Duplication of the Pituitary Gland: CT, MRI and DTI Findings and Updated Review of the Literature
Abstract
:1. Introduction
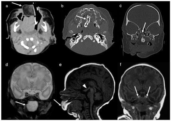
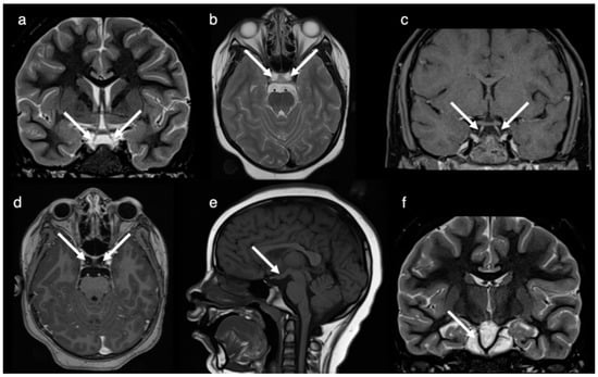
2. Case Report
3. Discussion
Author Contributions
Funding
Institutional Review Board Statement
Informed Consent Statement
Data Availability Statement
Conflicts of Interest
References
- Accornero, S.; Danesino, C.; Bastianello, S.; D’Errico, I.; Guala, A.; Chiovato, L. Duplication of the pituitary stalk in a patient with a heterozygous deletion of chromosome 14 harboring the thyroid transcription factor-1 gene. J. Clin. Endocrinol. Metab. 2010, 95, 3595–3596. [Google Scholar] [CrossRef] [PubMed] [Green Version]
- Ahmed, A.; Ehsan, A.N.; Mubarak, F.; Shamim, M.S.; Batool, M.; Banu, S. Unique Presentation of Duplication of the Pituitary Gland-Plus Syndrome. AACE Clin. Case Rep. 2020, 6, e357–e360. [Google Scholar] [CrossRef] [PubMed]
- Akin, L.; Kendirci, M.; Doganay, S.; Kurtoglu, S.; Tucer, B.; Coskun, A. Pituitary duplication: A rare cause of precocious puberty. Childs Nerv. Syst. 2011, 27, 1157–1160. [Google Scholar] [CrossRef] [PubMed]
- Azurara, L.; Marcal, M.; Vieira, F.; Tuna, M.L. DPG-plus syndrome: New report of a rare entity. BMJ Case Rep. 2015, 2015, 212416. [Google Scholar] [CrossRef] [PubMed]
- Burke, M.; Zinkovsky, S.; Abrantes, M.A.; Riley, W. Duplication of the hypophysis. Pediatr. Neurosurg. 2000, 33, 95–99. [Google Scholar] [CrossRef]
- Ginat, D.T.; Holbrook, E.H.; Faquin, W.; Curtin, H.D. Nasal hamartoma associated with duplicated pituitary. J. Comput. Assist. Tomogr. 2013, 37, 369–370. [Google Scholar] [CrossRef]
- Hamon-Kerautret, M.; Ares, G.S.; Demondion, X.; Rouland, V.; Francke, J.P.; Pruvo, J.P. Duplication of the pituitary gland in a newborn with median cleft face syndrome and nasal teratoma. Pediatr. Radiol. 1998, 28, 290–292. [Google Scholar] [CrossRef]
- Huisman, T.A.; Fischer, U.; Boltshauser, E.; Straube, T.; Gysin, C. Pituitary duplication and nasopharyngeal teratoma in a newborn: CT, MRI, US and correlative histopathological findings. Neuroradiology 2005, 47, 558–561. [Google Scholar] [CrossRef]
- Kollias, S.S.; Ball, W.S.; Prenger, E.C. Review of the embryologic development of the pituitary gland and report of a case of hypophyseal duplication detected by MRI. Neuroradiology 1995, 37, 3–12. [Google Scholar] [CrossRef]
- Maeda, Y.; Suenaga, H.; Sugiyama, M.; Saijo, H.; Hoshi, K.; Mori, Y.; Takato, T. Clinical presentation of epignathus teratoma with cleft palate; and duplication of cranial base, tongue, mandible, and pituitary gland. J. Craniofac. Surg. 2013, 24, 1486–1491. [Google Scholar] [CrossRef]
- Manjila, S.; Miller, E.A.; Vadera, S.; Goel, R.K.; Khan, F.R.; Crowe, C.; Geertman, R.T. Duplication of the pituitary gland associated with multiple blastogenesis defects: Duplication of the pituitary gland (DPG)-plus syndrome. Case report and review of literature. Surg. Neurol. Int. 2012, 3, 23. [Google Scholar] [CrossRef] [PubMed] [Green Version]
- Milic, I.; Samardzic, M.; Djoric, I.; Tasic, G.; Djulejic, V.; Marinkovic, S. Craniovertebral anomalies associated with pituitary gland duplication. Folia Morphol. 2015, 74, 524–531. [Google Scholar] [CrossRef] [PubMed] [Green Version]
- Morton, W.R. Duplication of the pituitary and stomatodaeal structures in a 38-week male infant. Arch. Dis. Child. 1957, 32, 135–141. [Google Scholar] [CrossRef] [PubMed] [Green Version]
- Prezioso, G.; Petraroli, M.; Bergonzani, M.; Davino, G.; Labate, M.; Ormitti, F.; Anghinoni, M.; Sesenna, E.; Esposito, S. Duplication of the Pituitary Gland (DPG)-Plus Syndrome Associated With Midline Anomalies and Precocious Puberty: A Case Report and Review of the Literature. Front. Endocrinol. 2021, 12, 685888. [Google Scholar] [CrossRef]
