Visualization of Resected Area in Endonasal Endoscopic Approach versus Transcranial Approach for Skull Base Meningiomas by Voxel-Based-Lesion Mapping
Abstract
1. Introduction
2. Materials and Methods
2.1. Patients
2.2. Tumor Location and Surgical Strategies
2.3. Evaluation of Clinical Information
2.4. Evaluation of Tumor Removal Rates by Intraoperative Findings
2.5. Voxel-Based-Lesion Mapping
3. Results
3.1. Patient Characteristics
3.2. Microscopic Tumor Removal Rates
3.3. Recurrence Rates and Adjuvant Therapies
3.4. Clinical Outcomes by KPS Scoring
3.5. Permanent Neurological Deficits
3.6. CSF Leakage
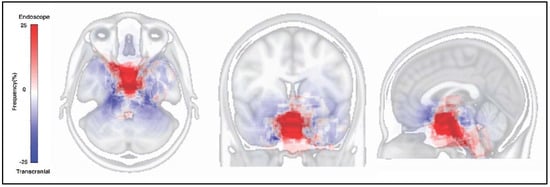
3.7. Tumor Resected Map by Both Approaches
4. Discussion
4.1. Summary of This Study
4.2. Our Strategy for SBMs
4.3. Voxel-Based-Lesion Mapping for Skull Base Meningiomas
4.4. Limitations of This Study
5. Conclusions
Author Contributions
Funding
Institutional Review Board Statement
Informed Consent Statement
Data Availability Statement
Conflicts of Interest
References
- Schwartz, T.H.; Morgenstern, P.F.; Anand, V.K. Lessons learned in the evolution of endoscopic skull base surgery. J. Neurosurg. 2019, 130, 337–346. [Google Scholar] [CrossRef]
- Bander, E.D.; Singh, H.; Ogilvie, C.B.; Cusic, R.C.; Pisapia, D.J.; Tsiouris, A.J.; Anand, V.K.; Schwartz, T.H. Endoscopic endonasal versus transcranial approach to tuberculum sellae and planum sphenoidale meningiomas in a similar cohort of patients. J. Neurosurg. 2018, 128, 40–48. [Google Scholar] [CrossRef]
- Komotar, R.J.; Starke, R.M.; Raper, D.M.S.; Anand, V.K.; Schwartz, T.H. Endoscopic skull base surgery: A comprehensive comparison with open transcranial approaches. Br. J. Neurosurg. 2012, 26, 637–648. [Google Scholar] [CrossRef]
- Muskens, I.S.; Briceno, V.; Ouwehand, T.L.; Castlen, J.P.; Gormley, W.B.; Aglio, L.S.; Najafabadi, A.H.Z.; van Furth, W.R.; Smith, T.R.; Mekary, R.A.; et al. The endoscopic endonasal approach is not superior to the microscopic transcranial approach for anterior skull base meningiomas–A meta-analysis. Acta Neurochir. 2018, 160, 59–75. [Google Scholar] [CrossRef]
- Goto, T.; Ohata, K. Surgical Resectability of Skull Base Meningiomas. Neurol. Med. Chir. 2016, 56, 372–378. [Google Scholar] [CrossRef] [PubMed]
- Simpson, D. The recurrence of intracranial meningiomas after surgical treatment. J. Neurol. Neurosurg. Psychiatry 1957, 20, 22–39. [Google Scholar] [CrossRef] [PubMed]
- Sasaki, T.; Kinoshita, M.; Fujita, K.; Fukai, J.; Hayashi, N.; Uematsu, Y.; Okita, Y.; Nonaka, M.; Moriuchi, S.; Uda, T.; et al. Radiomics and MGMT promoter methylation for prognostication of newly diagnosed glioblastoma. Sci. Rep. 2019, 9, 14435. [Google Scholar] [CrossRef] [PubMed]
- Ichinose, T.; Goto, T.; Ishibashi, K.; Takami, T.; Ohata, K. The role of radical microsurgical resection in multimodal treatment for skull base meningioma. J. Neurosurg. 2010, 113, 1072–1078. [Google Scholar] [CrossRef]
- Jenkinson, M.; Beckmann, C.F.; Behrens, T.E.; Woolrich, M.W.; Smith, S.M. FSL. Neuroimage 2012, 62, 782–790. [Google Scholar] [CrossRef]
