Anti-NF155/NF186 IgG4 Antibody Positive Autoimmune Nodopathy
Abstract
1. Introduction
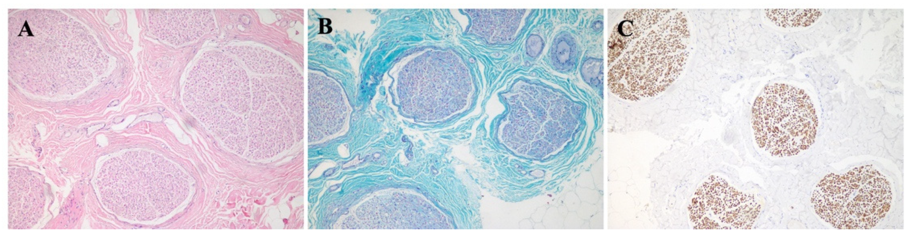
Case Presentation
2. Discussion
Author Contributions
Funding
Institutional Review Board Statement
Informed Consent Statement
Data Availability Statement
Acknowledgments
Conflicts of Interest
References
- Ogata, H.; Yamasaki, R.; Hiwatashi, A.; Oka, N.; Kawamura, N.; Matsuse, D.; Kuwahara, M.; Suzuki, H.; Kusunoki, S.; Fujimoto, Y.; et al. Characterization of IgG4 anti-neurofascin 155 antibody-positive polyneuropathy. Ann. Clin. Transl. Neurol. 2015, 2, 960–971. [Google Scholar] [CrossRef] [PubMed]
- Kadoya, M.; Kaida, K.; Koike, H.; Takazaki, H.; Ogata, H.; Moriguchi, K.; Shimizu, J.; Nagata, E.; Takizawa, S.; Chiba, A.; et al. IgG4 anti-neurofascin155 antibodies in chronic inflammatory demyelinating polyradiculoneuropathy: Clinical significance and diagnostic utility of a conventional assay. J. Neuroimmunol. 2016, 301, 16–22. [Google Scholar] [CrossRef] [PubMed]
- Koike, H.; Kadoya, M.; Kaida, K.I.; Ikeda, S.; Kawagashira, Y.; Iijima, M.; Kato, D.; Ogata, H.; Yamasaki, R.; Matsukawa, N.; et al. Paranodal dissection in chronic inflammatory demyelinating polyneuropathy with anti-neurofascin-155 and anti-contactin-1 antibodies. J. Neurol. Neurosurg. Psychiatry 2017, 88, 465–473. [Google Scholar] [CrossRef]
- Garg, N.; Park, S.B.; Yiannikas, C.; Vucic, S.; Howells, J.; Noto, Y.I.; Mathey, E.K.; Pollard, J.D.; Kiernan, M.C. Neurofascin-155 IGG4 neuropathy: Pathophysiological insights, spectrum of clinical severity and response to treatment. Muscle Nerve. 2018, 57, 848–851. [Google Scholar] [CrossRef] [PubMed]
- Zhang, X.; Zheng, P.; Devaux, J.J.; Wang, Y.; Liu, C.; Li, J.; Guo, S.; Song, Y.; Wang, Q.; Feng, X.; et al. Chronic inflammatory demyelinating polyneuropathy with anti-NF155 IgG4 in China. J. Neuroimmunol. 2019, 337, 577074. [Google Scholar] [CrossRef]
- Querol, L.; Nogales-Gadea, G.; Rojas-Garcia, R.; Martinez-Hernandez, E.; Diaz-Manera, J.; Suarez-Calvet, X.; Navas, M.; Araque, J.; Gallardo, E.; Illa, I. Antibodies to contactin-1 in chronic inflammatory demyelinating polyneuropathy. Ann. Neurol. 2013, 73, 370–380. [Google Scholar] [CrossRef]
- Doppler, K.; Appeltshauser, L.; Wilhelmi, K.; Villmann, C.; Dib-Hajj, S.D.; Waxman, S.G.; Maurer, M.; Weishaupt, A.; Sommer, C. Destruction of paranodal architecture in inflammatory neuropathy with anti-contactin-1 autoantibodies. J. Neurol. Neurosurg. Psychiatry 2015, 86, 720–728. [Google Scholar] [CrossRef]
- Miura, Y.; Devaux, J.J.; Fukami, Y.; Manso, C.; Belghazi, M.; Wong, A.H.; Yuki, N.; CNTN1-CIDP Study Group. Contactin 1 IgG4 associates to chronic inflammatory demyelinating polyneuropathy with sensory ataxia. Brain 2015, 138, 1484–1491. [Google Scholar] [CrossRef] [PubMed]
