Hemispherotomy in Infants with Hemimegalencephaly: Long-Term Seizure and Developmental Outcome in Early Treated Patients
Abstract
1. Introduction
2. Methods
2.1. Patients’ Selection
2.2. Presurgical Assessment
3. Results
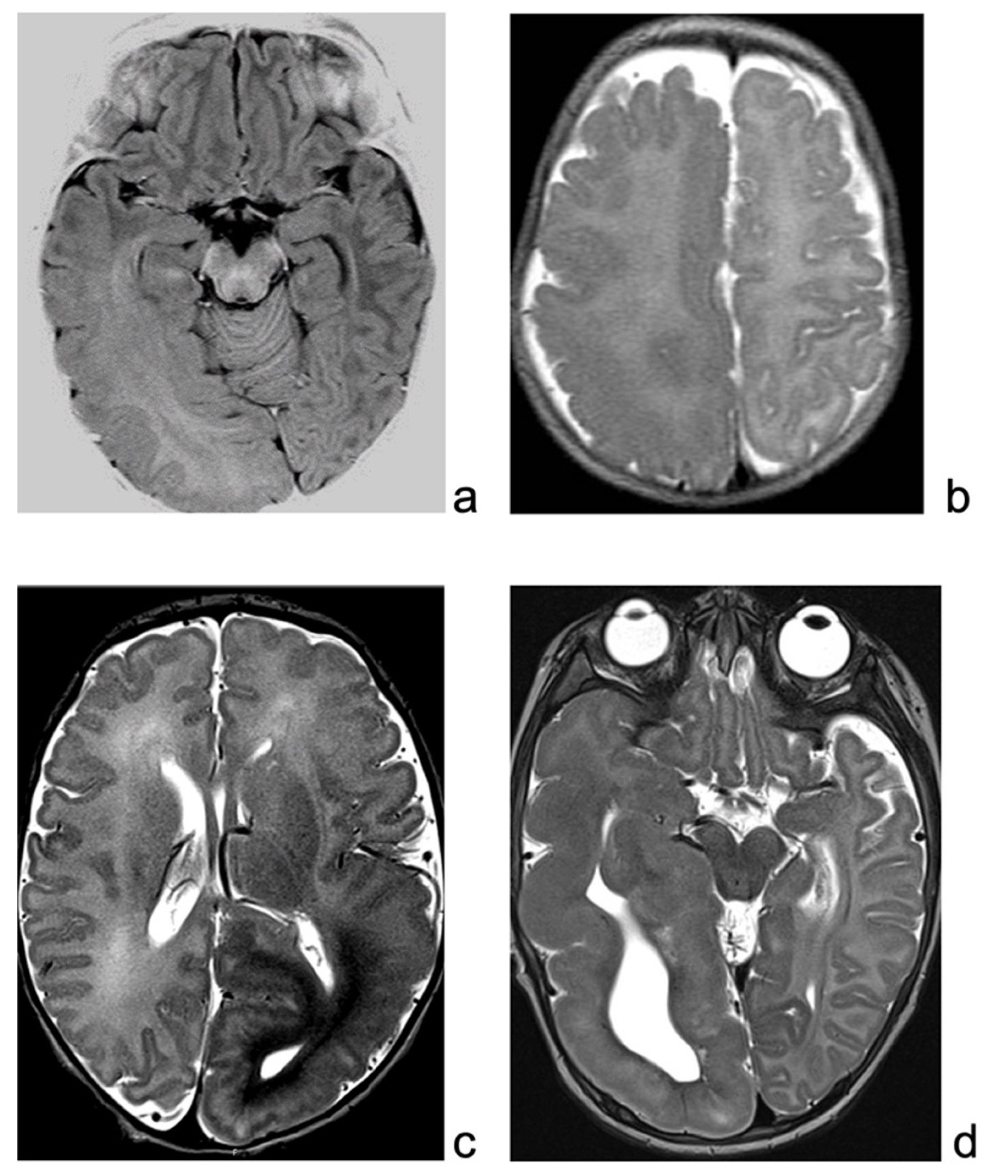
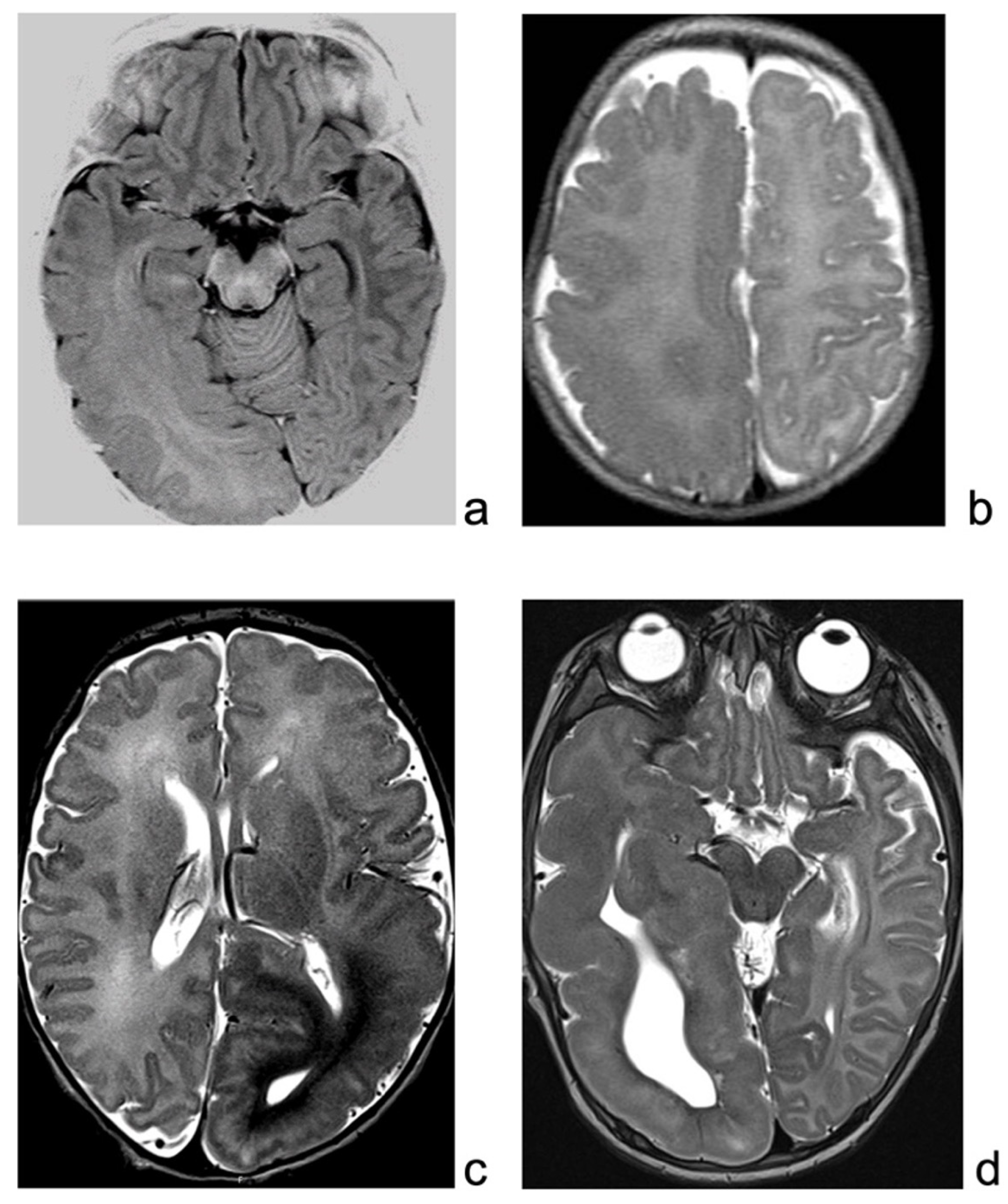
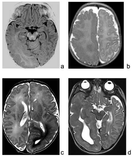
4. Case Reports
4.1. Patient #1
4.2. Patient #2
4.3. Patient #3
4.4. Patient #4
5. Discussion
Supplementary Materials
Author Contributions
Funding
Institutional Review Board Statement
Informed Consent Statement
Data Availability Statement
Acknowledgments
Conflicts of Interest
References
- Barkovich, A.J.; Guerrini, R.; Kuzniecky, R.I.; Jackson, G.D.; Dobyns, W.B. A developmental and genetic classification for malformations of cortical development: Update 2012. Brain 2012, 135, 1348–1369. [Google Scholar] [CrossRef] [PubMed]
- Woo, C.L.F.; Chuang, S.H.; Becker, L.E.; Jay, V.; Otsubo, H.; Rutka, J.T.; Snead, O. Radiologic-pathologic correlation in focal cortical dysplasia and hemimegalencephaly in 18 children. Pediatr. Neurol. 2001, 25, 295–303. [Google Scholar] [CrossRef] [PubMed]
- Baek, S.T.; Gibbs, E.M.; Gleeson, J.G.; Mathern, G.W. Hemimegalencephaly, a paradigm for somatic postzygotic neurodevelopmental disorders. Curr. Opin. Neurol. 2013, 26, 122–127. [Google Scholar] [CrossRef] [PubMed]
- Di Rocco, C.; Battaglia, D.I.; Pietrini, D.; Piastra, M.; Massimi, L. Hemimegalencephaly: Clinical implications and surgical treatment. Child’s Nerv. Syst. 2006, 22, 852–866. [Google Scholar] [CrossRef] [PubMed]
- Garcia, C.A.B.; Carvalho, S.C.S.; Yang, X.; Ball, L.L.; George, R.D.; James, K.N.; Stanley, V.; Breuss, M.W.; Thomé, U.; Santos, M.V.; et al. mTOR pathway somatic variants and the molecular pathogenesis of hemimegalencephaly. Epilepsia Open 2020, 5, 97–106. [Google Scholar] [CrossRef] [PubMed]
- Lee, J.H.; Huynh, M.; Silhavy, J.L.; Kim, S.; Dixon-Salazar, T.; Heiberg, A.; Scott, E.; Bafna, V.; Hill, K.J.; Collazo, A.; et al. De novo somatic mutations in components of the PI3K-AKT3-mTOR pathway cause hemimegalencephaly. Nat Genet 2012, 44, 941–945. [Google Scholar] [CrossRef]
