Possible Association of Nucleobindin-1 Protein with Depressive Disorder in Patients with HIV Infection
Abstract
:1. Introduction
2. Material and Methods
2.1. Research Subjects
2.2. Investigation Procedures
2.3. Western Blot Assay
2.4. Animals and Ethics Statement
2.5. Virus Inoculation and Sample Collection
2.6. Histology and Immunohistochemistry
2.7. Western Blotting
2.8. Statistical Analysis
3. Results
3.1. Prevalence of Depression among HIV-Infected Patients
3.2. Univariate Analyses of Variables Related to Symptoms of Depression among Individuals with HIV Infection
3.3. NUCB1 Levels Are Elevated in CSF from HIV Cases Currently Suffering from Depression
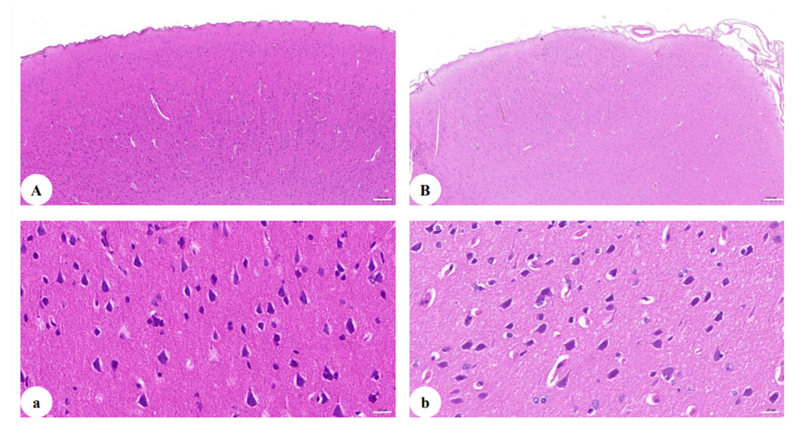
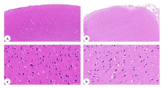
3.4. SHIVKU-1 Infection Triggers a Reduction in the Number of Neurons in Cerebral Cortex of Rhesus Monkeys
3.5. Up-Regulation of NUCB1 Protein in Cerebral Cortex of SHIVKU-1-Infected Monkey
3.6. Down-Regulation of CNR1 Protein in Cerebral Cortex of SHIVKU-1-Infected Monkey
4. Discussion
Author Contributions
Funding
Institutional Review Board Statement
Informed Consent Statement
Data Availability Statement
Acknowledgments
Conflicts of Interest
References
- Liu, X.; Wang, H.; Zhu, Z.; Zhang, L.; Cao, J.; Zhang, L.; Yang, H.; Wen, H.; Hu, Y.; Chen, C.; et al. Exploring bridge symptoms in HIV-positive people with comorbid depressive and anxiety disorders. BMC Psychiatry 2022, 22, 448. [Google Scholar] [CrossRef] [PubMed]
- Mills, J.C.; Harman, J.S.; Cook, R.L.; Marlow, N.M.; Harle, C.A.; Duncan, R.P.; Bengtson, A.M.; Pence, B.W. Comparative effectiveness of dual-action versus single-action antidepressants for the treatment of depression in people living with HIV/AIDS. J. Affect. Disord. 2017, 215, 179–186. [Google Scholar] [CrossRef] [PubMed]
- Algoodkar, S.; Kidangazhiathmana, A.; Rejani, P.P.; Shaji, K.S. Prevalence and Factors associated with Depression among Clinically Stable People Living with HIV/AIDS on Antiretroviral Therapy. Indian J. Psychol. Med. 2017, 39, 789–793. [Google Scholar] [CrossRef]
- Cholera, R.; Pence, B.W.; Gaynes, B.N.; Bassett, J.; Qangule, N.; Pettifor, A.; Macphail, C.; Miller, W.C. Depression and Engagement in Care among Newly Diagnosed HIV-Infected Adults in Johannesburg, South Africa. AIDS Behav. 2017, 21, 1632–1640. [Google Scholar] [CrossRef] [PubMed]
- Malava, J.K.; Lancaster, K.E.; Hosseinipour, M.C.; Hosseinipour, M.C.; Rosenberg, N.E.; O’Donnell, J.K.; Kauye, F.; Mbirimtengerenji, N.; Chaweza, T.; Tweya, H.; et al. Prevalence and correlates of probable depression diagnosis and suicidal ideation among patients receiving HIV care in Lilongwe, Malawi. Malawi Med. J. 2018, 30, 236–242. [Google Scholar] [CrossRef]
