Common and Distinct Functional Connectivity of the Orbitofrontal Cortex in Depression and Schizophrenia
Abstract
1. Introduction
2. Materials and Methods
2.1. Participants
2.2. Clinical and Cognitive Assessments
2.3. Imaging Data Acquisition
2.4. Data Preprocessing
2.5. Intrinsic Connectivity Contrast Analysis
2.6. Seed-to-Voxel Functional Connectivity Analysis
2.7. Statistical Analysis
3. Results
3.1. Demographic, Clinical and Behavioral Data
3.2. Intrinsic Connectivity Contrast Results
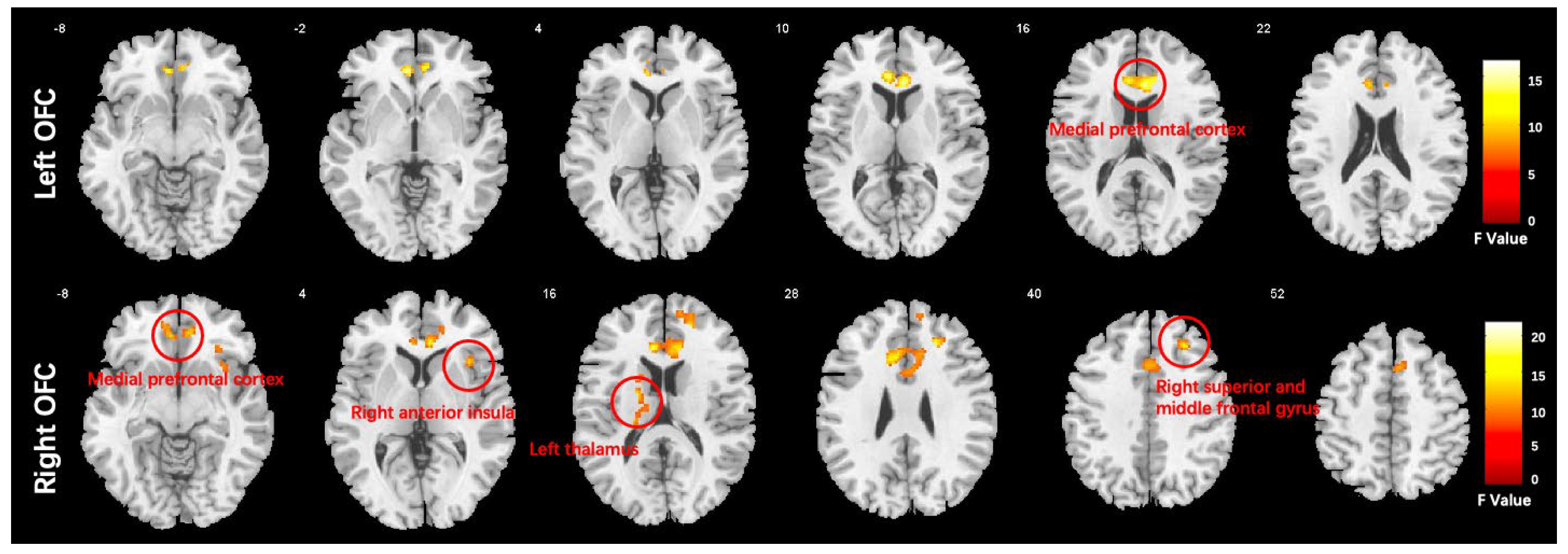
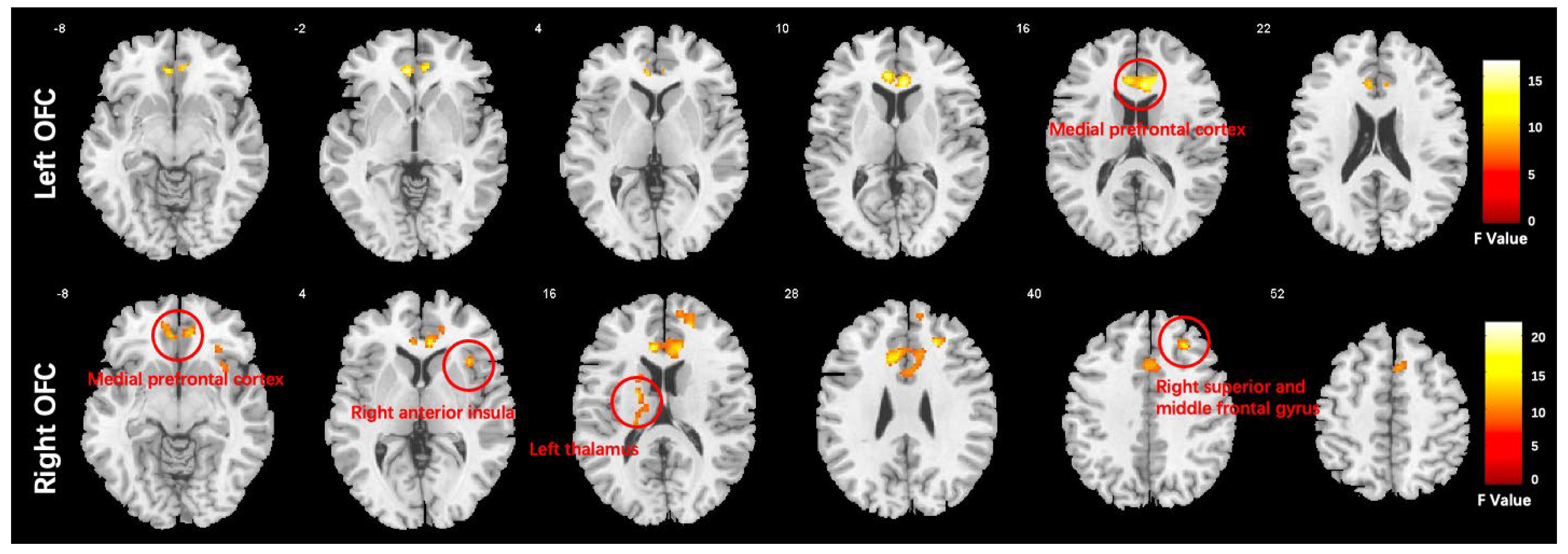
3.3. Seed-to-Voxel Functional Connectivity Results
3.4. Correlations between FC and Clinical Variables
4. Discussion
5. Conclusions
Author Contributions
Funding
Institutional Review Board Statement
Informed Consent Statement
Data Availability Statement
Acknowledgments
Conflicts of Interest
References
- Cross-Disorder Group of the Psychiatric Genomics Consortium. Identification of risk loci with shared effects on five major psychiatric disorders: A genome-wide analysis. Lancet 2013, 381, 1371–1379. [Google Scholar] [CrossRef] [PubMed]
- Angelucci, F.; Mathe, A.A.; Aloe, L. Neurotrophic factors and CNS disorders: Findings in rodent models of depression and schizophrenia. Prog. Brain Res. 2004, 146, 151–165. [Google Scholar] [CrossRef] [PubMed]
- Pape, K.; Tamouza, R.; Leboyer, M.; Zipp, F. Immunoneuropsychiatry—Novel perspectives on brain disorders. Nat. Rev. Neurol. 2019, 15, 317–328. [Google Scholar] [CrossRef] [PubMed]
- Anticevic, A.; Schleifer, C.; Youngsun, T.C. Emotional and cognitive dysregulation in schizophrenia and depression: Understanding common and distinct behavioral and neural mechanisms. Dialogues Clin. Neurosci. 2015, 17, 421–434. [Google Scholar] [CrossRef]
- Biswal, B.B.; Mennes, M.; Zuo, X.N.; Gohel, S.; Kelly, C.; Smith, S.M.; Beckmann, C.F.; Adelstein, J.S.; Buckner, R.L.; Colcombe, S.; et al. Toward discovery science of human brain function. Proc. Natl. Acad. Sci. USA 2010, 107, 4734–4739. [Google Scholar] [CrossRef]
- Glasser, M.F.; Smith, S.M.; Marcus, D.S.; Andersson, J.L.; Auerbach, E.J.; Behrens, T.E.; Coalson, T.S.; Harms, M.P.; Jenkinson, M.; Moeller, S.; et al. The Human Connectome Project’s neuroimaging approach. Nat. Neurosci. 2016, 19, 1175–1187. [Google Scholar] [CrossRef]
- Biswal, B.; Yetkin, F.Z.; Haughton, V.M.; Hyde, J.S. Functional connectivity in the motor cortex of resting human brain using echo-planar MRI. Magn. Reson. Med. 1995, 34, 537–541. [Google Scholar] [CrossRef]