- Sen, D.; Arora, V. Duplication of the pituitary gland-plus syndrome. Indian J. Radiol. Imaging 2016, 26, 126–130. [Google Scholar] [CrossRef]
- Shroff, M.; Blaser, S.; Jay, V.; Chitayat, D.; Armstrong, D. Basilar artery duplication associated with pituitary duplication: A new finding. AJNR Am. J. Neuroradiol. 2003, 24, 956–961. [Google Scholar]
- Slavotinek, A.; Parisi, M.; Heike, C.; Hing, A.; Huang, E. Craniofacial defects of blastogenesis: Duplication of pituitary with cleft palate and orophgaryngeal tumors. Am. J. Med. Genet. A 2005, 135, 13–20. [Google Scholar] [CrossRef]
- Spiller, P.; Manzi, B.; Gungor, N.; Gungor, A. Duplication of the pituitary gland and basilar artery, with multiple midline fusion defects and craniofacial anomalies. Int J. Pediatr. Otorhinolaryngol. 2020, 131, 109897. [Google Scholar] [CrossRef]
- Uchino, A.; Sawada, A.; Takase, Y.; Fujita, I.; Kudo, S. Extreme fenestration of the basilar artery associated with cleft palate, nasopharyngeal mature teratoma, and hypophyseal duplication. Eur. Radiol. 2002, 12, 2087–2090. [Google Scholar] [CrossRef]
- Usta, Y.; Sakha, F.; White, W.L.; Little, A.S.; Knecht, L. Duplicated pituitary gland and odontoid process. A case report. Neuroradiol. J. 2012, 25, 360–363. [Google Scholar] [CrossRef]
- Vittore, C.P.; Murray, R.A.; Martin, L.S. Case 79: Pituitary duplication. Radiology 2005, 234, 411–414. [Google Scholar] [CrossRef] [PubMed]
- Chokshi, F.H.; Poretti, A.; Meoded, A.; Huisman, T.A. Normal and abnormal development of the cerebellum and brainstem as depicted by diffusion tensor imaging. Semin. Ultrasound CT MR 2011, 32, 539–554. [Google Scholar] [CrossRef] [PubMed]
- Meoded, A.; Orman, G.; Huisman, T. Diffusion Weighted and Diffusion Tensor MRI in Pediatric Neuroimaging Including Connectomics: Principles and Applications. Semin. Pediatr. Neurol. 2020, 33, 100797. [Google Scholar] [CrossRef] [PubMed]
- Müller, F.; O’Rahilly, R. The prechordal plate, the rostral end of the notochord and nearby median features in staged human embryos. Cells Tissues Organs 2003, 173, 1–20. [Google Scholar] [CrossRef]




Publisher’s Note: MDPI stays neutral with regard to jurisdictional claims in published maps and institutional affiliations. |
© 2022 by the authors. Licensee MDPI, Basel, Switzerland. This article is an open access article distributed under the terms and conditions of the Creative Commons Attribution (CC BY) license (https://creativecommons.org/licenses/by/4.0/).
Share and Cite
Serrallach, B.L.; Rauch, R.; Lyons, S.K.; Huisman, T.A.G.M. Duplication of the Pituitary Gland: CT, MRI and DTI Findings and Updated Review of the Literature. Brain Sci. 2022, 12, 574. https://doi.org/10.3390/brainsci12050574
Serrallach BL, Rauch R, Lyons SK, Huisman TAGM. Duplication of the Pituitary Gland: CT, MRI and DTI Findings and Updated Review of the Literature. Brain Sciences. 2022; 12(5):574. https://doi.org/10.3390/brainsci12050574
Chicago/Turabian StyleSerrallach, Bettina L., Ronald Rauch, Sarah K. Lyons, and Thierry A. G. M. Huisman. 2022. "Duplication of the Pituitary Gland: CT, MRI and DTI Findings and Updated Review of the Literature" Brain Sciences 12, no. 5: 574. https://doi.org/10.3390/brainsci12050574
APA StyleSerrallach, B. L., Rauch, R., Lyons, S. K., & Huisman, T. A. G. M. (2022). Duplication of the Pituitary Gland: CT, MRI and DTI Findings and Updated Review of the Literature. Brain Sciences, 12(5), 574. https://doi.org/10.3390/brainsci12050574