- Dobyns, W.B.; Mirzaa, G.M. Megalencephaly syndromes associated with mutations of core components of the PI3K-AKT–MTOR pathway: PIK3CA, PIK3R2, AKT3, and MTOR. Am. J. Med. Genet. Part C Semin. Med. Genet. 2019, 181, 582–590. [Google Scholar] [CrossRef]
- Chand, P.; Manglani, P.; Abbas, Q. Hemimegalencephaly: Seizure Outcome in an Infant after Hemispherectomy. J. Pediatr. Neurosci. 2018, 13, 106–108. [Google Scholar] [CrossRef]
- Kim, J.; Park, E.-K.; Shim, K.-W.; Kim, D.S. Hemispherotomy and Functional Hemispherectomy: Indications and Outcomes. J. Epilepsy Res. 2018, 8, 1–5. [Google Scholar] [CrossRef]
- Bulteau, C.; Otsuki, T.; Delalande, O. Epilepsy surgery for hemispheric syndromes in infants: Hemimegalencepahly and hemispheric cortical dysplasia. Brain Dev. 2013, 35, 742–747. [Google Scholar] [CrossRef]
- Delalande, O.; Bulteau, C.; Dellatolas, G.; Fohlen, M.; Jalin, C.; Buret, V.; Viguier, D.; Dorfmüller, G.; Jambaqué, I. Vertical Parasagittal Hemispherotomy: Surgical Procedures and Clinical Long-Term Outcomes in a Population of 83 Children. Oper Neurosurg 2007, 60, 19–32. [Google Scholar] [CrossRef] [PubMed]
- Marras, C.E.; Granata, T.; Franzini, A.; Freri, E.; Villani, F.; Casazza, M.; De Curtis, M.; Ragona, F.; Ferroli, P.; D’Incerti, L.; et al. Hemispherotomy and functional hemispherectomy: Indications and outcome. Epilepsy Res. 2010, 89, 104–112. [Google Scholar] [CrossRef] [PubMed]
- Griessenauer, C.J.; Salam, S.; Hendrix, P.; Patel, D.M.; Tubbs, R.S.; Blount, J.P.; Winkler, P.A. Hemispherectomy for treatment of refractory epilepsy in the pediatric age group: A systematic review. J. Neurosurg. Pediactr. 2015, 15, 34–44. [Google Scholar] [CrossRef] [PubMed]
- Hu, W.-H.; Zhang, C.; Zhang, K.; Shao, X.-Q.; Zhang, J.-G. Hemispheric surgery for refractory epilepsy: A systematic review and meta-analysis with emphasis on seizure predictors and outcomes. J. Neurosurg. 2016, 124, 952–961. [Google Scholar] [CrossRef]
- Kossoff, E.H.; Vining, E.P.; Pillas, D.J.; Pyzik, P.L.; Avellino, A.M.; Carson, B.S.; Freeman, J.M. Hemispherectomy for intractable unihemispheric epilepsy Etiology vs outcome. Neurology 2003, 61, 887–890. [Google Scholar] [CrossRef]
- Salamon, N.; Andres, M.; Chute, D.J.; Nguyen, S.T.; Chang, J.W.; Huynh, M.N.; Chandra, P.S.; Andre, V.M.; Cepeda, C.; Levine, M.S.; et al. Contralateral hemimicrencephaly and clinical-pathological correlations in children with hemimegalencephaly. Brain 2006, 129, 352–365. [Google Scholar] [CrossRef]
