Angioarchitectural Factors Associated with Postoperative Cerebral Infarction in Ischemic Moyamoya Disease
Abstract
1. Introduction
2. Materials and Methods
2.1. Study Population and Data Collection
2.2. Diagnostic Criteria and Inclusion Criteria
2.3. Data Collection
2.3.1. Gender
2.3.2. Side
2.3.3. Age
2.3.4. TIA
2.3.5. Old Cerebral Infarction
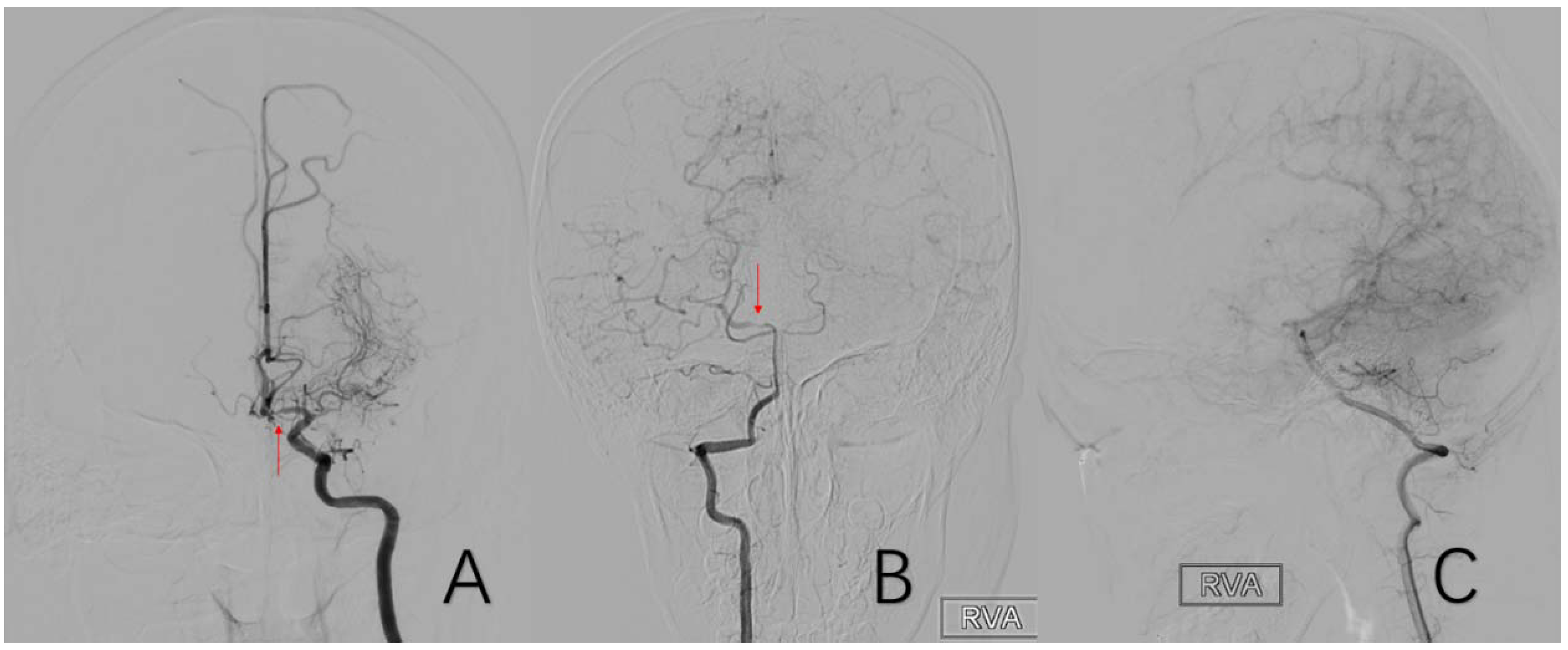
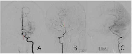
2.3.6. Factor 1 ICA Stenosis
2.3.7. Factor 2 A1 Stenosis
2.3.8. Factor 3 M1 Stenosis
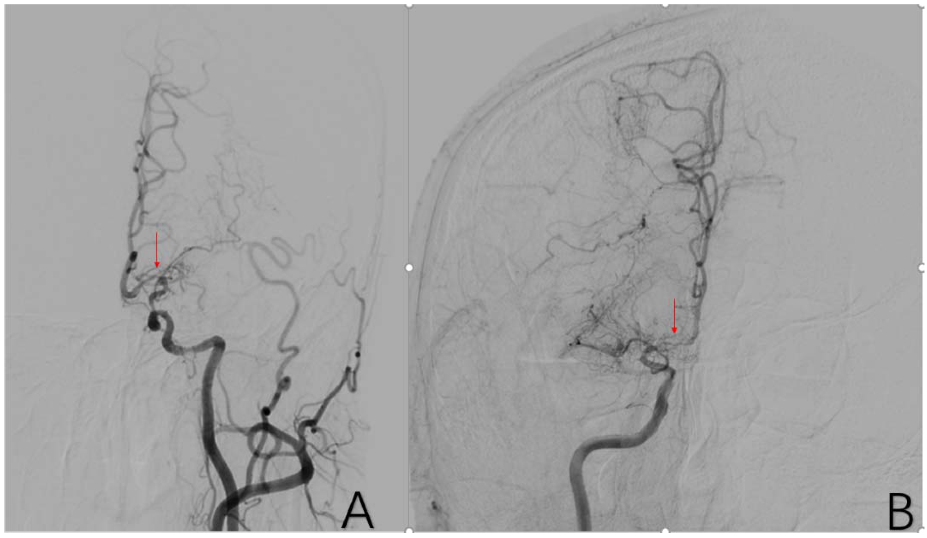
2.3.9. Factor 4 PCA Anomaly
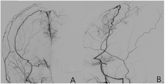
2.3.10. Factor 5 Posterior Circulation Compensation
2.3.11. Factor 6 Unstable Compensation
2.3.12. Factor 7 Extracranial Arterial Compensation
2.4. Statistical Analyses
3. Results
4. Discussion
Limitation
5. Conclusions
Author Contributions
Funding
Institutional Review Board Statement
Informed Consent Statement
Data Availability Statement
Conflicts of Interest
References
- Scott, R.M.; Smith, E.R. Moyamoya Disease and Moyamoya Syndrome. N. Engl. J. Med. 2009, 360, 1226–1237. [Google Scholar] [CrossRef] [PubMed]
- Shang, S.; Zhou, D.; Ya, J.; Li, S.; Yang, Q.; Ding, Y.; Ji, X.; Meng, R. Progress in moyamoya disease. Neurosurg. Rev. 2020, 43, 371–382. [Google Scholar] [CrossRef] [PubMed]
- Huang, S.; Guo, Z.-N.; Shi, M.; Yang, Y.; Rao, M. Etiology and pathogenesis of Moyamoya Disease: An update on disease prevalence. Int. J. Stroke 2017, 12, 246–253. [Google Scholar] [CrossRef]
- Parray, T.; Martin, T.W.; Siddiqui, S. Moyamoya disease: A review of the disease and anesthetic management. J. Neurosurg. Anesthesiol. 2011, 23, 100–109. [Google Scholar] [CrossRef]
- Mikami, T.; Suzuki, H.; Komatsu, K.; Mikuni, N. Influence of Inflammatory Disease on the Pathophysiology of Moyamoya Disease and Quasi-moyamoya Disease. Neurol. Med. Chir. 2019, 59, 361–370. [Google Scholar] [CrossRef]
- Fujimura, M.; Tominaga, T. Diagnosis of Moyamoya Disease: International Standard and Regional Differences. Neurol. Med. Chir. 2015, 55, 189–193. [Google Scholar] [CrossRef]
- Kuroda, S. AMORE Study Group Asymptomatic Moyamoya Disease: Literature Review and Ongoing AMORE Study. Neurol. Med. Chir. 2015, 55, 194–198. [Google Scholar] [CrossRef]
- Mori, M.; Kurokawa, N.; Worley, G. Speculation on the naming of Moyamoya disease. J. Neuroradiol. 2018, 45, 261–262. [Google Scholar] [CrossRef]