- Delmont, E.; Manso, C.; Querol, L.; Cortese, A.; Berardinelli, A.; Lozza, A.; Belghazi, M.; Malissart, P.; Labauge, P.; Taieb, G.; et al. Autoantibodies to nodal isoforms of neurofascin in chronic inflammatory demyelinating polyneuropathy. Brain 2017, 140, 1851–1858. [Google Scholar] [CrossRef]
- Burnor, E.; Yang, L.; Zhou, H.; Patterson, K.R.; Quinn, C.; Reilly, M.M.; Rossor, A.M.; Scherer, S.S.; Lancaster, E. Neurofascin antibodies in autoimmune, genetic, and idiopathic neuropathies. Neurology 2018, 90, e31–e38. [Google Scholar] [CrossRef]
- Stengel, H.; Vural, A.; Brunder, A.M.; Heinius, A.; Appeltshauser, L.; Fiebig, B.; Giese, F.; Dresel, C.; Papagianni, A.; Birklein, F.; et al. Anti-pan-neurofascin IgG3 as a marker of fulminant autoimmune neuropathy. Neurol.-Neuroimmunol. Neuroinflamm. 2019, 6. [Google Scholar] [CrossRef] [PubMed]
- Doppler, K.; Appeltshauser, L.; Villmann, C.; Martin, C.; Peles, E.; Kramer, H.H.; Haarmann, A.; Buttmann, M.; Sommer, C. Auto-antibodies to contactin-associated protein 1 (Caspr) in two patients with painful inflammatory neuropathy. Brain 2016, 139, 2617–2630. [Google Scholar] [CrossRef]
- Van den Bergh, P.Y.K.; van Doorn, P.A.; Hadden, R.D.M.; Avau, B.; Vankrunkelsven, P.; Allen, J.A.; Attarian, S.; Blomkwist-Markens, P.H.; Cornblath, D.R.; Eftimov, F.; et al. European Academy of Neurology/Peripheral Nerve Society guideline on diagnosis and treatment of chronic inflammatory demyelinating polyradiculoneuropathy: Report of a joint Task Force-Second revision. J. Peripher. Nerv. Syst. 2021, 26, 242–268. [Google Scholar] [CrossRef]
- Cortese, A.; Devaux, J.J.; Zardini, E.; Manso, C.; Taieb, G.; Carra Dalliere, C.; Merle, P.; Osera, C.; Romagnolo, S.; Visigalli, N.; et al. Neurofascin-155 as a putative antigen in combined central and peripheral demyelination. Neurol.-Neuroimmunol. Neuroinflamm. 2016, 3, e238. [Google Scholar] [CrossRef] [PubMed]
- Franques, J.; Chapon, F.; Devaux, J.; Mathis, S. Teaching NeuroImages: Cranial nerve hypertrophy in IgG4 anti-neurofascin 155 antibody-positive polyneuropathy. Neurology 2017, 88, e52. [Google Scholar] [CrossRef] [PubMed]
- Painous, C.; Lopez-Perez, M.A.; Illa, I.; Querol, L. Head and voice tremor improving with immunotherapy in an anti-NF155 positive CIDP patient. Ann. Clin. Transl. Neurol. 2018, 5, 499–501. [Google Scholar] [CrossRef]
- Kira, J.I. Anti-Neurofascin 155 Antibody-Positive Chronic Inflammatory Demyelinating Polyneuropathy/Combined Central and Peripheral Demyelination: Strategies for Diagnosis and Treatment Based on the Disease Mechanism. Front. Neurol. 2021, 12, 665136. [Google Scholar] [CrossRef]
- Wang, Z.; Zhou, X.; Zhao, N.; Xie, C.; Zhu, D.; Guan, Y. Neurofascin antibodies in chronic inflammatory demyelinating polyradiculoneuropathy: From intrinsic genetic background to clinical manifestations. Neurol. Sci. 2021, 42, 2223–2233. [Google Scholar] [CrossRef]