- Kamthan, A.; Kamthan, M.; Kumar, A.; Sharma, P.; Ansari, S.; Thakur, S.S.; Chaudhuri, A.; Datta, A. A calmodulin like EF hand protein positively regulates oxalate decarboxylase expression by interacting with E-box elements of the promoter. Sci. Rep. 2015, 5, 14578. [Google Scholar] [CrossRef] [PubMed]
- Kanuru, M.; Aradhyam, G.K. Chaperone-like Activity of Calnuc Prevents Amyloid Aggregation. Biochemistry 2017, 56, 149–159. [Google Scholar] [CrossRef] [PubMed]
- Barbazan, J.; Dunkel, Y.; Li, H.; Nitsche, U.; Janssen, K.-P.; Messer, K.; Ghosh, P. Prognostic Impact of Modulators of G proteins in Circulating Tumor Cells from Patients with Metastatic Colorectal Cancer. Sci. Rep. 2016, 6, 22112. [Google Scholar] [CrossRef]
- Ramesh, N.; Mohan, H.; Unniappan, S. Nucleobindin-1 encodes a nesfatin-1-like peptide that stimulates insulin secretion. Gen. Comp. Endocrinol. 2015, 216, 182–189. [Google Scholar] [CrossRef]
- Horvatić, A.; Gelemanović, A.; Pirkić, B.; Smolec, O.; Ljubić, B.B.; Rubić, I.; Eckersall, P.D.; Mrljak, V.; McLaughlin, M.; Samardžija, M.; et al. Multi-Omics Approach to Elucidate Cerebrospinal Fluid Changes in Dogs with Intervertebral Disc Herniation. Int. J. Mol. Sci. 2021, 22, 11678. [Google Scholar] [CrossRef]
- Sargeant, J.; Hay, J.C. Ca2+ regulation of constitutive vesicle trafficking. Fac. Rev. 2022, 11, 6. [Google Scholar] [CrossRef] [PubMed]
- Koren, S.A.; Hamm, M.J.; Cloyd, R.; Fontaine, S.N.; Chishti, E.; Lanzillotta, C.; Rodriguez-Rivera, J.; Ingram, A.; Bell, M.; Galvis-Escobar, S.M.; et al. Broad Kinase Inhibition Mitigates Early Neuronal Dysfunction in Tauopathy. Int. J. Mol. Sci. 2021, 22, 1186. [Google Scholar] [CrossRef]
- Balasubramanian, V.; Srinivasan, B. Genetic analyses uncover pleiotropic compensatory roles for Drosophila Nucleobindin-1 in inositol trisphosphate-mediated intracellular calcium homeostasis. Genome 2020, 63, 61–90. [Google Scholar] [CrossRef] [PubMed]
- Kim, E.Y.; Ahn, H.-S.; Lee, M.Y.; Yu, J.; Yeom, J.; Jeong, H.; Min, H.; Lee, H.J.; Kim, K.; Ahn, Y.M. An Exploratory Pilot Study with Plasma Protein Signatures Associated with Response of Patients with Depression to Antidepressant Treatment for 10 Weeks. Biomedicines 2020, 8, 455. [Google Scholar] [CrossRef]
- Cacciaguerra, L.; Mistri, D.; Valsasina, P.; Martinelli, V.; Filippi, M.; Rocca, M.A. Time-varying connectivity of the precuneus and its association with cognition and depressive symptoms in neuromyelitis optica: A pilot MRI study. Mult. Scler. 2022, 7, 13524585221107125. [Google Scholar] [CrossRef]
- Zhang, Y.; Wang, K.; Wei, Y.; Guo, X.; Wen, J.; Luo, Y. Minimal EEG channel selection for depression detection with connectivity features during sleep. Comput. Biol. Med. 2022, 147, 105690. [Google Scholar] [CrossRef] [PubMed]