- Damoiseaux, J.S.; Rombouts, S.A.; Barkhof, F.; Scheltens, P.; Stam, C.J.; Smith, S.M.; Beckmann, C.F. Consistent resting-state networks across healthy subjects. Proc. Natl. Acad. Sci. USA 2006, 103, 13848–13853. [Google Scholar] [CrossRef]
- Raichle, M.E.; Mintun, M.A. Brain work and brain imaging. Annu. Rev. Neurosci. 2006, 29, 449–476. [Google Scholar] [CrossRef]
- Chen, X.; Liu, C.; He, H.; Chang, X.; Jiang, Y.; Li, Y.; Duan, M.; Li, J.; Luo, C.; Yao, D. Transdiagnostic differences in the resting-state functional connectivity of the prefrontal cortex in depression and schizophrenia. J. Affect. Disord. 2017, 217, 118–124. [Google Scholar] [CrossRef]
- Han, W.; Sorg, C.; Zheng, C.; Yang, Q.; Zhang, X.; Ternblom, A.; Mawuli, C.B.; Gao, L.; Luo, C.; Yao, D.; et al. Low-rank network signatures in the triple network separate schizophrenia and major depressive disorder. Neuroimage Clin. 2019, 22, 101725. [Google Scholar] [CrossRef]
- Jiang, Y.; Duan, M.; Chen, X.; Chang, X.; He, H.; Li, Y.; Luo, C.; Yao, D. Common and distinct dysfunctional patterns contribute to triple network model in schizophrenia and depression: A preliminary study. Prog. Neuro-Psychopharmacol. Biol. Psychiatry 2017, 79, 302–310. [Google Scholar] [CrossRef]
- Schilbach, L.; Hoffstaedter, F.; Muller, V.; Cieslik, E.C.; Goya-Maldonado, R.; Trost, S.; Sorg, C.; Riedl, V.; Jardri, R.; Sommer, I.; et al. Transdiagnostic commonalities and differences in resting state functional connectivity of the default mode network in schizophrenia and major depression. Neuroimage Clin. 2016, 10, 326–335. [Google Scholar] [CrossRef]
- Shao, J.; Meng, C.; Tahmasian, M.; Brandl, F.; Yang, Q.; Luo, G.; Luo, C.; Yao, D.; Gao, L.; Riedl, V.; et al. Common and distinct changes of default mode and salience network in schizophrenia and major depression. Brain Imaging Behav. 2018, 12, 1708–1719. [Google Scholar] [CrossRef]
- Kay, S.R.; Fiszbein, A.; Opler, L.A. The positive and negative syndrome scale (PANSS) for schizophrenia. Schizophr. Bull. 1987, 13, 261–276. [Google Scholar] [CrossRef]
- Zheng, Y.P.; Zhao, J.P.; Phillips, M.; Liu, J.B.; Cai, M.F.; Sun, S.Q.; Huang, M.F. Validity and reliability of the Chinese Hamilton Depression Rating Scale. Br. J. Psychiatry 1988, 152, 660–664. [Google Scholar] [CrossRef]
- Thompson, E. Hamilton Rating Scale for Anxiety (HAM-A). Occup. Med. 2015, 65, 601. [Google Scholar] [CrossRef]
