Poor Spontaneous Recovery of Aphemia Accompanied by Damage to the Anterior Segment of the Left Arcuate Fasciculus: A Case Report
Abstract
1. Introduction
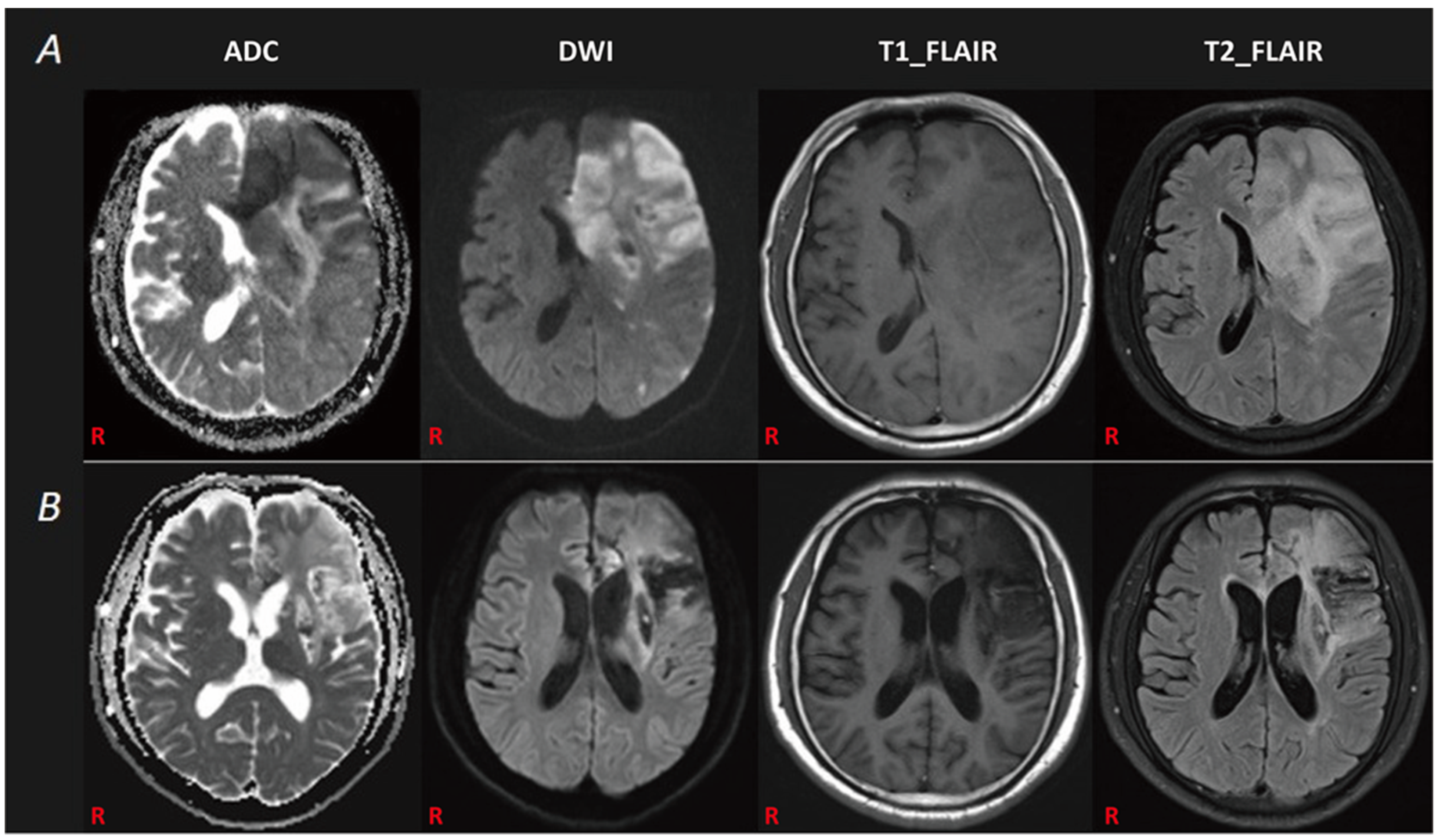
2. Case Description
3. Diffusion Tensor Imaging and Tractography Evaluation
4. Discussion
5. Conclusions
Author Contributions
Funding
Institutional Review Board Statement
Informed Consent Statement
Data Availability Statement
Conflicts of Interest
References
- Fox, R.J.; Kasner, S.E.; Chatterjee, A.; Chalela, J.A. Aphemia: An isolated disorder of articulation. Clin. Neurol. Neurosurg. 2001, 103, 123–126. [Google Scholar] [CrossRef]
- Ruff, R.L.; Arbit, E. Aphemia resulting from a left frontal hematoma. Neurology 1981, 31, 353–356. [Google Scholar] [CrossRef] [PubMed]
- Oliveira-Souza, R.D.; Moll, J.; Caparelli-Dáquer, E.M. Broca’s aphemia: An illustrated account of its clinico-anatomic validity. Arq. Neuropsiquiatr. 2007, 65, 1220–1223. [Google Scholar] [CrossRef] [PubMed]
- Henderson, V.W. Alalia, aphemia, and aphasia. Arch. Neurol. 1990, 47, 85–88. [Google Scholar] [CrossRef] [PubMed]
- Cohen, L.; Benoit, N.; Van Eeckhout, P.; Ducarne, B.; Brunet, P. Pure progressive aphemia. J. Neurol. Neurosurg. Psychiatry 1993, 56, 923–924. [Google Scholar] [CrossRef]
- Dronkers, N.F. The pursuit of brain-language relationships. Brain Lang. 2000, 71, 59–61. [Google Scholar] [CrossRef]
- Dronkers, N.F.; Plaisant, O.; Iba-Zizen, M.T.; Cabanis, E.A. Paul Broca’s historic cases: High resolution MR imaging of the brains of Leborgne and Lelong. Brain 2007, 130 Pt 5, 1432–1441. [Google Scholar] [CrossRef]