- Jansen, L.A.; Mirzaa, G.M.; Ishak, G.E.; O’Roak, B.J.; Hiatt, J.B.; Roden, W.H.; Gunter, S.A.; Christian, S.L.; Collins, S.; Adams, C.; et al. PI3K/AKT pathway mutations cause a spectrum of brain malformations from megalencephaly to focal cortical dysplasia. Brain 2015, 138, 1613–1628. [Google Scholar] [CrossRef]
- Moosa, A.N.; Gupta, A.; Jehi, L.; Marashly, A.; Cosmo, G.; Lachhwani, D.; Wyllie, E.; Kotagal, P.; Bingaman, W. Longitudinal seizure outcome and prognostic predictors after hemispherectomy in 170 children. Neurology 2013, 80, 253–260. [Google Scholar] [CrossRef]
- Schramm, J.; Kuczaty, S.; Sassen, R.; Elger, C.E.; Von Lehe, M. Pediatric functional hemispherectomy: Outcome in 92 patients. Acta Neurochir. 2012, 154, 2017–2028. [Google Scholar] [CrossRef]
- Loddenkemper, T.; Holland, K.D.; Stanford, L.D.; Kotagal, P.; Bingaman, W.; Wyllie, E. Developmental Outcome After Epilepsy Surgery in Infancy. Pediatrics 2007, 119, 930–935. [Google Scholar] [CrossRef]
- Helmstaedter, C.; Beeres, K.; Elger, C.; Kuczaty, S.; Schramm, J.; Hoppe, C. Cognitive outcome of pediatric epilepsy surgery across ages and different types of surgeries: A monocentric 1-year follow-up study in 306 patients of school age. Seizure 2020, 77, 86–92. [Google Scholar] [CrossRef] [PubMed]
- Battaglia, D.; Di Rocco, C.; Iuvone, L.; Acquafondata, C.; Lannelli, A.; Lettori, D.; Guzzetta, F. Neuro-cognitive development and epilepsy outcome in children with surgically treated hemimegalencephaly. Neuropediatrics 1999, 30, 307–313. [Google Scholar] [CrossRef] [PubMed]
- Lettori, D.; Battaglia, D.; Sacco, A.; Veredice, C.; Chieffo, D.; Massimi, L.; Tartaglione, T.; Chiricozzi, F.; Staccioli, S.; Mittica, A.; et al. Early hemispherectomy in catastrophic epilepsy. A neuro-cognitive and epileptic long-term follow-up. Seizure 2008, 17, 49–63. [Google Scholar] [CrossRef]
- Honda, R.; Kaido, T.; Sugai, K.; Takahashi, A.; Kaneko, Y.; Nakagwa, E.; Sasaki, M.; Otsuki, T. Long-term developmental outcome after early hemispherotomy for hemimegalencephaly in infants with epileptic encephalopathy. Epilepsy Behav. 2013, 29, 30–35. [Google Scholar] [CrossRef]
