The Fornix May Play a Key Role in Korsakoff’s Amnesia Secondary to Subcallosal Artery Infarction
Abstract
1. Introduction
2. Methods
2.1. Study Design and Ethics Approval
2.2. Clinical Information
2.3. Identification, Screening, and Inclusion of Patients
2.4. Definition of Korsakoff’s Amnesia
2.5. Statistical Analysis
3. Results
3.1. Clinical Information
3.2. Korsakoff’s Amnesia
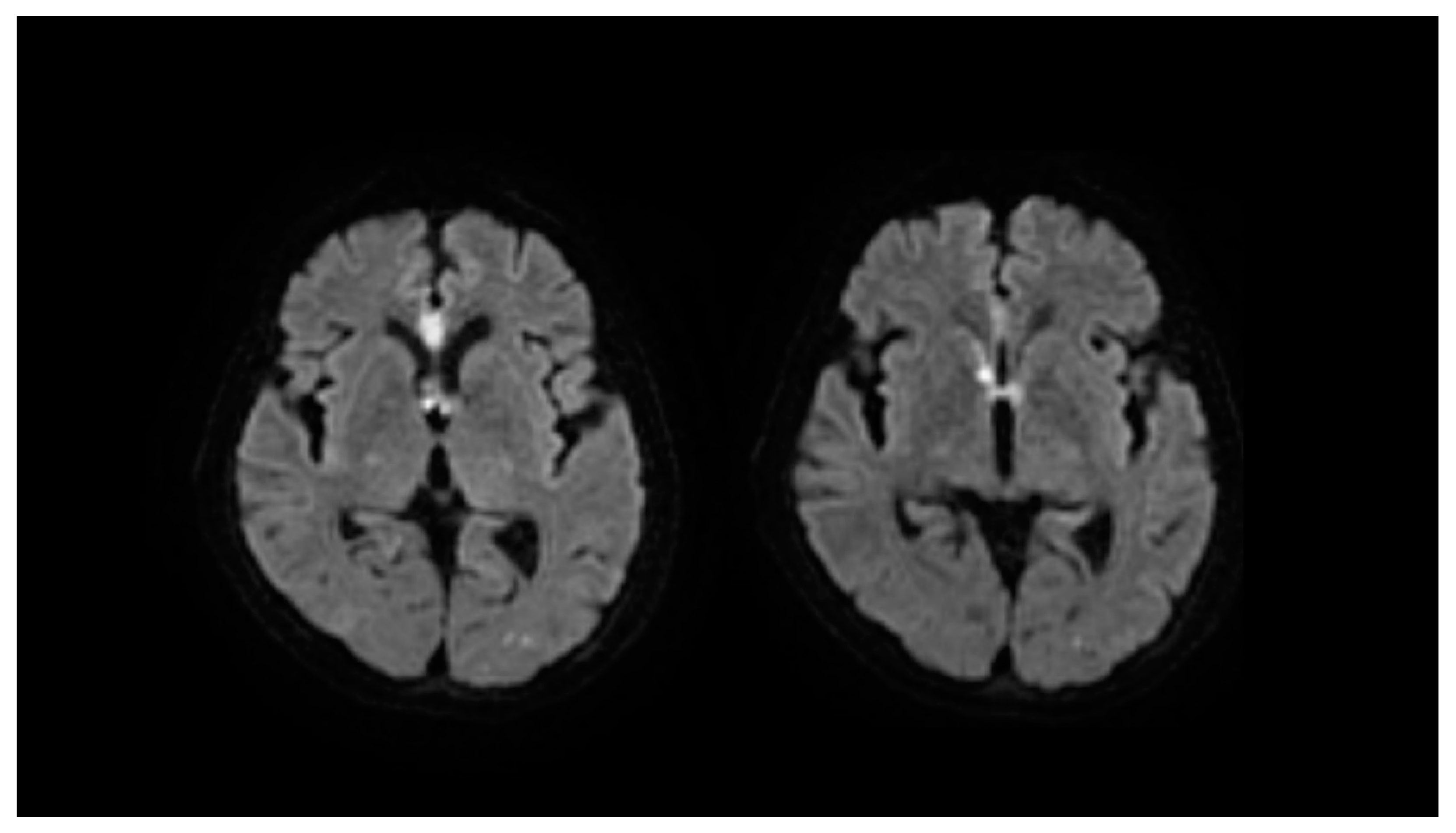
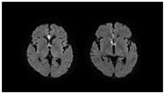
3.3. Our Case
4. Discussion
5. Conclusions
Author Contributions
Funding
Institutional Review Board Statement
Informed Consent Statement
Data Availability Statement
Acknowledgments
Conflicts of Interest
References
- Kumar, R.; Birrer, B.V.; Macey, P.M.; Woo, M.A.; Gupta, R.K.; Yan-Go, F.L.; Harper, R.M. Reduced mammillary body volume in patients with obstructive sleep apnea. Neurosci. Lett. 2008, 438, 330–334. [Google Scholar] [CrossRef] [PubMed]
- Kumar, R.; Woo, M.A.; Birrer, B.V.; Macey, P.M.; Fonarow, G.C.; Hamilton, M.A.; Harper, R.M. Mammillary bodies and fornix fibers are injured in heart failure. Neurobiol. Dis. 2009, 33, 236–242. [Google Scholar] [CrossRef] [PubMed]
- Alessandro, L.; Ricciardi, M.; Chaves, H.; Allegri, R.F. Acute amnestic syndromes. J. Neurol. Sci. 2020, 413, 116781. [Google Scholar] [CrossRef]
- Chenin, L.; Kaoudi, A.; Foulon, P.; Havet, E.; Peltier, J. Microsurgical anatomy of the subcallosal artery. Surg. Radiol. Anat. 2019, 41, 1037–1044. [Google Scholar] [CrossRef]
- Najera, E.; Alves Belo, J.T.; Truong, H.Q.; Gardner, P.A.; Fernandez-Miranda, J.C. Surgical Anatomy of the Subcallosal Artery: Implications for Transcranial and Endoscopic Endonasal Surgery in the Suprachiasmatic Region. Oper. Neurosurg. (Hagerstown) 2019, 17, 79–87. [Google Scholar] [CrossRef] [PubMed]
- Matsushige, T.; Chen, B.; Dammann, P.; Johst, S.; Quick, H.H.; Ladd, M.E.; Forsting, M.; Sure, U.; Wrede, K.H. Microanatomy of the subcallosal artery: An in-vivo 7 T magnetic resonance angiography study. Eur. Radiol. 2016, 26, 2908–2914. [Google Scholar] [CrossRef] [PubMed]
- Cho, M.J.; Shin, D.I.; Han, M.K.; Yum, K.S. Acute amnesia during pregnancy due to bilateral fornix infarction: A case report. World J. Clin. Cases 2020, 8, 4494–4498. [Google Scholar] [CrossRef]
- Michel, P.; Finet, P.; Goffette, P.; Raftopoulos, C. Bilateral Fornical Columns Infarction Secondary to an Arteriovenous Malformation Embolization. World Neurosurg. 2020, 135, 113–117. [Google Scholar] [CrossRef]