- Angst, J.; Adolfsson, R.; Benazzi, F.; Gamma, A.; Hantouche, E.; Meyer, T.D.; Skeppar, P.; Vieta, E.; Scott, J. The HCL-32: Towards a self-assessment tool for hypomanic symptoms in outpatients. J. Affect Disord. 2005, 88, 217–233. [Google Scholar] [CrossRef]
- Bora, E.; Yucel, M.; Pantelis, C. Cognitive impairment in schizophrenia and affective psychoses: Implications for DSM-V criteria and beyond. Schizophr. Bull. 2010, 36, 36–42. [Google Scholar] [CrossRef]
- Conklin, H.M.; Curtis, C.E.; Katsanis, J.; Iacono, W.G. Verbal working memory impairment in schizophrenia patients and their first-degree relatives: Evidence from the digit span task. Am. J. Psychiatry 2000, 157, 275–277. [Google Scholar] [CrossRef]
- Knowles, E.E.; David, A.S.; Reichenberg, A. Processing speed deficits in schizophrenia: Reexamining the evidence. Am. J. Psychiatry 2010, 167, 828–835. [Google Scholar] [CrossRef] [PubMed]
- Whitfield-Gabrieli, S.; Nieto-Castanon, A. Conn: A functional connectivity toolbox for correlated and anticorrelated brain networks. Brain Connect. 2012, 2, 125–141. [Google Scholar] [CrossRef] [PubMed]
- Behzadi, Y.; Restom, K.; Liau, J.; Liu, T.T. A component based noise correction method (CompCor) for BOLD and perfusion based fMRI. Neuroimage 2007, 37, 90–101. [Google Scholar] [CrossRef] [PubMed]
- Martuzzi, R.; Ramani, R.; Qiu, M.; Shen, X.; Papademetris, X.; Constable, R.T. A whole-brain voxel based measure of intrinsic connectivity contrast reveals local changes in tissue connectivity with anesthetic without a priori assumptions on thresholds or regions of interest. Neuroimage 2011, 58, 1044–1050. [Google Scholar] [CrossRef]
- Luppi, A.I.; Craig, M.M.; Pappas, I.; Finoia, P.; Williams, G.B.; Allanson, J.; Pickard, J.D.; Owen, A.M.; Naci, L.; Menon, D.K.; et al. Consciousness-specific dynamic interactions of brain integration and functional diversity. Nat. Commun. 2019, 10, 4616. [Google Scholar] [CrossRef]
- Xu, X.; Dai, J.; Chen, Y.; Liu, C.; Xin, F.; Zhou, X.; Zhou, F.; Stamatakis, E.A.; Yao, S.; Luo, L.; et al. Intrinsic connectivity of the prefrontal cortex and striato-limbic system respectively differentiate major depressive from generalized anxiety disorder. Neuropsychopharmacology 2020, 46, 791–798. [Google Scholar] [CrossRef]