- Hever, P.; Alamri, A.; Tolias, C. Moyamoya angiopathy—Is there a Western phenotype? Br. J. Neurosurg. 2015, 29, 765–771. [Google Scholar] [CrossRef]
- Zhang, Q.; Ge, P.; Ma, Y.; Zhang, N.; Wang, R.; Zhang, Y.; Wang, S.; Cao, Y.; Zhao, M.; Zhao, J. Clinical Features and Surgical Outcomes of Patients with Moyamoya Disease and the Homozygous RNF213 p.R4810K Variant. J. Child Neurol. 2019, 34, 793–800. [Google Scholar] [CrossRef]
- Natori, Y.; Ikezaki, K.; Matsushima, T.; Fukui, M. ‘Angiographic Moyamoya’ its definition, classification, and therapy. Clin. Neurol. Neurosurg. 1997, 99 (Suppl. 2), S168–S172. [Google Scholar] [CrossRef]
- Miki, K.; Samura, K.; Kawashima, M. Effectiveness of Combined Direct and Indirect Revascularization for Moyamoya Disease with Concurrent Congenital Rubella Syndrome. World Neurosurg. 2020, 138, 1–6. [Google Scholar] [CrossRef] [PubMed]
- Liu, Z.W.; Han, C.; Zhao, F.; Qiao, P.G.; Wang, H.; Bao, X.Y.; Zhang, Z.S.; Yang, W.Z.; Li, D.S.; Duan, L. Collateral Circulation in Moyamoya Disease: A New Grading System. Stroke 2019, 50, 2708–2715. [Google Scholar] [CrossRef] [PubMed]
- Wei, W.; Chen, X.; Yu, J.; Li, X.-Q. Risk factors for postoperative stroke in adults patients with moyamoya disease: A systematic review with meta-analysis. BMC Neurol. 2019, 19, 98. [Google Scholar] [CrossRef]
- Yu, L.; Ma, L.; Huang, Z.; Shi, Z.; Wang, R.; Zhao, Y.; Zhang, D. Revascularization Surgery in Patients with Ischemic-Type Moyamoya Disease: Predictors for Postoperative Stroke and Long-Term Outcomes. World Neurosurg. 2019, 128, e582–e596. [Google Scholar] [CrossRef]
- Teo, M.; Furtado, S.; Kaneko, O.F.; Azad, T.D.; Madhugiri, V.; Do, H.M.; Steinberg, G.K. Validation and Application for the Berlin Grading System of Moyamoya Disease in Adult Patients. Neurosurgery 2020, 86, 203–212. [Google Scholar] [CrossRef]
- Gadgil, N.; Lam, S.; Pyarali, M.; Paldino, M.; Pan, I.-W.; Dauser, R.C. Indirect revascularization with the dural inversion technique for pediatric moyamoya disease: 20-year experience. J. Neurosurg. Pediatr. 2018, 22, 541–549. [Google Scholar] [CrossRef]
- Ge, P.; Zhang, Q.; Ye, X.; Liu, X.; Deng, X.; Li, H.; Wang, R.; Zhang, Y.; Zhang, D.; Zhao, J. Long-Term Outcome After Conservative Treatment and Direct Bypass Surgery of Moyamoya Disease at Late Suzuki Stage. World Neurosurg. 2017, 103, 283–290. [Google Scholar] [CrossRef]
