatremia in patients with traumatic brain injury: Incidence, mechanism, and response to sodium supplementation or retention therapy with hydrocortisone. Surg. Neurol. 2007, 68, 387–393. [Google Scholar] [CrossRef] [PubMed]
- Park, M.; Shim, Y.; Choo, Y.H.; Kim, H.S.; Kim, J.; Ha, E.J. Should Hypertonic Saline Be Considered for the Treatment of Intracranial Hypertension? A Review of Current Evidence and Clinical Practices. Korean J. Neurotrauma 2024, 20, 146–158. [Google Scholar] [CrossRef] [PubMed]



| Authors | N pts. | Sex | Age (Y) | CSF-Leak | Dural Features | Treatment | F Up (m) | Outcome |
|---|---|---|---|---|---|---|---|---|
| Davenport, 1995 [10] | 1 | F | 19 | - | NRE | 2 EBP | - | Improv. |
| Fukutake et al., 1997 [11] | 1 | F | 30 | yes | - | 1 EBP (blind) | - | Improv. |
| Deputy et al., 1999 [12] | 1 | F | 15 | no | DE | 2 EBP (blind) | - | No improv. |
| Diaz et al., 2001 [13] | 1 | F | 16 | no | NRE | 4 EBP (blind) | - | No improv. |
| Ferrante et al., 2003 [14] | 1 | M | 26 | – | DE, NRE | Conserv. manag. (bed rest) | 3 | Improv. |
| Owler et al., 2004 [15] | 1 | F | 27 | no | - | Conserv. manag. (bed rest) | 4 | Improv. |
| Milledge et al., 2005 [16] | 1 | F | 14 | no | DE, TCy | 1 EBP (blind) | 12 | Improv. |
| Rosser et al., 2005 [17] | 1 | F | 10 | yes | NRE | 1 EBP (lumbar) | 4 | Improv. |
| Puget et al., 2007 [18] | 1 | F | 12 | - | DE, NRE | 1 EBP | 15 | Improv. |
| Albayram et al., 2008 [19] | 1 | F | 32 | yes | - | 1 EBP (lumbar) | 3 | Improv. |
| Cheuret et al., 2008 [20] | 1 | F | 14 | no | DE, NRE | 1 EBP (blind) | 12 | Improv. |
| Decontee et al., 2009 [21] | 1 | M | 47 | no | DE | Cerv., thorac., lumbar EBPHigh-dose oral prednisone | No improv. | |
| Rosdy et al., 2009 [22] | 1 | F | 15 | yes | - | 1 epid. saline injection (blind) | 30 | Improv. |
| Voermans et al., 2009 [23] | 1 | M | 13 | - | DE, NRE, TCy | Surgery: cyst fenestration | - | Improv. |
| Pabaney et al., 2010 [24] | 1 | M | 38 | yes | NRE | 1 EBP (blind) | 6 | Improv. |
| Khalid et al., 2012 [25] | 1 | M | 38 | - | - | 1 EBP (blind) | - | Improv. |
| Schievink et al., 2013 [26] | 3 | 2F M | 18, 13 19 | - - | 3 DE | 2 EBP 1 surgery | - | Improv. (1 pt died 18 m after surgery for aortic dissection) |
| Bassani et al., 2014 [27] | 1 | F | 58 | yes | DE, NRE | Conserv. manag. (bed rest) | 15 | Improv. |
| Abu Libdeh et al., 2016 [28] | 1 | M | 18 | - | Conserve. manag. (bed rest) | - | - | |
| Apetroae et al., 2016 [29] | 2 | 2F | 22, 27 | - yes - no | NRE | 2 EBP (blind) 1 EBP (blind) | 10 6 | Improv. |
| Mirchi et al., 2020 [30] | 1 | M | 12 | yes | NRE | Multilevel EBP | - | - |
| Pichott et al., 2020 [5] | 1 | F | 13 | no | DE | 2 EBP (blind) | - | Improv. |
| Cerulli et al., 2021 [31] | 1 | F | 42 | - | - | 1 EBP | 2 | Improv. |
| Sanchez et al., 2023 [32] | 1 | M | 11 | yes | DE | 1 EBP | 12 | Improv. |
| Tariq et al., 2024 [33] | 1 | F | 18 | yes | NRE | 2 EBP (blind) | - | Improv. |
| Present Case | 1 | F | 52 | no | Dexamethasone | 12 | Improv. |
Disclaimer/Publisher’s Note: The statements, opinions and data contained in all publications are solely those of the individual author(s) and contributor(s) and not of MDPI and/or the editor(s). MDPI and/or the editor(s) disclaim responsibility for any injury to people or property resulting from any ideas, methods, instructions or products referred to in the content. |
© 2024 by the authors. Licensee MDPI, Basel, Switzerland. This article is an open access article distributed under the terms and conditions of the Creative Commons Attribution (CC BY) license (https://creativecommons.org/licenses/by/4.0/).
Share and Cite
Signorelli, F.; Ktari, O.; Agostini, L.; Ducoli, G.; Zeoli, F.; Visocchi, M. Spontaneous Intracranial Hypotension and Dural Ectasia in Marfan Syndrome: An Illustrative Case Successfully Treated with Steroid Therapy and Literature Review. Brain Sci. 2024, 14, 1143. https://doi.org/10.3390/brainsci14111143
Signorelli F, Ktari O, Agostini L, Ducoli G, Zeoli F, Visocchi M. Spontaneous Intracranial Hypotension and Dural Ectasia in Marfan Syndrome: An Illustrative Case Successfully Treated with Steroid Therapy and Literature Review. Brain Sciences. 2024; 14(11):1143. https://doi.org/10.3390/brainsci14111143
Chicago/Turabian StyleSignorelli, Francesco, Omar Ktari, Ludovico Agostini, Giorgio Ducoli, Fabio Zeoli, and Massimiliano Visocchi. 2024. "Spontaneous Intracranial Hypotension and Dural Ectasia in Marfan Syndrome: An Illustrative Case Successfully Treated with Steroid Therapy and Literature Review" Brain Sciences 14, no. 11: 1143. https://doi.org/10.3390/brainsci14111143
APA StyleSignorelli, F., Ktari, O., Agostini, L., Ducoli, G., Zeoli, F., & Visocchi, M. (2024). Spontaneous Intracranial Hypotension and Dural Ectasia in Marfan Syndrome: An Illustrative Case Successfully Treated with Steroid Therapy and Literature Review. Brain Sciences, 14(11), 1143. https://doi.org/10.3390/brainsci14111143