- Bagarinao, E.; Watanabe, H.; Maesawa, S.; Mori, D.; Hara, K.; Kawabata, K.; Yoneyama, N.; Ohdake, R.; Imai, K.; Masuda, M.; et al. Aging Impacts the Overall Connectivity Strength of Regions Critical for Information Transfer Among Brain Networks. Front. Aging Neurosci. 2020, 12, 592469. [Google Scholar] [CrossRef]
- Buckner, R.L.; Sepulcre, J.; Talukdar, T.; Krienen, F.M.; Liu, H.; Hedden, T.; Andrews-Hanna, J.R.; Sperling, R.A.; Johnson, K.A. Cortical hubs revealed by intrinsic functional connectivity: Mapping, assessment of stability, and relation to Alzheimer’s disease. J. Neurosci. 2009, 29, 1860–1873. [Google Scholar] [CrossRef]
- Drevets, W.C. Orbitofrontal cortex function and structure in depression. Ann. N. Y. Acad. Sci. 2007, 1121, 499–527. [Google Scholar] [CrossRef]
- Elliott, R.; Agnew, Z.; Deakin, J.F. Hedonic and informational functions of the human orbitofrontal cortex. Cereb. Cortex 2010, 20, 198–204. [Google Scholar] [CrossRef]
- Rolls, E.T. The functions of the orbitofrontal cortex. Brain Cogn. 2004, 55, 11–29. [Google Scholar] [CrossRef]
- Wu, G.R.; Wang, X.; Baeken, C. Baseline functional connectivity may predict placebo responses to accelerated rTMS treatment in major depression. Hum. Brain Mapp. 2020, 41, 632–639. [Google Scholar] [CrossRef]
- Moon, J.Y.; Lee, U.; Blain-Moraes, S.; Mashour, G.A. General relationship of global topology, local dynamics, and directionality in large-scale brain networks. PLoS Comput. Biol. 2015, 11, e1004225. [Google Scholar] [CrossRef]
- Kanahara, N.; Sekine, Y.; Haraguchi, T.; Uchida, Y.; Hashimoto, K.; Shimizu, E.; Iyo, M. Orbitofrontal cortex abnormality and deficit schizophrenia. Schizophr. Res. 2013, 143, 246–252. [Google Scholar] [CrossRef]
- Kim, B.H.; Shin, Y.B.; Kyeong, S.; Lee, S.K.; Kim, J.J. Neural Basis of Ambivalence towards Ideal Self-Image in Schizophrenia. Psychiatry Investig. 2020, 17, 452–459. [Google Scholar] [CrossRef]
- Takahashi, T.; Nakamura, M.; Nishikawa, Y.; Komori, Y.; Nishiyama, S.; Takayanagi, Y.; Furuichi, A.; Kido, M.; Sasabayashi, D.; Higuchi, Y.; et al. Potential role of orbitofrontal surface morphology on social and cognitive functions in high-risk subjects for psychosis and schizophrenia patients. Psychiatry Res. Neuroimaging 2019, 283, 92–95. [Google Scholar] [CrossRef]
- Rolls, E.T.; Cheng, W.; Feng, J. The orbitofrontal cortex: Reward, emotion and depression. Brain Commun. 2020, 2, fcaa196. [Google Scholar] [CrossRef]
- Drevets, W.C. Neuroimaging and neuropathological studies of depression: Implications for the cognitive-emotional features of mood disorders. Curr. Opin. Neurobiol. 2001, 11, 240–249. [Google Scholar] [CrossRef]