- Vallat, J.M.; Mathis, S.; Magy, L.; Bounolleau, P.; Skarzynski, M.; Heitzmann, A.; Manso, C.; Devaux, J.; Uncini, A. Subacute nodopathy with conduction blocks and anti-neurofascin 140/186 antibodies: An ultrastructural study. Brain 2018, 141, e56. [Google Scholar] [CrossRef]
- Cortese, A.; Lombardi, R.; Briani, C.; Callegari, I.; Benedetti, L.; Manganelli, F.; Luigetti, M.; Ferrari, S.; Clerici, A.M.; Marfia, G.A.; et al. Antibodies to neurofascin, contactin-1, and contactin-associated protein 1 in CIDP. Neurol.-Neuroimmunol. Neuroinflamm. 2019, 7. [Google Scholar] [CrossRef]
- Xie, C.; Wang, Z.; Zhao, N.; Zhu, D.; Zhou, X.; Ding, J.; Wu, Y.; Yu, H.; Guan, Y. From PNS to CNS: Characteristics of anti-neurofascin 186 neuropathy in 16 cases. Neurol. Sci. 2021, 42, 4673–4681. [Google Scholar] [CrossRef] [PubMed]
- Querol, L.; Rojas-Garcia, R.; Diaz-Manera, J.; Barcena, J.; Pardo, J.; Ortega-Moreno, A.; Sedano, M.J.; Sero-Ballesteros, L.; Carvajal, A.; Ortiz, N.; et al. Rituximab in treatment-resistant CIDP with antibodies against paranodal proteins. Neurol.-Neuroimmunol. Neuroinflamm. 2015, 2, e149. [Google Scholar] [CrossRef] [PubMed]
- Jiao, L.; Xiang, Y.; Li, S.; Zhang, F.; Ruan, X.; Guo, S. Efficacy of low dose rituximab in treatment-resistant CIDP with antibodies against NF-155. J. Neuroimmunol. 2020, 345, 577280. [Google Scholar] [CrossRef] [PubMed]
- Hu, J.; Sun, C.; Lu, J.; Zhao, C.; Lin, J. Efficacy of rituximab treatment in chronic inflammatory demyelinating polyradiculoneuropathy: A systematic review and meta-analysis. J. Neurol. 2021, 269, 1250–1263. [Google Scholar] [CrossRef] [PubMed]
- Kira, J.I.; Yamasaki, R.; Ogata, H. Anti-neurofascin autoantibody and demyelination. Neurochem. Int. 2019, 130, 104360. [Google Scholar] [CrossRef] [PubMed]
- Kuwahara, M.; Suzuki, H.; Oka, N.; Ogata, H.; Yanagimoto, S.; Sadakane, S.; Fukumoto, Y.; Yamana, M.; Yuhara, Y.; Yoshikawa, K.; et al. ELectron microscopic abnormality and therapeutic efficacy in chronic inflammatory demyelinating polyneuropathy with anti-neurofascin155 immunoglobulin G4 antibody. Muscle Nerve 2018, 57, 498–502. [Google Scholar] [CrossRef]
- Vallat, J.M.; Yuki, N.; Sekiguchi, K.; Kokubun, N.; Oka, N.; Mathis, S.; Magy, L.; Sherman, D.L.; Brophy, P.J.; Devaux, J.J. Paranodal lesions in chronic inflammatory demyelinating polyneuropathy associated with anti-Neurofascin 155 antibodies. Neuromuscul. Disord. 2017, 27, 290–293. [Google Scholar] [CrossRef]
- Fels, M.; Fisse, A.L.; Schwake, C.; Motte, J.; Athanasopoulos, D.; Gruter, T.; Spenner, M.; Breuer, T.; Starz, K.; Heinrich, D.; et al. Report of a fulminant anti-pan-neurofascin-associated neuropathy responsive to rituximab and bortezomib. J. Peripher. Nerv. Syst. 2021, 26, 475–480. [Google Scholar] [CrossRef]