- Shen, C.C.; Lei, K.T.; Jiang, J.F.; Miao, D.; Xiong, J.W. Evoking the Withdrawal Reflex via Successive Needle-Pricking on the Plantar and Dorsal Aspect of the Foot Increases the FMA of the Lower Limb for Poststroke Patients in Brunnstrom Stage III: A Preliminary Study. Evid. Based Complement. Altern. Med. 2020, 2020, 3805628. [Google Scholar] [CrossRef]
- Ding, L.; Wang, X.; Chen, S.; Wang, H.; Tian, J.; Rong, J.; Shao, P.; Tong, S.; Guo, X.; Jia, J. Camera-Based Mirror Visual Input for Priming Promotes Motor Recovery, Daily Function, and Brain Network Segregation in Subacute Stroke Patients. Neurorehabil. Neural Repair 2019, 33, 307–318. [Google Scholar] [CrossRef]
- Zhang, L.; Liu, J.M. National Institutes of Health Stroke Scale. Chin. J. Neurosurg. 2014, 30, 79. (In Chinese) [Google Scholar]
- Wang, Y.H. Introduction to the Western Aphasia Test (WAB) (1). Chin. J. Rehabil. Theory Pract. 1997, 3, 87–89. (In Chinese) [Google Scholar]
- Wang, Y.H. Introduction to the Western Aphasia Test (WAB) (2). Chin. J. Rehabil. Theory Pract. 1997, 3, 135–140. (In Chinese) [Google Scholar]
- Clarke, W.T.; Stagg, C.J.; Jbabdi, S. FSL-MRS: An end-to-end spectroscopy analysis package. Magn. Reson. Med. 2021, 85, 2950–2964. [Google Scholar] [CrossRef]
- Wang, R.; Benner, T.; Sorensen, A.G.; Wedeen, V.J. Diffusion toolkit: A softwarepackage for diffusion imaging data processing and tractography. Proc. Intl. Soc. Mag. Reson. Med. 2007, 15, 3720. Available online: http://www.trackvis.org/faq/2007_ISMRM_diffusion_toolkit.pdf (accessed on 20 June 2022).