- Arita, H.; Kinoshita, M.; Kawaguchi, A.; Takahashi, M.; Narita, Y.; Terakawa, Y.; Tsuyuguchi, N.; Okita, Y.; Nonaka, M.; Moriuchi, S.; et al. Lesion location implemented magnetic resonance imaging radiomics for predicting IDH and TERT promoter mutations in grade II/III gliomas. Sci. Rep. 2018, 8, 11773. [Google Scholar] [CrossRef]
- Lancaster, J.L.; Cykowski, M.D.; McKay, D.R.; Kochunov, P.V.; Fox, P.T.; Rogers, W.; Toga, A.W.; Zilles, K.; Amunts, K.; Mazziotta, J. Anatomical global spatial normalization. Neuroinformatics 2010, 8, 171–182. [Google Scholar] [CrossRef] [PubMed]
- Cízek, J.; Herholz, K.; Vollmar, S.; Schrader, R.; Klein, J.; Heiss, W.-D. Fast and robust registration of PET and MR images of human brain. Neuroimage 2004, 22, 434–442. [Google Scholar] [CrossRef] [PubMed]
- Chokyu, I.; Goto, T.; Ishibashi, K.; Nagata, T.; Ohata, K. Bilateral subfrontal approach for tuberculum sellae meningiomas in long-term postoperative visual outcome. J. Neurosurg. 2011, 115, 802–810. [Google Scholar] [CrossRef] [PubMed]
- Hakuba, A.; Liu, S.; Nishimura, S. The orbitozygomatic infratemporal approach: A new surgical technique. Surg. Neurol. 1986, 26, 271–276. [Google Scholar] [CrossRef]
- Hakuba, A.; Nishimura, S. Total removal of clivus meningiomas and the operative results. Neurol. Med. Chir. 1981, 21, 59–73. [Google Scholar] [CrossRef][Green Version]
- Hakuba, A.; Nishimura, S.; Jang, B.J. A combined retroauricular and preauricular transpetrosal-transtentorial approach to clivus meningiomas. Surg. Neurol. 1988, 30, 108–116. [Google Scholar] [CrossRef]
- Hakuba, A.; Tanaka, K.; Suzuki, T.; Nishimura, S. A combined orbitozygomatic infratemporal epidural and subdural approach for lesions involving the entire cavernous sinus. J. Neurosurg. 1989, 71, 699–704. [Google Scholar] [CrossRef]
- Morisako, H.; Goto, T.; Ohata, H.; Goudihalli, S.R.; Shirosaka, K.; Ohata, K. Safe maximal resection of primary cavernous sinus meningiomas via a minimal anterior and posterior combined transpetrosal approach. Neurosurg. Focus 2018, 44, E11. [Google Scholar] [CrossRef]
- Morisako, H.; Goto, T.; Ohata, K. Petroclival meningiomas resected via a combined transpetrosal approach: Surgical outcomes in 60 cases and a new scoring system for clinical evaluation. J. Neurosurg. 2015, 122, 373–380. [Google Scholar] [CrossRef]
- Nagahama, A.; Goto, T.; Nagm, A.; Tanoue, Y.; Watanabe, Y.; Arima, H.; Nakajo, K.; Morisako, H.; Uda, T.; Ichinose, T.; et al. Spheno-Orbital Meningioma: Surgical Outcomes and Management of Recurrence. World Neurosurg. 2019, 126, e679–e687. [Google Scholar] [CrossRef]
- Fraser, S.; Gardner, P.A.; Koutourousiou, M.; Kubik, M.; Fernandez-Miranda, J.C.; Snyderman, C.H.; Wang, E.W. Risk factors associated with postoperative cerebrospinal fluid leak after endoscopic endonasal skull base surgery. J. Neurosurg. 2018, 128, 1066–1071. [Google Scholar] [CrossRef] [PubMed]
- Al-Mefty, O.; Fox, J.L.; Smith, R.R. Petrosal approach for petroclival meningiomas. Neurosurgery 1988, 22, 510–517. [Google Scholar] [CrossRef] [PubMed]
- Samii, M.; Ammirati, M.; Mahran, A.; Bini, W.; Sepehrnia, A. Surgery of petroclival meningiomas: Report of 24 cases. Neurosurgery 1989, 24, 12–17. [Google Scholar] [CrossRef] [PubMed]



| EEA | TCA | |
|---|---|---|
| No. of surgeries | 20 | 135 |
| Male (No. (%)) | 7 (35.0) | 36 (26.7) |
| Mean age at surgery (yrs) | 57.8 ± 11.8 SD | 57.8 ± 12.2 SD |