- Gazyakan, E.; Lee, C.-Y.; Wu, C.-T.; Tsao, C.-K.; Craft, R.; Henry, S.L.; Cheng, M.-H.; Lee, S.-T. Indications and Outcomes of Prophylactic and Therapeutic Extracranial-to-intracranial Arterial Bypass for Cerebral Revascularization. Plast. Reconstr. Surg. Glob. Open 2015, 3, e372. [Google Scholar] [CrossRef]
- Kim, T.; Bang, J.S.; Kwon, O.-K.; Hwang, G.; Kim, J.E.; Kang, H.-S.; Cho, W.-S.; Jung, C.; Oh, C.W. Hemodynamic Changes after Unilateral Revascularization for Moyamoya Disease: Serial Assessment by Quantitative Magnetic Resonance Angiography. Neurosurgery 2017, 81, 111–119. [Google Scholar] [CrossRef]
- Arias, E.J.; Derdeyn, C.P.; Dacey, R.G.; Zipfel, G.J. Advances and Surgical Considerations in the Treatment of Moyamoya Disease. Neurosurgery 2014, 74 (Suppl. 1), S116–S125. [Google Scholar] [CrossRef] [PubMed]
- Pandey, P.; Steinberg, G.K. Neurosurgical Advances in the Treatment of Moyamoya Disease. Stroke 2011, 42, 3304–3310. [Google Scholar] [CrossRef] [PubMed]
- Fukui, M. Guidelines for the diagnosis and treatment of spontaneous occlusion of the circle of Willis (‘moyamoya’ disease). Research Committee on Spontaneous Occlusion of the Circle of Willis (Moyamoya Disease) of the Ministry of Health and Welfare, Japan. Clin. Neurol. Neurosurg. 1997, 99 (Suppl. 2), S238–S240. [Google Scholar] [CrossRef]
- Bedini, G.; Blecharz, K.G.; Nava, S.; Vajkoczy, P.; Alessandri, G.; Ranieri, M.; Acerbi, F.; Ferroli, P.; Riva, D.; Esposito, S.; et al. Vasculogenic and Angiogenic Pathways in Moyamoya Disease. Curr. Med. Chem. 2016, 23, 315–345. [Google Scholar] [CrossRef] [PubMed]
- Takagi, Y.; Miyamoto, S. COSMO-Japan Study Group Cognitive Dysfunction Survey of the Japanese Patients with Moyamoya Disease (COSMO-JAPAN Study): Study Protocol. Neurol. Med. Chir. 2015, 55, 199–203. [Google Scholar] [CrossRef] [PubMed][Green Version]
- Houkin, K.; Ito, M.; Sugiyama, T.; Shichinohe, H.; Nakayama, N.; Kazumata, K.; Kuroda, S. Review of Past Research and Current Concepts on the Etiology of Moyamoya Disease. Neurol. Med. Chir. 2012, 52, 267–277. [Google Scholar] [CrossRef] [PubMed]
- Zhao, M.; Zhang, D.; Wang, S.; Zhang, Y.; Deng, X.; Zhao, J. The Collateral Circulation in Moyamoya Disease: A Single-Center Experience in 140 Pediatric Patients. Pediatr. Neurol. 2017, 77, 78–83. [Google Scholar] [CrossRef]
