Neuronal Intranuclear Inclusion Disease-Related Neurotrophic Keratitis: A Case Report
Abstract
1. Introduction
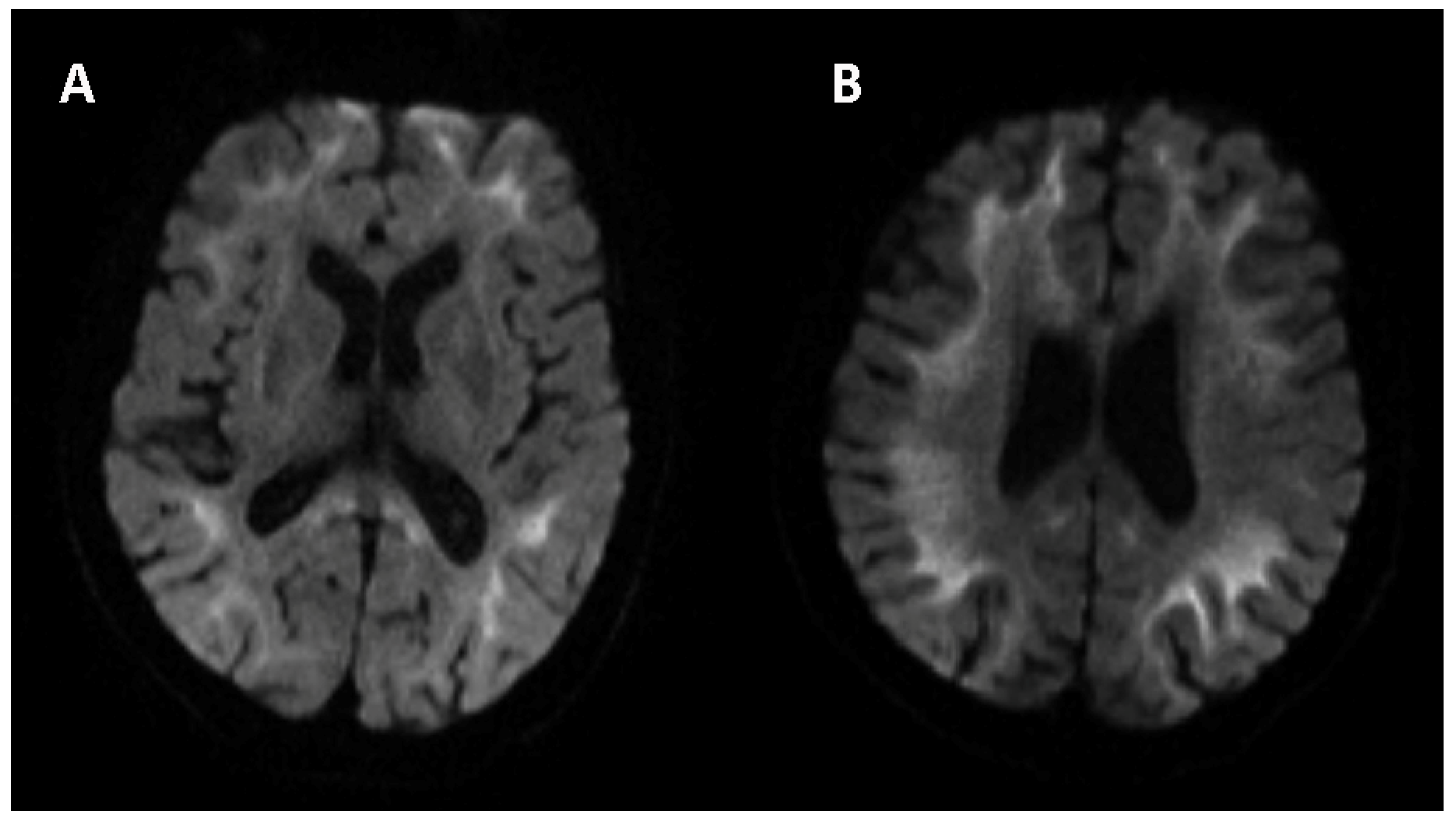
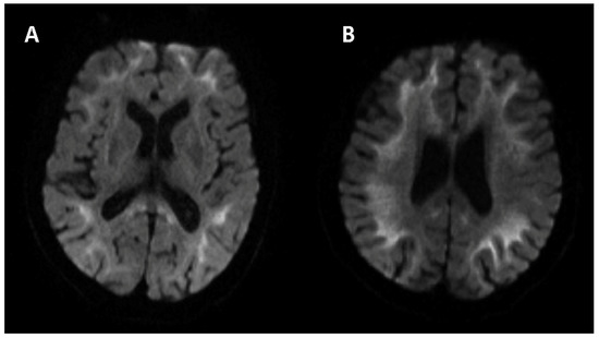
2. Case Report
3. Discussion
4. Conclusions
Author Contributions
Funding
Informed Consent Statement
Data Availability Statement
Acknowledgments
Conflicts of Interest
References
- Sone, J.; Mori, K.; Inagaki, T.; Katsumata, R.; Takagi, S.; Yokoi, S.; Araki, K.; Kato, T.; Nakamura, T.; Koike, H.; et al. Clinicopathological features of adult-onset neuronal intranuclear inclusion disease. Brain A J. Neurol. 2016, 139, 3170–3186. [Google Scholar] [CrossRef] [PubMed]
- Raza, H.K.; Singh, S.; Rai, P.; Chansysouphanthong, T.; Amir, A.; Cui, G.; Song, W.; Bao, L.; Zhou, S.; Shi, H.; et al. Recent progress in neuronal intranuclear inclusion disease: A review of the literature. Neurol. Sci. Off. J. Ital. Neurol. Soc. Ital. Soc. Clin. Neurophysiol. 2020, 41, 1019–1025. [Google Scholar] [CrossRef] [PubMed]
- Ishiura, H.; Shibata, S.; Yoshimura, J.; Suzuki, Y.; Qu, W.; Doi, K.; Almansour, M.A.; Kikuchi, J.K.; Taira, M.; Mitsui, J.; et al. Noncoding CGG repeat expansions in neuronal intranuclear inclusion disease, oculopharyngodistal myopathy and an overlapping disease. Nat. Genet. 2019, 51, 1222–1232. [Google Scholar] [CrossRef]
- Sone, J.; Mitsuhashi, S.; Fujita, A.; Mizuguchi, T.; Hamanaka, K.; Mori, K.; Koike, H.; Hashiguchi, A.; Takashima, H.; Sugiyama, H.; et al. Long-read sequencing identifies GGC repeat expansions in NOTCH2NLC associated with neuronal intranuclear inclusion disease. Nat. Genet. 2019, 51, 1215–1221. [Google Scholar] [CrossRef] [PubMed]
- Tian, Y.; Wang, J.L.; Huang, W.; Zeng, S.; Jiao, B.; Liu, Z.; Chen, Z.; Li, Y.; Wang, Y.; Min, H.X.; et al. Expansion of Human-Specific GGC Repeat in Neuronal Intranuclear Inclusion Disease-Related Disorders. Am. J. Hum. Genet. 2019, 105, 166–176. [Google Scholar] [CrossRef] [PubMed]
- Lu, X.; Hong, D. Neuronal intranuclear inclusion disease: Recognition and update. J. Neural Transm. 2021, 128, 295–303. [Google Scholar] [CrossRef] [PubMed]