- Puka, K.; Jones, M.; Mathern, G.W. Functional cognitive and language outcomes after cerebral hemispherectomy for hemimegalencephaly. Epilepsia 2021, 62, 2932–2940. [Google Scholar] [CrossRef] [PubMed]
- Jonas, R.; Nguyen, S.; Hu, B.; Asarnow, R.F.; Lopresti, C.; Curtiss, S.; De Bode, S.; Yudovin, S.; Shields, W.D.; Vinters, H.V.; et al. Cerebral hemispherectomy: Hospital course, seizure, developmental, language, and motor outcomes. Neurology 2004, 62, 1712–1721. [Google Scholar] [CrossRef] [PubMed]
- de Palma, L.; Pietrafusa, N.; Gozzo, F.; Barba, C.; Carfi-Pavia, G.; Cossu, M.; De Benedictis, A.; Genitori, L.; Giordano, F.; Russo, G.L.; et al. Outcome after hemispherotomy in patients with intractable epilepsy: Comparison of techniques in the Italian experience. Epilepsy Behav. 2019, 93, 22–28. [Google Scholar] [CrossRef]
- Scheffer, I.E.; Berkovic, S.; Capovilla, G.; Connolly, M.B.; French, J.; Guilhoto, L.; Hirsch, E.; Jain, S.; Mathern, G.W.; Moshé, S.L.; et al. ILAE classification of the epilepsies: Position paper of the ILAE Commission for Classification and Terminology. Epilepsia 2017, 58, 512–521. [Google Scholar] [CrossRef] [PubMed]
- Hedvall, Å.; Fernell, E.; Holm, A.; Åsberg Johnels, J.; Gillberg, C.; Billstedt, E. Autism, Processing Speed, and Adaptive Functioning in Preschool Children. Sci. World J. 2013, 2013, 1–7. [Google Scholar] [CrossRef] [PubMed]
- Kurita, H.; Osada, H.; Shimizu, K.; Tachimori, H. Validity of DQ as an estimate of IQ in children with autistic disorder. Psychiatry Clin. Neurosci. 2003, 57, 231–233. [Google Scholar] [CrossRef]
- O’Connor, C.M.; Ryan, C.A.; Boylan, G.B.; Murray, D.M. The ability of early serial developmental assessment to predict outcome at 5 years following neonatal hypoxic-ischaemic encephalopathy. Early Hum. Dev. 2017, 110, 1–8. [Google Scholar] [CrossRef] [PubMed]
- Engel, J.V.N.P., Jr.; Rasmussen, T.B.; Ojemann, L.M. (Eds.) Outcome with Respect to Epileptic Seizures. In Surgical Treatment of the Epilepsies, 2nd ed.; Press NYR: New York, NY, USA, 1993; pp. 609–621. [Google Scholar]
- Weil, A.G.; Lewis, E.C.; Ibrahim, G.M.; Kola, O.; Tseng, C.; Zhou, X.; Lin, K.; Cai, L.; Liu, Q.; Lin, J.; et al. Hemispherectomy Outcome Prediction Scale: Development and validation of a seizure freedom prediction tool. Epilepsia 2021, 62, 1064–1073. [Google Scholar] [CrossRef] [PubMed]