- Oki, K.; Katsumata, M.; Izawa, Y.; Takahashi, S.; Suzuki, N.; Houkin, K. Trends of Antiplatelet Therapy for the Management of Moyamoya Disease in Japan: Results of a Nationwide Survey. J. Stroke Cerebrovasc. Dis. 2018, 27, 3605–3612. [Google Scholar] [CrossRef]
- Fujimura, M.; Tominaga, T. Current Status of Revascularization Surgery for Moyamoya Disease: Special Consideration for Its ‘Internal Carotid-External Carotid (IC-EC) Conversion’ as the Physiological Reorganization System. Tohoku J. Exp. Med. 2015, 236, 45–53. [Google Scholar] [CrossRef]
- Araki, Y.; Yokoyama, K.; Uda, K.; Kanamori, F.; Kurimoto, M.; Shiba, Y.; Mamiya, T.; Nishihori, M.; Izumi, T.; Sumitomo, M.; et al. Postoperative stroke and neurological outcomes in the early phase after revascularization surgeries for moyamoya disease: An age-stratified comparative analysis. Neurosurg. Rev. 2021, 44, 2785–2795. [Google Scholar] [CrossRef]
- Ravindran, K.; Wellons, J.C.; Dewan, M.C. Surgical outcomes for pediatric moyamoya: A systematic review and meta-analysis. J. Neurosurg. Pediatr. 2019, 24, 663–672. [Google Scholar] [CrossRef] [PubMed]
- Ge, P.; Ye, X.; Zhang, Q.; Zhang, D.; Wang, S.; Zhao, J. Encephaloduroateriosynangiosis versus conservative treatment for patients with moyamoya disease at late Suzuki stage. J. Clin. Neurosci. 2018, 50, 277–280. [Google Scholar] [CrossRef] [PubMed]
- Zhao, Y.; Zhang, Q.; Zhang, D.; Zhao, Y. Effect of Aspirin in Postoperative Management of Adult Ischemic Moyamoya Disease. World Neurosurg. 2017, 105, 728–731. [Google Scholar] [CrossRef] [PubMed]
- Ren, B.; Zhang, Z.-S.; Liu, W.-W.; Bao, X.-Y.; Li, D.-S.; Han, C.; Xian, P.; Zhao, F.; Wang, H.; Wang, H.; et al. Surgical outcomes following encephaloduroarteriosynangiosis in adult moyamoya disease associated with Type 2 diabetes. J. Neurosurg. 2016, 125, 308–314. [Google Scholar] [CrossRef] [PubMed]
- Dlamini, N.; Muthusami, P.; Amlie-Lefond, C. Childhood Moyamoya: Looking Back to the Future. Pediatr. Neurol. 2019, 91, 11–19. [Google Scholar] [CrossRef]
- Appireddy, R.; Ranjan, M.; Durafourt, B.A.; Riva-Cambrin, J.; Hader, W.J.; Adelson, P.D. Surgery for Moyamoya Disease in Children. J. Child Neurol. 2019, 34, 517–529. [Google Scholar] [CrossRef]