- Nakamura, N.; Tsunoda, K.; Mitsutake, A.; Shibata, S.; Mano, T.; Nagashima, Y.; Ishiura, H.; Iwata, A.; Toda, T.; Tsuji, S.; et al. Clinical Characteristics of Neuronal Intranuclear Inclusion Disease-Related Retinopathy With CGG Repeat Expansions in the NOTCH2NLC Gene. Investig. Ophthalmol. Vis. Sci. 2020, 61, 27. [Google Scholar] [CrossRef]
- Liu, C.; Luan, X.; Liu, X.; Wang, X.; Cai, X.; Li, T.; Cao, L.; Long, D. Characteristics of ocular findings of patients with neuronal intranuclear inclusion disease. Neurol. Sci. Off. J. Ital. Neurol. Soc. Ital. Soc. Clin. Neurophysiol. 2021, 43, 3231–3237. [Google Scholar] [CrossRef]
- Wu, S.; Li, N.; Xia, F.; Sidlauskas, K.; Lin, X.; Qian, Y.; Gao, W.; Zhang, Q. Neurotrophic keratopathy due to dorsolateral medullary infarction (Wallenberg syndrome): Case report and literature review. BMC Neurol. 2014, 14, 231. [Google Scholar] [CrossRef]
- Dua, H.S.; Said, D.G.; Messmer, E.M.; Rolando, M.; Benitez-Del-Castillo, J.M.; Hossain, P.N.; Shortt, A.J.; Geerling, G.; Nubile, M.; Figueiredo, F.C.; et al. Neurotrophic keratopathy. Prog. Retin. Eye Res. 2018, 66, 107–131. [Google Scholar] [CrossRef]
- Haltia, M.; Tarkkanen, A.; Somer, H.; Palo, J.; Karli, H. Neuronal intranuclear inclusion disease. Clinical ophthalmological features and ophthalmic pathology. Acta Ophthalmol. 1986, 64, 637–643. [Google Scholar] [CrossRef] [PubMed]
- Yamada, W.; Takekoshi, A.; Ishida, K.; Mochizuki, K.; Sone, J.; Sobue, G.; Hayashi, Y.; Inuzuka, T.; Miyake, Y. Case of adult-onset neuronal intranuclear hyaline inclusion disease with negative electroretinogram. Doc. Ophthalmol. 2017, 134, 221–226. [Google Scholar] [CrossRef] [PubMed]
- Hirose, B.; Hisahara, S.; Uesugi, H.; Sone, J.; Sobue, G.; Shimohama, S. Sporadic adult-onset neuronal intranuclear inclusion disease with abnormal electroretinogram, nerve conduction studies and somatosensory evoked potential. Rinsho Shinkeigaku 2018, 58, 407–410. [Google Scholar] [CrossRef] [PubMed][Green Version]