| MCV | Latency (ms) | Amplitude (mV) | Distance (mm) | Conduction Velocity (m/s) | Average F-M Latency (ms) |
| Ulnar nerve (left) | |||||
| Wrist-ADM | 5.48 | 1.46 | 51.1 | ||
| Below elbow-wrist | 12.8 | 0.54 | 210 | 28.7 | |
| Above elbow-below elbow | 16.5 | 0.73 | 90.0 | 24.3 | |
| Ulnar nerve (right) | |||||
| Wrist-ADM | 5.12 | 2.0 | 56.8 | ||
| Below elbow-wrist | 15.5 | 0.96 | 220 | 21.2 | |
| Above elbow-below elbow | 18.1 | 1.00 | 80.0 | 30.8 | |
| Median nerve (left) | |||||
| Wrist-APB | 6.46 | 3.3 | |||
| Elbow-wrist | 16.2 | 2.9 | 270 | 27.7 | |
| Median nerve (right) | |||||
| Wrist-APB | 7.13 | 5.0 | |||
| Elbow-wrist | 16.0 | 3.7 | 278 | 31.3 | |
| Tibial nerve (right) | |||||
| Ankle-AH | -- | -- | -- | ||
| Common peroneal nerve (left) | |||||
| Ankle-EDB | -- | -- | |||
| Common peroneal nerve (right) | |||||
| Ankle-EDB | -- | -- | |||
| Common peroneal nerve (anterior tibialis) (right) | |||||
| Fibular head-anterior tibialis | -- | -- | |||
| SCV | Latency (ms) | Amplitude (uV) | Distance (mm) | Conduction Velocity (m/s) | |
| Ulnar nerve (left) | |||||
| Finger V-wrist | -- | -- | |||
| Ulnar nerve (right) | |||||
| Finger V-wrist | -- | -- | |||
| Median nerve (left) | |||||
| Finger II-wrist | -- | -- | |||
| Median nerve (right) | |||||
| Finger II-wrist | -- | -- | |||
| Superficial peroneal nerve (left) | |||||
| Ankle-dorsum pedis | -- | -- | |||
| Superficial peroneal nerve (right) | |||||
| Ankle-dorsum pedis | -- | -- | |||
Publisher’s Note: MDPI stays neutral with regard to jurisdictional claims in published maps and institutional affiliations. |
© 2022 by the authors. Licensee MDPI, Basel, Switzerland. This article is an open access article distributed under the terms and conditions of the Creative Commons Attribution (CC BY) license (https://creativecommons.org/licenses/by/4.0/).
Share and Cite
Wang, L.; Pan, J.; Meng, H.; Yang, Z.; Zeng, L.; Liu, J. Anti-NF155/NF186 IgG4 Antibody Positive Autoimmune Nodopathy. Brain Sci. 2022, 12, 1587. https://doi.org/10.3390/brainsci12111587
Wang L, Pan J, Meng H, Yang Z, Zeng L, Liu J. Anti-NF155/NF186 IgG4 Antibody Positive Autoimmune Nodopathy. Brain Sciences. 2022; 12(11):1587. https://doi.org/10.3390/brainsci12111587
Chicago/Turabian StyleWang, Lijun, Jing Pan, Huanyu Meng, Zhao Yang, Lili Zeng, and Jun Liu. 2022. "Anti-NF155/NF186 IgG4 Antibody Positive Autoimmune Nodopathy" Brain Sciences 12, no. 11: 1587. https://doi.org/10.3390/brainsci12111587
APA StyleWang, L., Pan, J., Meng, H., Yang, Z., Zeng, L., & Liu, J. (2022). Anti-NF155/NF186 IgG4 Antibody Positive Autoimmune Nodopathy. Brain Sciences, 12(11), 1587. https://doi.org/10.3390/brainsci12111587