| Tumor location | ||
| Frontal base (No. (%)) | 3 (15.0) | 31 (23.0) |
| Sphenoid-Middle fossa (No. (%)) | 10 (50.0) | 36 (26.7) |
| Petroclival (No. (%)) | 7 (35.0) | 46 (34.1) |
| Posterior fossa (No. (%)) | 0 (0.0) | 22 (16.3) |
| Microscopic tumor removal rate | ||
| Gross total resection (No. (%)) | 0 (0.0) | 60 (44.4) |
| Subtotal resection (No. (%)) | 17 (85.0) | 63 (46.7) |
| Partial resection (No. (%)) | 3 (15.0) | 12 (8.9) |
| Recurrence rate (No. (%)) | 5 (25.0) | 21 (15.6) |
| Adjuvant therapy for recurrence tumor | ||
| Radiation therapy (No. (%)) | 3 (15.0) | 15 (11.1) |
| Surgery (No. (%)) | 4 (20.0) | 10 (7.4) |
| Clinical outcome (KPS scores) | ||
| Improved (No. (%)) | 1 (5.0) | 19 (14.1) |
| No changed (No. (%)) | 19 (95.0) | 104 (77.0) |
| Deteriorated (No. (%)) | 0 (0.0) | 12 (8.9) |
| Permanent neurological deficit | ||
| Anosmia (No. (%)) | 0 (0.0) | 3 (2.2) |
| Visual defect (No. (%)) | 0 (0.0) | 3 (2.2) |
| Diplopia (No. (%)) | 1 (5.0) | 19 (14.1) |
| Facial numbness (No. (%)) | 0 (0.0) | 11 (8.1) |
| Facial palsy (No. (%)) | 0 (0.0) | 3 (2.2) |
| Hearing loss (No. (%)) | 0 (0.0) | 2 (1.5) |
| Dysphagia (No. (%)) | 0 (0.0) | 7 (5.2) |
| Motor (No. (%)) | 0 (0.0) | 5 (3.7) |
| Ataxia (No. (%)) | 0 (0.0) | 1 (0.7) |
| Death (No. (%)) | 0 (0.0) | 1 (0.7) |
| CSF leakage (No. (%)) | 3 (15.0) | 2 (1.5) |
Publisher’s Note: MDPI stays neutral with regard to jurisdictional claims in published maps and institutional affiliations. |
© 2022 by the authors. Licensee MDPI, Basel, Switzerland. This article is an open access article distributed under the terms and conditions of the Creative Commons Attribution (CC BY) license (https://creativecommons.org/licenses/by/4.0/).
Share and Cite
Uda, H.; Uda, T.; Kinoshita, M.; Kishima, H.; Tanoue, Y.; Nagahama, A.; Kawashima, T.; Ohata, H.; Nakajo, K.; Morisako, H.; et al. Visualization of Resected Area in Endonasal Endoscopic Approach versus Transcranial Approach for Skull Base Meningiomas by Voxel-Based-Lesion Mapping. Brain Sci. 2022, 12, 875. https://doi.org/10.3390/brainsci12070875
Uda H, Uda T, Kinoshita M, Kishima H, Tanoue Y, Nagahama A, Kawashima T, Ohata H, Nakajo K, Morisako H, et al. Visualization of Resected Area in Endonasal Endoscopic Approach versus Transcranial Approach for Skull Base Meningiomas by Voxel-Based-Lesion Mapping. Brain Sciences. 2022; 12(7):875. https://doi.org/10.3390/brainsci12070875
Chicago/Turabian StyleUda, Hiroshi, Takehiro Uda, Manabu Kinoshita, Haruhiko Kishima, Yuta Tanoue, Atsufumi Nagahama, Toshiyuki Kawashima, Hiroki Ohata, Kosuke Nakajo, Hiroki Morisako, and et al. 2022. "Visualization of Resected Area in Endonasal Endoscopic Approach versus Transcranial Approach for Skull Base Meningiomas by Voxel-Based-Lesion Mapping" Brain Sciences 12, no. 7: 875. https://doi.org/10.3390/brainsci12070875
APA StyleUda, H., Uda, T., Kinoshita, M., Kishima, H., Tanoue, Y., Nagahama, A., Kawashima, T., Ohata, H., Nakajo, K., Morisako, H., & Goto, T. (2022). Visualization of Resected Area in Endonasal Endoscopic Approach versus Transcranial Approach for Skull Base Meningiomas by Voxel-Based-Lesion Mapping. Brain Sciences, 12(7), 875. https://doi.org/10.3390/brainsci12070875