- Ramantani, G.; Kadish, N.E.; Brandt, A.; Strobl, K.; Stathi, A.; Wiegand, G.; Schubert-Bast, S.; Mayer, H.; Wagner, K.; Korinthenberg, R.; et al. Seizure control and developmental trajectories after hemispherotomy for refractory epilepsy in childhood and adolescence. Epilepsia 2013, 54, 1046–1055. [Google Scholar] [CrossRef] [PubMed]
- Thomas, S.G.; Chacko, A.G.; Thomas, M.M.; Babu, K.S.; Russell, P.S.S.; Daniel, R.T. Outcomes of Disconnective Surgery in Intractable Pediatric Hemispheric and Subhemispheric. Epilepsy. Int. J. Pediatr. 2012, 2012, 1–7. [Google Scholar] [CrossRef][Green Version]
- Nahum, A.S.; Liégeois, F.J. Language after childhood hemispherectomy. Neurology 2020, 95, 1043–1056. [Google Scholar] [CrossRef] [PubMed]
- Maehara, T.; Shimizu, H.; Kawai, K.; Shigetomo, R.; Tamagawa, K.; Yamada, T.; Inoue, M. Postoperative development of children after hemispherotomy. Brain Dev. 2002, 24, 155–160. [Google Scholar] [CrossRef] [PubMed]
- Bajer, C.; Hofer, W.; Pieper, T.; Kudernatsch, M.; Holthausen, H.; Staudt, M. Correlates of intellectual development before and after hemispherotomy: An analysis of 75 children and adolescents. Epileptic Disord. 2020, 22, 571–581. [Google Scholar] [CrossRef]



| Pts | Age at Seizure Onset (Years) | Age at Surgery (Years) | Anti-Seizure Medications | MRI Findings | Seizure Semiology | EEG Findings | Outcome | Neurologic Follow-Up (Years) | Post-Surgical Complications |
|---|---|---|---|---|---|---|---|---|---|
| 1 | 0.3 | 1.5 | GVG | Right HME | Asymmetric spasms (left) | Continuous spikes/polyspikes and slow waves, with low voltage fast activity over the right hemisphere. | Engel Ia | 11 | Hydrocephalus |
| 2 | 0.5 | 2.9 | PB, ACTH, VPA, GVG, CLB, LEV | Right HME | Left tonic seizures and asymmetric spasms | Continuous periodic paroxysmal activity over the right posterior perisylvian region. | Engel Ia | 7 | Hydrocephalus |
| 3 | 0.1 | 0.3 | PB, GVG, ACTH, CBZ | Left HME | Right asymmetric spasms and tonic seizures | Pseudo-periodic paroxysmal pattern over the left hemisphere, mainly over temporal and parietal regions. | Engel Ia | 5 | No |