- Forkel, S.J.; Thiebaut de Schotten, M.; Dell’Acqua, F.; Kalra, L.; Murphy, D.G.; Williams, S.C.; Catani, M. Anatomical predictors of aphasia recovery: A tractography study of bilateral perisylvian language networks. Brain 2014, 137 Pt 7, 2027–2039. [Google Scholar] [CrossRef] [PubMed]
- Ivanova, M.V.; Zhong, A.; Turken, A.; Baldo, J.V.; Dronkers, N.F. Functional Contributions of the Arcuate Fasciculus to Language Processing. Front. Hum. Neurosci. 2021, 25, 672665. [Google Scholar] [CrossRef]
- Rao, J.; Hu, G.; Yang, W.; Yu, J.; Xue, C.; Tian, L.; Chen, J. Recovery of aphemia with pure word dumbness after treatment with repetitive transcranial magnetic stimulation: A case report. J. Neurolinguist. 2021, 59, 100991. [Google Scholar] [CrossRef]
- Griffis, J.C.; Nenert, R.; Allendorfer, J.B.; Szaflarski, J.P. Damage to white matter bottlenecks contributes to language impairments after left hemispheric stroke. Neuroimage Clin. 2017, 24, 552–565. [Google Scholar] [CrossRef]
- Keser, Z.; Meier, E.L.; Stockbridge, M.D.; Hillis, A.E. The role of microstructural integrity of major language pathways in narrative speech in the first year after stroke. J. Stroke Cerebrovasc. Dis. 2020, 29, 105078. [Google Scholar] [CrossRef]
- Rajashekar, D.; Mouchès, P.; Fiehler, J.; Menon, B.K.; Goyal, M.; Demchuk, A.M.; Hill, M.D.; Dukelow, S.P.; Forkert, N.D. Structural integrity of white matter tracts as a predictor of acute ischemic stroke outcome. Int. J. Stroke 2020, 15, 965–972. [Google Scholar] [CrossRef]
- Catani, M.; Jones, D.K.; Ffytche, D.H. Perisylvian language networks of the human brain. Ann. Neurol. 2005, 57, 8–16. [Google Scholar] [CrossRef]
- Sierpowska, J.; Gabarrós, A.; Fernandez-Coello, A.; Camins, À.; Castañer, S.; Juncadella, M.; Morís, J.; Rodríguez-Fornells, A. Words are not enough: Nonword repetition as an indicator of arcuate fasciculus integrity during brain tumor resection. J. Neurosurg. 2017, 126, 435–445. [Google Scholar] [CrossRef]
- Gullick, M.M.; Booth, J.R. The direct segment of the arcuate fasciculus is predictive of longitudinal reading change. Dev. Cogn. Neurosci. 2015, 13, 68–74. [Google Scholar] [CrossRef]
- Song, X.; Dornbos, D., III; Lai, Z.; Zhang, Y.; Li, T.; Chen, H.; Yang, Z. Diffusion tensor imaging and diffusion tensor imaging-fibre tractograph depict the mechanisms of Broca-like and Wernicke-like conduction aphasia. Neurol. Res. 2011, 33, 529–535. [Google Scholar] [CrossRef]
- Geva, S.; Correia, M.M.; Warburton, E.A. Contributions of bilateral white matter to chronic aphasia symptoms as assessed by diffusion tensor MRI. Brain Lang. 2015, 150, 117–128. [Google Scholar] [CrossRef]
- Hope, T.M.H.; Seghier, M.L.; Prejawa, S.; Leff, A.P.; Price, C.J. Distinguishing the effect of lesion load from tract disconnection in the arcuate and uncinate fasciculi. Neuroimage 2016, 125, 1169–1173. [Google Scholar] [CrossRef]
- Fridriksson, J.; den Ouden, D.B.; Hillis, A.E.; Hickok, G.; Rorden, C.; Basilakos, A.; Yourganov, G.; Bonilha, L. Anatomy of aphasia revisited. Brain 2018, 141, 848–862. [Google Scholar] [CrossRef]
- Catani, M.; Jones, D.K.; Donato, R.; Ffytche, D.H. Occipito-temporal connections in the human brain. Brain 2003, 126 Pt 9, 2093–2107. [Google Scholar] [CrossRef]
- Glasser, M.F.; Rilling, J.K. DTI tractography of the human brain’s language pathways. Cereb. Cortex 2008, 18, 2471–2482. [Google Scholar] [CrossRef]
- Fridriksson, J.; Guo, D.; Fillmore, P.; Holland, A.; Rorden, C. Damage to the anterior arcuate fasciculus predicts non-fluent speech production in aphasia. Brain 2013, 136 Pt 11, 3451–3460. [Google Scholar] [CrossRef]
