Primary Graviceptive System and Astasia: A Case Report and Literature Review
Abstract
:1. Introduction
2. Materials and Methods
2.1. Case Illustration
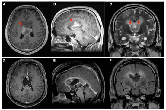
2.1.1. Preoperative Evaluation
2.1.2. Surgical Resection
2.1.3. Postoperative Clinical Course
2.2. Literature Review
3. Results
4. Discussion
4.1. Graviceptive Systems: Vestibule-Thalamic Projections
4.2. Thalamo-Cortical Projections: Subcortical White Matters
4.3. Thalamo-Cortical Projections: Cortical Level
5. Conclusions
Author Contributions
Funding
Institutional Review Board Statement
Informed Consent Statement
Data Availability Statement
Conflicts of Interest
Abbreviation
References
- Masdeu, J.C.; Gorelick, P.B. Thalamic astasia: Inability to stand after unilateral thalamic lesions. Ann. Neurol. 1988, 23, 596–603. [Google Scholar] [CrossRef] [PubMed]
- Satow, T.; Komuro, T.; Kobayashi, A. Caudal cingulate infarction manifesting astasia. Case Rep. Neurol. 2014, 6, 14–17. [Google Scholar] [CrossRef] [PubMed]
- Okun, M.S.; Koehler, P.J. Paul Blocq and (psychogenic) astasia abasia. Mov. Disord. 2007, 22, 1373–1378. [Google Scholar] [CrossRef] [PubMed]
- De Pablo-Fernandez, E.; Villarejo, A.; Dominguez-Gonzalez, C.; Hidalgo, F.S.; Callero, E.C. Astasia, asymmetrical asterixis and pretectal syndrome in thalamo-mesencephalic hemorrhage. Clin. Neurol. Neurosurg. 2009, 111, 766–767. [Google Scholar] [CrossRef] [PubMed]
- Masdeu, J.C.; Alampur, U.; Cavaliere, R.; Tavoulareas, G. Astasia and gait failure with damage of the pontomesencephalic locomotor region. Ann. Neurol. 1994, 35, 619–621. [Google Scholar] [CrossRef] [PubMed]
- Song, I.U.; Kim, J.S.; An, J.Y.; Kim, Y.I.; Lee, K.S. Co-occurrence of astasia and unilateral asterixis caused by acute mesencephalic infarction. Eur. Neurol. 2007, 57, 106–108. [Google Scholar] [CrossRef] [PubMed]
- Elwischger, K.; Rommer, P.; Prayer, D.; Mueller, C.; Auff, E.; Wiest, G. Thalamic astasia from isolated centromedian thalamic infarction. Neurology 2012, 78, 146–147. [Google Scholar] [CrossRef]
- Lee, P.H.; Lee, J.H.; Joo, U.S. Thalamic infarct presenting with thalamic astasia. Eur. J. Neurol. 2005, 12, 317–319. [Google Scholar] [CrossRef]
- Takahashi, K.; Osaka, A.; Tsuda, H.; Ogasawara, H. Isolated astasia caused by a localized infarction in the suprathalamic white matter. J. Gen. Fam. Med. 2017, 18, 275–278. [Google Scholar] [CrossRef]
- Zhang, J.; Xing, S.; Li, J.; Chen, L.; Chen, H.; Dang, C.; Liu, G.; Li, C.; Zeng, J. Isolated astasia manifested by acute infarct of the anterior corpus callosum and cingulate gyrus. J. Clin. Neurosci. 2015, 22, 763–764. [Google Scholar] [CrossRef]
- Kataoka, H.; Sugie, K.; Kohara, N.; Ueno, S. Novel representation of astasia associated with posterior cingulate infarction. Stroke 2006, 37, e3–e5. [Google Scholar] [CrossRef] [PubMed]
- Wada, Y.; Nishimura, Y. Isolated astasia in acute infarction of the supplementary-motor area. BMJ Case Rep. 2010, 2010, bcr0120102618. [Google Scholar] [CrossRef] [PubMed]
- Rissardo, J.P.; Caprara, A.L.F. Isolated astasia with anterior corpus callosum stroke. Neurol. India 2019, 67, 613. [Google Scholar] [CrossRef] [PubMed]
- Wilke, M.; Dechent, P.; Bahr, M. Sarcoidosis Manifestion Centered on the Thalamic Pulvinar Leading to Persistent Astasia. Mov. Disord. Clin. Pract. 2017, 4, 898–900. [Google Scholar] [CrossRef] [PubMed]