- Hu, M.L.; Zong, X.F.; Mann, J.J.; Zheng, J.J.; Liao, Y.H.; Li, Z.C.; He, Y.; Chen, X.G.; Tang, J.S. A Review of the Functional and Anatomical Default Mode Network in Schizophrenia. Neurosci. Bull. 2017, 33, 73–84. [Google Scholar] [CrossRef]
- Fan, L.; Li, H.; Zhuo, J.; Zhang, Y.; Wang, J.; Chen, L.; Yang, Z.; Chu, C.; Xie, S.; Laird, A.R.; et al. The Human Brainnetome Atlas: A New Brain Atlas Based on Connectional Architecture. Cereb. Cortex 2016, 26, 3508–3526. [Google Scholar] [CrossRef]
- Chang, X.; Shen, H.; Wang, L.; Liu, Z.; Xin, W.; Hu, D.; Miao, D. Altered default mode and fronto-parietal network subsystems in patients with schizophrenia and their unaffected siblings. Brain Res. 2014, 1562, 87–99. [Google Scholar] [CrossRef] [PubMed]
- Zhou, Y.; Fan, L.; Qiu, C.; Jiang, T. Prefrontal cortex and the dysconnectivity hypothesis of schizophrenia. Neurosci. Bull. 2015, 31, 207–219. [Google Scholar] [CrossRef] [PubMed]
- Szczepanski, S.M.; Knight, R.T. Insights into human behavior from lesions to the prefrontal cortex. Neuron 2014, 83, 1002–1018. [Google Scholar] [CrossRef] [PubMed]
- Seeley, W.W.; Menon, V.; Schatzberg, A.F.; Keller, J.; Glover, G.H.; Kenna, H.; Reiss, A.L.; Greicius, M.D. Dissociable intrinsic connectivity networks for salience processing and executive control. J. Neurosci. 2007, 27, 2349–2356. [Google Scholar] [CrossRef] [PubMed]
- Huang, H.; Botao, Z.; Jiang, Y.; Tang, Y.; Zhang, T.; Tang, X.; Xu, L.; Wang, J.; Li, J.; Qian, Z.; et al. Aberrant resting-state functional connectivity of salience network in first-episode schizophrenia. Brain Imaging Behav. 2020, 14, 1350–1360. [Google Scholar] [CrossRef]
- Harris, J.A.; Mihalas, S.; Hirokawa, K.E.; Whitesell, J.D.; Choi, H.; Bernard, A.; Bohn, P.; Caldejon, S.; Casal, L.; Cho, A.; et al. Hierarchical organization of cortical and thalamic connectivity. Nature 2019, 575, 195–202. [Google Scholar] [CrossRef]
- Yu, Y.; Shen, H.; Zeng, L.L.; Ma, Q.; Hu, D. Convergent and divergent functional connectivity patterns in schizophrenia and depression. PLoS ONE 2013, 8, e68250. [Google Scholar] [CrossRef]
- Jiang, Y.; Duan, M.; Chen, X.; Zhang, X.; Gong, J.; Dong, D.; Li, H.; Yi, Q.; Wang, S.; Wang, J.; et al. Aberrant Prefrontal-Thalamic-Cerebellar Circuit in Schizophrenia and Depression: Evidence from a Possible Causal Connectivity. Int. J. Neural Syst. 2019, 29, 1850032. [Google Scholar] [CrossRef]