- Küper, M.; Rabe, K.; Esser, S.; Gizewski, E.R.; Husstedt, I.W.; Maschke, M.; Obermann, M. Structural gray and white matter changes in patients with HIV. J. Neurol. 2011, 258, 1066–1075. [Google Scholar] [CrossRef] [PubMed]
- Imai, K.; Kimura, S.; Kiryu, Y.; Watanabe, A.; Kinai, E.; Oka, S.; Kikuchi, Y.; Kimura, S.; Ogata, M.; Takano, M.; et al. Neurocognitive dysfunction and brain FDG-PET/CT findings in HIV-infected hemophilia patients and HIV-infected non-hemophilia patients. PLoS ONE 2020, 15, e0230292. [Google Scholar] [CrossRef]
- Omeragic, A.; Kayode, O.; Hoque, M.T.; Bendayan, R. Potential pharmacological approaches for the treatment of HIV-1 associated neurocognitive disorders. Fluids Barriers CNS 2020, 17, 42. [Google Scholar] [CrossRef]
- Williams, K.; Westmoreland, S.; Greco, J.; Ratai, E.; Lentz, M.; Kim, W.-K.; Fuller, R.A.; Kim, J.P.; Autissier, P.; Sehgal, P.K.; et al. Magnetic resonance spectroscopy reveals that activated monocytes contribute to neuronal injury in SIV neuroAIDS. J. Clin. Investig. 2005, 115, 2534–2545. [Google Scholar] [CrossRef] [Green Version]
- Serrat, M.; Almirall, M.; Musté, M.; Sanabria-Mazo, J.P.; Feliu-Soler, A.; Méndez-Ulrich, J.L.; Luciano, J.V.; Sanz, A. Effectiveness of a Multicomponent Treatment for Fibromyalgia Based on Pain Neuroscience Education, Exercise Therapy, Psychological Support, and Nature Exposure (NAT-FM): A Pragmatic Randomized Controlled Trial. J. Clin. Med. 2020, 9, 3348. [Google Scholar] [CrossRef] [PubMed]
- Feliu-Soler, A.; Borràs, X.; Peñarrubia-María, M.T.; Rozadilla-Sacanell, A.; D’Amico, F.; Moss-Morris, R.; Howard, M.A.; Fayed, N.; Soriano-Mas, C.; Puebla-Guedea, M.; et al. Cost-utility and biological underpinnings of Mindfulness-Based Stress Reduction (MBSR) versus a psychoeducational programme (FibroQoL) for fibromyalgia: A 12-month randomised controlled trial (EUDAIMON study). BMC Complement. Altern. Med. 2016, 16, 81. [Google Scholar] [CrossRef] [PubMed]
- Zigmond, A.S.; Snaith, R.P. The hospital anxiety and depression scale. Acta Psychiatry Scand. 1983, 67, 361–370. [Google Scholar] [CrossRef] [PubMed]
- Yu, J.; Li, X.; Matei, N.; McBride, D.; Tang, J.; Yan, M.; Zhang, J.H. Ezetimibe, a NPC1L1 inhibitor, attenuates neuronal apoptosis through AMPK dependent autophagy activation after MCAO in rats. Exp. Neurol. 2018, 307, 12–23. [Google Scholar] [CrossRef]
- Kuwar, R.; Rolfe, A.; Di, L.; Blevins, H.; Xu, Y.; Sun, X.; Bloom, G.S.; Zhang, S.; Sun, D. A Novel Inhibitor Targeting NLRP3 Inflammasome Reduces Neuropathology and Improves Cognitive Function in Alzheimer’s Disease Transgenic Mice. J. Alzheimers Dis. 2021, 82, 1769–1783. [Google Scholar] [CrossRef]