- Kim, J.H.; Kim, S.; Lee, D.H.; Lee, T.K.; Sung, K.B. Isolated axial lateropulsion with ipsilesional subjective visual vertical tilt in caudal lateral medullary infarction. J. Vestib. Res. 2015, 25, 41–45. [Google Scholar] [CrossRef] [PubMed]
- Curiel, M.; Granel, B.; Chaumoitre, K.; Bagneres, D.; Rossi, P.; Demoux, A.L.; Jachymczyk, J.; De Riggi, A.; Frances, Y. A case of astasia abasia. Rev. Med. Interne 2009, 30, 174–175. [Google Scholar] [CrossRef] [PubMed]
- Kumral, E.; Kocaer, T.; Sagduyu, A.; Sirin, H.; Toygar, A.; Evyapan, D.; Vuilleumier, P. Callosal infarction after bilateral occlusion of the internal carotid arteries with hemineglect syndrome and astasia-abasia. Rev. Neurol. 1995, 151, 202–205. [Google Scholar]
- Kausar, H.; Antonios, N. Combined thalamic ptosis and astasia. J. Clin. Neurosci. 2013, 20, 1471–1474. [Google Scholar] [CrossRef]
- Laroche, C.; Buge, A.; Escourolle, R.; Caquet, R.; Festal, G.; Rancurel, G. “Astasia-abasia”, unilateral left-sided apraxia, and touch disorders in an astrocytoma of the corpus callosum. A clinico-pathological report. Ann. Med. Interne 1976, 127, 1–10. [Google Scholar]
- Lopez, C.; Blanke, O. The thalamocortical vestibular system in animals and humans. Brain Res. Rev. 2011, 67, 119–146. [Google Scholar] [CrossRef]
- Brandt, T.; Dieterich, M. Vestibular syndromes in the roll plane: Topographic diagnosis from brainstem to cortex. Ann. Neurol. 1994, 36, 337–347. [Google Scholar] [CrossRef] [PubMed]
- Brandt, T.; Dieterich, M.; Danek, A. Vestibular cortex lesions affect the perception of verticality. Ann. Neurol. 1994, 35, 403–412. [Google Scholar] [CrossRef] [PubMed]
- Karnath, H.O.; Johannsen, L.; Broetz, D.; Kuker, W. Posterior thalamic hemorrhage induces “pusher syndrome”. Neurology 2005, 64, 1014–1019. [Google Scholar] [CrossRef] [PubMed]
- Karnath, H.O.; Ferber, S.; Dichgans, J. The origin of contraversive pushing: Evidence for a second graviceptive system in humans. Neurology 2000, 55, 1298–1304. [Google Scholar] [CrossRef] [PubMed]
- Zwergal, A.; Buttner-Ennever, J.; Brandt, T.; Strupp, M. An ipsilateral vestibulothalamic tract adjacent to the medial lemniscus in humans. Brain 2008, 131 Pt 11, 2928–2935. [Google Scholar] [CrossRef]
- Karnath, H.O.; Ferber, S.; Dichgans, J. The neural representation of postural control in humans. Proc. Natl. Acad. Sci. USA 2000, 97, 13931–13936. [Google Scholar] [CrossRef] [PubMed]
- Guillery, R.W. Anatomical evidence concerning the role of the thalamus in corticocortical communication: A brief review. J. Anat. 1995, 187 Pt 3, 583–592. [Google Scholar] [PubMed]
- Dieterich, M.; Brandt, T. Thalamic infarctions: Differential effects on vestibular function in the roll plane (35 patients). Neurology 1993, 43, 1732–1740. [Google Scholar] [CrossRef]
- Dieterich, M.; Brandt, T. Perception of Verticality and Vestibular Disorders of Balance and Falls. Front. Neurol. 2019, 10, 172. [Google Scholar] [CrossRef]
- Ticini, L.F.; Klose, U.; Nagele, T.; Karnath, H.O. Perfusion imaging in Pusher syndrome to investigate the neural substrates involved in controlling upright body position. PLoS ONE 2009, 4, e5737. [Google Scholar] [CrossRef]