- Penner, J.; Osuch, E.A.; Schaefer, B.; Theberge, J.; Neufeld, R.W.J.; Menon, R.S.; Rajakumar, N.; Bourne, J.A.; Williamson, P.C. Higher order thalamic nuclei resting network connectivity in early schizophrenia and major depressive disorder. Psychiatry Res. Neuroimaging 2018, 272, 7–16. [Google Scholar] [CrossRef]
- Gifford, G.; Crossley, N.; Kempton, M.J.; Morgan, S.; Dazzan, P.; Young, J.; McGuire, P. Resting state fMRI based multilayer network configuration in patients with schizophrenia. Neuroimage Clin. 2020, 25, 102169. [Google Scholar] [CrossRef]





| Healthy Controls | Depression | Schizophrenia | p Value | |
|---|---|---|---|---|
| (HC, n = 30) | (DEP, n = 28) | (SCH, n = 29) | ||
| Gender (male/female) | 11/19 | 11/17 | 11/18 | χ2 = 0.042, p = 0.979 |
| Age (years) | 28.37 ± 5.08 | 27.86 ± 6.23 | 27.48 ± 4.61 | W = 0.246, p = 0.783 |
| Education (years) | 14.27 ± 2.16 | 14.42 ± 2.28 | 14.21 ± 2.74 | W = 0.0.056, p = 0.945 |
| Duration of illness (months) | - | 25.5 (13.50, 37.75) | 24.6 (12.00, 47.00) | p = 0.9148 |
| Hamilton depression scale (HAMD) | - | 22.32 ± 2.09 | - | - |
| Hamilton anxiety scale (HAMA) | - | 11.23 ± 4.72 | - | - |
| Positive and negative syndrome scale (PANSS) | ||||
| Total score | - | - | 83.87 ± 8.12 | - |
| Positive scale score | - | - | 21.26 ± 4.51 | - |
| Negative scale score | - | - | 20.07 ± 4.01 | - |
| General psychopathology | - | - | 41.43 ± 7.59 | - |
| Cognitive function tests | ||||
| Digit symbol test | 68.00 ± 10.8 | 62.61 ± 8.02 | 47.86 ± 8.56 | W = 34.68, p = 0.000 |
| Digit span test (forward) | 8.77 ± 1.19 | 8.04 ± 0.84 | 7.83 ± 1.04 | W = 5.617, p = 0.006 |
| Digit span test (backward) | 5.67 ± 1.54 | 5.11 ± 0.83 | 4.45 ± 1.12 | W = 6.501, p = 0.003 |
| Verbal fluency test | 22.50 ± 4.90 | 19.64 ± 2.25 | 15.28 ± 3.94 | W = 21.38, p = 0.000 |
| Head motion (framewise displacement) | 0.11 ± 0.09 | 0.13 ± 0.09 | 0.14 ± 0.10 | W = 0.776, p = 0.456 |
| Regions | MNI | The z Values of FC: Mean ± SD | ANCOVA | ||||
|---|---|---|---|---|---|---|---|
| Coordinates | HC | DEP | SCH | F Value | p Value | Cluster Size | |
| Left orbitofrontal cortex | −20, 26, −16 | 0.102 ± 0.673 | −0.243 ± 0.603 | −0.687 ± 0.466 | 13.21 | <0.001 | 177 |
| Right orbitofrontal cortex | 16, 22, −18 | 0.0120 ± 0.594 | −0.143 ± 0.637 | −0.743 ± 0.384 | 13.91 | <0.001 | 327 |
| Regions | MNI | The z Values of FC: Mean ± SD | ANCOVA | ||||