| 4 | 0.1 | 0.2 | VGB, PB, LEV | Right HME | Left clonic seizures | Continuous slow delta waves over the right occipital area, sometimes diffused over the homologous contralateral area. | Engel Ia | 5 | Left transverse venous sinus thrombosis. |
Disclaimer/Publisher’s Note: The statements, opinions and data contained in all publications are solely those of the individual author(s) and contributor(s) and not of MDPI and/or the editor(s). MDPI and/or the editor(s) disclaim responsibility for any injury to people or property resulting from any ideas, methods, instructions or products referred to in the content. |
© 2022 by the authors. Licensee MDPI, Basel, Switzerland. This article is an open access article distributed under the terms and conditions of the Creative Commons Attribution (CC BY) license (https://creativecommons.org/licenses/by/4.0/).
Share and Cite
Pepi, C.; De Benedictis, A.; Rossi-Espagnet, M.C.; Cappelletti, S.; Da Rold, M.; Falcicchio, G.; Vigevano, F.; Marras, C.E.; Specchio, N.; De Palma, L. Hemispherotomy in Infants with Hemimegalencephaly: Long-Term Seizure and Developmental Outcome in Early Treated Patients. Brain Sci. 2023, 13, 73. https://doi.org/10.3390/brainsci13010073
Pepi C, De Benedictis A, Rossi-Espagnet MC, Cappelletti S, Da Rold M, Falcicchio G, Vigevano F, Marras CE, Specchio N, De Palma L. Hemispherotomy in Infants with Hemimegalencephaly: Long-Term Seizure and Developmental Outcome in Early Treated Patients. Brain Sciences. 2023; 13(1):73. https://doi.org/10.3390/brainsci13010073
Chicago/Turabian StylePepi, Chiara, Alessandro De Benedictis, Maria Camilla Rossi-Espagnet, Simona Cappelletti, Martina Da Rold, Giovanni Falcicchio, Federico Vigevano, Carlo Efisio Marras, Nicola Specchio, and Luca De Palma. 2023. "Hemispherotomy in Infants with Hemimegalencephaly: Long-Term Seizure and Developmental Outcome in Early Treated Patients" Brain Sciences 13, no. 1: 73. https://doi.org/10.3390/brainsci13010073
APA StylePepi, C., De Benedictis, A., Rossi-Espagnet, M. C., Cappelletti, S., Da Rold, M., Falcicchio, G., Vigevano, F., Marras, C. E., Specchio, N., & De Palma, L. (2023). Hemispherotomy in Infants with Hemimegalencephaly: Long-Term Seizure and Developmental Outcome in Early Treated Patients. Brain Sciences, 13(1), 73. https://doi.org/10.3390/brainsci13010073