- Yu, Q.; Xiao, Q.H.; Zhang, J.; Wang, Y.; Xian, Q.Y.; Cheng, J.X.; Zhuang, K. Pathological study of central nervous system injury in a Chinese rhesus macaque model of SHIVKU-1 infection. J. Pathog. Biol. 2019, 14, 896–900. [Google Scholar]
- Li, J.-L.; Zhuang, K.; Wu, G.-Y.; Ho, W.-Z. Magnetic resonance imaging study of a simian/human immunodeficiency virus-infected Chinese rhesus macaque with HIV-associated dementia. AIDS Res. Hum. Retrovir. 2015, 31, 272–273. [Google Scholar] [CrossRef]
- Ma, L.; Jia, J.; Niu, W.; Jiang, T.; Zhai, Q.; Yang, L.; Bai, F.; Wang, Q.; Xiong, L. Mitochondrial CB1 receptor is involved in ACEA-induced protective effects on neurons and mitochondrial functions. Sci. Rep. 2015, 5, 12440. [Google Scholar] [CrossRef]
- Schurman, L.D.; Lichtman, A.H. Endocannabinoids: A Promising Impact for Traumatic Brain Injury. Front. Pharmacol. 2017, 8, 69. [Google Scholar] [CrossRef]
- Liu, Q.; Bhat, M.; Bowen, W.D.; Cheng, J. Signaling pathways from cannabinoid receptor-1 activation to inhibition of N-methyl-d-aspartic acid mediated calcium influx and neurotoxicity in dorsal root ganglion neurons. J. Pharmacol. Exp. Ther. 2009, 331, 1062–1070. [Google Scholar] [CrossRef]
- Fu, X.; Lawson, M.A.; Kelley, K.W.; Dantzer, R. HIV-1 Tat activates indoleamine 2,3 dioxygenase in murine organotypic hippocampal slice cultures in a p38 mitogen-activated protein kinase-dependent manner. J. Neuroinflam. 2011, 8, 88. [Google Scholar] [CrossRef] [PubMed] [Green Version]
- Kee, M.-K.; Lee, S.-Y.; Kim, N.-Y.; Lee, J.-S.; Kim, J.M.; Choi, J.Y.; Ku, N.S.; Kang, M.W.; Kim, M.J.; Woo, J.H.; et al. Anxiety and depressive symptoms among patients infected with human immunodeficiency virus in South Korea. AIDS Care 2015, 27, 1174–1182. [Google Scholar] [CrossRef] [PubMed]
- Tozzi, L.; Zhang, X.; Chesnut, M.; Holt-Gosselin, B.; Ramirez, C.A.; Williams, L.M. Reduced functional connectivity of default mode network subsystems in depression: Meta-analytic evidence and relationship with trait rumination. Neuroimage Clin. 2021, 30, 102570. [Google Scholar] [CrossRef] [PubMed]
- Selingardi, P.M.L.; de Lima Rodrigues, A.L.; Silva, V.; Fernandes, D.T.R.M.; Rosi, J.; Marcolin, M.A.; Yeng, L.T.; Brunoni, A.R.; Teixeira, M.J.; Galhardoni, R.; et al. Long-term deep-TMS does not negatively affect cognitive functions in stroke and spinal cord injury patients with central neuropathic pain. BMC Neurol. 2019, 19, 319. [Google Scholar] [CrossRef]
- Battaglia, S.; Thayer, J.F. Functional interplay between central and autonomic nervous systems in human fear conditioning. Trends Neurosci. 2022, 45, 504–506. [Google Scholar] [CrossRef]