- Mittelstaedt, H. Origin and processing of postural information. Neurosci. Biobehav. Rev. 1998, 22, 473–478. [Google Scholar] [CrossRef] [PubMed]
- Baier, B.; Conrad, J.; Stephan, T.; Kirsch, V.; Vogt, T.; Wilting, J.; Müller-Forell, W.; Dieterich, M. Vestibular thalamus: Two distinct graviceptive pathways. Neurology 2016, 86, 134–140. [Google Scholar] [CrossRef] [PubMed]
- Dieterich, M.; Brandt, T. Functional brain imaging of peripheral and central vestibular disorders. Brain 2008, 131 Pt 10, 2538–2552. [Google Scholar] [CrossRef] [PubMed]
- Kirsch, V.; Keeser, D.; Hergenroeder, T.; Erat, O.; Ertl-Wagner, B.; Brandt, T.; Dieterich, M. Structural and functional connectivity mapping of the vestibular circuitry from human brainstem to cortex. Brain Struct. Funct. 2016, 221, 1291–1308. [Google Scholar] [CrossRef] [PubMed]
- Hatanaka, N.; Tokuno, H.; Hamada, I.; Inase, M.; Ito, Y.; Imanishi, M.; Hasegawa, N.; Akazawa, T.; Nambu, A.; Takada, M. Thalamocortical and intracortical connections of monkey cingulate motor areas. J. Comp. Neurol. 2003, 462, 121–138. [Google Scholar] [CrossRef] [PubMed]
- Russo, G.S.; Backus, D.A.; Ye, S.; Crutcher, M.D. Neural activity in monkey dorsal and ventral cingulate motor areas: Comparison with the supplementary motor area. J. Neurophysiol. 2002, 88, 2612–2629. [Google Scholar] [CrossRef] [PubMed]
- Diehl, B.; Dinner, D.S.; Mohamed, A.; Najm, I.; Klem, G.; LaPresto, E.; Bingaman, W.; Luders, H.O. Evidence of cingulate motor representation in humans. Neurology 2000, 55, 725–728. [Google Scholar] [CrossRef]
- Paus, T. Primate anterior cingulate cortex: Where motor control, drive and cognition interface. Nat. Rev. Neurosci. 2001, 2, 417–424. [Google Scholar] [CrossRef]



| Author | Case Num. | Age (yr)/Sex | Associated Symptoms † | Laterality of Pulsion | Causes | Location | Laterality of Lesion | Proposed Affected Pathway $ | Recovery of Astasia (Days) ¶ |
|---|---|---|---|---|---|---|---|---|---|
| Masdeu, et al. [5] | 1 | 83/M | Up-gaze palsy | Retropulsion | Hemorrhage | Pontomesencephalic junction (DM) | R | Vestibulocerebellar pathway | >120 (partial) |
| Song, et al. [6] | 1 | 70/M | Asterixis | CL lateropulsion or retropulsion | Infarction | Medial thalamo-mesencephalic | L | Vestibulocerebellar pathway | 5 |
| Pablo-Fernandez, et al. [4] | 1 | 58/M | Gaze palsy, asterixis | CL lateropulsion or retropulsion | Hemorrhage | Medial thalamo-mesencephalic | R | Vestibulocerebellar pathway | 60 |
| Masdeu, et al. [5] § | 7 | 65.4/6 M, 1 F | Sensory deficits | CL lateropulsion or retropulsion | Hemorrhage | Thalamus (dorsal *) | 4 R, 3 L | Vestibulocerebellar pathway | 21.7 (mean) |
| 6 | 73.6/3 M, 3 F | Sensory deficits | Infarction | Thalamus (VL ‡) | 4 R, 2 L | 4.6 (mean) | |||
| 2 | 60.5/1 M, 1 F | Sensory deficits | Tumor | Thalamus (AL, VB) | 2 R | Progressive | |||
| Lee, et al. [8] | 1 | 76/F | Sensory deficit | Antepulsion or retropulsion | Infarction | Thalamus (PL) | R | Second graviceptive pathway | 2 |
| Elwischger, et al. [7] | 1 | 82/M | None | CL lateropulsion | Infarction | Thalamus (CM) | L | Crossed graviceptive pathway | 42 |
| Takahashi, et al. [9] | 1 | 73/F | None | Retropulsion | Infarction | Suprathalamic white matter | R | Thalamo-cortical projection | 4 |