- Al-Aqaba, M.A.; Dhillon, V.K.; Mohammed, I.; Said, D.G.; Dua, H.S. Corneal nerves in health and disease. Prog. Retin. Eye Res. 2019, 73, 100762. [Google Scholar] [CrossRef] [PubMed]
- Labetoulle, M.; Baudouin, C.; Calonge, M.; Merayo-Lloves, J.; Boboridis, K.G.; Akova, Y.A.; Aragona, P.; Geerling, G.; Messmer, E.M.; Benitez-Del-Castillo, J. Role of corneal nerves in ocular surface homeostasis and disease. Acta Ophthalmol. 2019, 97, 137–145. [Google Scholar] [CrossRef]
- Sone, J.; Tanaka, F.; Koike, H.; Inukai, A.; Katsuno, M.; Yoshida, M.; Watanabe, H.; Sobue, G. Skin biopsy is useful for the antemortem diagnosis of neuronal intranuclear inclusion disease. Neurology 2011, 76, 1372–1376. [Google Scholar] [CrossRef]
- Morimoto, S.; Hatsuta, H.; Komiya, T.; Kanemaru, K.; Tokumaru, A.M.; Murayama, S. Simultaneous skin-nerve-muscle biopsy and abnormal mitochondrial inclusions in intranuclear hyaline inclusion body disease. J. Neurol. Sci. 2017, 372, 447–449. [Google Scholar] [CrossRef]
- Nakano, Y.; Takahashi-Fujigasaki, J.; Sengoku, R.; Kanemaru, K.; Arai, T.; Kanda, T.; Murayama, S. PML Nuclear Bodies Are Altered in Adult-Onset Neuronal Intranuclear Hyaline Inclusion Disease. J. Neuropathol. Exp. Neurol. 2017, 76, 585–594. [Google Scholar] [CrossRef][Green Version]
- Naphade, S.; Tshilenge, K.T.; Ellerby, L.M. Modeling Polyglutamine Expansion Diseases with Induced Pluripotent Stem Cells. Neurother. J. Am. Soc. Exp. NeuroTherapeutics 2019, 16, 979–998. [Google Scholar] [CrossRef]
- Gelpi, E.; Botta-Orfila, T.; Bodi, L.; Marti, S.; Kovacs, G.; Grau-Rivera, O.; Lozano, M.; Sanchez-Valle, R.; Munoz, E.; Valldeoriola, F.; et al. Neuronal intranuclear (hyaline) inclusion disease and fragile X-associated tremor/ataxia syndrome: A morphological and molecular dilemma. Brain A J. Neurol. 2017, 140, e51. [Google Scholar] [CrossRef]
- Okubo, M.; Doi, H.; Fukai, R.; Fujita, A.; Mitsuhashi, S.; Hashiguchi, S.; Kishida, H.; Ueda, N.; Morihara, K.; Ogasawara, A.; et al. GGC Repeat Expansion of NOTCH2NLC in Adult Patients with Leukoencephalopathy. Ann. Neurol. 2019, 86, 962–968. [Google Scholar] [CrossRef] [PubMed]