- Battaglia, S.; Orsolini, S.; Borgomaneri, S.; Barbieri, R.; Diciotti, S.; di Pellegrino, G. Characterizing cardiac autonomic dynamics of fear learning in humans. Psychophysiology 2022, e14122. [Google Scholar] [CrossRef]
- Tanaka, M.; Vécsei, L. Crosstalk between Depression, Anxiety, and Dementia: Comorbidity in Behavioral Neurology and Neuropsychiatry. Biomedicines 2021, 9, 517. [Google Scholar] [CrossRef]
- Tanaka, M.; Vécsei, L. Monitoring the kynurenine system: Concentrations, ratios or what else? Adv. Clin. Exp. Med. 2021, 30, 775–778. [Google Scholar] [CrossRef]
- Martos, D.; Tuka, B.; Tanaka, M.; Vécsei, L.; Telegdy, G. Memory Enhancement with Kynurenic Acid and Its Mechanisms in Neurotransmission. Biomedicines 2022, 10, 849. [Google Scholar] [CrossRef]
- Ford, P.A.; Jaceldo-Siegl, K.; Lee, J.W.; Tonstad, S. Trans fatty acid intake is related to emotional affect in the Adventist Health Study-2. Nutr. Res. 2016, 36, 509–517. [Google Scholar] [CrossRef]
- Song, K.; Wang, Y.; Ren, M.-X.; Li, J.; Su, T.; Chen, S.-Y.; Shao, Y.; Lv, Y.-L. Resting-State Functional Magnetic Resonance Imaging and Functional Connectivity Density Mapping in Patients with Optic Neuritis. Front. Neurosci. 2021, 15, 718973. [Google Scholar] [CrossRef] [PubMed]
- Bassi, M.S.; Gilio, L.; Maffei, P.; Dolcetti, E.; Bruno, A.; Buttari, F.; Centonze, D.; Iezzi, E. Exploiting the Multifaceted Effects of Cannabinoids on Mood to Boost Their Therapeutic Use Against Anxiety and Depression. Front. Mol. Neurosci. 2018, 11, 424. [Google Scholar] [CrossRef] [PubMed]
- Rana, T.; Behl, T.; Sehgal, A.; Mehta, V.; Singh, S.; Kumar, R.; Bungau, S. Integrating Endocannabinoid Signalling in Depression. J. Mol. Neurosci. 2021, 71, 2022–2034. [Google Scholar] [CrossRef]
- Rocha, L.; Cinar, R.; Guevara-Guzmán, R.; Alonso-Vanegas, M.; San-Juan, D.; Martínez-Juárez, I.E.; Castañeda-Cabral, J.L.; Carmona-Cruz, F. Endocannabinoid System and Cannabinoid 1 Receptors in Patients with Pharmacoresistant Temporal Lobe Epilepsy and Comorbid Mood Disorders. Front. Behav. Neurosci. 2020, 14, 52. [Google Scholar] [CrossRef]
- Ettaro, R.; Laudermilk, L.; Clark, S.D.; Maitra, R. Behavioral assessment of rimonabant under acute and chronic conditions. Behav. Brain. Res. 2020, 390, 112697. [Google Scholar] [CrossRef] [PubMed]
- Nguyen, T.; Thomas, B.F.; Zhang, Y. Overcoming the Psychiatric Side Effects of the Cannabinoid CB1 Receptor Antagonists: Current Approaches for Therapeutics Development. Curr. Top. Med. Chem. 2019, 19, 1418–1435. [Google Scholar] [CrossRef]
- Towe, S.L.; Meade, C.S.; Cloak, C.C.; Bell, R.P.; Baptiste, J.; Chang, L. Reciprocal Influences of HIV and Cannabinoids on the Brain and Cognitive Function. J. Neuroimmune Pharmacol. 2020, 15, 765–779. [Google Scholar] [CrossRef]