| Chen, et al. (present case) | 1 | 50/M | None | Retropulsion or either sides | Tumor | Corpus callosum body | Bil | Thalamo-cortical pathway, bil | >180 (partial) |
| Zhang, et al. [10] | 1 | 65/M | None | CL lateropulsion, retropulsion | Infarction | Anterior cingulate, corpus callosum | R | Vestibulocerebellar pathway; disconnection | 30 |
| Kataoka, et al. [11] | 1 | 67/M | None | CL lateropulsion | Infraction | Posterior cingulate | L | Cingulate motor area | 14 |
| Satow, et al. [2] | 1 | 58/M | None | CL lateropulsion | Infarction | Middle cingulate | L | Cingulate motor area | 21 |
| Wada, et al. [12] | 1 | 61/M | None | CL lateropulsion | Infarction | Supplementary motor area | R | Vestibulocerebellar pathway | 2 |
| Summary | 26 | 67.8/19M, 7F | 19 with and 7 without associated symptoms | CL lateropulsion and retropulsion | Infarction (14), hemorrhage (9), tumor (3) | Brainstem (3), thalamus (17), White matter (2), cortex (4) | R (16), L (9), Bil (1) | Primary graviceptive system and thalamo-cortical projections See “Discussion” | 32.7 (mean) Total: 16.4 Partial: >160 |
| Cause | Case Number | Age (Years, Mean) | Location | Time to Recovery ¶ (Days, Mean ± SD) |
|---|---|---|---|---|
| Infarction | 14 | 71 | Brainstem (1) Thalamus (8) White matter (1) Cortex (4) | 10.6 ± 12.3 |
| Hemorrhage | 9 | 66.6 | Brainstem (2) Thalamus (7) | 36.9 ± 35.1 |
| Tumor | 3 | 57 | Thalamus (2) White matter (1) | >180 * |
| Location | Case Number | Age (Years, Mean) | Cause | Time to Recovery ¶ (Days, Mean ± SD) |
|---|---|---|---|---|
| Brainstem | 3 | 70.3 | Hemorrhage (2), Infarction (1) | >61.6 ± 57.5 |
| Thalamus | 17 | 69.4 | Hemorrhage (7), Infarction (8), Tumor (2) | 14.9 ± 13.9 * |
| Cerebral whit matter | 2 | 61.5 | Infarction (1) Tumor (1) | >92 |
| Cortex | 4 | 62.8 | Infarction (4) | 16.5 ± 11.9 |
Disclaimer/Publisher’s Note: The statements, opinions and data contained in all publications are solely those of the individual author(s) and contributor(s) and not of MDPI and/or the editor(s). MDPI and/or the editor(s) disclaim responsibility for any injury to people or property resulting from any ideas, methods, instructions or products referred to in the content. |
© 2023 by the authors. Licensee MDPI, Basel, Switzerland. This article is an open access article distributed under the terms and conditions of the Creative Commons Attribution (CC BY) license (https://creativecommons.org/licenses/by/4.0/).
Share and Cite
Chen, K.-T.; Huang, S.-Y.; Chen, Y.-J.; Chen, Y.-Y. Primary Graviceptive System and Astasia: A Case Report and Literature Review. Brain Sci. 2023, 13, 1371. https://doi.org/10.3390/brainsci13101371
Chen K-T, Huang S-Y, Chen Y-J, Chen Y-Y. Primary Graviceptive System and Astasia: A Case Report and Literature Review. Brain Sciences. 2023; 13(10):1371. https://doi.org/10.3390/brainsci13101371
Chicago/Turabian StyleChen, Ko-Ting, Sheng-Yao Huang, Yi-Jye Chen, and Ying-Yun Chen. 2023. "Primary Graviceptive System and Astasia: A Case Report and Literature Review" Brain Sciences 13, no. 10: 1371. https://doi.org/10.3390/brainsci13101371
APA StyleChen, K.-T., Huang, S.-Y., Chen, Y.-J., & Chen, Y.-Y. (2023). Primary Graviceptive System and Astasia: A Case Report and Literature Review. Brain Sciences, 13(10), 1371. https://doi.org/10.3390/brainsci13101371