- Cupidi, C.; Dijkstra, A.A.; Melhem, S.; Vernooij, M.W.; Severijnen, L.A.; Hukema, R.K.; Rozemuller, A.J.M.; Neumann, M.; van Swieten, J.C.; Seelaar, H. Refining the Spectrum of Neuronal Intranuclear Inclusion Disease: A Case Report. J. Neuropathol. Exp. Neurol. 2019, 78, 665–670. [Google Scholar] [CrossRef] [PubMed]
- Zhang, G.J.; Wu, D.; Zhu, Y.X.; Ni, H.F.; Zhang, Z.J. Clinicopathological features of neuronal intranuclear inclusion disease diagnosed by skin biopsy. Neurol. Sci. Off. J. Ital. Neurol. Soc. Ital. Soc. Clin. Neurophysiol. 2021, 43, 1809–1815. [Google Scholar] [CrossRef] [PubMed]


Publisher’s Note: MDPI stays neutral with regard to jurisdictional claims in published maps and institutional affiliations. |
© 2022 by the authors. Licensee MDPI, Basel, Switzerland. This article is an open access article distributed under the terms and conditions of the Creative Commons Attribution (CC BY) license (https://creativecommons.org/licenses/by/4.0/).
Share and Cite
Liu, P.; Lin, X.; Chen, X.; Utheim, T.P.; Gao, W.; Yan, Y.; Wu, S. Neuronal Intranuclear Inclusion Disease-Related Neurotrophic Keratitis: A Case Report. Brain Sci. 2022, 12, 782. https://doi.org/10.3390/brainsci12060782
Liu P, Lin X, Chen X, Utheim TP, Gao W, Yan Y, Wu S. Neuronal Intranuclear Inclusion Disease-Related Neurotrophic Keratitis: A Case Report. Brain Sciences. 2022; 12(6):782. https://doi.org/10.3390/brainsci12060782
Chicago/Turabian StyleLiu, Pei, Xuemei Lin, Xiangjun Chen, Tor Paaske Utheim, Wei Gao, Yan Yan, and Songdi Wu. 2022. "Neuronal Intranuclear Inclusion Disease-Related Neurotrophic Keratitis: A Case Report" Brain Sciences 12, no. 6: 782. https://doi.org/10.3390/brainsci12060782
APA StyleLiu, P., Lin, X., Chen, X., Utheim, T. P., Gao, W., Yan, Y., & Wu, S. (2022). Neuronal Intranuclear Inclusion Disease-Related Neurotrophic Keratitis: A Case Report. Brain Sciences, 12(6), 782. https://doi.org/10.3390/brainsci12060782