- Pardina-Vilella, L.; Pinedo-Brochado, A.; Vicente, I.; Bocos-Portillo, J.; Martínez-Arroyo, A.; Ontañon, J.M.; Gómez-Beldarrain, M.; García-Moncó, J.C. The goblet sign in the amnestic syndrome of the subcallosal artery infarct. Neurol. Sci. 2018, 39, 1463–1465. [Google Scholar] [CrossRef]
- Ren, C.; Yuan, J.; Tong, S.; Xue, Y.; Wu, H.; Li, W.; Wang, J.; Sun, Z.; Gong, L.; Wang, X.; et al. Memory Impairment Due to a Small Acute Infarction of the Columns of the Fornix. J. Stroke Cerebrovasc. Dis. 2018, 27, e138–e143. [Google Scholar] [CrossRef]
- Xu, S.Y.; Xi, F.C.; Wu, X.W.; Li, C.X. Ischemic stroke in the combined territories of the septum pellucidum and the cingulate gyrus: A case report and literature review. Medicine (Baltimore) 2019, 98, e15879. [Google Scholar] [CrossRef]
- Mugikura, S.; Takahashi, S.; Takase, K. Time to Face the Nightmare That Has Plagued Neurosurgeons for Years: Memory Impairment from Postsurgery Subcallosal Artery Infarction for Anterior Communicating Artery Aneurysms. World Neurosurg. 2019, 121, 280–281. [Google Scholar] [CrossRef]
- Turine, G.; Gille, M.; Druart, C.; Rommel, D.; Rutgers, M.P. Bilateral anterior fornix infarction: The “amnestic syndrome of the subcallosal artery”. Acta Neurol. Belg. 2016, 116, 371–373. [Google Scholar] [CrossRef]
- Jha, A.P.; Kroll, N.E.; Baynes, K.; Gazzaniga, M.S. Memory encoding following complete callosotomy. J. Cogn. Neurosci. 1997, 9, 143–159. [Google Scholar] [CrossRef]
- Kroll, N.E.; Yonelinas, A.P.; Kishiyama, M.M.; Baynes, K.; Knight, R.T.; Gazzaniga, M.S. The neural substrates of visual implicit memory: Do the two hemispheres play different roles? J. Cogn. Neurosci. 2003, 15, 833–842. [Google Scholar] [CrossRef] [PubMed]
- Meila, D.; Saliou, G.; Krings, T. Subcallosal artery stroke: Infarction of the fornix and the genu of the corpus callosum. The importance of the anterior communicating artery complex. Case series and review of the literature. Neuroradiology 2015, 57, 41–47. [Google Scholar] [CrossRef] [PubMed]
- Renou, P.; Ducreux, D.; Batouche, F.; Denier, C. Pure and acute Korsakoff syndrome due to a bilateral anterior fornix infarction: A diffusion tensor tractography study. Arch. Neurol. 2008, 65, 1252–1253. [Google Scholar] [CrossRef] [PubMed]