- Avraham, H.K.; Jiang, S.; Fu, Y.; Rockenstein, E.; Makriyannis, A.; Wood, J.; Wang, L.; Masliah, E.; Avraham, S. Impaired neurogenesis by HIV-1-Gp120 is rescued by genetic deletion of fatty acid amide hydrolase enzyme. Br. J. Pharmacol. 2015, 172, 4603–4614. [Google Scholar] [CrossRef]
- Starr, A.; Jordan-Sciutto, K.L.; Mironets, E. Confound, Cause, or Cure: The Effect of Cannabinoids on HIV-Associated Neurological Sequelae. Viruses 2021, 13, 1242. [Google Scholar] [CrossRef]
- Niphakis, M.J.; Lum, K.M.; Cognetta, A.B., III; Correia, B.E.; Ichu, T.-A.; Olucha, J.; Brown, S.J.; Kundu, S.; Piscitelli, F.; Rosen, H.; et al. A Global Map of Lipid-Binding Proteins and Their Ligandability in Cells. Cell 2015, 161, 1668–1680. [Google Scholar] [CrossRef]
- Hermes, D.J.; Yadav-Samudrala, B.J.; Xu, C.; Piscitelli, F.; Di Marzo, V.; Maradonna, F.; Calduch-Giner, J.; Pérez-Sánchez, J.; Carnevali, O. GPR18 drives FAAH inhibition-induced neuroprotection against HIV-1 Tat-induced neurodegeneration. Exp. Neurol. 2021, 341, 113699. [Google Scholar] [CrossRef] [PubMed]
- Forner-Piquer, I.; Fakriadis, I.; Mylonas, C.C.; Sui, H.; Zhang, L.; Zhao, C.; Lu, X. Effects of Dietary Bisphenol A on the Reproductive Function of Gilthead Sea Bream (Sparus aurata) Testes. Int. J. Mol. Sci. 2019, 20, 5003. [Google Scholar] [CrossRef] [PubMed]
- Xu, H.; Zhou, W.; Zhan, L.; Sui, H.; Zhang, L.; Zhao, C.; Lu, X. The ZiBuPiYin recipe regulates proteomic alterations in brain mitochondria-associated ER membranes caused by chronic psychological stress exposure: Implications for cognitive decline in Zucker diabetic fatty rats. Aging 2020, 12, 23698–23726. [Google Scholar] [CrossRef] [PubMed]
- Zhao, C.-C.; Yu, W.-W.; Qi, Y.-J.; Xu, L.-F.; Wang, Z.-R.; Qiang, Y.-W.; Ma, F.; Ma, X.-L. Quantitative proteomic analysis reveals that Luks-PV exerts antitumor activity by regulating the key proteins and metabolic pathways in HepG2 cells. Anticancer Drugs. 2020, 31, 223–230. [Google Scholar] [CrossRef] [Green Version]





| Items | HAD-A | HAD-D | ||
|---|---|---|---|---|
| Week 0 | Week 8 | Week 0 | Week 8 | |
| ≤7 | ≥8 | ≤7 | ≥8 | |
| Score ≤ 7 | 97 | 105 | 109 | 105 |
| Score ≥ 8 | 53 | 27 | 41 | 27 |
| x2 | 7.443 | 1.723 | ||
| p | 0.006 | 0.189 | ||
| Factors | n | Anxiety (HAD-A ≥ 8) | Χ2 p | Depression (HAD-D ≥ 8) | Χ2 p | ||
|---|---|---|---|---|---|---|---|
| Age | 0.909 | 0.464 | 5.419 | 0.001 * | |||
| ≤20 years | 20 | 10 | 4 | ||||
| 21–30 years | 64 | 24 | 14 | ||||
| 31–40 years | 38 | 12 | 10 | ||||
| 41–50 years | 14 | 6 | 6 | ||||
| ≥51 years | 14 | 8 | 10 | ||||
| Gender | 0.025 | 0.876 | 0.423 | 0.517 | |||
| male | 146 | 60 | 43 | ||||
| female | 4 | 1 | 1 | ||||