- Kazumata, K.; Ito, M.; Tokairin, K.; Ito, Y.; Houkin, K.; Nakayama, N.; Kuroda, S.; Ishikawa, T.; Kamiyama, H. The frequency of postoperative stroke in moyamoya disease following combined revascularization: A single-university series and systematic review. J. Neurosurg. 2014, 121, 432–440. [Google Scholar] [CrossRef]
- Lee, M.; Guzman, R.; Bell-Stephens, T.; Steinberg, G.K. Intraoperative Blood Flow Analysis of Direct Revascularization Procedures in Patients with Moyamoya Disease. J. Cereb. Blood Flow Metab. 2011, 31, 262–274. [Google Scholar] [CrossRef]
- Liu, J.J.; Steinberg, G.K. Direct Versus Indirect Bypass for Moyamoya Disease. Neurosurg. Clin. N. Am. 2017, 28, 361–374. [Google Scholar] [CrossRef]
- Funaki, T.; Takahashi, J.C.; Miyamoto, S. Late Cerebrovascular Events and Social Outcome after Adolescence: Long-term Outcome of Pediatric Moyamoya Disease. Neurol. Med. Chir. 2018, 58, 240–246. [Google Scholar] [CrossRef]
- Ando, T.; Shimada, Y.; Fujiwara, S.; Yoshida, K.; Kobayashi, M.; Kubo, Y.; Terasaki, K.; Ando, S.; Ogasawara, K. Revascularisation surgery improves cognition in adult patients with moyamoya disease. J. Neurol. Neurosurg. Psychiatry 2020, 91, 332–334. [Google Scholar] [CrossRef] [PubMed]
- Singla, A.; Lin, N.; Ho, A.L.; Scott, R.M.; Smith, E.R. Vascular collateralization along ventriculoperitoneal shunt catheters in moyamoya disease. J. Neurosurg. Pediatr. 2013, 11, 710–712. [Google Scholar] [CrossRef] [PubMed]










| Total (N = 326) | No Infarction (N = 277) | Infarction (N = 49) | Value | p | |
|---|---|---|---|---|---|
| Gender | Male | 133(83.1%) | 27(16.9%) | 1 | 0.360 |
| Female | 144(86.7%) | 22(13.3%) | 2 | ||
| Side | Left | 133(84.2%) | 25(15.8%) | 1 | 0.698 |
| Right | 144(85.7%) | 24(14.3%) | 2 | ||
| Age | Mean age | 37.6 ± 13.9 | 42.8 ± 11.3 | integer of age | 0.013 |
| TIA | Positive | 33(61.1%) | 21(38.9%) | 1 | <0.001 |
| Negative | 243(89.7%) | 28(10.3%) | 0 | ||
| Old infarction | Negative | 127(92.0%) | 11(8.0%) | 0 | 0.002 |
| Positive | 150(22.4%) | 38(77.6%) | 1 | ||
| ICA stenosis | Negative | 273(85.8%) | 45(14.2%) | 0 | 0.020 |
| Positive | 4(50%) | 4(50%) | 1 | ||
| A1 stenosis | Negative | 266(87.8%) | 37(12.2%) | 0 | <0.001 |
| Positive | 11(47.8%) | 12(52.2%) | 1 | ||
| M1 stenosis | Negative | 265(88.0%) | 36(12.0%) | 0 | <0.001 |
| Positive | 12(48.0%) | 13(52.0%) | 1 | ||