- Salvalaggio, A.; Cagnin, A.; Nardetto, L.; Manara, R.; Briani, C. Acute amnestic syndrome in isolated bilateral fornix stroke. Eur. J. Neurol. 2018, 25, 787–789. [Google Scholar] [CrossRef]
- Kopelman, M.D. What does a comparison of the alcoholic Korsakoff syndrome and thalamic infarction tell us about thalamic amnesia? Neurosci. Biobehav. Rev. 2015, 54, 46–56. [Google Scholar] [CrossRef]
- Race, E.; Verfaellie, M. Remote memory function and dysfunction in Korsakoff’s syndrome. Neuropsychol. Rev. 2012, 22, 105–116. [Google Scholar] [CrossRef]
- Fama, R.; Pitel, A.L.; Sullivan, E.V. Anterograde episodic memory in Korsakoff syndrome. Neuropsychol. Rev. 2012, 22, 93–104. [Google Scholar] [CrossRef] [PubMed]
- Gilboa, A.; Alain, C.; Stuss, D.T.; Melo, B.; Miller, S.; Moscovitch, M. Mechanisms of spontaneous confabulations: A strategic retrieval account. Brain 2006, 129, 1399–1414. [Google Scholar] [CrossRef] [PubMed]
- Hattingen, E.; Rathert, J.; Raabe, A.; Anjorin, A.; Lanfermann, H.; Weidauer, S. Diffusion tensor tracking of fornix infarction. J. Neurol. Neurosurg. Psychiatry 2007, 78, 655–656. [Google Scholar] [CrossRef]
- Moussouttas, M.; Giacino, J.; Papamitsakis, N. Amnestic syndrome of the subcallosal artery: A novel infarct syndrome. Cerebrovasc. Dis. 2005, 19, 410–414. [Google Scholar] [CrossRef] [PubMed]
- Saito, Y.; Matsumura, K.; Shimizu, T. Anterograde amnesia associated with infarction of the anterior fornix and genu of the corpus callosum. J. Stroke Cerebrovasc. Dis. 2006, 15, 176–177. [Google Scholar] [CrossRef] [PubMed]
- Park, S.A.; Hahn, J.H.; Kim, J.I.; Na, D.L.; Huh, K. Memory deficits after bilateral anterior fornix infarction. Neurology 2000, 54, 1379–1382. [Google Scholar] [CrossRef]
- Carlesimo, G.A.; Lombardi, M.G.; Caltagirone, C. Vascular thalamic amnesia: A reappraisal. Neuropsychologia 2011, 49, 777–789. [Google Scholar] [CrossRef]
- Zhou, Y.; Fox, D.; Anand, A.; Elhaj, A.; Kapoor, A.; Najibi, F.; Kim, H.; Weir, R.; Jayam-Trouth, A. Artery of Percheron Infarction as an Unusual Cause of Korsakoff’s Syndrome. Case Rep. Neurol. Med. 2015, 2015, 927809. [Google Scholar] [CrossRef][Green Version]
- Kurokawa, T.; Baba, Y.; Fujino, K.; Kuroiwa, Y.; Tomita, Y.; Nakane, M.; Yamada, S.M.; Tanaka, F. Vertebral Artery Dissection Leading to Fornix Infarction: A Case Report. J. Stroke Cerebrovasc. Dis. 2015, 24, e169–e172. [Google Scholar] [CrossRef]