| Marital status | 0.039 | 0.962 | 3.270 | 0.044 * | |||
| Single | 96 | 38 | 22 | ||||
| married | 32 | 16 | 12 | ||||
| divorced/widowed | 22 | 10 | 10 | ||||
| Weight (kg) | 3.296 | 0.043 * | 0.735 | 0.483 | |||
| ≤60 | 52 | 28 | 16 | ||||
| 61–80 | 84 | 28 | 28 | ||||
| ≥81 | 14 | 6 | 0 | ||||
| Education | 2.469 | 0.069 | 2.135 | 0.103 | |||
| unable to read and write or primary | 6 | 6 | 4 | ||||
| secondary | 40 | 20 | 14 | ||||
| junior college | 52 | 18 | 14 | ||||
| diploma and above | 52 | 18 | 12 | ||||
| Occupation | 1.386 | 0.257 | 0.610 | 0.546 | |||
| permanent employee | 32 | 16 | 12 | ||||
| private employee | 96 | 34 | 28 | ||||
| student | 22 | 10 | 4 | ||||
| HIV transmission route | 0.029 | 0.865 | 0.733 | 0.395 | |||
| homosexual | 126 | 52 | 38 | ||||
| heterosexual | 24 | 8 | 6 | ||||
| Time elapsed from the first positive HIV test to ART initiation | 0.054 | 0.947 | 0.799 | 0.454 | |||
| ≤4 week | 108 | 44 | 28 | ||||
| week 4–8 | 20 | 8 | 8 | ||||
| ≥8 week | 22 | 8 | 8 | ||||
| Smoking | 0.010 * | 0.991 | 0.170 | 0.844 | |||
| never | 122 | 50 | 36 | ||||
| ≤10 cigarettes per day | 20 | 8 | 6 | ||||
| ≥10 cigarettes per day | 8 | 2 | 2 | ||||
| Drinking | 0.871 | 0.424 | 0.748 | 0.478 | |||
| never | 126 | 52 | 30 | ||||
| occasionally | 20 | 6 | 6 | ||||
| ≥100mL liquor per day | 4 | 2 | 4 | ||||
Publisher’s Note: MDPI stays neutral with regard to jurisdictional claims in published maps and institutional affiliations. |
© 2022 by the authors. Licensee MDPI, Basel, Switzerland. This article is an open access article distributed under the terms and conditions of the Creative Commons Attribution (CC BY) license (https://creativecommons.org/licenses/by/4.0/).
Share and Cite
Yang, Y.; Zhang, Q.; Yang, J.; Wang, Y.; Zhuang, K.; Zhao, C. Possible Association of Nucleobindin-1 Protein with Depressive Disorder in Patients with HIV Infection. Brain Sci. 2022, 12, 1151. https://doi.org/10.3390/brainsci12091151
Yang Y, Zhang Q, Yang J, Wang Y, Zhuang K, Zhao C. Possible Association of Nucleobindin-1 Protein with Depressive Disorder in Patients with HIV Infection. Brain Sciences. 2022; 12(9):1151. https://doi.org/10.3390/brainsci12091151
Chicago/Turabian StyleYang, Yun, Qian Zhang, Jing Yang, Yun Wang, Ke Zhuang, and Changcheng Zhao. 2022. "Possible Association of Nucleobindin-1 Protein with Depressive Disorder in Patients with HIV Infection" Brain Sciences 12, no. 9: 1151. https://doi.org/10.3390/brainsci12091151
APA StyleYang, Y., Zhang, Q., Yang, J., Wang, Y., Zhuang, K., & Zhao, C. (2022). Possible Association of Nucleobindin-1 Protein with Depressive Disorder in Patients with HIV Infection. Brain Sciences, 12(9), 1151. https://doi.org/10.3390/brainsci12091151