- Basilakos, A.; Fillmore, P.T.; Rorden, C.; Guo, D.; Bonilha, L.; Fridriksson, J. Regional white matter damage predicts speech fluency in chronic post-stroke aphasia. Front. Hum. Neurosci. 2014, 17, 845. [Google Scholar] [CrossRef]
- Ivanova, M.V.; Isaev, D.Y.; Dragoy, O.V.; Akinina, Y.S.; Petrushevskiy, A.G.; Fedina, O.N.; Shklovsky, V.M.; Dronkers, N.F. Diffusion-tensor imaging of major white matter tracts and their role in language processing in aphasia. Cortex 2016, 85, 165–181. [Google Scholar] [CrossRef]
- Yu, Q.; Wang, H.; Li, S.; Dai, Y. Predictive role of subcomponents of the leftarcuate fasciculus in prognosis of aphasia after stroke: A retrospective observational study. Medicine 2019, 98, e15775. [Google Scholar] [CrossRef]
- Kim, S.H.; Jang, S.H. Prediction of aphasia outcome using diffusion tensor tractography for arcuate fasciculus in stroke. AJNR Am. J. Neuroradiol. 2013, 34, 785–790. [Google Scholar] [CrossRef]
- Tak, H.J.; Jang, S.H. Relation between aphasia and arcuate fasciculus in chronic stroke patients. BMC Neurol. 2014, 8, 46. [Google Scholar] [CrossRef]
- Primaßin, A.; Scholtes, N.; Heim, S.; Huber, W.; Neuschäfer, M.; Binkofski, F.; Werner, C.J. Determinants of Concurrent Motor and Language Recovery during Intensive Therapy in Chronic Stroke Patients: Four Single-Case Studies. Front. Neurol. 2015, 6, 215. [Google Scholar] [CrossRef]
- Yu, Q.; Sun, Y.; Liao, X.; Qian, W.; Ye, T. Integrity of the Left Arcuate Fasciculus Segments Significantly Affects Language Performance in Individuals with Acute/Subacute Post-Stroke Aphasia: A Cross-Sectional Diffusion Tensor Imaging Study. Brain Sci. 2022, 12, 907. [Google Scholar] [CrossRef]
- Aghaz, A. The Role Of Neuroplasticity Types In Aphasia Recovery And Its Influencing Factors: A Systematic Review of Literature. Adv. Biosci. Clin. Med. 2017, 42. [Google Scholar] [CrossRef][Green Version]
- Mattioli, F. The clinical management and rehabilitation of post stroke aphasia in Italy: Evidences from the literature and clinical experience. Neurol. Sci. 2019, 40, 1329–1334. [Google Scholar] [CrossRef]
- Yang, Z.H.; Liu, L. A case report of pure word dumb. Chin. J. Rehabil. Med. 2007, 22, 2. [Google Scholar] [CrossRef]
- Gajardo-Vidal, A.; Lorca-Puls, D.L.; Team, P.; Warner, H.; Pshdary, B.; Crinion, J.T.; Leff, A.P.; Hope, T.M.H.; Geva, S.; Seghier, M.L.; et al. Damage to Broca’s area does not contribute to long-term speech production outcome after stroke. Brain 2021, 12, 817–832. [Google Scholar] [CrossRef]




Publisher’s Note: MDPI stays neutral with regard to jurisdictional claims in published maps and institutional affiliations. |
© 2022 by the authors. Licensee MDPI, Basel, Switzerland. This article is an open access article distributed under the terms and conditions of the Creative Commons Attribution (CC BY) license (https://creativecommons.org/licenses/by/4.0/).
Share and Cite
Yu, Q.; Qian, W. Poor Spontaneous Recovery of Aphemia Accompanied by Damage to the Anterior Segment of the Left Arcuate Fasciculus: A Case Report. Brain Sci. 2022, 12, 1253. https://doi.org/10.3390/brainsci12091253
Yu Q, Qian W. Poor Spontaneous Recovery of Aphemia Accompanied by Damage to the Anterior Segment of the Left Arcuate Fasciculus: A Case Report. Brain Sciences. 2022; 12(9):1253. https://doi.org/10.3390/brainsci12091253
Chicago/Turabian StyleYu, Qiwei, and Wenjun Qian. 2022. "Poor Spontaneous Recovery of Aphemia Accompanied by Damage to the Anterior Segment of the Left Arcuate Fasciculus: A Case Report" Brain Sciences 12, no. 9: 1253. https://doi.org/10.3390/brainsci12091253
APA StyleYu, Q., & Qian, W. (2022). Poor Spontaneous Recovery of Aphemia Accompanied by Damage to the Anterior Segment of the Left Arcuate Fasciculus: A Case Report. Brain Sciences, 12(9), 1253. https://doi.org/10.3390/brainsci12091253