- Langer, K.G. The History of Amnesia—A Review. Curr. Neurol. Neurosci. Rep. 2021, 21, 40. [Google Scholar] [CrossRef]
- Sullivan, E.V.; Pfefferbaum, A. Neuroimaging of the Wernicke-Korsakoff syndrome. Alcohol Alcohol. 2009, 44, 155–165. [Google Scholar] [CrossRef] [PubMed]
- Jung, Y.C.; Chanraud, S.; Sullivan, E.V. Neuroimaging of Wernicke’s encephalopathy and Korsakoff’s syndrome. Neuropsychol. Rev. 2012, 22, 170–180. [Google Scholar] [CrossRef] [PubMed]
- Mendez, M.F. Frontolimbic affective bias and false narratives from brain disease. Med. Hypotheses 2019, 128, 13–16. [Google Scholar] [CrossRef] [PubMed]
- Schnider, A. Spontaneous confabulation, reality monitoring, and the limbic system—A review. Brain Res. Brain Res. Rev. 2001, 36, 150–160. [Google Scholar] [CrossRef]
- Corlett, P.R.; Canavan, S.V.; Nahum, L.; Appah, F.; Morgan, P.T. Dreams, reality and memory: Confabulations in lucid dreamers implicate reality-monitoring dysfunction in dream consciousness. Cogn. Neuropsychiatry 2014, 19, 540–553. [Google Scholar] [CrossRef]
- Lu, J.W.; Fenik, V.B.; Branconi, J.L.; Mann, G.L.; Rukhadze, I.; Kubin, L. Disinhibition of perifornical hypothalamic neurones activates noradrenergic neurones and blocks pontine carbachol-induced REM sleep-like episodes in rats. J. Physiol. 2007, 582, 553–567. [Google Scholar] [CrossRef]
- Fotopoulou, A.; Conway, M.A.; Tyrer, S.; Birchall, D.; Griffiths, P.; Solms, M. Is the content of confabulation positive? An experimental study. Cortex 2008, 44, 764–772. [Google Scholar] [CrossRef]



| Injured Area | Clinical Manifestation | ||||||||
|---|---|---|---|---|---|---|---|---|---|
| Case | Age * | Sex | Corpus Callosum | Fornix | Confabulation | Amnesia | |||
| C + F group | 1 | Corpus callosum + Fornix lesion case 1 | 43 | Male | + | + | + | + | Michel et al., 2020 |
| 2 | Corpus callosum + Fornix lesion case 2 | 79 | Male | + | + | − | + | Pardina-Vilella et al., 2018 | |
| 3 | Corpus callosum + Fornix lesion case 3 | 74 | Female | + | + | + | + | Turine, G et al., 2016 | |
| 4 | Corpus callosum + Fornix lesion case 4 | 71 | Male | + | + | + | + | Meila et at., 2015 | |
| 5 | Corpus callosum + Fornix lesion case 5 | 68 | Male | + | + | + | + | Renou et al., 2008 | |
| 6 | Corpus callosum + Fornix lesion case 6 | 33 | Female | + | + | − | + | Hattingen et al., 2007 | |
| 7 | Corpus callosum + Fornix lesion case 7 | 61 | Male | + | + | + | + | Moussouttas et al., 2005 | |