| PCA anomaly | Negative | 264(88.3%) | 35(11.7%) | 0 | <0.001 |
| Positive | 13(48.1%) | 14(51.9%) | 1 | ||
| Posterior compensation | Negative | 50(78.1%) | 14(21.9%) | 0 | 0.087 |
| Positive | 227(86.6%) | 35(13.4%) | 1 | ||
| Unstable compensation | Negative | 271(88.0%) | 37(12.0%) | 0 | <0.001 |
| Positive | 6(33.3%) | 12(66.7%) | 1 | ||
| Extracranial compensation | Negative | 221(84.7%) | 40(15.3%) | 0 | 0.765 |
| Positive | 56(86.2%) | 9(13.8%) | 1 | ||
| B | p | OR | 95% CI for OR | ||
|---|---|---|---|---|---|
| Lower | Upper | ||||
| Age | −0.032 | 0.049 | 0.969 | 0.939 | 1.000 |
| A1 stenosis | 1.765 | 0.004 | 5.843 | 1.730 | 19.732 |
| M1 stenosis | 1.825 | 0.001 | 6.206 | 2.079 | 18.526 |
| PCA anomaly | 1.474 | 0.009 | 4.367 | 1.452 | 13.129 |
| Unstable compensation | 1.674 | 0.013 | 5.335 | 1.427 | 19.948 |
| TIA | 1.450 | 0.001 | 4.264 | 1.844 | 9.863 |
| Obsolete infarction | 1.089 | 0.019 | 2.972 | 1.194 | 7.397 |
| Constant | −4.392 | ||||
Publisher’s Note: MDPI stays neutral with regard to jurisdictional claims in published maps and institutional affiliations. |
© 2022 by the authors. Licensee MDPI, Basel, Switzerland. This article is an open access article distributed under the terms and conditions of the Creative Commons Attribution (CC BY) license (https://creativecommons.org/licenses/by/4.0/).
Share and Cite
Yu, T.; Wang, R.; Ye, X.; Zeng, C.; Chen, X.; Zhao, Y. Angioarchitectural Factors Associated with Postoperative Cerebral Infarction in Ischemic Moyamoya Disease. Brain Sci. 2022, 12, 1270. https://doi.org/10.3390/brainsci12101270
Yu T, Wang R, Ye X, Zeng C, Chen X, Zhao Y. Angioarchitectural Factors Associated with Postoperative Cerebral Infarction in Ischemic Moyamoya Disease. Brain Sciences. 2022; 12(10):1270. https://doi.org/10.3390/brainsci12101270
Chicago/Turabian StyleYu, Tengfei, Rong Wang, Xun Ye, Chun Zeng, Xiaolin Chen, and Yuanli Zhao. 2022. "Angioarchitectural Factors Associated with Postoperative Cerebral Infarction in Ischemic Moyamoya Disease" Brain Sciences 12, no. 10: 1270. https://doi.org/10.3390/brainsci12101270
APA StyleYu, T., Wang, R., Ye, X., Zeng, C., Chen, X., & Zhao, Y. (2022). Angioarchitectural Factors Associated with Postoperative Cerebral Infarction in Ischemic Moyamoya Disease. Brain Sciences, 12(10), 1270. https://doi.org/10.3390/brainsci12101270