|---|---|---|---|---|---|---|---|
| Coordinates | HC | DEP | SCH | F Value | p Value | Cluster Size | |
| Seed: left orbitofrontal cortex | |||||||
| Medial prefrontal cortex | 6, 32, 12 | 0.303 ± 0.113 | 0.273 ± 0.085 | 0.121 ± 0.117 | 15.95 | <0.001 | 501 |
| Seed: right orbitofrontal cortex | |||||||
| Medial prefrontal cortex | 8, 32, 10 | 0.246 ± 0.086 | 0.263 ± 0.087 | 0.090 ± 0.88 | 20.04 | <0.001 | 1542 |
| Right anterior insula | 34, 14, −14 | 0.234 ± 0.100 | 0.230 ± 0.111 | 0.071 ± 0.115 | 14.92 | <0.001 | 236 |
| Right middle frontal gyrus | 22, 34, 30 | 0.119 ± 0.112 | 0.128 ± 0.100 | −0.023 ± 0.104 | 17.95 | <0.001 | 181 |
| Left thalamus | −20, −24, 20 | −0.063 ± 0.126 | 0.0193 ± 0.117 | 0.117 ± 0.095 | 13.43 | <0.001 | 126 |
Disclaimer/Publisher’s Note: The statements, opinions and data contained in all publications are solely those of the individual author(s) and contributor(s) and not of MDPI and/or the editor(s). MDPI and/or the editor(s) disclaim responsibility for any injury to people or property resulting from any ideas, methods, instructions or products referred to in the content. |
© 2023 by the authors. Licensee MDPI, Basel, Switzerland. This article is an open access article distributed under the terms and conditions of the Creative Commons Attribution (CC BY) license (https://creativecommons.org/licenses/by/4.0/).
Share and Cite
Huang, H.; Rong, B.; Chen, C.; Wan, Q.; Liu, Z.; Zhou, Y.; Wang, G.; Wang, H. Common and Distinct Functional Connectivity of the Orbitofrontal Cortex in Depression and Schizophrenia. Brain Sci. 2023, 13, 997. https://doi.org/10.3390/brainsci13070997
Huang H, Rong B, Chen C, Wan Q, Liu Z, Zhou Y, Wang G, Wang H. Common and Distinct Functional Connectivity of the Orbitofrontal Cortex in Depression and Schizophrenia. Brain Sciences. 2023; 13(7):997. https://doi.org/10.3390/brainsci13070997
Chicago/Turabian StyleHuang, Huan, Bei Rong, Cheng Chen, Qirong Wan, Zhongchun Liu, Yuan Zhou, Gaohua Wang, and Huiling Wang. 2023. "Common and Distinct Functional Connectivity of the Orbitofrontal Cortex in Depression and Schizophrenia" Brain Sciences 13, no. 7: 997. https://doi.org/10.3390/brainsci13070997
APA StyleHuang, H., Rong, B., Chen, C., Wan, Q., Liu, Z., Zhou, Y., Wang, G., & Wang, H. (2023). Common and Distinct Functional Connectivity of the Orbitofrontal Cortex in Depression and Schizophrenia. Brain Sciences, 13(7), 997. https://doi.org/10.3390/brainsci13070997