| 8 | Corpus callosum + Fornix lesion case 8 | 71 | Female | + | + | − | − | Saito et al., 2006 | |
| 9 | Corpus callosum + Fornix lesion case 9 | 60 | Female | + | + | − | + | Park et al., 2000 | |
| 10 | Corpus callosum + Fornix lesion case 10 | 70 | Female | + | + | + | + | Our case | |
| C group | 1 | Anterior callosotomy case 1 | 24 | Female | + | − | − | − | |
| 2 | Anterior callosotomy case 2 | 16 | Male | + | − | − | − | ||
| 3 | Anterior callosotomy case 3 | 51 | Male | + | − | − | − | ||
| 4 | Anterior callosotomy case 4 | 8 | Female | + | − | − | − | ||
| 5 | Anterior callosotomy case 5 | 5 | Male | + | − | − | − | ||
| 6 | Anterior callosotomy case 6 | 38 | Female | + | − | − | − | ||
| F group | 1 | Isolated fornix infarction case 1 | 61 | Male | − | + | + | + | Salvalaggio et al., 2018 |
Publisher’s Note: MDPI stays neutral with regard to jurisdictional claims in published maps and institutional affiliations. |
© 2021 by the authors. Licensee MDPI, Basel, Switzerland. This article is an open access article distributed under the terms and conditions of the Creative Commons Attribution (CC BY) license (https://creativecommons.org/licenses/by/4.0/).
Share and Cite
Hayashi, M.; Fujimoto, A.; Enoki, H.; Niimi, K.; Inenaga, C.; Sato, K.; Homma, K.; Arakawa, T.; Okanishi, T. The Fornix May Play a Key Role in Korsakoff’s Amnesia Secondary to Subcallosal Artery Infarction. Brain Sci. 2022, 12, 21. https://doi.org/10.3390/brainsci12010021
Hayashi M, Fujimoto A, Enoki H, Niimi K, Inenaga C, Sato K, Homma K, Arakawa T, Okanishi T. The Fornix May Play a Key Role in Korsakoff’s Amnesia Secondary to Subcallosal Artery Infarction. Brain Sciences. 2022; 12(1):21. https://doi.org/10.3390/brainsci12010021
Chicago/Turabian StyleHayashi, Masataka, Ayataka Fujimoto, Hideo Enoki, Keiko Niimi, Chikanori Inenaga, Keishiro Sato, Kazunari Homma, Tomoya Arakawa, and Tohru Okanishi. 2022. "The Fornix May Play a Key Role in Korsakoff’s Amnesia Secondary to Subcallosal Artery Infarction" Brain Sciences 12, no. 1: 21. https://doi.org/10.3390/brainsci12010021
APA StyleHayashi, M., Fujimoto, A., Enoki, H., Niimi, K., Inenaga, C., Sato, K., Homma, K., Arakawa, T., & Okanishi, T. (2022). The Fornix May Play a Key Role in Korsakoff’s Amnesia Secondary to Subcallosal Artery Infarction. Brain Sciences, 12(1), 21. https://doi.org/10.3390/brainsci12010021

